The treatment of tuberculosis under current conditions
- Authors: Sinitsyn M.V.1, Kalinina M.V.1, Belilovskiy E.M.1, Galstyan A.S.1, Reshetnikov M.N.1, Plotkin D.V.1
-
Affiliations:
- Moscow Research and Clinical Center for Tuberculosis Control
- Issue: Vol 92, No 8 (2020)
- Pages: 86-94
- Section: Original articles
- Submitted: 01.09.2020
- Published: 03.09.2020
- URL: https://ter-arkhiv.ru/0040-3660/article/view/43546
- DOI: https://doi.org/10.26442/00403660.2020.08.000762
- ID: 43546
Cite item
Full Text
Abstract
Aim. Study of the current state of problems of treatment of patients with tuberculosis based on literature data and their own experience.
Materials and methods. In the Russian Federation, the number and proportion of patients with co-infection with HIV/tuberculosis continues to increase against the background of improvement in the main epidemiological indicants for tuberculosis. In 2017, 20.9% of newly diagnosed tuberculosis patients had HIV infection. The combination of the two infections significantly complicates the further improvement of the situation with tuberculosis, and the appearance of drug-resistant strains of Mycobacterium tuberculosis sometimes completely neutralizes the results of chemotherapy. The article describes the schemes of modern tuberculosis chemotherapy taking into account HIV/tuberculosis co-infection, as well as MDR in combination with surgical treatment methods, as well as analyzes the data of epidemiological monitoring of treatment of 1115 tuberculosis patients newly diagnosed in 2017 in Moscow, 360 tuberculosis patients with MDR MBT (cohort 2013–2014), the results of treatment with the use of new chemotherapy regimens for tuberculosis (bedaquiline, linezolid, moxifloxacin) in 36 patients, the effectiveness and safety of surgical methods in 192 patients.
Results. The application of new individualized anti-TB chemotherapy schedules in patients with HIV co-infection/tuberculosis with MDR-MBT has allowed to improve the treatment efficacy. The surgical intervention combined with modern chemotherapy regimens in patients with HIV/tuberculosis co-infection with MDR MBT has been proved to be effective and safe, contributes to the improving the results of treatment for this category of patients.
Conclusion. The confluence of two global problems of co-infection HIV/TB and MDR TB, significantly prevents from the end of the tuberculosis epidemic in the world. At the same time, advances in the development and implementation of new anti-TB drugs and surgical treatment methods give hope for significant progress for resolving this situation.
Full Text
АРТ – антиретровирусная терапия
ДИ – доверительный интервал
КТ – компьютерная томография
МБТ – микобактерия туберкулеза
МЛУ – множественная лекарственная устойчивость
ПАСК – парааминосалициловая кислота
ШЛУ – широкая лекарственная устойчивость
Введение
Распространение инфекционных заболеваний оказывает значительное влияние не только на здоровье населения, но и на экономическое благополучие стран и целых континентов. Туберкулез сопровождает историю человечества на протяжении многих сотен лет, и до настоящего времени не удается его искоренить, несмотря на прогресс в лечении многих болезней с известным инфекционным агентом. Ежегодно туберкулезом в мире заболевают около 10 млн человек и около 1,5 млн умирают, включая не менее 250–300 тыс. ВИЧ-инфицированных лиц. Среди причин смерти от инфекционных заболеваний туберкулез по-прежнему остается на лидирующей позиции [1].
В Российской Федерации наблюдается значительное улучшение эпидемиологической картины. Так, заболеваемость туберкулезом за 10 лет, с 2009 по 2018 г., снизилась на 46,2% – с 82,6 до 44,4 на 100 тыс. населения, распространенность на 45,1% – с 185,1 до 101,6 на 100 тыс., смертность в 2,8 раза – с 16,8 до 5,9. Туберкулезом в основном заболевают представители групп риска, люди с нарушениями иммунного ответа, в первую очередь ВИЧ-инфицированные. Среди впервые выявленных больных туберкулезом доля инфицированных ВИЧ ежегодно увеличивается (за период с 2012 г. в 2,2 раза), и в 2018 г. составила 23,1%. В РФ продолжается неуклонный рост коинфицированных пациентов, в 2018 г. их насчитывалось 30 864 человека. Показатель заболеваемости коинфекцией ВИЧ/туберкулез достиг 13,4 на 100 тыс. Доля ВИЧ-инфицированных среди впервые выявленных больных туберкулезом увеличилась на 23,1% [2–5].
На фоне ВИЧ-инфекции течение туберкулеза характеризуется склонностью к генерализации процесса, множественным поражениям органов и систем. Статистические формы не дают полного представления о реальном числе больных внелегочным туберкулезом, его доля в общей структуре заболеваемости не превышает 2–4% как в Москве, так и в России в целом. По данным мониторинга туберкулеза Москвы среди больных коинфекцией ВИЧ/туберкулез внелегочные формы встречаются в 41,3% [6].
Современные эпидемиологические закономерности, особенности распространения и течения туберкулеза, в том числе связанные с ВИЧ-инфекцией, определяют неизбежные проблемы в его лечении. Изучение истории применения различных методов, направленных на излечение туберкулеза, выявляет сложный тернистый путь, связанный в основном с особенностями возбудителя туберкулеза.
Цель исследования – изучение современного состояния проблем проведения лечения больным туберкулезом на основе данных литературы и собственного опыта.
Материалы и методы
Подверглись анализу наиболее актуальные опубликованные исследовательские работы за последние 5 лет, статьи, позволяющие определить исторические составляющие проблемы, клинические рекомендации, руководства профессиональных врачебных сообществ. Данные эпидемиологического мониторинга о лечении 1115 впервые выявленных в 2017 г. в Москве больных туберкулезом, 360 больных туберкулезом с множественной лекарственной устойчивостью (МЛУ) микобактерий туберкулеза – МБТ (когорта 2013–2014 гг.). Результаты лечения с применением новых схем химиотерапии туберкулеза (бедаквилин, линезолид, моксифлоксацин) оценены у 36 больных. Эффективность и безопасность хирургических методов – у192 пациентов. Методы исследования: эпидемиологический, клинический, аналитический, экспертный и статистический.
Результаты
До середины XX в. действенных антибактериальных средств против туберкулеза не существовало, лечение основывалось на климатотерапии, лечебном питании и охранительном режиме и весьма рискованных хирургических методах [7–10]. После открытия в США З. Ваксманом и А. Шатцом в 1943 г. стрептомицина началась эра химиотерапии туберкулеза, появилась возможность излечения больных туберкулезом. Однако первые успехи быстро нивелировались появлением и распространением устойчивости МБТ к этому препарату. Вскоре в Швеции К.-Г. Росдалем синтезирована парааминосалициловая кислота (ПАСК), идею подал датский врач Й. Леманн, который впервые применил комбинацию стрептомицина и ПАСК для преодоления резистентности МБТ [11]. Наступило время поиска новых противотуберкулезных средств, разработаны основные принципы химиотерапии туберкулеза, предложены стандартные схемы лечения [12–14]. Дальнейшее изобретение и промышленный синтез рифампицина привели к изменению режимов химиотерапии, ее эффективность стала достаточно высока, распространение туберкулезной инфекции во многих странах к концу 1980-х годов оказалось минимальным, и казалось, глобальная победа над этим грозным заболеванием уже «не за горами» [14–16].
