Vaping use-associated lung injury in a teenager. Case report
- Authors: Ozerskaia I.V.1, Malakhov A.B.1, Sedova A.Y.1, Denisova V.D.1, Barinova V.A.1, Grebeneva I.V.1
-
Affiliations:
- Sechenov First Moscow State Medical University (Sechenov University)
- Issue: Vol 96, No 1 (2024): Outpatient care issues and organization of medical care
- Pages: 53-57
- Section: Case reports
- Submitted: 01.06.2023
- Published: 25.01.2024
- URL: https://ter-arkhiv.ru/0040-3660/article/view/472069
- DOI: https://doi.org/10.26442/00403660.2024.01.202561
- ID: 472069
Cite item
Full Text
Abstract
In the last 10–15 years, especially among young people, there has been an increase in the prevalence of vaping, which partially replaces the smoking of conventional cigarettes. The chemicals in vape liquids can provoke the development of non-infectious inflammatory pneumonitis. Symptoms of the disease usually appear within a few months after the start of smoking electronic cigarettes. Vape-associated lung disease is a clinical diagnosis and is established after the exclusion of other respiratory diseases. The article describes a clinical case of vape-associated lung injury in a 17-year-old teenager.
Keywords
Full Text
Список сокращений
КТ – компьютерная томография
МОС – максимальная объемная скорость воздуха
ОГК – органы грудной клетки
ОФВ1 – объем форсированного выдоха за 1-ю секунду
ФЖЕЛ – форсированная жизненная емкость легких
ЭС – электронные сигареты
Ig – иммуноглобулин
Введение
Курение во всем мире является серьезной медико-социальной и экономической проблемой. Ежегодно от последствий курения погибают около 6 млн человек [1]. Несмотря на многочисленные исследования, подтверждающие негативное воздействие никотина на организм, организацию мер по профилактике курения, запрет на продажу табачной продукции несовершеннолетним, курение и его последствия остаются актуальной проблемой медицины, в том числе педиатрии.
В последние 10–15 лет, особенно среди молодежи, отмечается увеличение распространенности вейпинга, который частично вытесняет курение обычных сигарет. Вейпинг – парение, процесс курения электронных сигарет (ЭС), испарителей и других подобных устройств, которые состоят из атомайзера (испарителя), аккумулятора и картриджа с жидкостью. Под действием электрического тока происходит нагрев и превращение жидкости в аэрозоль, который человек затем вдыхает.
Основой жидкости для ЭС являются растворители – глицерин и пропиленгликоль. В большинстве случаев в состав жидкости также входит никотин и различные ароматизаторы. Нормы изготовления и состава жидкостей для ЭС не установлены, они могут содержать значительную концентрацию вредных веществ [2].
Вейпинг начал распространяться с 2000-х годов, сначала в странах Северной Америки как средство, помогающее отказаться от курения обычных сигарет. Скачок популярности вейпинга произошел в 2013–2015 гг., что было связано с появлением новых ароматизаторов, агрессивной рекламой ЭС среди молодежи и продвижением идеи безопасности вейпинга [3].
Из-за относительной новизны вейпинга пока нет достаточного количества данных о его долгосрочном воздействии на здоровье [2, 3]. Многие считают вейп безопасной альтернативой курению обычных сигарет, но в 2016 г. Рамочная конвенция ВОЗ по борьбе с табаком отметила токсическое воздействие ЭС на организм человека [1].
В парах ЭС обнаружено более 30 химических соединений, в том числе окись пропилена и глицидол, которые являются вероятными канцерогенами [4]. В аэрозолях ЭС также могут содержаться нитрозамины, альдегиды, металлы, летучие органические соединения, фенольные соединения, полициклические ароматические углеводороды, алкалоиды табака, ароматизаторы и наркотические вещества [5]. Аэрозоль ЭС вызывает окислительный стресс и воспалительную реакцию респираторного эпителия, гибель эпителиальных клеток, нарушает работу иммунной системы [6, 7]. Цитотоксичность аэрозолей ЭС коррелирует с количеством вкусовых добавок [8]. При нагревании пропиленгликоля и глицерина происходит высвобождение акролеина и формальдегида. Акролеин раздражает слизистые оболочки глаз и дыхательных путей, а также обладает мутагенным свойством. Формальдегид, помимо перечисленного, негативно влияет на центральную нервную систему [4]. Ароматизаторы, используемые в жидкостях для ЭС, могут приводить к развитию аллергических реакций, а также обострению заболеваний у людей с хронической патологией респираторного тракта [9].
