Difficult case of differential diagnosis of partial lung atelectasis. Case report
- Authors: Gordeeva O.M.1, Egorova A.D.1, Chesalina Y.O.1, Gretcov E.M.1, Semenova L.A.1, Karpina N.L.1, Sivokozov I.V.1
-
Affiliations:
- Central Tuberculosis Research Institute
- Issue: Vol 95, No 3 (2023)
- Pages: 248-254
- Section: Case reports
- Submitted: 24.04.2023
- Accepted: 24.04.2023
- Published: 26.04.2023
- URL: https://ter-arkhiv.ru/0040-3660/article/view/346671
- DOI: https://doi.org/10.26442/00403660.2023.03.202074
- ID: 346671
Cite item
Full Text
Abstract
In December 2018 the patient over 60 years old sought medical help with complaints of persistent cough. Based on computed tomography data there were identified the sings (symptoms) of right lung lower lobe atelectasis. To run this patient diagnostics there were performed 6 bronchoscopies narrowed down by bronchi checks up only and described the right lung central cancer picture. At the same time the biopsy taken during one of the bronchoscopies appeared non informative. Fine needle biopsy of mediastinal lymph nodes and bronchial wall was performed twice: at Tomsk Cancer Research Institute (it was suspected B-cell lymphoma based on biopsy examination) and at The Loginov Moscow Clinical Scientific Center (signs of inflammation based on biopsy examination). The video-assisted thoracoscopy with lymph node dissection of the right lung root was performed in January 2020. As a surgical material analysis result reactive adenopathy was determined. Therefore, during more than 1 year of diagnostic research the genesis of right lung lower lobe atelectasis was not established. The patient was directed to Central Tuberculosis Research Institute for diagnosis verification. Based on clinical and radiological picture Central Tuberculosis Research Institute colleagues suspected a foreign body in the intermediate bronchus. During an endoscopic examination it was revealed stenosis, biopsies were performed, but the foreign body could not be identified. In the pathomorphological laboratory of Central Tuberculosis Research Institute there were conducted histological examination of the material after endobronchial cryobiopsy and rigid needle biopsy. Both gave an unexpected result: invasive mycosis of the bronchial wall. As a conclusion the decision was taken to apply antimycotic therapy on an outpatient basis. As a result, clear clinical and radiological positive dynamics was obtained. In these favorable conditions for endoscopic examination, it was performed vitally essential cryoextraction of foreign body. The foreign body turned out to be a fragment of a spongy bone of a centimeter size. These actions have let to unlock the right lung lower lobe.
Full Text
Введение
Диагностика заболеваний органов дыхания базируется на комплексном обследовании пациентов, включающем данные клинического, рентгенологического и лабораторного обследований пациента. Перечисленные методы диагностики дают возможность врачу построить дифференциально-диагностический ряд, определиться с диагностическим поиском, но не позволяют верифицировать заболевания органов дыхания.
В настоящее время применение малоинвазивных инновационных эндоскопических методов диагностики позволяет осуществлять своевременную морфологическую и/или этиологическую верификацию диагноза [1]. Так и в случае обтурации инородным телом ветвей трахеобронхиального дерева (ТБД) ведущим диагностическим и лечебным методом является бронхоскопия. При быстром развитии характерного ателектаза легочной ткани дистальнее обтурированного бронха, выраженной клинической картине эндоскопическое удаление объекта решает проблемы диагноза и лечения одновременно, позволяет развернуться легочной ткани и восстановить ее вентиляционные способности. Однако отличительной особенностью постепенной обтурации является возникновение вторичных воспалительных процессов с соответствующими клиническими проявлениями. При длительном нахождении инородного тела в просвете бронха развивается хронический воспалительный процесс, симулирующий онкологическое заболевание [2].
Инородные тела ТБД у пациентов старше 18 лет – нечастая клиническая ситуация, и среди всех случаев инородных тел на долю взрослых пациентов приходится менее 20% [3]. Дифференциальная диагностика инородных тел ТБД у взрослых представляет сложности по целому ряду причин: аспирация инородных тел небольшого размера может происходить незамеченной в связи с исключением фазы ярких клинических проявлений на этапе высокого стояния инородного тела, так как оно практически сразу попадает в дистальные отделы; факт аспирации инородного тела не замечают до 1/2 пациентов [4]. Дополнительную сложность в дифференциальную диагностику вносит отсутствие прямой зависимости между степенью обтурации просвета бронха и степенью развития ателектаза легочной ткани, так как снабжение воздухом отдельных участков легочной ткани имеет много коллатералей.
