Long-COVID, severe course, with congenital bronchiectasis, Williams–Campbell syndrome. Case report
- Authors: Pribylov S.A.1,2, Maslova T.A.2, Pribylov V.S.1, Leonidova K.O.1,2, Pribylova N.N.1, Kuts A.P.1
-
Affiliations:
- Kursk State Medical University
- Kursk Regional Multi-Purpose Clinical Hospital
- Issue: Vol 96, No 11 (2024): Инфекционные заболевания
- Pages: 1089-1095
- Section: Case reports
- Submitted: 31.05.2023
- Accepted: 29.07.2024
- Published: 16.12.2024
- URL: https://ter-arkhiv.ru/0040-3660/article/view/472061
- DOI: https://doi.org/10.26442/00403660.2024.11.202997
- ID: 472061
Cite item
Full Text
Abstract
We present a clinical observation of an 18-year-old female patient with congenital bronchiectasis combined with congenital cystic degeneration of the upper lobes of both lungs, Williams–Campbell syndrome, long-COVID, severe course. The patient was treated in infectious disease department (three times), with subsequent transfer to pulmonology department of Kursk Regional Multi-Purpose Clinical Hospital from 31.01.2023 to 02.05.2023. The patient was going to have lung transplantation, registered in Shumakov Federal Research Center of Transplantology and Artificial Organs earlier. The patient was transported by air ambulance escorted by the resuscitation team to the Shumakov Federal Research Center of Transplantology and Artificial Organs on 02.05.2023 with negative PCR COVID-19 test. The literature data on the frequency of association of these diseases, clinical features, criteria for diagnosis and treatment, indications for lung transplantation are presented.
Full Text
Список сокращений
АЛТ – аланинаминотрансфераза
АСТ – аспартатаминотрансфераза
АЧТВ – активированное частичное тромбопластиновое время
ДН – дыхательная недостаточность
КТ– компьютерная томография
МНО – международное нормализованное отношение
ОГК – органы грудной клетки
ПЦР – полимеразная цепная реакция
СОЭ – скорость оседания эритроцитов
СРБ – С-реактивный белок
ОРИТ – отделение реанимации и интенсивной терапии
УЗИ – ультразвуковое исследование
Введение
Врожденная бронхоэктазия в сочетании с кистозной дегенерацией легких представляет собой хроническое воспаление дыхательных путей со стойкой деформацией и расширением бронхов и выделением обильной гнойной мокроты [1, 2]. Для установления причины прогрессирования этого заболевания необходимо оценивать внутриутробный период развития ребенка и наличие инфекций, перенесенных матерью во время данной беременности. Бронхоэктазы, как правило, имеют тенденцию к утяжелению течения заболевания с возрастом. Также отмечено увеличение количества случаев бронхоэктазии у детей в связи с внедрением компьютерной томографии (КТ) во врачебную практику диагностики заболеваний дыхательной системы. В основе классификации данной группы заболеваний по этиологическому фактору лежит множество причин, например инфекционные агенты, иммунодефициты, системные ревматологические заболевания, а также генетическая предрасположенность [3].
Случаи врожденной бронхоэктазии регистрируются при аномалиях развития трахеобронхиального дерева, например при наследственном синдроме Вильямса–Кэмпбелла [4]. Эта патология диагностируется по данным КТ органов грудной клетки (ОГК), представляет собой врожденное генетически обусловленное заболевание со стороны дыхательной системы, а именно недоразвитие хрящей бронхов со II до VIII генерации [5]. Существует предположение об аутосомно-рецессивном наследовании порока, однако в настоящее время патологический ген не выделен. В большинстве случаев такой дефект бронхов имеет тенденцию к двустороннему распространению, хотя есть случаи и одностороннего поражения. В пользу врожденного происхождения синдрома Вильямса–Кэмпбелла говорит наличие однотипных поражений хрящей проксимальных бронхов и отсутствие повреждений иных элементов стенки бронхов [6]. Клинически это выражается проявлением бронхиальной обструкции, начиная с первых месяцев жизни ребенка, а также частым присоединением вторичной бронхопульмональной инфекции. Синдром Вильямса–Кэмпбелла может проявиться уже в раннем детстве выраженной одышкой при небольшой физической нагрузке, периодически свистящим дыханием, слышимым на расстоянии, и кашлем с гнойной мокротой. На начальных этапах эту болезнь можно ошибочно принять за обструктивный бронхит, пневмонию и даже приступы бронхиальной астмы [7, 8].
В настоящее время наиболее информативными методами диагностики заболевания являются бронхоскопия и КТ высокого разрешения, которые рекомендованы для использования при подозрении на мальформацию трахеобронхиального дерева [9]. В плане дообследования проводят бактериологические посевы крови, мокроты, потовые пробы и исследование генов на муковисцидоз, так как легочные проявления муковисцидоза схожи с клиникой бронхоэктатической болезни [10].
