Прогностическое значение экспрессии AIF при диффузной В-крупноклеточной лимфоме
- Авторы: Росин В.А.1, Ванеева Е.В.1, Дьяконов Д.А.1, Глубоковских Н.В.1, Самарина С.В.1
- 
							Учреждения: 
							- ФГБУН «Кировский научно-исследовательский институт гематологии и переливания крови» ФМБА
 
- Выпуск: Том 97, № 7 (2025): Vario (разное)
- Страницы: 545-549
- Раздел: Оригинальные статьи
- Статья получена: 30.08.2023
- Статья одобрена: 17.07.2024
- Статья опубликована: 31.07.2025
- URL: https://ter-arkhiv.ru/0040-3660/article/view/568946
- DOI: https://doi.org/10.26442/00403660.2025.07.203269
- ID: 568946
Цитировать
Полный текст
Аннотация
Введение. Дисрегуляция апоптоза при диффузной В-крупноклеточной лимфоме (ДВККЛ) способствует усилению пролиферации опухоли, а также формированию резистентности к лечению. Одно из актуальных направлений молекулярных исследований – изучение механизма программируемой гибели клеток – апоптоза. Белок AIF (Apoptosis Inducing Factor) участвует в регуляции каспаз-независимого пути гибели клеток и считается потенциальным предиктором течения ДВККЛ.
Цель. Оценить прогностическое значение экспрессии AIF при ДВККЛ.
Материалы и методы. В ретроспективное исследование включены 100 пациентов с ДВККЛ. Больные получали стандартную терапию 1-й линии по схеме R-CHOP. Выполнены гистологические, иммуногистохимические исследования лимфоузлов и/или других вовлеченных в патологический процесс органов. Проведен морфометрический подсчет данных с определением процентной доли опухолевых клеток, экспрессирующих AIF. С помощью ROC-анализа установлено пороговое значение, равное 57% опухолевых клеток, экспрессирующих AIF. С учетом порога пациентов разделили на группы с высоким (надпороговым) и низким (подпороговым) уровнем белка. Расчет общей (ОВ) и беспрогрессивной выживаемости (БПВ) производили с помощью метода Каплана–Мейера с графическим построением соответствующих кривых, уровни факторов сравнивали с помощью критерия log-rank test. Независимое влияние факторов на течение ДВККЛ определяли с помощью многофакторного анализа регрессии Кокса.
Результаты. Подпороговый уровень AIF связан с низкими показателями ОВ и БПВ пациентов (34,9 и 48,8% соответственно). В результате многофакторного анализа Кокса установлено, что белок AIF – независимый прогностический маркер течения ДВККЛ.
Заключение. Подпороговое значение экспрессии AIF связано с низкой ОВ и БПВ пациентов.
Ключевые слова
Полный текст
Список сокращений
БПВ – беспрогрессивная выживаемость
ДВККЛ – диффузная В-крупноклеточная лимфома
ДИ – доверительный интервал
ИГХ – иммуногистохимический
МПИ – международный прогностический индекс
ОВ – общая выживаемость
ОР – отношение рисков
Введение
Опухолевый субстрат диффузной В-крупноклеточной лимфомы (ДВККЛ) может соответствовать как минимум 13 нозологическим формам лимфом, отличающимся клиническими проявлениями, морфологическими характеристиками, молекулярно-генетическими свойствами. Несмотря на применение полихимиотерапии R-CHOP, у 30–40% пациентов развивается рецидив или заболевание, исходно рефрактерное к лечению [1, 2]. Прогноз течения ДВККЛ определяется по международному прогностическому индексу (МПИ). Однако во многих исследованиях отмечается, что МПИ эффективен в части случаев, так как учитывает только клинические критерии оценки рисков. В последние годы особое внимание уделяется идентификации биомаркеров, с учетом которых можно прогнозировать течение опухоли, ее восприимчивость к стандартной химиотерапии [3].