Вейпинг может провоцировать развитие острых и хронических заболеваний легких [8]. Заболевание легких, связанное с использованием ЭС, в англоязычной литературе получило название EVALI (e-cigarette, or vaping, product use-associated lung injury). В русскоязычной литературе предлагается использовать термины ПЛАВЭС (повреждение легких, ассоциированное с вейпингом и электронными сигаретами), «болезнь вейперов», «вейп-ассоциированное поражение легких» [5]. EVALI – это неинфекционный воспалительный пневмонит, вызванный ингаляцией химических веществ, входящих в состав аэрозоля ЭС, который запускает иммунный ответ [3].
Первые случаи поражения легких у вейперов зафиксированы еще в 2012 г. [10]. К 2019 г. в США зарегистрировано 142 случая EVALI; в период с 2019 по 2020 г. в США и Канаде – примерно 3 тыс. случаев EVALI, 15% пациентов были младше 18 лет [3]. В 2019–2020 гг. в США госпитализированы более 2800 пациентов с EVALI (большинство пациентов были в возрасте от 18 до 24 лет), 2,4% случаев закончились летальным исходом [5, 11].
Особенно часто «болезнь вейперов» развивалась при использовании ЭС с тетрагидроканнабинолом и ацетатом витамина E. Сроки возникновения симптомов заболевания могут различаться, но, как правило, появляются в течение нескольких месяцев после начала курения ЭС [12].
Для EVALI характерны такие симптомы, как похудение, лихорадка, одышка, боль в грудной клетке, кашель и кровохарканье, тахипноэ, тахикардия. Возможны симптомы со стороны желудочно-кишечного тракта (боль в животе, рвота, диарея). При тяжелом поражении легких пациенты нуждаются в дотации кислорода, а в некоторых случаях – в искусственной вентиляции легких (ИВЛ) [5].
В отечественной литературе имеются единичные сообщения о вейп-ассоциированном поражении легких, что и определило актуальность нашей работы.
Описание клинического случая
Девочка-подросток 17 лет поступила в пульмонологическое отделение Сеченовского центра материнства и детства Первого МГМУ им. И.М. Сеченова в апреле 2022 г. с жалобами на одышку при минимальной физической нагрузке, эпизоды затрудненного дыхания, сопровождающиеся дистанционными свистящими хрипами, головокружением, выраженными головными болями.
Семейный анамнез отягощен по атопическим заболеваниям у родственников 1-й линии: у матери – атопический дерматит, поллиноз; у младшего брата – аллергический ринит. Со слов матери, курящих в семье нет. Аллергоанамнез у ребенка: медикаментозной и пищевой аллергий не отмечено, однако весной и осенью беспокоит ринит, зуд глаз.
Анамнез заболевания. С 2017 г. у девочки отмечались рецидивирующие эпизоды бронхиальной обструкции, которые возникали 5–6 раз в год, чаще в осенний и весенний периоды, и всегда сопровождались дистанционными свистящими хрипами и экспираторной одышкой. Получала ингаляции ипратропия бромида с фенотеролом с положительным эффектом.
Один из эпизодов в 2019 г. потребовал вызова бригады скорой медицинской помощи в связи с некупировавшейся экспираторной одышкой на фоне проводимой ингаляционной бронхолитической терапии. Девочка была экстренно госпитализирована с дыхательной недостаточностью 2-й степени. При поступлении: частота дыхательных движений – 30 в минуту. Сатурация кислорода 93%. Аускультативно: множественные свистящие хрипы по всем полям легких. Получала преднизолон внутривенно, цефтриаксон, будесонид 1000 мкг/сут + ипратропия бромид + фенотерол, с положительным эффектом. Выписана с диагнозом: «бронхиальная астма, среднетяжелое течение, обострение».
Амбулаторно проведено дополнительное обследование: функция внешнего дыхания в норме (объем форсированного выдоха за 1-ю секунду – ОФВ1 103%, форсированная жизненная емкость легких – ФЖЕЛ 96%), проба с сальбутамолом отрицательная. Иммуноглобулин (Ig)E общий 480 МЕ/мл. IgЕ специфические: высокий уровень – клещи домашней пыли, средний уровень – сорные травы. Рекомендована базисная терапия – монтелукаст, будесонид/формотерол 80/4,5 мкг 2 раза в день на 3 мес, на фоне которой эпизоды бронхообструкции не беспокоили.
