Long-term treatment of morphologically verified myocarditis: successes and probable errors. Case report
- Authors: Blagova O.V.1, Alieva I.N.1, Kulikova V.A.1, Nedostup A.V.1, Kogan E.A.1, Sedov V.P.1, Parfenov D.A.1, Volovchenko A.N.1, Sarkisova N.D.1
-
Affiliations:
- Sechenov First Moscow State Medical University (Sechenov University)
- Issue: Vol 95, No 4 (2023)
- Pages: 327-334
- Section: Case reports
- Submitted: 31.05.2023
- Accepted: 31.05.2023
- Published: 31.05.2023
- URL: https://ter-arkhiv.ru/0040-3660/article/view/471740
- DOI: https://doi.org/10.26442/00403660.2023.04.202156
- ID: 471740
Cite item
Full Text
Abstract
Diagnosis and treatment of myocarditis can be challenging, including determining indications for heart transplantation. We present a 6-year medical history of a 54 years old patient with severe morphologically verified viral-negative lymphocytic myocarditis and systemic manifestations (onset of hemorrhagic vasculitis) combined with moderate coronary atherosclerosis, which regressed according to repeated coronary angiography. For 5 years, the patient received immunosuppressive therapy with methylprednisolone and azathioprine with a significant improvement. Repeated relapses of atrial fibrillation required correction of basic therapy and plasmapheresis. The disease was complicated by thyrotoxicosis and multi-organ dysfunction; the autopsy showed persistent myocarditis activity. The myocarditis is a chronic condition and requires a review of the treatment strategy at each stage.
Full Text
Проблема лечения миокардита остается одной из самых неоднозначных. В течение десятилетий накапливался положительный опыт применения при миокардитах (особенно хронических) кортикостероидов, который оказался недостаточно обобщенным, что повлекло за собой определенный скепсис в эпоху доказательной медицины. На основании единичных исследований эффективности иммуносупрессивной терапии (ИСТ) миокардита сложилось представление, что ИСТ показана при высокоиммунных формах миокардита, а также при вирус-негативном лимфоцитарном миокардите [1].
Эффективность ИСТ у вирус-негативных больных установлена в работах A. Frustaci и соавт. [2, 3], подтверждена другими авторами [4, 5], в том числе при наличии парвовируса В19 [6, 7]. Однако неясны оптимальные дозы препаратов, длительности лечения, возможности использования таргетной терапии, показания к применению методов очистки крови, имплантации устройств и пр. Приводим описание длительной комплексной терапии тяжелого миокардита с анализом актуальных вопросов течения и лечения миокардитов.
Клиническое наблюдение
Пациент К., 54 лет, впервые поступил в Факультетскую терапевтическую клинику (ФТК) 25.10.2013 с жалобами на одышку при небольшой нагрузке и в положении лежа, увеличение живота, кожный зуд, периодические отеки ног, мелкоточечную сыпь на коже голеней.
Из анамнеза жизни: родители предположительно страдали ишемической болезнью сердца (отец умер в 67 лет, ставился диагноз «большого сердца», мать умерла в 70 лет). Служил в армии, работал водителем, слесарем. Курил до 45 лет. Страдал рецидивирующим подагрическим артритом, мочекаменной болезнью.
Из анамнеза заболевания: в 2009 г. (в 50 лет) при эхокардиографии (ЭхоКГ) выявлена минимальная дилатация левых камер сердца, фракция выброса (ФВ) левого желудочка (ЛЖ) 45%. С мая 2013 г. после простуды стал отмечать одышку при умеренной нагрузке, увеличение живота, отеки ног. В больнице г. Раменское зафиксирована устойчивая мерцательная аритмия (МА). Проводилась терапия эплереноном, торасемидом, дигоксином, дабигатраном 220 мг/сут без улучшения.
В сентябре 2013 г. находился в ГБУЗ «ГКБ им. Е.О. Мухина». Сохранялась МА, ФВ составила 38%, регистрировалась неустойчивая желудочковая тахикардия (ЖТ). Состояние расценено как «вторичная кардиомиопатия после острого миокардита». К лечению добавлены амиодарон 400 мг/сут (чреспищеводная ЭхоКГ не проводилась), карведилол, периндоприл. На ЭКГ отмечались трансформация мерцания в трепетание предсердий. За 3 дня до госпитализации в ФТК отметил улучшение самочувствия, однако появилась сыпь на коже голеней. Госпитализирован в ФТК.
При поступлении состояние средней тяжести. Кожные покровы и склеры субиктеричны. На коже обеих голеней – мелкоточечная слабо пальпируемая геморрагическая сыпь. Отеки голеней и стоп. Дыхание жесткое, в базальных отделах выслушиваются пневмосклеротические хрипы. Частота дыхания 18 в минуту. Тоны сердца приглушены, слабый систолический шум на верхушке. Частота сердечных сокращений 76 уд/мин, ритм правильный, артериальное давление 105/70 мм рт. ст. Живот увеличен, мягкий, безболезненный. Печень +1,5 см, селезенка не увеличена.
В стандартных анализах крови – признаки умеренного холестаза и цитолиза, повышение уровней креатинина (1,75 мг/дл) и мочевой кислоты (615 мкмоль/л) при отсутствии анемии, лейкоцитоза и других общевоспалительных изменений.
