A complicated case of cutaneous necrotizing vasculitis associated with monoclonal gammopathy. Case report
- Authors: Rekhtina I.G.1, Vorobyeva O.A.2, Atroshenko E.A.1, Kovrigina A.M.1, Mendeleeva L.P.1
-
Affiliations:
- National Medical Research Center for Hematology
- National Center for Clinical Morphological Diagnostics
- Issue: Vol 97, No 6 (2025): Issues of nephrology
- Pages: 522-527
- Section: Case reports
- Submitted: 03.05.2023
- Accepted: 17.07.2024
- Published: 12.07.2025
- URL: https://ter-arkhiv.ru/0040-3660/article/view/375332
- DOI: https://doi.org/10.26442/00403660.2025.06.203260
- ID: 375332
Cite item
Full Text
Abstract
Diagnosing diseases related to monoclonal gammopathy (MG) with clinical significance is challenging. In real-world practice, proving the connection between organ damage and paraprotein or plasma cell dyscrasia is difficult or even impossible. Only an atypical course of the disease and non-compliance with the established criteria may suggest the contribution of plasma cell neoplasia in pathogenesis. Rheumatic diseases associated with monoclonal secretion do not belong to MG with clinical significance. Therefore, in the absence of hematological malignancy, clone reduction therapy is not indicated. We present the first clinical case of a patient with cutaneous necrotizing vasculitis and MG, who received clone reduction therapy with no hematological malignancy. The rationale for the choice of such treatment approach was the atypical course of vasculitis, as well as the unstable effect after methylprednisolone therapy. Therapy with lenalidomide, cyclophosphamide, and dexamethasone was highly effective; the regression of clinical symptoms was associated with a decrease in paraprotein to trace amounts. However, the lack of evidence of the relationship of vasculitis with plasma cell dyscrasia does not support considering the described case as one of the forms of MG with clinical significance. Further observation and resumption of monoclonal secretion, coinciding with the recurrence of vasculitis, may additionally support the relationship between these two conditions. This case was discussed at the Council of Experts with hematologists, rheumatologists, and pathologists.
Keywords
Full Text
Моноклональная гаммапатия (МГ) – достаточно частый лабораторный феномен обнаружения в сыворотке и/или в моче моноклонального белка. При МГ неясного генеза выше риск развития лимфопролиферативных заболеваний, солидных опухолей, остеопороза, тромбозов, инфекций, чем в общей популяции, сопоставимой по полу и возрасту [1–3]. Тем не менее МГ неясного генеза не является показанием к противоопухолевой терапии.
Наряду с бессимптомным течением МГ может сопровождаться тяжелым поражением внутренних органов (почек, периферических нервов, глаз и др.), патогенез которого связан с плазмоклеточной дискразией. Под современным понятием «плазмоклеточная дискразия» подразумевают наличие опухолевого клона плазматических/В-лимфоидных клеток в костном мозге, но при этом отсутствуют диагностические критерии лимфомы или парапротеинемического гемобластоза. Для обозначения патологии внутренних органов, которая развивается вследствие плазмоклеточной дискразии, в 2018 г. введен термин «МГ с клиническим значением» [4]. Заболевания, относящиеся к МГ с клиническим значением в зависимости от ведущего патогенетического механизма, приведены в табл. 1.