До 2019 г. в течение 7 лет занималась танцами, но была вынуждена прекратить занятия в связи с жалобами на выраженную одышку во время тренировок. С 2020 г. стала беспокоить одышка при минимальной физической нагрузке (быстрой ходьбе, подъеме по лестнице), сильные головные боли, головокружение, эпизоды затрудненного дыхания до 4–5 раз в неделю, которые купировались ингаляцией сальбутамола. С 2022 г. начала заниматься йогой, однако через 2 мес прекратила тренировки в связи с усилением одышки во время занятий. В апреле 2022 г. отмечено ухудшение состояния в виде выраженной заложенности носа, зуда глаз, учащения эпизодов затрудненного дыхания. Девочка была госпитализирована в пульмонологическое отделение Сеченовского центра материнства и детства.
В отделении проведено обследование с уточнением анамнеза жизни и заболевания. В общем анализе крови: эозинофилия (9,1%, 810 кл/мкл). IgЕ общий 381 ME/мл (норма до 87 ME/мл). IgE специфические – поливалентная сенсибилизация к клещу домашней пыли, сорным травам. Тиреотропный гормон, тироксин свободный – норма. Панель на респираторные вирусы – отрицательно. Антитела IgM, IgG к Mycoplasma pneumoniae, Klebsiella pneumoniae, пневмоцистам – отрицательно. Антитела IgM, IgG к SARS-CoV-2 –отрицательно. Антитела к гепатитам С, В, ВИЧ – отрицательно. Результат эхокардиографии – норма. Спирография с сальбутамолом: ОФВ1 103–108% (прирост на 5%), ФЖЕЛ 96–94%, пиковая объемная скорость выдоха 86–84%, ОФВ1/ФЖЕЛ 91–97% (прирост на 7%), максимальная объемная скорость воздуха – МОС50 82–116% (прирост на 42%), МОС25–75 95–130% (прирост на 37%), МОС75 79–111% (прирост на 41%).
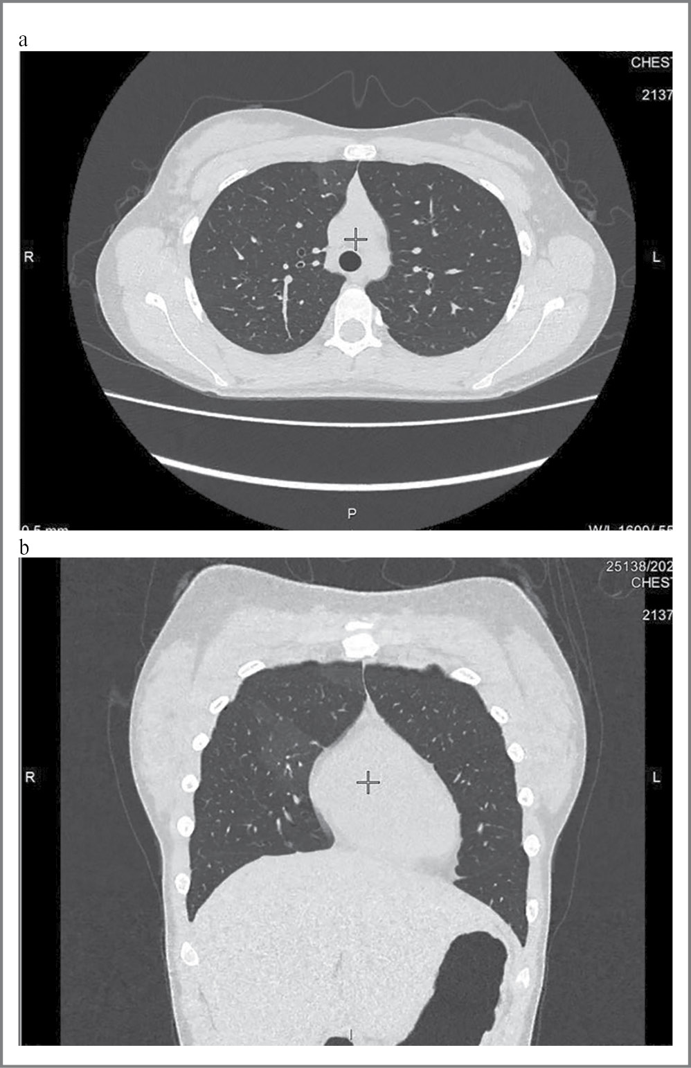
Компьютерная томография органов грудной клетки (КТ ОГК): участки полисегментарного уплотнения легочной ткани в обоих легких (в SIII, SV,VI справа и SVI слева определяются неправильной формы зоны уплотнения легочной ткани по типу «матового стекла»); рис. 1, a, b.
