The assessment of right ventricular structure and function in patients with different cardiovascular diseases using modern echocardiographic technologies and magnetic resonance imaging
- Authors: Saidova M.A.1, Loskutova A.S.2, Belevskaya A.A.1, Stukalova O.V.1
-
Affiliations:
- Myasnikov Institute of Clinical Cardiology, National Medical Research Center for Cardiology
- Pirogov First City Hospital
- Issue: Vol 92, No 9 (2020)
- Pages: 24-29
- Section: Original articles
- Submitted: 13.10.2020
- Accepted: 13.10.2020
- Published: 14.10.2020
- URL: https://ter-arkhiv.ru/0040-3660/article/view/46847
- DOI: https://doi.org/10.26442/00403660.2020.09.000507
- ID: 46847
Cite item
Full Text
Abstract
Aim. To perform comparative analysis of right ventricular (RV) structure and function in patients with various cardiovascular diseases using modern echocardiographic technologies in comparison with magnetic resonance imaging (MRI).
Materials and methods. The study included 85 patients. Group 1 consisted of 32 patients with idiopathic pulmonary hypertension (IPH) (mean age 35.9±10.2 years). Group 2 included 27 patients with arterial hypertension (AH) grade 3 (mean age 58.6±12.3 years). Group 3 consisted of 26 patients with chronic heart failure (CHF) (mean age 56.1±15.3 years). Control group included 28 healthy volunteers (mean age 38.7±10.9 years). The main method was transthoracic echocardiography (TTE) using modern technologies, such as three-dimensional echocardiography (3DE), tissue Doppler imaging (TDI), and speckle tracking echocardiography (STE). In some patients and healthy volunteers 3DE data were compared with MRI data.
Results. Patients with IPH and CHF had minimal RV ejection fraction (EF) both according to 3DE and MRI. Correlation analysis revealed close correlation between RV volumes and EF according to 3DE and MRI. Minimal values of systolic indicator S’TV according to TDI were observed in patients with CHF. In all groups, including control group, the highest values of S’TV were obtained at the level of the basal segments and the lowest values at the level of apical segments. STE revealed the same pattern as TDI. According to STE minimal RV strain was observed in IPH and CHF groups and significantly differed not only from control group, but also from AH group.
Conclusion. The lowest values of RV EF and strain were observed in IPH and CHF groups. There were no significant differences in these indicators between the groups, that dictates the need for thorough assessment of RV structure and function not only in patients with precapillary, but also with postcapillary pulmonary hypertension. The results of the study confirm good comparability of 3DE and MRI in assessing RV volumes and EF.
Full Text
ГБ – гипертоническая болезнь
ИЛГ – идиопатическая ЛГ
КГ – контрольная группа
КДО – конечно-диастолический объем
КСО – конечно-систолический объем
ЛГ – легочная гипертензия
ЛЖ – левый желудочек
МРТ – магнитно-резонансная томография
ПЖ – правый желудочек
СТЭ (speckle tracking echocardiography) – спекл-трекинг эхокардиография
ТК – трикуспидальный клапан
ТМД – тканевая миокардиальная допплерография
ФВ – фракция выброса
ХСН – хроническая сердечная недостаточность
ЭхоКГ – эхокардиография
2D-ЭхоКГ – двумерная эхокардиография
3D-ЭхоКГ – трехмерная эхокардиография
E’, A’ – диастолический пик
FAC (fractional area change) – фракционное изменение площади
S’ – систолический пик
TAPSE (tricuspid annular plane systolic excursion) – систолическая экскурсия кольца трикуспидального клапана
Введение
До настоящего времени недостаточно изученным остается состояние правого желудочка (ПЖ) сердца при различных сердечно-сосудистых заболеваниях. Одно время считалось, что вклад ПЖ в общую сократительную функцию сердца невелик, так как в ранних экспериментальных работах продемонстрировано, что повреждение свободной стенки ПЖ не приводило к уменьшению сердечного выброса [1]. Лишь много лет спустя появились публикации о влиянии дисфункции ПЖ на прогноз больных с различной сердечно-сосудистой патологией [2, 3]. По данным литературы, темпы прогрессирования сердечной недостаточности и ухудшения качества жизни больных артериальной гипертензией, хронической сердечной недостаточностью (ХСН), пороками сердца зависят от степени вовлечения ПЖ в патологический процесс [4–6]. Наибольший интерес представляют пациенты с легочной гипертензией (ЛГ) различной этиологии. Особенности поражения ПЖ во многом определяются патогенетическими механизмами развития ЛГ [7–9].