Основным методом лечения таких больных является медикаментозная терапия и хирургические вмешательства. Консервативная терапия направлена на борьбу с инфекцией, улучшение трахеобронхиальной проходимости и купирование проявлений бронхиальной обструкции. При хирургической тактике лечения используют операцию пульмонэктомию или резекцию части легкого.
Прогноз для выздоровления при данном синдроме неблагоприятный из-за угрозы развития легочного сердца и сердечно-легочной недостаточности. Такие осложнения зачастую приводят к инвалидности и смерти больного, а адекватные лечебные мероприятия лишь помогают замедлить прогрессирование заболевания. Поэтому в течение последних лет в тактику лечения больных с синдромом Вильямса–Кэмпбелла начали внедрять методику трансплантации, которая может проводиться в старшем возрасте [11]. Для хирургической операции по пересадке органов необходимы строгие показания, например прогрессирующая дыхательная недостаточность (ДН) на фоне врожденной бронхоэктазии легких в сочетании с врожденной кистозной дегенерацией. В настоящее время трансплантация легких является единственным способом лечения некоторых заболеваний в терминальной стадии. В особых случаях тяжелых хронических заболеваний требуется трансплантация целого сердечно-легочного комплекса. Несмотря на техническую сложность операции и необходимость длительного приема иммуностатических препаратов, такой метод лечения помогает продлить жизнь пациентов и значительно улучшить ее качество [12].
Клиническое наблюдение
Пациентка Л., 18 лет, находилась в инфекционном отделении №1 ОБУЗ КОМКБ с 31.01.2023 с диагнозом «коронавирусная инфекция тяжелого течения». После проведенного лечения госпитализирована в пульмонологическое отделение, с 07.02.2023 по 02.03.2023 – в отделение реанимации и интенсивной терапии (ОРИТ), в связи с положительным результатом теста полимеразной цепной реакции (ПЦР) на РНК SARS-CoV-2 №2782 от 02.03.2023 маршрутизирована в инфекционный центр. Повторно переведена в пульмонологическое отделение ОБУЗ КОМКБ 15.03.2023 в ОРИТ, затем в пульмонологическое отделение с 23.03.2023. Однако ПЦР-тест на РНК SARS-CoV-2 от 10.04.2023 положительный, больная третий раз (10.04.2023) госпитализирована в инфекционное отделение ОБУЗ КОМКБ. Переведена в пульмонологическое отделение ОБУЗ КОМКБ (ОРИТ) 23.04.2023. Воздушным транспортом по линии санавиации в сопровождении реанимационной бригады пациентка при отрицательном ПЦР-мазке на COVID-19 транспортирована 02.05.2023 в ФГБУ «НМИЦ ТИО им. акад. В.И. Шумакова».
Анамнез жизни
Ребенок от повторной беременности, протекающей на фоне уреаплазмоза, микоплазмоза, цитомегаловирусной инфекции. В периоде новорожденности лечилась в отделении патологии новорожденных с диагнозом «внутриутробная гипотрофия, задержка внутриутробного развития, гипоксически-ишемическое поражение центральной нервной системы». Инвалид 1-й группы. Учится в 11-м классе средней школы (домашнее обучение) на «хорошо» и «отлично».
Анамнез заболевания
Считает себя больной с 6-летнего возраста, когда стала переносить частые острые респираторные заболевания, бронхиты, пневмонии. Отмечалось отставание в физическом развитии.
Неоднократно с 2014 по 2022 г. (1–2 раза в год) проходила стационарное обследование и лечение в ОБУЗ «Областная детская клиническая больница» г. Курска по поводу тяжелого течения внебольничной пневмонии на фоне интерстициальной болезни легких, диффузного фиброза легких, двусторонних бронхоэктазов, ДН 2–3-й степени. Проконсультирована медицинским генетиком, выполнены потовые пробы NaCl – 44–47 ммоль/л (норма до 60 ммоль/л). Проведено исследование образца ДНК с целью поиска наиболее частых мутаций в гене CFTR, составляющих 68% от общего числа поврежденных хромосом. Изучаемых мутаций не обнаружено. Заключение: данных за муковисцидоз не получено. В феврале 2014 г. установлен диагноз «бронхиальная астма средней степени тяжести», назначена базисная терапия Симбикортом 160/4,5 мкг, на фоне которой сохранялись приступы одышки до 3–4 раз в неделю. Приступы купировались дополнительными ингаляциями Беродуала Н 20/50 мкг. В 2016 г. при дообследовании по данным КТ ОГК выявлен диффузный кистозный фиброз с формированием смешанных бронхоэктазов. Ежегодно с 2017 по 2020 г. проводилось стационарное обследование и лечение в НИИ им. Ю.Е. Вельтищева, ФГБОУ ВО «РНИМУ им. Н.И. Пирогова». Установлен диагноз «интерстициальная болезнь легких, диффузный фиброз легких, двусторонние бронхоэктазы, синдром Вильямса–Кэмпбелла, ДН 3-й степени». Назначена терапия преднизолоном 15–20 мг/сут, длительная оксигенотерапия в домашних условиях.
