Type 2 diabetes mellitus and coronary artery disease: features of perfusion volume computed tomography of the heart in a pharmacological test with adenosine triphosphate
- Authors: Soboleva G.N.1, Minasyan A.A.1, Gaman S.A.1, Rogoza A.N.1, Molina L.P.2, Soboleva T.V.3, Shariya M.A.1,3, Ternovoy S.K.1,3, Karpov Y.A.1
-
Affiliations:
- Chazov National Medical Research Center of Cardiology
- Endocrinological Dispensary
- Sechenov First Moscow State Medical University (Sechenov University)
- Issue: Vol 95, No 4 (2023)
- Pages: 309-315
- Section: Original articles
- Submitted: 31.05.2023
- Accepted: 31.05.2023
- Published: 31.05.2023
- URL: https://ter-arkhiv.ru/0040-3660/article/view/470841
- DOI: https://doi.org/10.26442/00403660.2023.04.202158
- ID: 470841
Cite item
Full Text
Abstract
Aim. To study myocardial perfusion in patients with coronary artery disease (CAD) with and without type 2 diabetes mellitus (DM) using volumetric computed tomography (VCT) of the heart with a pharmacological test with adenosine triphosphate (ATP).
Materials and methods. The study included 93 patients, of which 18 had CAD with DM, and 50 had CAD without DM. All patients underwent one of the stress tests, cardiac VCT with ATP test, invasive coronary angiography, or CT coronary angiography. Left ventricle (LV) myocardial perfusion was evaluated for hypoperfusion zones and the calculation of semi-quantitative indices: decrease of LV myocardial density, LV myocardial perfusion index, transmural perfusion coefficient, and our proposed new indicator – myocardial perfusion reserve (MPR).
Results. The MPR index value in the hypoperfusion zones in patients with CAD and DM was 0.64 [0.62–0.66], in patients with CAD without diabetes 0.65 [0.63–0.66]; p=0.4; the value of the transmural perfusion coefficient in the areas of abnormal LV myocardial perfusion in patients with CAD and DM was 0.81 [0.80–0.86] versus 0.83 [0.80–0.85] in patients with CAD without DM (p=0.6). More hypoperfusion segments were observed in patients with CAD and DM (33.3%) compared to those without DM (14%; p=0.029). The MPR index in the hypoperfusion zones in patients with CAD with intact coronary arteries (CA) and DM was 0.56 [0.54–0.60] versus 0.55 [0.54–0.62] in patients with CAD with intact CA without DM; p=0.2.
Conclusion. In patients with CAD and type 2 DM, according to the VCT with ATP test, more foci hypoperfusion areas were detected, regardless of the severity of coronary artery involvement, compared with patients with CAD without DM, which may be due to the microangiopathy in the myocardium. The similarity of the MPR parameters in the hypoperfusion zones associated with hemodynamic stenosis of the CA and with intact CAs indicates the ischemic genesis of these zones.
For citation: Soboleva GN, Minasyan AA, Gaman SA, Rogoza AN, Molina LP, Soboleva TV, Shariya MA, Ternovoy SK, Karpov YuA. Type 2 diabetes mellitus and coronary artery disease: features of perfusion volume computed tomography of the heart in a pharmacological test with adenosine triphosphate. Terapevticheskii Arkhiv (Ter. Arkh.). 2023;95(4):309–315. DOI: 10.26442/00403660.2023.04.202158
Full Text
Современные клинические рекомендации Российского кардиологического общества по стабильной ишемической болезни сердца (ИБС) и рекомендации Европейского кардиологического общества по диагностике и лечению хронического коронарного синдрома особое внимание уделяют методам неинвазивной оценки перфузии миокарда левого желудочка (ЛЖ) [1, 2]. Динамичное развитие и совершенствование в настоящее время мультиспиральной компьютерной томографии (МСКТ), развитие перфузионной томографии с высокой разрешающей способностью побуждают к поиску новых методов верификации ИБС визуализацией перфузии миокарда ЛЖ с применением МСКТ [3, 4].
Дополнение метода МСКТ-ангиографии коронарных артерий (КА) оценкой перфузии миокарда ЛЖ позволяет получить наиболее объективную картину с анализом зон нарушения перфузии миокарда ЛЖ и сопоставлением выявленных зон нарушенной перфузии с изменениями в соответствующей КА. Одномоментная оценка состояния КА и нарушений перфузии миокарда ЛЖ может потенциально заменить комплекс многоступенчатого обследования больных с подозрением на ИБС.