Таблица 1. Динамика титров антикардиальных антител больного К. в процессе лечения Table 1. Change of anti-cardiac antibody titers of a patient K. during treatment | ||||||||||||
10.13 | 04.14 | 10.14 | 05.15 | 12.15 | 09.16 | 10.16 | 03.17 | 06.17 | 10.17 | 05.18 | 11.18 | |
Cпецифический АНФ | 1:160 | Нет | Нет | 1:40 | 1:160 | 1:40 | 1:40 | 1:40 | 1:40 | 1:80 | 1:40 | 1:40 |
АТ к эндотелию | 1:160 | 1:80 | 1:80 | 1:40 | 1:80 | 1:80 | 1:80 | 1:80 | 1:40 | 1:40 | 1:40 | 1:40 |
АТ к кардиомиоцитам | 1:80 | 1:40 | 1:80 | 1:80 | 1:80 | 1:40 | 1:40 | 1:80 | 1:40 | 1:40 | 1:40 | 1:40 |
АТ к гладкой мускулатуре | 1:80 | 1:40 | 1:80 | 1:80 | 1:80 | 1:80 | 1:80 | 1:80 | 1:80 | 1:80 | 1:80 | 1:40 |
АТ к волокнам проводящей системы | 1:160 | 1:80 | 1:80 | 1:80 | 1:160 | 1:160 | 1:80 | 1:80 | 1:80 | 1:80 | 1:80 | 1:80 |
Примечание. АТ – антитела, АНФ – антинуклеарный фактор. | ||||||||||||
Проведена серодиагностика миокардита (табл. 1): выявлено значимое повышение титров антикардиальных антител. На электрокардиограмме (рис. 1) – синусовый ритм, частота сердечных сокращений 76 уд/мин, сглаженный зубец Т во всех отведениях. При холтеровском мониторировании электрокардиограммы на фоне приема амиодарона и карведилола – синусовый ритм, единичные экстрасистолы; ЖТ нет. ST без динамики.
Рис. 1. Электрокардиограмма пациента К. от 2013 г. Слева – электрокардиограмма от 22.11.2013 (синусовый ритм, желудочковые экстрасистолы), справа – от 05.12.2018 (МА; окончательно сформировались комплексы QS в отведениях VI–VIV). Скорость записи 25 мм/с.
Fig. 1. Electrocardiogram (ECG) of patient K. dated 2013. Left – ECG dated 22.11.2013 (sinus rhythm, ventricular extrasystoles); right – ECG dated 05.12.2018 (MA; QS complexes in leads VI–VIV were fully formed). Recording speed 25 mm/s.
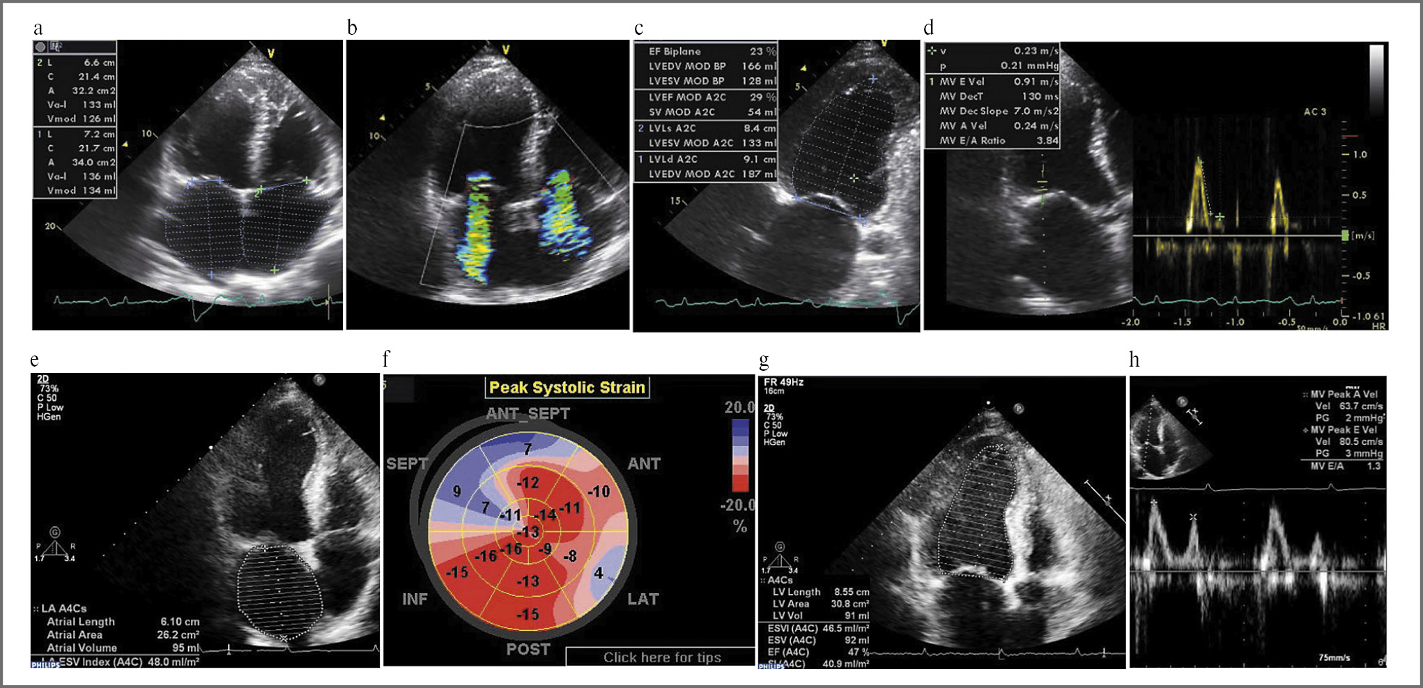
По данным ЭхоКГ (рис. 2, а–d) ЛЖ расширен: конечно-диастолический размер (КДР) 5,9 см; конечно-диастолический объем (КДО) 128 мл; конечно-систолический объем (КСО) 108 мл; толщина стенок ЛЖ не увеличена (8 мм). Систолическая функция ЛЖ значительно снижена: ФВ 23%, dp/dt 659 мм рт. ст., VTI 7,8 см, глобальная деформация –7,7%; нарушений локальной сократимости нет; левое предсердие (ЛП) 134 мл, правое 130 мл, правый желудочек (ПЖ) 4,8 см, систолическое давление в легочной артерии (СДЛА) 45 мм рт. ст., митральная и трикуспидальная регургитация II–III степени. Диастолическая функция нарушена по рестриктивному типу: Е 91 см/с, А 24 см/с, Е/А 3,8, E' 8 см/с, Е/Е' 11 S 3 см/с.
