Inguinal lymphadenitis due to invasion of Dirofilaria repens
- Authors: Ermakova L.A.1,2, Nagorny S.A.1, Kornienko I.V.1,3,4, Kiosova J.V.1, Todorov S.S.2, Pshenichnaya N.Y.2,5
-
Affiliations:
- Rostov Research Institute of Microbiology and Parasitology
- Rostov State Medical University
- Federal Research Center the Southern Scientific Center of the Russian Academy of Sciences
- Southern Federal University
- Central Research Institute of Epidemiology
- Issue: Vol 92, No 11 (2020)
- Pages: 62-64
- Section: Clinical notes
- Submitted: 25.12.2020
- Accepted: 25.12.2020
- Published: 15.11.2020
- URL: https://ter-arkhiv.ru/0040-3660/article/view/56938
- DOI: https://doi.org/10.26442/00403660.2020.11.000684
- ID: 56938
Cite item
Full Text
Abstract
The paper presents the case of the right-sided inguinal inflammation of a lymph node as a result of invasion of Dirofilaria repens, the parasitic pathogen of subcutaneous dirofilariasis in animals of the canine family. The diagnosis was verified on the basis of the parallel application of morphological studies of cross sections of the nematode in histological samples and the molecular biological method – polymerase chain reaction of scrapings of histological material. The localization of this helminth inside the cavities of the human body is extremely rare. Only isolated cases of atypical localization of D. repens are described: in the organs of the chest, cervical lymphatic node in the spermatic cord and epididymis, which led to pseudotumor formations that needed to be differentiated with neoplastic processes. This case is of great interest to experts of various fields (surgeons, oncologists, infectious disease specialists and pathologists), primarily in the differential diagnosis of malignant neoplasms of the lymphatic system.
Full Text
ПЦР – полимеразная цепная реакция
Введение
Dirofilaria repens – возбудитель подкожного дирофиляриоза животных семейств псовых, реже кошачьих [1, 2]. Этот трансмиссивный гельминтоз широко распространен на территориях, где регистрируется высокий уровень пораженности окончательных хозяев (псовых), имеет место высокая плотность векторов трансмиссии инвазии (комаров рода Aedes, Culex, Anopheles). К таким регионам относятся страны Южной Европы и юг Российской Федерации [3–5]. На этих территориях регистрируются случаи заражения человека данным возбудителем, для которого дирофилярии становятся «невольным патогеном» [6].
Ежегодно на юге России отмечается до 10 случаев местной передачи дирофилярий в период максимальной активности комаров [7], обычно в мае – октябре. Однако нередки случаи завоза данного нематодоза и в северные регионы РФ. Клинической особенностью инвазии D. repens человека является преимущественная локализация нематоды подкожно в периорбитальной области, субконъюнктивально или под кожей головы и шеи (до 70% случаев) [8–10]. Поэтому несомненный клинический интерес представляют редкие случаи локализации данного гельминта.
Цель – описание редкого случая локализации D. repens в паховом лимфатическом узле, вызвавшего трудности диагностики дирофиляриоза и идентификация паразита.
Материалы и методы
Больная С. 53 лет, заболела 27.08.2019, когда отметила увеличение паховых лимфоузлов, появилась гиперемия кожи над ними. Обратилась в приемное отделение ГБУЗ Тюменской области «Областная клиническая больница №2», где получала антибактериальную терапию по поводу инфекционного мононуклеоза. На фоне лечения самочувствие больной несколько улучшилось, однако сохранялось увеличение паховых лимфоузлов справа, в связи с чем для исключения неопластического и аутоиммунного процессов направлена на консультацию к врачу-онкологу ГАУЗ Тюменской области «МКМЦ “Медицинский город”». При ультразвуковом исследовании выявлялись единичные паховые лимфоузлы до 1,0 см в диаметре, неоднородной структуры.
Для верификации процесса у больной иссечен лимфоузел из паховой области справа. При гистологическом исследовании в материале данных за опухолевый рост не выявили, однако обнаружен паразит с «хитиновой оболочкой».
Для уточнения этиологии процесса биологический материал (гистологические препараты на трех стеклах) направлен в референс-центр по мониторингу за ларвальными гельминтозами ФБУН «Ростовский НИИ микробиологии и паразитологии» Роспотребнадзора.