Современные эхокардиографические технологии позволяют оценивать не только структурное, но и функциональное состояние ПЖ при различных сердечно-сосудистых заболеваниях. Эхокардиографические методы оценки ПЖ являются наиболее доступными, неинвазивными и менее затратными в сравнении с другими диагностическими методами. Однако исследование ПЖ представляет определенные трудности, что связано с его сложной геометрической формой и непригодностью применения известных способов расчета, используемых для количественной оценки левого желудочка (ЛЖ). Поэтому остается проблематичным определение объемов и фракции выброса (ФВ) ПЖ по данным трансторакальной двумерной эхокардиографии (2D-ЭхоКГ), хотя некоторые авторы предпринимали ранее такие попытки [10, 11]. Появление технологии трехмерной ЭхоКГ (3D-ЭхоКГ) в режиме реального времени открывает новые перспективы для оценки объемов и ФВ ПЖ, что приближает эхокардиографическую оценку к томографическим методам. С помощью специального программного обеспечения с последующей обработкой изображений проводится определение границ ПЖ в 3 взаимно перпендикулярных плоскостях и во множестве срезов, что позволяет анализировать движение всех его стенок в течение одного сердечного цикла [12]. Благодаря методике тканевой миокардиальной допплерографии (ТМД) стало возможным исследование не только глобальной, но и региональной систолической и диастолической функций ПЖ в норме и при патологии. Технология спекл-трекинг ЭхоКГ – СТЭ (speckle tracking echocardiography) открывает дополнительные возможности для изучения систолической и диастолической функции ПЖ наряду с традиционными эхокардиографическими методами оценки.
Цель исследования – проведение сравнительного анализа структурно-функционального состояния ПЖ у больных с различными сердечно-сосудистыми заболеваниями по данным разных эхокардиографических методов и магнитно-резонансной томографии (МРТ).
Материалы и методы
В исследование включены 85 пациентов, проходивших стационарное лечение в ИКК им. А.Л. Мясникова ФГБУ «НМИЦ кардиологии». Все пациенты обследованы согласно стандартному протоколу, включавшему в себя сбор жалоб и анамнеза, клинический осмотр, анализ лабораторных показателей, регистрацию электрокардиограммы в покое, рентгенографию органов грудной клетки и трансторакальную ЭхоКГ. При необходимости для уточнения диагноза и определения тактики лечения проводились дополнительные методы обследования.
Согласно результатам обследований все пациенты разделены на 3 группы: 1-ю составили 32 пациента с идиопатической ЛГ (ИЛГ) II–IV функционального класса (26 женщин и 6 мужчин, средний возраст 35,9±10,2 года); 2-я группа – 27 пациентов с гипертонической болезнью (ГБ) и 3-й степенью артериальной гипертензии, II–III стадией заболевания (12 женщин и 15 мужчин, средний возраст 58,6±12,3 года). Третью группу составили 26 пациентов с ХСН II–IV функционального класса cо сниженной ФВ ЛЖ (7 женщин и 19 мужчин, средний возраст 56,1±15,3 года). В качестве основного заболевания как причины ХСН у 20 (76,9%) пациентов выявлена ишемическая болезнь сердца (постинфарктный кардиосклероз), у 6 (23,1%) – дилатационная кардиомиопатия. Контрольную группу (КГ) составили 28 здоровых добровольцев (13 женщин и 15 мужчин, средний возраст 38,7±10,9 года).
Трансторакальная ЭхоКГ проводилась на ультразвуковых приборах экспертного класса Vivid 7 и Vivid 9 (GE Healthcare, США), оснащенных специальным матричным трехмерным датчиком 4V-D. Во время исследования выполнялась синхронная запись электрокардиограммы. Для оценки систолической функции ПЖ в 3D-ЭхоКГ использовались показатели ФВ, конечно-диастолического объема (КДО) ПЖ и конечно-систолического объема (КСО) ПЖ, расчет которых осуществлялся на рабочей станции EchoPac PC (GE Healthcare, США), снабженной программой TomTec. Сначала изображение записывалось на приборе в апикальной 4-камерной позиции, а затем переносилось на рабочую станцию. Для оценки систолической функции ПЖ в двумерном режиме использовались показатели систолической экскурсии кольца трикуспидального клапана (tricuspid annular plane systolic excursion – TAPSE) и фракционного изменения площади (FAC).
