Hypertrophic cardiomyopathy in elderly: causes, diagnostic and treatment approaches
- Authors: Chumakova O.S.1
-
Affiliations:
- Central State Medical Academy of the President of the Russian Federation
- Issue: Vol 92, No 9 (2020)
- Pages: 63-69
- Section: Reviews
- Submitted: 13.10.2020
- Accepted: 13.10.2020
- Published: 14.10.2020
- URL: https://ter-arkhiv.ru/0040-3660/article/view/46857
- DOI: https://doi.org/10.26442/00403660.2020.09.000558
- ID: 46857
Cite item
Full Text
Abstract
Hypertrophic cardiomyopathy is the most common inherited heart disorder with high clinical heterogeneity. Every fifth patient is older than 60 years at first diagnosis. This review discusses the possible causes for the late onset of hypertrophic cardiomyopathy, the diagnostic and treatment approaches in the elderly.
Keywords
Full Text
АГ – артериальная гипертензия
АСА – алкогольная септальная абляция
ВОЛЖ – выводной отдел левого желудочка
ВСС – внезапная сердечная смерть
ГКМП – гипертрофическая кардиомиопатия
ИКД – имплантируемый кардиовертер-дефибриллятор
ЛЖ – левый желудочек
МА – мерцательная аритмия
МЖП – межжелудочковая перегородка
МК – митральный клапан
РААС – ренин-ангиотензин-альдостероновая система
СН – сердечная недостаточность
ЭКГ – электрокардиограмма
ЭхоКГ – эхокардиография
a-Gal – a-галактозидаза
ATTR (transthyretin amyloidosis) – транстиретиновый амилоидоз
NGS (next generation sequencing) – секвенирование нового поколения
VUS (variant of uncertain significance) – вариант неопределенного значения
Аpo – аполипопротеин
Гипертрофическая кардиомиопатия (ГКМП) – самая распространенная наследственная патология сердца с частотой встречаемости по всему миру 1:500–1:200 [1, 2]. ГКМП характеризуется утолщением миокарда левого желудочка (ЛЖ) без явной гемодинамической причины. При гистологическом исследовании кардиомиоциты гипертрофированы, дезорганизованы и разделены участками интерстициального фиброза [3]. Клиническая картина ГКМП может проявляться обструкцией выводного отдела ЛЖ (ВОЛЖ), предсердными и желудочковыми аритмиями, осложняющимися эмболическими инсультами и внезапной сердечной смертью (ВСС), а также прогрессированием диастолической, а в 3–4% случаев и систолической сердечной недостаточности (СН) [4].
Изначально ГКМП считали болезнью молодых людей, а рубежом между ранним и поздним дебютом являлся возраст 20 лет [5]. Спустя 60 лет с накоплением данных стало очевидно, что возраст первой постановки диагноза может варьировать от 0 до 90 лет. В большинстве случаев диагноз ГКМП впервые устанавливается в 45 (30–58) лет [6], но у каждого пятого болезнь диагностируется поздно (≥60 лет) [7], 20% из них переживают рубеж в 70 лет, около 8% – 80 лет и 2% – ≥90 лет [8]. В исследованиях последних лет, в которых оценивалось влияние на прогноз различных клинических и генетических факторов, а также методов лечения, больных стали разделять на 3 подгруппы: молодые (моложе 30–40 лет), средневозрастные (40–60 лет) и пожилые (старше 60 лет) [7, 9], и, как оказалось, частота и спектр осложнений зависят от возраста дебюта заболевания. Так, при длительном (около 7 лет) наблюдении за больными 3 возрастных групп (7–29 лет, n=474; 30–59 лет, n=1000, и ≥60 лет, n=428) частота развития ГКМП-связанных осложнений составила 17, 8,7 и 3,7% соответственно [10]. Если сравнивать вклад ГКМП в смертность, то он также прогрессивно уменьшается с возрастом. Так, непосредственно от ГКМП-связанных причин умирают 82% молодых больных, 49% в средневозрастной группе и только 8% больных старше 60 лет [7]. Другими словами, чем позже дебют болезни, тем меньше вероятность развития и смерти от ГКМП. Спектр ГКМП-связанных причин смерти также различный. У молодых больных превалирует ВСС, в средней возрастной группе одинаковое количество ВСС и СН, а среди пожилых преобладают эмболические инсульты и СН [10]. Несмотря на значительное снижение смертности непосредственно от ГКМП (с 6 до ниже 1% в год), достигнутое благодаря разработанным схемам лечения [10], общая смертность в популяции больных с ГКМП во всех возрастных группах остается выше по сравнению с одновозрастными группами контроля как минимум в 2 раза [9, 11].
Цель обзора – обсуждение возможных причин отсроченного дебюта ГКМП, а также особенностей диагностики и лечения ГКМП в пожилом возрасте.
Причины позднего дебюта ГКМП
Впервые генетическая природа ГКМП доказана в 1989 г. [12]. С тех пор выявлено более 2 тыс. патогенных вариантов в генах саркомера и саркомерсвязанных генах [13]. ГКМП получила название «болезнь саркомера», или «болезнь сократительных белков», и отнесена к заболеваниям с менделевским (моногенным) характером наследования. Однако в последние годы благодаря появлению методики секвенирования нового поколения (next generation sequencing – NGS) стало очевидно, что молекулярный диагноз удается установить в среднем только в 60% случаев и возраст дебюта болезни значительно влияет на результат генетического исследования. В когорте возрастных больных вероятность обнаружения мутации в генах саркомера составляет всего 10–30% [14–16], в то время как у молодых больных (моложе 45 лет), особенно с асимметричным утолщением межжелудочковой перегородки (МЖП), значительной степенью гипертрофии (≥20 мм) и семейным анамнезом заболевания, вероятность получения положительного генетического анализа повышается до 80% [17]. Использование более широких панелей генов за пределами саркомера, включая исследование всего генома, не привело к какому-либо существенному повышению чувствительности метода [18, 19]. У тех больных, у которых генетический анализ саркомера оказывается положительным, морфология гипертрофии и клинические проявления ГКМП, включая возраст дебюта болезни, могут значительно различаться даже среди носителей одной мутации в пределах одной семьи, включая монозиготных близнецов [20–22].
