A rare variant in the TTR gene (p.E112K) is associated with systemic amyloidosis and a new symptom – skin hyperemia in response to ethanol intake: family segregation analysis, literature review, and a clinical case. Case report
- Authors: Chumakova O.S.1,2, Nasonova S.N.3, Frolova Y.V.4, Stepanova E.A.5,6, Mershina E.A.7, Sinitsyn V.E.7, Zateyshchikov D.A.1, Zhirov I.V.3,6
-
Affiliations:
- Central State Medical Academy of the President of the Russian Federation
- City Clinical Hospital №17
- Chazov National Medical Research Center of Cardiology
- Petrovsky National Research Centre of Surgery
- Buyanov City Clinical Hospital
- Russian Medical Academy of Continuous Professional Education
- Lomonosov Moscow State University
- Issue: Vol 95, No 4 (2023)
- Pages: 335-340
- Section: Case reports
- Submitted: 31.05.2023
- Accepted: 31.05.2023
- Published: 31.05.2023
- URL: https://ter-arkhiv.ru/0040-3660/article/view/472052
- DOI: https://doi.org/10.26442/00403660.2023.04.202160
- ID: 472052
Cite item
Full Text
Abstract
Transthyretin amyloidosis (ATTR-amyloidosis) is a systemic disorder associated with extracellular deposition in the tissues and organs of amyloid fibrils, transthyretin-containing insoluble protein-polysaccharide complexes. The change in transthyretin conformation, leading to its destabilization and amyloidogenicity, can be acquired (wild type, ATTRwt) and hereditary due to mutations in the TTR gene (variant, ATTRv) [1, 2]. Hereditary ATTR-amyloidosis has an earlier onset and greater phenotypic diversity. The age of the manifestation, the predominant phenotype, and the prognosis are often determined by the genetic variant. To date, more than 140 variants in the TTR gene have been identified; however, most of them are described in single patients and do not have clear evidence of pathogenicity. The prospects of a new pathogenetic treatment of ATTR-amyloidosis [3], especially effective in the early stages of the disease, increases the relevance of timely diagnosis, which is challenging due to physicians' lack of awareness. This article presents a clinical case of ATTRv-amyloidosis associated with a rare pathogenic variant in the TTR gene and a newly described skin symptom. This article is a literature review.
Keywords
Full Text
Больная 62 лет обратилась с жалобами на впервые возникшие массивные отеки ног. С 40 лет отмечала парестезии обеих кистей, в 50 лет диагностирована полиневропатия, в 59 лет – двусторонний синдром карпального канала, в связи с чем проведена хирургическая декомпрессия срединного нерва слева. С того же времени на электрокардиограмме (ЭКГ) регистрировались изменения неустановленного характера (ЭКГ утеряны). В течение последнего года отмечалась одышка при умеренных физических нагрузках.
