Drug-induced interstitial lung disease: approaches to diagnostics and treatment
- Authors: Anaev E.K.1
-
Affiliations:
- Pirogov Russian National Research Medical University
- Issue: Vol 92, No 3 (2020)
- Pages: 84-91
- Section: Original articles
- Submitted: 26.04.2020
- Published: 27.03.2020
- URL: https://ter-arkhiv.ru/0040-3660/article/view/33908
- DOI: https://doi.org/10.26442/00403660.2020.03.000399
- ID: 33908
Cite item
Full Text
Abstract
Drug-induced interstitial lung disease (D-ILD) can be caused by various drugs, including antibiotics, amiodarone, antitumor, rheumatological and non-steroidal anti-inflammatory drugs. D-ILD includes hypersensitivity reactions, organizing and non-specific interstitial pneumonia, eosinophilic lung diseases, diffuse alveolar damage and alveolar hypoventilation. To exclude other causes of pulmonary diseases, an assessment of the medical history, physical data and examination results, which may include chest X-ray/multispiral computed tomography (MSCT), lung function tests, and bronchoscopy with bronchoalveolar lavage, are necessary. Diagnosis of D-ILD is difficult due to the heterogeneity of clinical, radiological and histological data. The X-ray pathological phenotype of D-ILD is different; a specific MSCT pattern has not been identified. Treatment includes drug withdrawal and, in some cases, glucocorticoid therapy, although there are no prospective studies on their effect on the outcome of the disease. This article provides various drugs that cause ILD, approaches to their diagnosis and treatment.
Full Text
БАЛ – бронхоальвеолярный лаваж
БМАРП – болезнь-модифицирующие антиревматические препараты
ГК – глюкокортикоиды
ГП – гиперчувствительный пневмонит
ДАП – диффузное альвеолярное повреждение
ДСЛ – диффузионная способность легких
ИЗЛ – интерстициальное заболевание легких
КОП – криптогенная организующаяся пневмония
Л-ИЗЛ – лекарственно-индуцированное ИЗЛ
МСКТ – мультиспиральная компьютерная томография
НМРЛ – немелкоклеточный рак легких
НСИП – неспецифическая интерстициальная пневмония
ФЖЕЛ – форсированная жизненная емкость легких
ФНО – фактор некроза опухоли
KL-6 – гликопротеин Krebs von den Lungen-6
Распространенность интерстициального заболевания легких (ИЗЛ), связанного с медикаментозной терапией, растет. Прежде всего это связано с прогрессом в разработке новых лекарственных средств. Наиболее частыми причинами лекарственно-индуцированного ИЗЛ (Л-ИЗЛ) являются противоопухолевые препараты, амиодарон и антибиотики. В настоящее время более 450 препаратов связаны с паренхиматозными заболеваниями легких [1, 2].
Л-ИЗЛ характеризуется развитием лекарственно-индуцированного воспаления (альвеолита/пневмонита) и в конечном итоге фиброза легкого. Лекарственные препараты могут поражать все отделы легких, но чаще всего в патологический процесс вовлекается паренхима. Согласно классификации Американского торакального общества/ Европейского респираторного общества (ATS/ERS) Л-ИЗЛ является признанным подтипом диффузных заболеваний паренхимы легких [3], но клинические, рентгеноморфологические признаки заболевания редко патогномоничны, и его трудно отличить от других интерстициальных пневмоний. Кроме того, клинический фенотип, МСКТ- и гистопатологический паттерн значительно различаются между лекарственными средствами и между пациентами, принимающими один и тот же препарат. Следовательно, Л-ИЗЛ – диагноз исключения, что создает определенные сложности для клиницистов.
Цель статьи – обобщение текущих знаний о паренхиматозных заболеваниях легких, вызванных лекарственными средствами, подходы к их диагностике и лечению.
Несмотря на то, что Л-ИЗЛ различаются по своей патофизиологии, клиническим проявлениям и прогнозу, подходы к диагностике и лечению одинаковы. Диагностика Л-ИЗЛ осуществляется на основании характерных клинических, физиологических и рентгенологических данных. Важно выявить связь между появлением симптомов и воздействием лекарств, отсутствие другой более вероятной причины, например инфекции, острого респираторного дистресс-синдрома, радиационного поражения легких, прогрессирования основного заболевания. У пациента с Л-ИЗЛ наблюдаются улучшение клинического состояния после отмены подозреваемого лекарственного средства с терапией глюкокортикоидами (ГК) или без нее и, в некоторых случаях, ухудшение состояния при повторном назначении причинного препарата.
Новые препараты, индуцирующие Л-ИЗЛ, регулярно выявляются, лекарственные средства и паттерны заболеваний занесены в Международную базу данных Pneumotox (www.pneumotox.com), в которой сообщается более чем о 1400 лекарственных препаратах, процедурах или веществах, вызывающих респираторные проблемы. Тем не менее нет детальной общей картины заболеваемости, фенотипа и клинического течения Л-ИЗЛ.
Эпидемиология Л-ИЗЛ
Частота возникновения Л-ИЗЛ для отдельных препаратов варьировала от менее 1 до 60%. Согласно имеющимся данным заболеваемость Л-ИЗЛ в Великобритании в период с 1997 по 2008 г. составила 4,1 случая на 1 млн в год [4]. После этой публикации произошло значительное расширение спектра новых онкологических препаратов, используемых в практике, что привело к увеличению частоты Л-ИЗЛ (www.pneumotox.com). По данным недавно проведенного исследования, частота ИЗЛ составила 19,4 случая на 100 тыс. в год [5]. На долю Л-ИЗЛ приходилось 6,4% случаев, что предполагает 12,4 случая на 1 млн в год. В других исследованиях распространенность Л-ИЗЛ в популяциях диагностированных случаев ИЗЛ составила 2,6–5% [5–7].
Основные причинно-значимые лекарственные средства
Анализ ретроспективных исследований, в которых подробно изучалась частота ИЗЛ, ассоциированных с медикаментами, показал, что в большинстве исследований основной причиной Л-ИЗЛ были противоопухолевые лекарственные средства (23–51% случаев), болезнь-модифицирующие антиревматические препараты – БМАРП (6–72%), антибиотики (6–26%), нестероидные противовоспалительные средства (0–23%), психотропные препараты (0–9%) и антиаритмические средства (0–9%) [8–11]. В регистре ИЗЛ Франции наиболее частыми причинами Л-ИЗЛ значились амиодарон и нитрофурантоин [6].
Противоопухолевая терапия
Выявление причин Л-ИЗЛ в онкологии является сложной задачей, тем более при назначении препаратов в комбинированных схемах или в сочетании с лучевой терапией, которая может приводить к фиброзу легких. К наиболее частым противоопухолевым лекарственным средствам, вызывающим Л-ИЗЛ, относятся блеомицин, препараты, направленные на рецептор эпидермального фактора роста (EGFR), гемцитабин, ингибиторы белка рапамицина в клетках (mTOR – Mechanistic Target of Rapamycin Protein Inhibitors) и ингибиторы контрольных точек иммунного ответа. Метотрексат, используемый при лечении опухолевых и ревматологических заболеваний, также вызывает Л-ИЗЛ.