Исследование систолической и диастолической функций ПЖ с помощью технологии ТМД проводилось в апикальной 4-камерной позиции. Запись осуществлялась при оптимальной частоте кадров 140–150 в минуту. Для оценки глобальной функции ПЖ контрольный объем устанавливался на фиброзное кольцо трикуспидального клапана (ТК), для оценки региональной функции – в центр каждого сегмента свободной стенки ПЖ. Определялись максимальные амплитуды систолического (S’) и диастолических (E’, A’) пиков.
Помимо ТМД скоростные показатели систолической и диастолической функций ПЖ изучались с помощью методики СТЭ c наличием дополнительной технологии оценки деформации миокарда. Для этого записывались двумерные серошкальные кинопетли из апикальной 4-камерной позиции с фокусом на ПЖ. Оптимальная частота кадров устанавливалась на уровне 50–70 в минуту. Обработка данных проводилась на рабочей станции EchoPac PC (GE Healthcare, США). Анализируемая поверхность определялась вручную путем выставления 3 точек: 2 из них располагались по краям ТК, 3-я – в области верхушки ПЖ. После этого автоматически создавался U-образный подвижный образ, ширина и поле которого при необходимости корректировались вручную. Далее программное обеспечение автоматически делило стенку ПЖ на 3 сегмента (базальный, средний и апикальный) и генерировало кривые деформации. По данным проведенного анализа оценивались скоростные показатели: максимальная амплитуда систолического (2dsS) и диастолических (2dsE, 2dsA) пиков для последующего сравнения полученных результатов с показателями, полученными методом ТМД.
МРТ проводилась на томографе Magnetom Avanto 1.5Т (Siemens, Германия) с использованием поверхностной радиочастотной катушки в режиме кардиосинхронизации. По данным МРТ оценивались объемы и ФВ ПЖ. Анализ выполнен с помощью специального программного обеспечения ARGUS (Siemens, Германия) на рабочей станции томографа. На серии последовательных изображений сердца вручную выполнено обведение контуров эндокарда, после чего программное обеспечение автоматически производило вычисление указанных параметров.
Статистическая обработка данных осуществлялась с использованием пакета программ Excel 2010 и программы Statistica v.10 (StatSoft Inc., США). Результаты представлены в виде среднего (M) и стандартного отклонения (±SD). Для сравнения количественных показателей применялся t-критерий Стьюдента. Различия средних величин считались достоверными при уровне р<0,05. Корреляционный анализ выполняли с применением рангового критерия Спирмена.
Результаты
При оценке структурно-функционального состояния ПЖ по данным 2D-ЭхоКГ наибольшие линейные размеры ПЖ наблюдались в группах ИЛГ и ХСН. Они достоверно отличались от показателей как в КГ, так и в группе ГБ. Средние значения линейных размеров ПЖ в группе ГБ не выходили за пределы референсных значений. Наибольшая толщина передней стенки ПЖ выявлена у лиц с ИЛГ, хотя у пациентов с ГБ и ХСН она также достоверно отличалась от КГ (табл. 1).
Таблица 1. Параметры ремоделирования и систолической функции ПЖ по данным 2D-ЭхоКГ | ||||
Группа | 1-я группа, ИЛГ (n=32) | 2-я группа, ГБ (n=27) | 3-я группа, ХСН (n=26) | КГ (n=28) |
Переднезадний размер ПЖ, см | 3,8±0,7&* | 2,7±0,3&#$ | 3,6±0,3&* | 2,5±0,3 |
Выходной тракт ПЖ, см | 3,9±0,4&#* | 3,2±0,2&#$ | 4,1±0,3&$* | 3,0±0,3 |
Базальный размер ПЖ, см | 4,5±0,6&* | 3,5±0,4#$ | 4,7±0,6&* | 3,6±0,3 |
Толщина передней стенки ПЖ, см | 0,83±0,23&#* | 0,55±0,08&$ | 0,53±0,03&$ | 0,42±0,05 |
TAPSE, см | 1,4±0,3&* | 2,0±0,3&#$ | 1,3±0,3&* | 2,2±0,1 |
Конечно-диастолическая площадь ПЖ, см2 | 31,4±9,3&* | 16,3±4,5#$ | 30,0±4,1&* | 18,2±3,5 |
Конечно-систолическая площадь ПЖ, см2 | 25,3±8,6&* | 8,9±2,6#$ | 22,9±3,0&* | 9,3±2,2 |
FAC, % | 20,6±7,1&* | 46,2±6,2#$ | 22,4±9,3&* | 49,0±4,5 |
Здесь и далее в табл. 2, 4, 6: *различия достоверны (p<0,05) по сравнению с группой ГБ; #различия достоверны (p<0,05) по сравнению с группой ХСН; $различия достоверны (p<0,05) по сравнению с группой ИЛГ; &различия достоверны (p<0,05) по сравнению с КГ. | ||||
При оценке систолической функции ПЖ по данным 2D-ЭхоКГ наиболее низкие значения показателей TAPSE и FAC выявлены в группах ИЛГ и ХСН. В этих группах показатели достоверно отличались как от КГ, так и от группы ГБ. В группе ГБ средние значения указанных параметров находились в пределах референсных значений (см. табл. 1).