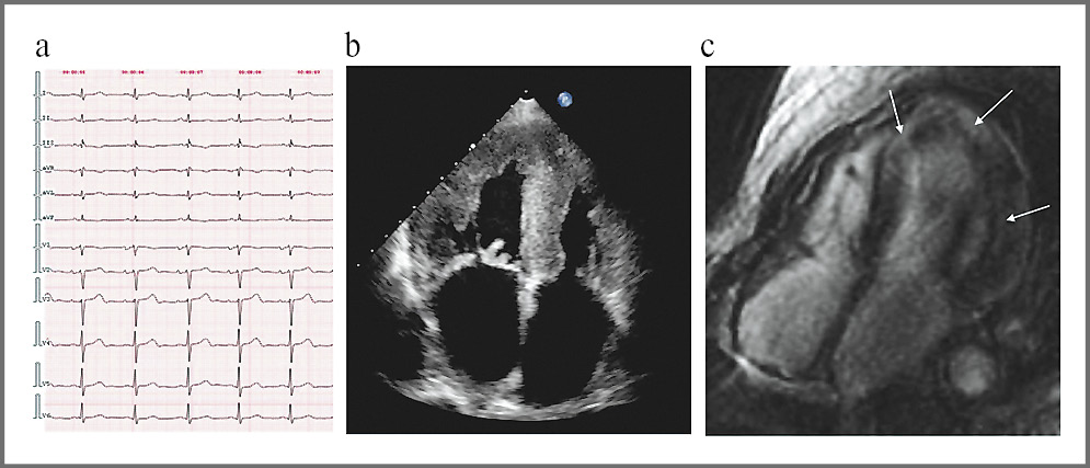
При первичном обследовании на ЭКГ регистрировались низкий вольтаж QRS в стандартных отведениях и недостаточный прирост зубца R в отведениях VI–VIII. На эхокардиограмме (ЭхоКГ) выявлены умеренная (до 16 мм) симметричная концентрическая гипертрофия миокарда левого желудочка (ЛЖ), его неоднородность, умеренное диффузное снижение глобальной сократимости ЛЖ (фракция выброса – ФВ ЛЖ 48%), тяжелое нарушение диастолической функции ЛЖ по рестриктивному типу. Диагностирована гипертрофическая кардиомиопатия (ГКМП), дифференциальный диагноз которой предполагает исключение метаболических заболеваний (фенокопий). На магнитно-резонансной томографии (МРТ) сердца – диффузное интрамиокардиальное накопление гадолиниевого контраста в базальных и срединных сегментах, а также циркулярное субэндокардиальное накопление в апикальных сегментах ЛЖ (рис. 1, a–c).
Рис. 1: a – ЭКГ; b – ЭхоКГ; с – МРТ сердца (отсроченное контрастирование, IR-последовательность с подавлением сигнала от миокарда).
Fig. 1. a – electrocardiogram; b – echocardiogram; c – magnetic resonance imaging of the heart (delayed contrast enhancement, IR sequence with suppression of the signal from the myocardium).
На основании данных ЭхоКГ и МРТ заподозрена амилоидная кардиомиопатия (АК). Анализ периферической крови и суточной мочи на моноклональную секрецию и анализ биоптата костного мозга не выявили амилоидогенный клон плазматических клеток, что позволило исключить самый частый AL-тип амилоидоза. Несмотря на проводимую терапию фуросемидом, явления сердечной недостаточности (СН) прогрессировали, и через полгода больная предъявляла жалобы на одышку при минимальной физической нагрузке (ходьба до 50 м) и в горизонтальном положении, увеличение массы тела и объема живота, общую слабость и быструю утомляемость. Компенсация явлений СН достигнута на двойной мочегонной терапии торасемидом и эплереноном. По данным повторной ЭхоКГ выявлено утолщение атриовентрикулярных клапанов, межпредсердной перегородки, значительное снижение глобальной продольной систолической деформации (стрейн) миокарда ЛЖ (до 8%) за счет базальных и срединных сегментов с сохраненной систолической функцией верхушки (верхушечный тип). На коронароангиографии значимого атеросклеротического поражения коронарных артерий не выявлено.
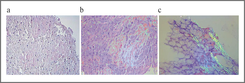
С целью морфологической верификации диагноза проведена эндомиокардиальная биопсия правого желудочка сердца и подкожной жировой клетчатки живота. При исследовании в поляризованном свете окрашенных Конго красным препаратов подтверждено наличие амилоида в биоптатах обеих локализаций (рис. 2, a–c).
Рис. 2. Микропрепараты с биоптатом сердца, окраска Конго красным, ×200:
a – обычный свет: слабая конгофилия депозитов в интерстиции; b – поляризованный свет (характерный спектр свечения конгофильных депозитов); c – микропрепарат с раздавленной подкожной жировой клетчаткой, окраска Конго красным, ×200, поляризованный свет, характерное свечение депозитов, grade CR3+.
