Bone disease as the first manifestation of systemic AL-amyloidosis
- Authors: Mendeleeva L.P.1, Rekhtina I.G.1, Kovrigina A.M.1,2, Kostina I.E.1, Khyshova V.A.1, Arytyunyan N.K.1, Mamonov W.E.1, Savthenko V.G.1
-
Affiliations:
- National Research Center for Hematology
- Federal Scientific and Clinical Center for Specialized Types of Medical Care and Medical Technologies
- Issue: Vol 92, No 7 (2020)
- Pages: 85-89
- Section: Case reports
- Submitted: 26.08.2020
- Published: 01.09.2020
- URL: https://ter-arkhiv.ru/0040-3660/article/view/43130
- DOI: https://doi.org/10.26442/00403660.2020.07.000775
- ID: 43130
Cite item
Full Text
Abstract
Our case demonstrates severe bone disease in primary AL-amyloidosis without concomitant multiple myeloma. A 30-year-old man had spontaneous vertebral fracture Th8. A computed tomography scan suggested multiple foci of lesions in all the bones. In bone marrow and resected rib weren’t detected any tumor cells. After 15 years from the beginning of the disease, nephrotic syndrome developed. Based on the kidney biopsy, AL-amyloidosis was confirmed. Amyloid was also detected in the bowel and bone marrow. On the indirect signs (thickening of the interventricular septum 16 mm and increased NT-proBNP – 2200 pg/ml), a cardial involvement was confirmed. In the bone marrow (from three sites) was found 2.8–5% clonal plasma cells with immunophenotype СD138+, СD38dim, СD19-, СD117+, СD81-, СD27-, СD56-. FISH method revealed polysomy 5,9,15 in 3% of the nuclei. Serum free light chain Kappa 575 mg/l (ê/ë 44.9) was detected. Multiple foci of destruction with increased metabolic activity (SUVmax 3.6) were visualized on PET-CT, and an surgical intervention biopsy was performed from two foci. The number of plasma cells from the destruction foci was 2.5%, and massive amyloid deposition was detected. On CT scan foci of lesions differed from bone lesions at multiple myeloma. Bone fragments of point and linear type (button sequestration) were visualized in most of the destruction foci. The content of the lesion was low density. There was no extraossal spread from large zones of destruction. There was also spontaneous «scarring» of the some lesions (without therapy). Thus, the diagnosis of multiple myeloma was excluded on the basis based on x-ray signs, of the duration of osteodestructive syndrome (15 years), the absence of plasma infiltration in the bone marrow, including from foci of bone destruction by open biopsy. This observation proves the possibility of damage to the skeleton due to amyloid deposition and justifies the need to include AL-amyloidosis in the spectrum of differential diagnosis of diseases that occur with osteodestructive syndrome.
Keywords
Full Text
КТ – компьютерная томография
ММ – множественная миелома
ПЭТ-КТ – позитронно-эмиссионная томография, совмещенная с компьютерной томографией
AL-A – AL-амилоидоз
Ig – иммуноглобулин
SUV – стандартизированный уровень захвата
Введение
Первичный AL-амилоидоз (AL-А) и множественная миелома (ММ) – различные по клиническим проявлениям, биологическим характеристикам и прогностическим факторам плазмоклеточные опухоли. В 2017 г. AL-А в классификации Всемирной организации здравоохранения опухолей лимфоидной и кроветворной ткани выделен в самостоятельную нозологическую форму [1]. Сочетание с ММ устанавливают у 8–9% пациентов с AL-A, а среди больных ММ – у 10–15% выявляют AL-A [2–4]. Диагностика ММ при AL-A основана на обнаружении клональных плазматических клеток в костном мозге или биоптате опухоли более 10% в сочетании с симптомокомплексом CRAB [гиперкальциемия (calcium), почечная недостаточность (renal failure), анемия (anemia), остеолитическое поражение костей (bone lesions)] либо биомаркерами высокого риска [5].