Наибольшие трудности при проведении дифференциальной диагностики вызывают инородные тела органического происхождения, так как они, как правило, не визуализируются при рентгенологическом исследовании; помимо этого такие инородные тела вызывают выраженное хроническое воспаление, что в свою очередь приводит к развитию вторичных проявлений и имитации клинической картины других заболеваний. Развитие же клинико-рентгенологического синдрома ателектаза на фоне инородного тела небольших размеров или частичной обтурации просвета бронха (с сохранением вентиляции) происходит постепенно, по мере увеличения выраженности воспалительных изменений в бронхе, с дальнейшим развитием обтурационного пневмонита, что приводит к позднему обращению за медицинской помощью. При частичном нарушении бронхиальной проходимости возникает сочетание ателектаза, хронического воспаления и пневмосклероза. Эти процессы поддерживают в спавшемся состоянии уменьшенную в объеме легочную ткань, и они же после восстановления бронхиальной проходимости, как правило, не позволяют восстановиться воздушности легочной ткани. Такой патофизиологический механизм усложняет диагностику, а пациента подвергают излишним курсам антибактериальной терапии (АБТ).
Причин для формирования обтурационного ателектаза много, однако самое частое у взрослых – это новообразования – злокачественные, значительно реже доброкачественные, опухоли, кроме этого рубцовые, в том числе посттуберкулезные деформации просвета бронхов, инородные тела бронхов, сдавление бронха извне. Для пациентов детского возраста классика обтурации бронха – инородные тела, часто это куриная косточка, которая перекрывает просвет нижнедолевого бронха. В таком случае ярко выраженная клиника, характерный анамнез и результаты рентгеновского исследования позволяют быстро установить диагноз и своевременно провести ребенку бронхоскопию.
В представленном клиническом наблюдении постепенное развитие ателектаза легкого у взрослого с развитием выраженной грануляционной ткани, в том числе с редкой грибковой этиологией воспаления, потребовало комплекса диагностических и лечебных методик для экстракции инородного тела бронха. Данный клинический пример демонстрирует важность мультидисциплинарного подхода в диагностическом поиске и комплексном лечении частичного ателектаза легкого с редкой сочетанной этиологией процесса у взрослого.
Клиническое наблюдение
Мужчина 63 лет обратился в Центр диагностики и реабилитации заболеваний органов дыхания ФГБНУ ЦНИИТ 21 февраля 2020 г. для верификации диагноза из-за выявленных изменений в нижней доле правого легкого.
Анамнез жизни. Пациент, уроженец Томской области, ежегодно проходил обследование в поликлинике, включая флюорографию, которая была расценена как норма до 2019 г. Факторы вредности отрицает, не курит. Аллергический анамнез не отягощен.
Анамнез заболевания. В конце апреля 2019 г. пациент обратился за медицинской помощью по месту жительства в связи с появлением сухого приступообразного кашля. По данным компьютерной томографии (КТ) органов грудной клетки (ОГК) от 22.04.2019 выявлены признаки уплотнения легочной ткани в С8,9 нижней доли правого легкого, признаки субсегментарного ателектаза С5, в просвете субсегментарного бронха В6 справа участок уплотнения, перекрывающий просвет бронха. КТ-картина расценена врачами как воспалительные изменения легочной ткани на фоне локального пневмофиброза. Пациенту назначена АБТ широкого спектра действия с последующим контролем КТ ОГК. Однако прием антибактериальных препаратов не принес пациенту облегчение – упорный непродуктивный кашель продолжался.
При КТ ОГК после курса АБТ (09.07.2019) отмечена отрицательная динамика в виде увеличения размеров зоны консолидации легочной ткани в нижней доле правого легкого с вовлечением С7, в результате чего пациент направлен на консультацию к онкологу и фтизиатру. При обследовании в противотуберкулезном диспансере по месту жительства данных за туберкулез органов дыхания не получено: реакция на пробу с аллергеном туберкулезным рекомбинантным от 06.09.2019 отрицательная, при исследовании мокроты методом микроскопии и полимеразной цепной реакции кислотоустойчивые микобактерии и ДНК микобактерий туберкулеза не обнаружены.