Рис. 1. КТ органов грудной клетки: a – аксиальный срез; b – корональный срез.
После выявления изменений на КТ ОГК проведена дополнительная беседа с подростком, в ходе которой выяснилось, что девочка в течение 4 лет (с 2017 г.) использует вейпинг. Пациентка тщательно скрывала вредную привычку от родителей и врачей, что затруднило сбор анамнеза при поступлении.
Диагноз: «Вейп-ассоциированное поражение легких. Бронхиальная астма, аллергическая, среднетяжелое течение. Аллергический риносинусит, интермиттирующее течение». Получала будесонид 1500 мкг/сут + ипратропия бромид + фенотерол. Выписана с положительной динамикой. Строго рекомендовано прекратить вейпинг, а также продолжить ингаляции будесонида 1500 мкг/сут и Атровент в течение 6 мес. На этом фоне одышка купировалась, однако при пропуске ингаляций возникали эпизоды затрудненного дыхания.
В октябре 2022 г. повторно поступила в пульмонологическое отделение для оценки эффективности проводимой терапии и проведения контрольной КТ ОГК. Отмечается стойкая положительная динамика клинической картины, одышки во время физической нагрузки нет. Объективно: сатурация 98%, одышки нет. При аускультации легких хрипов нет. Носовое дыхание свободное.
КТ ОГК: патологических изменений в легких не выявлено. На фоне проводимой терапии отмечается разрешение участков уплотнения легочной ткани по типу «матового стекла».
Спирография: ОФВ1 95–108% (прирост на 13%), ФЖЕЛ 95–95%, пиковая объемная скорость выдоха 80–80%, ОФВ1/ФЖЕЛ 86–96% (прирост на 12%), МОС50 65–82% (прирост на 25%), МОС25–75 76–114% (прирост на 50%), МОС75 61–114% (прирост на 88%).
В связи с наличием у ребенка бронхиальной астмы среднетяжелого течения в качестве базисной терапии рекомендовано: тиотропия бромид 2,5 мкг по 2 дозы утром и будесонид/формотерол 160/4,5 мкг по 1 дозе 2 раза в день.
В марте 2023 г. девочка осмотрена амбулаторно: активных жалоб не предъявляет. При осмотре: одышки, хрипов нет. Сатурация 99%. Рекомендовано продолжить ингаляционную терапию в полном объеме до конца мая, в конце мая рекомендован повторный амбулаторный контроль для решения вопроса о возможности сокращения объема терапии.
Результаты и обсуждение
В последние годы во всем мире нарастает популярность ЭС среди подростков [13]. В США использование ЭС среди старшеклассников увеличилось с 1,5% в 2011 г. до 20,8% в 2018 г., а среди учащихся средних школ ‒ с 0,6% в 2011 г. до 4,9% в 2018 г. [5]. ЭС являются самым распространенным табачным изделием у молодежи. В 2017–2019 гг. доля регулярных курильщиков ЭС составляла от 0,7% среди японских школьников до 18,4% среди украинских, при среднем показателе в 22 странах 8,1% [14]. Большинство вейперов (83%) предпочитают ароматизированные ЭС: чаще всего с фруктовым и мятным ароматами [15]. Из пробовавших вейпинг 87% использовали никотинсодержащие жидкости [3].
Популярность ЭС среди молодежи во многом связана со вкусовыми добавками, а не стремлением бросить курить. Одной из главных причин распространения ЭС в России являлось полное отсутствие контроля их продажи и рекламы до 2020 г., а также возможность курить ЭС в общественных местах в отличие от обычных сигарет. C 2020 г. в России ЭС приравнивают к табачной продукции с соответствующим запретом на использование в общественных местах, их рекламы и свободной выкладки данного товара.
По результатам проведенного Всемирной организацией здравоохранения глобального исследования употребления табака среди молодежи Global Youth Tobacco Survey, в России в 2015 г. доля потребителей ЭС среди школьников 13–15 лет составила в среднем по стране 8,5%: 10,3% среди мальчиков и 6,5% – среди девочек, в Москве – 14,5%: 15,7% среди мальчиков и 13,4% – среди девочек [16].