Fig. 2. Slides with heart biopsy specimen, Congo red staining, ×200:
a – normal light: mild congophilia of deposits in the interstitium; b – polarized light (typical spectrum of fluorescence of congophilic deposits); c – slide with crushed subcutaneous fatty tissue, Congo red staining, ×200, polarized light, typical fluorescence of deposits, grade CR3+.
Для установления типа амилоида первоначально проводились гистохимические исследования (пробы с щелочным гуанидином и перманганатом калия), показавшие крайне низкую вероятность АА-амилоидоза. В дальнейшем по результатам иммуногистохимического исследования исключены редкие ALys, AFib и AApoAI типы амилоидоза, также ассоциированные с поражением сердца. Необходимо отметить, что и экспрессии транстиретина (TTR) как наиболее вероятного виновника заболевания в депозитах не выявлено. Таким образом, морфологическим исследованием подтверждено наличие амилоида без уточнения белка-предшественника.
Принято решение провести сцинтиграфию миокарда с остеотропным радиофармпрепаратом. Чувствительность этого метода в отношении ATTR-амилоидоза составляет 99% при условии накопления радиофармпрепарата более чем в 1,5 раза по сравнению с контралатеральной стороной. У нашей больной это соотношение оказалось равно 1,35.
Окончательный диагноз установлен после проведения генетического анализа в Центре молекулярной генетики (Москва), в результате которого выявлено наличие варианта (мутации) в гене TTR: p.E112, устаревшее название p.Glu92Lys, – замена гуанина на аденин в позиции 334 (3 экзон), приводящая к аминокислотной замене глутаминовой кислоты на лизин в позиции 112. Пациентке начата патогенетическая терапия ATTR-амилоидоза препаратом тафамидис в доступной на тот момент дозе 20 мг/сут.
При анализе семейного анамнеза, клинического и генетического скрининга живых родственников выявлено: у матери (I.2) пробанда с 50 лет отмечались боли в руках, умерла в возрасте 81 года от СН; у двух братьев пробанда 61 года (II.5) и 59 лет (II.6) имеется АК и периферическая полиневропатия; сын пробанда 43 лет (III.4) и племянница 36 лет (III.7) имеют только периферическую полиневропатию (рис. 3).
Рис. 3. Семейное древо с косегрегационным анализом варианта TTR p.E112K с амилоидозом.
Е1 -/- – мутации не найдено, Е1 -/+ – гетерозиготный носитель. Стрелка указывает пробанда. Черный цвет – АК; синий цвет – периферическая невропатия; красный цвет – реакция кожи на этанол; вертикальный штрих – бессимптомные носители мутации; N – здоровые.
Fig. 3. Family tree with cosegregation analysis of the TTR p.E112K variant with amyloidosis.
E1 -/- – no mutation found; E1 -/+ – heterozygous carrier. The arrow indicates a proband. Black — amyloid cardiomyopathy; blue – peripheral neuropathy; red – skin reaction to ethanol; vertical stroke — asymptomatic carriers of the mutation; N – healthy.
У всех родственников с клиническими проявлениями болезни найден вариант p.E112K в гене TTR. Еще двое внуков 2 и 9 лет (IV.2 и IV.3) оказались бессимптомными носителями этой мутации. В ходе генетического обследования и консультирования выяснилось, что у всех носителей варианта TTR p.E112K, включая внуков, отмечается гиперемия кожи при приеме малых доз алкоголя. Подобной реакции у родственников без мутации нет (к сожалению, фотографий, подтверждающих кожную реакцию, получить не удалось). Пробанд так описала этот феномен: «Мы в семье можем сами без генетического анализа определить, у кого есть мутация, а у кого ее нет. Достаточно выпить даже чайную ложку вина, и у носителей мутации краснеет кожа, а у неносителей – нет».