В это же время появились первые случаи ВИЧ-инфекции, и в скором времени это ранее неизвестное заболевание быстро распространилось по всей планете [17, 18]. Отсутствие иммунологического барьера у больных ВИЧ-инфекцией, ранее инфицированных МБТ, способствует переходу латентной формы туберкулеза в активную, а также быстрому заболеванию туберкулезом при новом инфицировании [19, 20]. Поражение значительной части населения ВИЧ-инфекцией отодвинуло перспективы ликвидации туберкулеза на многие десятилетия и до настоящего времени остается одной из основных причин, противостоящих улучшению эпидемической ситуации по туберкулезу в мире [21, 22]. Необходимо упомянуть о диагностике туберкулеза у больных ВИЧ-инфекцией, которая, безусловно, базируется на классических критериях постановки диагноза, однако имеет свои особенности [23–25]. Определение возбудителя микробиологическими методами или его ДНК молекулярно-генетическими – основополагающий диагностический критерий [26, 27]. Однако бактериовыделение у инфицированных ВИЧ больных туберкулезом встречается реже ввиду нетипичности протекания туберкулеза на фоне иммуносупрессии и, соответственно, отсутствия полостей распада в легочной ткани, лимфогематогенного распространения МБТ с формированием внелегочных локализаций туберкулеза или генерализации заболевания.
К методам диагностики присоединяются лучевые, а также тесты иммунодиагностики, способные выявить наличие туберкулезной инфекции (туберкулиновая кожная проба, проба с аллергеном туберкулезным рекомбинантным, тесты, основанные на фиксации интерферона γ, выделяемого сенсибилизированными клетками, – IGRA-тесты) [24, 28–34]. Особую проблему составляет необходимость дифференциальной диагностики туберкулеза и нетуберкулезных микобактериозов, которая становится возможной только после видовой идентификации возбудителя [32–34].
Развитие лекарственной устойчивости возбудителя туберкулеза значительно ухудшает результаты химиотерапии, в случаях МЛУ (как минимум к двум основным противотуберкулезным препаратам – изониазиду и рифампицину) эффективность лечения едва превышает 50% [1, 35]. Первые случаи массового заболевания туберкулезом с МЛУ МБТ произошли в США в конце 1980-х – начале 1990-х годов. Эти «вспышки» лекарственно-устойчивого туберкулеза поражали в основном больных ВИЧ-инфекцией, находившихся в больницах или тюрьмах [36]. Затем похожие инциденты зарегистрированы и в других странах [37]. Указанные факты позволили в дальнейшем говорить об опасности двойной эпидемии ВИЧ/туберкулез [22, 38]. В современных условиях две глобальные проблемы не позволяют добиться существенного прогресса в лечении туберкулеза – это ВИЧ-инфекция и МЛУ возбудителя [39]. Возникают актуальные вопросы по проведению химиотерапии туберкулеза в зависимости от лекарственной устойчивости возбудителя, сочетания туберкулеза с другими инфекционными заболеваниями и наличия сопутствующих патологических состояний, не решены проблемы назначения лекарств с целью профилактики заболевания [40, 41].
Основой лечения туберкулеза любых локализаций является довольно длительная комбинированная химиотерапия, которая имеет свои особенности в зависимости от наличия бактериовыделения у пациента, клинической картины заболевания и лекарственной чувствительности возбудителя. Для удобства практического применения, контроля за лечением и учетом лекарственных средств во фтизиатрии используется термин «режим химиотерапии», под которым подразумеваются определенная комбинация противотуберкулезных препаратов, их дозировки и сроки лечения.
В настоящее время существует 5 режимов химиотерапии: режим I назначается больным туберкулезом с бактериовыделением при отсутствии устойчивости МБТ, II – при устойчивости к изониазиду или полирезистентности к противотуберкулезным препаратам, кроме комбинации изониазида и рифампицина, III – пациентам без бактериовыделения, IV – при МЛУ к изониазиду в сочетании с рифампицином (МЛУ), V – при МЛУ с лекарственной устойчивостью к фторхинолонам. [42]. Химиотерапия туберкулеза подразделяется на 2 фазы: интенсивной терапии – направлена на подавление популяции МБТ и ликвидацию симптомов заболевания, фаза продолжения лечения для полной ликвидации МБТ и выздоровление больного. Лекарственные препараты, используемые для лечения туберкулеза, принято подразделять на основные и резервные, которые применяются для лечения больных с лекарственной устойчивостью МБТ.
В последние годы отмечается значительный прогресс в химиотерапии туберкулеза, вызванного лекарственно-устойчивыми штаммами МБТ, Всемирная организация здравоохранения с 2019 г. рекомендует значительно пересмотреть сложившиеся соотношения и выделять 3 группы препаратов для лечения больных с МЛУ возбудителя в зависимости от их эффективности: группа А – фторхинолоны (левофлоксацин и моксифлоксацин), бедаквилин и линезолид как наиболее эффективные включаются во все схемы; группа B – клофазимин и циклосерин (теризидон) рекомендуются в качестве препаратов 2-й линии; группа C – включает препараты, которые могут использоваться для дополнения групп A и B [43, 44].
Химиотерапия туберкулеза длится от 6 мес при отсутствии устойчивости возбудителя до 20–24 мес при наличии МЛУ МБТ, срок лечения может быть продлен по решению врачебной комиссии. Выбор конкретного режима химиотерапии у больных туберкулезом зависит от многих факторов. При назначении лечения больным туберкулезом в сочетании с другими конкурирующими заболеваниями, кроме данных о лекарственной устойчивости МБТ и распространенности процесса, необходимо учитывать течение и особенности этих патологических состояний [45].
Особым врачебным искусством является лечение больных коинфекцией ВИЧ/туберкулез. Важной составляющей успеха является своевременное и обоснованное назначение антиретровирусной терапии (АРТ). Однако во всех случаях химиотерапия туберкулеза приоритетна, т.е. начинать лечение следует с назначения противотуберкулезных препаратов. АРТ следует присоединять только по назначению врача-инфекциониста. При крайне низких показателях иммунной защиты, число CD4+ лимфоцитов менее 50 кл/мкл, в течение первых 2 нед противотуберкулезной химиотерапии при уровне CD4+ лимфоцитов более 50 кл/мкл срок назначения АРТ может быть увеличен до 8 нед от момента начала лечения [42, 46].