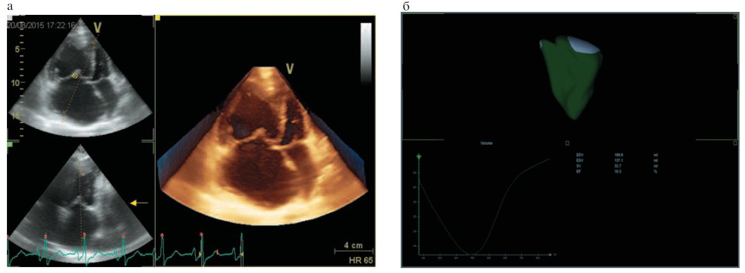
С помощью метода 3D-ЭхоКГ проводилась оценка объемных показателей и ФВ ПЖ у 26 пациентов, из них у 9 – с ИЛГ, у 8 – с ГБ, у 9 – с ХСН, а также у 8 практически здоровых лиц (КГ); табл. 2. Пример расчета объемов и ФВ ПЖ по данным 3D-ЭхоКГ представлен на рис. 1. Сопоставление с данными МРТ выполнено у всех лиц, которым проводилась 3D-ЭхоКГ. При оценке систолической функции ПЖ как по данным 3D-ЭхоКГ, так и по данным МРТ минимальные значения ФВ ПЖ также выявлены в группах ИЛГ и ХСН, которые достоверно отличались как от КГ, так и от группы ГБ. Во 2-й группе средние значения ФВ ПЖ не выходили за пределы референсных значений, несмотря на достоверные отличия по сравнению с КГ (см. табл. 2).
Рис. 1. Пример расчета объемов и ФВ ПЖ по данным 3D-ЭхоКГ у пациентки с ИЛГ: а – апикальная 4-камерная позиция; б – трехмерная модель ПЖ.
Таблица 2. Объемы и ФВ ПЖ по данным 3D ЭхоКГ и МРТ | ||||
Группа | ИЛГ (n=9) | ГБ (n=8) | ХСН (n=9) | КГ (n=8) |
3D-ЭхоКГ | ||||
КДО ПЖ, мл | 198,3±61,4&* | 113,9±15,8&#$ | 187,3±46,3&* | 88,6±14,9 |
КСО ПЖ, мл | 152,4±53,7&* | 60,8±12,1&#$ | 145,5±33,7&* | 35,9±8,3 |
ФВ ПЖ, % | 23,3±5,5&* | 46,8±5,3&#$ | 22,1±2,7&* | 59,8±5,1 |
МРТ | ||||
КДО ПЖ, мл | 179,5±61,4&* | 105,8±18,1&#$ | 179,5±44,9*& | 78,6±12,6 |
КСО ПЖ, мл | 134,9±47,3&* | 54,1±12,7&#$ | 137,6±33,8*& | 32,2±7,6 |
ФВ ПЖ, % | 25,1±4,4&* | 49,0±5,5&#$ | 23,3±3,5*& | 58,1±5,1 |
Результаты сопоставления значений объемов и ФВ ПЖ по данным 3D-ЭхоКГ и МРТ свидетельствуют об отсутствии достоверных различий между параметрами, рассчитанными с использованием разных методов исследования. При проведении корреляционного анализа выявлена достоверная тесная корреляционная связь между значениями, рассчитанными с помощью 2 методов, что доказывает высокую точность в определении объемов и ФВ ПЖ по данным 3D-ЭхоКГ (табл. 3).