Таблица 1. Патофизиологическая классификация заболеваний, связанных с МГ Table 1. Pathophysiological classification of diseases associated with monoclonal gammopathy | |||
Отложение иммуноглобулинов или их фрагментов в тканях | Аутоантительная активность | Обусловленные активацией системы комплемента | Воспалительные и паранеопластические синдромы |
Организованные фрагменты | Криоглобулинемия 2-го типа | С3-гломерулопатия | POEMS-синдром |
AL-амилоидоз | |||
Кристаллический гистиоцитоз | Приобретенный ангионевротический отек | Атипичный гемолитико-уремический синдром | TEMPI-синдром |
Криоглобулинемия 1-го типа | Ксантоматоз | Синдром Шницлера | |
Приобретенный синдром Фанкони | Болезнь холодовой агглютинации | Синдром утечки капилляров | |
Кристаллическая кератопатия | IgM-ассоциированная периферическая нейропатия | Склеромикседема | |
Иммунотактоидная гломерулопатия | CANOMAD-синдром (хроническая атактическая нейропатия, офтальмоплегия, моноклональный компонент IgM, холодовые агглютинины) | Приобретенный эластолизис | |
Неорганизованные фрагменты | Буллезный пемфигоид | ||
Болезнь депозитов легких цепей иммуноглобулинов | Болезнь Виллебранда | Спорадическая немалиновая миопатия с поздним началом | |
Болезнь депозитов тяжелых цепей иммуноглобулинов | Нейтрофильный дерматоз (синдром Свита) | ||
Пролиферативный гломерулонефрит, ассоциированный с моноклональным IgG (PGNMID) | |||
Макроглобулиноз кожи | |||
Для обозначения патологии почек часто используют обозначение «МГ с почечным значением». В 2019 г. Консенсусом нефрологов и гематологов определены диагностические критерии «МГ с почечным значением», сформулированы показания к началу терапии, направленной на редукцию аберрантных лимфоидных/плазматических клеток [5, 6]. В последующем, помимо «МГ с почечным значением», появились обозначения «МГ с нервным, офтальмологическим или кожным значением» [7–9]. Таким образом, в настоящее время доказана клональная В-клеточная природа многих заболеваний внутренних органов, что изменило подходы к терапии.
Самой трудной проблемой в установлении диагноза МГ с клиническим значением остается подтверждение участия парапротеина (или плазмоклеточной дискразии) в органном повреждении. Среди обширного спектра заболеваний наиболее понятна диагностика болезней отложения иммуноглобулинов или их фрагментов, таких как AL/AH-амилоидоз, болезнь депозитов легких и/или тяжелых цепей, кристаллический гистиоцитоз, пролиферативный гломерулонефрит, ассоциированный с моноклональным иммуноглобулином, иммунотактоидная и фибриллярная нефропатии. Морфологическое исследование материала биопсии почки с применением иммунофлюоресцентной микроскопии позволяет определить парапротеин в составе депозитов, а метод электронной микроскопии демонстрирует его ультраструктурные особенности. Совпадение идиотипа легкой/тяжелой цепи в биоптате ткани и в сыворотке/моче позволяет с уверенностью подтвердить диагноз и начать клонредуцирующую терапию. Диагноз синдромов POEMS, TEMPI, Шнитцлер, CANOMAD устанавливают по совокупности диагностических критериев. Наиболее сложно в клинической практике подтвердить участие парапротеина в развитии заболеваний с антительным механизмом. По-видимому, в этих случаях следует обращать внимание на нетипичные клинические проявления и наличие парапротеинемии.
Следует отметить, что к МГ с клиническим значением не отнесены ревматические заболевания. Вместе с тем ревматические маски плазмоклеточных опухолей хорошо известны. Дебют множественной миеломы (ММ) или AL-амилоидоза может напоминать системную склеродермию, системную красную волчанку и другие заболевания соединительной ткани [10]. Описаны также 2 случая некротизирующих васкулитов (без криоглобулинемии) при ММ и при плазмоцитоме [11, 12]. Эффективная противоопухолевая терапия приводит к регрессии клинических симптомов ревматического заболевания. При этом не возникает сомнений в назначении противоопухолевой терапии при доказанном диагнозе ММ или AL-амилоидоза. Значительно сложнее решить вопрос о начале клонредуцирующей терапии, если морфологический субстрат плазматических/В-клеток соответствует критериям МГ. Хорошо известно, что у 3–4% больных ревматоидным артритом и 15–20% пациентов с болезнью Шегрена выявляют моноклональную секрецию [13, 14]. Однако связь МГ с данными заболеваниями не доказана, и, соответственно, при отсутствии гемобластоза назначение клонредуцирующей терапии не рассматривается.
Мы приводим первое клиническое наблюдение пациента с паранеопластическим кожным некротизирующим васкулитом и МГ, которому провели клонредуцирующую терапию при отсутствии гемобластоза.
