Parvovirus B19 infection in HIV-infected patients
- Authors: Petrenko A.A.1, Dudina G.A.1, Kremneva N.V.1, Pivnik A.V.1,2
-
Affiliations:
- Loginov Moscow Clinical Scientific Center
- People’s Friendship University of Russia
- Issue: Vol 92, No 7 (2020)
- Pages: 100-103
- Section: Case reports
- Submitted: 26.08.2020
- Published: 01.09.2020
- URL: https://ter-arkhiv.ru/0040-3660/article/view/43133
- DOI: https://doi.org/10.26442/00403660.2020.07.000651
- ID: 43133
Cite item
Full Text
Abstract
Here we provide a review of the literature and a description of our own clinical case. The patient was a 32-year-old woman who had been infected with HIV for 6 years without antiretroviral therapy. The test results showed CD4 87 cells/μl, viral load 3750 copies/ml. Normochromic normocytic anemia and reticulocytopenia developed soon. In the myelogram, all erythroblasts were 0.5%. The viral load of parvovirus B19 DNA according to PCR was more than 9 million IU/ml. Pure red cell aplasia associated with parvovirus B19 was diagnosed. We started antiretroviral therapy with efavirenz, lamevudine and tenofovir. In addition to blood transfusions, we administered intravenous donor immunoglobulin with a dose increase from 5000 mg to 20 000 mg per day. After discontinuing of intravenous immunoglobulins, the laboratory test results were stable over the next 5 months: hemoglobin was more than 115 g/L, reticulocytes – more than 3%, in the myelogram all erythroblasts were 21%. However, the elimination of parvovirus B19 wasn’t achieved. The maximum decrease in viral load for parvovirus B19 was down to 720 IU/ml. A typical feature of the case was the lack of pure red cell aplasia of the bone marrow with the existing viral load of parvovirus B19. HIV infection progressed: 44 cells/μl, viral load – not determined. The case ended lethally.
Full Text
АРТ – антиретровирусная терапия
ВВИГ– внутривенный нормальный человеческий иммуноглобулин
ВИЧ – вирус иммунодефицита человека
ДНК – дезоксирибонуклеиновая кислота
ПККА – парциальная красноклеточная аплазия
ПЦР – полимеразная цепная реакция
CD4 – CD4+ Т-лимфоциты
Hb – гемоглобин
PVB19 – парвовирус В19
Введение
Парвовирус В19 (PVB19) у человека случайно обнаружен в 1974 г. австралийским вирусологом Y. Cossart и соавт., когда впервые идентифицированы частицы PVB19 с помощью электронной микроскопии при оценке тестов на гепатит В [1]. Этот ДНК-содержащий вирус, обнаруженный в лунке №19 на планшете B, стал известен как PVB19 [2]. PVB19 является пятой инфекционной болезнью у детей наряду с корью, ветряной оспой, краснухой и скарлатиной [3, 4]. Во взрослом возрасте PVB19 может приводить к развитию парциальной красноклеточной аплазии костного мозга (ПККА) [4].
Передача инфекции происходит воздушно-капельным путем, но также возможна парентерально при введении инфицированной донорской крови или ее компонентов, при трансплантации органов, а также вертикальным путем от матери к плоду [5, 6].