Можно выделить несколько причин, объясняющих отрицательные результаты генетического анализа у части больных, а также высокую клиническую и возрастную гетерогенность ГКМП.
Так, в эру широкого применения NGS стало выявляться большое количество генетических вариантов с неопределенной патогенностью (variant of uncertain significance – VUS), причинная роль которых в развитии заболевания требует дополнительного подтверждения. Обнаружение у больного VUS трактуется как отрицательный генетический анализ. Однако, согласно недавнему крупному исследованию, включившему 2763 генотипированных больных с ГКМП, лица с VUS занимают промежуточное положение в частоте развития ГКМП-связанных осложнений между носителями и неносителями мутаций в генах саркомера. Вероятно, часть VUS являются патогенными [9], и можно предположить, что у больных с отсроченным дебютом болезни такие варианты становятся причиной болезни чаще, чем у молодых. Также в последние годы стали появляться данные о вовлеченности некодирующих регионов ДНК (глубоких интронных областей) в патогенез заболевания. Так, при повторном генетическом анализе 46 семей с фенотипом ГКМП, у которых при первом анализе саркомерных генов не установлен молекулярный диагноз, в 4 (9%) семьях выявлены варианты в глубоких интронных областях [19].
В последнее время все чаще стала выдвигаться теория о полигенной природе ГКМП, которая может объяснить отсутствие мутаций у части больных, а также ее высокую гетерогенность [23, 24]. Полигенность подразумевает участие других генетических и эпигенетических факторов, а также факторов внешней среды в формировании фенотипа. Так, у более молодых больных с худшим прогнозом достоверно чаще патогенную мутацию в одном из 8 основных генов саркомера сопровождает как минимум еще один редкий вариант в этих генах, который классифицируется как VUS. Очевидно, этот VUS самостоятельно болезнь не вызывает, но оказывает кумулятивный генетический эффект [25]. В ряде исследований, включая полногеномный поиск ассоциаций (genome-wide association study – GWAS), показаны модифицирующие эффекты полиморфизмов, не редких вариантов, расположенных, как в самих генах саркомера и его окружения [26, 27], так и генах, ассоциированных с развитием вторичной гипертрофии, в основном ренин-ангиотензин-альдостероновой системы (РААС) [28–30]. Последнее указывает на, возможно, общие пути патогенеза ГКМП и вторичной гипертрофии, однако применение препаратов из группы блокаторов РААС не продемонстрировало влияния ни на гипертрофию, ни на фиброз у больных с ГКМП [31, 32]. В старшей возрастной группе, когда прогноз жизни оказывается более благоприятным, возможно, большее значение для пенетрантности относительно доброкачественных генетических вариантов имеют внешние факторы, возникающие с течением жизни, что может объяснять отсроченный дебют болезни.
Диагноз и дифференциальный диагноз ГКМП у пожилых
Диагноз ГКМП устанавливается на основании наличия необъяснимой гипертрофии миокарда ЛЖ≥15 мм у взрослых пробандов и ≥13 мм у родственников, по данным визуальных методов исследования сердца [1].
Морфология ГКМП у пожилых в сравнении с молодыми
В зависимости от характера гипертрофии миокарда ЛЖ выделяют ряд основных морфологических форм: асимметричная гипертрофия МЖП, верхушечная, симметричная и мезовентрикулярная формы, а также изолированное утолщение базального отдела МЖП, называемое сигмовидной МЖП. Все перечисленные формы можно встретить в любом возрасте, однако больные с отсроченным дебютом ГКМП по сравнению с более молодыми имеют менее выраженную гипертрофию миокарда ЛЖ, реже гипертрофию миокарда правого желудочка, бóльшие размеры левых камер сердца, у них чаще встречаются сигмовидная МЖП, кальцификация фиброзного кольца митрального клапана (МК) и овальная форма полости ЛЖ, в то время как у молодых полость ЛЖ чаще бывает в виде полумесяца из-за инвертированной гипертрофии МЖП [33–35].
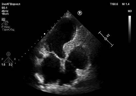
Сигмовидная МЖП – феномен, встречающийся преимущественно в старшей возрастной группе и не имеющий на сегодняшний день однозначного объяснения (рис. 1). Критериями сигмовидной МЖП при эхокардиографическом (ЭхоКГ) исследовании являются: изолированное утолщение проксимальной трети МЖП≥13 у мужчин и ≥12 мм у женщин с дюноподобным провисанием в ВОЛЖ и более чем 50% превышением толщины МЖП в соседнем срединном сегменте [36]. Согласно данным исследований I. Ranasinghe и M. Canepa и соавт. распространенность сигмовидной МЖП среди тех, кому проводится ЭхоКГ по различным показаниям, составляет 6–7% с отчетливой ассоциацией с возрастом и без связи с полом или сопутствующей патологией в виде артериальной гипертензии (АГ), сахарного диабета или ожирения. Средний возраст пациентов с сигмовидной МЖП – 76 лет, а распространенность в возрастной группе старше 78 лет – 17%. У 3% таких больных выявляется обструкция ВОЛЖ. Ни у одного из обследованных 240 больных с сигмовидной МЖП не имелось семейного анамнеза ГКМП, а типичные для ГКМП изменения на электрокардиограмме (ЭКГ) встречаются нечасто (рис. 2) [36, 37]. У больных с изолированной гипертрофией базального отдела МЖП по сравнению с другой морфологией ГКМП реже регистрируется накопление контраста в отсроченную фазу магнитно-резонансной томографии сердца [38].