В онкологическом центре по месту жительства при КТ ОГК от 03.09.2019 дополнительно выявлено увеличение внутригрудных лимфатических узлов (ВГЛУ) бифуркационной группы до 30 мм, паратрахеальной – до 18 мм. Выполнена бронхоскопия с биопсией бронха, ВГЛУ. При гистологическом исследовании опухолевых клеток не найдено. При исследовании материала тонкоигольной биопсии ВГЛУ заподозрена В-клеточная лимфома. Пациент направлен в Москву к онкологу для уточнения диагноза. При позитронно-эмиссионной КТ 23.12.2019 выявлены признаки фиброателектаза нижней доли правого легкого с диффузным повышением метаболизма, признаки внутригрудной лимфаденопатии с повышенным метаболизмом. С 15 по 21 января 2020 г. пациент находился в онкологической клинике в Москве с диагнозом «центральный рак нижней доли правого легкого T4N2M0. 3В стадии», где ему проведено обследование в рамках онкопоиска, по результатам которого признаков патологических изменений и дисфункции других органов и систем не выявлено. В гемограмме от 20.01.2020 определялись лейкоцитоз (10,2×109/л) и ускорение скорости оседания эритроцитов до 60 мм/ч (по методу Панченкова).
С целью морфологической верификации диагноза пациенту выполнена операция (16.01.2020) видеоторакоскопическая медиастинальная лимфаденэктомия. Интраоперационно выполнена бронхоскопия с биопсией бронха. Эндоскопическая картина трактована как опухоль нижнедолевого бронха справа с распространением на промежуточный, среднедолевой и главный бронхи, косвенные признаки увеличения бронхопульмональных лимфоузлов справа. При гистологическом исследовании ткани лимфоузла выявлены признаки реактивных изменений с отложением гемосидерина, антракозом, саркоидной реакции без элементов опухолевого роста. При гистологическом исследовании бронха обнаружены фрагменты слизистой респираторного типа с плоскоклеточной метаплазией и лимфогистиоцитарной инфильтрацией.
При иммуногистохимическом исследовании операционного материала лимфоузла определена экспрессия CD20 и высокая пролиферативная активность, в связи с чем заподозрена В-клеточная лимфома. Однако указано, что объем диагностического материала для более точного диагноза недостаточный. Пациент выписан из клиники с рекомендацией динамического наблюдения.
Однако сухой мучительный кашель продолжался, и пациент обратился в другой многопрофильный медицинский центр к онкологу, где 27.01.2020 выполнена повторная бронхоскопия с биопсией нижнедолевого бронха справа. По результатам гистологического исследования дано заключение: слизистая оболочка бронха с выраженными воспалительными изменениями, нельзя исключить неоплазию. В связи с неудачными эндоскопическими попытками пациенту рекомендована повторная консультация торакального хирурга.
21.02.2020 пациент обратился в консультативное отделение Центра диагностики и реабилитации заболеваний органов дыхания ФГБНУ ЦНИИТ для верификации патологического процесса в легких. При обращении пациент предъявлял жалобы на упорный приступообразный кашель с отделением слизисто-гнойной мокроты и прожилками алой крови. На момент осмотра: состояние пациента удовлетворительное, нормостенического телосложения, вес 93 кг, рост 174 см, кожные покровы обычной влажности и окраски, периферических отеков нет. Аускультативно в легких дыхание везикулярное, справа ниже угла лопатки резко ослабленное. Частота дыхательных движений 17 в мин, SpO2 – 96%. Артериальное давление 130/85 мм рт. ст. Частота сердечных сокращений 95 уд/мин, удовлетворительных свойств. Живот мягкий, безболезненный. Физиологические отправления в норме.
Операционный материал и материал бронхобиопсий консультирован в отделении патоморфологии ФГБНУ ЦНИИТ: фрагменты стенки бронха покрыты цилиндрическим мерцательным эпителием, местами многорядным, местами с метаплазией в многослойный плоский неороговевающий. Стенка бронха на некоторых участках с изъязвлением, некротическими изменениями, участками разрастаний грануляционной ткани. Определяется выраженная воспалительная инфильтрация смешанного лейко-лимфоцитарного характера. Лимфоциты образуют множество очаговых лимфоидных скоплений с формированием псевдолимфоидных фолликулов. Обнаружены структуры в виде округлых полостных образований, стенки которых представлены волокнистой соединительной тканью, по строению напоминающие стенки бронхиол. Изнутри заполнены полиморфными клетками, имеющими сходство с метаплазированным цилиндрическим эпителием. Встречаются скопления густой слизи. На остальном протяжении наблюдаются массы эритроцитов, свертки фибрина, небольшие фокусы жировой клетчатки, фрагменты волокнистой соединительной ткани с наличием сосудов. В зоне воспалительной инфильтрации сосуды среднего калибра с признаками продуктивного васкулита. Микроскопические изменения в стенках бронха расценены как выраженное хроническое с обострением воспаление, стенки бронха без признаков специфичности.