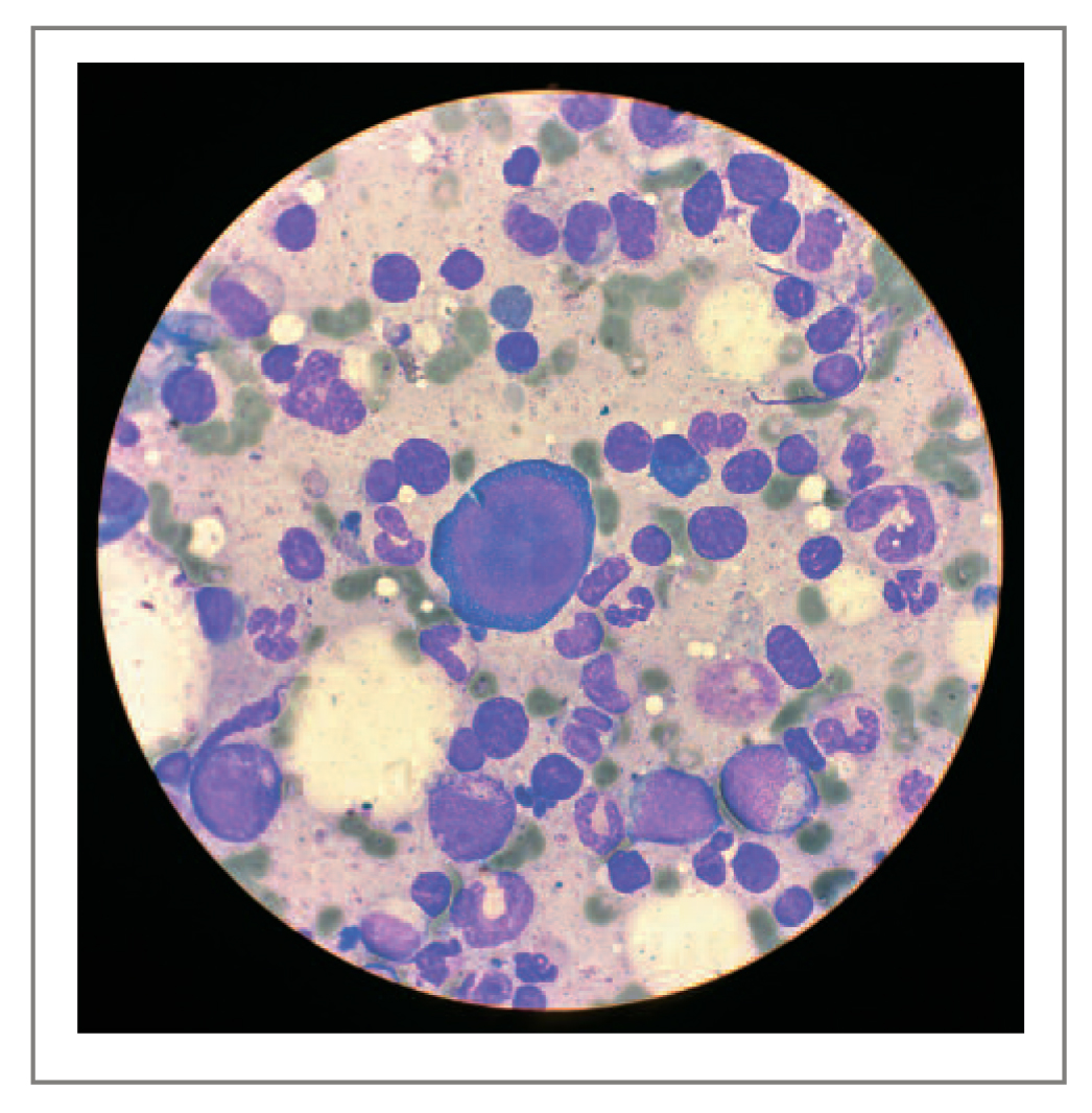
PVB19 обладает выраженным тропизмом к эритроидным клеткам-предшественникам, что определяется наличием на этих клетках P-антигена (глобозид), который действует как клеточный рецептор вируса [7, 8]. Лица, у которых генетически отсутствует Р-антиген (1 на 200 тыс. человек), устойчивы к заражению PVB19 [9]. Характерным цитопатическим эффектом вируса является обнаружение в костном мозге гигантских проэритробластов с внутриядерными включениями и вакуолизацией цитоплазмы. Хроматин таких клеток светлый, гомогенный в центральной части ядра и более плотный по периферии ядерной мембраны («клетки-фонари» – lantern cell); рис. 1, 2[10]. Обнаружение гигантских проэритробластов при ПККА патогномонично для инфекции PVB19 [11].
Рис. 1. Мазок костного мозга, окрашенный по Романовскому–Гимзе: в центре гигантский пронормобласт с внутриядерными включениями парвовируса и интенсивно синей цитоплазмой (оригинальное увеличение ¥100).
Рис. 2. Образец аспирата костного мозга ВИЧ-инфицированной больной с ПККА, вызванной PVB19. В центре поля гигантский пронормобласт – «клетка-фонарь». Характерны фиолетовое внутриядерное включение, различная интенсивность хроматина по периферии и в центре ядра, а также вакуолизированная цитоплазма (окраска по Романовскому–Гимзе, оригинальное увеличение ¥100).