В клинической практике получают распространение фармакологические нагрузочные тесты с агонистами аденозиновых рецепторов – аденозином, натрия аденозинтрифосфатом (АТФ), регаденосоном [5, 6], которые вследствие эффекта коронарной вазодилатации позволяют проводить оценку нарушений перфузии миокарда ЛЖ, обусловленных как атеросклеротическими поражениями КА, так и необструктивными изменениями вследствие нарушения тонуса сосудов микроциркуляторного русла.
Учитывая особенности нарушения кровоснабжения миокарда у больных сахарным диабетом 2-го типа (СД 2) как в результате развития обструктивных атеросклеротических изменений КА, так и вследствие изменения микроциркуляции, мы сочли целесообразным сравнить перфузию миокарда у больных с ИБС в сочетании с СД 2 и без такового методом объемной компьютерной томографии (ОбКТ) сердца с фармакологической пробой с АТФ.
Материалы и методы
Настоящее исследование выполнено в соответствии с положениями Хельсинкской декларации. Протокол исследования одобрен комитетом по этике ФГБУ «НМИЦ кардиологии им. акад. Е.И. Чазова». Исследование проводилось после подписания пациентами информированного добровольного согласия.
Критерии включения в исследование: наличие подписанного информированного согласия, возраст обследуемых старше 18 лет, клиническая симптоматика, требующая подтверждения диагноза ИБС (типичная стенокардия напряжения, атипичная для стенокардии боль в грудной клетке, эквиваленты стенокардии напряжения – одышка при физических нагрузках).
Критерии невключения: отказ от проведения исследования, нарушения ритма и проводимости сердца, острое нарушение мозгового кровообращения или транзиторная ишемическая атака за 3 мес до включения в исследование; сердечная недостаточность II–IV функционального класса по классификации NYHA; стеноз ствола левой КА более 50%; бронхиальная астма; наличие абсолютных или относительных противопоказаний к введению неионного йодсодержащего рентгенконтрастного препарата: снижение скорости клубочковой фильтрации (СКФ) по формуле CKD-EPI менее 30 мл/мин/1,73 м², аллергические реакции, гипертиреоз, беременность.
Всем включенным в исследование пациентам в соответствии с принятым алгоритмом проводилось стандартное обследование, включающее оценку лабораторных показателей (общий анализ крови, биохимический анализ крови с оценкой показателей липидного профиля, показатели системы гемостаза), электрокардиографию (ЭКГ) в 12 отведениях, трансторакальную эхокардиографию, суточное мониторирование электрокардиограммы, а также один из неинвазивных методов, позволяющих верифицировать ишемию миокарда ЛЖ (ЭКГ-тесты с физической нагрузкой – велоэргометрия, или тредмил-тест, или стресс-эхокардиография с физической нагрузкой). Всем пациентам выполнена ОбКТ сердца с фармакологической пробой с АТФ (включающая КТ-ангиографию КА) согласно разработанному протоколу, безопасность и эффективность которого в диагностике ИБС нами ранее оценена [7]. Исследование осуществлялось на компьютерном томографе нового поколения Aquilion One (Canon Medical Systems, Япония) с 320 рядами широких детекторов и применением математических технологий получения 640 срезов с минимальной толщиной среза 0,5 мм. С помощью данного компьютерного томографа возможно объемное (неспиральное) сканирование 16 см по оси Z за один оборот (на 360°) блока трубки и детекторов, сбор и сохранение данных по всем направлениям. Описанная система позволяет захватывать всю область сердца за один сердечный цикл без движения стола, что ведет к уменьшению артефактов движения, связанных с изменением сердечного ритма, пульсацией магистральных сосудов и дыхательными движениями во время сбора данных, позволяет значительно сократить время исследования и, следовательно, снизить уровень лучевой нагрузки на пациента. Данный томограф обладает высокой разрешающей способностью за счет одномоментного охвата миокарда ЛЖ за один сердечный цикл и обладает широкими диагностическими возможностями – проведение КТ-ангиографии КА и статической КТ-перфузии миокарда ЛЖ. В случае выявления по данным КТ-ангиографии неизмененных КА дальнейшая инвазивная коронароангиография (КАГ) не проводилась. При наличии по данным КТ-ангиографии стенозов как минимум одной КА более 50% и выявлении признаков ишемии миокарда ЛЖ по результатам одного из нагрузочных тестов пациенты направлялись на инвазивную КАГ с дальнейшим решением вопроса о реваскуляризации. Диагноз СД 2 устанавливался эндокринологом в соответствии с критериями Всемирной организации здравоохранения [8].