Таким образом, проведенный в Центре диагностики и реабилитации заболеваний органов дыхания ФГБНУ ЦНИИТ анализ результатов обследования пациента показал противоречивость данных морфологического исследования как операционного, так и бронхобиопсийного материалов, что не позволяло врачам установить правильный диагноз. Сомнений не вызывал лишь факт наличия у пациента ателектаза нижней доли правого легкого, что являлось показанием для дальнейшего обследования, в том числе и повторной бронхоскопии с применением высокотехнологичных методик бронхобиопсии, проведения функциональных тестов. Однако ввиду начала пандемии COVID-19 были введены ограничения по некоторым видам диагностики, в том числе по бронхоскопии. Учитывая наличие выраженного воспалительного компонента по данным микроскопического исследования материала бронхобиопсий, врач консультационного отделения назначил пациенту курс неспецифической АБТ, противовоспалительной терапии в амбулаторных условиях и рекомендовал КТ ОГК по окончании курса терапии.
После проведения курса рекомендованной терапии пациент повторно обратился в Центр диагностики и реабилитации заболеваний органов дыхания ФГБНУ ЦНИИТ, где была выполнена КТ ОГК (03.06.2020); рис. 1.
Рис. 1. При сравнении данных КТ ОГК от 14.02.2020 и от 03.06.2020 (слева направо) выявлена положительная динамика в виде рассасывания очагов и уменьшения фокусных образований в средней и нижней долях правого легкого.
Fig. 1. When comparing the chest CT of 14.02.2020 and 03.06.2020 (from left to right), positive dynamics was revealed in the form of resorption of foci and a decrease in focal formations in the middle and lower lobes of the right lung.
Клиническая ситуация обсуждена совместно с ведущими специалистами Центра диагностики и реабилитации заболеваний органов дыхания ФГБНУ ЦНИИТ: с учетом клинической картины (выраженный, сохраняющийся более 1 года приступообразный кашель), данных КТ ОГК в динамике (положительная динамика после курса АБТ, сохранение ателектаза нижней доли правого легкого с признаками обтурации просвета промежуточного бронха справа), отсутствием признаков атипии в гистологических препаратах двух бронхобиопсий сохранялось подозрение на наличие инородного тела в области базальных бронхов справа. Однако из-за лимфаденопатии средостения оставалась и онконастороженность. Учитывая вышеизложенное, принято решение о проведении бронхоскопического исследования (криобиопсии и/или криореканализации) в условиях наркоза.
16.06.2020 амбулаторно в условиях наркоза пациенту выполнено бронхологическое обследование и выявлен компрессионный синдром в зоне бифуркации трахеи, правого главного бронха, правого промежуточного бронха. Эндоскопическая картина отражала стеноз 3-й степени промежуточного бронха, экспираторный стеноз трахеи и главных бронхов до 3-й степени. Для уточнения природы выявленных изменений выполнен бронхоальвеолярный лаваж, жидкость которого направлена на цитологическое и микробиологическое исследования. Материалы трансбронхиальной биопсии легкого в зоне компрессии, биопсия бронха, пункционная биопсия ВГЛУ, прилежащего к промежуточному бронху справа, направлены в лаборатории ФГБНУ ЦНИИТ на морфологическое исследование. При гистологическом исследовании биоптата выявлена картина выраженного хронического с обострением воспаления стенки бронха без признаков специфичности. Кроме того, в препаратах материала бронха и легочной ткани выявлены структуры, подозрительные на принадлежность к нитям мицелия (рис. 2).
Рис. 2. Гистологический препарат. Бронхобиопсия. Нитевидные мицеллярные структуры среди клеток эпителия слизистой стенки бронха. Окраска гематоксилином и эозином. ×1000.
Fig. 2. Histological specimen. Bronchobiopsy. Filamentary myciliary structures among epithelial cells of the bronchial mucosa. Staining with hematoxylin and eosin. ×1000.
Для уточнения диагноза гистологические препараты были консультированы в Инфекционной клинической больнице №2, где диагноз грибкового поражения стенки бронха был подтвержден.
Совместно с инфекционистом и специалистами Центра диагностики и реабилитации заболеваний органов дыхания ФГБНУ ЦНИИТ пациенту 10.07.2020 впервые назначена противогрибковая терапия вориконазолом: по 200 мг каждые 12 ч на фоне гепатопротекторной терапии.