Из-за быстрого развития иммунного ответа (1–2 мес) у большинства людей аплазия эритроидого ростка кроветворения временная, протекает субклинически (эритема лица, артралгия и артрит, астения) без значительного снижения содержания гемоглобина (Hb) [12, 13]. В большинстве случаев отсутствуют клинически выраженные гематологические проявления, что обусловлено продолжительностью жизни эритроцитов (120 дней) и длительностью жизненного цикла PVB19 в эритрокариоцитах (21 день). В результате формируется стойкий иммунный ответ с образованием антител иммуноглобулина M и G, что приводит к выздоровлению [5, 12]. Тем не менее у пациентов, инфицированных вирусом иммунодефицита человека (ВИЧ), когда нарушается клеточный и гуморальный иммунитет, PVB19 может сохраняться дольше 120 дней, вызывая хроническую анемию – ПККА [14, 15]. Этот синдром описан у пациентов с различными состояниями иммунодефицита, включая ВИЧ-инфекцию [16]. ПККА протекает не так тяжело, как апластический криз при серповидноклеточной анемии (такие пациенты погибают без заместительных гемотрансфузий – ГТФ), но может длиться месяцы или даже годы, и ее не следует путать с другими анемиями, которые могут осложнять течение ВИЧ-инфекции [17, 18]. Клиническая картина ПККА представляет собой глубокую нормохромную, нормоцитарную анемию без спленомегалии, ретикулоцитопению менее 1%, в костном мозге – все эритробласты (эритрокариоциты) менее 0,5%. Количество лейкоцитов и тромбоцитов обычно остается в норме [15].
Важным в развитии ПККА у пациентов с ВИЧ-инфекцией является количество CD4+ Т-лимфоцитов (СD4). Так по данным P. Koduri, до эры появления антиретровирусной терапии (АРТ) среднее количество CD4 у пациентов с ПККА составляло 42 кл/мкл, в то время как среднее количество CD4 у пациентов, получавших АРТ, у которых на фоне терапии развивалась ПККА, – 24 кл/мкл [11]. Эти данные позволяют судить о том, что ПККА, вызванная PVB19, может быть осложнением, связанным с прогрессирующим иммунодефицитом у ВИЧ-инфицированных пациентов [19].
Мы приводим случай ВИЧ-инфицированной пациентки с PVB19, у которой, несмотря на одновременное применение АРТ и внутривенного нормального человеческого иммуноглобулина (ВВИГ), CD4 прогрессивно уменьшались без элиминации PVB19.
Описание клинического случая
В 2012 г. у 32-летней женщины диагностирована ВИЧ-инфекция. В течение 6 лет наблюдалась инфекционистом по месту жительства без АРТ, гепатиты не обнаружены (рис. 3). В июле 2018 г. выявлена анемия неясной этиологии с содержанием Hb 67 г/л и отсутствием эритробластов в костном мозге. В больнице по месту жительства в июле и августе 2012 г. проводились многократные ГТФ, вводились железосодержащие препараты, витамины группы В и эритропоэтин – без клинического эффекта. С сентября 2018 г. стала получать АРТ (эфавирен + ламивудин + тенофовир) с последующей госпитализацией в гематологическое отделение ГБУЗ «Московский клинический научный центр им. А.С. Логинова» ДЗМ с диагнозом анемии неясной этиологии. При поступлении: нормохромная нормоцитарная анемия, ретикулоциты менее 1%. Количество CD4 составляло 146 кл/мкл, уровень РНК ВИЧ в плазме крови менее 250 копий/мл. Концентрация сывороточного железа, фолиевой кислоты и витамина B12 находилась в пределах нормальных значений, ферритин повышен – 744 мкг/л. Прямая проба Кумбса отрицательная. Полимеразная цепная реакция (ПЦР) для количественного определения в крови уровня ДНК PVB19 оказалась положительной – более 9 млн МЕ/мл. В повторной миелограмме эритробласты 0,3% с обнаружением патогномоничных для PVB19 гигантских пронормобластов с внутриядерными вирусными включениями – «клетки-фонари» (см. рис. 2).