Блеомицин (Bleomycin)
Блеомицин, используемый в основном для лечения лимфомы Ходжкина и герминогенных опухолей, вызывает повреждение легких посредством иммуноопосредованного и прямого токсического действия [12]. Риск ИЗЛ составляет 6,8–21%, а уровень смертности достигает 48% [12–14]. Клинические проявления блеомицин-индуцированного повреждения легких сильно варьируют, причем болезнь может протекать бессимптомно. До 39% случаев выявляются только на рентгенограмме или МСКТ грудной клетки [13, 14]. Нарушения легочной функции встречаются часто и включают раннее снижение диффузионной способности легких (ДСЛ) по монооксиду углерода (DLCO) с последующим уменьшением форсированной жизненной емкости легких (ФЖЕЛ), что коррелирует с ухудшением симптомов заболевания [12, 13].
Л-ИЗЛ может возникнуть в любой период лечения. У пациентов с герминогенными опухолями, получавшими высокие дозы блеомицина, среднее время развития Л-ИЗЛ составило 4,2 мес от начала лечения. Кумулятивные дозы более 300 000 МЕ связаны с 3,5-кратным увеличением риска Л-ИЗЛ [14]. Также описаны редкие реакции по типу идиосинкразии на прием низких доз в начале курса лечения [12, 14].
Гемцитабин (Gemcitabine)
Гемцитабин используется для лечения опухолевых заболеваний, включая немелкоклеточный рак легких (НМРЛ), рак поджелудочной железы и рак молочной железы [8, 15]. Риск развития Л-ИЗЛ возрастает при комбинации его с другими препаратами, особенно блеомицином, эрлотинибом и таксанами [15–17], при этом заболеваемость составляет 1–20%. Смертность, как правило, низкая [15], за исключением тяжелых случаев, когда требуется госпитализация [18]. В отличие от блеомицина не было взаимосвязи между дозой и началом развития заболевания [15, 16].
В ретроспективном исследовании 25 924 пациентов, получавших гемцитабин, Л-ИЗЛ выявлено в 0,6% случаев. Медиана времени начала болезни составила 65 дней, а кумулятивная заболеваемость – 1,1, 1,5 и 1,9% через 3, 6 и 12 мес соответственно. Общие показатели заболеваемости были одинаковыми при монотерапии (1,7%) и комбинированной терапии (1,6%) [17].
Препараты, направленные на рецептор эпидермального фактора роста
EGFR-таргетные препараты включают низкомолекулярные ингибиторы тирозинкиназного рецептора (RTKI) и моноклональные антитела, используемые для лечения НМРЛ, рака молочной железы и колоректального рака [18, 19]. Заболеваемость Л-ИЗЛ при лечении гефитинибом и эрлотинибом составляет 1,2–1,6%, смертность достигает 22,8%. Л-ИЗЛ развивается в течение 4 нед от начала лечения [8, 19].
В недавнем постмаркетинговом исследовании частота Л-ИЗЛ при EGFR-таргетной терапии моноклональными антителами панитумумаб и цетуксимаб составила 1,3 и 1,2% соответственно с началом заболевания в среднем на 101 день [18]. В другом исследовании показано, что заболевание начиналось в среднем через 113 дней после введения первой дозы панитумумаба, причем в 28% случаев возникло после 6 мес терапии [20]. Примечательно, что многие пациенты также получали и другие препараты, имеющие риск развития Л-ИЗЛ. Смертность при Л-ИЗЛ, связанных с цетуксимабом и панитумумабом, составила 42 и 51% соответственно [8].
Ингибиторы mTOR (мишени рапамицина в клетках)
Ингибиторы mTOR используются преимущественно для лечения почечно-клеточного рака и нейроэндокринных опухолей, а также в качестве средств, подавляющих отторжение трансплантата [21, 22]. Сиролимус, темсиролимус и эверолимус ассоциированы с легочной токсичностью [22, 23]. Метаанализ 5 клинических исследований, включавших 2233 больных злокачественными опухолевыми заболеваниями, которые получали эверолимус, показал, что заболеваемость Л-ИЗЛ составляет 10,4%, не выявлено связи с продолжительностью лечения и видом опухоли [23].
Анализ МСКТ-данных после клинических исследований темсиролимуса и эверолимуса продемонстрировал, что частота рентгенологических изменений, характерных для Л-ИЗЛ, значительно выше, чем клинических (в группе эверолимус – 54% против 13,5%; в группе темсиролимус – 29% против 6%) [22]. Заболеваемость Л-ИЗЛ у реципиентов с трансплантацией органов варьировала от 2,8 до 12,7% [21].
Ингибиторы контрольных точек иммунного ответа (Immune Checkpoint Inhibitors)
Ингибиторы контрольных точек запрограммированной гибели клеток 1 (PD-1) и его лигандов (PD-L1 и PD-L2), а также антиген 4 цитотоксических Т-лимфоцитов (CTLA-4) относятся к новым классам препаратов, используемых при лечении метастатической меланомы, НМРЛ и лимфомы Ходжкина [24, 25]. Метаанализ клинических испытаний ингибиторов PD-1 и PD-L1 выявил частоту заболеваемости Л-ИЗЛ 3,6% для ингибиторов PD-1 (ниволумаб, пембролизумаб) и 1,1% для ингибиторов PD-L1 (авелумаб и дурвалумаб). Заболеваемость, степень тяжести и смертность от Л-ИЗЛ были выше у ингибиторов PD-1 по сравнению с PD-L1, при этом смертность составила 8%. Не выявлена связь с дозой препаратов или продолжительностью лечения [25].
В наблюдательном исследовании с участием 1826 больных опухолевыми заболеваниями, получавших ингибиторы контрольных точек, частота заболеваемости Л-ИЗЛ составила 3,5%, смертность – 9,4%. Время начала заболевания варьировало от 0,2 до 27,4 мес, причем 42% приходилось на первые 2 мес лечения [24]. При комбинированной терапии заболеваемость Л-ИЗЛ была выше по сравнению с монотерапией [26].
Препараты, применяемые в ревматологии
В ревматологии анализ Л-ИЗЛ затруднен из-за фоновой распространенности ИЗЛ, особенно ревматоидного артрита. Кроме того, многие БМАРП являются иммунодепрессантами и связаны с повышенным риском развития оппортунистической инфекции, что затрудняет дифференциальную диагностику обострения респираторных симптомов.
Метотрексат (Methotrexate)
Mетотрексат является одним из наиболее часто используемых препаратов в ревматологии, а также при лечении опухолевых заболеваний. Показано, что частота Л-ИЗЛ у пациентов с ревматоидным артритом, получавших низкие дозы метотрексата, составила 0,3–2,1% [27]. Два метаанализа сравнивали показатели Л-ИЗЛ при лечении комбинацией метотрексата с другими БМАРП больных ревматоидным артритом и воспалительными заболеваниями без ревматоидного артрита [27, 28]. При ревматоидном артрите частота метотрексат-индуцированного ИЗЛ составила 0,28%, а в группе больных, получающих БМАРП, не выявлено ни одного случая [27]. У пациентов с другими воспалительными заболеваниями, получавшими метотрексат, не отмечен риск развития Л-ИЗЛ [28].