В Москве изучалась эффективность курсов химиотерапии у пациентов с коинфекцией ВИЧ/туберкулез и больных туберкулезом без ВИЧ-инфекции. Выполнена оценка результатов лечения 1115 впервые выявленных в 2018 г. больных туберкулезом без МЛУ МБТ. Установлено, что у впервые выявленных больных туберкулезом легких в сочетании с ВИЧ-инфекцией отмечается достоверно более низкая эффективность лечения, чем у больных туберкулезом без ВИЧ-инфекции: 75,3 и 90,3% (p<0,01). Больные коинфекцией ВИЧ/ТБ, по сравнению с неинфицированными ВИЧ, значительно чаще умирали – 21,2% против 5,1% (p<0,01). А также существенно чаще досрочно прекращали курс лечения: 2,4% против 0,7% (p<0,05); рис. 1.
Рис. 1. Результаты химиотерапии впервые выявленных больных туберкулезом, % (n=1115).
Отдельно изучена эффективность лечения 360 больных туберкулезом с МЛУ МБТ, из которых у 61 установлена ВИЧ-инфекция и у 299 зафиксирован туберкулез без ВИЧ-инфекции (когорта сформирована из больных, начавших лечение в 2013–2014 гг. и завершивших в 2016–2017 гг.); рис. 2. Результаты показали отсутствие достоверной разницы в эффективности курсов лечения между двумя группами больных туберкулезом с МЛУ МБТ – 41,0 и 45,5% (p>0,05). Полученный результат связан с отбором на длительный курс противотуберкулезной химиотерапии больных с высокой приверженностью лечению. Отрывов от лечения наблюдали немного, примерно 3,3–5,0% в двух группах. Неэффективное лечение отмечено у 35 (11,7%) больных туберкулезом с отрицательным ВИЧ-статусом, среди больных коинфекцией ВИЧ/туберкулез такой исход не зафиксирован ни у одного пациента. Это связано с тем, что при неэффективности лечения за продолжительный срок химиотерапии туберкулеза с МЛУ МБТ больные этой группы умирали от прогрессирования как ВИЧ-инфекции, так и туберкулеза (1,6%). Соответственно, доля умерших лиц вне зависимости от причины смерти практически в 2 раза выше среди пациентов с ВИЧ-инфекцией: 36,0% против 18,4% больных без ВИЧ-инфекции (p<0,01).
Рис. 2. Результаты химиотерапии впервые выявленных больных туберкулезом с МЛУ МБТ в зависимости от ВИЧ-статуса, % (n=360).
Принципиально важным аспектом в лечении туберкулеза у ВИЧ-инфицированных лиц является проведение АРТ. Исходя из собственного опыта, при уровне CD4+ лимфоцитов выше 350 кл/мкл начало АРТ возможно отложить до окончания фазы интенсивной химиотерапии, при отсутствии других показаний к ее назначению. Низкий иммунный статус, при котором уровень CD4+ лимфоцитов ниже 350 кл/мкл, в сочетании с туберкулезом является абсолютным показанием к проведению АРТ. Начинать прием антиретровирусных препаратов следует после полной адаптации больного к противотуберкулезной химиотерапии. Возможно и более раннее присоединение АРТ при наличии других показаний кроме туберкулеза, как правило, это жизнеугрожающее прогрессирование других вторичных заболеваний. В такой ситуации АРТ необходимо присоединять через 2–4 нед после начала лечения туберкулеза. Следует отметить, что риск развития синдрома восстановления иммунитета при таком назначении крайне высокий, протекает он тяжело, требует коррекции или отмены как антиретровирусных, так и противотуберкулезных препаратов. В любом случае решение о присоединении АРТ требует взвешенного обоснованного совместного решения инфекциониста и фтизиатра.
В настоящее время в Москве для лечения больных коинфекцией ВИЧ/туберкулез внедрены новые режимы химиотерапии туберкулеза с применением наиболее эффективных препаратов, а также хирургические методы. Внедрение новых лекарственных схем лечения с включением бедаквилина, линезолида и моксифлоксацина привело к повышению эффективности курсов химиотерапии туберкулеза с МЛУ МБТ, в том числе у больных коинфекцией ВИЧ/туберкулез. Указанная схема, дополненная тремя другими препаратами, к которым сохранена чувствительность возбудителя, назначена 36 больным туберкулезом легких, сочетанным с ВИЧ-инфекцией. Бактериовыделение отмечалось у всех 36 больных: МЛУ МБТ у 12 (33,3%) и у 24 (66,7%) широкая лекарственная устойчивость (ШЛУ) МБТ. Полости распада в легочной ткани определялись у 8 (22,2%) пациентов. Завершили лечение 32 (88,9%) пациента, 4 (11,1%) – прервали курс, из них у 1 отмечали удлинение интервала QT на электрокардиограмме, 3 самостоятельно прекратили прием препаратов.
Эффективность лечения превысила показатели, полученные в когортных исследованиях, и составила по прекращению бактериовыделения 78,1%, по закрытию полостей распада – 62,5%, летальных исходов не наблюдалось. Отрицательного влияния проводимой противотуберкулезной терапии на течение ВИЧ-инфекции не отмечалось, переносимость АРТ удовлетворительная.
Клиническое наблюдение 1
Пациент Ч., 42 года, ВИЧ-инфекция с 2013 г., в МГЦ СПИД не обращался, АРТ не получал. Госпитализирован по скорой помощи в городскую больницу общего профиля, где установлен диагноз туберкулеза. Переведен для лечения в Московский городской научно-практический центр борьбы с туберкулезом.