В сентябре 2018 г. пациентка впервые получила терапию препаратом ВВИГ (5000 мг в течение 7 дней) и ГТФ. Отмечался положительный эффект в виде кратковременного увеличения содержания Hb, однако без уменьшения вирусной нагрузки ДНК PVB19. Последующая непрерывная терапия ВВИГ в течение 6 мес с повышением дозы до 20 000 мг в день курсами по 14 дней позволила стабилизировать содержание Hb, привела к ретикулоцитозу (более 3%), а также к снижению количества копий ДНК PVB19 в крови (см. рис. 3). Увеличение дозы ВВИГ дало возможность прекратить ГТФ.
Рис. 3. Временная зависимость между АРТ, количеством РНК ВИЧ в плазме (копий/мл), количеством CD4 (клеток/мкл), содержанием Hb, виремией PVB19 (МЕ/мл), терапией внутривенным иммуноглобулином и ГТФ эритроцитной взвеси у пациентки, получавшей сочетанную терапию по ВИЧ-инфекции и PVB19. Темная линия обозначает содержание Hb.
В марте 2019 г. терапия ВВИГ отменена и не возобновлялась в течение следующих 5 мес (с марта по июль 2019 г.). Данный период характеризовался сохранением содержания Hb более 115 г/л и прогрессирующим снижением вирусной нагрузки ДНК PVB19 до менее 720 МЕ/мл. В миелограмме количество всех эритробластов – 21%.
Однако наблюдалась отрицательная динамика по иммунному статусу (см. рис. 3), в связи с чем в январе 2019 г. произведено изменение схемы АРТ (назначено: фосампренавир + ритонавир + абакавира сульфат + ламивудин) по причине развития вирусологической неэффективности ранее назначенной схемы. В марте 2019 г. вновь произведено изменение схемы АРТ (назначено: абакавира сульфат + атазанавир + ламивудин), что связано с непереносимостью ритонавира (тошнота, рвота). Однако данная замена набора препаратов АРТ не привела к положительному эффекту. На фоне прогрессирующего иммунодефицита в августе 2019 г. при КТ-исследовании органов грудной клетки выявлено объемное образование средостения размером 3×5×4 см, интимно прилежащее к дуге аорты. При гистологическом исследовании торакотомического биоптата получены реактивные изменения в ткани лимфатического узла. После операции вновь определена реактивация инфекции PVB19 с ростом титра ДНК, падением Hb и ретикулоцитопенией до 0,2% (см. рис. 3). Диагностирована интерстициальная пневмония, вызванная Pneumocystis jirovecii. Проводились антибактериальная терапия (цефтриаксон, ко-тримоксазол, левофлоксацин) и многократные ГТФ. Терапии ВВИГ не было. В сентябре 2019 г. в результате резистентного течения интерстициальной пневмонии, прогрессирования парвовирусной инфекции и анемического синдрома больная погибла.
Обсуждение
Анемия при ВИЧ-инфекции распространена и часто многофакторна. До 80% ВИЧ-инфицированных людей страдают анемией, и этот процент увеличивается с развитием ВИЧ-инфекции [13]. Хроническая анемия распространена среди ВИЧ-инфицированных пациентов и является признаком плохого прогноза [20]. Сама по себе ВИЧ-инфекция вызывает нормохромную нормоцитарную анемию, что может быть опосредовано цитокиновыми реакциями [15]. Зидовудин – частая причина анемии, вызывающей два различных синдрома: во-первых, макроцитарную анемию с низким содержанием эритропоэтина, которая отвечает на снижение дозы препарата и назначение эритропоэтина; во-вторых, нормоцитарную анемию, при которой содержание эритропоэтина высокое и нет ответа на снижение дозы зидовудина. К другим, более редким причинам анемий у ВИЧ-инфицированных пациентов относятся: хроническая инфекция микобактерий avium-комплекса (MAC), использование препаратов (дапсон, ко-тримоксазол, альфа-метилдопа, хлорамфеникол, дифенилгидантоин, индометацин), а также различные виды лимфом с аутоиммунной гемолитической анемией [11, 16].