В 2021 г. проходила стационарное обследование и лечение в ФГБУ «НМИЦ ТИО им. акад. В.И. Шумакова». Диагноз «интерстициальное заболевание легких, бронхоэктатическая болезнь, двусторонние бронхоэктазы, фиброзно-кистозная трансформация легких, синдром Вильямса–Кэмпбелла, ДН 3-й степени, медикаментозный синдром Иценко–Кушинга». Пациентке проведено обследование в рамках программы подготовки к трансплантации легких, по результатам которого подтверждены показания к операции. При выписке запланировано включение в лист ожидания с февраля 2022 г. Рекомендовано проживание в трехчасовой транспортной доступности от ФГБУ «НМИЦ ТИО им. акад. В.И. Шумакова» на период пребывания в листе ожидания. Контрольное обследование каждые 3 мес по направлению 057/у.
Состояние больной ухудшилось 28.01.2023 после контакта с больными острой респираторной вирусной инфекцией родственниками. Отмечала повышение температуры тела до 37,5ºС, усиление одышки, кашля, выделение слизисто-гнойной мокроты. С 31.01.2023 по 07.02.2023 проведено стационарное лечение в ОРИТ инфекционного отделения ОБУЗ КОМКБ с диагнозом «тяжелое течение коронавирусной инфекции (положительный результат иммунохроматографического анализа на антиген к SARS-CoV-2 от 31.01.2023), двусторонняя полисегментарная пневмония смешанной этиологии на фоне врожденных двусторонних бронхоэктазов, фиброзно-кистозная трансформация легких, синдром Вильямса–Кэмпбелла, ДН 3-й степени, медикаментозный синдром Иценко–Кушинга».
Общий осмотр
Общее состояние тяжелое. Инфантильность. Внешне выглядит моложе своих лет, лицо одутловатое. Сознание ясное, во времени, пространстве и личности ориентирована. Положение тела вынужденное, ортопноэ: сидя с приподнятым изголовьем из-за одышки. Дефицит массы тела. Индекс массы тела 16,22 кг/м2 (рост 136 см, вес 30 кг). Кожные покровы и видимые слизистые оболочки бледно-цианотичного цвета, обычной влажности, чистые. Отеков нет. Периферические лимфатические узлы не пальпируются. Ногтевые фаланги в виде барабанных палочек, ногтевые пластины по типу часовых стекол (рис. 1). Температура тела от 37,8 до 39°С.
Рис. 1. Ногтевые фаланги в виде барабанных палочек, ногтевые пластины по типу часовых стекол.
Fig 1. Nail phalanges in the shape of drumsticks, nail plates in the type of clockwork glasses.
Дыхательная система
Инспираторная одышка. Частота дыхательных движений 32–36–40 в минуту. При аускультации легких: дыхание жесткое, рассеянные жужжащие хрипы на выдохе по всем легочным полям, мозаично влажные хрипы, сатурация (SPO2) 95% на фоне увлажненного O2 через лицевую маску с потоком 10–15 л/мин.
Сердечно-сосудистая система
При аускультации сердца: тоны сердца ритмичные, приглушены, акцент II тона над легочным стволом. Выслушивается трехчленный протодиастолический ритм галопа на верхушке, диастолический шум Грехема–Стилла над легочной артерией во втором межреберье слева, систолический шум у основания мечевидного отростка, усиливающийся на вдохе (симптом Риверо–Корвалло). Артериальное давление на обеих руках – 100/60 мм рт. ст., частота сердечных сокращений 120 в минуту.
Данные лабораторных и инструментальных исследований: при трактовке лабораторных анализов крови отмечается выраженная терминальная гипоксемия (pO2 51 мм рт. ст.) с гиперкапнией (pСO2 57 мм рт. ст.).
В общем анализе крови при поступлении 31.01.2023: гемоглобин 138 г/л, эритроциты 5,07×10¹²/л, тромбоциты 195×109/л, лейкоциты 17,9×109/л, лимфоциты 8,6%, моноциты 7,4%, палочкоядерные нейтрофилы 12%, скорость оседания эритроцитов (СОЭ) 44 мм/ч – высокий лейкоцитоз с палочкоядерным сдвигом влево, лимфопения, повышение СОЭ; 26.02.2023: гемоглобин 98 г/л, эритроциты 3,3×10¹²/л, тромбоциты 575×109/л, лейкоциты 19,1×109/л, лимфоциты 16%, моноциты 7%, палочкоядерные нейтрофилы 12%, СОЭ 64 мм/ч – анемия легкой степени тяжести, повышение лейкоцитоза и нарастание СОЭ, выраженный тромбоцитоз; 24.04.2023: гемоглобин 121 г/л, эритроциты 4,4×10¹²/л, тромбоциты 725×109/л, лейкоциты 22,8×109/л, лимфоциты 8%, моноциты 2%, палочкоядерные нейтрофилы 9%, СОЭ 52 мм/ч – повышение гемоглобина до нижней границы нормы, продолжающийся тромбоцитоз, нарастание лейкоцитоза, незначительное снижение СОЭ.