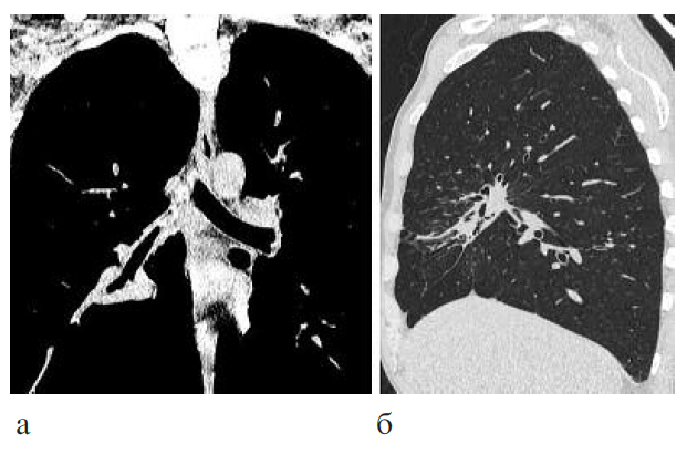
Клинический диагноз: ВИЧ-инфекция, 4В стадия, фаза прогрессирования вне АРТ. Генерализованный туберкулез: туберкулез внутригрудных лимфатических узлов, правого главного, промежуточного и среднедолевого бронхов, диссеминированный туберкулез легких, правосторонний экссудативный плеврит, туберкулез внутрибрюшных и забрюшинных лимфатических узлов, туберкулез периферических лимфатических узлов, МБТ+, ШЛУ, распространенный висцеральный кандидоз, манифестная цитомегаловирусная инфекция, хронический вирусный гепатит С, наркомания. Уровень CD4+ лимфоцитов 186 кл/мкл, вирусная нагрузка более 1 млн копий/мл, в мокроте ДНК МБТ с лекарственной устойчивостью к рифампицину. Начата противотуберкулезная химиотерапия по IV режиму. Переносимость лечения неудовлетворительная (гепатотоксическая реакция). При рентгенологическом обследовании отмечено объемное уменьшение правого легкого, в верхней доле на фоне фиброза полость распада размером 3,8¥2,2 см с толстыми неровными стенками, очаги диссеминации в обоих легких (рис. 3). В течение первого месяца лечения отрицательная клиническая динамика, получен результат посева мокроты, выявлена ШЛУ МБТ к изониазиду, рифампицину, стрептомицину, канамицину, каприомицину, офлоксацину. Назначен V режим химиотерапии с включением линезолида, бедаквилина, азитромицина, моксифлоксацина, протионамида, теризидона, этамбутола. Через 2 мес лечения присоединена АРТ. Через 6 мес терапии по новому режиму отмечены прекращение бактериовыделения и выраженная положительная клинико-рентгенологическая динамика (рис. 4). Больной выписан для продолжения лечения в амбулаторных условиях, в последующем в течение 2 лет рецидива туберкулеза не отмечено. Данное наблюдение показывает возможность эффективного лечения больного коинфекцией ВИЧ/туберкулез с использованием новых режимов химиотерапии.
Рис. 3. КТ-исследование до лечения: а – увеличенные казеифицированные внутригрудные лимфатические узлы; б – перибронхиальная инфильтрация и лимфогенная диссеминация легочной ткани; в – увеличенные казеифицированные внутрибрюшные лимфатические узлы.
Рис. 4. КТ-исследование через 6 мес лечения: а – регресс изменений во внутригрудных лимфатических узлах; б – рассасывание инфильтративных и очаговых изменений в легочной ткани.
Таким образом, проведенное исследование показало более низкие результаты курса химиотерапии у больных сочетанной ВИЧ/туберкулез инфекцией в сравнении с пациентами без ВИЧ-инфекции. Применение новых индивидуализированных схем противотуберкулезной химиотерапии у больных коинфекцией ВИЧ/туберкулез с МЛУ МБТ позволило увеличить эффективность лечения.
В ряде случаев при недостаточной эффективности химиотерапии туберкулеза приходится прибегать к хирургическим методам лечения. В основном сейчас применяются различные резекционные операции, при отдельных показаниях – коллапсохирургические методы. С этой целью нами изучены результаты 69 операций у 67 больных коинфекцией ВИЧ/туберкулез, выполненных по поводу туберкулеза. Оценку эффективности и безопасности хирургического лечения туберкулеза у больных ВИЧ-инфекцией провели в сравнении с результатами подобных 133 операций, выполненных 125 больным туберкулезом без ВИЧ-инфекции в том же хирургическом отделении. Установлено, что в послеоперационном периоде у больных сочетанной ВИЧ/туберкулез-инфекцией из 69 выполненных операций осложненное течение наблюдали в 6 (8,7%) случаях (95% доверительный интервал – ДИ 3,3–18,0). Нагноение операционных ран зафиксировано у 2 больных, внутриплевральное кровотечение – у 2 (выполнена реторакотомия), пострезекционная эмпиема также у 2 больных с МЛУ МБТ (в одном случае потребовалось длительное дренирование, в другом – последующая торакомиопластика остаточной полости). Среди больных туберкулезом без ВИЧ-инфекции после 133 операций осложнения развились у 10 (7,5%) пациентов (95% ДИ 3,7–13,4). Изучен иммунный статус у больных туберкулезом, сочетанным с ВИЧ-инфекцией, подвергнутых оперативным вмешательствам. Установлено, что из 67 больных у 29,9% (95% ДИ 19,2–42,3) отмечено увеличение уровня СD4+ лимфоцитов после операции, у 17,9% (95% ДИ 9,6–9,1) – снижение, у 52,2% (95% ДИ 39,7–64,6) значимого изменения не выявлено.
Таким образом, достоверных различий в частоте послеоперационных осложнений между больными сочетанной инфекцией ВИЧ/туберкулез и больными туберкулезом без ВИЧ-инфекции не получено. У больных туберкулезом, сочетанным с ВИЧ-инфекцией, из 69 операций осложненное течение наблюдали после 6 (8,7%) [95% ДИ 3,3–18,0]. А у больных туберкулезом без ВИЧ-инфекции после 133 операций осложнения развились у 10 (7,5%) [95% ДИ 3,7–13,4]; p>0,05. Установлено, что хирургические вмешательства по поводу туберкулеза оказывают значительное, но неоднозначное влияние на число СD4+ лимфоцитов. У 20 (29,9%) из 67 (95% ДИ 19,2–42,3) отмечено увеличение уровня СD4+ лимфоцитов после операции, у 12 (17,9%) [95% ДИ 9,6–29,1] – снижение, и у 35 (52,2%) [95% ДИ 39,7–64,6] значимого изменения не выявлено. Полученные данные показывают возможность проведения оперативных вмешательств у лиц с коинфекцией ВИЧ/туберкулез без значительного риска осложнений.
Клиническое наблюдение 2
Больной Р., 38 лет. Анамнез: ВИЧ-инфекция с 2012 г., АРТ не получал из-за достаточно высокого иммунного статуса. Диссеминированный туберкулез легких выявлен в 2013 г., МБТ+, МЛУ (устойчивость к изониазиду, рифампицину, стрептомицину). Лечение по IV режиму химиотерапии на протяжении 18 мес с положительной клинико-рентгенологической динамикой, однако сформировались множественные туберкулемы верхних долей обоих легких с деструктивными изменениями. Поступил в 2014 г. для хирургического лечения. Иммунный статус: СD4+ лимфоциты 583 кл/мкл, вирусная нагрузка – 145 499 копий/мл (рис. 5, а). В течение месяца проведена интенсивная предоперационная подготовка с включением бедаквилина, линезолида и моксифлоксацина, затем выполнена этапная операция: сначала верхняя лобэктомия слева, затем через 4 нед справа (рис. 5, б, в). Послеоперационный период протекал без осложнений. При контрольном обследовании отмечены изменения показателей иммунного статуса: СD4+ лимфоциты снизились до 203 кл/мкл, при этом вирусная нагрузка также уменьшилась до 34 492 копий/кл. Через 2 мес после операции пациенту развернута АРТ. При динамическом наблюдении в течение 5 лет после операции рецидива туберкулеза не отмечено, течение ВИЧ-инфекции стабильное на фоне АРТ.