При мультиспиральной компьютерной томографии сердца кальциевый индекс 1015 ед., атеросклероз коронарных артерий. При перфузионной томосцинтиграфии миокарда дефектов перфузии не выявлено. При коронарографии – 60% стенозы передней межжелудочковой и правой коронарной артерий, от реваскуляризации решено воздержаться.
Рис. 2. Эхокардиограммы пациента К. при первой госпитализации в ФТК (октябрь 2013 г., верхние изображения) и через год после начала базисной терапии (нижние изображения).
Октябрь 2013 г.: а – выраженное увеличение объемов обоих предсердий; b – тяжелая митральная и трикуспидальная регургитация; c – резкое снижение ФВ ЛЖ (23%); d – грубое нарушение диастолической функции по рестриктивному типу (Е/А 3,6). Октябрь 2014 г.: e – уменьшение объема ЛП в 1,5 раза; f – значительное улучшение показателей глобальной деформации ЛЖ; g – возрастание ФВ ЛЖ до 47%; нормализация диастолической функции ЛЖ (У/А 1,3).
Fig. 2. Echocardiograms of patient K. at the first admission (October 2013, upper images) and a year after the start of basic therapy (lower images).
October 2013: a – marked increase in both atrial volumes; b – severe mitral and tricuspid regurgitation; c – severe decrease in left ventricle (LV) ejection fraction (23%); d – severe restrictive diastolic dysfunction (E/A 3.6). October 2014: e – 1.5-fold decrease in left atrial volume; f – significant improvement in global LV deformity; g – increase in LV ejection fraction to 47%; normalization of LV diastolic function (U/A 1.3).
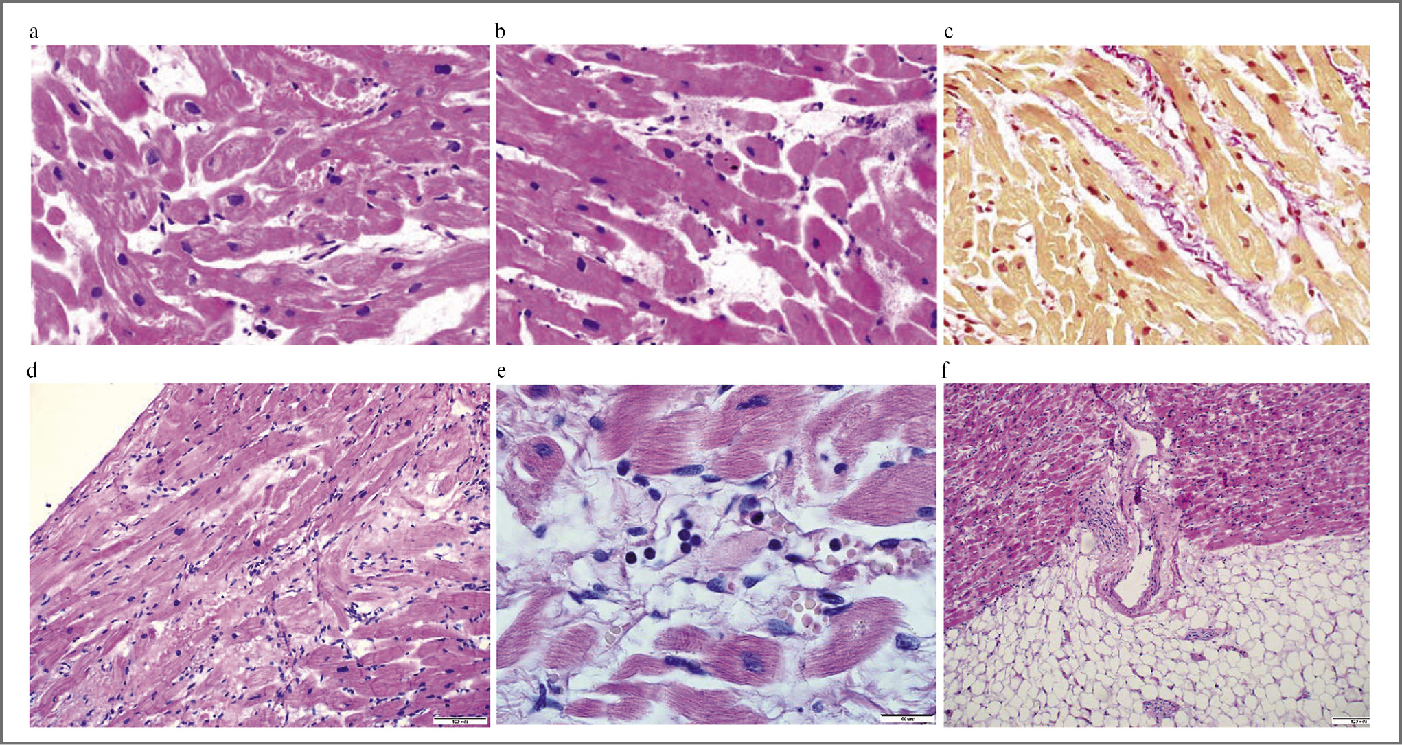
С учетом четкой связи дебюта заболевания с перенесенной инфекцией, небольшой давности болезни, острого начала с быстрым развитием сердечной недостаточности, высоких титров антикардиальных антител, системных иммунных проявлений (геморрагический васкулит) состояние расценено как подострый инфекционно-иммунный миокардит. Выполнена эндомиокардиальная биопсия (ЭМБ) ПЖ (рис. 3, а, b): выявлены лимфогистиоцитарные инфильтраты, при иммуногистохимическом исследовании – более 7 CD3-позитивных лимфоцитов и более 14 CD45-позитивных лимфоцитов (рис. 4, верхний ряд).