Клиническое наблюдение
Пациент С.О.В., 51 год. В августе 2020 г. появились боль и скованность в крупных суставах, повышение температуры тела до фебрильных значений с ознобом. В октябре 2020 г. на ногах отмечена сливная красно-багровая сыпь. Пациент был госпитализирован в инфекционную клинику, где исключены инфекционные болезни (риккетсиоз, сальмонеллез, псевдотуберкулез, шигеллез, боррелиоз, бруцеллез, хламидиоз, аденовирусная, парвовирусная инфекции, тифы, паратифы, малярия, туберкулез). Далее пациент обследовался в ревматологическом центре, где установлен диагноз «недифференцированный васкулит». Ревматоидный фактор, антинуклеарный фактор, антитела к цитоплазме нейтрофилов (АНЦА), антитела к циклическому цитруллинированному пептиду были в пределах нормы. Проведена терапия метилпреднизолоном, после чего сыпь, лихорадка, скованность и боль в суставах регрессировали. Пациент в течение 1,5 лет (до апреля 2021 г.) принимал метилпреднизолон (стартовая доза 8 мг/сут с постепенным снижением дозы). Через 4 мес после отмены метилпреднизолона (август 2021 г.) вновь вернулись все ранее описанные жалобы, а также присоединился болевой синдром в связках и сухожилиях. Учитывая атипичное течение заболевания (несоответствие диагностическим критериям системных васкулитов), провели исследование на наличие моноклональной секреции. Методом электрофореза и иммунофиксации в сыворотке выявлен моноклональный парапротеин Gκ (12,1 г/л), после чего пациент госпитализирован в гематологическую клинику.
При физическом обследовании состояние расценено как тяжелое. Отмечалась фебрильная температура тела (39,5ºС с ознобом), на коже лица – пурпура, петехии, образующие очаги неправильной формы, на коже ног, преимущественно голеней и стоп, – множественные экхимозы, петехии, единичные телеангиоэктазии, образующие очаги полигональной формы. На латеральной стороне мизинца правой стопы – очаг некроза (рис. 1).
Рис. 1. Высыпания на коже ног и лица.
Fig. 1. Rashes on legs and face.
Объем движений в крупных суставах снижен из-за болевого синдрома. Выявлено снижение ахиллова рефлекса, гиперпатия и гипералгезия в области стоп, по шкале нейропатической боли DN4 – 5 баллов, на основании чего диагностирована периферическая полинейропатия.
Инфекционный генез лихорадки был исключен на основании повторных микробиологических исследований крови, исследования прокальцитонина (0,3 нг/мл), чреспищеводной эхокардиографии.
В клиническом анализе крови отмечалась анемия легкой степени (гемоглобин 123 г/л), остальные показатели были в норме. Выявлены высокие значения С-реактивного белка – 117 мг/л (N<5 мг/л), интерлейкина-6 – 67,75 пг/мл (N<6,8 пг/мл), рутинные биохимические показатели крови были в пределах нормальных значений. Анализ мочи без патологии. Моноклональный парапротеин Gκ в сыворотке 13,3 г/л, содержание свободных легких цепей (СЛЦ) иммуноглобулинов было в норме (СЛЦκ 24,3 мг/л, СЛЦλ 26,4 мг/л, κ/λ 0,93), в моче выявлен белок Бенс-Джонса κ в следовом количестве. Криоглобулины не обнаружены.
В миелограмме – 4,2% плазматических клеток. В трепанобиоптатe костного мозга – зрелые плазматические клетки в увеличенном количестве, рассеянные интерстициально и формирующие группы (до 15 клеток). Морфологический субстрат соответствовал МГ IgGκ. Методом проточной цитофлуориметрии обнаружен клон плазматических клеток с аберрантным иммунофенотипом CD319+CD19-CD45-CD117+, в количестве 82,4% от плазматических клеток и 0,71% от всех мононуклеаров. При цитогенетическом исследовании плазматических клеток методом FISH в 62% ядер отсутствовал сигнал от теломерной части локуса гена IGH/14q32 (делеция теломерной части локуса гена IGH/14q32 или транслокация с делецией). Других значимых для ММ хромосомных аберраций не выявлено.
На компьютерной томограмме всех костей скелета очаги остеодеструкций, остеосклероза отсутствовали.