Рис. 1. Сигмовидная МЖП у больной 94 лет.
Рис. 2. ЭКГ больной 94 лет без нарушений реполяризации и патологических зубцов Q, характерных для ГКМП.
Вероятность положительного генетического анализа саркомера у больных с сигмовидной МЖП очень небольшая, около 8% [33, 39]. В исследовании T. Hirota и соавт. сравнили морфологию ЛЖ у больных старше и моложе 65 лет с патогенными мутациями в гене миозинсвязывающего белка С (MYBPC3). Среди возрастных пациентов с установленной генетической причиной гипертрофии ЛЖ не имелось сигмовидной МЖП, а форма ЛЖ напоминала полумесяц, что характерно для молодых [16]. Возможным негенетическим объяснением изолированного утолщения базального отдела МЖП может быть изменение угла между аортой и МЖП, возникающее с возрастом, что приводит к изменению потока в ВОЛЖ. Несмотря на превалирование в старшей возрастной группе, данный феномен встречается и у молодых людей и тоже с небольшой пользой от генетического анализа саркомерных генов [33, 36], что свидетельствует против его моногенного происхождения.
Вторичная гипертрофия
Сложность диагностики ГКМП у пожилых связана с присоединением или дебютом других болезней, которые также приводят к развитию гипертрофии миокарда ЛЖ. Это прежде всего неконтролируемая АГ и аортальный стеноз. Наличие этих заболеваний не исключает присутствие ГКМП, но может помешать ее выявлению.
К отличительным признакам, которые помогают заподозрить ГКМП, несмотря на наличие АГ или аортального стеноза, относят: выраженность гипертрофии ≥18 мм, ее асимметричность, форму полости ЛЖ в виде полумесяца, сопутствующую гипертрофию правого желудочка и папиллярных мышц, аномальное удлинение створок МК, обструкцию ВОЛЖ, характерное интрамиокардиальное накопление гадолиния в зонах гипертрофии в отсроченную фазу контрастирования при магнитно-резонансной томографии сердца, а также наличие ГКМП или случаев ранней ВСС у родственников. Кроме того, отсутствие нарушений реполяризации и/или патологических зубцов Q на ЭКГ практически исключает ГКМП как причину гипертрофии миокарда ЛЖ [1].
Фенокопии ГКМП у пожилых
Установление диагноза ГКМП в ряде случаев требует дополнительного обследования для исключения более редких заболеваний, называемых фенокопиями ГКМП, при которых также выявляется необъяснимое гемодинамическими причинами утолщение стенок ЛЖ, но другого происхождения. Многие из них имеют патогенетическое лечение, поэтому их диагностика крайне важна для прогноза больного. В пожилом возрасте актуальными фенокопиями ГКМП можно назвать амилоидоз сердца и болезнь Фабри.
Амилоидоз
Амилоидоз сердца является более редким заболеванием, чем ГКМП, и встречается преимущественно в пожилом возрасте. Амилоидоз – это инфильтративное заболевание, развивающееся в результате отложения патологического нерастворимого белка амилоида в различные органы и ткани, что приводит к повреждению их структуры и функции. В сердце амилоид откладывается вокруг кардиомиоцитов, что на ЭхоКГ проявляется гипертрофией миокарда ЛЖ, а в клинической картине – быстропрогрессирующей диастолической и систолической СН и нарушениями проводимости. Амилоидоз может маскироваться под ГКМП или являться сопутствующим заболеванием [40]. Предшественниками амилоида, который способен поражать сердце, в большинстве случаев становятся два белка: транстиретиновый амилоидоз (Transthyretin amyloidosis– ATTR) и легкие цепи иммуноглобулинов (Amyloid Light-chain – AL). Крайне редко причиной развития амилоидоза сердца становятся другие белки, такие как аполипопротеины (Аpo)А-1 и Apo-2, сывороточный амилоид А, β2-микроглобулин, гельзолин, лизоцим, предсердный натрийуретический пептид и ряд других [41]. Перечисленные белки приобретают патологическую амилоидогенность с возрастом или в результате мутаций в соответствующих генах, поэтому выделяют наследственный и приобретенный варианты амилоидоза.
N. Maurizi и соавт. обследованы 343 больных с исходным диагнозом ГКМП (возраст 60±13 лет), у 12 (3,5%) из которых диагностированы наследственные варианты амилоидоза (ATTR у 11 и ApoA-1 у 1) и еще у 20 (5,8%) больных – ненаследственные варианты амилоидоза (ATTR у 17 и AL у 3). Таким образом, из 343 больных с ГКМП у 32 (9%) диагноз изменен на «амилоидоз», причем его вероятность увеличивалась с возрастом: 1/75 (1%) в возрастной группе 40–49 лет, 2/86 (2%) в возрасте 50–59 лет, 8/84 (9%) в возрасте 60–69 лет, 13/61 (21%) в возрасте 70–79 лет и 8/31 (26%) в возрасте ≥80 лет (p<0,01) [42]. Помимо NGS генов TTRи ApoA-1дообследование больных включало в себя анализ крови и мочи на моноклональную гаммапатию, биопсию подкожного жира, а также сцинтиграфию сердца с костным изотопом. Дообследовали больных, у которых имелся хотя бы один дополнительный клинический признак, указывающий на возможность наличия амилоидоза: чрезмерное повышение уровня натрийуретического пептида, синдром запястного канала, выпот в полости перикарда, симметричная гипертрофия ЛЖ, неоднородность миокарда на ЭхоКГ, низкий вольтаж QRS на ЭКГ, атриовентрикулярная блокада 3-й степени, хроническая почечная недостаточность. В исследовании E. González-López и соавт. среди 120 пожилых больных с гипертрофией миокарда ЛЖ≥12 мм, сохраненной фракцией выброса ЛЖ и признаками СН проведение только одного дополнительного исследования – сцинтиграфии сердца позволило выявить умеренное и значительное накопление в миокарде костного изотопа у 16 (13,3%) больных. Избирательная эндомиокардиальная биопсия у 4 из 16 больных подтвердила диагноз ATTR [43]. Результаты этих и многих других исследований указывают на необходимость уделять повышенное внимание клиническим признакам амилоидоза у больных с фенотипом ГКМП старше 50–60 лет. Своевременная диагностика амилоидоза позволяет применять в том числе патогенетическое лечение, что замедляет прогрессирование этого тяжелого заболевания с неблагоприятным прогнозом.