Среди наиболее актуальных направлений молекулярных исследований – изучение механизма программируемой гибели клеток – апоптоза. Он представляет собой генетически контролируемый, биохимически специфический сбалансированный процесс, в результате которого в организме поддерживается стабильное равновесие между пролиферацией и гибелью клеток. Известно, что нарушение механизмов программируемой гибели клеток ассоциировано с развитием различных патологий, в том числе и гематологических [4]. Несмотря на разнообразие инициирующих факторов, выделяется два основных пути апоптоза: рецептор-зависимый (внешний) и митохондриальный (внутренний). Один из основных участников последнего – протеин AIF – апоптоз-инициирующий фактор. Белок вызывает особый интерес, так как считается эффектором апоптоза, действующим независимо от каспаз. Установлено, что большинство опухолей устойчивы к каспаз-зависимому пути клеточной гибели, но чувствительны к каспаз-независимому апоптозу, опосредованному AIF [4, 5]. Белок представляет собой флавопротеин митохондрий. Это один из факторов, высвобождающихся из межмембранного митохондриального пространства в ответ на активацию апоптоза при окислительном стрессе, повреждении ДНК, гипоксии [6]. В цитоплазме фермент взаимодействует с несколькими адаптерными белками (НSP70, белок теплового шока, СypA, MIF и др.), которые участвуют в регуляции перемещения AIF в ядро и последующей фрагментации ДНК [7, 8].
Прогностическое значение маркера проанализировано при различных солидных [9–11] и некоторых гематологических неоплазиях. В исследованиях L. Cabon и соавт. (2018 г.) и L. Delavallée и соавт. (2020 г.) на мышах (штамм Harlequin) выявлена ключевая роль белка AIF в кроветворении и иммунном ответе [12, 13]. У животных с дефицитом маркера в гемопоэтических клетках наблюдалась депрессия тимопоэза, нарушение дифференцировки В-клеток и эритроидного ростка кроветворения. В работе D. Troutaud и соавт. (2010 г.) высокая экспрессия AIF у пациентов с ДВККЛ, леченных по схеме CHOP, ассоциировалась с более длительной общей выживаемостью (ОВ) [14]. Напротив, у больных хроническим миелоидным лейкозом гиперэкспрессия маркера предвещала плохой прогноз и устойчивость к проводимому лечению [15]. Несмотря на неоднозначность результатов исследований, ряд авторов считают, что биомаркер AIF играет важную роль в патогенезе гематологических заболеваний и перспективен как прогностический маркер при ДВККЛ. Также вызывает интерес оценка взаимосвязи AIF с белками рSTAT3, рАКТ1, ключевыми участниками сигнальных путей, дисрегуляция которых наблюдается при ДВККЛ [16, 17].
Цель исследования – оценить прогностическое значение экспрессии AIF при ДВККЛ.
Материалы и методы
В ретроспективное исследование включены 100 первичных пациентов с морфологически и иммуногистохимически (ИГХ) подтвержденным диагнозом ДВККЛ, из них 47 мужчин, 53 женщины. Медиана возраста – 59 лет. Больные наблюдались в ФГБУН КНИИГиПК с 2012 по 2019 г. и получали терапию 1-й линии по схеме R-CHOP. Характеристика больных представлена в табл. 1.
Таблица 1. Характеристика пациентов с ДВККЛ
Table 1. Characteristics of patients with diffuse B-large cell lymphoma
| Характеристики | Число пациентов, % | 
| В-симптомы: нет/есть | 44/56 | 
| Стадия (по Ann Arbor): I-II/III-IV | 39/61 | 
| Наличие экстранодального поражения: нет/есть | 54/46 | 
| Концентрация ЛДГ: норма / выше нормы | 32/68 | 
| Ответ на терапию: ПО/ЧО, рецидив, рефрактерность | 60/40 | 
| МПИ, группы риска: МПИ≥2/МПИ<2 | 52/48 | 
| ИГХ-подтип ДВККЛ: GCB/non-GCB | 30/70 | 
| Статус пациента на момент исследования: летальный исход / продолжают наблюдение | 38/62 | 
Примечание. ЛДГ – лактатдегидрогеназа, ПО/ЧО – полный ответ / частичный ответ.
Для исследования использовали архивные образцы (парафиновые блоки) лимфоузлов или других вовлеченных в патологический процесс органов. Морфологические и ИГХ-исследования выполняли в лаборатории патоморфологии ФГБУН КНИИГиПК. Постановку ИГХ-реакций осуществляли непрямым пероксидазным методом в соответствии с протоколом для систем визуализации EnVISION (DAB+, Dako) с использованием широкой диагностической панели антител. Для детекции AIF (Huabio, клон SZ05) в опухолевых клетках гистологические срезы инкубировали с соответствующим моноклональным антителом. Морфометрическую оценку относительного содержания опухолевых клеток, экспрессирующих AIF, выполняли визуально способом двойного слепого анализа на световом микроскопе AxioScope.A1 со встроенной фото-/видеокамерой и программным обеспечением анализа изображений (Carl Zeiss Microscopy GmbH, Германия).