Рис. 5. КТ-исследование: а – до операции; б – после верхней лобэктомии слева; в – после верхней лобэктомии справа.
Результаты демонстрируют эффективность и безопасность применения хирургических методов лечения в сочетании с современными режимами химиотерапии у больных коинфекцией ВИЧ/туберкулез с МЛУ МБТ, способствующих повышению эффективности лечения туберкулеза.
Обсуждение
Наличие лекарственной устойчивости МБТ определяет необходимость использования препаратов, относящихся к резервным, и мы вынуждены также прибегнуть к их назначению [47–49]. Особенность нашего исследования – проведение сравнения результатов лечения у больных туберкулезом с различным ВИЧ-статусом. Туберкулез на фоне иммуносупрессии любой этиологии преимущественно поражает лимфатическую систему вне зависимости от возраста пациента, а бактериовыделение у этих больных встречается реже и не может являться признаком распространенности поражения, как традиционно принято при легочных формах туберкулеза.
При назначении лечения учитывали возможное взаимодействие противотуберкулезных препаратов с другими лекарственными средствами, которые принимает пациент. Например, с антиретровирусными препаратами, кардиотропными, гормональными и так далее (усиливается токсичность, снижается эффективность, причем и тех и других). У ВИЧ-инфицированных пациентов с низким иммунным статусом может развиться неспецифический воспалительный синдром восстановления иммунной системы (IRIS), который следует дифференцировать от прогрессирования туберкулеза. Также на фоне восстановления иммунитета могут появиться или «проявиться» признаки туберкулезного поражения внелегочной локализации (лимфатических узлов, органов брюшной полости, мочевой системы, центральной нервной системы). Диагноз «туберкулез органов дыхания» изменяется на «генерализованный туберкулез», который требует назначения расширенного режима лечения [46]. Исходя из наших наблюдений генерализация и распространенность туберкулезного процесса, даже при отсутствии бактериовыделения (соответственно и данных о лекарственной чувствительности), определяют необходимость назначения больным расширенных режимов химиотерапии с включением препаратов резерва. Прогрессирование ВИЧ-инфекции, вирусных гепатитов В и С, интеркуррентных заболеваний, а также сопутствующая эндогенная и экзогенная интоксикация приводят к поражению многих органов и систем, что ограничивает возможность использования противотуберкулезных препаратов из-за наличия противопоказания и риска развития реакций непереносимости.
Локализация туберкулезного поражения в лимфатической системе, а также в паренхиматозных органах с формированием казеозно-некротических фокусов, лишенных кровотока, по нашему мнению, требует увеличения сроков химиотерапии. Мы учитывали, что перед назначением противотуберкулезной химиотерапии врач традиционно оценивает данные лучевых исследований органов дыхания. Однако развитие генерализованных форм туберкулеза при выраженном иммунодефиците (ВИЧ-инфекция, длительная иммуносупрессорная терапия) может достаточно длительное время протекать скрыто. Если оценка распространенности туберкулезного процесса ограничивается традиционным рентгенологическим исследованием органов грудной клетки, то внелегочные локализации оказываются невыявленными. Дополнительное выполнение больным компьютерной томографии (КТ) органов грудной клетки, брюшной полости и забрюшинного пространства, головного мозга зачастую ведет к установлению новых локализаций туберкулеза, увеличению распространенности процесса, что также необходимо учитывать при проведении лечения [6, 50].
При отсутствии лекарственной устойчивости возбудителя и ограниченной распространенности процесса в пределах органов дыхания лечение проводят по I режиму химиотерапии (изониазид, рифампицин, пиразинамид, этамбутол или аминогликозид). Если ВИЧ-инфицированный пациент не получал АРТ, то она назначается через 2–4 нед химиотерапии, после адаптации к ней по рекомендации инфекциониста.
Однако при развитии туберкулезного поражения центральной нервной системы, язвенном поражении желудочно-кишечного тракта, особенно после операций на органах брюшной полости по поводу осложнений туберкулеза, таких как перфорации туберкулезных язв, в течение нескольких недель пациент лишен возможности перорального приема противотуберкулезных препаратов. В этих случаях необходимо назначение индивидуализированных схем лечения, состоящих из препаратов в инъекционных формах: изониазид, рифампицин, аминогликозиды, фторхинолоны [51]. Использование ПАСК, даже парентерально, исключается. При язвенном поражении желудочно-кишечного тракта для формирования полноценной многокомпонентной схемы, а также при генерализации туберкулезного процесса в режим химиотерапии приходится включать: меропенемы, линезолид, азитромицин, амоксиклав, – иногда при отсутствии данных о возможной лекарственной устойчивости.
Мы можем с уверенностью заявить, что лечение туберкулеза в значительной степени требует персонификации и не может быть полностью стандартизировано, поэтому режимы и схемы химиотерапии туберкулеза обязательно утверждаются решением врачебной комиссии. В состав врачебной комиссии входят не только фтизиатры, но и пульмонологи, терапевты, хирурги, неврологи, инфекционисты, при необходимости другие специалисты. Неэффективная этиотропная химиотерапия, связанная с лекарственной устойчивостью МБТ или другими факторами, такими как непереносимость лечения или появление нежелательных реакций на препараты, а также развитие осложнений туберкулеза, в том числе с внелегочной локализацией, в ряде случаев определяет необходимость хирургического лечения [52]. Полученные нами результаты принципиально не отличаются от ранее опубликованных данных, однако они подчеркивают их безопасность у больных коинфекцией ВИЧ/туберкулез [53, 54]. На период хирургического лечения продолжается или возобновляется (если отменена) фаза интенсивной химиотерапии [42, 55, 56]. На основании опыта отечественных и иностранных исследователей мы допускаем назначение патогенетической и адъювантной терапии больным туберкулезом, так как полагаем, что такой комплексный индивидуализированный подход приведет к улучшению результатов терапии [42, 57]. Также рекомендуется использование экстракорпоральных методов лечения, детоксикации и нутритивной поддержки. Важной составляющей эффективного лечения является полноценное лечебное питание [6].
Наше исследование и международный опыт обосновали применение новых схем лечения, которые позволяют сократить сроки терапии и повысить его эффективность. Препараты назначаются только после проведения тестирования на лекарственную чувствительность возбудителя туберкулеза, необходимо иметь достаточный запас лекарств и быть уверенным в понимании каждым пациентом необходимости завершения полного курса химиотерапии. Проводить его лучше под непосредственным наблюдением врача, т.е. лечение должно быть контролируемым. Необходимо осуществлять меры инфекционного контроля, отслеживание контактных лиц, изоляцию наиболее эпидемически опасных пациентов в стационаре [58, 59]. В Москве все больные, выделяющие МБТ, госпитализируются в обязательном порядке и находятся в стационаре до момента прекращения бактериовыделения.