Рис. 3. Морфологическое исследование миокарда больного К.: ЭМБ ПЖ (октябрь 2013 г., верхние изображения) и посмертное исследование ЛЖ (апрель 2019 г., нижние изображения).
Окраска гематоксилин-эозином (а, b, d–f) и по Ван Гизону (с). 2013 г., ЭМБ ПЖ: а, b – дистрофические изменения кардиомиоцитов, лимфо-гистиоцитарная инфильтрация в интерстиции; c – перимускулярный склероз. 2019 г., аутопсия, исследование ЛЖ: d – выраженная диффузная лимфо-гистиоцитарная инфильтрация; e – тяжелые дистрофические изменения кардиомиоцитов, утрата ими поперечной исчерченности, лизис ядер, лимфоциты в составе инфильтрата; f – диффузная и периваскулярная инфильтрация лимфо-гистиоцитарными элементами, жировая ткань в субэпикардиальном слое.
Fig. 3. Morphological study of the myocardium of patient K.: endomyocardial biopsy of the right ventricle – RV (October 2013, upper images) and postmortem study of the LV (April 2019, lower images).
Hematoxylin-eosin staining (a, b, d–f) and van Gieson's staining (c). 2013, RV endomyocardial biopsy: a, b – dystrophic changes in cardiomyocytes, lymphohistiocytic interstitial infiltration; c – perimuscular sclerosis. 2019, autopsy, LV morphology: d – pronounced diffuse lymphohistiocytic infiltration; e – severe dystrophic changes in cardiomyocytes, loss of cross-striation, lysis of nuclei, lymphocytes in the infiltrate; f – diffuse and perivascular infiltration with lymphohistiocytic elements, adipose tissue in the subepicardial layer.
Относительная площадь фиброзной ткани в препаратах достигает 25% (см. рис. 3, c). Таким образом, диагноз миокардита подтвержден. Генома герпетических вирусов, аденовирусов и парвовируса В19 в миокарде не выявлено.
Рис. 4. Иммуногистохимическое исследование миокарда больного К.: ЭМБ ПЖ (октябрь 2013 г., верхние изображения) и посмертное исследование ЛЖ (апрель 2019 г., нижние изображения).
Иммуногистохимическое исследование миокарда с антителами к CD3 (левый столбец), CD45 (средний столбец) и CD20-позитивным лимфоцитам. 2013 г. Выявление более 7 CD3-позитивных и более CD45-позитивных лимфоцитов при прижизненном и посмертном исследованиях; отсутствие положительной реакции на CD20-позитивные лимфоциты в обоих случаях.
Fig. 4. Immunohistochemical study of the myocardium of patient K.: endomyocardial biopsy of RV (October 2013, upper images) and postmortem study of LV (April 2019, lower images).
Immunohistochemical examination of the myocardium with antibodies to CD3 (left column), CD45 (middle column) and CD20-positive lymphocytes; the magnification is indicated in the lower right corner of the images. 2013, identification of more than 7 CD3-positive and more CD45-positive lymphocytes in in vitro and postmortem studies; no positive staining for CD20-positive lymphocytes in both cases.
Сохранение стойкой дисфункции миокарда на фоне оптимальной кардиотропной терапии в максимально переносимых дозах явилось показанием к назначению ИСТ. Основной диагноз сформулирован следующим образом: подострый инфекционно-иммунный лимфоцитарный миокардит, вирус-негативный, тяжелого течения, высокой степени активности, с развитием дилатации камер сердца. С 18.11.2013 начата базисная ИСТ Метипредом 24 мг/сут и азатиоприном 75 мг/сут, проводилось также лечение амиодароном 200 мг, карведилолом 3,125 мг, периндоприлом 2,5 мг, ривароксабаном 20 мг, омепразолом 20 мг, эплереноном 50 мг, фуросемидом 80–40 мг, аллопуринолом 100 мг, урсодезоксихолевой кислотой 500 мг, аторвастатином 10 мг. В результате лечения отмечено снижение массы тела на 8 кг, заметное уменьшение одышки и живота в объеме, снижение лабораторных признаков холестаза и уровня азотистых шлаков, уменьшение выраженности геморрагической сыпи.