Обработка результатов исследования проводилась с помощью специального программного пакета Vitrea Advanced на рабочей станции Vitrea Workstation. Выполняли трехмерные и мультипланарные реконструкции для визуализации КА. Проводили оценку серий томографических срезов, полученных во время ОбКТ сердца в фазу покоя и при фармакологической пробе с АТФ. Перфузию миокарда ЛЖ оценивали, сравнивая изображения, полученные в фазу покоя и стресса, визуально на предмет наличия или отсутствия локальной гипоперфузии и путем вычисления полуколичественных показателей перфузии: ослабления плотности миокарда ЛЖ, индекса перфузии миокарда ЛЖ, коэффициента трансмуральной перфузии (КТП) и предложенного нами нового показателя – резерва миокардиальной перфузии (РМП)*.
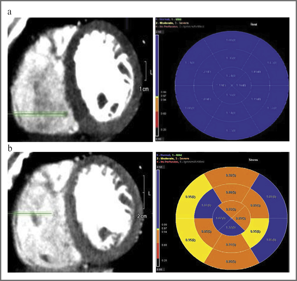
Рис. 1
a – ОбКТ сердца с фармакологической пробой с АТФ, фаза покоя. Изображение миокарда ЛЖ в артериальную фазу контрастирования, поперечный срез на уровне средних сегментов, и детализированная полярная карта распределения КТП. Субэндокардиальные дефекты перфузии миокарда ЛЖ не определяются. Значение КТП во всех сегментах миокарда ЛЖ более 0,99;
b – ОбКТ сердца с фармакологической пробой с АТФ, фаза нагрузки. Изображение миокарда ЛЖ в артериальную фазу контрастирования, поперечный срез на том же уровне, что и в фазу покоя, и детализированная полярная карта распределения КТП. Определяются субэндокардиальные дефекты контрастирования всех сегментов передней, перегородочной, нижней стенок, средних сегментов боковой стенки миокарда ЛЖ. Значение КТП в перечисленных сегментах миокарда ЛЖ ниже 0,99.
Fig 1:
a – cardiac volumetric computed tomography (VCT) of the heart with adenosine triphosphate (ATP) pharmacological test, resting phase. Image of the left ventricle (LV) myocardium in the arterial phase of contrast-enhancing, cross-section at the level of the middle segments, and a detailed polar map of the transmural perfusion coefficient distribution. Subendocardial defects of LV myocardial perfusion were not detected. The transmural perfusion coefficient value in all segments of the LV myocardium was more than 0.99;
b – cardiac VCT with pharmacological sample from ATP, loading phase. Image of the LV myocardium in the arterial phase of contrast-enhancing, cross-section at the same level as in the resting phase, and a detailed polar map of the transmural perfusion coefficient distribution. Subendocardial contrast-uptake defects in all segments of the anterior, sepal, and lower walls and middle segments of the lateral wall of the LV myocardium were observed. The transmural perfusion coefficient value in the above segments of the LV myocardium was below 0.99.
На рис. 1 приведен пример качественного (визуального) и полуколичественного (по показателю КТП) выявления дефектов перфузии миокарда ЛЖ в ответ на введение АТФ при ОбКТ сердца.
При снижении индекса РМП менее 0,7 как минимум в одном сегменте миокарда ЛЖ делали вывод о дефекте перфузии миокарда ЛЖ в этой зоне. Наличие дефекта перфузии миокарда ЛЖ, определяемое визуально, его анатомическое расположение, а также полуколичественные параметры перфузии миокарда ЛЖ (КТП, РМП) сопоставляли с признаками ишемии миокарда ЛЖ по результатам комплексного обследования, включающего нагрузочные тесты (велоэргометрия, или тредмил-тест, или стресс-эхокардиография), и результатами инвазивной КАГ, КТ-КАГ.
Результаты
С декабря 2016 по май 2021 г. в исследование включены 93 пациента, из них по результатам комплексного обследования у 18 пациентов установлен диагноз ИБС в сочетании с СД 2 и у 50 пациентов – ИБС без СД 2. Клиническая характеристика пациентов приведена в табл. 1.