В течение года после установления диагноза наследственного ATTR-амилоидоза на фоне мочегонной терапии и приема тафамидиса состояние больной оставалось относительно стабильным, но сохранялась тенденция к прогрессированию СН, что потребовало присоединения третьего диуретика – фуросемида. Уровень N-концевого предшественника мозгового натрийуретического пептида составлял 1434 пг/мл, и отмечалось дальнейшее снижение ФВ ЛЖ до 40%. В возрасте 65 лет у больной развился первый пароксизм фибрилляции предсердий, в связи с чем к терапии добавлены амиодарон и ривароксабан, а мочегонная терапия усилена четвертым препаратом – ацетазоламид. От возможной трансплантации сердца и печени больная отказалась. В возрасте 66 лет пациентка госпитализировалась (не в реанимацию) по поводу COVID-19 умеренной тяжести. В дальнейшем явления застойной СН стремительно прогрессировали, требуя ежемесячных госпитализаций и с отсутствием полной компенсации несмотря на добавление к терапии дапаглифлозина. В последний год жизни у больной развилась кахексия, ФВ ЛЖ составляла 24%, появились нарушения внутрижелудочковой и AV-проводимости (QRS – 140 мс, PQ – 210 мс). Смерть больной наступила в возрасте 67 лет, патологоанатомическое исследование не проводилось по желанию родственников.
Хронология симптомов и диагностики заболевания представлена на рис. 4.
Рис. 4. Хронология симптомов и установления диагноза ATTRv-амилоидоза.
Примечание. КАГ – коронароангиография, ЭМБ – эндомиокардиальная биопсия, ИБС – ишемическая болезнь сердца.
Fig. 4. Chronology of symptoms and diagnosis of ATTRv-amyloidosis.
Обсуждение
TTR – белок-переносчик тироксина и ретинола. Синтезируется в печени (95%), откуда попадает в кровоток в виде гомотетрамера. Меньшая часть TTR синтезируется в пигментном эпителии сетчатки глаза и сосудистых сплетениях головного мозга и секретируется в спинномозговую жидкость. С возрастом или в результате мутаций в гене TTR тетрамер может становиться нестабильным, диссоциировать на мономеры, которые и становятся субстратом для формирования амилоидных фибрилл [4]. Среди возможных причин приобретаемой с возрастом нестабильности тетрамера обсуждается общее увеличение уровня окисления белков [5] и снижение активности системы шаперонов [6]. В лабораторных исследованиях показано, чем выше кинетика деградации TTR тетрамера, тем больше его амилоидогенность. Наименьшая скорость диссоциации у TTR тетрамера дикого типа [7].
На сегодняшний день идентифицировано более 140 вариантов в гене TTR, 98% из которых представляют собой точечные однонуклеотидные замены или миссенс-варианты, наследуемые по аутосомно-доминантному принципу (http://www.amyloidosismutations.com). Только около 30 из них хорошо изучены из-за достаточно высокой встречаемости и классифицированы как патогенные или вероятно патогенные, как, например: p.V50M (p.Val30Met), p.V142I (p.Val122Ile), p.L131M (p.Leu111Met), p.T80A (p.Thr60Ala), p.I88L (p.Ile68Leu) [8–10]. Описано несколько протективных TTR вариантов с противоположным стабилизирующим действием на TTR тетрамер [4], функция одного из таких вариантов p.T139M (p.Thr119Met) использована для разработки нового лекарственного препарата – стабилизатора TTR – AG10, который в настоящее время достаточно успешно проходит клинические испытания [11]. Однако большинство вариантов в гене TTR встречаются редко и имеют неопределенное клиническое значение, что требует проведения косегрегационных семейных исследований, подтверждающих их патогенность [12, 13].
В обследованной нами семье выявлен редкий вариант в гене TTR – p.E112K. Мы нашли его упоминание только в трех публикациях, каждая из которых описывала больных с ATTR-амилоидозом. Больной из Японии имел только АК, из Италии – смешанный фенотип, у третьего больного из Польши фенотип не указан. Доказательств сегрегации варианта с болезнью ни в одном случае не приведено [14–16].