Необходимо обратить особое внимание на тот факт, что наличие длительного приступообразного кашля не только доставляло пациенту физический дискомфорт, но и в ответ на постоянное раздражение паравертебральных симпатических сплетений привело к развитию стойкой гипертензии (артериальное давление до 180/100 мм рт. ст.), что явилось основанием для назначения терапевтом гипотензивной терапии.
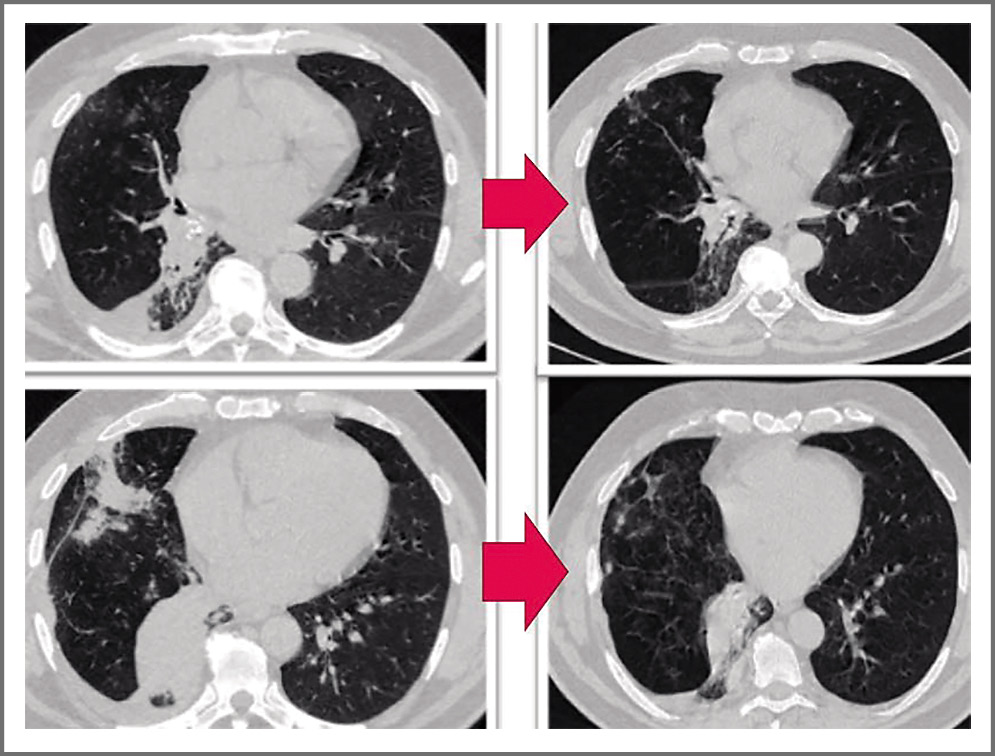
При применении противогрибкового препарата у пациента отмечена положительная клинико-рентгенологическая динамика в виде уменьшения приступообразного кашля с трудноотделяемой мокротой, частичное рассасывание зон консолидации легочной ткани в нижней доле правого легкого при контрольной КТ ОГК от 30.08.2020 (рис. 3).
Рис. 3. КТ-динамика пациента П. за 2 мес противогрибковой терапии (от 03.06.2020 к 30.08.2020 слева направо), отмечено частичное рассасывание зон консолидации легочной ткани в правом легком, стали видны просветы бронхов.
Fig. 3. CT dynamics of patient P. for 2 months of antifungal therapy (from 03.06.2020 to 30.08.2020 from left to right), there was a partial resorption of the consolidation zones of the lung tissue in the right lung; the lumens of the bronchi became visible.
С учетом нивелирования значительной части инфильтративных изменений в зоне поражения и подозрения на наличие инородного тела совместно с заведующим отделением эндоскопии принято решение о выполнении повторной бронхоскопии с целью эвакуации обтуратора. 25.09.2020 пациенту выполнена бронхоскопия под наркозом, при которой отмечено уменьшение зоны пролиферативных изменений слизистой ТБД справа, достигнута визуализация инородного тела белого цвета и выполнена его криоэкстракция из промежуточного бронха (рис. 4, i–h).