Статистическую обработку данных проводили с использованием программы IBM SPSS Statistics 26. Описательный анализ данных включал в себя определение медианы (Ме) с интерквартильным размахом [Q1; Q3]. Нормальность распределения переменных в группах проверяли методом Колмогорова–Смирнова.
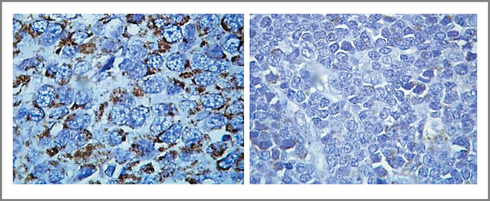
Прогностически значимый порог экспрессии AIF вычисляли с помощью ROC-анализа, показатель соответствовал 57% позитивных опухолевых клеток, экспрессирующих белок (специфичность – 68%, чувствительность – 76%). Согласно установленному пороговому значению всех обследованных разделили на группы с высокой [≥57%; n=57] и низкой [<57%; n=43] экспрессией маркера (рис. 1).
Рис. 1. Лимфатический узел. ИГХ-окраска антителом к AIF: a – высокая экспрессия (≥57%); b – низкая экспрессия (<57%), ×1000.
Fig. 1. Lymph node. Immunohistochemical staining with antibody to AIF: a – high expression (≥57%); b – low expression (<57%), ×1000.
Оптимальный порог для белков рSTAT3 и рАКТ1, установленный нами ранее в проведенных исследованиях [16, 17], – 68 и 70% опухолевых клеток соответственно. Пятилетнюю ОВ и беспрогрессивную выживаемость (БПВ) визуализировали по методу Каплана–Мейера с графическим построением соответствующих кривых, уровни факторов сравнивали с помощью критерия log-rank test. Независимое влияние факторов на течение ДВККЛ определяли с помощью многофакторного анализа регрессии Кокса. Показатели считали статистически значимыми при р<0,05.
Результаты
Во всех случаях наблюдалась цитоплазматическая гранулярная экспрессия AIF в перинуклеарной зоне цитоплазмы опухолевых клеток. Медиана экспрессии – 60% [42, 5; 71, 7]. У 57 обследованных количество экспрессирующих опухолевых клеток превышало пороговый уровень, в 43 случаях определялась низкая экспрессия маркера.
Выявлена статистически значимая взаимосвязь экспрессии белка AIF с выживаемостью больных ДВККЛ, получавших лечение по протоколу R-CHOP (рис. 2). Установлено, что в группе с низким количеством AIF-положительных клеток пятилетняя ОВ составила 34,9% (медиана выживаемости 25 мес) против 82,5% (медиана не достигнута) у пациентов с высокой экспрессией белка [отношение рисков (ОР) 4,7, 95% доверительный интервал (ДИ) 2,3–9,8; p<0,001].
Рис. 2. ОВ и БПВ больных ДВККЛ в зависимости от степени экспрессии AIF.
Fig. 2. Overall and progression-free survival in patients with diffuse B-large cell lymphoma depending on the degree of AIF expression.
БПВ в случаях с низким количеством AIF-позитивных клеток соответствовала 48,8% (медиана выживаемости 24 мес), с высоким – 68,4% при недостигнутой медиане (p=0,017). Риск рецидива и/или рефрактерности к терапии у больных с низким значением маркера в 2 раза выше по сравнению с обследуемыми с надпороговым уровнем AIF (ОР 2,0, 95% ДИ 1,1–3,9).
С помощью регрессионного анализа Кокса в многофакторной модели оценено влияние одновременно нескольких предикторов ОВ и БПВ при ДВККЛ (табл. 2). Независимыми факторами прогноза в отношении 5-летней ОВ, влияющими на риск наступления летального исхода, стали экспрессия AIF<57% и МПИ>2.
Таблица 2. Результаты многофакторного регрессионного анализа Кокса предикторов ОВ и БПВ
Table 2. Results of multivariate Cox regression analysis of predictors of overall and progression-free survival
| Параметр | ОВ | БПВ | ||||
| ОР | 95% ДИ | p | ОР | 95% ДИ | p | |
| Значения МПИ>2 баллов | 2,6 | 1,9–6,3 | 0,03* | 5,4 | 2,2–13,4 | 0,01* | 
| Экспрессия AIF<57% | 2,8 | 1,4–6,4 | 0,02* | 0,5 | 0,2–1,3 | 0,17 | 
| Экспрессия рАКТ1≥70% | 2,3 | 0,9–5,6 | 0,05 | 1,7 | 0,7–3,9 | 0,16 | 
| Экспрессия рSTAT3≥68% | 1,4 | 0,5–3,5 | 0,44 | 1,5 | 0,6–3,6 | 0,29 | 
В случае низкой экспрессии белка AIF риск наступления летального исхода был выше в 2,8 раза, чем у больных с высоким уровнем маркера (р=0,02). Наличие у больных МПИ>2 увеличивало вероятность неблагоприятного события в 2,6 раза по сравнению с пациентами с МПИ≤2 (р=0,03).
Обсуждение
Дисрегуляция апоптоза при ДВККЛ способствует усилению пролиферации опухоли, а также формированию резистентности к лечению. В последнее время накапливается все больше данных о значении каспаз-независимого апоптотического пути, вовлеченного в патогенез ДВККЛ. Важную роль в нем играет апоптоз-индуцирующий фактор AIF. Одна из функций белка – ответ на индукцию апоптоза путем инициации независимой от каспаз гибели клеток.