Благодаря достаточно большой семье нам удалось провести косегрегационный анализ варианта p.E112K гена TTR с заболеванием. У носителей p.E112K старше 50 лет на момент обследования имелся смешанный кардиально-неврологический фенотип с преобладанием патологии сердца, у носителей среднего возраста – только неврологические симптомы, а у детей известных признаков амилоидоза не выявлено. В контрольных популяциях (https://gnomad.broadinstitute.org/, доступ от 10 июля 2022 г.) вариант p.E112K гена TTR отсутствует. Таким образом, нами подтверждена патогенность варианта p.E112K гена TTR в отношении развития ATTR-амилоидоза.
Среди основных клинических проявлений ATTRv- амилоидоза – периферическая сенсомоторная полиневропатия, поражение вегетативной нервной системы, проявляющееся ортостатической гипотензией, нарушением функции мочевого пузыря, эректильной дисфункцией, гастроинтестинальными симптомами, и сердечная патология от изолированных нарушений проводимости до выраженных структурных изменений по типу ГКМП и тяжелой СН. Также у значительного числа больных развиваются синдром карпального канала, патология почек и глазные симптомы [15]. Объяснить клиническую гетерогенность ATTRv-амилоидоза генотип-фенотип-корреляциями можно только отчасти. Так, одни варианты ассоциированы с развитием преимущественно периферической невропатии (p.V50M с ранним дебютом), другие – с развитием кардиомиопатии (p.V142I, p.L131M, p.T80A и p.I88L), есть варианты, предопределяющие дебют болезни с развития синдрома карпального канала, хотя большинство больных к концу жизни имеют смешанный фенотип [8, 15, 17, 18]. Описано, что вариант p.L75P (p.Leu55Pro) ассоциирован с особо агрессивными случаями диффузного ATTR-амилоидоза с дебютом в детском возрасте [19]. Вовлечение сердца при ATTRv-амилоидозе происходит значительно позже, чем периферической нервной системы. Так, по данным С. Rapezzi и соавт. (2013 г.), в итальянской популяции изолированный неврологический фенотип диагностируется в 42 [37–61] года, смешанный – в 53 [43–62] года, а изолированный кардиальный – в 70 [62–75] лет. Первые симптомы болезни появлялись в среднем на 3 года раньше установления диагноза [15]. Наихудший прогноз наблюдается у больных с кардиальным и смешанным фенотипом ATTRv-амилоидоза, средняя продолжительность жизни у них составляет не более 8 лет [17]. У нашей больной оказался смешанный кардионеврологический фенотип с преобладанием патологии сердца и двусторонний синдром карпального канала. Начало неврологических и кардиальных проявлений сопоставимо с европейской популяцией. Больная умерла через 6 лет от появления кардиальных симптомов.
Несмотря на тот факт, что некоторые варианты имеют отличительные клинические характеристики, на сегодняшний день уже очевидна роль других генетических и эпигенетических факторов в формировании сложного фенотипа болезни, что подтверждается различиями в симптомах даже между монозиготными близнецами [20, 21].
Оценить распространенность клинически дебютировавшего ATTRv-амилоидоза сложно из-за недостаточной выявляемости заболевания, поэтому чаще оценивают частоту встречаемости патогенных вариантов в гене TTR в различных популяциях. Установлены эндемичные географические регионы и этносы для отдельных мутаций, в которых распространенность ATTRv-амилоидоза предположительно выше. Так, 3–4% афроамериканцев являются носителями варианта p.V142I [9, 12], а в Северной Швеции 1,5% населения – носители p.V50M [18]. По данным базы gnomAD, суммарная частота встречаемости 11 патогенных TTR вариантов в общей популяции составляет 1:230 [12]. Таким образом, распространенность ATTRv-амилоидоза значительно выше, чем предполагали ранее. Статистика по ATTRv-амилоидозу в российской популяции отсутствует. Среди нашей выборки пациентов с ATTRv-амилоидозом почти у каждого 5-го (у 5 из 26) выявлялась мутация p.V50M, как и в большинстве стран Европы [1].