В биохимическом анализе крови 31.01.2023: общий белок 72,4 г/л, билирубин 18,1–3,8–14,3 ммоль/л, креатинин 70,4 ммоль/л, аланинаминотрансфераза (АЛТ) 16,8 ед/л, мочевина 5,4 мкмоль/л, аспартатаминотрансфераза (АСТ) 19,1 ед/л, глюкоза 7,1 ммоль/л, амилаза крови 420,7 ед/л, С-реактивный белок (СРБ) 236 мг/мл – подъем амилазы и уровня СРБ, незначительное увеличение показателя глюкозы; 26.02.2023: общий белок 82,3 г/л, билирубин 13,6–3,6–10,0 ммоль/л, креатинин 77,1 ммоль/л, АЛТ 9,3 ед/л, мочевина 2,9 мкмоль/л, АСТ 19,9 ед/л, глюкоза 3,8 ммоль/л, амилаза крови 546,3 ед/л, СРБ 117,1 мг/мл – повышение показателя амилазы, снижение уровня СРБ и глюкозы; 24.04.2023: общий белок 96,6 г/л, билирубин 15,9–5,2–10,7 ммоль/л, креатинин 80 ммоль/л, АЛТ 29,3 ед/л, мочевина 5,5 мкмоль/л, АСТ 43,9 ед/л, глюкоза 4,2 ммоль/л, амилаза крови 110 ед/л, СРБ 153 мг/мл – повышение АСТ, снижение амилазы, тенденция к увеличению уровня СРБ.
Коагулограмма: 20.02.2023: активированное частичное тромбопластиновое время (АЧТВ) 21,6 с, протромбиновый индекс 40%, D-димер 1,06 нг/мл, международное нормализованное отношение (МНО) 1,69; 26.02.2023: АЧТВ 175,7 с, протромбиновый индекс 48%, D-димер 1,11 нг/мл, МНО 1,62; 24.04.2023: АЧТВ 31,6 с, протромбиновый индекс 69%, D-димер 0,37 нг/мл, МНО 1,26 (на фоне приема антикоагулянтов).
Значения прокальцитонинового теста: 03.02.2023: 0,5–2,0 нг/мл, 08.02.2023: <0,5 нг/мл, 01.03.2023: <0,5 нг/мл, 27.03.2023: <0,5 нг/мл.
Общий анализ мочи: без патологических изменений.
Общий анализ мокроты (10.02.2023, 27.03.2023, 03.04.2023): количество 0,5 мл, зеленая, слизисто-гнойная, вязкая, эпителиальные клетки 4–6 в поле зрения, лейкоциты 26–18–40 в поле зрения, альвеолярные макрофаги 2–4 в поле зрения, эритроциты 0–1 в поле зрения, дрожжевые грибы – значительное количество.
Цитологическое исследование мокроты (08.02.2023, 24.03.2023, 05.04.2023): слизисто-гнойный тип мокроты, опухолевых клеток не обнаружено.
В бактериологическом анализе мокроты неоднократное выделение Pseudomonas aeruginosa 1×105 КОЕ/мл, массивный рост, чувствительный к пиперациллину, полимиксину В, тобрамицину, цефепиму, амикацину, Klebsiellae pneumonia 1×104 КОЕ/мл, чувствительная к ампициллину, сульбактаму, меропенему, цефотаксиму и цефтазидиму.
Бактериологический анализ крови – рост микрофлоры не выявлен.
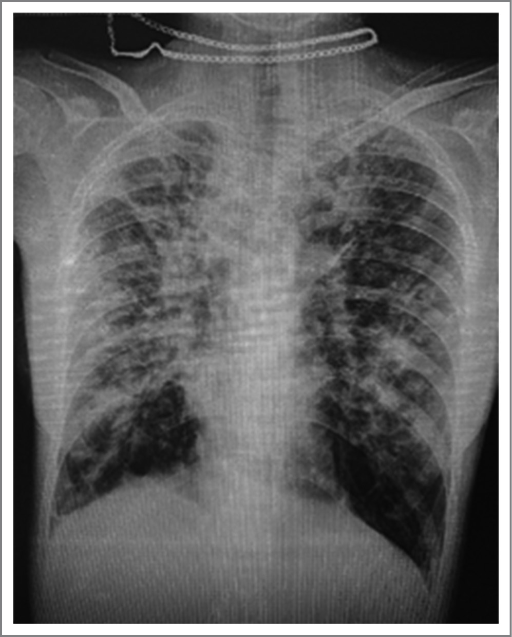
Рентгенография ОГК – R-картина может соответствовать двусторонним бронхоэктазам, кистозным изменениям легких (рис. 2).