Таблица 1. Клиническая характеристика пациентов с ИБС в сочетании с СД 2 и с ИБС без СД 2 Table 1. Clinical presentation of patients with coronary artery disease with type 2 diabetes mellitus and with coronary artery disease without type 2 diabetes mellitus | |||
Характеристика | Группы пациентов | Уровень значимости p | |
ИБС и СД 2 (n=18) | ИБС без СД 2 (n=50) | ||
Пол, абс. (%) | – | ||
Женский | 13 (72,2) | 34 (68) | |
Мужской | 5 (27,8) | 16 (32) | |
Возраст, лет, медиана [межквартильный интервал] | 59 [57–60] | 58 [54–62] | 0,36 |
Длительность СД 2, мес, медиана [межквартильный интервал] | – | – | |
ИМТ, кг/м2, медиана [межквартильный интервал] | 30 [28–33] | 29 [25–31] | 0,02 |
Курение, абс. (%) | 2 (11,1) | 14 (28) | 0,11 |
Отягощенный по сердечно-сосудистым заболеваниям семейный анамнез, абс. (%) | 16 (88,9) | 25 (50) | 0,65 |
Систолическое АД, мм рт. ст., медиана [межквартильный интервал] | 140 [130–145] | 121 [115–140] | 0,03 |
Диастолическое АД, мм рт. ст., медиана [межквартильный интервал] | 82 [80–87] | 80 [76–85] | 0,5 |
Общий холестерин, ммоль/л, медиана [межквартильный интервал] | 0,6 | ||
Холестерин ЛПНП, ммоль/л, медиана [межквартильный интервал] | 0,77 | ||
Холестерин ЛПВП, ммоль/л, медиана [межквартильный интервал] | 0,01 | ||
Триглицериды, ммоль/л, медиана [межквартильный интервал] | 0,4 | ||
Глюкоза натощак, ммоль/л, медиана [межквартильный интервал] | <0,0001 | ||
СКФ (по CKD-EPI), мл/мин/1,73 м2, медиана [интерквартильный интервал] | 82 [79–90] | 87,5 [80–97] | 0,09 |
Масса миокарда ЛЖ, г, медиана [межквартильный интервал] | 0,08 | ||
Индекс массы миокарда ЛЖ, г/м2, медиана [межквартильный интервал] | 0,09 | ||
Гипертрофия миокарда ЛЖ, абс. (%) | 10 (55,6) | 14 (28) | 0,07 |
Неизмененные КА, число пациентов, абс. (%) | 8 (44,5) | 12 (24) | – |
Атеросклеротическое поражение как минимум одной КА более 50%, абс. (%) | 6 (33,3) | 12 (24) | – |
Атеросклеротическое поражение КА менее 50%, абс. (%) | 4 (22,2) | 26 (52) | – |
Примечание. ИМТ – индекс массы тела, АД – артериальное давление, ЛПНП – липопротеины низкой плотности, ЛПВП – липопротеины высокой плотности. | |||
Мы сопоставили результаты ОбКТ сердца с пробой с АТФ у больных с ИБС в сочетании с СД 2 (n=18) и ИБС без СД 2 (n=50). Не выявлено статистически значимых отличий полуколичественных параметров оценки перфузии миокарда ЛЖ, вычисленных вручную (индекс РМП) или автоматически (КТП), в зонах миокарда ЛЖ, расцененных как нарушение перфузии: значение индекса РМП в зонах гипоперфузии у пациентов с ИБС и СД 2 составило 0,64 [0, 62–0, 66], у пациентов с ИБС без СД 2 – 0,65 [0, 63–0, 66]; p=0,4; значение КТП в зонах нарушения перфузии миокарда ЛЖ у пациентов с ИБС и СД 2 составило 0,81 [0, 80–0, 86] против 0,83 [0, 80–0, 85] у пациентов с ИБС без СД 2 (p=0,6). Однако при анализе данных обращает на себя внимание большее количество сегментов гипоперфузии у пациентов с ИБС и СД 2 (33,3%) по сравнению с обследованными с ИБС без СД 2 (14%; p=0,029). При этом у больных с ИБС без СД 2 дефекты перфузии наиболее часто располагались в верхушечных сегментах нижней и боковой стенки, в среднем сегменте переднеперегородочной стенки ЛЖ. У пациентов с ИБС и СД 2 дефекты гипоперфузии распределялись независимо от бассейна пораженных КА.