Mетотрексат-индуцированное ИЗЛ имеет разное время и частоту возникновения, не зависит от дозы препарата [29]. В одном исследовании 48% случаев развились в течение 32 нед после начала лечения, а в другом – среднее время начала Л-ИЗЛ составило 23 дня. Описаны случаи Л-ИЗЛ, возникшие в период до 4 лет после начала лечения или после прекращения лечения. Л-ИЗЛ рецидивирует примерно в 1/3 случаев и имеет высокую смертность (10–30%) [30].
Лефлуномид (Leflunomide)
В наблюдательном исследовании с участием 5045 пациентов, получавших лефлуномид, новое ИЗЛ выявлено в 1,2%, а ранее имевшееся ИЗЛ ухудшилось в 5,7% случаев. В другом исследовании большинство пациентов оценены через 20 нед лечения. В этих исследованиях смертность составила 19 и 41%. В исследовании «случай–контроль» продемонстрировано значимое увеличение заболеваемости на лефлуномид. Тем не менее использование высокой дозы и низкая масса тела были в значительной степени связаны с Л-ИЗЛ, что указывает на токсичность лефлуномида [31]. Ранее сообщалось, что наличие ИЗЛ в анамнезе, курение и предшествующий прием метотрексата увеличивали частоту Л-ИЗЛ на лефлуномид. После рекомендаций не принимать лефлуномид и проявлять осторожность у пациентов с низкой массой тела или ИЗЛ в анамнезе частота ИЗЛ снизилась в 2,3 раза [8]. Метаанализ клинических исследований не обнаружил увеличения частоты побочных реакций со стороны легких при лечении лефлуномидом [31, 32].
Биологические БМАРП
Опубликованы многочисленные случаи подозрения на Л-ИЗЛ, связанные с препаратами фактора некроза опухолей (ФНО), хотя убедительных доказательств причинно-следственной связи не получено. Данные постмаркетингового наблюдения свидетельствуют о частоте заболеваемости 0,6% для новых или прогрессирующих ИЗЛ у пациентов, получавших моноклональные антитела к ФНО [33]. В когортных исследованиях не выявлено различий в частоте развития ИЗЛ между пациентами, получавшими анти-ФНО-терапию и другие виды БМАРП, однако сравнительные исследования не проводились [34].
В обзоре опубликован отчет о 29% смертельных случаев в группе пациентов с Л-ИЗЛ, получавших анти-ФНО-препараты, причем 70% смертей произошло в течение 5 нед после появления симптомов. Самая высокая смертность была у пожилых пациентов с ИЗЛ в анамнезе и больных, получающих иммуносупрессивную терапию. В систематических обзорах выявлены случаи Л-ИЗЛ, связанного с другими биологическими БМАРП, включая тоцилизумаб (ингибитор интерлейкина-6) и ритуксимаб [33, 35]. Другие обзоры опубликовали единичные случаи ритуксимаб-индуцированного ИЗЛ. В большинстве случаев это были пациенты с онкологическими заболеваниями с острой или подострой формой ИЗЛ во время 4-го цикла лечения. Летальность составила 18–37,5% [35, 36].
Антибактериальная терапия
Нитрофурантоин обычно используется для лечения и профилактики инфекций мочевыводящих путей. На Л-ИЗЛ приходится 16–48% побочных эффектов, связанных с нитрофурантоином. Также в исследованиях регистра сообщалось о 447 случаях Л-ИЗЛ, связанных с данным препаратом, у 90% пациентов были острые реакции со стороны легких. Частота госпитализации составила 75%, а смертность пациентов с острыми реакциями и хронической интерстициальной пневмонией – 0,5 и 8% соответственно [37].
Реакция гиперчувствительности может возникнуть в первые дни лечения или в течение нескольких часов, если ранее имел место прием нитрофурантоина. Хроническая интерстициальная пневмония является более редким проявлением, имитирующим легочный фиброз, и в основном встречается у пациентов, длительно получающих препарат с профилактической целью [37]. В исследовании «случай–контроль» сравнивалась частота возникновения ИЗЛ на нитрофурантоин и другие антибактериальные препараты [38]. В целом отношение риска Л-ИЗЛ не было увеличено для нитрофурантоина. Абсолютный риск был выше при длительном приеме препарата по сравнению с кратковременной терапией, а также у пожилых пациентов.
Даптомицин, применяемый при лечении тяжелых инфекций, связан с риском развития эозинофильного Л-ИЗЛ. В ретроспективном исследовании 102 пациентов, получавших даптомицин, Л-ИЗЛ с эозинофилией развилось в 2,9% случаев [38]. Обзор базы данных FDA (Управление по контролю пищевых продуктов и лекарств в США) выявил 7 подтвержденных, 23 вероятных и 38 возможных случаев даптомицин-индуцированной эозинофильной пневмонии в период между 2004 и 2010 гг. Следует отметить, что в этом наблюдении все пациенты выздоровели [39].
Амиодарон
Амиодарон является одной из наиболее частых причин Л-ИЗЛ в регистрах [6] с зарегистрированной заболеваемостью 1,2–8,8% и смертностью 3–37% [40, 41]. В ретроспективном исследовании 500 пациентов, получавших амиодарон, у 8% выявлено Л-ИЗЛ, больные наблюдались в среднем 4 года. Кумулятивная заболеваемость через 1, 3 и 5 лет составила 4,2, 7,8 и 10,6% соответственно, с предполагаемой годичной заболеваемостью 2,1%. Чаще всего диагностирована подострая форма Л-ИЗЛ [42]. В другом исследовании, в котором оценивались 90-дневные результаты у пациентов, госпитализированных с амиодарон-ассоциированным ИЗЛ, сообщалось о смертности 37% с пребыванием в стационаре в среднем 17 дней. Клиническое выздоровление наступало в среднем через 36 мес, однако в 66% случаев развивался фиброз [40].
Кумулятивная доза является важным фактором риска для амиодарон-ассоциированного ИЗЛ, и комбинация высоких доз в течение длительного периода более тесно связана с Л-ИЗЛ, чем оба фактора по отдельности [8].
Факторы риска Л-ИЗЛ
Факторы риска развития Л-ИЗЛ варьируют в зависимости от формы заболевания, дозы препарата и популяции больных. Определенные факторы риска характерны для разных лекарственных средств.
Возраст. Пожилой возраст определен как наиболее значимый фактор риска развития Л-ИЗЛ при лечении блеомицином, гемцитабином, EGFR-таргетными препаратами, лефлуномидом, метотрексатом, амиодароном и нитрофурантоином [14, 17, 18, 29, 31, 37]. Для мониторинга Л-ИЗЛ у пациентов старше 60 лет при лечении блеомицином рекомендуется снижение дозы вместе с еженедельной рентгенографией грудной клетки и тщательным наблюдением после завершения терапии. Не обнаружено связи с возрастом при лечении ингибиторами mTOR [25].