Таблица 3. Результаты корреляционного анализа для объемов и ФВ ПЖ по данным 3D-ЭхоКГ и МРТ | |
Показатель | Коэффициент корреляции (r) |
КДО ПЖ, мл | 0,93 |
КСО ПЖ, мл | 0,90 |
ФВ ПЖ, % | 0,87 |
Примечание. Здесь и далее в табл. 5: различия достоверны (p<0,05) для всех показателей. | |
При оценке показателей глобальной систолической и диастолической функции ПЖ по данным ТМД наименьшие значения систолического показателя S’тк наблюдались в группе ХСН. Они достоверно отличались от показателей в 1 и 2-й группах. Однако для диастолического показателя E’тк статистически значимых различий между группами ИЛГ, ГБ и ХСН не выявлено, хотя они существенно отличались от КГ (табл. 4). Показатель отношения пиков транстрикуспидального потока быстрого наполнения ПЖ к тканевому показателю от кольца ТК со стороны свободной стенки ПЖ (Е/Е’тк) свидетельствовал о повышении давления наполнения ПЖ у больных ИЛГ и ХСН и отсутствии такового при ГБ. В норме этот показатель должен быть менее 6.
Таблица 4. Показатели глобальной систолической и диастолической функций ПЖ по данным ТМД | ||||
Группа | 1-я группа, ИЛГ (n=32) | 2-я группа, ГБ (n=27) | 3-я группа, ХСН (n=26) | КГ (n=28) |
S’тк, см/с | 7,1±1,9&*# | 9,1±1,7$# | 5,7±1,9&*$ | 10,0±2,0 |
E’тк, см/с | -5,4±3,5& | -6,6±2,1& | -5,6±2,1& | -9,5±1,5 |
A’тк, см/с | -7,7±3,8*# | -10,3±2,7$# | -4,1±3,0&*$ | -9,5±2,9 |
Е/Е’тк | 9,1±2,1&* | 5,8 ± 2,2$# | 8,6±2,3&* | 5,1±1,9 |
При оценке региональной систолической функции ПЖ по данным ТМД наименьшие значения показателя S’тк на уровне всех сегментов выявлены в группе ХСН. Они достоверно отличались как от КГ, так и от групп ИЛГ и ГБ. Во всех группах, в том числе в КГ, наибольшие значения показателя S’тк регистрировались на уровне базальных сегментов, наименьшие – на уровне верхушечных сегментов. При оценке региональной диастолической функции ПЖ по данным ТМД достоверных отличий между группами ИЛГ, ГБ и ХСН по показателю E’тк не наблюдалось, хотя во всех группах он достоверно ниже, чем в КГ. Наименьшие значения показателя A’тк на уровне всех сегментов выявлены в группе ХСН. Они достоверно отличались от показателей в группах ИЛГ и ГБ. Для показателей E’тк и A’тк наблюдалась такая же закономерность, как и для показателя S’тк: наибольшие значения регистрировались на уровне базальных сегментов, наименьшие – на уровне верхушечных сегментов (рис. 2, 3).
Рис. 2. Показатели региональной систолической функции ПЖ по данным ТМД и СТЭ: а – на уровне базальных сегментов; б – на уровне средних сегментов; в – на уровне апикальных сегментов.
Рис. 3. Показатели региональной диастолической функции ПЖ по данным ТМД и СТЭ: а – на уровне базальных сегментов; б – на уровне средних сегментов; в – на уровне апикальных сегментов.
При оценке региональной систолической и диастолической функции ПЖ по данным СТЭ выявлена такая же закономерность, как и при использовании ТМД. Наименьшие значения показателя 2dsS на уровне всех сегментов регистрировались в группе ХСН. Они достоверно отличались как от КГ, так и от групп ИЛГ и ГБ. Во всех группах, в том числе в КГ, наибольшие значения показателя 2dsS наблюдались на уровне базальных сегментов, наименьшие – на уровне верхушечных сегментов. Достоверных отличий между группами ИЛГ, ГБ и ХСН по показателю 2dsE не выявлено, хотя во всех группах он достоверно ниже, чем в КГ. Наименьшие значения показателя 2dsA на уровне всех сегментов выявлены в группе ХСН. Они достоверно отличались от показателей в группах ИЛГ и ГБ. Для показателей 2dsE и 2dsA наблюдалась такая же закономерность, как и для показателя 2dsS: наибольшие значения регистрировались на уровне базальных сегментов, наименьшие – на уровне верхушечных сегментов (см. рис. 2, 3).