Болезнь Фабри
Болезнь Фабри (Андерсона–Фабри), X-сцепленная болезнь накопления, являющаяся результатом дефицита лизосомального фермента α-галактозидазы (α-Gal) A вследствие мутаций в гене GLA. Дефицит α-Gal A приводит к внутриклеточному накоплению глоботриазилцерамида (GL-3) и других сфинголипидов, в особенности в сосудах кожи, почек, сердца и головного мозга с развитием их дисфункции. Возраст дебюта и выраженность симптомов зависят от степени дефицита α-Gal A. У мужчин, так как они гемизиготы, дефицит α-Gal A и, соответственно, проявления болезни обычно возникают раньше и более выражены, чем у женщин. Клинически выделяют две формы болезни Фабри – классическую и неклассическую. Первая встречается редко (1:400 000). Для нее характерны ангиокератомы, акропарестезии, гипогидроз, вортексная кератопатия, появляющиеся уже в детстве или подростковом возрасте. Прогрессирование болезни приводит к поражению почек, сердца и головного мозга и преждевременной смерти.
Неклассическая форма характеризуется более поздним дебютом и развитием необъяснимой гипертрофии миокарда ЛЖ с СН, хронической почечной недостаточности и криптогенных инсультов по ишемическому типу при отсутствии или малой выраженности кожных и глазных симптомов. Распространенность неклассической формы болезни Фабри в 10 раз выше (1:4000) по сравнению с классической [44]. Среди взрослых больных с фенотипом ГКМП дообследование приводит к смене диагноза в 1–6% случаев, но наиболее часто в возрасте старше 40 лет, в том числе у больных старше 80 лет [45, 46]. Заподозрить болезнь Фабри у больного с гипертрофией миокарда ЛЖ можно по сопутствующим нарушениям проводимости (особенно характерно укорочение интервала PQ на ЭКГ) и присутствию признаков поражения других органов, перечисленных выше. Самым простым способом выявить болезнь Фабри является проведение генетического анализа.
Генетический анализ
Генетический анализ в настоящее время рекомендован всем больным с фенотипом ГКМП вне зависимости от возраста дебюта заболевания для проведения дифференциального диагноза с фенокопиями и последующего семейного скрининга. Современные панели (наборы) генов, исследуемых при ГКМП, наряду с генами саркомера обязательно включают в себя гены GLA и TTR. Отрицательный анализ генов саркомера не исключает ГКМП, но обнаружение мутации ассоциировано более чем с двукратным повышением риска развития ВСС, СН и мерцательной аритмии (МА) вне зависимости от возраста больного [9], что может быть использовано при принятии решения о более или менее агрессивной тактике ведения больных, особенно пожилого возраста.
Лечение ГКМП у пожилых
ГКМП может протекать бессимптомно или проявляться стенокардией, одышкой, обмороками, сердцебиениями. Эти симптомы могут быть связаны с обструкцией ВОЛЖ, патологией микроциркуляторного русла, снижением ударного объема ЛЖ на фоне уменьшения его полости, диастолической дисфункцией ЛЖ, митральной недостаточностью, аритмиями, легочной гипертензией. У пожилых больных жалобы часто имеют смешанный генез, включающий атеросклероз, АГ и другие сопутствующие заболевания, что затрудняет выбор тактики ведения. На сегодняшний день ни один из доступных лекарственных препаратов, применяемых для лечения ГКМП, не продемонстрировал влияния на прогноз больных в клинических исследованиях [47], и поэтому вся фармакологическая терапия является симптоматической. Хирургические методы, такие как редукция массы миокарда ЛЖ и установка имплантируемого кардиовертера-дефибриллятора (ИКД), улучшают долгосрочный прогноз, однако проблемой остается стратификация риска больных для инвазивных вмешательств [48]. Единственная общая рекомендация для всех больных с ГКМП касается интенсивных и длительных физических нагрузок, которых следует избегать. Подробнее с показаниями для медикаментозной терапии и инвазивных вмешательств при ГКМП можно ознакомиться в ранее опубликованных обзорах и рекомендациях [1, 47]. В настоящем обзоре будут приведены только особенности применения различных фармакологических и хирургических вмешательств у пожилых больных.