Рис. 2. Врожденные бронхоэктазы. Кистозные трансформации легких.
Fig 2. Congenital bronchiectasis. Cystic transformations of the lungs.
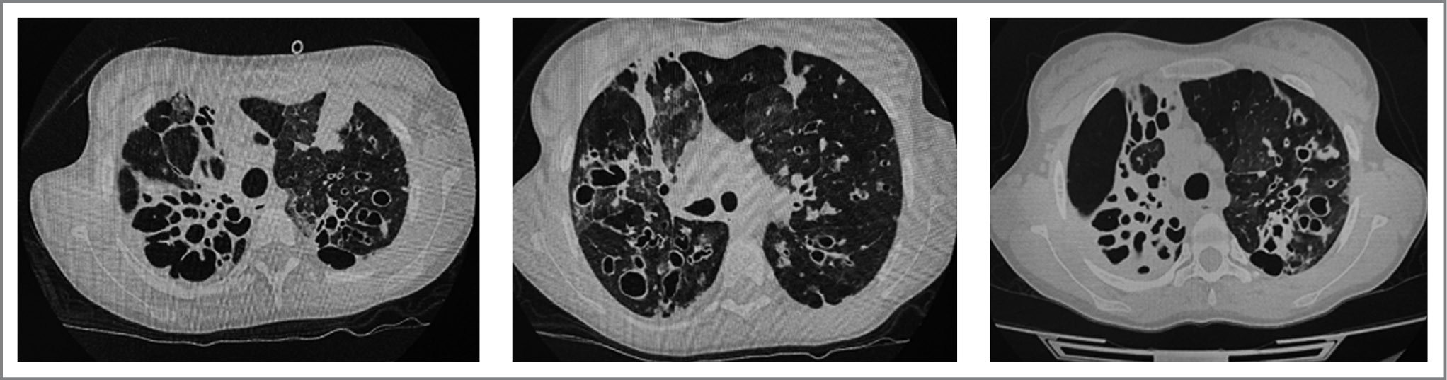
КТ ОГК с болюсным усилением – полученные данные могут соответствовать кистозной трансформации легких, множественным бронхо- и бронхиолоэктазам с двух сторон, участкам перибронхиальной инфильтрации воспалительного генеза, мозаичной легочной плотности, правостороннему малому плевральному выпоту, внутригрудной лимфаденопатии, небольшой передней клиновидной деформации тела LI (рис. 3). Описанные изменения обусловлены синдромом Уильямса–Кэмпбелла. Данных за тромбоэмболию легочной артерии нет.
Рис. 3. Кистозная трансформация легких, множественные бронхо- и бронхиолоэктазы.
Fig. 3. Cystic transformation of the lungs, multiple broncho- and bronchiolectasis.
Электрокардиография – регулярный синусовый ритм. Метаболические нарушения в миокарде.
Ультразвуковое исследование (УЗИ) органов брюшной полости – эхо-признаки паренхиматозного панкреатита.
УЗИ сердца – полости сердца не расширены. Клапанный аппарат без особенностей. Систолическая функция в норме, трикуспидальная регургитация 1-й степени. Легочная гипертензия 1-й степени. Среднее давление в легочной артерии 36,3 мм рт. ст.
УЗИ почек – без патологии.
УЗИ вен нижних конечностей – магистральные глубокие вены обеих нижних конечностей (общая бедренная вена, глубокая бедренная вена, поверхностная бедренная вена, подколенная вена, задняя большеберцовая вена и малоберцовая вена) крупные, мышечные; большая подкожная вена и малая подкожная вена контрастируются в режиме цветового допплеровского картирования и компенсируются.
Консультация кардиолога – пульмоногенная артериальная гипертензия 1-й степени.
Проведенное лечение: диетотерапия – основной вариант диеты + Нутриэн Стандарт 500+500 мл; увлажненный кислород 15–10 л/мин через лицевую маску, затем – неинвазивная вентиляция легких: FiО2 – 80%, SPO2 – 91%.
Для купирования бронхообструктивного синдрома использовалась ингаляционная терапия с бронхолитическими, отхаркивающими препаратами и антисептиками (раствор Беродуал 20 капель + 2 мл физраствора 4 раза в сутки, раствор Мирамистин 2 мл + 2 мл физраствора 3 раза в сутки, Колистин 80 мг 2 раза в день, раствор Ингасалин 5 мл 2 раза в день), дополнительно Флуифорт 1 пакетик 1 раз в день внутрь.