Мы впервые описали симптом, который может быть отнесен к клиническим проявлениям ATTRv-амилоидоза, – гиперемию кожи на пероральный прием этанола у всех носителей варианта p.E112K гена TTR в любом возрасте. В патогенезе этого симптома можно предполагать амилоидное поражение нервных сплетений, что приводит к нарушению регуляции тонуса сосудов микроциркуляторного русла и проявляется повышенной чувствительностью кожи к этанолу. Наличие такой реакции у детей может расцениваться как дебют ATTRv-амилоидоза и предполагает медленное прогрессирование заболевания.
Заключение
Улучшение осведомленности врачей разных специальностей о симптомах ATTRv-амилоидоза, а также накопление клинических и генетических данных в различных популяциях должны способствовать улучшению оказания своевременной и эффективной помощи таким больным.
Раскрытие интересов. Авторы декларируют отсутствие явных и потенциальных конфликтов интересов, связанных с публикацией настоящей статьи.
Disclosure of interest. The authors declare that they have no competing interests.
Вклад авторов. Авторы декларируют соответствие своего авторства международным критериям ICMJE. Все авторы в равной степени участвовали в подготовке публикации: разработка концепции статьи, получение и анализ фактических данных, написание и редактирование текста статьи, проверка и утверждение текста статьи.
Authors’ contribution. The authors declare the compliance of their authorship according to the international ICMJE criteria. All authors made a substantial contribution to the conception of the work, acquisition, analysis, interpretation of data for the work, drafting and revising the work, final approval of the version to be published and agree to be accountable for all aspects of the work.
Источник финансирования. Авторы декларируют отсутствие внешнего финансирования для проведения исследования и публикации статьи.
Funding source. The authors declare that there is no external funding for the exploration and analysis work.
Информированное согласие на публикацию. Пациент подписал форму добровольного информированного согласия на публикацию медицинской информации.
Consent for publication. Written consent was obtained from the patient for publication of relevant medical information and all of accompanying images within the manuscript.
Список сокращений
About the authors
Olga S. Chumakova
Central State Medical Academy of the President of the Russian Federation; City Clinical Hospital №17
Author for correspondence.
Email: chumakovaolga@bk.ru
ORCID iD: 0000-0003-2373-1183
канд. мед. наук, доц. каф. терапии, кардиологии и функциональной диагностики с курсом нефрологии ФГБУ ДПО ЦГМА УД Президента РФ, врач-кардиолог ГБУЗ «ГКБ №17»
Russian Federation, Moscow; MoscowSvetlana N. Nasonova
Chazov National Medical Research Center of Cardiology
Email: chumakovaolga@bk.ru
ORCID iD: 0000-0002-0920-7417
канд. мед. наук, ст. науч. сотр. отд. заболеваний миокарда и сердечной недостаточности
Russian Federation, MoscowYulia V. Frolova
Petrovsky National Research Centre of Surgery
Email: chumakovaolga@bk.ru
ORCID iD: 0000-0002-2075-8543
доктор мед. наук, вед. науч. сотр. отд. хирургического лечения дисфункций миокарда и сердечной недостаточности
Russian Federation, MoscowElena A. Stepanova
Buyanov City Clinical Hospital; Russian Medical Academy of Continuous Professional Education