Заключение
Лечение туберкулеза в настоящее время, так же как десятки и сотни лет тому назад, представляет довольно серьезную и до конца не решенную проблему. Стандартные режимы химиотерапии у больных могут служить лишь предварительными ориентирами для начала лечения, а проведение адекватного полноценного лечения, способного избавить больного от туберкулеза, требует значительной персонификации. Слияние двух глобальных проблем коинфекции ВИЧ/туберкулез и МЛУ МБТ значительно препятствует прекращению эпидемии туберкулеза в мире. В то же время успехи в разработке и внедрении новых противотуберкулезных препаратов создают надежду на существенный прогресс в разрешении этой ситуации.
В первую очередь усилия медицинского сообщества в решении проблемы туберкулеза необходимо направить на разработку комплекса мер по раннему выявлению туберкулеза и латентной туберкулезной инфекции, быстрых методов детекции возбудителя, повышению доступности специализированной диагностической и лечебной медицинской помощи для всего населения. При своевременном начале химиотерапии, применении персонифицированных подходов к назначению лекарств эффективность лечения туберкулеза весьма высока и дает надежду на дальнейшее улучшение эпидемической обстановки в России и мире.
About the authors
M. V. Sinitsyn
Moscow Research and Clinical Center for Tuberculosis Control
Email: taxol@bk.ru
ORCID iD: 0000-0001-8951-5219
д.м.н., зам. дир. по научной и организационно-методической работе
Russian Federation, MoscowM. V. Kalinina
Moscow Research and Clinical Center for Tuberculosis Control
Email: taxol@bk.ru
ORCID iD: 0000-0001-5327-496X
к.м.н., ст. науч. сотр., доц., врач-фтизиатр туберкулезного хирургического отд-ния
Russian Federation, MoscowE. M. Belilovskiy
Moscow Research and Clinical Center for Tuberculosis Control
Email: taxol@bk.ru
ORCID iD: 0000-0002-3456-3069
к.м.н., зав. отд. эпидемиологического мониторинга туберкулеза
Russian Federation, MoscowA. S. Galstyan
Moscow Research and Clinical Center for Tuberculosis Control
Email: taxol@bk.ru
ORCID iD: 0000-0002-9893-0841
врач-фтизиатр, зав. туберкулезным легочным отд-нием №1
Russian Federation, MoscowM. N. Reshetnikov
Moscow Research and Clinical Center for Tuberculosis Control
Author for correspondence.
Email: taxol@bk.ru
ORCID iD: 0000-0002-4418-4601
к.м.н., врач-хирург туберкулезного хирургического отд-ния
Russian Federation, MoscowD. V. Plotkin
Moscow Research and Clinical Center for Tuberculosis Control
Email: taxol@bk.ru
ORCID iD: 0000-0002-6659-7888
к.м.н., доц., врач-хирург туберкулезного хирургического отд-ния
Russian Federation, MoscowReferences
- World Health Organization. Global Tuberculosis Report 2019. Geneva, 2019. https://www.who.int/tb/publications/global_report/en/
- Социально значимые заболевания населения России в 2018 году. Статистические материалы. Минздрав РФ, 2019 [Sotsial’no znachimye zabolevaniya naseleniya Rossii v 2018 godu (Statisticheskie materialy). Minzdrav RF, 2019 (In Russ.)]. https://www.rosminzdrav.ru/ministry/61/22/stranitsa-979/statisticheskie-i-informatsionnye-materialy/statisticheskiy-sbornik-2018-god
- Эпидемиологическая ситуация по туберкулезу в России, 2018. ЦНИИОИЗ Минздрава РФ, 2019 [Epidemiologicheskaia situatsiia po tuberkulezu v Rossii, 2018. TsNIIOIZ Minzdrava RF, 2019 (In Russ.)]. https://mednet.ru/images/materials/CMT/2018_god_tuberkulez_ epidsituaciya.pdf
- Противотуберкулезная работа в городе Москве. Аналитический обзор статистических показателей по туберкулезу, 2018. Под ред. Е.М. Богородской, В.И. Литвинова, Е.М. Белиловского. М.: МНПЦБТ, 2019 [Protivotuberkuleznaya rabota v gorode Moskve. Analiticheskii obzor statisticheskikh pokazatelei po tuberkulezu, 2018. Pod red. EM Bogorodskoi, VI Litvinova, EM Belilovskogo. Moscow: MNPTsBT, 2019 (In Russ.)].
- ТБ/ВИЧ в Российской Федерации. Эпидемиология, особенности клинических проявлений и результаты лечения. Под ред. С.А. Стерликова. М.: РИО ЦНИИОИЗ, 2017 [TB/VICh v Rossiiskoi Federatsii. Epidemiologiya, osobennosti klinicheskikh proyavlenii i rezul’taty lecheniya. Pod red. SA Sterlikova. Moscow: RIO TsNIIOIZ, 2017 (In Russ.)].
- Синицын М.В., Белиловский Е.М., Соколина И.А. и др. Внелегочные локализации туберкулеза у больных ВИЧ-инфекцией. Туберкулез и болезни легких. 2017;95(11):19-25. [Sinitsyn MV, Belilovsky EM, Sokolinа IA, et al. Extrapulmonary tuberculosis in HIV Patients. Tuberculosis and Lung Diseases. 2017;95(11):19-25 (In Russ.)]. doi: 10.21292/2075-1230-2017-95-11-19-25
- Sacula A. Carlo Forlanini, inventor of artificial pneumothorax for treatment of pulmonary tuberculosis. Thorax. 1983;38:326-32. doi: 10.1136/thx.38.5.326
- Jacobaeus HV. Ur die Moglichkeitdie Zystoskopie bei Untersuchung seroser Hohlungen anzuwenden. Munchener Medizinische Wochenschrift. 1910;57;2090-2.
- Ghai SN. Extra pleural pneumonolysis with or without plombage in thoracoplasty failures: review of 21 cases. Indian J Tuberc. 1958;5(3):122-9.
- Tiberi S, Torrico MM, Rahman A, et al. Managing severe tuberculosis and its sequelae: from intensive care to surgery and rehabilitation. J Brasileiro Pneumologia. 2019;45(2):e20180324. doi: 10.1590/1806-3713/e20180324
- McDermott W, Muschenheim C, Hadley SD. Streptomycin in the treatment of tuberculosis in humans. J Clin Invest. 1947;26(6):1190.
- Рабухин А.Е. Туберкулез органов дыхания у взрослых. М.: Медицина, 1976 [Rabukhin AE. Respiratory tuberculosis in adults. Moscow: Meditsina, 1976 (In Russ.)].