Антибактериальная и противогрибковая терапия курсами по 10–14 дней: Меронем 1 г 3 раза в день внутривенно, амикацин 0,5 г 1 раз в день внутривенно, линезолид 600 мг 2 раза в день внутривенно капельно, Завицефта 2,5 г 2 раза в день внутривенно капельно, Зинфоро 600 мг 2 раза в день внутривенно капельно, Флукомабол 100 мл внутривенно капельно, полимиксин В 50 мг 3 раза в день внутривенно капельно, Тациллин 4,5 г 2 раза в день внутривенно капельно, фосфомицин 2 г 3 раза в день внутривенно капельно. Инфузионная терапия: раствор NаСl 0,9% 400 мл внутривенно капельно.
Противовирусная терапия – ремдесивир 200 мг внутривенно капельно в 1-й день, затем 100 мг, фавипиравир по 1800 мг 2 раза в сутки в 1-й день, далее по 800 мг 2 раза в сутки со 2-го по 10-й день.
Противовоспалительная терапия: дексаметазон 4 мг + раствор NаСl 0,9% 200 мл 1 раз в день внутривенно капельно, преднизолон 30 мг + раствор NаСl 0,9% 200 мл внутривенно капельно, раствор Анальгин 50% 2 мл внутривенно (при температуре).
Иммуномоделирующая терапия – иммуноглобулин человека нормальный 50 мг/мл внутривенно капельно.
Терапия сопутствующих заболеваний: Гептрал 400 мг внутривенно капельно, Фосфоглив 1 капсула 3 раза в день, Альмагель по 1 десертной ложке 3 раза в день, Омез 40 мг 2 раза в день внутривенно, 20 мг 2 раза в день, Креон 10 000 ед 3 раза в день, панкреатин 1 таблетка 3 раза в день во время еды, Бифиформ 1 капсула 2 раза в день, бисопролол 5 мг 1 раз в день, Сорбифер 1 таблетка 2 раза в день, Фраксипарин 0,3 мл 1 раз в день подкожно, эноксапарин натрия 0,3 мл 1 раз в день подкожно. Физиолечение.
Проконсультирована специалистами ФГБУ «НМИЦ ТИО им. акад. В.И. Шумакова», рекомендован перевод для решения вопроса о дальнейшей тактике хирургического лечения – трансплантации легких.
Основной клинический диагноз: внебольничная двусторонняя полисегментарная пневмония, тяжелое затянувшееся течение, двусторонние бронхоэктазы, кистозная трансформация легких, синдром Вильямса–Кэмпбелла, медикаментозный синдром Иценко–Кушинга.
Осложнение: ДН 3-й степени, хроническое субкомпенсированное легочное сердце в сочетании с пульмоногенной артериальной легочной гипертензией 1-й степени, хроническая сердечная недостаточность 1-й степени.
Сопутствующее заболевание: вторичный иммунодефицит, хроническая железодефицитная анемия легкой степени тяжести, медикаментозный синдром Иценко–Кушинга, дефицит массы тела, индекс массы тела 16 кг/м2, инфантильность, хронический небилиарный паренхиматозный панкреатит, ремиссия, реконвалесцент коронавирусной инфекции (лонг-ковид-синдром).
Больная переведена в ФГБУ «НМИЦ ТИО им. акад. В.И. Шумакова».
Обсуждение
Этот клинический случай примечателен из-за перенесенного лонг-ковида на фоне врожденных бронхоэктазов и синдрома Вильямса–Кэмпбелла, осложненного хроническим субкомпенсированным легочным сердцем и выраженной дыхательной недостаточностью. Пролонгированный ковид протекал у больной с 31.01.2023 по 02.05.2023 с тяжелыми клиническими проявлениями: жалобы на чувство нехватки воздуха и выраженную одышку в покое, требующую непрерывной кислородной поддержки, кашель с отделением слизисто-гнойной вязкой мокроты зеленого цвета в большом количестве – до 100–150 мл в сутки, общую слабость, повышение температуры тела до 39,5°С, першение в горле. Коронавирусная инфекция COVID-19, вирус идентифицирован трижды: иммунохроматографический анализ на ангиген от 31.01.2023 – обнаружен; ПЦР РНК SARS-CoV-2 №2782 от 02.03.2023 положительный; ПЦР РНК SARS-CoV-2 от 10.04.2023 положительный. Больная получала противовоспалительную терапию, глюкокортикостероиды, но длительно сохранялись массивные изменения легочной ткани по данным КТ. Развитие лонг-ковида связано, несомненно, с наличием врожденной бронхолегочной патологии в анамнезе. Производилась постоянная респираторная поддержка при снижении SPO2 менее 93% со скоростью 10 л/мин и поддерживался уровень SPO2 95% в сочетании с положением пациентки на животе в прон-позиции. Антикоагулянтная терапия (Фраксипарин 0,3 мл, затем эноксапарин натрия 0,3 мл). Применение системных глюкокортикостероидов приводило к повышению сатурации, уменьшению выраженности одышки. Больная получала симптоматическую терапию бутамиратом, Ренгалином, карбоцистеином, эрдоцистеином, сальбутамолом при усилении бронхообструктивного синдрома. На протяжении всего лечения получала противовирусную терапию (ремдесивир, фавипиравир).