Email: chumakovaolga@bk.ru
ORCID iD: 0000-0001-7760-5858
врач-патологоанатом ГБУЗ «ГКБ им. В.М. Буянова», ассист. каф. патологической анатомии
Russian Federation, Moscow; MoscowElena A. Mershina
Lomonosov Moscow State University
Email: chumakovaolga@bk.ru
ORCID iD: 0000-0002-1266-4926
канд. мед. наук, зав. отделением рентгенодиагностики
Russian Federation, MoscowValentin E. Sinitsyn
Lomonosov Moscow State University
Email: chumakovaolga@bk.ru
ORCID iD: 0000-0002-5649-2193
доктор мед. наук, проф., зав. каф. лучевой диагностики и лучевой терапии фак-та фундаментальной медицины, рук. отд. лучевой диагностики университетской клиники Медицинского научно-образовательного центра
Russian Federation, MoscowDmitry A. Zateyshchikov
Central State Medical Academy of the President of the Russian Federation
Email: chumakovaolga@bk.ru
ORCID iD: 0000-0001-7065-2045
доктор мед. наук, проф., зав. каф. терапии, кардиологии и функциональной диагностики с курсом нефрологии
Russian Federation, MoscowIgor V. Zhirov
Chazov National Medical Research Center of Cardiology; Russian Medical Academy of Continuous Professional Education
Email: chumakovaolga@bk.ru
ORCID iD: 0000-0002-4066-2661
доктор мед. наук, вед. науч. сотр. отд. заболеваний миокарда и сердечной недостаточности ФГБУ «НМИЦ кардиологии им. акад. Е.И. Чазова», проф. каф. Кардиологии ФГБОУ ДПО РМАНПО
Russian Federation, Moscow; MoscowReferences
- Рамеев В.В., Мясников Р.П., Виноградов П.П., и др. Системный ATTR-амилоидоз, редкая форма поражения внутренних органов. Рациональная фармакотерапия в кардиологии. 2019;15(3):349-58 [Rameev VV, Myasnikov RP, Vinogradov PP, et al. Systemic ATTR-amyloidosis, a Rare Form of Internal Organ Damage. Rational Pharmacotherapy in Cardiology. 2019;15(3):349-58 (in Russian)]. doi: 10.20996/1819-6446-2019-15-3-349-358
- Терещенко С.Н., Жиров И.В., Моисеева О.М., и др. Практические рекомендации по диагностике транстиретиновой амилоидной кардиомиопатии (ATTR-КМП или транстиретинового амилоидоза сердца). Терапевтический архив. 2022;94(4):584-95 [Tereshchenko SN, Zhirov IV, Moiseeva OM, et al. Practical guidelines for the diagnosis and treatment of transthyretin amyloid cardiomyopathy (ATTR-CM or transthyretin cardiac amyloidosis). Terapevticheskii Arkhiv (Ter. Arkh.). 2022;94(4):584-95 (in Russian)]. doi: 10.26442/00403660.2022.04.201465
- Моисеев С.В., Рамеев В.В. Тафамидис в лечении транстиретинового амилоидоза сердца. Клиническая фармакология и терапия. 2021;30(2):44-50 [Moiseev SV, Rameev VV. Tafamidis in transthyretin amyloid cardiomyopathy. Clinical Pharmacology and Therapy. 2021;30(2):44-50 (in Russian)]. doi: 10.32756/0869-5490-2021-2-44-50
- Saito Y, Nakamura K, Ito H. Molecular Mechanisms of Cardiac Amyloidosis. Int J Mol Sci. 2021;23(25). doi: 10.3390/ijms23010025
- Zhao L, Buxbaum JN, Reixach N. Age-related oxidative modifications of transthyretin modulate its amyloidogenicity. Biochemistry. 2013;52(11):1913-26. doi: 10.1021/bi301313b
- Buxbaum JN, Tagoe C, Gallo G, et al. Why are some amyloidoses systemic? Does hepatic “chaperoning at a distance” prevent cardiac deposition in a transgenic model of human senile systemic (transthyretin) amyloidosis? FASEB J. 2012;26(6):2283-93. doi: 10.1096/fj.11-189571
