Difficulties in diagnosing intestinal T-cell lymphoma. Case report
- Authors: Gadaev I.Y.1, Ershov V.I.1, Kovrigina A.M.2, Sokolova I.Y.1, Tashyan O.V.1, Mingalimov M.A.1, Antyufeeva O.N.1, Budanova D.A.1, Mnatsakanyan M.G.1, Bochkarnikova O.V.1, Nagornaia D.S.1
-
Affiliations:
- Sechenov First Moscow State Medical University (Sechenov University)
- National Medical Research Center for Hematology
- Issue: Vol 95, No 2 (2023)
- Pages: 180-186
- Section: Case reports
- Submitted: 29.03.2023
- Accepted: 29.03.2023
- Published: 30.03.2023
- URL: https://ter-arkhiv.ru/0040-3660/article/view/321756
- DOI: https://doi.org/10.26442/00403660.2023.02.202060
- ID: 321756
Cite item
Full Text
Abstract
The article describes a rare diagnosis of monomorphic epitheliotropic intestinal T-cell lymphoma (MEITL), due to its veiled by a number of so-called “masks” of enteropathies. A detailed analysis of all clinical, morphological and immunohistochemical data made it possible to establish the correct diagnosis. The revealed pathology is extremely rare in practice, even among specialists in hematology. The article demonstrates the main stages of both a complex diagnosis and an attempt at therapy for this aggressive form of intestinal lymphoma.
Full Text
Список сокращений
ЖКТ – желудочно-кишечный тракт
КТ – компьютерная томография
ЛПЗ – лимфопролиферативные заболевания
ПХТ – полихимиотерапия
УЗИ – ультразвуковое исследование
EATL – Т-клеточная лимфома, ассоциированная с энтеропатией
MEITL – мономорфная эпителиотропная кишечная Т-клеточная лимфома
Введение
Диагностика и лечение опухолей лимфоидной ткани желудочно-кишечного тракта (ЖКТ) является междисциплинарной проблемой, т.е. представляет клинический интерес не только для гематологов, но и с учетом локализации и клинической симптоматики – для специалистов гастроэнтерологов.
Среди экстранодальных лимфомных поражений, включая как В-, Т- или NK-клеточные лимфоидные опухоли, на долю ЖКТ приходится 30–40% случаев [1]. К редким нозологиям лимфом ЖКТ относятся следующие Т- и NK-клеточные лимфопролиферативные заболевания (ЛПЗ) и лимфомы [2–4]:
- Т-клеточная лимфома, ассоциированная с энтеропатией (EATL).
- Мономорфная эпителиотропная кишечная Т-клеточная лимфома (MEITL).
- Индолентное T-клеточное ЛПЗ ЖКТ.
- NK-клеточная энтеропатия/лимфоматоидная гастропатия (синонимы – лимфоматоидная гастропатия – термин, используемый японскими авторами [5–7]).
- Интестинальная Т-клеточная лимфома, неуточненная.
Сложность диагностики прежде всего состоит в схожести манифестных синдромов (нарушенного всасывания, целиакии, дифференциального диагноза абдоминального синдрома и т.д.), с одной стороны, и трудности биопсии при эндоскопическом исследовании – с другой. Отличия указанных нозологических форм включают как особенности морфологии, иммуногистохимических характеристик, молекулярной генетики, так и ответ на химиотерапию и клинические исходы. С этих позиций представляет интерес описание более агрессивных по клиническому течению Т-клеточных лимфом кишки – EATL и MEITL. Интестинальная Т-клеточная лимфома неуточненная устанавливается в случаях малого по объему диагностического материала и признаках «перекрестного» иммунофенотипа между EATL и MEITL.
Для EATL клинически характерно поражение проксимальной части тощей и подвздошной кишки при редком поражении двенадцатиперстной кишки. Частота клинических признаков: боли в животе (50–84%), потеря массы тела (30–80%), понос, тошнота, рвота (30–50%) [3, 8–11]. По данным ряда авторов, EATL может быть ассоциирована с целиакией [12, 13]. Чаще встречается в 60–70-летнем возрасте. По отношению к MEITL более часто выявляется – в 80–90% [14–16]. Могут иметь место хирургические осложнения: перфорации и непроходимость до 20–55% [3, 8–11], вовлечение внекишечных органов (яичник), сальника, плевры, надключичной лимфогруппы, центральной нервной системы, молочной железы [3, 8–11]. Поражение костного мозга при этом обнаруживается менее чем у 10% пациентов [3, 8–11]. Оперативные вмешательства проводятся только при осложнениях или эндобиопсии, во всех иных случаях оперативное лечение не показано. Протоколы и режимы полихимиотерапии (ПХТ) из-за редкости заболевания пока при этой форме патологии не определены. Наиболее часто используют режимы CHOP, DHAP [17]. В ряде работ для оптимизации эффективности терапии применяют и трансплантацию аутологичных стволовых клеток. Выживаемость при EATL крайне низкая: без прогрессии до 7 мес, 1-летняя – до 36% [9].