Заболевание легких в анамнезе. Наличие ИЗЛ или идиопатического легочного фиброза у пациента является независимым фактором риска развития Л-ИЗЛ на прием различных препаратов [22, 33, 43, 44]. Например, ИЗЛ в анамнезе у пациентов с НМРЛ было связано с повышением риска развития Л-ИЗЛ в 3,2 раза [19]. Повышенный риск Л-ИЗЛ наблюдается у пациентов с хронической обструктивной болезнью легких, бронхоэктазией и асбестозом [43, 45].
Курение. Курильщики имеют риск развития Л-ИЗЛ при лечении гемцитабином, EGFR-препаратами и метотрексатом [18, 29, 45].
Доза препарата. Связь между дозой препарата и заболеваемостью Л-ИЗЛ выявлена при лечении блеомицином, амиодароном и нитрофурантоином. Хотя в других исследованиях получены противоречивые результаты [21, 22].
Основные характеристики заболевания. Тяжелое состояние и прогрессирующие или метастатические стадии опухолевых заболеваний являются независимыми факторами риска развития Л-ИЗЛ [17, 18, 44]. В постмаркетинговом исследовании показан более высокий риск развития Л-ИЗЛ у пациентов с НМРЛ, получавших гемцитабин, по сравнению с больными, которые получали этот препарат от других видов рака [18]. При ревматоидном артрите риск метотрексат-индуцированного ИЗЛ был повышен у пациентов с высокими концентрациями маркеров воспаления, низким альбумином и внесуставными проявлениями [33].
Пол. Мужской пол отмечен как фактор риска Л-ИЗЛ при лечении ингибиторами EFGR, пеметрекседом, метотрексатом и амиодароном [18, 29, 43].
Другие методы лечения. В 2 исследованиях (в одном пациенты получали эрлотиниб, в другом – ингибиторы контрольных точек иммунного ответа) обнаружено, что повторное лечение одним или другим препаратом из этого класса несет меньший риск развития Л-ИЗЛ [19, 25]. Риск развития лекарственно-ассоциированного ИЗЛ повышен у пациентов с раком легкого после лучевой терапии [19]. При ревматоидном артрите предшествующее лечение метотрексатом увеличивало риск развития лефлуномид-индуцированного ИЗЛ, а предшествующая БМАРП-терапия имела высокий риск развития ИЗЛ на метотрексат [29].
Другие факторы риска. Другие потенциальные факторы риска Л-ИЗЛ включают генетическую предрасположенность, злоупотребление алкоголем, почечную недостаточность и сахарный диабет [15, 19, 29]. Показано, что некоторые аллельные варианты HLA связаны с Л-ИЗЛ после комбинированной терапии эрлотинибом и гемцитабином [46]. Л-ИЗЛ развивалось чаще при назначении сиролимуса на более поздней стадии отторжения трансплантата или нарушении функции почек [47].
Диагностика Л-ИЗЛ
Рентгенологическое исследование
Односторонние или, чаще, двусторонние легочные инфильтраты на рентгенограмме грудной клетки могут быть первым признаком Л-ИЗЛ. Однако в 25–75% случаев при клиническом подозрении на Л-ИЗЛ рентгенограммы грудной клетки были в норме [8].
МСКТ обладает высокой чувствительностью при выявлении особенностей ИЗЛ и является предпочтительным методом визуализации [22]. Основными ограничениями считаются воздействие ионизирующей радиации (проблема сводится к минимуму современными сканерами) и использование итеративной реконструкции. До настоящего времени оценка МСКТ не была специфичной для Л-ИЗЛ, так как многочисленные паттерны интерстициальных изменений обычно наблюдаются при других ИЗЛ.
Исследования, посвященные оценке МСКТ при Л-ИЗЛ, ограничены противоречивой терминологией, существовавшей до 2013 г. [3]. Термин «хроническая интерстициальная пневмония» был общим в более ранних исследованиях [10, 11], затем использовался с ограничением из-за плохого соответствия между рентгенологическими и патологическими данными [11, 48]. В нескольких исследованиях сравнивались гистопатологические и МСКТ-данные при Л-ИЗЛ [11, 36, 48]. Проспективное исследование 42 пациентов с Л-ИЗЛ, которым брали трансбронхиальную биопсию или бронхоальвеолярный лаваж (БАЛ), показало диагностическое совпадение в 67% случаев [11]. МСКТ-картина диффузного альвеолярного повреждения (ДАП) в высокой степени согласуется с его гистопатологическими признаками [3] и сопровождается высокой смертностью [18, 20, 43, 49, 50].
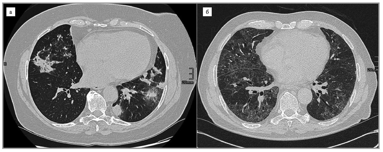
Л-ИЗЛ чаще всего проявляется как затемнения по типу «матового стекла» с консолидацией или без нее [8, 40, 51] и имеет базальное, периферическое и билатеральное распределение, часто затрагивая много долей [52]. Гетерогенность описания затрудняет установление истинной частоты каждого паттерна. Чаще всего встречаются изменения, напоминающие криптогенную организующуюся пневмонию (КОП) и неспецифическую интерстициальную пневмонию – НСИП (рис. 1), реже – гиперчувствительный пневмонит (ГП)-подобные изменения [11, 20, 50, 52].
Рис. 1. МСКТ-паттерны Л-ИЗЛ: а – КОП; б – НСИП.
Паттерн НСИП чаще встречается у пациентов с Л-ИЗЛ, вызванным химиотерапией [9]. Ретикулярные изменения и уменьшение объема легких выявляются реже [36]. В современной классификации это соответствует фиброзирующей НСИП или обычной интерстициальной пневмонии [3]. Реже обнаруживаются внутригрудная лимфаденопатия и плевральный выпот [53]. Проявления, напоминающие саркоидоз, описаны при лечении интерфероном α [11]. Также при Л-ИЗЛ может встречаться другой паттерн затемнения по типу «матового стекла» с утолщением междольковых перегородок (симптом «сумасшедшей исчерченности»), имеющий низкие чувствительность и специфичность [53].
Качественные характеристики МСКТ не являются специфичными для Л-ИЗЛ, так как другие причины подобных рентгенологических паттернов, такие как атипичные инфекции (особенно у пациентов с ослабленным иммунитетом) или ИЗЛ, связанные с заболеваниями соединительной ткани, могут затруднять интерпретацию [22]. Кроме того, рентгенологические паттерны ИЗЛ, вызванного одним препаратом, сильно варьируют (например, паттерны НСИП, ДАП и КОП наблюдаются при ИЗЛ, индуцированной амиодароном) [17], и, наоборот, один и тот же паттерн может быть характерным для других препаратов (например, КОП-подобный паттерн выявляется у пациентов, получающих амиодарон, RTKI и ингибиторы иммунных контрольных точек) [20, 24, 41].