При сопоставлении параметров региональной систолической и диастолической функций ПЖ по данным ТМД и СТЭ достоверных различий не выявлено. При проведении корреляционного анализа для показателей региональной систолической и диастолической функций ПЖ по данным ТМД и СТЭ выявлена достоверная корреляционная связь. Наиболее тесная связь наблюдалась между показателями на уровне базальных и средних сегментов (табл. 5).
Таблица 5. Результаты корреляционного анализа для показателей региональной систолической и диастолической функций ПЖ по данным ТМД и СТЭ | |
Скоростной пик | Коэффициент корреляции (r) |
S (базальный сегмент) | 0,75 |
E (базальный сегмент) | 0,81 |
S (средний сегмент) | 0,74 |
E (средний сегмент) | 0,75 |
S (верхушечный сегмент) | 0,39 |
E (верхушечный сегмент) | 0,56 |
Помимо определения схожих с ТМД показателей систолической и диастолической функций ПЖ (S, E’ и А’) метод СТЭ позволяет оценивать деформационную функцию миокарда ПЖ по показателю глобального продольного стрейна GLS (табл. 6). Как видно из табл. 6, наименьшие (наихудшие) показатели деформации миокарда ПЖ отмечались в группах ИЛГ и ХСН и достоверно отличались не только от КГ, но и группы ГБ. Это свидетельствовало о преобладании патологических процессов в ПЖ у больных ИЛГ и ХСН по сравнению с пациентами с ГБ.
Таблица 6. Показатели деформации миокарда ПЖ по данным СТЭ | ||||
Группа | 1-я группа, ИЛГ (n=32) | 2-я группа, ГБ (n=27) | 3-я группа, ХСН (n=26) | КГ (n=28) |
GLS, % | -12±6&* | -19±5&#$ | -15±5&* | -26±6 |
Обсуждение
Результаты проведенного исследования свидетельствуют о том, что наиболее выраженные процессы ремоделирования ПЖ наблюдались в группах ИЛГ и ХСН. Средние значения линейных размеров ПЖ в группе ГБ не выходили за пределы референсных значений, а в группах ИЛГ и ХСН сопоставимы. Наиболее низкие значения показателей систолической функции ПЖ по данным 2D-ЭхоКГ выявлены в группах ИЛГ и ХСН: в частности TAPSE – 1,4±0,3 и 1,3±0,3 см соответственно. В группе ГБ средние значения TAPSE находились в пределах референсных значений. Полученные данные согласуются с результатами работы S. Ghio и соавт., согласно которым у пациентов с ИЛГ TAPSE имеет низкие значения [13]. По данным S. Puwanant и соавт., у пациентов с ХСН со сниженной ФВ ЛЖ показатель TAPSE достоверно ниже, чем у пациентов с сохранной ФВ ЛЖ [14].
При оценке систолической функции ПЖ по данным 3D-ЭхоКГ и МРТ максимальные объемы и минимальная ФВ ПЖ зарегистрированы в группах ИЛГ и ХСН. Указанные показатели достоверно отличались как от КГ, так и от группы ГБ. В группе ГБ средние значения ФВ ПЖ не выходили за пределы референсных значений, несмотря на достоверные отличия по сравнению с КГ. По данным 3D-ЭхоКГ в группе ИЛГ ФВ ПЖ составила 23,3±5,5%, что существенно меньше референсных значений и согласуется с результатами других авторов [15]. В группе ХСН ФВ ПЖ составила 22,1±2,7%, что согласуется с данными H. Magunia и соавт., которые показали, что у пациентов с ХСН по данным 3D-ЭхоКГ при отсутствии правожелудочковой недостаточности ФВ ПЖ составляет 28±8%, а при ее наличии – 18% (16–22%) [16].
Результаты корреляционного анализа для объемов и ФВ ПЖ по данным 3D-ЭхоКГ и МРТ свидетельствуют о наличии достоверной тесной корреляционной связи, что указывает на хорошую сопоставимость двух методов исследования и подтверждается данными литературы [17]. Следует отметить, что в наше исследование включены не только здоровые добровольцы, но и пациенты с различной сердечно-сосудистой патологией, и во всех группах больных изучаемые параметры очень близки с данными МРТ.