В течение последующих 4 мес одышка уменьшилась до уровня I функционального класса, отсутствовали проявления застоя по большому кругу, вернулся к обычному образу жизни; доза Метипреда постепенно снижалась до поддерживающей 4 мг/сут. При контрольной ЭхоКГ сократились правые камеры сердца, ФВ увеличилась до 40%, уменьшились степень регургитации на клапанах и СДЛА (33 мм рт. ст.).
Через год от начала базисной терапии (октябрь 2014 г.) ФВ ЛЖ составила 47%, объем ЛП уменьшился до 96 мл, правого предсердия – до 45 мл (см. рис. 2, e–h), ПЖ – до 3,4 см, СДЛА нормализовалось, митральная и трикуспидальная регургитация регрессировали до I степени. Сохранялся синусовый ритм. Комплексная терапия хронической сердечной недостаточности проводилась непрерывно на протяжении всего периода наблюдения, доза карведилола увеличена до 25 мг/сут, доза периндоприла – до 5 мг/сут.
С учетом стойкой нормализации уровня антикардиальных антител (см. табл. 1) в феврале 2015 г. сделана попытка отмены азатиоприна, однако в декабре в связи с нарастанием титров возобновлен прием азатиоприна 100 мг/сут. Летом 2016 г. на фоне повышенных физических нагрузок, употребления алкоголя и нерегулярного приема препаратов отметил появление и нарастание одышки, отеков, увеличение живота. В сентябре 2016 г. госпитализирован в ФТК.
При поступлении на электрокардиограмме – тахисистолическая МА, при холтеровском мониторировании – более 1000 желудочковых экстрасистол, эпизоды медленной ЖТ до 15 QRS. При ЭхоКГ – ФВ 24%, КДР ЛЖ 6,1 см, КДО 182 мл, КСО 138 мл, ЛП 98 мл, ПЖ 4,0 см, митральная и трикуспидальная регургитация II степени, СДЛА 46 мм рт. ст. В анализах крови – умеренный холестаз (общий билирубин 22 мкмоль/л), нарастание уровня креатинина до 1,53 мг/дл, мочевой кислоты до 716 мкмоль/л; тиреотропный гормон 0,6 мкМЕ/мл. В связи с лимфореей исключался тромбоз вен нижних конечностей. Синусовый ритм восстановлен методом электроимпульсной терапии.
С учетом нарастания иммунной активности миокардита и несомненной роли алкоголя в развитии рецидива МА проведен курс плазмафереза (5 процедур, удалено 2570 мл плазмы с тромболейкослоем, замещение физиологическим раствором), что сопровождалось снижением титра антикардиальных антител (см. табл. 1). Состояние улучшилось: несколько возросла ФВ (28%); подавлена желудочковая эктопия, практически купировались отеки. После выписки продолжал прием всех препаратов, доза Метипреда увеличена до 8 мг/сут, азатиоприна – до 150 мг, фуросемида – до 80–60 мг.
В декабре 2016 г. выявлены признаки манифестного тиреотоксикоза, при сцинтиграфии – картина амиодарониндуцированного тиреотоксикоза II типа (деструктивного). Доза Метипреда увеличена до 16 мг/сут, уровень гормонов постепенно нормализовался с исходом в субклинический гипотиреоз, начата заместительная терапия L-тироксином с увеличением дозы до 75 мкг/сут и нормализацией тиреотропного гормона. При ЭхоКГ от мая 2017 г. ФВ составила 40%. Терапию амиодароном решено продолжить в связи с выраженной гемодинамической значимостью МА, однако в июле 2017 г. в результате чрезмерной физической нагрузки развился рецидив МА, который купирован методом электроимпульсной терапии; на этом фоне вновь отмечено появление преходящих отеков, снижение ФВ до 30%.
До середины 2018 г. самочувствие оставалось удовлетворительным, доза Метипреда снижена до 4 мг/сут. Сохранялся синусовый ритм. В анализах сохранялось лишь небольшое повышение титра специфического антинуклеарного фактора (1:40–1:80; см. табл. 1). С апреля 2018 г. азатиоприн отменен, при ЭхоКГ от июня ФВ составила 31%, КДР ЛЖ 6,3 см, ЛП 138 мл, СДЛА 73 мм рт. ст., обращал на себя внимание некомпактный слой миокарда заднебоковой стенки ЛЖ. С августа 2018 г. эплеренон и периндоприл заменены на сакубитрил-валсартан с постепенным увеличением дозы до 200 мг/сут, доза статинов увеличена до 40 мг/сут. В сентябре 2018 г. – рецидив МА. Отметил усиление одышки, периодические отеки. От дальнейших попыток восстановления синусового ритма решено воздержаться в связи с их бесперспективностью, амиодарон отменен.
В декабре 2018 г. госпитализирован для проведения коронарографии: выявлен лишь 50% стеноз передней межжелудочковой артерии. Показания к реваскуляризации отсутствовали. На фоне монотерапии карведилолом 12,5 мг/сут сохранялась нормосистолия; ФВ ЛЖ составила 34%, митральная регургитация II степени, СДЛА 46 мм рт. ст. С учетом стабилизации уровня антикардиальных антител и отсутствия перспектив существенного улучшения по прошествии 5 лет лечения Метипред постепенно отменен к февралю 2019 г.
Пациент направлен в ФГБУ «НМИЦ трансплантологии и искусственных органов им. В.И. Шумакова» для постановки в лист ожидания на трансплантацию сердца: рекомендовано дообследование (мультиспиральная компьютерная томография, ультразвуковая допплерография и пр.), которое пациент откладывал в связи с сомнениями в целесообразности и эффективности операции. Планировалась госпитализация в ФТК в апреле. Однако с конца февраля по поводу болей в правом плечевом суставе самостоятельно начал прием Анальгина (около 3 нед), заметил нарастание одышки, отеков, увеличение в объеме живота, гипотонию (несмотря на отмену сакубитрила-валсартана), падение диуреза.