Рис. 4. Видеобронхоскопия высокой четкости пациента П. Эндофото первичного исследования (а–d), а также исследования в динамике (d–h), видеобронхоскоп Pentax EB15 J10, видеосистема DEFINA: а – перибронхиальный стеноз устья правого главного бронха с признаками поражения слизистой; b – в дистальной трети правого главного бронха определяется множественная исчерченность слизистой, пролиферативные изменения, некротическая «шапочка», закупоривающая дистальную часть бронха; c – момент выполнения ригидной игловой биопсии средостения; d – эндобронхиальная криобиопсия изменений слизистой правого главного бронха; i – осмотр в динамике после курса терапии – в просвете промежуточного бронха определяется инородное тело (кость); f – момент выполнения криоэкстракции инородного тела; g, h – восстановление просвета правого главного и промежуточного бронха после криоэкстракции инородного тела.
Fig. 4. Flexible HD videobronchoscopy. Upper row – primary investigation, lower row – consequent bronchoscopy with cryoextraction of foreign body.
Извлеченное из просвета бронха содержимое направлено на гистологическое исследование, где установлено, что инородное тело представляло фрагмент пневматизированной губчатой кости (наиболее вероятно, птичья кость).
После извлечения из бронха инородного тела пациенту продолжена противогрибковая терапия до ноября 2020 г. При контрольном обследовании через 4 мес отмечена клиническая положительная динамика в виде уменьшения кашля с его последующим нивелированием, ликвидация признаков вторичной артериальной гипертензии. По данным КТ ОГК практически полностью восстановлена зона консолидации легочной ткани, восстановлена проходимость бронхов справа.
Обсуждение
На сегодняшний день в мировой литературе встречаются единичные клинические наблюдения вторичных грибковых поражений бронхиального дерева, ассоциированных с аспирацией инородного тела [5–7]. Большинство представленных случаев объединяет наличие неспецифичных симптомов: длительного кашля, рентгенологической картины ателектаза сегмента или доли легкого, эндоскопической картины инфильтративного поражения бронхов.
Сложность дифференциальной диагностики, с точки зрения врача-эндоскописта, заключается в невозможности дифференцировать характер поражения (инфильтрации) на основании визуальной картины, так как грибковое поражение слизистой может мимикрировать под злокачественное (центральный рак) [8]. Именно это и демонстрирует представленное клиническое наблюдение: эндоскопически было выявлено пролиферативное поражение стенки бронха с некротическими изменениями, косвенные признаки поражения ВГЛУ, что в первую очередь ассоциировалось со злокачественным поражением.
Наиболее вероятно, в описываемом клиническом наблюдении у пациента возник приступ кашля после аспирации инородного тела во время приема пищи, которому он не придал значения, а выраженность клинической картины в отсроченном периоде определена развившимися вторичными осложнениями.
С клинической точки зрения трудности диагностики у данного пациента вызваны рядом причин: отсутствие в анамнезе указаний на аспирацию инородного тела; рентгенологическая и эндоскопическая картина, характерная для злокачественного поражения легкого, подозрение на злокачественную опухоль при исследовании пунктата ВГЛУ на одном из этапов диагностики. Все эти факторы сложились в звенья одной цепи, обрекая пациента на длительный и безуспешный поиск неопластического процесса. Тем не менее уже на этапе планирования бронхологического исследования в ФГБНУ ЦНИИТ высказано предположение о наличии инородного тела промежуточного бронха. В пользу такого предположения свидетельствовал ряд фактов: клинико-рентгенологическая картина, отсутствие атипичных клеток при многократных биопсиях слизистой. Наиболее весомым аргументом в пользу доброкачественного поражения являлось отсутствие достоверного прогрессирования процесса на протяжении более полутора лет, что никак не вписывалось в рамки злокачественного заболевания. Эндоскопически у пациента выявлено инфильтративное поражение слизистой бронха с экзофитными разрастаниями ткани (как выяснилось позже – грануляционной), некрозом, перибронхиальной компрессией в области изменений (имитировавшей смешанную форму роста центрального рака). Насторожила и выраженная контактная кровоточивость.
В пользу иных причин выявленных изменений свидетельствовало предполагаемое инородное тело в промежуточном бронхе [наиболее частая – правосторонняя локализация, связанная с анатомическими особенностями, – правый главный бронх является условным продолжением трахеи (отходит под меньшим углом) и имеет более широкий диаметр], отсутствие имплантационных метастазов в контралатеральном легком, несмотря на длительное течение болезни.
В анамнезе пациента отсутствовало указание на аспирацию инородного тела. Известно, что у взрослых инородное тело может выявляться случайно спустя годы после аспирации [9].