По статистике, 2/3 больных с ГКМП имеют обструкцию ВОЛЖ, при этом только у 1/2 из них она присутствует в покое [1], у остальных необходимо проведение стресс-ЭхоКГ. Выявление обструкции ВОЛЖ является важным шагом в обследовании больного с ГКМП, так как она ограничивает список препаратов к применению. У пожилых больных для выявления скрытой обструкции ВОЛЖ часто бывает достаточным проведение небольшой провокации, а именно пробы Вальсальвы или приседаний. При выборе препарата с целью облегчения симптомов, связанных с обструкцией ВОЛЖ, предпочтение отдается b-адреноблокаторам из-за лучшей переносимости и дополнительных антиишемического и антиаритмического эффектов, что особенно важно для пожилых больных с сопутствующей ишемической болезнью сердца. Наиболее часто используют атенолол (50–150 мг/сут), надолол (40–160 мг/сут), бисопролол (5–15 мг/сут) и метопролол (100–200 мг/сут). Дозировки достаточно большие, но переносятся, как правило, хорошо, и титрация проходит легче, чем у больных с СН [47]. В случае невозможности применения b-адреноблокаторов используют верапамил или дилтиазем, однако они менее эффективны в снижении градиента давления в ВОЛЖ и обладают более выраженным вазодилятирующим эффектом по сравнению с b-адреноблокаторами, что диктует начало терапии с малых доз. Дизопирамид – единственный препарат, способный снижать градиент давления в ВОЛЖ в покое. Тем не менее его применение сильно ограничено его антихолинергическими и проаритмогенными эффектами, особенно у пожилых людей, у которых почти всегда имеются сопутствующие заболевания и риск межлекарственных взаимодействий [49]. В случае необходимости назначения дополнительного гипотензивного препарата следует помнить о риске усугубления обструкции ВОЛЖ препаратами из классов блокаторов РААС, мочегонных, дигидропиридинов и нитратов. Их следует применять с осторожностью, начиная с малых доз и последующей титрацией до эффективной дозы.
У больных с одышкой II класса и выше, резистентной к медикаментозной терапии, в сочетании с выраженной (≥50 мм рт. ст.) обструкцией ВОЛЖ проводится хирургическая редукция массы МЖП. У пожилых больных из-за более высокого операционного риска предпочтение отдается алкогольной септальной абляции (АСА) [50]. У лиц с ГКМП старше 55 лет АСА чаще осложняется атриовентрикулярной блокадой (43% против 21%), в том числе приводящей к установке постоянного кардиостимулятора (13% против 5%). По остальным параметрам эффективности и безопасности АСА (остаточный градиент давления в ВОЛЖ, функциональный класс СН, необходимость проведения повторных вмешательств на МЖП, а также аритмические события в сравнении с сопоставимыми по возрасту группами контроля с ГКМП без обструкции) не имеет возрастных различий [51]. Хирургическая миосептэктомия остается методом выбора лечения больных с сопутствующими анатомическими особенностями, такими как патология МК, гипертрофия папиллярных мышц или слишком выраженная гипертрофия МЖП (≥30 мм), подклапанная мембрана или показания к аортокоронарному шунтированию. В крупном сравнительном исследовании (n=477) больных с обструктивной формой ГКМП, подвергшихся хирургической редукции массы МЖП, продемонстрирована сопоставимо низкая смертность (2,0% при АСА и 2,9% при миосептэктомии; р=0,63) при длительности наблюдения 4,0±2,9 года. Недостатком АСА являлись более частые случаи возврата симптомов тяжелой СН (10,3% против 4,2%; р<0,001) и остаточного градиента давления в ВОЛЖ≥30 мм рт. ст. (26,3% против 2,1%; р<0,001), что закономерно потребовало повторного хирургического вмешательства у 7,1% больных после АСА [52]. Тем не менее у пожилых пациентов из-за часто присутствующей коморбидности предпочтение отдается АСА.
В отношении риска ВСС при ГКМП возраст играет положительную роль, так как пожилые больные уже прошли «испытание временем» и предсказательные факторы риска ВСС у них теряют свою силу с каждым прожитым годом. Согласно данным исследования B. Maron и соавт. частота ВСС у больных старше 60 лет даже при наличии нескольких факторов риска крайне низка, и целесообразность установки ИКД с целью первичной профилактики ВСС у них сомнительна [53]. Средний возраст установки ИКД у больных с ГКМП составляет 38±17 лет [10].
Самым частым осложнением ГКМП у пожилых больных является МА, что обусловливает повышенный риск тромбоэмболических событий. В результате крупного метаанализа (n=7381) продемонстрировано, что распространенность МА среди больных с ГКМП составляет 22,5 и 3% новых случаев на 100 больных в год [54], что в 4–6 раз выше, чем в сопоставимой по возрасту общей популяции. Предикторами развития первого эпизода МА являются возраст, женский пол, размер левого предсердия, класс СН, наличие АГ и сосудистого заболевания, как определено в шкале CHA2DS2-VASc [55]. Первый эпизод МА более чем у 60% больных случается после 50 лет [56], а распространенность МА среди лиц старше 70 лет достигает 40% [57]. Вероятно, этим объясняется преобладание эмболических инсультов среди ГКМП-связанных причин смерти в старшей возрастной группе [53]. Рекомендованное в настоящее время ежегодное суточное мониторирование ЭКГ можно проводить обоснованно чаще (каждые 6 мес) у больных старше 50 лет и при размере левого предсердия ≥45 мм [1] с целью как можно более раннего начала антикоагулянтной терапии без учета риска тромбоэмболических осложнений по шкале CHA2DS2-VASc.
Выводы
ГКМП давно перестала быть болезнью молодых людей или «болезнью исключения». ГКМП впервые диагностируется после 60 лет у каждого пятого больного. У пожилых людей возможно сочетание двух, а то и трех заболеваний, включая ГКМП, приводящих к развитию гипертрофии миокарда ЛЖ, что следует учитывать при обследовании. Возраст играет положительную роль в отношении риска ВСС при ГКМП, но повышает вероятность развития эмболических инсультов. Поэтому если у молодых больных основным способом продления жизни остается своевременная установка ИКД, то у пожилых – своевременное выявление МА и начало антикоагулянтной терапии. При благоприятных анатомических характеристиках в качестве метода хирургической коррекции обструкции ВОЛЖ у пожилых больных предпочтение отдается АСА. Генетический анализ помогает в проведении дифференциального диагноза, скрининге родственников, а также определении прогноза у больных с ГКМП любого возраста.