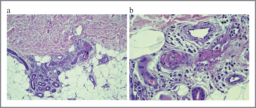
С целью уточнения природы васкулита выполнена биопсия измененного участка кожи голени. В верхних и нижних слоях дермы по ходу сосудов капиллярного типа и артериол выявлена диффузная умеренная периваскулярная инфильтрация, представленная мононуклеарами и полиморфноядерными лейкоцитами, с фибринно-эритроцитарными микротромбами и очаговым фибриноидным некрозом стенок сосудов. Иммунофлюоресцентное исследование выполнено на парафиновых срезах методом обработки проназой с использованием FITC-конъюгированных антител к человеческим иммуноглобулинам (Ig) – IgA, IgG, IgM, С3, С1q, фибриногену, легким цепям k и l. Со всеми реагентами результат отрицательный. Вынесено заключение о неиммунокомплексном некротизирующем васкулите с микротромбами, с вовлечением капилляров, артериол и мелких артерий дермы (рис. 2, 3). Сделан вывод о том, что гистологическая картина может соответствовать ассоциированному с МГ сосудистому поражению.
Рис. 2. Световая микроскопия кожи: a – очаг некротизирующего васкулита в глубоком слое дермы на уровне придатков кожи, с периваскулярной и трансмуральной инфильтрацией, кариорексисом, фибриноидным некрозом стенки и тромбозом. Окраска гематоксилин-эозином, ×100; b – тот же участок, фибриноидный некроз стенки сосуда, инфильтрация стенки с кариорексисом, фибринный тромб в просвете сосуда. Окраска гематоксилин-эозином, ×400.
Fig. 2. Light microscopy of the skin: a – a focus of necrotizing vasculitis in the deep dermis layer at the level of skin appendages, with perivascular and transmural infiltration, karyorexis, fibrinoid wall necrosis and thrombosis. Hematoxylin and eosin staining; magnification ×100; b – the same site. Fibrinoid necrosis of vessel wall, infiltration of vessel wall with cariorexis, fibrin thrombus in vessel lumen. Hematoxylin and eosin staining; magnification ×400.
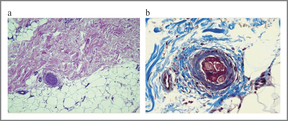
Рис. 3. Световая микроскопия кожи: a – тромбоз сосуда в глубоком слое дермы на границе с подкожной жировой клетчаткой. Окраска гематоксилин-эозином; ×100; b – тот же сосуд. Фибринно-эритроцитарный тромб в просвете сосуда. Окраска трихромом по Массону; ×400.
Fig. 3. Light microscopy of the skin: a – vascular thrombosis in the deep layer of the dermis at the border with subcutaneous fatty tissue. Hematoxylin and eosin staining; magnification ×100; b – the same vessel. Fibrin-erythrocytic thrombus in the lumen of the vessel. Masson trichrome staining; magnification ×400.
На основании проведенных обследований пациенту установлен диагноз: паранеопластический некротизирующий васкулит с поражением кожи, периферической нервной системы, ассоциированный с МГ.
Заболевание расценено как паранеопластический синдром, опухолевый морфологический субстрат которого представлен клональными плазматическими клетками в количестве, соответствующем критериям МГ (менее 10%). Принято решение рассматривать данную патологию как одну из форм МГ с клиническим значением и начать клонредуцирующую терапию. Учитывая признаки периферической полинейропатии, от применения бортезомиба отказались. Провели 12 курсов терапии по программе леналидомид (25 мг в день 21 день), циклофосфамид (300 мг/м2 1 раз в нед), дексаметазон (40 мг 1 раз в нед). Перерыв между курсами 7 дней. Уже после 2 курсов терапии отмечен частичный регресс высыпаний, стойкая нормотермия. После окончания терапии полностью регрессировали скованность в суставах и сухожилиях, болевой синдром в ногах, васкулоподобные высыпания на коже, повысились сухожильные рефлексы, стойко нормализовалась температура тела. Содержание С-реактивного белка стало в пределах нормы, моноклональный IgG в сыворотке сохраняется в следовом значении, белок Бенс-Джонса в моче отсутствует.