Остеолитические очаги в костях всегда требуют исключения ММ, так как поражение костей не характерно для AL-A. Тем не менее в литературе описаны единичные случаи остеолитического поражения скелета и переломов костей вследствие амилоидной инфильтрации без ММ [3, 6]. По некоторым данным, в 1% случаев AL-A выявляют костные остеолитические очаги. При этом ни у кого из этих пациентов не доказана ММ [3]. Приводим свое клиническое наблюдение, которое подтверждает возможность развития тяжелого поражения костей вследствие AL-A при отсутствии ММ.
Клинический случай
Пациент 45 лет. В возрасте 30 лет (в 2004 г.) появилась сильная боль в нижнегрудном отделе позвоночника. На компьютерной томографии (КТ) в 2006 г. визуализирован компрессионный перелом тела VIII грудного позвонка с формированием угловой кифотической деформации грудного отдела позвоночника до 151º, без значимой компрессии спинномозгового канала. В обеих полудужках VIII грудного позвонка определялись крупные очаги деструкции костной ткани, ограниченные подчеркнутым корковым слоем с фрагментарным его прерыванием, очаги деструкции заполнены содержимым пониженной мягкотканой плотности (до 27–28 HU) без распространения его за пределы костей. Помимо этого в костях зоны сканирования определялись немногочисленные разрозненные достаточно четко очерченные очаги деструкции костной ткани округлой и овальной формы размером от 2,5 до 15 мм, часть из них выходила на контур костей с прерыванием коркового слоя; в толще отдельных из очагов имелись костной плотности фрагменты точечного и линейного вида (рис. 1).
Рис. 1. Компьютерная томограмма грудного отдела позвоночника (2006 г.): компрессионный перелом тела Th8; немногочисленные очаги деструкции в костях.
При КТ грудного отдела позвоночника через 1,5 года отмечены увеличение размеров ранее дифференцируемых очагов деструкции и появление новых очагов. В 2012 г. проведено комплексное КТ-исследование грудной и брюшной полостей, а также области малого таза, где отмечалось многократное увеличение количества очагов деструкции во всех видимых в зоне сканирования костях, с формированием больших участков деструкции (в боковых массах крестца слева), частичным слиянием и увеличением размеров ранее существовавших очагов (рис. 2). Структура новых очагов аналогична старым – в толще большого количества очагов имелись костные фрагменты точечного и линейного вида. Диагностирован новый компрессионный перелом I грудного позвонка со вздутием и деструкцией его правого поперечного отростка и полудужки. В паравертебральных мягких тканях, слева от компримированного VIII грудного позвонка, сформировалось образование пониженной мягкотканой плотности с вкраплениями извести в его толще размером 32¥18¥27 мм; аналогичное образование визуализировалось в переднем отрезке II ребра справа в диаметре около 20 мм с интраторакальным распространением.
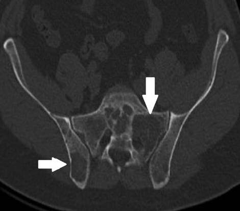
Рис. 2. Компьютерная томограмма костей таза (2012 г.): обширный очаг деструкции в левых боковых массах крестца.
В 2018 г. выполнена КТ грудной полости по поводу воспалительного процесса в легких. Видимые в зоне сканирования кости испещрены очагами деструкции. Размеры и структура образований в переднем отрезке II ребра справа, в паравертебральных отделах слева от компримированного VIII грудного позвонка сохранялись прежними (рис. 3). Участок деструкции в правом поперечном отростке и полудужке I грудного позвонка склерозировался, уменьшился в размерах.
Рис. 3. Компьютерная томограмма грудной полости (2018 г.): распространенный остеодеструктивный процесс в костях.
На сцинтиграмме в грудном отделе позвоночника, переднебоковых отрезках V, VI, VII ребер, грудине определялись очаги повышенного накопления радиофармпрепарата. С целью исключения ММ выполнена стернальная пункция, в миелограмме – 0,8% плазматических клеток. При иммунохимическом исследовании крови и мочи парапротеин отсутствовал (исследование свободных легких цепей в 2006 г. не выполнялось). В биоптате резецированного участка ребра опухолевых клеток не выявлено. Таким образом, генез распространенного остеодеструктивного синдрома оставался неясен. Выдвинуто предположение о гистиоцитозе Х, однако гистологической верификации диагноза нет. В течение последующих 15 лет повторялись эпизоды сильных болей в позвоночнике и ребрах, но за медицинской помощью пациент не обращался.