Следует отметить, что эндоскопическая диагностика инородных тел ТБД органического происхождения, как правило, весьма затруднительна в связи с крайне быстро развивающимися реактивными изменениями в виде грануляционных разрастаний и отека [10], что еще раз подчеркивает наше клиническое наблюдение. Визуализировать и извлечь инородное тело удалось только после проведения курса интенсивной противогрибковой терапии.
Важным для практики является то, что у пациентов с синдромом ателектаза и эндоскопической картиной инфильтративного поражения слизистой бронха в дифференциально-диагностический ряд следует включать вторичное инфекционное поражение на фоне длительного нахождения инородного тела [11, 12].
Заключение
Синдром ателектаза легочной ткани характеризуется спадением легочной ткани и потерей ее воздушности вследствие закрытия просвета бронха. Обтурация бронха может быть вызвана инородным телом, опухолью бронха, сдавлением бронха извне. КТ позволяет уточнить механизм возникновения бронхиальной окклюзии и ее протяженность. Диагноз и причина обструкции бронха подтверждаются проведением гибкой бронхоскопии.
У взрослых самая частая причина ателектаза легочной ткани – это новообразования, ввиду чего ателектаз и стеноз бронха наиболее часто ассоциируются у врачей с раком легкого. В то же время не стоит забывать про инородные тела бронхов, несмотря на то что данная патология наиболее характерна для детей. Диагностика инородного тела бронха у детей не вызывает больших проблем ввиду анамнестических данных, типичной клинической картины, наличия минимального временного интервала между аспирацией и бронхоскопией. Клиническая картина при наличии инородного тела бронха у взрослого не всегда настолько явно свидетельствует об аспирации, а с течением времени воспалительные изменения бронха и окружающих тканей не позволяют четко визуализировать и безопасно извлечь инородное тело бронха, как и в представленном клиническом наблюдении, где аспирированная кость обтурировала просвет нижнедолевого бронха. Лишь после проведения курса противогрибковой терапии удалось увидеть объект при бронхоскопии и выполнить криоэкстракцию. Длительность диагностического поиска причины ателектаза нижней доли правого легкого составила 15 мес. Потребовалось проведение различных видов бронхобиопсий, хирургического вмешательства для установления, что еще раз подчеркивает сложность дифференциальной диагностики ателектаза легкого у взрослого.
Раскрытие интересов. Авторы декларируют отсутствие явных и потенциальных конфликтов интересов, связанных с публикацией настоящей статьи.
Disclosure of interest. The authors declare that they have no competing interests.
Вклад авторов. Авторы декларируют соответствие своего авторства международным критериям ICMJE. Все авторы в равной степени участвовали в подготовке публикации: разработка концепции статьи, получение и анализ фактических данных, написание и редактирование текста статьи, проверка и утверждение текста статьи.
Authors’ contribution. The authors declare the compliance of their authorship according to the international ICMJE criteria. All authors made a substantial contribution to the conception of the work, acquisition, analysis, interpretation of data for the work, drafting and revising the work, final approval of the version to be published and agree to be accountable for all aspects of the work.
Источник финансирования. Авторы декларируют отсутствие внешнего финансирования для проведения исследования и публикации статьи.
Funding source. The authors declare that there is no external funding for the exploration and analysis work.
Информированное согласие на публикацию. Пациент подписал форму добровольного информированного согласия на публикацию медицинской информации и фотографий.
Consent for publication. Written consent was obtained from the patient for publication of relevant medical information and all of accompanying images within the manuscript.
Список сокращений
АБТ – антибактериальная терапия
ВГЛУ – внутригрудные лимфатические узлы
КТ – компьютерная томография
ОГК – органы грудной клетки
ТБД – трахеобронхиальное дерево
About the authors
Olga M. Gordeeva
Central Tuberculosis Research Institute
Author for correspondence.