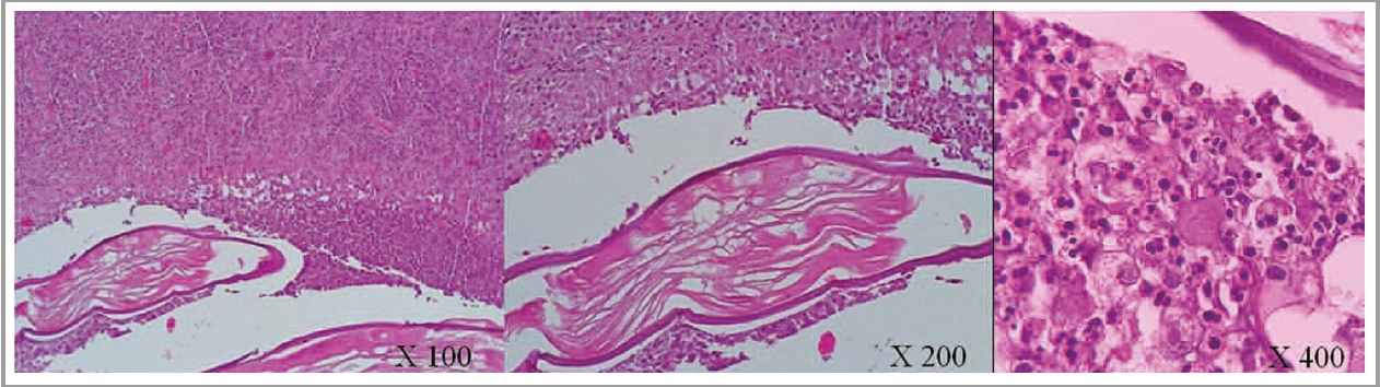
При микроскопии в препаратах в центре лимфатического узла обнаружены два поперечных среза нематоды, имеющие кутикулярную оболочку с окружающим выраженным хроническим гнойным воспалением, развитием грануляционной ткани (рис. 1, см. цветную вклейку).
Рис. 1. Гистологический препарат правого пахового лимфоузла больной С. (Описание препарата: в центре лимфатического узла два поперечных среза дирофилярии, имеющие кутикулярную оболочку с окружающей выраженной нейтрофильной инфильтрацией, макрофагальной инфильтрацией стромы, хроническим гнойным воспалением, со скоплением нейтрофилов, гигантских многоядерных клеток типа инородных тел с развитием грануляционной ткани. (Окраска гематоксилин-эозином *100, 200, 400)
По размеру диаметра поперечных срезов и характерных гребневидных образований паразит идентифицирован как D. repens (рис. 2, см. цветную вклейку).
Рис. 2. Поперечный срез нематоды с гребневидными кутикулярными выростами.
При сборе дополнительного эпидемиологического анамнеза, со слов больной, она в течение последнего года неоднократно выезжала на территории Индии, Казахстана. Таким образом, нельзя исключить инвазию тропическими антропонозными лимфатическими филяриатозами (бругиоз). Со слов пациентки, в ФБУН «Тюменский НИИ краевой инфекционной патологии» Роспотребнадзора ей проводили исследования крови на наличие личинок филярий с отрицательным результатом.
С целью уточнения видовой принадлежности нематоды и исключения тропических филяриатозов, а также инвазии Dirofilaria immitis, выполнили исследование материала препаратов методом полимеразной цепной реакции (ПЦР).
Выделение ДНК из гистопрепаратов проводили при помощи коммерческого набора реагентов DNA IQ (Promega, США) [11]. Качество выделенной ДНК человека оценивали по результатам генотипирования с помощью набора CordisPlus.
Амплификацию ДНК осуществляли методом ПЦР с помощью термоциклера GeneAmp PCR System 9700 (Applied Biosystems). Электрофорез флуоресцентно меченных ампликонов проводили с помощью ДНК-анализатора ABI PRISM 3130¥l. Обработка результатов и идентификация аллелей проходила автоматически с помощью программы GeneMapper ID (версия 3.2) по внутреннему размерному стандарту S450 и аллельному леддеру, прилагаемому к тест-системе CordisPlus.
В ходе исследования определили наличие деградированной ДНК, принадлежащей человеку женского пола.
Идентификацию ДНК дирофилярий в препаратах проводили методом энзиматической амплификации на приборе ДТ-прайм 5 («ДНК-технология», Москва). Для постановки ПЦР подобраны и синтезированы оригинальные специфичные праймеры на фрагмент гена COI митохондриальной ДНК дирофилярий (находятся на стадии патентования). Продукты амплификации визуализировали в 2% агарозном геле (рис. 3, см. цветную вклейку).
Рис. 3. Продукты амплификации ДНК образов.
Видовая принадлежность гельминта – D. repens – установлена на основании особенностей морфологии нематоды и подтверждена результатом ПЦР.