Спустя 15 лет (в 2019 г.) самочувствие ухудшилось: появились мышечная слабость, боль в суставах, значительное похудение (на 16 кг в течение года). При обследовании выявлена протеинурия (3 г/л, 3,3 г/сут), что явилось показанием к выполнению биопсии почки. В биоптате почки: клубочки значительно увеличены в размерах. Диффузное крупносегментарное резкое расширение мезангиального, субэндо- и субэпителиального пространств клубочков за счет массивного накопления амилоида – конго-позитивного бесклеточного гомогенного материала с двойным лучепреломлением в поляризованном свете (яблочно-зеленоватое свечение). Очаговое слабовыраженное отложение амилоида в интерстиции и вдоль тубулярных базальных мембран в глубоком мозговом слое ткани почки. Признаков атрофии канальцев и интерстициального фиброза нет. Стенки артериол и артерий мелкого и среднего калибров резко утолщены за счет массивного трансмурального отложения амилоида с выраженной обтурацией просвета сосудов. Иммунофлуоресцентное исследование выполнено на парафиновых срезах методом обработки проназой с использованием FITC-конъюгированных антител к человеческим иммуноглобулинам (Ig)A, IgG, IgM, C3, C1q, фибрину, легким цепям ê и λ. В участках отложения амилоида (стенки мелких артерий, интерстиций и тубулярные базальные мембраны) определялась выраженная экспрессия легкой цепи ê (3+), при полной рестрикции λ-цепи. Отложение амилоида выявлено также в биоптатах прямой кишки и трепанобиоптате.
Клинический анализ крови: эритроциты – 4,6¥1012/л, гемоглобин ––133 г/л, лейкоциты – 10,6¥109/л, тромбоциты – 386¥109/л.
Биохимический анализ крови: общий белок – 54 г/л, альбумин – 30 г/л, холестерин – 7 г/л, креатинин – 93 мкмоль/л, щелочная фосфатаза – 95 Е/л, паратгормон – 2,87 пмоль/л (1,6–6,9 пмоль/л), остеокальцин – 24 нг/мл (14–42 нг/мл), N-терминальный пропептид проколлагена 1-го типа – 52 нг/мл (15–80 нг/мл), ионизированный кальций – 1,19 ммоль/л (1,03–1,23 ммоль/л), фосфор неорганический – 1,42 ммоль/л (0,87–1,45 ммоль/л).
При иммунохимическом исследовании сыворотки и мочи выявлена секреция моноклональных свободных легких цепей ê-типа 575 мг/л (ê/λ 44,9).
Пункция костного мозга выполнялась из 3 разных локализаций. В костном мозге выявлено 2,8–5,6% плазматических клеток с иммунофенотипом СD138+, СD38dim, СD19-, СD117+, СD81-, СD27-, СD56-. При цитогенетическом исследовании методом FISH (флуоресцентная гибридизация in situ) в 3% ядер выявлена полисомия 5, 9, 15.
В трепанобиоптате (билатерально) костный мозг повышенной клеточности (относительно возрастной нормы). Гранулоцитарный росток расширен, представлен клеточными элементами на всех этапах дифференцировки с преобладанием зрелого пула, присутствуют фокусы лейкоцитарного детрита. Эритроидный росток в достаточном количестве, представлен островками эритрокариоцитов нормобластического ряда, очагово омоложен. Мегакариоциты в достаточном количестве, расположены разрозненно межтрабекулярно, обычных размеров и морфологии. Интерстициально рассеяны зрелые лимфоидные клетки. Плазматические клетки в увеличенном количестве, расположены в виде скоплений периваскулярно. Умеренно выражен гемосидероз. При гистохимическом окрашивании трепанобиоптата конго красным в стенках сосудов периоста, а также в строме костного мозга визуализируются конгофильные депозиты с эффектом двойного лучепреломления (рис. 4). При иммуногистохимическом исследовании экспрессия CD56 в плазматических клетках не определялась.