Легочная функция
Оценка функции легких важна при подозрении на Л-ИЗЛ, но, как и МСКТ, она не обладает высокой специфичностью. Нарушения легочной функции могут варьировать от обструктивных нарушений, вызванных бронхоспазмом или облитерирующим бронхиолитом, до тяжелых нарушений ДСЛ вследствие легочного фиброза. Большинство препаратов вызывает рестриктивные нарушения легочной вентиляции с уменьшением легочных объемов и снижением DLCO [54].
Снижение ДСЛ является предсимптомной находкой при Л-ИЗЛ, а изменения ФЖЕЛ коррелируют с клиническим прогрессированием у пациентов, получающих блеомицин. При обследовании пациентов с подозрением на блеомицин-индуцированное ИЗЛ изменения легочной функции выявлены только в 22% случаев [12]. В другом исследовании оценивалась диагностическая значимость изменения DLCO у пациентов, получавших амиодарон. Чувствительность составила 76, 68 и 59% при снижении DLCO на 10, 15 и 20% соответственно [8]. В исследовании нитрофурантоин-индуцированного Л-ИЗЛ все пациенты имели нарушения DLCO, однако снижение ФЖЕЛ выявлено лишь в 12% случаев [54].
Бронхоальвеолярный лаваж
Бронхоскопия с БАЛ – инвазивный метод, который может помочь в диагностике и дифференциальной диагностике инфильтративных заболеваний легких. Анализ БАЛ в сочетании с клиническими и рентгенологическими данными позволяет установить диагноз [51]. Результаты дифференцировки клеток БАЛ с лимфоцитарным (>15%), нейтрофильным (>3%), эозинофильным (>2%) или смешанным клеточным паттерном также могут использоваться в диагностике [50, 55], хотя не являются специфическими для Л-ИЗЛ, так как подобная картина может наблюдаться при воспалительных или инфекционных заболеваниях легких [51].
Клеточный состав БАЛ при различных ИЗЛ [51] | |
Нейтрофильный | Идиопатический легочный фиброз, острый респираторный дистресс-синдром, коллагенозы, асбестоз, гранулематоз с полиангиитом |
Эозинофильный | Аллергический бронхолегочный аспергиллез, эозинофильный гранулематоз с полиангиитом, эозинофильные пневмонии, идиопатический гиперэозинофильный синдром |
Лимфоцитарный | Саркоидоз, бериллиоз, ГП, силикоз, болезнь Крона |
Смешанно-клеточный | КОП, коллагенозы, НСИП |
В таблице приведены типичные результаты БАЛ при Л-ИЗЛ, вызванных лекарственными препаратами. Например, при ГП анализ БАЛ характеризуется лимфоцитозом, низким соотношением CD4 к CD8, иногда увеличением нейтрофилов, хотя это неспецифично для Л-ИЗЛ [55, 56]. Другие данные включают такие клеточные нарушения, как увеличение ядер и гиперхромазия, липидные включения и гемосидериннагруженные макрофаги [11]. Наличие реактивных пневмоцитов II типа также описано в тяжелых случаях Л-ИЗЛ [8].
Обнаружение оппортунистической инфекции в БАЛ помогает при дифференциальной диагностике большинства Л-ИЗЛ. В некоторых исследованиях это привело к пересмотру диагноза в случаях с подозрением на Л-ИЗЛ. В исследовании, включавшем 26 пациентов, которые получали эверолимус, впоследствии диагностирован Pneumocystis jiroveci в 46% случаев [21]. В настоящее время основная роль БАЛ состоит в исключении других причин ИЗЛ, особенно инфекции.
Биопсия легких
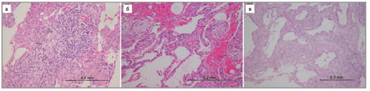
Лекарственные препараты могут вызывать практически все гистопатологические паттерны интерстициальной пневмонии, включая ГП, КОП, НСИП (см. рис. 2 на цветной вклейке), ДАП, эозинофильную пневмонию, облитерирующий бронхиолит, кровоизлияние и гранулематозный пневмонит [11, 20, 36, 50, 51]. Большинство препаратов сопоставимого класса может сопровождаться одинаковым гистопатологическим поражением легких, что указывает на общий механизм. Однако некоторые лекарства способны вызывать более одного паттерна гистопатологического поражения у одного и того же пациента. Эти реакции могут проявляться остро, подостро или хронически.
Рис. 2 Характерные гистологические паттерны Л-ИЗЛ: а-ГП; б-КОП; в-НСИП
Роль биопсии легкого ограничена небольшими исследованиями. Опубликованы все гистопатологические паттерны, но ни один из них не является патогномоничным для Л-ИЗЛ [11]. Поэтому существует ограниченное количество доказательств для рутинного использования биопсии в диагностике Л-ИЗЛ. Как и БАЛ, она может быть проведена в диагностически сложных случаях и для исключения других причин ИЗЛ.
Биомаркеры
Krebs von den Lungen-6 (KL-6) представляет собой муциноподобный гликопротеин, секретируемый альвеолярными пневмоцитами II типа и эпителиальными клетками бронхов в ответ на повреждение и регенерацию при ИЗЛ. В проспективном исследовании у 53% пациентов с Л-ИЗЛ наблюдалось повышение уровня KL-6, что коррелировало с паттерном ДАП и более обширным поражением легких [10]. Динамическое изменение уровня KL-6 коррелировало с клиническим течением заболевания. Во втором исследовании сообщалось о прогностической связи между отношением KL-6 к сиалилу стадиеспецифического эмбрионального антигена-1 (SSEA-1) и последующим Л-ИЗЛ у пациентов с раком легкого, получающих химиотерапию [49]. Однако специфичность KL-6 при Л-ИЗЛ не установлена. Другие биомаркеры, включая эозинофилию периферической крови и высокие уровни маркеров воспаления, неспецифичны и не имеют диагностической ценности при Л-ИЗЛ.
Лечение Л-ИЗЛ
Данные об эффективности ГК при лечении Л-ИЗЛ различаются. Из 75 пациентов с опухолевыми заболеваниями и иринотекан-индуцированным ИЗЛ, получавших ГК, выздоровление зафиксировано в 61% случаев. Из 10 пациентов с Л-ИЗЛ на пеметрексед, получавших ГК, 5 человек ответили на лечение, 4 – не ответили, 1 – умер [43]. В другом исследовании сообщили о 100% выздоровлении после прекращения приема препаратов и терапии ГК 6 пациентов с Л-ИЗЛ, получавших комбинированную терапию гемцитабином и доцетакселом [8]. При анализе Л-ИЗЛ вследствие разных причин 62% пациентов получали ГК, а остальные 38% выздоровели без поддерживающей терапии ГК [9]. Ретроспективный характер этих исследований и отсутствие четких критериев для назначения ГК означают, что данные препараты в основном используются у пациентов с тяжелыми заболеваниями и паттерном ДАП.