При оценке региональной систолической функции ПЖ по данным ТМД наименьшие значения показателя S’тк на уровне всех сегментов выявлены в группе ХСН, это соответствовало и более низкой ФВ ПЖ по данным 3D-ЭхоКГ и МРТ. Они достоверно отличались от групп ИЛГ и ГБ. При оценке глобальной и региональной диастолической функций ПЖ по данным ТМД достоверных отличий между пациентами с ИЛГ, ГБ и ХСН по показателю E’тк не наблюдалось, хотя во всех группах он достоверно ниже, чем в КГ. При этом показатель Е/E’тк, отражающий давление наполнения ПЖ, существенно повышен при ИЛГ и ХСН, что свидетельствовало о большей степени нарушения диастолической функции ПЖ в этих группах больных по сравнению с больными ГБ. При оценке региональной систолической и диастолической функций ПЖ по данным СТЭ выявлена такая же закономерность, как и при использовании ТМД. Скорости систолических и диастолических региональных показателей уменьшались от базальных сегментов к верхушечным так же, как и в КГ, однако их значения существенно ниже. По данным корреляционного анализа для показателей региональной систолической и диастолической функций ПЖ выявлена достоверная корреляционная связь между ТМД и СТЭ, наиболее тесная связь наблюдалась на уровне базальных и средних сегментов ПЖ.
Необходимо отметить, что только метод СТЭ в отличие от ТМД дает нам возможность помимо систолической функции оценить и деформационные свойства миокарда ПЖ. Выявлено, что деформация миокарда ПЖ в большей степени снижалась в группах больных ИЛГ и ХСН и достоверно отличалась как от КГ, так и от пациентов в группе ГБ. Это еще раз подтверждает большую выраженность патологических процессов в ПЖ при таких заболеваниях, как ИЛГ и ХСН со сниженной ФВ ЛЖ.
Заключение
Настоящее исследование посвящено сравнительному анализу структурно-функционального состояния ПЖ у больных с различной сердечно-сосудистой патологией по данным ЭхоКГ и МРТ. Наиболее выраженные изменения систолической функции и параметров ремоделирования ПЖ наблюдались у пациентов с ИЛГ и ХСН. Диастолическая функция ПЖ достоверно нарушалась во всех группах больных, включая пациентов с ГБ, однако наибольшая степень диастолической дисфункции отмечалась у больных ИЛГ. Деформация миокарда ПЖ по данным СТЭ снижалась в значительной степени в группах пациентов с ИЛГ и ХСН, а у больных ГБ эти изменения считались незначительными, хотя и достоверными. Обращало на себя внимание, что при выраженной степени артериальной гипертензии помимо гипертрофии ЛЖ развивалась также гипертрофия ПЖ, что указывало на вовлечение в патологический процесс и правого предсердия. Оценка ФВ ПЖ в трехмерном режиме показала, что в группе больных ГБ в отличие от пациентов с ИЛГ и ХСН она не снижена (46,8±5,3% при нормативном значении более 45%), но отличалась от группы контроля. Учитывая отсутствие достоверных отличий по показателям ФВ и деформации миокарда ПЖ в группах ИЛГ и ХСН, тщательная оценка структурно-функционального состояния ПЖ необходима не только у пациентов с прекапиллярной, но и с посткапиллярной ЛГ. Полученные результаты подтверждают хорошую сопоставимость 3D-ЭхоКГ и МРТ в оценке объемов и ФВ ПЖ у больных с различной сердечно-сосудистой патологией.
About the authors
M. A. Saidova
Myasnikov Institute of Clinical Cardiology, National Medical Research Center for Cardiology
Author for correspondence.
Email: m.saidova@gmail.com
ORCID iD: 0000-0002-3233-1862
д.м.н., проф., рук. отд. ультразвуковых методов исследования ИКК им. А.Л. Мясникова ФГБУ «НМИЦ кардиологии»
Russian Federation, MoscowA. S. Loskutova
Pirogov First City Hospital
Email: m.saidova@gmail.com
врач-кардиолог ГБУЗ «ГКБ №1 им. Н.И. Пирогова»
Russian Federation, MoscowA. A. Belevskaya
Myasnikov Institute of Clinical Cardiology, National Medical Research Center for Cardiology
Email: m.saidova@gmail.com
ORCID iD: 0000-0002-8029-5739
к.м.н., мл. науч. сотр. отд. ультразвуковых методов исследования ИКК им. А.Л. Мясникова ФГБУ «НМИЦ кардиологии»
Russian Federation, MoscowO. V. Stukalova
Myasnikov Institute of Clinical Cardiology, National Medical Research Center for Cardiology
Email: m.saidova@gmail.com
ORCID iD: 0000-0001-8377-2388
к.м.н., ст. науч. сотр. отд. томографии ИКК им. А.Л. Мясникова ФГБУ «НМИЦ кардиологии»
Russian Federation, MoscowReferences
- Sade AM, Castaneda AR. The dispensable right ventricle. Surgery. 1975;77(5):624-31.