Email: hobbetxe@mail.ru
ORCID iD: 0000-0002-7219-003X
канд. мед. наук, науч. сотр., зав. консультативным отд., врач-фтизиатр
Russian Federation, MoscowAnna D. Egorova
Central Tuberculosis Research Institute
Email: hobbetxe@mail.ru
ORCID iD: 0000-0003-0589-566X
мл. науч. сотр., врач-пульмонолог, врач-фтизиатр
Russian Federation, MoscowYana O. Chesalina
Central Tuberculosis Research Institute
Email: hobbetxe@mail.ru
ORCID iD: 0000-0003-1049-5994
мл. науч. сотр., врач-эндоскопист
Russian Federation, MoscowEvgeniy M. Gretcov
Central Tuberculosis Research Institute
Email: hobbetxe@mail.ru
ORCID iD: 0000-0002-2337-4692
врач-патологоанатом отд. патоморфологии, клеточной биологии и биохимии
Russian Federation, MoscowLyudmila A. Semenova
Central Tuberculosis Research Institute
Email: hobbetxe@mail.ru
ORCID iD: 0000-0002-1782-7763
канд. мед. наук, ст. науч. сотр. отд. патоморфологии, клеточной биологии и биохимии, зав. отд. патологической анатомии
Russian Federation, MoscowNatalia L. Karpina
Central Tuberculosis Research Institute
Email: hobbetxe@mail.ru
ORCID iD: 0000-0001-9337-3903
д-р мед. наук, рук. Центра диагностики и реабилитации заболеваний органов дыхания, зам. дир., врач-фтизиатр, пульмонолог
Russian Federation, MoscowIlya V. Sivokozov
Central Tuberculosis Research Institute
Email: hobbetxe@mail.ru
ORCID iD: 0000-0002-8170-3300
канд. мед. наук, зав. отд. эндоскопии Центра диагностики и реабилитации заболеваний органов дыхания, врач-эндоскопист
Russian Federation, MoscowReferences
- Синдромы при заболеваниях органов дыхания. Учебное пособие. Под общ. ред. Ю.В. Щукина. Самара: ООО «Научно-технический центр», 2018 [Sindromy pri zabolevaniiakh organov dykhaniia. Uchebnoe posobie. Pod obsch. red. IuV Shchukina. Samara, 2018 (in Russian)].
- Писанка В.В., Родин А.В., Стешиц А.С., Вишневский О.А. Длительно стоящее инородное тело среднедолевого бронха, симулировавшее опухоль. Эндоскопическая хирургия. 2020;26(2):39-43 [Pysanka VV, Rodin AV, Steshits AS, Vishnevsky OA. Long-standing foreign body of the middle lobe bronchus, simulating a tumor. Endoscopic Surgery. 2020;26(2):39-43 (in Russian)]. doi: 10.17116/endoskop20202602139
- Tseng HJ, Hanna TN, Shuaib W, et al. Imaging Foreign Bodies: Ingested, Aspirated, and Inserted. Ann Emerg Med. 2015;66:570-82.e575. doi: 10.1016/j.annemergmed.2015.07.499
- Lin L, Lv L, Wang Y, et al. The clinical features of foreign body aspiration into the lower airway in geriatric patients. Clin Interv Aging. 2014;9:1613-8. doi: 10.2147/CIA.S70924
- Jung SW, Kim MW, Cho SK, et al. A Case of Endobronchial Aspergilloma Associated with Foreign Body in Immunocompetent Patient without Underlying Lung Disease. Tuberc Respir Dis (Seoul). 2013;74(5):231-4. doi: 10.4046/trd.2013.74.5.231
- Huang D, Li B, Chu H, et al. Endobronchial aspergilloma: A case report and literature review. Exp Ther Med. 2017;14(1):547-54. doi: 10.3892/etm.2017.4540
- Ma JE, Yun EY, Kim YE, et al. Endobronchial aspergilloma: report of 10 cases and literature review. Yonsei Med J. 2011;52(5):787-92. doi: 10.3349/ymj.2011.52.5.787
- Kim YS, Suh JH, Kwak SM, et al. Foreign body-induced actinomycosis mimicking bronchogenic carcinoma. Korean J Intern Med. 2002;17(3):207-10. doi: 10.3904/kjim.2002.17.3.207
- Limper AH, Prakash UB. Tracheobronchial foreign bodies in adults. Ann Intern Med. 1990;112(8):604-9. doi: 10.7326/0003-4819-112-8-604
- Chouabe S, Perdu D, Deslée G, et al. Endobronchial actinomycosis associated with foreign body: four cases and a review of the literature. Chest. 2002;121(6):2069-72. doi: 10.1378/chest.121.6.2069
- Trisolini R, Dore R, Bertolini R, et al. Longstanding endobronchial foreign body. Diagn Ther Endosc. 1999;5(4):257-61. doi: 10.1155/DTE.5.257
- Watanabe H, Uruma T, Tazaki G. Tracheobronchial foreign body aspiration demonstrating serial bronchopulmonary changes on computed tomography. Iran Red Crescent Med J. 2014;16(5):e18199. doi: 10.5812/ircmj.18199
Supplementary files