Проведено сопоставление результатов ОбКТ сердца с пробой с АТФ у больных с ИБС при неизмененных КА и СД 2 (n=8) и у пациентов с ИБС при неизмененных КА без СД 2 (n=12). Клинически названные группы отличались только по уровню глюкозы натощак (5,1 [4, 0–6, 2] ммоль/л у пациентов без СД 2 и 6,75 [6, 02–7, 5] ммоль/л у пациентов с СД 2; p=0,0004). Мы не выявили у данных групп больных различий по частоте верификации ишемии миокарда ЛЖ (44,5% у пациентов с СД 2 против 50,5% у пациентов без СД 2; p=0,2) и количеству выявленных сегментов гипоперфузии (25% у пациентов с СД 2, 33,3% у обследованных без СД 2; p=0,1). Мы сравнили полуколичественные показатели перфузии миокарда ЛЖ – индекс РМП и КТП – у названных групп обследованных пациентов. Индекс РМП в зонах гипоперфузии у пациентов с ИБС с интактными КА и СД 2 составил 0,56 [0, 54–0, 60], у пациентов с ИБС с интактными КА без СД 2 – 0,55 [0, 54–0, 62]; p=0,2. Значение КТП в зонах гипоперфузии у пациентов с ИБС при неизмененных КА и СД 2 составило 0,76 [0, 74–0, 84] против КТП у пациентов с ИБС при неизмененных КА без СД 2 0,8 [0, 76–0, 83]; p=0,3.
Обсуждение
Важность ранней диагностики ИБС у больных СД 2 обусловлена следующими обстоятельствами. СД ассоциирован с двукратным увеличением риска неблагоприятных сердечно-сосудистых событий (ССС) – ИБС, ишемического инсульта, летальных сердечно-сосудистых исходов – независимо от других факторов риска атеросклероза [9]. Результаты 5,5-летнего когортного исследования с включением 1,9 млн человек (из них 1,8% – с СД 2) продемонстрировали более высокий риск нефатального инфаркта миокарда (отношение шансов 1,54 [95% доверительный интервал 1,42–1,67]) среди пациентов с СД 2 по сравнению с пациентами без СД [10]. Получены данные о нарушении резерва коронарного кровотока у пациентов с СД 2, обусловленном микроангиопатией [11]. Таким образом, раннее выявление ИБС у пациентов с СД 2 позволит снизить риск развития неблагоприятных ССС.
С этой целью следует рассматривать проведение КТ-ангиографии КА или функциональных визуализирующих методов оценки (радионуклидные методы оценки перфузии миокарда ЛЖ, стресс-магнитно-резонансная томография сердца или стресс-эхокардиография с применением физической нагрузки или фармакологической пробы) [9]. Согласно исследованию PROMISE КТ-КАГ обладает более высокой предсказательной значимостью в оценке риска развития неблагоприятных ССС по сравнению c функциональными нагрузочными тестами у больных СД 2 [12]. Очевидно, что отправной точкой в оценке прогноза оказалось наличие той или иной степени стеноза КА по данным КТ-КАГ.
В своей работе мы оценивали не только степень стенотических изменений КА, но и характер изменения перфузии миокарда в фармакологической пробе с АТФ у больных с ИБС в сочетании и без СД 2, используя возможности ОбКТ сердца.
В оценке полученных изображений наряду с качественным и полуколичественным анализом перфузии использовали разработанный нами новый полуколичественный параметр оценки перфузии миокарда ЛЖ – индекс РМП, вычисляемый посегментарно. Полуколичественный критерий «индекс РМП» определен опытным путем при сравнении результатов обследования пациентов с наличием и отсутствием ишемии миокарда ЛЖ и продемонстрировал в проведенном нами ранее исследовании высокую чувствительность (95%) и специфичность (84,91%) в выявлении преходящих нарушений перфузии миокарда ЛЖ при сопоставлении с верификацией ишемии миокарда ЛЖ по результатам комплексного обследования [13].
Результаты нашего исследования показывают, что у пациентов с ИБС с СД 2 очаги стресс-индуцированной гипоперфузии локализуются в субэндокардиальной зоне миокарда ЛЖ независимо от характера изменений КА – обструктивные/необструктивные изменения эпикардиальных КА. Это соответствует основным концепциям нарушения кровоснабжения миокарда ЛЖ: субэндокардиальный слой миокарда по сравнению с субэпикардиальным более подвержен воздействию экстравазальной компрессии и снижению способности к вазодилатации. С увеличением метаболических потребностей коронарный кровоток возрастает, однако его резерв в субэндокардиальном слое будет уменьшен.