Дозы ГК варьировали в широких пределах и включали высокие дозы перорального и внутривенного метилпреднизолона, при этом дозировка и длительность отчасти определялись рентгенологической картиной [57]. K. Takatani и соавт. сообщили о средней кумулятивной дозе 5240 мг преднизолона для ДАП по сравнению с 2722 мг для КОП, 415 мг для ГП и 264 мг для НСИП [50]. Слабые подтверждающие данные о роли ГК предполагаются повышенным риском рецидива Л-ИЗЛ после прекращения приема или ранней отмены ГК (в течение 3 мес после начала заболевания) [40]. Преимущества высоких дозировок ГК не установлены.
Паттерн ДАП имеет худший прогноз. В одном исследовании ни один из пациентов с ДАП не ответил на лечение ГК, и общая смертность составила 37,5%. Однако есть данные об улучшении МСКТ-паттерна на фоне ГК-терапии: 75% при КОП, 45,8% – НСИП и 36,4% – ГП [9].
Несмотря на то, что ГК-терапия использовалась во многих исследованиях, в настоящее время нет доказательств, на основании которых можно рекомендовать использование ГК при Л-ИЗЛ. Следует отметить, что терапия ГК рекомендуется у пациентов с тяжелым поражением, с режимами дозирования по усмотрению лечащего врача. Для разработки рекомендаций по лечению необходимы дальнейшие исследования.
Прогноз
Прогноз Л-ИЗЛ варьирует между препаратами и исследованиями. Полное выздоровление возможно после снижения дозы, отмены препарата и/или одновременном использовании ГК [19, 22, 36]. Тем не менее у большей части пациентов с Л-ИЗЛ не бывает улучшения или наблюдается прогрессирующее течение заболевания [16, 19].
Смертность от Л-ИЗЛ часто обусловлена дыхательной недостаточностью, полиорганной недостаточностью, прогрессированием основного заболевания или неблагоприятными эффектами терапии ГК. У пациентов с онкологическими заболеваниями смертность колеблется от 14 до 51% [13, 18, 19, 40, 45], в то время как у неонкологических больных она варьирует от 0 до 41% [15, 30, 58].
Острые и тяжелые проявления являются предикторами смертности. В частности, потребность в искусственной вентиляции легких связана со смертностью более 60% [59]. Быстрое развитие симптомов, начальная тяжесть заболевания и гипоксемия в момент выявления болезни также предсказывают высокую смертность [40]. Большая степень повреждения легких и гомогенный паттерн при МСКТ связаны с более высокой смертностью у пациентов, получавших амиодарон [58]. При ДАП-паттерне смертность составляет 40–83% [18, 19, 48]. Следует отметить, что при диффузных затемнениях по типу «матового стекла» часто наблюдается полное восстановление МСКТ-картины [43].
Заключение
В настоящее время известно более 450 лекарственных препаратов, которые вызывают ИЗЛ. Однако нет единого диагностического подхода к обследованию пациентов с подозрением на Л-ИЗЛ. Клинические и рентгенологические особенности Л-ИЗЛ часто трудно отличить от других причин ИЗЛ (например, инфекции, повреждения легких при злокачественных новообразованиях и заболеваниях соединительной ткани), и нет характерных клинико-рентгенологических показателей. Важное значение имеет оценка корреляций клинических и лабораторных данных и рентгенологической картины. МСКТ-визуализация играет важную роль в выявлении изменений в легких, однако не существует рентгенологических паттернов, специфичных для Л-ИЗЛ. Несмотря на то, что БАЛ и биопсия легких не считаются патогномоничными методами выявления лекарственной токсичности, они позволяют исключить ИЗЛ и инфекцию, выявить характер повреждения паренхимы легкого. Необходимы дальнейшие клинические и наблюдательные исследования, поиск и валидация биомаркеров для раннего выявления Л-ИЗЛ и дифференциации от других причин. Для оптимального ведения пациентов в будущем необходима разработка доказательной базы лечения Л-ИЗЛ, в том числе клинические испытания эффективности и оптимального дозирования ГК.
About the authors
E. Kh. Anaev
Pirogov Russian National Research Medical University
Author for correspondence.
Email: el_anaev@hotmail.com
ORCID iD: 0000-0003-3672-9242
д.м.н., проф. каф. пульмонологии фак-та дополнительного профессионального образования
Russian Federation, MoscowReferences
- Schreiber J. Drug-induced lung diseases. Dtsch med Wochenschr. 2011;136(13):631-4. doi: 10.1055/s-0031-1274553
- Camus P, Bonniaud P, Fanton A, et al. Drug-induced and iatrogenic infiltrative lung disease. Clin Chest Med. 2004 Sep;25(3):479-519. doi: 10.1016/j.ccm.2004.05.006
- Travis WD, Costabel U, Hansell DM, et al. An official American Thoracic Society/European Respiratory Society statement: Update of the international multidisciplinary classification of the idiopathic interstitial pneumonias. Am J Respir Crit Care Med. 2013 Sep 15;188(6):733-48. doi: 10.1164/rccm.201308-1483ST
- Amar RK, Jick SS, Rosenberg D, et al. Drug-/radiation-induced interstitial lung disease in the United Kingdom general population: Incidence, all-cause mortality and characteristics at diagnosis. Respirology. 2012 Jul;17(5):861-8. doi: 10.1111/j.1440-1843.2012.02187.x
- Duchemann B, Annesi-Maesano I, de Jacobe NC, et al. Prevalence and incidence of interstitial lung diseases in a multi-ethnic county of Greater Paris. Eur Respir J. 2017 Aug 3;50(2). pii: 1602419. doi: 10.1183/13993003.02419-2016
- Roelandt M, Demedts M, Callebaut W, et al. Epidemiology of interstitial lung disease (ILD) in Flanders: Registration by pneumologists in 1992–1994. Working group on ILD, VRGT. Vereniging voor Respiratoire Gezondheidszorg en Tuberculosebestrijding. Acta Clin Belg. 1995;50(5):260-8. doi: 10.1080/17843286.1995.11718459
- Hyldgaard C, Hilberg O, Muller A, Bendstrup E. A cohort study of interstitial lung diseases in central Denmark. Respir Med. 2014 May;108(5):793-9. doi: 10.1016/j.rmed.2013.09.002
- Skeoch S, Weatherley N, Swift AJ, et al. Drug-Induced Interstitial Lung Disease: A Systematic Review. J Clin Med. 2018 Oct 15;7(10). pii: E356. doi: 10.3390/jcm7100356