About the authors
O. S. Chumakova
Central State Medical Academy of the President of the Russian Federation
Author for correspondence.
Email: chumakovaolga@bk.ru
ORCID iD: 0000-0003-2373-1183
к.м.н., доц. каф. терапии, кардиологии и функциональной диагностики с курсом нефрологии
Russian Federation, MoscowReferences
- Elliott PM, Anastasakis A, Borger MA, et al. 2014 ESC Guidelines on diagnosis and management of hypertrophic cardiomyopathy. Eur Heart J. 2014;35(39):2733-79. doi: 10.1093/eurheartj/ehu284
- Semsarian C, Ingles J, Maron MS, Maron BJ. New perspectives on the prevalence of hypertrophic cardiomyopathy. J Am Coll Cardiol. 2015;65(12):1249-54. doi: 10.1016/j.jacc.2015.01.019
- Marian AJ, Braunwald E. Hypertrophic Cardiomyopathy: Genetics, Pathogenesis, Clinical Manifestations, Diagnosis, and Therapy. Circ Res. 2017;121(7):749-70. doi: 10.1161/CIRCRESAHA.117.311059
- Maron BJ, Harris KM, Spirito P, et al. Prevalence, clinical profile, and significance of left ventricular remodeling in the end-stage phase of hypertrophic cardiomyopathy. Circulation. 2006;114:216-25. doi: 10.1161/CIRCULATIONAHA.105.583500
- Hardarson T, De la Calzada CS, Curiel R, Goodwin JF. Prognosis and mortality of hypertrophic obstructive cardiomyopathy. Lancet. 1973;2(7844):1462-7. doi: 10.1016/s0140-6736(73)92730-x
- Charron P, Elliott PM, Gimeno JR, et al.; EORP Cardiomyopathy Registry Investigators. The Cardiomyopathy Registry of the EURObservational Research Programme of the European Society of Cardiology: baseline data and contemporary management of adult patients with cardiomyopathies. Eur Heart J. 2018;39(20):1784-93. doi: 10.1093/eurheartj/ehx819
- Maron BJ, Rowin EJ, Casey SA, et al. What Do Patients With Hypertrophic Cardiomyopathy Die from? Am J Cardiol. 2016;117(3):434-5. doi: 10.1016/j.amjcard.2015.11.013
- Maron BJ, Casey SA, Haas TS, et al. Hypertrophic Cardiomyopathy With Longevity to 90 Years or Older. Am J Cardiol. 2012;109(9):1341-7. doi: 10.1016/j.amjcard.2011
- Ho CY, Day SM, Ashley EA, et al. Genotype and Lifetime Burden of Disease in Hypertrophic Cardiomyopathy: Insights from the Sarcomeric Human Cardiomyopathy Registry (SHaRe). Circulation. 2018;138(14):1387-98. doi: 10.1161/CIRCULATIONAHA.117.033200
- Maron BJ, Casey SA, Maron MS. How Hypertrophic Cardiomyopathy Became a Contemporary Treatable Genetic Disease With Low Mortality. Shaped by 50 Years of Clinical Research and Practice. JAMA Cardiol. 2016;1(1):98-105. doi: 10.1001/jamacardio.2015.0354
- Lorenzini M, Anastasiou Z, O’Mahony C, et al. Mortality Among Referral Patients With Hypertrophic Cardiomyopathy vs the General European Population. JAMA Cardiol. 2019; p. E1-E8. doi: 10.1001/jamacardio.2019.4534
- Geisterfer-Lowrance AAT, Kass S, Tanigawa G, et al. A Molecular Basis for Familial Hypertrophic Cardiomyopathy: A beta Cardiac Myosin Heavy Chain Gene Missense Mutation. Cell. 1990;62:999-1006. doi: 10.1016/0092-8674(90)90274-i
- Maron BJ, Maron MS, Maron BA, Loscalzo J. Moving Beyond the Sarcomere to Explain Heterogeneity in Hypertrophic Cardiomyopathy: JACC Review Topic of the Week. J Am Coll Cardiol. 2019;73(15):1978-86. doi: 10.1016/j.jacc.2019.01.061
- Ingles J, Burns C, Bagnall RD, et al. Nonfamilial Hypertrophic Cardiomyopathy: Prevalence, Natural History, and Clinical Implications. Circ Cardiovasc Genet. 2017;10(2):e001620. doi: 10.1161/CIRCGENETICS.116.001620
- Anan R, Niimura H, Takenaka T, et al. Mutations in the genes for sarcomeric proteins in Japanese patients with onset sporadic hypertrophic cardiomyopathy after age 40 years. Am J Cardiol. 2007;99(12):1750-4. doi: 10.1016/j.amjcard.2007.01.066
- Hirota T, Kitaoka H, Kubo T, et al. Morphologic characteristics of hypertrophic cardiomyopathy of the elderly with cardiac myosin-binding protein C gene mutations. Circ J. 2006;70(7):875-9. doi: 10.1253/circj.70.875
- Bos JM, Will ML, Gersh BJ, et al. Characterization of a phenotype-based genetic test prediction score for unrelated patients with hypertrophic cardiomyopathy. Mayo Clin Proc. 2014;89(6):727-37. doi: 10.1016/j.mayocp.2014.01.025
- Alfares AA, Kelly MA, McDermott G, et al. Results of clinical genetic testing of 2,912 probands with hypertrophic cardiomyopathy: expanded panels offer limited additional sensitivity. Genet Med. 2015;17(11):880-8. doi: 10.1038/gim.2014.205
- Bagnall RD, Ingles J, Dinger ME, et al. Whole Genome Sequencing Improves Outcomes of Genetic Testing in Patients With Hypertrophic Cardiomyopathy. J Am Coll Cardiol. 2018;72(4):419-29. doi: 10.1016/j.jacc.2018.04.078