У госпитализированных пациентов велика вероятность развития лонг-ковид-синдрома при длительном пребывании в палатах интенсивной терапии с использованием искусственной вентиляции легких, поражением легочной ткани более 30%. Предикторами данного синдрома у больной служили лимфопения, повышение уровня СРБ (лимфоциты 8,6%, СРБ 153 мг/мл).
В числе факторов риска можно отметить и принадлежность к женскому полу, а также появление депрессии и тревожности, поэтому для лечения длительной коронавирусной инфекции актуальным является поиск специфических иммуномодулирующих противовирусных препаратов. У данной пациентки, перенесшей коронавирусную инфекцию, продолжали проявляться осложнения, связанные с длительным присутствием вируса в организме.
Заключение
Настоящий случай наглядно иллюстрирует, что развитие лонг-ковид-синдрома связано с возникновением сложных иммунопатологических реакций, ведущих к целому спектру патоморфологических изменений, в первую очередь легочной ткани, и к развитию неблагоприятных сердечно-сосудистых событий, возникновению системного воспаления и коагулопатии. Длительное лечение в течение 3 мес коморбидной больной в условиях инфекционного стационара, ОРИТ с оказанием реанимационного пособия (постановка центрального катетера, неинвазивная вентиляция легких), терапия противовирусными препаратами и антибиотиками являются предикторами повышенной летальности у пациентов с длительным ковид-синдромом.
Несмотря на проводимую терапию, больная в тяжелом состоянии транспортирована в ФГБУ «НМИЦ ТИО им. акад. В.И. Шумакова» для решения вопроса о возможности трансплантации легких.
Раскрытие интересов. Авторы декларируют отсутствие явных и потенциальных конфликтов интересов, связанных с публикацией настоящей статьи.
Disclosure of interest. The authors declare that they have no competing interests.
Вклад авторов. Авторы декларируют соответствие своего авторства международным критериям ICMJE. Все авторы в равной степени участвовали в подготовке публикации: разработка концепции статьи, получение и анализ фактических данных, написание и редактирование текста статьи, проверка и утверждение текста статьи.
Authors’ contribution. The authors declare the compliance of their authorship according to the international ICMJE criteria. All authors made a substantial contribution to the conception of the work, acquisition, analysis, interpretation of data for the work, drafting and revising the work, final approval of the version to be published and agree to be accountable for all aspects of the work.
Источник финансирования. Авторы декларируют отсутствие внешнего финансирования для проведения исследования и публикации статьи.
Funding source. The authors declare that there is no external funding for the exploration and analysis work.
Информированное согласие на публикацию. Пациент подписал форму добровольного информированного согласия на публикацию медицинской информации и фотографий.
Consent for publication. Written consent was obtained from the patient for publication of relevant medical information and all of accompanying images within the manuscript.
About the authors
Sergey A. Pribylov
Kursk State Medical University; Kursk Regional Multi-Purpose Clinical Hospital
Email: i.batova@omnidoctor.ru
ORCID iD: 0000-0002-2913-493X
д-р мед. наук, проф., зав. каф. внутренних болезней Института непрерывного образования ФГБОУ ВО КГМУ, зам. глав. врача по медицинской части ОБУЗ КОМКБ
Russian Federation, Kursk; KurskTatyana A. Maslova
Kursk Regional Multi-Purpose Clinical Hospital
Email: i.batova@omnidoctor.ru
ORCID iD: 0009-0000-2330-8591
канд. мед. наук, лечащий врач отд-ния пульмонологии
Russian Federation, KurskVladislav S. Pribylov
Kursk State Medical University
Email: i.batova@omnidoctor.ru
ORCID iD: 0000-0002-4545-9339
клин. ординатор каф. анестезиологии, реаниматологии и интенсивной терапии Института непрерывного образования
Russian Federation, KurskKristina O. Leonidova
Kursk State Medical University; Kursk Regional Multi-Purpose Clinical Hospital
Author for correspondence.