- Bleasdale RA, Frenneaux MP. Prognostic importance of right ventricular dysfunction. Heart. 2002;88(4):323-4. doi: 10.1136/heart.88.4.323
- Hesse B, Asher CR. Time to move to the right: the study of right ventricular performance: too long neglected. Clin Cardiol. 2005;28:8-12. doi: 10.1002/clc.4960280104
- Polak JF, Holman BL, Wynne J, Colucci WS. Right ventricular ejection fraction: an indicator of increased mortality in patients with congestive heart failure associated with coronary artery disease. J Am Coll Cardiol. 1983;2(2):217-24. doi: 10.1016/s0735-1097(83)80156-9
- De Groote P, Millaire A, Foucher-Hossein C, et al. Right ventricular ejection fraction is an independent predictor of survival in patients with moderate heart failure. J Am Coll Cardiol. 1998;32(4):948-54. doi: 10.1016/s0735-1097(98)00337-4
- Bangalore S, Yao SS, Chaudhry FA. Role of right ventricular wall motion abnormalities in risk stratification and prognosis of patients referred for stress echocardiography. J Am Coll Cardiol. 2007;50(20):1981-9. doi: 10.1016/j.jacc.2007.07.061
- Sanchez O, Trinquart L, Colombet I, et al. Prognostic value of right ventricular dysfunction in patients with haemodynamically stable pulmonary embolism: a systematic review. Eur Heart J. 2008;29(12):1569-77. doi: 10.1093/eurheartj/ehn208
- Van Wolferen SA, Marcus JT, Boonstra A, et al. Prognostic value of right ventricular mass, volume, and function in idiopathic pulmonary arterial hypertension. Eur Heart J. 2007;28(10):1250-7. doi: 10.1093/eurheartj/ehl477
- Coutance G, Cauderlier E, Ehtisham J, et al. The prognostic value of markers of right ventricular dysfunction in pulmonary embolism: a meta-analysis. Crit Care. 2011;15(2):R103. doi: 10.1186/cc10119
- Starling MR, Crawford MH, Sorensen SG, et al. A new two dimensional echocardiographic technique for evaluating right ventricular size and performance in patients with obstructive lung disease. Circulation. 1982;66:612-20. doi: 10.1161/01.cir.66.3.612
- Watanabe T, Katsume H, Matsukubo H, et al. Estimation of right ventricular volume with two dimensional echocardiography. Am J Cardio. 1982;49:1946-53. doi: 10.1016/0002-9149(82)90214-4
- Horton KD, Meece RW, Hill JC. Assessment of the right ventricle by echocardiography: a primer for cardiac sonographers. J Am Soc Echocardiogr. 2009;22(7):776-92. doi: 10.1016/j.echo.2009.04.027
- Ghio S, Klersy C, Magrini G, et al. Prognostic relevance of the echocardiographic assessment of right ventricular function in patients with idiopathic pulmonary arterial hypertension. Int J Cardiol. 2010;140:272-8. doi: 10.1016/j.ijcard.2008.11.051
- Puwanant S, Priester TC, Mookadam F, et al. Right ventricular function in patients with preserved and reduced ejection fraction heart failure. Eur J Echocardiogr. 2009;10(6):733-7. doi: 10.1093/ejechocard/jep052
- Li Y, Wang Y, Zhai Z, et al. Real-Time Three-Dimensional Echocardiography to Assess Right Ventricle Function in Patients with Pulmonary Hypertension. PLoS One. 2015;10(6):e0129557. doi: 10.1371/journal.pone.0129557
- Magunia H, Dietrich C, Langer HF, et al. 3D echocardiography derived right ventricular function is associated with right ventricular failure and mid-term survival after left ventricular assist device implantation. Int J Cardiol. 2018;272:348-55. doi: 10.1016/j.ijcard.2018.06.026
- Gopal AS, Chukwu EO, Iwuchukwu CJ, et al. Normal values of right ventricular size and function by real-time 3-dimensional echocardiography: comparison with cardiac magnetic resonance imaging. J Am Soc Echocardiogr. 2007;20:445-55. doi: 10.1016/j.echo.2006.10.027
Supplementary files