- Frangolho A, Correia BE, Vaz DC, et al. Oligomerization Profile of Human Transthyretin Variants with Distinct Amyloidogenicity. Molecules. 2020;25(23):5698. doi: 10.3390/molecules25235698
- Damy T, Kristen AV, Suhr OB, et al. Transthyretin cardiac amyloidosis in continental Western Europe: an insight through the Transthyretin Amyloidosis Outcomes Survey (THAOS). Eur Heart J. 2019;43(5):391-400. doi: 10.1093/eurheartj/ehz173
- Jacobson DR, Alexander AA, Tagoe C, et al. Prevalence of the amyloidogenic transthyretin (TTR) V122I allele in 14 333 African-Americans. Amyloid. 2015;22(3):171-4. doi: 10.3109/13506129.2015.1051219
- Maurer MS, Hanna M, Grogan M, et al. Genotype and Phenotype of Transthyretin Cardiac Amyloidosis: THAOS (Transthyretin Amyloid Outcome Survey). J Am Coll Cardiol. 2016;68(2):161-72. doi: 10.1016/j.jacc.2016.03.596
- Judge DP, Heitner SB, Falk RH, et al. Transthyretin Stabilization by AG10 in Symptomatic Transthyretin Amyloid Cardiomyopathy. J Am Coll Cardiol. 2019;74(3):285-95. doi: 10.1016/j.jacc.2019.03.012
- Lahuerta Pueyo C, Aibar Arregui MA, Gracia Gutierrez A, et al. Estimating the prevalence of allelic variants in the transthyretin gene by analysing large-scale sequencing data. Eur J Hum Genet. 2019;27(5):783-91. doi: 10.1038/s41431-019-0337-1
- Lopes LR, Futema M, Akhtar MM, et al. Prevalence of TTR variants detected by whole-exome sequencing in hypertrophic cardiomyopathy. Amyloid. 2019;26(4):243-47. doi: 10.1080/13506129.2019.1665996
- Saito F, Nakazato M, Akiyama H, et al. A case of late onset cardiac amyloidosis with a new transthyretin variant (lysine 92). Hum Pathol. 2001;32(2):237-9. doi: 10.1053/hupa.2001.22013
- Rapezzi C, Quarta CC, Obici L, et al. Disease profile and differential diagnosis of hereditary transthyretin-related amyloidosis with exclusively cardiac phenotype: an Italian perspective. Eur Heart J. 2013;34(7):520-8. doi: 10.1093/eurheartj/ehs123
- Holcman K, Rubis P, Szot W, et al. Scintigraphic and echocardiographic evaluation of patients with cardiac transthyretin amyloidosis and first-degree relatives. Eur Heart J Cardiovasc Imaging. 2021;22(Suppl_3). doi: 10.1093/ehjci/jeab111.056
- Sguazzotti M, Caponetti AG, Saturi G, et al. Analysis of characteristics and prognostic impact of phenotypes in hereditary ATTR. Eur Heart J. 2021;42(Suppl_1):ehab724.1804. doi: 10.1093/eurheartj/ehab724.1804
- Sekijima Y. Hereditary Transthyretin Amyloidosis. 2001 Nov 5 [Updated 2021 Jun 17]. In: Adam MP, Mirzaa GM, Pagon RA, et al, ed. GeneReviews® [Internet]. Seattle (WA): University of Washington, Seattle; 1993–2022. Available at: https://www.ncbi.nlm.nih.gov/books/NBK1194/ Accessed: 15.07.2022.
- Lee YJ, Oh J, Hwang SK, et al. Extremely Early Onset Transthyretin Familial Amyloid Polyneuropathy with a Leu55Pro Mutation: A Pediatric Case Report and Literature Review. Neuropediatrics. 2019;50(5):322-26. doi: 10.1055/s-0039-1693145
- Iorio A, De Lillo A, De Angelis F, et al. Non-coding variants contribute to the clinical heterogeneity of TTR amyloidosis. Eur J Hum Genet. 2017;25(9):1055-60. doi: 10.1038/ejhg.2017.95
- Munar-Qués M, Pedrosa JL, Coelho T, et al. Two pairs of proven monozygotic twins discordant for familial amyloid neuropathy (FAP) TTR Met 30. J Med Genet. 1999;36:629-32. doi: 10.1136/jmg.36.8.629.
Supplementary files