Вейп-ассоциированное поражение легких является клиническим диагнозом и устанавливается после исключения других болезней органов дыхания. Для диагностики EVALI очень важен тщательный сбор анамнеза. Характерных лабораторных признаков EVALI нет. Наиболее частым признаком на рентгенограммах и компьютерных томограммах являются различные паттерны организующейся пневмонии, а также паттерны диффузного альвеолярного повреждения (участки «матового стекла»).
Критериями постановки диагноза EVALI являются следующие [5, 17]:
- Использование ЭС или вейпов в течение предыдущих 90 дней (однократное или регулярное).
- Снижение пневматизации легких на обзорной рентгенограмме ОГК (диффузное снижение пневматизации или консолидация) или КТ (симптом «матового стекла» или консолидация).
- Исключение инфекции респираторного тракта:
- полимеразная цепная реакция или экспресс-тест на грипп;
- респираторная вирусная панель;
- респираторные инфекции (Legionella spp., Streptococcus pneumoniae и др.);
- оппортунистические респираторные инфекции, связанные с ВИЧ (при необходимости).
- Отсутствие альтернативного диагноза.
Сложности диагностики вейп-ассоциированного поражения легких связаны как с недооценкой распространенности состояния, так и с отсутствием патогномоничных симптомов [10].
Единые рекомендации по терапии вейп-ассоциированного поражения легких отсутствуют. В настоящее время не существует оптимальной схемы лечения «болезни вейперов». Главным принципом терапии является устранение повреждающего действия ЭС – полное прекращение вейпинга. Поддерживающая терапия заключается в проведении кислородотерапии через носовые канюли при уровне насыщения крови кислородом ниже 92%, при необходимости – проведение искусственной вентиляции легких. Кроме того, согласно данным последних зарубежных и отечественных публикаций, рекомендовано применение ингаляционных глюкокортикостероидов в высокой дозе (1000–2000 мкг/сут) в комбинации с бронхолитической терапией. Данных о естественном развитии EVALI и долгосрочных последствиях пока недостаточно [5, 18].
В данном клиническом случае поставить верный диагноз девочке-подростку с предрасположенностью к аллергическим состояниям удалось благодаря дополнительному повторному тщательному сбору анамнеза, т.к. выявленные изменения на КТ легких не были характерны для бронхиальной астмы. На фоне проводимой терапии наблюдалась отчетливая положительная динамика как клинической картины, так и КТ-картины легких.
Заключение
Необходимо повышать информированность врачей о вейп-ассоциированном поражении легких с целью своевременной диагностики и раннего назначения терапии, а также проведения профилактических мероприятий. Следует также расширить информирование о вреде вейпинга среди подростков с привлечением семьи, школы, медицинских работников. Необходимы законодательные возрастные ограничения на реализацию устройств для вейпинга, а также строгий государственный контроль за содержанием и маркировкой ЭС.
В апреле 2023 г. принят Федеральный закон №178-ФЗ от 28.04.2023 о запрете продажи несовершеннолетним вейпов, в том числе без содержания никотина [19]. В документе, помимо ограничения продажи устройств, прописано также ограничение их рекламы и дистанционной торговли ЭС.
Педиатрам важно проявлять бдительность в отношении использования ЭС как у подростков, так и у детей других возрастных групп: выявлять это в профессиональной беседе, а также с использованием специальных опросников.
Раскрытие интересов. Авторы декларируют отсутствие явных и потенциальных конфликтов интересов, связанных с публикацией настоящей статьи.
Disclosure of interest. The authors declare that they have no competing interests.
Вклад авторов. Авторы декларируют соответствие своего авторства международным критериям ICMJE. Все авторы в равной степени участвовали в подготовке публикации: разработка концепции статьи, получение и анализ фактических данных, написание и редактирование текста статьи, проверка и утверждение текста статьи.
Authors’ contribution. The authors declare the compliance of their authorship according to the international ICMJE criteria. All authors made a substantial contribution to the conception of the work, acquisition, analysis, interpretation of data for the work, drafting and revising the work, final approval of the version to be published and agree to be accountable for all aspects of the work.
Источник финансирования. Авторы декларируют отсутствие внешнего финансирования для проведения исследования и публикации статьи.