Анализ данных ОбКТ сердца с фармакологической пробой с АТФ у пациентов с ИБС и СД 2 по сравнению с пациентами с ИБС без СД 2 показал, что при сопоставимой частоте выявления ишемии миокарда ЛЖ пациенты с СД 2 независимо от степени поражения КА отличаются большим количеством сегментов преходящей (ишемической) гипоперфузии в субэндокардиальной зоне (p=0,029), что, наиболее вероятно, связано с диабетической микроангиопатией. По результатам нашего исследования полуколичественные показатели перфузии миокарда (КТП и индекс РМП) в зонах преходящей гипоперфузии у пациентов с ИБС и СД 2 и ИБС без СД 2 идентичны, что подтверждает их единый ишемический генез. Оценка перфузии миокарда ЛЖ методом ОбКТ сердца с фармакологической пробой с АТФ демонстрирует отсутствие статистически значимых различий в частоте выявления ишемии миокарда ЛЖ у больных с ИБС с интактными КА с СД 2 и у больных с ИБС с интактными КА без СД 2. Полуколичественные значения индекса РМП при наличии ишемии миокарда ЛЖ между этими группами больных не отличаются, при этом индекс РМП у больных с верифицированной ишемией миокарда ЛЖ в зонах гипоперфузии оказывается ниже 0,7. Частота верификации ишемии миокарда ЛЖ, по нашим данным, у пациентов с неизмененными КА не зависит от наличия или отсутствия СД 2. Индуцирование АТФ-тестом идентичных по анатомическому расположению в субэндокардиальной зоне и функциональным параметрам (индексу РМП) позволяет предположить проявление описанных зон гипоперфузии вследствие нарушенного резерва коронарного кровотока при неизмененных КА. Ранее также продемонстрировано снижение резерва коронарного кровотока по данным позитронно-эмиссионной томографии сердца у пациентов с СД 2 по сравнению с пациентами без СД 2 при отсутствии изменений КА [14].
Заключение
Проведение ОбКТ сердца с фармакологической пробой с АТФ безопасно и эффективно в выявлении ишемии миокарда у больных СД 2, в том числе при неизмененных КА. У больных с ИБС и СД 2 по данным ОбКТ с пробой АТФ выявляется большее количество очагов гипоперфузии независимо от степени изменения КА по сравнению с больными с ИБС без СД, что может обусловливаться проявлением микроангиопатии в миокарде. Идентичность параметров РМП в зонах гипоперфузии, связанных с гемодинамическим стенозом КА, а также при неизмененных КА указывает на ишемический генез указанных зон.
Проведение ОбКТ с фармакологической пробой АТФ пациентам с СД 2 и возможной ИБС позволяет уточнить характер изменений КА и нарушения перфузии миокарда, что определяет своевременную стратегию ведения пациентов с целью снижения рисков ССС.
Раскрытие интересов. Авторы декларируют отсутствие явных и потенциальных конфликтов интересов, связанных с публикацией настоящей статьи.
Disclosure of interest. The authors declare that they have no competing interests.
Вклад авторов. Авторы декларируют соответствие своего авторства международным критериям ICMJE. Все авторы в равной степени участвовали в подготовке публикации: разработка концепции статьи, получение и анализ фактических данных, написание и редактирование текста статьи, проверка и утверждение текста статьи.
Authors’ contribution. The authors declare the compliance of their authorship according to the international ICMJE criteria. All authors made a substantial contribution to the conception of the work, acquisition, analysis, interpretation of data for the work, drafting and revising the work, final approval of the version to be published and agree to be accountable for all aspects of the work.
Источник финансирования. Авторы декларируют отсутствие внешнего финансирования для проведения исследования и публикации статьи.
Funding source. The authors declare that there is no external funding for the exploration and analysis work.
Информированное согласие на публикацию. Пациенты подписали форму добровольного информированного согласия на публикацию медицинской информации.
Consent for publication. Written consent was obtained from the patients for publication of relevant medical information.
Соответствие принципам этики. Протокол исследования был одобрен локальным этическим комитетом ФГБУ «НМИЦ кардиологии им. акад. Е.И. Чазова». Одобрение и процедуру проведения протокола получали по принципам Хельсинкской конвенции.
Ethics approval. The study was approved by the local ethics committee of Chazov National Medical Research Center of Cardiology. The approval and procedure for the protocol were obtained in accordance with the principles of the Helsinki Convention.