По экстренным показаниям госпитализирован в ФТК 19.03.2019. Тяжесть состояния обусловлена падением сердечного выброса на фоне тахисистолии (ФВ 26%, VTI 7,1–10,3 см, митральная и трикуспидальная регургитация II–III степени) и нарастанием полиорганной недостаточности с временным положительным эффектом от терапии. При явлениях выраженной артериальной гипотонии переведен в отделение интенсивной терапии и реанимации, где начата постоянная кардиотоническая поддержка (Норадреналин, допамин) в нарастающих дозах. Неоднократно консультирован в ФГБУ «НМИЦ трансплантологии и искусственных органов им. В.И. Шумакова», проведено дообследование по программе трансплантации сердца, планировался перевод в ФГБУ с подключением экстракорпоральной мембранной оксигенации. Однако в связи с прогрессирующим ухудшением состояния, необходимостью перевода на искусственную вентиляцию легких в переводе отказано; 07.04.2019 констатирована смерть больного К. 60 лет.
При аутопсии диагноз вирус-негативного миокардита полностью подтвержден: при макроскопическом исследовании выявлен крупноочаговый кардиосклероз, при микроскопии – диффузная лимфогистиоцитарная инфильтрация миокарда с тяжелой дистрофией кардиомиоцитов и лизисом ядер (рис. 3, d–f); большое количество CD3 и CD45-позитивных лимфоцитов (при отсутствии CD20) свидетельствует о сохранении активности миокардита (рис. 4, нижний ряд). Значимого коронарного атеросклероза не обнаружено.
Обсуждение
Представленное наблюдение ставит ряд трудноразрешимых вопросов, а его неблагоприятный исход заставляет думать о возможных ошибках в процессе лечения. К сожалению, на сегодня мы не можем сказать, что «больной миокардитом не должен умирать» – летальность остается высокой и даже растет (в период 2005–2014 гг. госпитальная летальность при остром миокардите превысила 6% [8]). По хроническому миокардиту статистики практически не существует.
Наш пациент пережил острый период и выписан из первой больницы с диагнозом «вторичная кардиомиопатия после острого миокардита». Термин «кардиомиопатия» в подобном контексте абсолютно утрачивает свое истинное значение, миокардит не закончился и через несколько лет интенсивного лечения. Такая приблизительность диагностики связана с невозможностью широкого использования ЭМБ. По американским данным, частота выполнения ЭМБ «нативных» (не трансплантированных) сердец снизилась с 1,38 на 1 млн человек в 2002 г. до 0,99 в 2014 г. [9]. В России ситуация существенно хуже. Диагноз миокардита не вызывал у нас сомнений, однако именно проведение биопсии позволило начать лечение. Сведения о «большом сердце» у отца не позволяли исключить генетический фон для развития заболевания.
Особенностями самого миокардита следует считать его исходную тяжесть и системность поражения при отсутствии неспецифических иммунных маркеров в крови (геморрагический васкулит в дебюте, деструктивный тиреоидит в последующем). Тиреотоксикоз сам по себе вызывает воспалительные реакции в миокарде и, несомненно, внес вклад в прогрессирование дисфункции миокарда. Мы подходим к главному вопросу – какими оказались предикторы неблагоприятного исхода миокардита и можно ли было его избежать?
К хорошо известным предикторам относятся высокий функциональный класс сердечной недостаточности и низкая ФВ, перегрузка правых отделов, диастолическая дисфункция, выраженная клапанная регургитация и др. [10]. С другой стороны, при миокардите всегда можно рассчитывать на восстановление функции миокарда [7]. Именно характер ответа на терапию в значительной степени определяет прогноз больных с синдромом дилатационной кардиомиопатии [11]. Получение выраженного положительного ответа на лечение в первые полгода позволило нам отказаться от трансплантации сердца, формальные показания к которой у пациента исходно имелись.
Повторные эпизоды декомпенсации в 2016–2018 гг. связаны с рецидивами МА, часть из которых протекала на фоне лабораторных признаков миокардита (на этом этапе в дополнение к ИСТ успешно применен плазмаферез), часть – без таковых. При этом из каждого нового эпизода декомпенсации пациент выходил в худшем состоянии, чем до него. Стоит вспомнить о значительной доле фиброза (до 25%), которая выявлена при ЭМБ. Повторное снижение ФВ после достигнутого улучшения у 12,7% больных с синдромом дилатационной кардиомиопатии является одним из самых значимых предикторов плохого исхода [12]. Но в декабре 2016 г. у пациента диагностирован тиреотоксикоз, который является противопоказанием к трансплантации сердца.
Использованные нами дозы ниже рекомендуемых европейскими экспертами, но длительность лечения – существенно больше рекомендованных 6 мес. Эффективность и существенно лучшая переносимость средних доз кортикостероидов (в сравнении с высокими) установлена нами при специальном сопоставлении [7]. Что касается длительности, она устанавливается эмпирическим путем и должна, на наш взгляд, составлять не менее 3 лет при тяжелом хроническом миокардите. Ориентирами служат не только клиническое состояние, но и уровень антикардиальных антител.