Funding source. The authors declare that there is no external funding for the exploration and analysis work.
Информированное согласие на публикацию. Авторы получили письменное согласие законных представителей пациента на анализ и публикацию медицинских данных и фотографий.
Consent for publication. The authors obtained the written consent of the patient's legal representatives for the analysis and publication of medical data and photographs.
About the authors
Irina V. Ozerskaia
Sechenov First Moscow State Medical University (Sechenov University)
Author for correspondence.
Email: ozerskaya_i_v@staff.sechenov.ru
ORCID iD: 0000-0001-6062-5334
кандидат медицинских наук, доц. кафедры детских болезней Клинического института детского здоровья им. Н.Ф. Филатова
Russian Federation, MoscowAlexander B. Malakhov
Sechenov First Moscow State Medical University (Sechenov University)
Email: alexis4591m@mail.ru
ORCID iD: 0000-0002-2686-8284
доктор медицинских наук, профессор кафедры детских болезней Клинического института детского здоровья им. Н.Ф. Филатова
Russian Federation, MoscowAlyona Yu. Sedova
Sechenov First Moscow State Medical University (Sechenov University)
Email: alyonakhiger@yandex.ru
ORCID iD: 0000-0003-0381-6702
врач-пульмонолог пульмонологического отделения Сеченовского центра материнства и детства, аспирант кафедры детских болезней Клинического института детского здоровья им. Н.Ф. Филатова
Russian Federation, MoscowVeronika D. Denisova
Sechenov First Moscow State Medical University (Sechenov University)
Email: veronikad_91@list.ru
ORCID iD: 0000-0002-4033-6380
кандидат медицинских наук, врач-пульмонолог пульмонологического отделения Сеченовского центра материнства и детства
Russian Federation, MoscowVeronika A. Barinova
Sechenov First Moscow State Medical University (Sechenov University)
Email: Bariiinova@gmail.com
ORCID iD: 0009-0008-6611-5528
студентка V курса Института клинической медицины им. Н.В. Склифосовского
Russian Federation, MoscowIrina V. Grebeneva
Sechenov First Moscow State Medical University (Sechenov University)
Email: iring@rambler.ru
ORCID iD: 0009-0008-9212-6917
кандидат медицинских наук, зав. пульмонологическим отд-нием Сеченовского центра материнства и детства
Russian Federation, MoscowReferences
- Tobacco. World Health Organization. Available at: https://www.who.int/news-room/fact-sheets/detail/tobacco. Accessed: 30.09.2023.
- Профилактика табакокурения у детей и подростков – проблемы современности. Практическое руководство. Под ред. Н.А. Геппе, И.М. Османова, Н.Ф. Герасименко, и др. M.: МедКом-Про, 2020 [Profilaktika tabakokureniia u detei i podrostkov – problemy sovremennosti. Prakticheskoe rukovodstvo. Pod red. NA Geppe, IM Osmanova, NF Gerasimenko, et al. Moscow: MedKom-Pro, 2020 (in Russian)].
- Chadi N, Vyver E, Bélanger RE. Protecting children and adolescents against the risks of vaping. Paediatr Child Health. 2021;26(6):358-74. doi: 10.1093/pch/pxab037
- Sleiman M, Logue JM, Montesinos VN, et al. Emissions from electronic cigarettes: Key parameters affecting the release of harmful chemicals. Environ Sci Technol. 2016;50(17):9644-51. doi: 10.1021/acs.est.6b01741
- Карпенко М.А., Овсянников Д.Ю., Фролов П.А., и др. Повреждение легких, ассоциированное с вейпингом и электронными сигаретами. Туберкулез и болезни легких. 2022;100(4):52-61 [Karpenko MА, Ovsyannikov DYu, Frolov PА, et al. E-cigarette or vaping use-associated lung injury. Tuberculosis and Lung Diseases. 2022;100(4):52-61 (in Russian)]. doi: 10.21292/2075-1230-2022-100-4-52-61
- Ween MP, Moshensky A, Thredgold L, et al. E-cigarettes and health risks: More to the flavor than just the name. Am J Physiol Lung Cell Mol Physiol. 2021;320(4):L600-14. doi: 10.1152/ajplung.00370.2020