*Соболева Г.Н., Гаман С.А., Шария М.А., и др. Патент РФ №2729030 «Способ диагностики ишемии миокарда методом объемной компьютерной томографии в сочетании с фармакологической пробой аденозинтрифосфатом». Режим доступа: https://patents.google.com/patent/RU2729030C1/ru. Ссылка активна на 30.11.2022.
Список сокращений
About the authors
Galina N. Soboleva
Chazov National Medical Research Center of Cardiology
Author for correspondence.
Email: soboleva_galina@inbox.ru
ORCID iD: 0000-0002-6484-5884
д-р мед. наук, вед. науч. сотр. отд. ангиологии Научно-исследовательского института клинической кардиологии им. А.Л. Мясникова
Russian Federation, MoscowArevik A. Minasyan
Chazov National Medical Research Center of Cardiology
Email: soboleva_galina@inbox.ru
ORCID iD: 0000-0002-9695-0881
аспирант отд. ангиологии Научно-исследовательского института клинической кардиологии им. А.Л. Мясникова
Russian Federation, MoscowSvetlana A. Gaman
Chazov National Medical Research Center of Cardiology
Email: soboleva_galina@inbox.ru
ORCID iD: 0000-0002-2165-3911
канд. мед. наук, ст. науч. сотр. отд. томографии диагностики Научно-исследовательского института клинической кардиологии им. А.Л. Мясникова
Russian Federation, MoscowAnatoly N. Rogoza
Chazov National Medical Research Center of Cardiology
Email: soboleva_galina@inbox.ru
ORCID iD: 0000-0002-0543-3089
д-р биол. наук, проф., и. о. рук. отд. новых методов диагностики Научно-исследовательского института клинической кардиологии им. А.Л. Мясникова
Russian Federation, MoscowLiudmila P. Molina
Endocrinological Dispensary
Email: soboleva_galina@inbox.ru
ORCID iD: 0000-0001-5658-3522
канд. мед. наук, врач-кардиолог
Russian Federation, MoscowTatiana V. Soboleva
Sechenov First Moscow State Medical University (Sechenov University)
Email: soboleva_galina@inbox.ru
ORCID iD: 0000-0003-4509-1068
студентка лечебного фак-та
Russian Federation, MoscowMerab A. Shariya
Chazov National Medical Research Center of Cardiology; Sechenov First Moscow State Medical University (Sechenov University)
Email: soboleva_galina@inbox.ru
ORCID iD: 0000-0002-0370-5204
д-р мед. наук, вед. науч. сотр. отд. томографии Научно-исследовательского института клинической кардиологии им. А.Л. Мясникова, проф. каф. лучевой диагностики ФГБУ «НМИЦ кардиологии им. акад. Е.И. Чазова»
Russian Federation, Moscow; MoscowSergey K. Ternovoy
Chazov National Medical Research Center of Cardiology; Sechenov First Moscow State Medical University (Sechenov University)
Email: soboleva_galina@inbox.ru
ORCID iD: 0000-0003-4374-1063
акад. РАН, д-р мед. наук, проф., гл. науч. сотр. отд. томографии Научно-исследовательского института клинической кардиологии им. А.Л. Мясникова, зав. каф. лучевой диагностики (Сеченовский Университет)
Russian Federation, Moscow; MoscowYuri A. Karpov
Chazov National Medical Research Center of Cardiology
Email: soboleva_galina@inbox.ru
ORCID iD: 0000-0003-1480-0458
д-р мед. наук, проф., гл. науч. сотр. отд. ангиологии Научно-исследовательского института клинической кардиологии им. А.Л. Мясникова
Russian Federation, MoscowReferences
- Барбараш О.Л., Карпов Ю.А., Кашталап В.В., и др. Стабильная ишемическая болезнь сердца. Клинические рекомендации 2020. Российское кардиологическое общество. Российский кардиологический журнал. 2020;25(11):201-50 [Barbarash OL, Karpov YA, Kashtalap VV, et al. 2020 Clinical practice guidelines for stable coronary artery disease. Russian Journal of Cardiology. 2020;25(11):201-50 (in Russian)]. doi: 10.15829/1560-4071-2020-4076
- Knuuti J,Wijns W, Saraste A, et al. 2019 ESC Guidelines for the diagnosis and management of chronic coronary syndromes. Eur Heart J. 2020;41(3):407-77. doi: 10.1093/eurheartj/ehz425