- Van Driest SL AM, Ommen SR, Shakur R, et al. Prevalence and severity of «benign» mutations in the beta-myosin heavy chain, cardiac troponin T, and α-tropomyosin genes in hypertrophic cardiomyopathy. Circulation. 2002;106(24):3085-90. doi: 10.1161/01.cir.0000042675.59901.14
- Oliva-Sandoval MJ, Ruiz-Espejo F, Monserrat L, et al. Insights into genotype-phenotype correlation in hypertrophic cardiomyopathy. Findings from 18 Spanish families with a single mutation in MYBPC3. Heart. 2010;96(24):1980-4. doi: 10.1136/hrt.2010.200402
- Jansweijer JA, van Spaendonck-Zwarts KY, Tanck MWT, et al. Heritability in genetic heart disease: the role of genetic background. Open Heart. 2019;6(1):e000929. doi: 10.1136/openhrt-2018-000929
- Cerrone M, Remme CA, Tadros R, et al. Beyond the One Gene-One Disease Paradigm: Complex Genetics and Pleiotropy in Inheritable Cardiac Disorders. Circulation. 2019;140(7):595-610. doi: 10.1161/CIRCULATIONAHA.118.035954
- Li L, Bainbridge MN, Tan Y, et al. A Potential Oligogenic Etiology of Hypertrophic Cardiomyopathy: A Classic Single-Gene Disorder. Circ Res. 2017;120(7):1084-90. doi: 10.1161/CIRCRESAHA.116.310559
- Burns C, Bagnall RD, Lam L, et al. Multiple Gene Variants in Hypertrophic Cardiomyopathy in the Era of Next-Generation Sequencing. Circ Cardiovasc Genet. 2017;10(4):e001666. doi: 10.1161/CIRCGENETICS.116.001666
- Mouton JM, van der Merwe L, Goosen A, et al. MYBPH acts as modifier of cardiac hypertrophy in hypertrophic cardiomyopathy (HCM) patients. Hum Genet. 2016;135(5):477-83. doi: 10.1007/s00439-016-1649-7
- Wooten EC, Hebl VB, Wolf MJ, et al. Formin Homology 2 Domain Containing 3 (FHOD3) Variants Associated with Hypertrophic Cardiomyopathy. Circ Cardiovasc Genet. 2013;6(1):10-8. doi: 10.1161/CIRCGENETICS.112.965277
- Perkins MJ Van Driest SL, Ellsworth EG, et al. Gene-specific modifying effects of pro-LVH polymorphisms involving the renin-angiotensin-aldosterone system among 389 unrelated patients with hypertrophic cardiomyopathy. Eur Heart J. 2005;26:2457-62. doi: 10.1093/eurheartj/ehi438
- Ortlepp JR, Vosberg HP, Reith S, et al. Genetic polymorphisms in the renin-angiotensin-aldosterone system associated with expression of left ventricular hypertrophy in hypertrophic cardiomyopathy: a study of five polymorphic genes in a family with a disease causing mutation in the myosin binding protein C gene. Heart. 2002;87:270-5. doi: 10.1136/heart.87.3.270
- Kolder IC, Michels M, Christiaans I, et al. The role of renin-angiotensin-aldosterone system polymorphisms in phenotypic expression of MYBPC3-related hypertrophic cardiomyopathy. Eur J Hum Genet. 2012;20(10):1071-7. doi: 10.1038/ejhg.2012.48
- Axelsson A, Iversen K, Vejlstrup N, et al. Efficacy and safety of the angiotensin II receptor blocker losartan for hypertrophic cardiomyopathy: the INHERIT randomised, double-blind, placebo-controlled trial. Lancet Diabetes Endocrinol. 2015;3(2):123-31. doi: 10.1016/S2213-8587(14)70241-4
- Maron MS, Chan RH, Kapur NK, et al. Effect of Spironolactone on Myocardial Fibrosis and Other Clinical Variables in Patients with Hypertrophic Cardiomyopathy. Am J Med. 2018;131(7):837-41. doi: 10.1016/j.amjmed.2018.02.025
- Binder J, Ommen SR, Gersh BJ, et al. Echocardiography-guided genetic testing in hypertrophic cardiomyopathy: septal morphological features predict the presence of myofilament mutations. Mayo Clin Proc. 2006;81(4):459-67. doi: 10.4065/81.4.459
- Kubo T, Kitaoka H, Okawa M, et al. Hypertrophic cardiomyopathy in the elderly. Geriatr Gerontol Int. 2010;10(1):9-16. doi: 10.1111/j.1447-0594.2009.00572.x
- Lever HM, Karam RF, Currie PJ, Healy BP. Hypertrophic cardiomyopathy in the elderly. Distinctions from the young based on cardiac shape. Circulation. 1989;79(3):580-9. doi: 10.1161/01.cir.79.3.580
- Canepa M, Malti O, David M, et al. Prevalence, Clinical Correlates and Functional Impact of Subaortic Ventricular Septal Bulge (From the Baltimore Longitudinal Study of Aging). Am J Cardiol. 2014;114(5):796-802. doi: 10.1016/j.amjcard.2014.05.068
- Ranasinghe I, Ayoub C, Cheruvu C, et al. Isolated hypertrophy of the basal ventricular septum: characteristics of patients with and without outflow tract obstruction. Int J Cardiol. 2014;173(3):487-93. doi: 10.1016/j.ijcard.2014.03.078
- Turer AT, Samad Z, Valente AM, et al. Anatomic and clinical correlates of septal morphology in hypertrophic cardiomyopathy. Eur J Echocardiogr. 2011;12(2):131-9. doi: 10.1093/ejechocard/jeq163