Email: k_leonidova@list.ru
ORCID iD: 0000-0001-6120-6748
клин. ординатор каф. внутренних болезней Института непрерывного образования ФГБОУ ВО КГМУ, врач инфекционного отд-ния инфекционного центра ОБУЗ КОМКБ
Russian Federation, Kursk; KurskNadezhda N. Pribylova
Kursk State Medical University
Email: i.batova@omnidoctor.ru
ORCID iD: 0000-0001-6788-518X
д-р мед. наук, проф., проф. каф. внутренних болезней Института непрерывного образования
Russian Federation, KurskAnna P. Kuts
Kursk State Medical University
Email: i.batova@omnidoctor.ru
ORCID iD: 0009-0007-2907-968X
клин. ординатор каф. внутренних болезней Института непрерывного образования ФГБОУ ВО КГМУ
Russian Federation, KurskReferences
- Чучалин А.Г. Респираторная медицина: руководство. 2-е изд. М.: ГЭОТАР-Медиа, 2017. Т. 1; с. 570-3 [Chuchalin AG. Respiratornaia meditsina: rukovodstvo. 2nd ed. Moscow: GEOTAR Media, 2017. V. 1; p. 570-3 (in Russian)].
- Ярошевская О.И., Гуревич О.Е., Дудина Т.А., и др. Особенности проявлений бронхиальной обструкции у больного с синдромом Вильямса–Кэмпбелла. Педиатрия. 2017;96(5):191-5 [Yaroshevskaya OI, Gurevich OE, Dudina TA, et al. Manifestations characteristics of bronchial obstruction in a patient with Williams–Campbell syndrome. Pediatrics. 2017;96(5):191-5 (in Russian)]. doi: 10.24110/0031-403x-2017-96-5-191-195
- Левченко Н.В., Потапова Н.Л., Чаванина С.А. Синдром Вильямса–Кэмпбелла у детей. Забайкальский медицинский вестник. 2022;(4):142–7 [Levchenko NV, Potapova NL, Chavanina SA. Williams-Campbell syndrome in children. Transbaikalian Medical Bulletin. 2022;(4):142-7 (in Russian)]. doi: 10.24110/0031-403X-2017-96-5-191-195
- Овсянников Д.Ю., Жесткова М.А., Фролов П.А. Бронхоэктазы. Педиатрия: учебник в 5 т. М.: РУДН, 2021; с. 359-73 [Ovsyannikov DYu, Zhestkova MA, Frolov PA. Pediatriia: uchebnik. In 5 vols. Moscow: RUDN, 2021; p. 359-73 (in Russian)].
- Кармазановский Г.Г. Динамическая мультиспиральная КТ: параметры и характеристики болюса контрастного вещества, примерные протоколы сканирования и их клиническое применение. Руководство для врачей лучевых диагностов. М.: Видар-М, 2020 [Karmazanovsky GG. Dinamicheskaia multispiralnaia KT: parametry i kharakteristiki boliusa kontrastnogo veshchestva, primernye protokoly skanirovaniia i ikh klinicheskoe primenenie. Rukovodstvo dlia vrachei luchevykh diagnostov. Moscow: Vidar-M, 2020 (in Russian)].
- Гончарь М.А., Логвинова О.Л., Пушкарь Е.М., и др. Клиническое наблюдение синдрома Вильямса–Кемпбелла в разрезе современных методов диагностики и лечения. Современная педиатрия. 2018;(6):6 [Gonchar MA, Logvinova OL, Pushkar EM, et al. Clinical follow-up of a child with Williams–Campbell syndrome in the context of modern methods of diagnostics and treatment. Modern Pediatrics. 2018;(6):6 (in Russian)]. doi: 10.15574/SP.2018.94.53
- Лаптева Н.М., Скачкова М.А., Карпова Е.Г., и др. Синдром Вильямса в практике педиатра. Доктор.Ру. 2018;149(5):28-31 [Lapteva NM, Skachkova MA, Karpova EG, et al. Williams Syndrome in Paediatrics. Doctor.Ru. 2018;149(5):28-31 (in Russian)]. doi: 10.31550/1727-2378-2018-149-5-28-31
- Шумаков В.И. Трансплантология: Руководство для врачей. М.: ООО «Медицинское информационное агентство», 2006 [Shumakov VI. Transplantologiia: Rukovodstvo dlia vrachei. Moscow: Meditsinskoe informatsionnoe agentstvo, 2006 (in Russian)].
- Bos S, Vos R, Van Raemdonck DE, et al. Survival in adult lung transplantation: where are we in 2020. Curr Opin Organ Transplant. 2020;25(3):268-73. doi: 10.1097/MOT.0000000000000753
- Van der Mark SC, Hoek RAS, Hellemons ME. Developments in lung transplantation over the past decade. Eur Respir Rev. 2020;(29):190132. doi: 10.1183/16000617.0132-2019
- Hoechter DJ, Shen YM, Kammerer T, et al. Extracorporeal circulation during lung transplant procedures: a meta-analysis. ASAIO J. 2017;63(5):551-61. doi: 10.1097/MAT.0000000000000549
- Hoechter DJ, von Dossow V, Winter H, et al. Munich Lung Transplant Group: intraoperative extracorporeal circulation in lung transplantation. Thorac Cardiovasc Surg. 2015;63(8):706-14. doi: 10.1055/s-0035-1556873
Supplementary files