Обсуждение
Согласно современной классификации системных васкулитов (Чапел-Хилл, согласительная конференция, 2012), представленный случай соответствует васкулиту, ассоциированному с определенной патологией, – паранеопластическому васкулиту. В патологический процесс были вовлечены мелкие сосуды, отсутствовали антитела к цитоплазме нейтрофилов, криоглобулины, не обнаружено фиксации иммуноглобулинов в биоптате коже. Патологический процесс затрагивал кожу и периферические нервы, клинически на пальце стопы определялся участок некроза. Некроз стенки сосуда подтвержден и при гистологическом исследовании кожи. Учитывая отсутствие гемобластоза и солидной опухоли, после тщательного обследования пациента в качестве причины паранеопластического васкулита рассматривалась плазмоклеточная дискразия, морфологический субстрат которой соответствовал МГ. С учетом подобного представления о патогенезе данного заболевания мы провели противоопухолевую терапию, направленную на редукцию опухолевых плазматических клеток. Дополнительным обоснованием выбора такой тактики лечения был короткий период ремиссии (всего 4 мес) после отмены метилреднизолона. Проведенная терапия оказалась высокоэффективна, регрессия клинических симптомов совпала по времени со снижением парапротеина до следовых значений и привела к стойкому контролю симптомов заболевания. Тем не менее у нас нет объективных доказательств связи поражения сосудов с плазмоклеточной дискразией, что позволило бы рассматривать описанный случай как одну из форм МГ с клиническим значением. Возможно, что возобновление моноклональной секреции, совпадающее по времени с рецидивом васкулита, послужит дополнительным аргументом о взаимосвязи этих двух состояний.
Заключение
Диагностика МГ с клиническим значением в ряде случаев вызывает значительные трудности. Иногда в реальной клинической практике трудно и даже невозможно доказать связь органного поражения с парапротеином или плазмоклеточной дискразией. Лишь нетипичное течение заболевания, несоответствие установленным критериям позволяют заподозрить другие механизмы в патогенезе, причиной которых может быть плазмоклеточная дискразия. Принятие решения о проведении клонредуцирующей терапии при МГ с необычными клиническими синдромами крайне трудно и основано на тщательном анализе клинических и лабораторных данных с участием врачей различных специальностей.
Данный случай был обсужден на Совете экспертов, где помимо авторов статьи присутствовали:
- Моисеев Сергей Валентинович – чл.-кор. РАН, д-р мед. наук, проф., зав. каф. профессиональных болезней и ревматологии ФГАОУ ВО «Первый МГМУ им. И.М. Сеченова» (Сеченовский Университет);
- Клименко Алеся Александровна – д-р мед. наук, зав. каф. факультетской терапии им. акад. А.И. Нестерова ФГАОУ ВО «РНИМУ им. Н.И. Пирогова» (Пироговский Университет);
- Жиляев Евгений Валерьевич – д-р мед. наук, проф. каф. факультетской терапии им. акад. А.И. Нестерова ФГАОУ ВО «РНИМУ им. Н.И. Пирогова» (Пироговский Университет);
- Соловьев Максим Валерьевич – канд. мед. наук, зав. отд-нием гематологии и химиотерапии парапротеинемических гемобластозов с блоком трансплантации костного мозга и гемопоэтических стволовых клеток ФГБУ «НМИЦ гематологии»;
- Михеева Екатерина Павловна – врач-ревматолог Московского городского ревматологического центра ГКБ №1 им. Н.И. Пирогова.
Мнения членов Совета экспертов приведены ниже.
Жиляев Евгений Валерьевич: «Клиническая и морфологическая картина васкулита более всего соответствует кожному узелковому полиартерииту. В пользу этого свидетельствуют отсутствие органных вовлечений, кроме кожи и периферической нервной системы, некротизирующий характер васкулита по данным гистологического исследования, высокая чувствительность васкулита к глюкокортикоидам. Таксономически эта болезнь по классификации Чапел-Хиллской конференции 2012 г. должна относиться к моноорганным васкулитам. Тем не менее связь данного васкулита с МГ представляется вероятной. Васкулит известен как полиэтиологичная болезнь, индукция которого связывается с различными микробными и лекарственными антигенами (стрептококки, вирусы гепатита В и С, парвовирус В19, миноциклин и др.). Представляется вероятным участие моноклонального белка в формировании триггерного антигена, вызвавшего болезнь».