Рис. 4: Гистологический препарат.
а – трепанобиоптат костного мозга. В трепанобиоптате интерстициально присутствуют массивные депозиты аморфного бесструктурного эозинофильного матрикса. Окраска гематоксилином и эозином, ¥200; б – трепанобиоптат костного мозга. В стенке артериолярного сосуда отмечаются гомогенные конгофильные массы. Гистохимическая окраска конго красным, ¥400; в – трепанобиоптат костного мозга. В стенке артериолярного сосуда конгофильные депозиты при исследовании в поляризованном свете характеризуются двоякопреломляющим зеленоватым свечением. Окраска конго красным, ¥400.
При обследовании других органов диагностировано поражение сердца (гипертрофия межжелудочковой перегородки 1,6 см, предсердный натрийуретический пептид (NT-proBNP) 2201 пг/мл (N<125 пг/мл). На ЭКГ – частые групповые желудочковые экстрасистолы с пароксизмами желудочковой тахикардии.
При КТ отмечалось дальнейшее увеличение количества и размеров ранее существовавших очагов деструкции в костях. Появился новый компрессионный перелом тела I поясничного позвонка. Структура и размеры образований переднего отрезка II ребра справа и паравертебрального образования слева от VIII грудного позвонка и правого поперечного отростка и полудужки тела I грудного позвонка – без динамики.
На ПЭТ-КТ с 18F-фтордезоксиглюкозой во всех костях скелета (позвонках всех отделов, лопатках, ключице, грудине, плечевых и бедренных костях, ребрах, костях таза, крестце, а также в костях свода черепа) определялись множественные разнокалиберные участки остеолитической деструкции. Некоторые из них с наличием мягкотканого компонента, местами с распространением за пределы костей размером от 0,2 до 4,1¥3,4 см с повышенным накоплением радиофармпрепарата SUVmax 3,6. Часть очагов выходит за контур костей с прерыванием коркового слоя.
Длительный анамнез, а также отсутствие диагностически значимой (более 10%) плазматической инфильтрации в костном мозге по результатам многократных исследований исключали диагноз ММ. Наряду с этим столь выраженное поражение костей не укладывалось в клиническую картину системного AL-A. С диагностической целью выполнена открытая биопсия подвздошных костей из 2 мест накопления радиофармпрепарата и наличия мягкотканого компонента (по данным ПЭТ-КТ). При гистологическом исследовании биоптатов выявлены массивные отложения амилоида. При цитологическом исследовании количество плазматических клеток в очагах деструкции составило 2–2,8%. Таким образом, доказано, что поражение костей скелета обусловлено AL-А. Изменения, которые на ПЭТ-КТ и магнитно-резонансной томографии выглядели как мягкотканый компонент, при гистологическом исследовании оказались корковым веществом кости.
Пациенту проведено 4 курса терапии (бортезомиб, циклофосфамид, дексаметазон). Во время 2-го курса развился патологический перелом I поясничного позвонка. После 1-го курса достигнута полная ремиссия, после 3 курсов – строгая полная ремиссия. Отмечался клинический ответ – улучшение функции почек и сердца (уменьшение протеинурии с 3 до 1 г/л, NT-proBNP с 2201 до 700 пг/мл). В последующем выполнена высокодозная консолидация (мелфалан 140 мг/м2) с трансплантацией аутологичных гемопоэтических периферических стволовых клеток крови. Период агранулоцитоза осложнился развитием сепсиса. Через 13 дней показатели крови восстановились, инфекционные осложнения купированы. В течение года после окончания лечения сохраняется строгая полная ремиссия, переломов костей не наблюдалось.
Обсуждение
Приведенное клиническое наблюдение доказывает возможность развития выраженного остеодеструктивного синдрома при AL-А без ММ. Необычность течения заболевания заключалась и в том, что остеодеструктивный синдром прогрессировал медленно в течение 15 лет при отсутствии других системных проявлений AL-A. В литературе описаны схожие случаи, в которых спонтанные переломы позвонков наблюдались в течение 5 лет до вовлечения других органов. Интересно, что в большинстве (73%) наблюдений, как и в нашем, диагностирован AL-A каппа [6].