Пациент получал базисную терапию миокардита 5 лет. Тем не менее при аутопсии выявлены признаки сохраняющего активность миокардита, особенно в ЛЖ. Если сопоставить данные ЭМБ ПЖ и аутопсии ЛЖ (см. рис. 3), хорошо видно, что миокардит остался недолеченным. Устойчивость миокардита к длительной терапии может быть обусловлена участием в его поддержании механизмов, которые плохо контролируются стандартной ИСТ, – появляются данные о том, что у части больных с повторным ухудшением состояния после исходного положительного ответа на ИСТ сохраняется повышенная экспрессия CD20-позитивных В-лимфоцитов; назначение в этих случаях ритуксимаба позволило бы достичь более выраженного и стойкого клинического эффекта [13]. Однако в нашем случае экспрессии CD20-лимфоцитов не выявлено ни исходно, ни в финале, что исключает данный путь лечения.
Пациент скептически относился к возможности успешной трансплантации и окончательно согласился на нее лишь в критическом состоянии. Однако следует принять во внимание и то, что невозможным оказалось прогнозировать исходы операции даже в 2016 г., не говоря уже о 2018 и 2019 г., когда перспективы стали очень сомнительны. Более 5 лет на консервативном лечении пациент прожил достаточно активную, полную жизнь. В случае раннего выполнения трансплантации появились бы шансы как существенно увеличить этот срок, так его и сократить.
Заключение
Представлено клиническое наблюдение больного с тяжелым миокардитом, развившимся, возможно, на фоне предшествующей патологии миокарда и подтвержденным с помощью биопсии миокарда. Без выполнения ЭМБ неоправданно констатируется переход в кардиосклероз и не назначается базисная терапия. Нерешенным вопросом остаются дозы препаратов и длительность их применения: представленный случай демонстрирует достаточно высокую эффективность средних доз кортикостероидов в сочетании с азатиоприном и в то же время сохранение активности миокардита даже после 5 лет лечения. Эффективным методом оценки исходной иммунной активности миокардита, а также контроля эффективности лечения в динамике является определение уровня антикардиальных антител в крови, однако в ряде случаев для уточнения активности болезни, повторного исключения вирусной инфекции может потребоваться повторная биопсия миокарда. Повторные эпизоды декомпенсации миокардита являются неблагоприятным прогностическим признаком, который требует своевременной постановки вопроса о трансплантации сердца.
Раскрытие интересов. Авторы декларируют отсутствие явных и потенциальных конфликтов интересов, связанных с публикацией настоящей статьи.
Disclosure of interest. The authors declare that they have no competing interests.
Вклад авторов. Авторы декларируют соответствие своего авторства международным критериям ICMJE. Все авторы в равной степени участвовали в подготовке публикации: разработка концепции статьи, получение и анализ фактических данных, написание и редактирование текста статьи, проверка и утверждение текста статьи.
Authors’ contribution. The authors declare the compliance of their authorship according to the international ICMJE criteria. All authors made a substantial contribution to the conception of the work, acquisition, analysis, interpretation of data for the work, drafting and revising the work, final approval of the version to be published and agree to be accountable for all aspects of the work.
Источник финансирования. Авторы декларируют отсутствие внешнего финансирования для проведения исследования и публикации статьи.
Funding source. The authors declare that there is no external funding for the exploration and analysis work.
Информированное согласие на публикацию. Авторы получили письменное согласие законных представителей пациента на анализ и публикацию медицинских данных и фотографий.
Consent for publication. The authors obtained written consent from the patient's legal representatives to analyze and publish medical data and photographs.
Список сокращений
About the authors
Olga V. Blagova
Sechenov First Moscow State Medical University (Sechenov University)
Author for correspondence.
Email: blagovao@mail.ru
ORCID iD: 0000-0002-5253-793X
д-р мед. наук, проф. каф. факультетской терапии №1 Института клинической медицины им. Н.В. Склифосовского
Russian Federation, MoscowIndira N. Alieva
Sechenov First Moscow State Medical University (Sechenov University)
Email: blagovao@mail.ru
ORCID iD: 0000-0002-3338-0762
канд. мед. наук, врач-кардиолог отделения кардиологии Факультетской терапевтической клиники им. В.Н. Виноградова
Russian Federation, MoscowVictoria A. Kulikova
Sechenov First Moscow State Medical University (Sechenov University)
Email: blagovao@mail.ru
ORCID iD: 0000-0002-9255-5542
канд. мед. наук, ассистент каф. факультетской терапии №1 Института клинической медицины им. Н.В. Склифосовского
Russian Federation, MoscowAlexander V. Nedostup
Sechenov First Moscow State Medical University (Sechenov University)
Email: blagovao@mail.ru
ORCID iD: 0000-0002-5426-3151
д-р мед. наук, проф., науч. сотр. НИО кардиологии
Russian Federation, MoscowEvgeniya A. Kogan
Sechenov First Moscow State Medical University (Sechenov University)