Михеева Екатерина Павловна: «При ревматических заболеваниях МГ встречается чаще, чем в общей популяции, особенно у пациентов с болезнью Шегрена, системной красной волчанкой, ревматоидным артритом. Также мы часто встречаемся с наличием МГ у пациентов с криоглобулинемическим васкулитом. У данного пациента при обследовании данных за криоглобулинемический васкулит не получено, однако обращало на себя внимание выраженное снижение массы тела в дебюте заболевания, не связанное с особенностями питания, наличие нейропатии и признаки васкулита с инфильтрацией гранулоцитами при биопсии. Указанные особенности клинического случая не позволяют не согласиться с мнением, высказанном на экспертном совете, о возможном развитии узелкового полиартериита у данного пациента, однако описания случаев ассоциации данного васкулита с МГ не было найдено в отечественной и зарубежной литературе. Согласна с мнением авторов статьи о том, что связь парапротеина с клинической симптоматикой высоковероятна. Дальнейшее наблюдение за пациентом позволит дать окончательный ответ о взаимосвязи клинических симптомов и моноклональной секреции».
Раскрытие интересов. Авторы декларируют отсутствие явных и потенциальных конфликтов интересов, связанных с публикацией настоящей статьи.
Disclosure of interest. The authors declare that they have no competing interests.
Вклад авторов. Авторы декларируют соответствие своего авторства международным критериям ICMJE. Все авторы в равной степени участвовали в подготовке публикации: разработка концепции статьи, получение и анализ фактических данных, написание и редактирование текста статьи, проверка и утверждение текста статьи.
Authors’ contribution. The authors declare the compliance of their authorship according to the international ICMJE criteria. All authors made a substantial contribution to the conception of the work, acquisition, analysis, interpretation of data for the work, drafting and revising the work, final approval of the version to be published and agree to be accountable for all aspects of the work.
Источник финансирования. Авторы декларируют отсутствие внешнего финансирования для проведения исследования и публикации статьи.
Funding source. The authors declare that there is no external funding for the exploration and analysis work.
Информированное согласие на публикацию. Пациент подписал форму добровольного информированного согласия на публикацию медицинской информации.
Consent for publication. Written consent was obtained from the patient for publication of relevant medical information and all of accompanying images within the manuscript.
Список сокращений
МГ – моноклональная гаммапатия
ММ – множественная миелома
СЛЦ – свободные легкие цепи
Ig – иммуноглобулин
About the authors
Irina G. Rekhtina
National Medical Research Center for Hematology
Author for correspondence.
Email: rekhtina.i@blood.ru
ORCID iD: 0000-0001-5440-4340
д-р мед. наук, зав. отд-нием гематологии и химиотерапии плазмоклеточных дискразий
Russian Federation, MoscowOlga A. Vorobyeva
National Center for Clinical Morphological Diagnostics
Email: rekhtina.i@blood.ru
ORCID iD: 0000-0002-6946-6816
канд. мед. наук, зав. отд-нием патологии почки и сложного морфологического диагноза
Russian Federation, Saint PetersburgElisavetta A. Atroshenko
National Medical Research Center for Hematology
Email: rekhtina.i@blood.ru
ORCID iD: 0009-0005-2588-5612
врач-гематолог клинико-диагностического отд-ния химиотерапии с дневным стационаром
Russian Federation, MoscowAlla M. Kovrigina
National Medical Research Center for Hematology
Email: rekhtina.i@blood.ru
ORCID iD: 0000-0002-1082-8659
д-р биол. наук, проф., зав. патологоанатомическим отд-нием
Russian Federation, MoscowLarisa P. Mendeleeva
National Medical Research Center for Hematology
Email: rekhtina.i@blood.ru
ORCID iD: 0000-0002-4966-8146
д-р мед. наук, проф., рук. управления по научной и образовательной работе, зав. отд. химиотерапии парапротеинемических гемобластозов
Russian Federation, MoscowReferences