- Kakugawa T, Yokota S, Ishimatsu Y, et al. Serum heat shock protein 47 levels in patients with drug-induced lung disease. Respir Res. 2013 Nov 20;14:133. doi: 10.1186/1465-9921-14-133
- Ohnishi H, Yokoyama A, Yasuhara Y, et al. Circulating KL-6 levels in patients with drug induced pneumonitis. Thorax. 2003 Oct;58(10):872-5. doi: 10.1136/thorax.58.10.872
- Piciucchi S, Romagnoli M, Chilosi M, et al. Prospective evaluation of drug-induced lung toxicity with high-resolution CT and transbronchial biopsy. Radiol Med. 2011 Mar;116(2):246-63. doi: 10.1007/s11547-010-0608-y
- Blum RH, Carter SK, Agre K. A clinical review of bleomycin – A new antineoplastic agent. Cancer. 1973 Apr;31(4):903-14. doi: 10.1002/1097-0142(197304)31:4<903::aid-cncr2820310422>3.0.co; 2-n
- Stamatoullas A, Brice P, Bouabdallah R, et al. Outcome of patients older than 60 years with classical Hodgkin lymphoma treated with front line ABVD chemotherapy: Frequent pulmonary events suggest limiting the use of bleomycin in the elderly. Br J Haematol. 2015 Jul;170(2):179-84. doi: 10.1111/bjh.13419
- O’Sullivan JM, Huddart RA, Norman AR, et al. Predicting the risk of bleomycin lung toxicity in patients with germ-cell tumours. Ann Oncol. 2003 Jan;14:91-6. doi: 10.1093/annonc/mdg020
- Sahin IH, Geyer AI, Kelly DW, O’Reilly EM. Gemcitabine-Related Pneumonitis in Pancreas Adenocarcinoma – An Infrequent Event: Elucidation of Risk Factors and Management Implications. Clin Colorectal Cancer. 2016 Mar;15(1):24-31. doi: 10.1016/j.clcc.2015.08.003
- Kouroussis C, Mavroudis D, Kakolyris S, et al. High incidence of pulmonary toxicity of weekly docetaxel and gemcitabine in patients with non-small cell lung cancer: Results of a dose-finding study. Lung Cancer. 2004 Jun;44:363-8. doi: 10.1016/j.lungcan.2003.12.004
- Hamada T, Yasunaga H, Nakai Y, et al. Interstitial lung disease associated with gemcitabine: A Japanese retrospective cohort study. Respirology. 2016 Feb;21(2):338-43. doi: 10.1111/resp.12665
- Osawa M, Kudoh S, Sakai F, et al. Clinical features and risk factors of panitumumab-induced interstitial lung disease: A postmarketing all-case surveillance study. Int J Clin Oncol. 2015 Dec;20(6):1063-71. doi: 10.1007/s10147-015-0834-3
- Gemma A, Kudoh S, Ando M, et al. Final safety and efficacy of erlotinib in the phase 4 POLARSTAR surveillance study of 10,708 Japanese patients with non-small-cell lung cancer. Cancer Sci. 2014 Dec;105(12):1584-90. doi: 10.1111/cas.12550
- Boku N, Sugihara K, Kitagawa Y, et al. Panitumumab in Japanese patients with unresectable colorectal cancer: A post-marketing surveillance study of 3085 patients. Jpn J Clin Oncol. 2014 Mar;44(3):214-23. doi: 10.1093/jjco/hyt196
- Solazzo A, Botta C, Nava F, et al. Interstitial Lung Disease After Kidney Transplantation and the Role of Everolimus. Transplant Proc. 2016 Mar;48(2):349-51. doi: 10.1016/j.transproceed.2015.12.039
- White DA, Camus P, Endo M, et al. Noninfectious pneumonitis after everolimus therapy for advanced renal cell carcinoma. Am J Respir Crit Care Med. 2010 Aug 1;182(3):396-403. doi: 10.1164/rccm.200911-1720OC
- Iacovelli R, Palazzo A, Mezi S, et al. Incidence and risk of pulmonary toxicity in patients treated with mTOR inhibitors for malignancy. A meta-analysis of published trials. Acta Oncol. 2012 Sep;51(7):873-9. doi: 10.3109/0284186X.2012.705019
- Delaunay M, Cadranel J, Lusque A, et al. Immune-checkpoint inhibitors associated with interstitial lung disease in cancer patients. Eur Respir J. 2017 Aug 10;50(2). pii: 1700050. doi: 10.1183/13993003.00050-2017
- Khunger M, Rakshit S, Pasupuleti V, et al. Incidence of Pneumonitis with Use of Programmed Death 1 and Programmed Death-Ligand 1 Inhibitors in Non-Small Cell Lung Cancer:A Systematic Review and Meta-Analysis of Trials. Chest. 2017 Aug;152(2):271-81. doi: 10.1016/j.chest.2017.04.177
- Wolchok JD, Chiarion-Sileni V, Gonzalez R, et al. Overall Survival with Combined Nivolumab and Ipilimumab in Advanced Melanoma. N Engl J Med. 2017 Oct 5;377(14):1345-56. doi: 10.1056/NEJMoa1709684
- Conway R, Low C, Coughlan RJ, et al. Methotrexate and lung disease in rheumatoid arthritis:A meta-analysis of randomized controlled trials. Arthritis Rheumatol. 2014 Apr;66(4):803-12. doi: 10.1002/art.38322
- Conway R, Low C, Coughlan RJ, et al. Methotrexate use and risk of lung disease in psoriasis, psoriatic arthritis, and inflammatory bowel disease: Systematic literature review and meta-analysis of randomised controlled trials. BMJ. 2015 Mar 13;350:h1269. doi: 10.1136/bmj.h1269
- Alarcon GS, Kremer JM, Macaluso M, et al. Risk factors for methotrexate-induced lung injury in patients with rheumatoid arthritis. A multicenter, case-control study. Methotrexate-Lung Study Group. Ann Intern Med. 1997 Sep 1;127(5):356-64. doi: 10.7326/0003-4819-127-5-199709010-00003
- Imokawa S, Colby TV, Leslie KO, Helmers RA. Methotrexate pneumonitis: Review of the literature and histopathological findings in nine patients. Eur Respir J. 2000 Feb;15(2):373-81. doi: 10.1034/j.1399-3003.2000.15b25.x
- Sawada T, Inokuma S, Sato T, et al. On Behalf of the Study Committee for Leflunomide-induced Lung Injury, Japan College of Rheumatology. Leflunomide-induced interstitial lung disease: Prevalence and risk factors in Japanese patients with rheumatoid arthritis. Rheumatology (Oxford). 2009 Oct;48(10):1265-8. doi: 10.1093/rheumatology/kep227
- Conway R, Low C, Coughlan RJ, et al. Leflunomide Use and Risk of Lung Disease in Rheumatoid Arthritis: A Systematic Literature Review and Metaanalysis of Randomized Controlled Trials. J Rheumatol. 2016 May;43(5):855-60. doi: 10.3899/jrheum.150674
- Roubille C, Haraoui B. Interstitial lung diseases induced or exacerbated by DMARDS and biologic agents in rheumatoid arthritis: A systematic literature review. Semin Arthritis Rheum. 2014 Apr;43(5):613-26. doi: 10.1016/j.semarthrit.2013.09.005