Email: blagovao@mail.ru
ORCID iD: 0000-0002-1107-3753
д-р мед. наук, проф., зав. каф. патологической анатомии им. акад. А.И. Струкова Института клинической медицины им. Н.В. Склифосовского
Russian Federation, MoscowVsevolod P. Sedov
Sechenov First Moscow State Medical University (Sechenov University)
Email: blagovao@mail.ru
ORCID iD: 0000-0003-2326-9347
д-р мед. наук, проф., проф. каф. лучевой диагностики Института клинической медицины им. Н.В. Склифосовского
Russian Federation, MoscowDmitry A. Parfenov
Sechenov First Moscow State Medical University (Sechenov University)
Email: blagovao@mail.ru
ORCID iD: 0000-0003-4145-0158
канд. мед. наук, зав. отделением интенсивной терапии и реанимации №1 Университетской клинической больницы №1
Russian Federation, MoscowAlexey N. Volovchenko
Sechenov First Moscow State Medical University (Sechenov University)
Email: blagovao@mail.ru
ORCID iD: 0000-0002-3220-3895
канд. мед. наук, врач – анестезиолог-реаниматолог отд-ния интенсивной терапии и реанимации №1 Университетской клинической больницы №1
Russian Federation, MoscowNatalia D. Sarkisova
Sechenov First Moscow State Medical University (Sechenov University)
Email: blagovao@mail.ru
ORCID iD: 0000-0002-5979-1180
канд. мед. наук, зав. кардиологическим отделением Факультетской терапевтической клиники им. В.Н. Виноградова
Russian Federation, MoscowReferences
- Caforio AL, Pankuweit S, Arbustini E, et al. Current state of knowledge on aetiology, diagnosis, management, and therapy of myocarditis: a position statement of the European Society of Cardiology Working Group on Myocardial and Pericardial Diseases. Eur Heart J. 2013;34(33):2636-48. doi: 10.1093/eurheartj/eht210
- Frustaci A, Chimenti C, Calabrese F, et al. Immunosuppressive therapy for active lymphocytic myocarditis: virological and immunologic profile of responders versus nonresponders. Circulation. 2003;107(6):857-63. doi: 10.1161/01.cir.0000048147.15962.31
- Frustaci A, Russo MA, Chimenti C. Randomized study on the efficacy of immunosuppressive therapy in patients with virus-negative inflammatory cardiomyopathy: the TIMIC study. Eur Heart J. 2009;30(16):1995-2002. doi: 10.1093/eurheartj/ehp249
- Escher F, Kühl U, Lassner D, et al. Long-term outcome of patients with virus-negative chronic myocarditis or inflammatory cardiomyopathy after immunosuppressive therapy. Clin Res Cardiol. 2016;105(12):1011-20. doi: 10.1007/s00392-016-1011-z
- Merken J, Hazebroek M, Van Paassen P, et al. Immunosuppressive Therapy Improves Both Short- and Long-Term Prognosis in Patients With Virus-Negative Nonfulminant Inflammatory Cardiomyopathy. Circ Heart Fail. 2018;11(2):e004228. doi: 10.1161/CIRCHEARTFAILURE.117.004228
- Благова О.В., Недоступ А.В., Коган Е.А., Сулимов В.А. Эффективность иммуносупрессивной терапии у вирус-негативных и вирус-позитивных больных с морфологически верифицированным лимфоцитарным миокардитом. Терапевтический архив. 2017;89(8):57-67 [Blagova OV, Nedostup AV, Kogan YeA, Sulimov VA. Efficiency of immunosuppressive therapy in virus-negative and virus-positive patients with morphologically verified lymphocytic myocarditis. Terapevticheskii Arkhiv (Ter. Arkh.). 2017;89(8):57-67 (in Russian)]. doi: 10.17116/terarkh201789857-67
- Благова О.В., Недоступ А.В., Коган Е.А. Болезни миокарда и перикарда: от синдромов к диагнозу и лечению. М.: ГЭОТАР-Медиа, 2019 [Blagova OV, Nedostup AV, Kogan IeA. Bolezni miokarda i perikarda: ot sindromov k diagnozu i lecheniiu. Moscow: GEOTAR-Media, 2019 (in Russian)].
- Pahuja M, Adegbala O, Mishra T, et al. Trends in the Incidence of In-Hospital Mortality, Cardiogenic Shock, and Utilization of Mechanical Circulatory Support Devices in Myocarditis (Analysis of National Inpatient Sample Data, 2005–2014). J Card Fail. 2019;25(6):457-67. doi: 10.1016/j.cardfail.2019.04.012
- Singh V, Mendirichaga R, Savani GT, et al. Comparison of Utilization Trends, Indications, and Complications of Endomyocardial Biopsy in Native Versus Donor Hearts (from the Nationwide Inpatient Sample 2002 to 2014). Am J Cardiol. 2018;121(3):356-63. doi: 10.1016/j.amjcard.2017.10.021
- Wang NC, Adelstein EC, Jain SK, et al. Predictors and implications of early left ventricular ejection fraction improvement in new-onset idiopathic nonischemic cardiomyopathy with narrow QRS complex: A NEOLITH substudy. Ann Noninvasive Electrocardiol. 2017;22(6). doi: 10.1111/anec.12466
- Verdonschot JAJ, Hazebroek MR, Wang P, et al. Clinical Phenotype and Genotype Associations With Improvement in Left Ventricular Function in Dilated Cardiomyopathy. Circ Heart Fail. 2018;11(11):e005220. doi: 10.1161/CIRCHEARTFAILURE.118.005220
- Nabeta T, Inomata T, Ishii S, et al. Dilated cardiomyopathy with re-worsening left ventricular ejection fraction. Heart Vessels. 2019;34(1):95-103. doi: 10.1007/s00380-018-1214-5
- Tschöpe C, Van Linthout S, Spillmann, et al. Targeting CD20+ B-lymphocytes in inflammatory dilated cardiomyopathy with rituximab improves clinical course: a case series. Eur Heart J Case Rep. 2019;3(3):ytz131. doi: 10.1093/ehjcr/ytz131.
Supplementary files