Обсуждение
Локализация данного гельминта внутри полостей организма человека регистрируется крайне редко. Описаны лишь единичные случаи нетипичных локализаций D. repens. В 2015 г. А.М. Бронштейн и соавт. [12] описали случай плевролегочного дирофиляриоза, вызванного D. repens. В 1981 г. учеными из Израиля описан случай обнаружения D. repens в увеличенном безболезненном шейном лимфатическом узле, удаленной у 29-летнего пациента в Израиле [13]. В 1997 г. D. repens обнаружена в семенном канатике у 52-летнего жителя провинции Равенна в Северной Италии [14]. Также в 2013 г. в Италии и Франции описано по 1 случаю аутохтонного дирофиляриоза с поражением семенного канатика и эпидидимиса, приведшие к псевдоопухолевым образованиям [15]. У 29-летнего мужчины из Сан-Тропе (Италия) образование, возникшее в левом придатке яичка, прогрессировало в форме эритемы с поражением обоих яичек и распространением в паховую область, сопровождаясь лейкоцитозом периферической крови. А у 66-летнего мужчины, жителя департамента Вар (Франция), появился воспалительный, твердый и подвижный узелок, прикрепленный к семенному канатику. Гистологическое исследование в обоих случаях позволило диагностировать инвазию D. repens. Публикации о редких локализациях данного гельминта позволяют расширить представления о топической локализации D. repens и диагностировать дирофиляриоз в более короткие сроки.
Заключение
Данный случай представляет большой интерес для врачей разных специальностей (хирургов, онкологов, инфекционистов и патологоанатомов), в первую очередь при дифференциальной диагностике злокачественных новообразований лимфатической системы.
Авторы заявляют об отсутствии конфликта интересов.
About the authors
L. A. Ermakova
Rostov Research Institute of Microbiology and Parasitology; Rostov State Medical University
Author for correspondence.
Email: ya.parazitov-net@yandex.ru
ORCID iD: 0000-0002-8918-2271
к.м.н., зав. клиникой инфекционных и паразитарных болезней, врач-инфекционист, ассистент каф. фтизиатрии, пульмонологии и инфекционных болезней
Russian Federation, Rostov-on-DonS. A. Nagorny
Rostov Research Institute of Microbiology and Parasitology
Email: ya.parazitov-net@yandex.ru
ORCID iD: 0000-0001-8487-2313
к.б.н., вед. науч. сотр. лаб. санитарно-паразитологического мониторинга, медицинской паразитологии и иммунологии
Russian Federation, Rostov-on-DonI. V. Kornienko
Rostov Research Institute of Microbiology and Parasitology; Federal Research Center the Southern Scientific Center of the Russian Academy of Sciences; Southern Federal University
Email: ya.parazitov-net@yandex.ru
ORCID iD: 0000-0003-0274-3302
д.б.н., гл. науч. сотр; зав. науч. лаб. «Идентификация объектов биологического происхождения; биолог клиники инфекционных и паразитарных болезней
Russian Federation, Rostov-on-DonJ. V. Kiosova
Rostov Research Institute of Microbiology and Parasitology
Email: ya.parazitov-net@yandex.ru
ORCID iD: 0000-0002-6142-2624
биолог клиники инфекционных и паразитарных болезней
Russian Federation, Rostov-on-DonS. S. Todorov
Rostov State Medical University
Email: ya.parazitov-net@yandex.ru
ORCID iD: 0000-0001-8476-5606
д.м.н., рук. морфологического отд. клиники
Russian Federation, Rostov-on-DonN. Yu. Pshenichnaya
Rostov State Medical University; Central Research Institute of Epidemiology
Email: ya.parazitov-net@yandex.ru
ORCID iD: 0000-0003-2570-711X
д.м.н., проф., зам. дир. по клин.-аналитической работе
Russian Federation, Rostov-on-Don; MoscowReferences
- Паразитарные болезни человека (протозоозы и гельминтозы). Под ред. Сергиева В.П., Лобзина Ю.В., Козлова С.С. СПб.: ФОЛИАНТ, 2011 [Parasitic Human Diseases (Protozoosis and Helminthosis) Ed. Sergieva VP, Lobzina YuV, Kozlova SS. Saint Petersburg: FOLIANT. 2011 (In Russ.)].
- Шуляк Б.Ф., Архипов И.А. Нематодозы собак (зоонозы, зооантропонозы). М.: КонсоМед, 2010 [Shulyak BF, Arkhipov IA. Dog nematoses (zoonoses, zooanthroponoses). Moscow: KonsoMed, 2010 (In Russ.)].