По клиническому течению и рентгенологической картине поражение скелета при AL-A отличалось от ММ. В большинстве очагов деструкции видны костные фрагменты точечного и линейного вида (button sequestration). Отсутствовала динамика размеров частично обызвествленных мягкотканых образований в переднем отрезке II ребра справа и паравертебральных отделах VIII грудного позвонка, отмечалось спонтанное «рубцевание» участка деструкции в правом поперечном отростке и полудужке I грудного позвонка (в отсутствие какой-либо терапии). Следует также отметить достаточно низкую плотность содержимого очагов деструкции и отсутствие его экстраоссального распространения из больших зон деструкции. Подобные изменения нехарактерны для ММ и могут соответствовать нелангергансоклеточному гистиоцитозу (болезни Эрдхейма–Честера), однако данный диагноз исключен при многократных гистологических исследованиях биоптатов костей. Важно отметить, что амилоид накапливает радиоактивный изотоп на ПЭТ-КТ, т.е. проявляет себя как метаболически активная ткань.
Патогенез остеодеструкций при AL-A неясен. Ведущим механизмом развития остеопороза при ММ и моноклональных гаммапатиях считают повышение активности остеокластов [7–10]. В нашем случае отсутствовали биохимические признаки резорбции костей, поэтому мы не связываем столь тяжелый и длительно протекающий остеолитический синдром с нарушением функций остеокластов. Наряду с этим есть убедительные данные о связи между остеолитическим процессом в костях и экспрессией CD56 плазматическими клетками. При ММ экспрессию CD56 плазматическими клетками обнаруживают значительно чаще при наличии остеодеструктивного синдрома, чем без поражения костей (соответственно в 91 и 38% случаев) [11]. В данном случае в трепанобиоптате костного мозга плазматические клетки малочисленны и не экспрессировали CD56. Вероятно, механизм остеодеструкций при AL-A отличается от ММ и обусловлен изменением белкового матрикса костей за счет массивного отложения амилоида. Существует также предположение, что отложение амилоида во внутрикостных сосудах приводит к трофическим нарушениям костной ткани, прогрессирующему снижению их плотности и переломам [6].
Заключение
В представленном случае диагноз ММ исключен на основании длительности остеодеструктивного синдрома, отсутствия диагностически значимой плазматической инфильтрации в костном мозге, в том числе из очагов костных деструкций методом открытой биопсии. Это наблюдение доказывает возможность поражения скелета вследствие отложения амилоида и обосновывает необходимость включения AL-А в спектр дифференциальной диагностики заболеваний, протекающих с остеодеструктивным синдромом.
About the authors
L. P. Mendeleeva
National Research Center for Hematology
Author for correspondence.
Email: viktoria2102@icloud.com
ORCID iD: 0000-0002-4966-8146
д.м.н., проф., зам. ген. дир. по научной работе и инновациям ФГБУ «НМИЦ гематологии»
Russian Federation, MoscowI. G. Rekhtina
National Research Center for Hematology
Email: viktoria2102@icloud.com
ORCID iD: 0000-0001-5440-4340
д.м.н, зав. отд-нием химиотерапии плазмоклеточных дискразий ФГБУ «НМИЦ гематологии»
Russian Federation, MoscowA. M. Kovrigina
National Research Center for Hematology; Federal Scientific and Clinical Center for Specialized Types of Medical Care and Medical Technologies
Email: viktoria2102@icloud.com
ORCID iD: 0000-0002-1082-8659
д.б.н., зав. патологоанатомическим отд-нием ФГБУ «НМИЦ гематологии», проф. каф. клинической лабораторной диагностики и патологической анатомии Академии ПО ФГБУ ФНКЦ
Russian Federation, MoscowI. E. Kostina