- Reinikovaite V, Rodriguez IE, Karoor V, et al. The effects of electronic cigarette vapour on the lung: Direct comparison to tobacco smoke. Eur Respir J. 2018;51(4):1701661. doi: 10.1183/13993003.01661-2017
- Ghosh A, Coakley RC, Mascenik T, et al. Chronic e-cigarette exposure alters the human bronchial epithelial proteome. Am J Respir Crit Care Med. 2018;198:67-76. doi: 10.1164/rccm.201710-2033OC
- Di Cicco M, Sepich M, Beni A, et al. How e-cigarettes and vaping can affect asthma in children and adolescents. Curr Opin Allergy Clin Immunol. 2022;22(2):86-94. doi: 10.1097/ACI.0000000000000807
- Пальмова Л.Ю., Зиннатуллина А.Р., Кулакова Е.В. Поражения легких, вызванные вейпами: новые вызовы и новые решения (обзор литературы). Лечащий врач. 2022;25(10):6-10 [Palmova LYu, Zinnatullina AR, Kulakova EV. Lung lesions caused by vaping: new challenges and new solutions (literature review). Lechaschi Vrach. 2022;10(25):6-10 (in Russian)]. doi: 10.51793/OS.2022.25.10.001
- Hayes D Jr, Board A, Calfee CS, et al. Pulmonary and critical care considerations for e-cigarette, or vaping, product use-associated lung injury. Chest. 2022;162(1):256-64. doi: 10.1016/j.chest.2022.02.039
- Deliwala S, Sundus S, Haykal T, et al. E-cigarette, or Vaping, Product Use-associated Lung Injury (EVALI): Acute lung illness within hours of switching from traditional to e-cigarettes. Cureus. 2020;12(4):e7513. doi: 10.7759/cureus.7513
- Гамбарян М.Г. Вся правда об электронных сигаретах: российская реальность. Часть I. Электронные сигареты – угроза для людей и антитабачной политики в России. Актуальность правового регулирования. Профилактическая медицина. 2019;22(5):7-15 [Gambarian MG. The whole truth of electronic cigarettes: the Russian reality. Part I. Electronic cigarettes a threat to people and Tobacco control policy in Russia. Urgency for legal regulation. Profilakticheskaya Meditsina. 2019;22(5):7-15 (in Russian)]. doi: 10.17116/profmed2019220517
- Electronic Nicotine and Non-Nicotine Delivery Systems. World Health Organization. 2020. Available at: https://apps.who.int/iris/handle/10665/350474. Accessed: 30.09.2023.
- Wang TW, Neff LJ, Park-Lee E, et al. E-cigarette use among middle and high school students – United States, 2020. MMWR Morb Mortal Wkly Rep. 2020;69(37):1310-2. doi: 10.15585/mmwr.mm6937e1
- Гамбарян М.Г., Драпкина О.М. Распространенность потребления табака в России: динамика и тенденции. Анализ результатов глобальных и национальных опросов. Профилактическая медицина. 2018;21(5):45-62 [Gambarian MG, Drapkina OM. Prevalence of tobacco consumption in Russia: Dynamics and trends. Analysis of global and national survey results. Profilakticheskaya Meditsina. 2018;21(5):45-62 (in Russian)]. doi: 10.17116/profmed20182105145
- Schier JG, Meiman JG, Layden J, et al; CDC 2019 Lung Injury Response Group. Severe pulmonary disease associated with electronic-cigarette-product use – Interim guidance. MMWR Morb Mortal Wkly Rep. 2019;68(36):787-90. doi: 10.15585/mmwr.mm6836e2
- Jatlaoui TC, Wiltz JL, Kabbani S, et al. Update: Interim guidance for health care providers for managing patients with suspected e-cigarette, or vaping, product use-associated lung injury – United States, November 2019. MMWR Morb Mortal Wkly Rep. 2019;68:1081-6. doi: 10.15585/mmwr.mm6846e2externalicon
- О внесении изменений в отдельные законодательные акты Российской Федерации. Федеральный закон от 28 апреля 2023 г. №178-ФЗ. Режим доступа: https://www.garant.ru/products/ipo/prime/doc/406712309/?ysclid=lrago2dr21850311729. Ссылка активна на 30.05.2023 [O vnesenii izmenenii v otdel'nye zakonodatel'nye akty Rossiiskoi Federatsii. Federal'nyi zakon ot 28 aprelia 2023 g. №178-FZ. Available at: https://www.garant.ru/products/ipo/prime/doc/406712309/?ysclid=lrago2dr21850311729. Accessed: 30.05.2023 (in Russian)].
Supplementary files