- Хоменко А.Г. Химиотерапия туберкулеза легких. М.: Медицина, 1980 [Khomenko AG. Chemotherapy for pulmonary tuberculosis. Moscow: Meditsina, 1980 (In Russ.)].
- Iseman MD, Sbarbaro JA. Short-course chemotherapy of tuberculosis. Hail Britannia (and friends)! Am Rev Respir Dis. 1991;(4 Pt 1):697-8. doi: 10.1164/ajrccm/143.4_Pt_1.697
- Sensi P. History of the development of rifampin. Rev Infect Dis. 1983;5(Suppl. 3):S402-406. doi: 10.1093/clinids/5.supplement_3.s402
- Styblo K. Recent advances in epidemiological research in tuberculosis. Advances in Tuberculosis Research. 1980;20:1-63.
- Centers for Disease Control and Prevention (CDC). Pneumocystis pneumonia-Los Angeles. 1981. MMWR Morb Mortal Wkly Rep. 1996;45(34):729-33.
- Gottlieb MS, Schroff R, Schanker HM, et al. Pneumocystis carinii pneumonia and mucosal candidiasis in previously healthy homosexual men: evidence of a new acquired cellular immunodeficiency. N Engl J Med. 1981;305(24):1425-31. doi: 10.1056/NEJM198112103052401
- Akolo C, Adetifa I, Shepperd S, Volmink J. Treatment of latent tuberculosis infection in HIV infected persons. Cochrane Database Syst Rev. 2010;1:CD000171. doi: 10.1002/14651858. CD000171.pub3
- Woldehanna S, Volmink J. Treatment of latent tuberculosis infection in HIV infected persons. Cochrane Database Syst Rev. 2004;1:CD000171. doi: 10.1002/14651858.CD000171.pub2
- Corbett EL, Watt CJ, Walker N, et al. The growing burden of tuberculosis: global trends and interactions with the HIV epidemic. Arch Intern Med. 2003;163(9):1009-21. doi: 10.1001/archinte.163.9.1009
- Varghese GM, Janardhanan J, Ralph R, Abraham OC. The Twin Epidemics of Tuberculosis and HIV. Curr Infect Dis Rep. 2013;15:77-84. doi: 10.1007/s11908-012-0311-3
- National Institute for Health and Clinical Excellence. Tuberculosis: Clinical diagnosis and management of tuberculosis, and measures for its prevention and control. London, 2016. https://www.nice.org.uk/guidance/ng33
- Santin M, Muñoz L, Rigau D. Interferon-γ release assays for the diagnosis of tuberculosis and tuberculosis infection in HIV-infected adults: a systematic review and meta-analysis. PLoS One. 2012;7(3):e32482. doi: 10.1371/journal.pone.0032482
- Burmen B, Modi S, Cavanaugh JS, et al. Tuberculosis screening outcomes for newly diagnosed persons living with HIV, Nyanza Province, Kenya, 2009. Int J Tuberc Lung Dis. 2016;20(1):79-84. doi: 10.5588/ijtld.15.0053
- Зимина В.Н., Микова О.Е., Варецкая Т.А. и др. Выявление микобактерий туберкулеза в мокроте у больных ВИЧ-инфекцией при использовании современного алгоритма этиологической диагностики заболевания. Инфекционные болезни. 2018;16(1):28-34 [Zimina VN, Mikova OE, Varetskaya TA, et al. Detection of mycobacterium tuberculosis in sputum of patients with HIV infection using a modern algorithm of etiological diagnosis of disease. Infectious Diseases. 2018;16(1):28-34 (In Russ.)]. doi: 10.20953/1729-9225-2018-1-28-34
- Kim SJ. Drug-susceptibility testing in tuberculosis: methods and reliability of results. Eur Respir J. 2005;25(3):564-9. doi: 10.1183/09031936.05.00111304
- Слогоцкая Л.В., Синицын М.В., Кудлай Д.А. Возможности иммунологических тестов в диагностике латентной туберкулезной инфекции и туберкулеза. Туберкулез и болезни легких. 2019;97(11):46-58 [Slogotskaya LV, Sinitsyn MV, Kudlay DA. Potentialities of immunological tests in the diagnosis of latent tuberculosis infection and tuberculosis. Tuberculosis and Lung Diseases. 2019;97(11):46-58 (In Russ.)]. doi: 10.21292/2075-1230-2019-97-11-46-58
- Aichelburg MC, Rieger A, Breitenecker F, et al. Detection and prediction of active tuberculosis disease by a whole-blood interferon-gamma release assay in HIV-1-infected individuals. Clin Infect Dis. 2009;48(7):954-62. doi: 10.1086/597351
- WHO guidelines on tuberculosis infection prevention and control, 2019 update. World Health Organization, Geneva 2019. https://apps.who.int/iris/bitstream/handle/10665/311259/9789241550512-eng.pdf?ua=1
- Савоненкова Л.Н., Рузов В.И., Колчин Д.В. и др. Трудности и ошибки диагностики абдоминального туберкулеза в практике терапевта. Терапевтический архив. 2019;91(11):16-9 [Savonenkova LN, Ruzov VI, Kolchin DV, et al. Difficulties and mistakes in the diagnosis of abdominal tuberculosis in the practice of the general practitioner. Therapeutic Archive. 2019;91(11):16-9 (In Russ.)]. doi: 10.26442/00403660.2019.11.000374
- Пантелеев А.М., Никулина О.В., Христусев А.С. и др. Дифференциальная диагностика туберкулеза и микобактериоза у больных ВИЧ-инфекцией. Туберкулез и болезни легких. 2017;95(10):47-52 [Panteleev AM, Nikulina OV, Khristusev AS, et al. Differential diagnostics of tuberculosis and mycobacteriosis in HIV patients. Tuberculosis and Lung Diseases. 2017;95(10):47-52 (In Russ.)]. doi: 10.21292/2075-1230-2017-95-10-47-52
- Синицын М.В., Скопин М.С., Решетников М.Н. и др. Дифференциальная диагностика лимфаденопатии брюшной полости у больных ВИЧ-инфекцией. Туберкулез и болезни легких. 2019;97(2):5-11 [Sinitsyn MV, Skopin MS, Reshetnikov MN, et al. Differential diagnostics of abdomen lymphadenopathy in HIV patients. Tuberculosis and Lung Diseases. 2019;97(2):5-11 (In Russ.)]. doi: 10.21292/2075-1230-2019-97-2-5-11
- Литвинов В.И., Макарова М.В., Краснова М.А. Нетуберкулезные микобактерии. М.: МНПЦБТ, 2008 [Litvinov VI, Makarova MV, Krasnova MA. Non-tuberculous mycobacteria. Moscow: MNPTsBT, 2008 (In Russ.)].