- Bos JM, Will M, Ommen S, et al. Yield of genetic testing among patients with hypertrophic cardiomyopathy diagnosed after 65 years of age. JACC. 2013;61(10):E1305. doi: 10.1016/S0735-1097(13)61305-4
- Hata Y, Ichimata S, Yamaguchi Y, et al. Clinicopathological and Genetic Profiles of Cases with Myocyte Disarray - Investigation for Establishing the Autopsy Diagnostic Criteria for Hypertrophic Cardiomyopathy. J Clin Med. 2019;8(4):463. doi: 10.3390/jcm8040463
- Maleszewski JJ. Cardiac amyloidosis: pathology, nomenclature and typing. Cardiovascular Pathology. 2015;24(6):343-50. doi: 10.1016/j.carpath.2015.07.008
- Maurizi N, Rella V, Fumagalli C, et al. Prevalence of cardiac amyloidosis among adult patients referred to tertiary centres with an initial diagnosis of hypertrophic cardiomyopathy. Int J Cardiol. 2019:S0167-5273(19)30935-0. doi: 10.1016/j.ijcard.2019.07.051
- González-López E, Gallego-Delgado M, Guzzo-Merello G, et al. Wild-type transthyretin amyloidosis as a cause of heart failure with preserved ejection fraction. Eur Heart J. 2015;36(38):2585-94. doi: 10.1093/eurheartj/ehv338
- Spada M, Pagliardini S, Yasuda M, et al. High incidence of later-onset fabry disease revealed by newborn screening. Am J Hum Genet. 2006;79(1):31-40. doi: 10.1086/504601
- Monserrat L, Gimeno-Blanes JR, Marin F, et al. Prevalence of fabry disease in a cohort of 508 unrelated patients with hypertrophic cardiomyopathy. J Am Coll Cardiol. 2007;50(25):2399-403. doi: 10.1016/j.jacc.2007.06.062
- Sachdev B, Takenaka T, Teraguchi H, et al. Prevalence of Anderson-Fabry disease in male patients with late onset hypertrophic cardiomyopathy. Circulation. 2002;105:1407-11. doi: 10.1161/01.cir.0000012626.81324.38
- Ammirati E, Contri R, Coppini R, et al. Pharmacological treatment of hypertrophic cardiomyopathy: current practice and novel perspectives. Eur J Heart Fail. 2016;18(9):1106-18. doi: 10.1002/ejhf.541
- Leong KMW, Chow JJ, Ng FS, et al. Comparison of the Prognostic Usefulness of the European Society of Cardiology and American Heart Association/American College of Cardiology Foundation Risk Stratification Systems for Patients With Hypertrophic Cardiomyopathy. Am J Cardiol. 2018;121(3):349-55. doi: 10.1016/j.amjcard.2017.10.027
- Ушкалова Е.А. Зырянов С.К., Затолочина К.Э. и др. Применение антиаритмических средств у пожилых пациентов. Препараты I и II класса по классификации Вогана-Вильямса. Рациональная Фармакотерапия в Кардиологии. 2016;12(4):471-8 [Ushkalova EA, Zyryanov SK, Zatolochina KE, et al. Antiarrhythmic drugs use in elderly patients. Vaughan Williams class I and II drugs. Rational Pharmacotherapy in Cardiology. 2016;12(4):471-8 (In Russ.)]. doi: 10.20996/1819-6446-2016-12-4-471-478
- Gersh BJ, Maron BJ, Bonow RO, et al. 2011 ACCF/AHA guideline for the diagnosis and treatment of hypertrophic cardiomyopathy: a report of the American College of Cardiology Foundation/American Heart Association Task Force on Practice Guidelines. Circulation. 2011;124(24):e783-831. doi: 10.1161/CIR.0b013e318223e2bd
- Liebregts M, Steggerda RC, Vriesendorp PA, et al. Outcomes of Alcohol Septal Ablation in Younger Patients With Obstructive Hypertrophic Cardiomyopathy. JACC Cardiovasc Interv. 2016;9(5):463-9. doi: 10.1016/j.jcin.2015.11.036
- Kimmelstiel C, Zisa DC, Kuttab JS, et al. Guideline-Based Referral for Septal Reduction Therapy in Obstructive Hypertrophic Cardiomyopathy Is Associated With Excellent Clinical Outcomes. Circ Cardiovasc Interv. 2019;12(7):e007673. doi: 10.1161/CIRCINTERVENTIONS.118.007673
- Maron BJ, Rowin EJ, Casey SA, et al. Risk Strati cation and Outcome of Patients With Hypertrophic Cardiomyopathy ≥60 Years of Age. Circulation. 2013;127(5):585-93. doi: 10.1161/CIRCULATIONAHA.112.136085
- Guttmann OP, Rahman MS, O’Mahony C, et al. Atrial fibrillation and thromboembolism in patients with hypertrophic cardiomyopathy: systematic review. Heart. 2014;100(6):465-72. doi: 10.1136/heartjnl-2013-304276
- Guttmann OP, Pavlou M, O’Mahony C, et al.; Hypertrophic Cardiomyopathy Outcomes Investigators. Predictors of atrial fibrillation in hypertrophic cardiomyopathy. Heart. 2017;103(9):672-8. doi: 10.1136/heartjnl-2016-309672
- Rowin EJ, Hausvater A, Link MS, et al. Clinical Profile and Consequences of Atrial Fibrillation in Hypertrophic Cardiomyopathy. Circulation. 2017;136(25):2420-36. doi: 10.1161/CIRCULATIONAHA.117.029267
- Garg L, Gupta M, Sabzwari SRA, et al. Atrial fibrillation in hypertrophic cardiomyopathy: prevalence, clinical impact, and management. Heart Fail Rev. 2019;24(2):189-97. doi: 10.1007/s10741-018-9752-6
Supplementary files