В опухолевом субстрате ДВККЛ определен гранулярный цитоплазматический характер экспрессии AIF, локализованный чаще всего в перинуклеарной зоне опухолевой клетки, а не в ядре, как это происходит в норме. Отмечено, что блокировка перемещения AIF в ядро, возможно, опосредована наличием мутаций как в С-концевом домене белка, ответственном за связывание с ДНК, так и в белках-регуляторах AIF [18].
Низкое содержание AIF-экспрессирующих клеток связано с негативными отдаленными результатами лечения по протоколу R-CHOP. Установлено, что в группе пациентов с подпороговой экспрессией маркера показатели пятилетней ОВ и БПВ были низкими (34,9 и 48,8% соответственно). С одной стороны, вследствие возникновения поломок одноименного гена AIF утрачивает способность перемещаться в ядро опухолевой клетки для связывания с ДНК и последующей ее фрагментации. С другой – у больных с высокой экспрессией маркера в перинуклеарной зоне клетки регистрировался более длительный период жизни и отсутствие прогрессии заболевания. Такое противоречие, возможно, объясняется тем, что AIF может ингибировать белок – регулятор обратной связи PTEN, который находится на мембране митохондрий, инициируя другой апоптотический сигнальный путь AKT1/PI3K, участвующий в апоптозе при ДВККЛ [8].
В результате многофакторного анализа показано независимое прогностическое значение биомаркера при ОВ. Наличие у пациентов низкой экспрессии AIF увеличивает вероятность наступления летального исхода в 2,8 раза.
Заключение
Подпороговый уровень экспрессии AIF ассоциирован с низкой ОВ и БПВ. Маркер является независимым фактором прогноза ОВ при ДВККЛ.
Раскрытие интересов. Авторы заявляют об отсутствии явных и потенциальных конфликтов интересов, связанных с публикацией настоящей статьи.
Disclosure of interest. The author declare that they have no competing interests.
Вклад авторов. Все авторы в равной степени участвовали в подготовке к публикации настоящей статьи: разработка концепции статьи, проведение гистологических, ИГХ-исследований, морфометрического анализа, статистическая обработка фактических данных, написание и редактирование текста статьи, рецензирование и утверждение текста статьи.
Authors' contribution. All authors made a substantial contribution to the conception of the work: development of the concept of the article, histological, immunohistochemical studies, morphometric analysis, statistical processing of actual data, writing and editing the text of the article, reviewing and approving the text of the article.
Источник финансирования. Авторы декларируют отсутствие внешнего финансирования для проведения исследования и публикации статьи.
Funding source. The authors declare that there is no external funding for the exploration and analysis work.
Соответствие принципам этики. Протокол исследования одобрен локальным этическим комитетом ФГБУН «Кировский научно-исследовательский институт гематологии и переливания крови», №27 от 18.03.2023. Одобрение и процедуру проведения протокола получали по принципам Хельсинкской декларации.
Compliance with the principles of ethics. The study protocol was approved by the local ethics committee (Kirov Research Institute of Hematology and Blood Transfusion, Minutes №27 dated 18.03.2023). Approval and protocol procedure was obtained according to the principles of the Declaration of Helsinki.
Информированное согласие на публикацию. Пациенты подписали форму добровольного информированного согласия на публикацию медицинской информации.
Consent for publication. Written consent was obtained from the patient for publication of relevant medical information and all of accompanying images within the manuscript.
Об авторах
Виталий Анатольевич Росин
ФГБУН «Кировский научно-исследовательский институт гематологии и переливания крови» ФМБА
														Email: vaneeva@niigpk.ru
				                	ORCID iD: 0000-0003-2054-2870
				                																			                								