National Research Center for Hematology
Email: viktoria2102@icloud.com
ORCID iD: 0000-0003-4683-4118
к.м.н., зав. отд-нием рентгенологии и компьютерной томографии ФГБУ «НМИЦ гематологии»
Russian Federation, MoscowV. A. Khyshova
National Research Center for Hematology
Email: viktoria2102@icloud.com
ORCID iD: 0000-0002-1008-5007
клинический ординатор отд-ния химиотерапии плазмоклеточных дискразий ФГБУ «НМИЦ гематологии»
Russian Federation, MoscowN. K. Arytyunyan
National Research Center for Hematology
Email: viktoria2102@icloud.com
ORCID iD: 0000-0001-5952-0244
врач-гематолог, отд-ние высокодозной химиотерапии парапротеинемических гемобластозов ФГБУ «НМИЦ гематологии»
Russian Federation, MoscowW. E. Mamonov
National Research Center for Hematology
Email: viktoria2102@icloud.com
ORCID iD: 0000-0001-7795-4564
к.м.н., зав. ортопедическим отд-нием ФГБУ «НМИЦ гематологии»
Russian Federation, MoscowV. G. Savthenko
National Research Center for Hematology
Email: viktoria2102@icloud.com
ORCID iD: 0000-0001-8188-5557
акад. РАН, д.м.н., проф., ген. дир. ФГБУ «НМИЦ гематологии», гл. внештат. специалист-гематолог Минздрава России
Russian Federation, MoscowReferences
- Swerdlow SH, Campo E, Haerris NL, et al. WHO Classification of Tumours of Haematopoietic and Lymphoid Tissues. Lyon, 2017.
- Kourelis TV, Kumar SK, Gertz MA, et al. J Coexistent multiple myeloma or increased bone marrow plasma cells define equally high-risk populations in patients with immunoglobulin light chain amyloidosis. Clin Oncol. 2013;31(34):4319-24. doi: 10.1200/JCO.2013.50.8499
- Prokaeva T, Spencer B, Kaut M, et al. Soft Tissue, Joint, and Bone Manifestations of AL Amyloidosis. Arthritis Rheum. 2007;56(11):3858-68. doi: 10.1002/art.22959
- Rajkumar SV, Gertz MA, Kyle RA.Primary systemic amyloidosis with delayed progression to multiple myeloma. Cancer. 1998;82:1501-5. PMID: 9554527.
- Review International Myeloma Working Group updated criteria for the diagnosis of multiple myeloma. Lancet Oncol. 2014;15:e538-48. doi: 10.1016/S1470-2045(14)70442-5
- Wu X, Feng J, Cao X, et al. Atypical immunoglobulin light chain amyloidosis: Spontaneous vertebral compression fracture, liver involvement, and bone marrow involvement report of 3 cases and review of the literature. Medicine (Baltimore). 2016;95(36):e4603. doi: 10.1097/MD.0000000000004603
- Bataille R, Chappard D, Alexandre C, et al. Importance of quantitative histology of bone changes in monoclonal gammopathy. Br J Cancer. 1986;53(6):805-10. doi: 10.1038/bjc.1986.136
- Marcelli C, Chappard D, Rossi JF, et al. Histologic evidence of an abnormal bone remodeling in B-cell malignancies other than multiple myeloma. Cancer. 1988;62:1163-70. doi: 10.1002/1097-0142(19880915)62: 6<1163::aid-cncr2820620620>3.0.co;2-6
- Rossi JF, Chappard D, Marcelli C, et al. Micro-osteoclast resorption as a characteristic feature of B-cell malignancies other than multiple myeloma. Br J Haematol. 1990;76:469-75. doi: 10.1111/j.1365-2141.1990.tb07902.x
- Bataille R, Chappard D, Basle MF. Quantifiable excess of bone resorption in monoclonal gammopathy is an early symptom of malignancy: a prospective study of 87 bone biopsies. Blood. 1996;87:4762-9.
- Ely SA, Knowles DM. Expression of CD56/neural cell adhesion molecule correlates with the presence of lytic bone lesions in multiple myeloma and distinguishes myeloma from monoclonal gammopathy of undetermined significance and lymphomas with plasmacytoid differentiation. Am J Pathol. 2002;160(4):1293-9. doi: 10.1016/S0002-9440(10)62556-4
Supplementary files