ПККА, ассоциированная с парвовирусной инфекцией, встречается у ВИЧ-инфицированных больных нечасто. Так, в одном исследовании показано, что распространенность PVB19 у ВИЧ-инфицированных пациентов с анемией составила от 0,9 до 2% [21]. В другом исследовании ПЦР-диагностику PVB19 проводили ВИЧ-инфицированным пациентам двух групп: 69 с анемией и 37 без анемии. Активную инфекцию B19 обнаружили у 7,2% пациентов с анемией, но ни у одного пациента без анемии [22]. В другом исследовании наблюдали 127 ВИЧ-инфицированных пациентов, из них 22 с анемией. Только у 2 пациентов (по одному из каждой группы) обнаружена ДНК PVB19. Оба имели выраженную иммуносупрессию и персистирующую парвовирусную инфекцию [23].
Результаты данных исследований свидетельствуют о том, что инфекция PVB19 у ВИЧ-инфицированных пациентов встречается нечасто. Данное утверждение соответствует другим сообщениям об ограниченной роли PVB19 в развитии анемии у ВИЧ-инфицированных пациентов [24].
Поскольку ПККА при PVB19 в большинстве случаев поддается терапии ВВИГ, ПЦР на ДНК PVB19 в сыворотке крови должна быть включена в диагностический подход к хронической анемии у ВИЧ-инфицированных пациентов.
Диагностика ПККА, ассоциированной с PVB19, у ВИЧ-инфицированного пациента основывается на следующих критериях:
- типичной картине периферической крови и аплазии красного ростка кроветворения в костном мозге;
- определении вирусной нагрузки в сыворотке или аспирате костного мозга к ДНК PVB19 с помощью ПЦР-исследования.
До эры АРТ инфекция PVB19 у ВИЧ-инфицированных пациентов с иммуносупрессией проявлялась как хроническая анемия. Лечение этой анемии проводилось многократными ГТФ [25]. Описаны случаи, когда восстановление иммунитета с помощью АРТ привело к разрешению анемии, вызванной PVB19 [25, 26].
В настоящее время терапия высокими дозами ВВИГ считается «золотым стандартом» для терапии ПККА [14, 27]. У большинства пациентов содержание Hb достигает нормального уровня [11]. ВВИГ содержит противопарвовирусные антитела и используется в дозе 5000 мг ежедневно 7–14 дней. В литературе приводится другая схема терапии: 400 мг/кг в течение 5–10 дней [11, 17, 28] или альтернативная схема с использованием 1 г/кг в день в течение 2 дней, которая также показала свою эффективность [29]. Пациенты с количеством CD4 более 300 кл/мкл обычно излечиваются без последующих рецидивов. У пациентов с уровнем CD4 менее 100 кл/мкл может возникнуть рецидив, и они нуждаются в повторной терапии или поддерживающей терапии для предотвращения возобновления инфекции – ВВИГ 0,4 г/кг каждые 4 нед [11, 29].
В нашем случае пациентка не получала АРТ в течение 6 лет c момента установления диагноза ВИЧ-инфекции, что привело к развитию тяжелого CD4+ Т-клеточного иммунодефицита. Возникшая на этом фоне суперинфекция PVB19 более 9 млн МЕ/мл вызвала тяжелую ПККА и оказалась рефрактерной как к лечению АРТ, так и к терапии ВВИГ (временный частичный эффект). Однако особенностью случая является тот факт, что в течение 5 мес после отмены терапии ВВИГ, несмотря на парвовирусную виремию, отсутствовали признаки ПККА с сохранением содержания Hb более 115 г/л и ретикулоцитозом более 3%.
Заключение
Представленный случай демонстрирует редкое осложнение ВИЧ-инфекции – ПККА, ассоциированную с PVB19. Проводимая АРТ не привела к увеличению количества CD4. В результате терапии парвовирусной инфекции ВВИГ в дозе от 5000 до 20 000 мг/сут отмечен временный клинический и лабораторный эффект. Особенностью случая является тот факт, что после проведенного лечения ВВИГ, несмотря на сохраняющуюся парвовирусную виремию, отсутствовали признаки ПККА. Подчеркиваем, что каждый случай анемии у ВИЧ-инфицированных пациентов должен быть исследован на наличие парвовирусной инфекции методом ПЦР, с последующей терапией ВВИГ и повышением дозы в случае отсутствия эффекта или рецидива инфекции.
About the authors
A. A. Petrenko
Loginov Moscow Clinical Scientific Center
Author for correspondence.