- Kristinsson SY, Tang M, Pfeiffer RM, et al. Monoclonal gammopathy of undetermined significance and risk of infections: a population-based study. Haematologica. 2012;97(6):854-8. doi: 10.3324/haematol.2011.054015
- Van de Donk NW, Palumbo A, Johnsen HE, et al. European Myeloma Network. The clinical relevance and management of monoclonal gammopathy of undetermined significance and related disorders: recommendations from the European Myeloma Network. Haematologica. 2014;99(6):984-96. doi: 10.3324/haematol.2013.100552
- Kristinsson SY, Fears TR, Gridley G, et al. Deep vein thrombosis after monoclonal gammopathy of undetermined significance and multiple myeloma. Blood. 2008;112(9):3582-6. doi: 10.1182/blood-2008-04-151076
- Fermand JP, Bridoux F, Dispenzieri A, et al. Monoclonal gammopathy of clinical significance: a novel concept with therapeutic implications. Blood. 2018;132(14):1478-85. doi: 10.1182/blood-2018-04-839480
- Leung N, Bridoux F, Batuman V, et al. The evaluation of monoclonal gammopathy of renal significance: a consensus report of the International Kidney and Monoclonal Gammopathy Research Group. Nat Rev Nephrol. 2019;15(1):45-59. doi: 10.1038/s41581-018-0077-4
- Смирнов А.В., Афанасьев Б.В., Поддубная И.В., и др. Моноклональная гаммапатия ренального значения: консенсус гематологов и нефрологов России по введению нозологии, диагностике и обоснованности клон-ориентированной терапии. Терапевтический архив. 2020;92(7):10-22 [Smirnov AV, Afanasyev BV, Poddubnaya IV, et al. Monoclonal gammopathy of renal significance: consensus of hematologists and nephrologists of Russia on the establishment of nosology, diagnostic approach and rationale for clone specific treatment. Terapevticheskii Arkhiv (Ter. Arkh.). 2020;92(7):10-22 (in Russian)]. doi: 10.26442/00403660.2020.07.000659
- Castillo JJ, Callander NS, Baljevic M, et al. The evaluation and management of monoclonal gammopathy of renal significance and monoclonal gammopathy of neurological significance. Am J Hematol. 2021;96(7):846-53. doi: 10.1002/ajh.26155
- Garderet L, Al Hariri M, Wasielica-Poslednik J, et al. Monoclonal Gammopathy of Ocular Significance (MGOS) – a Series of Corneal Manifestations and Treatment Outcomes. Blood. 2021;138(Suppl. 1):2695. doi: 10.1182/blood-2021-151460
- Lipsker D. Monoclonal gammopathy of cutaneous significance: review of a relevant concept. J Eur Acad Dermatol Venereol. 2017;31(1):45-52. doi: 10.1111/jdv.13847
- Васильев В.И., Городецкий В.Р., Логвиненко О.А., и др. Ревматические маски плазматических дискразий. Научно-практическая ревматология. 2012;50(2):35-43 [Vasilyev VI, Gorodetsky VR, Logvinenko OA, et al. Rheumatic masks of plasma cell dyscrasias. Rheumatology Science and Practice. 2012;50(2):35-43 (in Russian)]. doi: 10.14412/1995-4484-2012-1271
- Swan D, Murphy M, Elhassadi E. Cutaneous Vasculitis: An Unusual Presentation of a Biclonal Nodal Plasma Cell Dyscrasia. Case Rep Hematol. 2017;2017:8152610. doi: 10.1155/2017/8152610
- Васильев В.И., Городецкий В.Р., Седышев С.Х., и др. Клинические проявления васкулита в дебюте множественной миеломы. Научно-практическая ревматология. 2010;48(1):81-7 [Vasil'ev VI, Gorodetskiy VR, Sedyshev SKh, et al. Clinical manifestation of vasculitis at the onset of multiple myeloma. Rheumatology Science and Practice. 2010;48(1):81-7 (in Russian)]. doi: 10.14412/1995-4484-2010-1410
- Городецкий В.Р., Пробатова Н.А., Логвиненко О.А., и др. Трудности диагностики лимфоидных неоплазий у больных ревматоидным артритом. Научно-практическая ревматология. 2009;47(3):94-101 [Gorodetsky VR, Probatova NA, Logvinenko OA, et al. Difficulties of lymphoid neoplasia diagnosis in patients with rheumatoid arthritis. Rheumatology Science and Practice. 2009;47(3):94-101 (in Russian)]. doi: 10.14412/1995-4484-2009-1318
- Логвиненко О.А., Васильев В.И. Неходжскинские лимфомы при ревматических заболеваниях. Научно-практическая ревматология. 2011;49(5):71-82 [Logvinenko OA, Vasil'ev VI. Nekhodzhkinskie limfomy pri revmaticheskikh zabolevaniyah. Rheumatology Science and Practice. 2011;49(5):71-82 (in Russian)]. doi: 10.14412/1995-4484-2011
Supplementary files