канд. мед. наук, ст. науч. сотр. лаб. патоморфологии
Россия, КировЕлена Викторовна Ванеева
ФГБУН «Кировский научно-исследовательский институт гематологии и переливания крови» ФМБА
							Автор, ответственный за переписку.
							Email: vaneeva@niigpk.ru
				                	ORCID iD: 0000-0003-1045-2011
				                																			                								
канд. биол. наук, науч. сотр. лаб. патоморфологии
Россия, КировДмитрий Андреевич Дьяконов
ФГБУН «Кировский научно-исследовательский институт гематологии и переливания крови» ФМБА
														Email: vaneeva@niigpk.ru
				                	ORCID iD: 0000-0001-8688-1344
				                																			                								
канд. мед. наук, зав. лаб. патоморфологии
Россия, КировНаталья Владимировна Глубоковских
ФГБУН «Кировский научно-исследовательский институт гематологии и переливания крови» ФМБА
														Email: vaneeva@niigpk.ru
				                	ORCID iD: 0009-0001-7181-6192
				                																			                								
лаборант-исследователь лаб. патоморфологии
Россия, КировСветлана Валерьевна Самарина
ФГБУН «Кировский научно-исследовательский институт гематологии и переливания крови» ФМБА
														Email: vaneeva@niigpk.ru
				                	ORCID iD: 0000-0001-8639-719X
				                																			                								