Email: petrenkoandrei13@gmail.com
ORCID iD: 0000-0001-8461-5421
клин. ординатор 2-го курса по специальности «Гематология» ГБУЗ «МКНЦ им. А.С. Логинова»
Russian Federation, MoscowG. A. Dudina
Loginov Moscow Clinical Scientific Center
Email: petrenkoandrei13@gmail.com
ORCID iD: 0000-0001-9673-1067
д.м.н., зав. гематологическим отд-нием ГБУЗ «МКНЦ им. А.С. Логинова»
Russian Federation, MoscowN. V. Kremneva
Loginov Moscow Clinical Scientific Center
Email: petrenkoandrei13@gmail.com
врач-гематолог гематологического отд-ния ГБУЗ «МКНЦ им. А.С. Логинова»
Russian Federation, MoscowA. V. Pivnik
Loginov Moscow Clinical Scientific Center; People’s Friendship University of Russia
Email: petrenkoandrei13@gmail.com
д.м.н, проф. каф. госпитальной терапии с курсами эндокринологии, гематологии и клинической лабораторной диагностики ФГАОУ ВО РУДН, рук. отд. онкогематологии и вторичных иммунодефицитных заболеваний ГБУЗ «МКНЦ им. А.С. Логинова»
Russian Federation, MoscowReferences
- Cossart YE, Field AM, Cant B, Widdows D. Parvovirus-like particles in human sera. Lancet. 1975;1(7898):72-3. doi: 10.1016/s0140-6736(75)91074-0
- Landry ML. Parvovirus B19. Microbiol Spectr. 2016;4(3):10.1128/microbiolspec.DMIH2-0008-2015. doi: 10.1128/microbiolspec.DMIH2-0008-2015
- Lavrentyeva IN, Antipova AY. Human parvovirus В19: virus characteristics, distribution and diagnostics of parvovirus infection. Russian Journal of Infection and Immunity. 2013;3(4):311-22. doi: 10.15789/2220-7619-2013-4-311-322
- Brown KE, Young NS, Liu JM. Molecular, cellular and clinical aspects of parvovirus B19 infection. Crit Rev Oncol Hematol. 1994;16:1-31. doi: 10.1016/1040-8428(94)90040-x
- Heegaard ED, Brown KE. Human parvovirus B19. Clin Microbiol Rev. 2002;15(3):485-505. doi: 10.1128/cmr.15.3.485-505.2002
- Antipova AY, Nikishov ON, Khamitova IV, et al. A screening research of plasma blood donors for markers parvovirus infection. Russian Journal of Infection and Immunity. 2015;5(2):171-4. doi: 10.15789/2220-7619-2015-2-171-174
- Brown KE, Anderson SM, Young NS. Erythrocyte P antigen: Cellular receptor for B19 parvovirus. Science. 1993;262:114-7.
- Young N. Hematologic and hematopoietic consequences of B19 parvovirus infection. Semin HematoI. 1988;25:159-72.
- Brown KE, Hibbs JR, Gallinella G, et al. Resistance to parvovirus B19 infection due to lack of virus receptor (erythrocyte P antigen). NEJM. 1994;330:1192-6. doi: 10.1056/NEJM199404283301704
- Koduri PR. Novel cytomorphology of the giant proerythroblasts of parvovirus B19 infection. Am J Hematol. 1998;58(2):95-9. doi: 10.1002/(sici)1096-8652(199806)58:2<95::aid-ajh1>3.0.co;2-v
- Koduri PR. Parvovirus B19-related anemia in HIV-infected patients. AIDS Patient Care STDS. 2000;14(1):7-11. doi: 10.1089/108729100318082
- Nikishov ON, Kuzin AA, Antipova AY, Lavrent’eva IN. Parvovirus infection – contemporary issues in epidemiology and clinical medicine. Epidemiology and Vaccinal Prevention. 2015;14(4):29-35. doi: 10.31631/2073-3046-2015-14-4-29-35
- Van Elsacker-Neile AM, Kroon FP, van der Ende ME, et al. Prevalence of parvovirus B19 infection in patients infected with human immunodeficiency virus. Clin Infect Dis. 1996;23(6):1255-60. doi: 10.1093/clinids/23.6.1255
- Young NS, Brown KE. Mechanisms of disease parvovirus B19. N Engl J Med. 2004;350:586-97.