- Simon F, Siles-Lucas M, Morchon R, et al. Human and animal dirofilariasis: the emergence of a zoonotic mosaic. Clin Microbiol Rev. 2012;25(3):507-44. doi: 10.1128/cmr.00012-12
- Ermakova L, Nagorny S, Krivorotova E, et al. Dirofilariarepens in the Russian Federation: current epidemiology, diagnosis, and treatment from a federal reference center perspective. Int J Infect Dis. 2014;23:47-52. doi: 10.1016/j.ijid.2014.02.008
- Ermakova L, Nagorny S, Pshenichnaya N, Krivirotova E. Comments in response to the authors of “Human dirofilariasis due to Dirofilaria repens in the Russian Federation – remarks concerning epidemiology”. Int J Infect Dis. 2014;28:226-7. doi: 10.1016/j.ijid.2014.04.024
- Криворотова Е.Ю., Нагорный С.А. Ксеномониторинг дирофиляриоза на юге и северо-западе Российской Федерации. Паразитология. 2016;50(5):357-64. [Krivorotova EYu, Nagorny SA. Xenomonitoring of the Dirofilariasis in the South and North-West of the Russian Federation. Parasitology. 2016;50(5):357-64 (In Russ.).]. https://www.elibrary.ru/download/elibrary_28357961_56721780.pdf
- Gratz NG, World Health Organization. The vector-borne human infections of Europe: their distribution and burden on public health (No. EUR/04/5046114). Copenhagen: WHO Regional Office for Europe.
- Ermakova L, Nagorny S, Pshenichnaya N, et al. Clinical and laboratory features of human dirofilariasis in Russia. IDCases. 2017;9:112-5. doi: 10.1016/j.idcr.2017.07.006
- Klintebjerg K, Petersen E, Pshenichnaya N, et al. Periorbital Dirofilaria repens imported to Denmark: A human case report. IDCases. 2015;2(1):25-6. doi: 10.1016/j.idcr.2014.12.001
- Ермакова Л.А., Нагорный С.А., Пшеничная Н.Ю., Криворотова Е.Ю. Клинические и лабораторные аспекты инвазии Dirofilaria repens человека. Инфекц. болезни. 2018;16(1):51-7. [Ermakova LA, Nagorny SA, Pshenichnaya NYu, Krivorotova EYu. Clinical and laboratory aspects of human Dirofilaria repens invasion. Infectious diseases. 2018;16 (1):51-7 (In Russ.)]. doi: 10.20953/1729-9225-2018-1-51-57
- Корниенко И.В., Харламов С.Г. Методы исследования ДНК человека. Выделение ДНК и ее количественная оценка в аспекте судебно-медицинского исследования вещественных доказательств биологического происхождения. Ростов-на-Дону: ЮФУ, 2012. [Kornienko IV, Kharlamov SG. Human DNA research methods. Isolation of DNA and its quantitative assessment in the aspect of forensic research of material evidence of biological origin. Rostov-on-Don: SFedU, 2012 (In Russ.)].
- Бронштейн A.M., Малышев Н.А., Федянина Л.В. и др. Клинические маски дирофиляриоза легких и плевры: анализ собственных наблюдений и обзор литературы. Эпидемиология и инфекц. болезни. 2015;20(1):43-9 [Bronshtein AM, Malyshev NA, Fedyanina LV, et al. Clinical masks of dirofilariasis of the lungs and pleura: an analysis of our own observations and a review of the literature. Epidemiology and infectious diseases. 2015;20(1):43-9 (In Russ.)]. https://cyberleninka.ru/article/n/klinicheskie-maski-dirofilyarioza-legkih-i-plevry-analiz-sobstvennyh-nablyudeniy-i-obzor-literatury/viewer
- Zweig A, Karasik A, Hiss J. Dirofilaria in a cervical lymph node in Israel. Hum Pathol. 1981;12(10):939-40. doi: 10.1016/s0046-8177(81)80201-8
- Pampiglione S, Montevecchi R, Lorenzini P, Puccetti M. Dirofilaria (Nochtiella) repens in the spermatic cord: a new human case in Italy. Bull Soc Pathol Exot. 1997;90(1):22-4. https://pubmed.ncbi.nlm.nih.gov/9264743/
- Leccia N, Patouraux S, Carpentier X, et al. Pseudo-tumor of the scrotum, a rare clinical presentation of dirofilariasis: a report of two autochtonous cases due to Dirofilariarepens. Pathog Glob Health.2012;106(6):370-2. doi: 10.1179/2047773212y.0000000029
Supplementary files