канд. мед. наук, зав. клинико-диагностическим отд. гематологии и химиотерапии с дневным стационаром
Россия, КировСписок литературы
- Swerdlow S, Campo E, Harris N, et al. WHO classification of tumours of haematopoietic and lymphoid tissues. 4th ed. IARC: Lyon, 2017.
- Wang L, Li L, Young K, et al. New agents and regimens for difuse large B cell lymphoma. J Hematol Oncol. 2020;13:175. doi: 10.1186/s13045-020-01011-z
- Капланов К.Д., Волков Н.П., Клиточенко Т.Ю., и др. Результаты анализа регионального регистра пациентов с диффузной В-крупноклеточной лимфомой: факторы риска и проблемы иммунохимиотерапии. Клиническая онкогематология. 2019;12(2):154-64 [Kaplanov KD, Volkov NP, Klitochenko TYu, et al. Analysis Results of the Regional Registry of Patients with Diffuse Large B-cell Lymphoma: Risk Factors and Chemommunotherapy Issues. Klinicheskaya Onkogematologiya. 2019;12(2):154-64 (in Russian)]. doi: 10.21320/2500-2139-2019-12-2-154-164
- Шардаков В.И., Сухорукова Э.Е. Биологическое и клиническое значение проявлений апоптоза у людей. Киров, 2019. С. 5-78 [Shardakov VI, Sukhorukova EE. Biological and clinical significance of apoptosis manifestations in humans. Kirov, 2019. P. 5-78 (in Russian)].
- Sevrioukova I. Apoptosis-inducing factor: structure, function, and redox regulation. Antioxid Redox Signal. 2011;14(12):2545-79. doi: 10.1089/ars.2010.3445
- Фадеева Н.П., Антипова Н.В., Шендер В.О., и др. Определение белков наружной мембраны митохондрий, взаимодействующих с белком AIF. Asta Naturae. 2018;10(4):100-9 [Fadeeva NP, Antipova NV, Shender VO, et al. Identification of mitochondrial outer membrane proteins interacting with AIF protein. Asta Naturae. 2018;10(4):100-9 (in Russian)]. doi: 10.32607/20758251-2018-10-4-100-109
- Дятлова А.С., Дудков А.В., Линькова Н.С., и др. Молекулярные маркеры каспазо-зависимого и митохондриального апоптоза: роль в развитии патологии и в процессе клеточного старения. Успехи современной биологии. 2018;138(2):126-37 [Dyatlova AS, Dudkov AV, Linkova NS, et al. Molecular markers of caspase-dependent and mitochondrial apoptosis: role in the development of pathology and in the process of cell aging. Advances in Modern Biology. 2018;138(2):126-37 (in Russian)]. doi: 10.7868/S0042132418020023
- Banoa D, Prehn J. Apoptosis-Inducing Factor (AIF) in Physiology and Disease: The Tale of a Repented Natural Born Killer. EBio Medicine. 2018;30:29-37. doi: 10.1016/j.ebiom.2018.03.016
- Letkovska K, Babal P, Cierna Z, et al. Prognostic Value of Apoptosis-Inducing Factor (AIF) in Germ Cell Tumors. Cancers. 2021;13(4):776. doi: 10.3390/cancers13040776
- Xing Y, Li Y, Hu B, et al. PAK5-mediated AIF phosphorylation inhibits its nuclear translocation and promotes breast cancer tumorigenesis. Int J Biol Sci. 2021;17(5):1315-27. doi: 10.7150/ijbs.58102
- Perraud A, Akil H, Nouaille M, et al. Expression of p53 and DR5 in normal and malignant tissues of colorectal cancer: correlation with advanced stages. Oncol Rep. 2011;26:1091-7. doi: 10.3892/or.2011.1404
- Cabon L, Bertaux A, Brunelle-Navas M, et al. AIF loss deregulates hematopoiesis and reveals different adaptive metabolic responses in bone marrow cells and thymocytes. Cell Death Differ. 2018;25:983-1001. doi: 10.1038/s41418-017-0035-x
- Delavallée L, Mathiah N, Cabon L, et al. Mitochondrial AIF loss causes metabolic reprogramming, caspase-independent cell death blockade, embryonic lethality, and perinatal hydrocephalus. Mol Metab. 2020;40:101027. doi: 10.1016/j.molmet.2020.101027
- Troutaud D, Petit B, Bellanger C, et al. Prognostic significance of BAD and AIF apoptotic pathways in diffuse large B-cell lymphoma. Clin Lymphoma Myeloma Leuk. 2010;10(2):118-24. doi: 10.3816/CLML.2010.n.016
- Cardama A, Qiu Yi H, Post S, et al. Phase Protein Array Profiling Reveals Distinct Proteomic Signatures Associated With Chronic Myeloid Leukemia Progression and With Chronic Phase in the CD34-Positive Compartment. Cancer. 2012;118(21):5283-92. doi: 10.1002/cncr.27568
- Ванеева Е.В., Росин В.А., Дьяконов Д.А., и др. Оценка прогностического значения экспрессии pSTAT3 при диффузной В-крупноклеточной лимфоме на российской выборке пациентов. Сибирский научный медицинский журнал. 2019;39(5):125-33 [Vaneeva EV, Rosin VA, Dyakonov DA, et al. Evaluation of the prognostic value of pSTAT3 expression in diffuse B-large cell lymphoma in a Russian sample of patients. Siberian Scientific Medical Journal. 2019;39(5):125-33 (in Russian)]. doi: 10.20538/1682-0363-2021-3-13-20
- Ванеева Е.В., Росин В.А., Дьяконов Д.А., и др. Значение экспрессии рАКТ1 при диффузной В-крупноклеточной лимфоме. Бюллетень сибирской медицины. 2021;3:6-13 [Vaneeva EV, Rosin VA, Dyakonov DA, et al. Significance of pAKT1 expression in diffuse large B-cell lymphoma. Bulletin of Siberian Medicine. 2021;3:6-13 (in Russian)]. doi: 10.20538/1682-0363-2021-3-13-20
- Artus C, Boujrad H, Bouharrour A, et al. AIF promotes chromatinolysis and caspase-independent programmed necrosis by interacting with histone H2AX. EMBO J. 2010;29(9):1585-99. doi: 10.1038/emboj.2010.43
Дополнительные файлы
 
				
			 
						 
					 
						 
				
 
  
  
  Отправить статью по E-mail
			Отправить статью по E-mail 