- Fuller A, Moaven L, Spelman D, et al. Parvovirus B19 in HIV infection: a treatable cause of anemia. Pathology. 1996;28(3):277-80. doi: 10.1080/00313029600169154
- Azevedo KM, Setúbal S, Camacho LA, et al. Seroepidemiological study of human parvovirus B19 among human immunodeficiency virus-infected patients in a medium-sized city in Rio de Janeiro, Brazil. Mem Inst Oswaldo Cruz. 2009;104(6):901-4. doi: 10.1590/s0074-02762009000600014
- Setúbal S, Jorge-Pereira MC, de Sant’Anna AL, et al. Clinical presentation of parvovirus B19 infection in HIV-infected patients with and without AIDS. Rev Soc Bras Med Trop. 2003;36(2):299-302. doi: 10.1590/s0037-86822003000200014
- Slavov SN, Kashima S, Pinto AC, Covas DT. Human parvovirus B19: general considerations and impact on patients with sickle-cell disease and thalassemia and on blood transfusions. FEMS Immunol Med Microbiol. 2011;62(3):247-62. doi: 10.1111/j.1574-695X.2011.00819.x
- Mouthon L, Guillevin L, Tellier Z. Intravenous immunoglobulins in autoimmune-or parvovirus B19-mediated pure red-cell aplasia. Autoimmun Rev. 2005;4(5):264-9. doi: 10.1016/j.autrev.2004.10.004
- Ferry T, Hirschel B, Dang T, et al. Infrequent replication of parvovirus B19 and erythrovirus genotypes 2 and 3 among HIV-infected patients with chronic anemia. Clin Infect Dis. 2010;50(1):115-8. doi: 10.1086/649004
- Bremner JA, Cohen BJ. Parvovirus B19 as a cause of anemia in human immunodeficiency virus-infected patients. J Infect Dis. 1994;169(4):938-40. doi: 10.1093/infdis/169.4.938a
- Gyllensten K, Sönnerborg A, Jorup-Rönström C, et al. Parvovirus B19 infection in HIV-1 infected patients with anemia. Infection. 1994;22(5):356-8. doi: 10.1007/bf01715548
- Chernak E, Dubin G, Henry D, et al. Infection due to parvovirus B19 in patients infected with human immunodeficiency virus. Clin Infect Dis. 1995;20(1):170-3. doi: 10.1093/clinids/20.1.170
- Vernazza PL, Pfister LA, Siegl G, Cassinotti P. High seroprevalence of parvovirus B19 among patients infected with human immunodeficiency virus. Clin Infect Dis. 1996;22(1):198-9. doi: 10.1093/clinids/22.1.198-a
- Azevedo KM, Setúbal S, Camacho LA, et al. Parvovirus B19 seroconversion in a cohort of human immunodeficiency virus-infected patients. Mem Inst Oswaldo Cruz. 2012;107(3):356-61. doi: 10.1590/s0074-02762012000300010
- Mylonakis E, Dickinson BP, Mileno MD, et al. Persistent parvovirus B19 related anemia of seven years’ duration in an HIV-infected patient: complete remission associated with highly active antiretroviral therapy. Am J Hematol. 1999;60(2):164-6. doi: 10.1002/(sici)1096-8652(199902)60:2<164::aid-ajh16>3.0.co;2-4
- Frickhofen N, Abkowitz JL, Safford M, et al. Persistent B19 parvovirus infection in patients infected with human immunodeficiency virus type 1 (HIV-1): a treatable cause of anemia in AIDS. Ann Intern Med. 1990;113(12):926-33. doi: 10.7326/0003-4819-113-12-926
- Young NS, Brown KE. Parvovirus B19. N Engl J Med. 2004;350(6):586-97. doi: 10.1056/NEJMra030840
- Koduri PR, Kumapley R, Valladares J, Teter C. Chronic pure red cell aplasia caused by parvovirus B19 in AIDS: use of intravenous immunoglobulin – a report of eight patients. Am J Hematol. 1999;61(1):16-20. doi: 10.1002/(sici)1096-8652(199905)61:1<16::aid-ajh4>3.0.co;2-y
Supplementary files