- Blumberg HM, Burman WJ, Chaisson RE, et al. American Thoracic Society/Centers for Disease Control and Prevention/Infectious Diseases Society of America: treatment of tuberculosis. Am J Respir Crit Care Med. 2003;167(4):603-62. doi: 10.1164/rccm.167.4.603
- Centers for Disease Control and Prevention (CDC). Multidrug-resistant tuberculosis outbreak on an HIV ward-Madrid, Spain, 1991-1995. MMWR Morb Mortal Wkly Rep. 1996;45(16):330-3.
- Туберкулез с множественной лекарственной устойчивостью. Под ред. И. Бастиан, Ф. Порталс. М.: Медицина и жизнь, 2003 [Multidrug-resistant tuberculosis. Pod red. I Bastian, F Portals. Moscow: Meditsina i zhizn’, 2003 (In Russ.)].
- A guide to monitoring and evaluation for collaborative TB/HIV activities, 2015 revision. World Health Organization, Geneva 2015. http://www.who.int/tb/publications/monitoring-evaluation-collaborative-tb-hiv/en/
- Hermans SM, Zinyakatira N, Caldwell J, et al. High rates of recurrent TB disease: a population-level cohort study. Clinical Infectious Diseases. 2020:ciaa470. doi: 10.1093/cid/ciaa470
- Migliori GB, Zellweger JP, Abubakar I, et al. European union standards for tuberculosis care. Eur Respir J. 2012;39(4):807-19. doi: 10.1183/09031936.00203811
- Marks SM, Mase SR, Morris SB. Systematic review, meta-analysis, and cost-effectiveness of treatment of latent tuberculosis to reduce progression to multidrugresistant tuberculosis. Clin Infect Dis. 2017; 64(12):1670-7. doi: 10.1093/cid/cix208
- Клинические рекомендации. Туберкулез у взрослых. Общероссийская общественная организация «Российское общество фтизиатров». Минздрав РФ, 2020 [Klinicheskie rekomendatsii. Tuberkulez u vzroslykh. Obshcherossiiskaya obshchestvennaya organizatsiya “Rossiiskoe obshchestvo ftiziatrov”. Minzdrav RF, 2020 (In Russ.)]. http://cr.rosminzdrav.ru/#!/recomend/943
- WHO consolidated guidelines on drug-resistant tuberculosis treatment. World Health Organization, Geneva 2019. https://apps.who.int/iris/bitstream/handle/10665/311389/9789241550529-eng.pdf
- Rapid communication: key changes to treatment of drug-resistant tuberculosis. World Health Organization, Geneva 2019. https://www.who.int/tb/publications/2019/WHO_RapidCommunicationMDR_TB2019.pdf?ua=1
- Migliori GB, Tiberi S, Zumla A, et al. MDR/XDR-TB management of patients and contacts: challenges facing the new decade. The 2020 clinical update by the Global Tuberculosis Network. Int J Infect Dis. 2020;92(3):15-25. doi: 10.1016/j.ijid.2020.01.042
- Uthman OA, Okwundu C, Gbenga K, et al. Optimal Timing of Antiretroviral Therapy Initiation for HIV-Infected Adults With Newly Diagnosed Pulmonary Tuberculosis: A Systematic Review and Meta-analysis. Ann Intern Med. 2015;163(1):32-9. doi: 10.7326/M14-2979
- Borisov SE, Dheda K, Enwerem M, et al. Effectiveness and safety of bedaquiline-containing regimens in the treatment of MDR-and XDR-TB: a multicentre study. Eur Respir J. 2017;49(5):1700387. doi: 10.1183/13993003.00387-2017
- Calligaro G, Moodley L, Symons G, Dheda K. The medical and surgical treatment of drug-resistant tuberculosis. J Thora Dis. 2014;3(6):186-95. doi: 10.3978/j.issn.2072-1439.2013.11.11
- Pontali E, Sotgiu G, D’Ambrosio L, et al. Bedaquiline and multidrug-resistant tuberculosis: a systematic and critical analysis of the evidence. Eur Respir J. 2016;47(2):394-402. doi: 10.1183/13993003.01891-2015
- Thwaites G, Fisher M, Hemingway C, et al. British Infection Society guidelines for the diagnosis and treatment of tuberculosis of the central nervous system in adults and children. J Infect. 2009;59(3):167-87. doi: 10.1016/j.jinf.2009.06.011
- Решетников М.Н., Скопин М.С., Синицын М.В. и др. Выбор хирургической тактики при перфоративных туберкулезных язвах кишечника у больных ВИЧ-инфекцией. Туберкулез и болезни легких. 2017;95(9):19-24 [Reshetnikov MN, Skopin MS, Sinitsyn MV, et al. The choice of surgical tactics in perforated tuberculous intestinal ulcers in HIV patients. Tuberculosis Lung Dis. 2017;95(9):19-24 (In Russ.)]. doi: 10.21292/2075-1230-2017-95-9-19-24
- Akkerman O, Aleksa A, Alffenaar JW, et al. Surveillance of adverse events in the treatment of drug-resistant tuberculosis: A global feasibility study. Int J Infect Dis. 2019;83:72-6. doi: 10.1016/j.ijid.2019.03.036
- Marrone MT, Venkataramanan V, Goodman M, et al. Surgical interventions for drug-resistant tuberculosis: A systematic review and meta-analysis. Int J Tuberc Lung Dis. 2013;17(1):6-16. doi: 10.5588/ijtld.12.0198
- Kilani T, Boudaya MS, Zribi H, et al. Surgery for thoracic tuberculosis. Revue de Pneumologie Clinique. 2015;71(2-3):140-58. doi: 10.1016/j.pneumo.2014.03.005
- Migliori GB, Ortmann J, Girardi E, et al. Extensively drug-resistant tuberculosis, Italy and Germany. Emerg Infect Dis. 2007;13(5):780-2. doi: 10.3201/eid1305.070200
- Prasad R, Singh A, Balasubramanian V, Gupta N. Extensively drug-resistant tuberculosis in India: Current evidence on diagnosis & management. Indian J Med Res. 2017;145(3):271-93. doi: 10.4103/ijmr.IJMR_177_16
- Rao M, Ippolito G, Mfinanga S, et al. Improving treatment outcomes for MDR-TB – Novel host-directed therapies and personalized medicine of the future. Int J Infect Dis. 2019;3:62-7. doi: 10.1016/j.ijid.2019.01.039
- Lange C, Aarnoutse RE, Alffenaar JWC, et al. Management of patients with multidrug-resistant tuberculosis. Int J Tuberc Lung Dis. 2019;23(6): 645-62. doi: 10.5588/ijtld.18.0622
- Migliori GB, D’Ambrosio L, Centis R, et al. Guiding principles to reduce tuberculosis transmission in the WHO European region. World Health Organization Regional Office for Europe, Copenhagen 2018. http://www.euro.who.int/__data/assets/pdf_file/0008/377954/ic-principles-eng.pdf
Supplementary files