- Seitun S, De Lorenzi C, Cademartiri F, et al. CT Myocardial perfusion imaging: a new frontier in cardiac imaging. Biomed Res Int. 2018;2018:1-21. doi: 10.1155/2018/7295460
- Takx RAP, Сeleng C, Schoepf UJ, et al. CT myocardial perfusion imaging: ready for prime time? Eur J Radiol. 2018;28(3):1253-6. doi: 10.1007/s00330-017-5057-8
- Hasbek Z, Ertürk SA, Çakmakçılar A, et al. Evaluation of myocardial perfusion imaging SPECT parameters and pharmacologic stress test with adenosine versus coronary angiography findings: are they diagnostically concordant? Mol Imaging Radionucl Ther. 2019;28(2):53-61. doi: 10.4274/mirt.galenos.2019.47450
- Mor-Avi V, Kachenoura N, Maffessanti F, et al. Three-dimensional quantification of myocardial perfusion during regadenoson stress computed tomography. Eur J Radiol. 2016;85(5):885-92. doi: 10.1016/j.ejrad.2016.02.028
- Минасян А.А., Соболева Г.Н., Гаман С.А., и др. Безопасность и эффективность объемной компьютерной томографии сердца в сочетании с фармакологической пробой с аденозинтрифосфатом в диагностике ишемической болезни сердца. Кардиология. 2020;60(11):57-65 [Minasyan AA, Soboleva GN, Gaman SA, et al. Safety and Effectiveness of Volumetric Computed Tomography of the Heart in Combination with a PharmacologicaTest with Adenosine Triphosphate in the Diagnosis of Coronary Heart Disease. Kardiologiia. 2020;60(11):57-65 (in Russian)]. doi: 10.18087/cardio.2020.11.n1258
- Алгоритмы специализированной медицинской помощи больным сахарным диабетом. 10-й вып. Под ред. И.И. Дедова, М.В. Шестаковой, А.Ю. Майорова. М., 2021 [Algoritmy spetsializirovannoi meditsinskoi pomoshchi bol'nym sakharnym diabetom. 10-i vyp. Pod red. II Dedova, MV Shestakovoy, AIu Maiorova. Moscow, 2021 (in Russian)].
- Cosentino F, Grant PJ, Aboyans V, et al. 2019 Рекомендации ЕSC/EASD по сахарному диабету, предиабету и сердечно-сосудистым заболеваниям. Российский кардиологический журнал. 2020;25(4):3839 [Cosentino F, Grant PJ, Aboyans V, et al. Leeds Institute of Cardiovascular and Metabolic Medicine, University of Leeds/Leeds Teaching Hospitals NHS Trust, LIGHT Laboratories, Clarendon Way. Russian Journal of Cardiology. 2020;25(4):3839 (in Russian)]. doi: 10.15829/1560-4071-2020-3839
- Shah AD, Langenberg C, Rapsomaniki E, et al. Type 2 diabetes and incidence of cardiovascular diseases: a cohort study in 1.9 million people. Lancet Diabetes Endocrinol. 2015;3:105-13. doi: 10.1016/S2213-8587(14)70219-0
- D'Andrea A, Nistri S, Castaldo F, et al. The relationship between early left ventricular myocardial alterations and reduced coronary flow reserve in non-insulin-dependent diabetic patients with microvascular angina. Int J Cardiol. 2012;154(3):250-5. doi: 10.1016/j.ijcard.2010.09.044
- Sharma A, Coles A, Sekaran NK, et al. Stress testing versus CT angiography in patients with diabetes and suspected coronary artery disease. J Am Coll Cardiol. 2019;73(8):893-902. doi: 10.1016/j.jacc.2018.11.056
- Минасян А.А., Гаман С.А., Соболева Г.Н., и др. Показатели объемной компьютерной томографии сердца с фармакологической пробой с натрия аденозинтрифосфатом в диагностике стабильной ишемической болезни сердца. Кардиологический вестник. 2021;16(2):53-8 [Minasyan AA, Gaman SA, Soboleva GN, et al. Parameters of volume computed tomography combined with adenosine triphosphate test in diagnosis of stable coronary artery disease. Russian Cardiology Bulletin. 2021;16(2):53-8. (in Russian)]. doi: 10.17116/Cardiobulletin20211602153
- Дедов И.И., Александров А.А. Сахарный диабет и коронарный резерв миокарда: перспективы статинов. РМЖ. 2005;28(252):1944 [Dedov II, Alexandrov AA. Diabetes Mellitus and Myocardial Coronary Reserve: Statins Perspectives. RMJ. 2005;28(252):1944 (in Russian)].
Supplementary files