- Herrinton LJ, Harrold LR, Liu L, et al. Association between anti-TNF-alpha therapy and interstitial lung disease. Pharmacoepidemiol Drug Saf. 2013 Apr;22(4):394-402. doi: 10.1002/pds.3409
- Hadjinicolaou AV, Nisar MK, Bhagat S, et al. Non-infectious pulmonary complications of newer biological agents for rheumatic diseases – A systematic literature review. Rheumatology (Oxford). 2011 Dec;50(12):2297-305. doi: 10.1093/rheumatology/ker289
- Liote H, Liote F, Seroussi B, et al. Rituximab-induced lung disease: A systematic literature review. Eur Respir J. 2010 Mar;35(3):681-7. doi: 10.1183/09031936.00080209
- Holmberg L, Boman G, Bottiger LE, et al. Adverse reactions to nitrofurantoin. Analysis of 921 reports. Am J Med. 1980 Nov;69(5):733-8. doi: 10.1016/0002-9343(80)90443-x
- Santos JM, Batech M, Pelter MA, Deamer RL. Evaluation of the Risk of Nitrofurantoin Lung Injury and Its Efficacy in Diminished Kidney Function in Older Adults in a Large Integrated Healthcare System: A Matched Cohort Study. J Am Geriatr Soc. 2016 Apr;64(4):798-805. doi: 10.1111/jgs.14072
- Durante-Mangoni E, Andini R, Parrella A, et al. Safety of treatment with high-dose daptomycin in 102 patients with infective endocarditis. Int J Antimicrob Agents. 2016 Jul;48(1):61-8. doi: 10.1016/j.ijantimicag.2016.04.022
- Mankikian J, Favelle O, Guillon A, et al. Initial characteristics and outcome of hospitalized patients with amiodarone pulmonary toxicity. Respir Med. 2014 Apr;108(4):638-46. doi: 10.1016/j.rmed.2014.01.014
- Kang IS, Kim KJ, Kim Y, Park SH. The diagnostic utility of chest computed tomography scoring for the assessment of amiodarone-induced pulmonary toxicity. Korean J Intern Med. 2014 Nov;29(6):746-53. doi: 10.3904/kjim.2014.29.6.746
- Dusman RE, Stanton MS, Miles WM, et al. Clinical features of amiodarone-induced pulmonary toxicity. Circulation. 1990 Jul;82(1):51-9. doi: 10.1161/01.cir.82.1.51
- Tomii K, Kato T, Takahashi M, et al. Pemetrexed-related interstitial lung disease reported from post marketing surveillance (malignant pleural mesothelioma/non-small cell lung cancer). Jpn J Clin Oncol. 2017 Apr 1;47(4):350-6. doi: 10.1093/jjco/hyx010
- Minami-Shimmyo Y, Ohe Y, Yamamoto S, et al. Risk factors for treatment-related death associated with chemotherapy and thoracic radiotherapy for lung cancer. J Thorac Oncol. 2012 Jan;7(1):177-82. doi: 10.1097/JTO.0b013e31823c4c07
- Johkoh T, Sakai F, Kusumoto M, et al. Association between baseline pulmonary status and interstitial lung disease in patients with non-small-cell lung cancer treated with erlotinib – A cohort study. Clin Lung Cancer. 2014 Nov;15(6):448-54. doi: 10.1016/j.cllc.2014.06.003
- Nishimura M, Toyoda M, Takenaka K, et al. The combination of HLA-B*15:01 and DRB1*15:01 is associated with gemcitabine plus erlotinib-induced interstitial lung disease in patients with advanced pancreatic cancer. Cancer Chemother Pharmacol. 2016 Jun;77(6):1165-70. doi: 10.1007/s00280-016-3026-6
- Weiner SM, Sellin L, Vonend O, et al. Pneumonitis associated with sirolimus:Clinical characteristics, risk factors and outcome – A single-centre experience and review of the literature. Nephrol Dial Transplant. 2007 Dec;22(12):3631-7. doi: 10.1093/ndt/gfm420
- Cleverley JR, Screaton NJ, Hiorns MP, et al. Drug-induced lung disease: High-resolution CT and histological findings. Clin Radiol. 2002 Apr;57(4):292-9. doi: 10.1053/crad.2001.0792
- Kawase S, Hattori N, Ishikawa N, et al. Change in serum KL-6 level from baseline is useful for predicting life-threatening EGFR-TKIs induced interstitial lung disease. Respir Res. 2011 Jul 26;12:97. doi: 10.1186/1465-9921-12-97
- Takatani K, Miyazaki E, Nureki S, et al. High-resolution computed tomography patterns and immunopathogenetic findings in drug-induced pneumonitis. Respir Med. 2008 Jun;102(6):892-8. doi: 10.1016/j.rmed.2008.01.005
- Schwaiblmair M, Behr W, Haeckel T, et al. Drug Induced Interstitial Lung Disease. Open Respir Med J. 2012;6:63-74. doi: 10.2174/1874306401206010063
- Nishino M, Ramaiya NH, Awad MM, et al. PD-1 Inhibitor-Related Pneumonitis in Advanced Cancer Patients: Radiographic Patterns and Clinical Course. Clin Cancer Res. 2016 Dec 15;22(24):6051-60. doi: 10.1158/1078-0432.CCR-16-1320
- Johkoh T, Itoh H, Muller NL, et al. Crazy-paving appearance at thin-section CT:Spectrum of disease and pathologic findings. Radiology. 1999 Apr;211:155-60. doi: 10.1148/radiology.211.1.r99ap10155
- Chetta A, Marangio E, Olivieri D. Pulmonary function testing in interstitial lung diseases. Respiration. 2004 May-Jun;71(3):209-13. doi: 10.1159/000077416
- White DA, Rankin JA, Stover DE, et al. Methotrexate pneumonitis. Bronchoalveolar lavage findings suggest an immunologic disorder. Am Rev Respir Dis. 1989 Jan;139(1):18-21. doi: 10.1164/ajrccm/139.1.18
- Schnabel A, Richter C, Bauerfeind S, Gross WL. Bronchoalveolar lavage cell profile in methotrexate induced pneumonitis. Thorax. 1997 Apr;52:377-9. doi: 10.1136/thx.52.4.377
- Ki KD, Lee JM, Lee SK, et al. Pulmonary toxicity after a quick course of combinatorial vincristine, bleomycin, and cisplatin neoadjuvant chemotherapy in cervical cancer. J Korean Med Sci. 2010 Feb;25(2):240-4. doi: 10.3346/jkms.2010.25.2.240
- Slavenburg S, Heijdra YF, Drenth JP. Pneumonitis as a consequence of (peg) interferon-ribavirin combination therapy for hepatitis C: A review of the literature. Dig Dis Sci. 2010 Mar;55(3):579-85. doi: 10.1007/s10620-009-0797-1
- Vial-Dupuy A, Sanchez O, Douvry B, et al. Outcome of patients with interstitial lung disease admitted to the intensive care unit. Sarcoidosis Vasc Diffuse Lung Dis. 2013 Aug 1;30(2):134-42. doi: 10.1007/s00520-012-1709-z
Supplementary files