Клинические характеристики MEITL отличны от таковых при EATL. Дебют заболевания – часто без каких-либо диспептических жалоб и анамнеза целиакии [1, 4]. Данный вариант лимфомы имеет характерные эпидемиологические черты, а именно явное преобладание в азиатской популяции в отличие от западноевропейской. Возрастной диапазон широко варьирует от 23 до 89 лет. Средний возраст приходится на 58 лет [1, 4, 9, 10]. Более чем в 50% случаев наблюдаются перфорации и непроходимость кишечника. Внекишечные проявления такие же, как при EATL, однако поражение костного мозга наблюдается только в 5% случаев [9].
Таким образом, описанные формы представляют с клинической позиции значительные трудности, что часто негативно отражается на ранней диагностике. Примером этому служит описанный нами случай.
Клиническое наблюдение
Пациент С., мужчина 56 лет, родившийся в Дагестане, поступил в клинику с жалобами на водянистый стул до 5–6 раз в сутки, вздутие и урчание в животе, повышенное газообразование, прогрессивную потерю массы тела, отеки. Семейный анамнез не отягощен.
Из анамнеза: впервые указанные жалобы появились остро летом 2018 г. – появились боли в животе, озноб, повышение температуры тела до 39°С, резкая слабость, понос. Пациент направлен в инфекционный стационар, где состояние расценили как острую кишечную инфекцию. С этого времени диарея стала постоянной, больной начал значимо терять массу тела, слабеть. В течение этих 2 лет неоднократно обследовался, терапия без эффекта. По данным ультразвукового исследования (УЗИ) и компьютерной томографии (КТ) органов брюшной полости более 1 года назад впервые выявлены абдоминальная мезентериальная лимфоаденопатия, асцит, отек клетчатки брыжейки. При колоноскопии длительное время изменений в кишке не выявлялось, однако около полугода назад отмечено появление афтозных изменений стенки левых отделов толстой кишки. Лабораторно отмечались признаки синдрома нарушенного всасывания. Исследования тонкой кишки за период диагностического поиска не проводились ни разу.
При поступлении обращало на себя внимание астеническое телосложение, индекс массы тела 17,95 кг/м2, бледность кожных покровов, пастозность голеней и стоп. Ненапряженный асцит. Живот мягкий, при пальпации умеренно болезненный в эпигастрии и пилоробульбарной области. Печень, селезенка не увеличены. По данным лабораторно-инструментальных методов исследования при поступлении обращали на себя внимание: анемия, ускорение скорости оседания эритроцитов, гипоферремия, гипотрансферринемия, гипоальбуминемия, нарушения липидного обмена, отмечено также увеличение С-реактивного белка – 26 мг/л; лактатдегидрогеназа 492 ед/л и CA 19-9: 68,6 МЕ/мл. В анализах кала реакция на скрытую кровь: слабоположительная.
По данным УЗИ определяются множественные лимфоузлы в брюшной полости, парааортальные до 30×21 мм, сниженной эхогенности, асцит.
Выполненная КТ органов брюшной полости с внутривенным контрастированием подтвердила данные УЗИ: в брюшной полости и полости малого таза визуализируется жидкость. Стенки тощей кишки с несколько нечеткими внутренними контурами равномерно накапливают контрастный препарат, в других отделах тонкого кишечника не утолщены, без участков патологического контрастирования. Определяется выраженное увеличение лимфатических узлов: чревные, парааортальные и паракавальные до 20 мм, мезентериальные до 35 мм (суммарный их объем занимает более 1/2 объема кишечника). Заключение: выраженная мезентериальная и забрюшинная лимфаденопатия.
По данным эзофагогастродуоденоскопии выявлены признаки экстраорганной деформации тела желудка, деформация луковицы двенадцатиперстной кишки за счет отечных складок, кишка проходима, слизистая ее и постбульбарного отдела отечная, бледно-розового цвета, зернистая, ворсинки утолщены, укорочены.
При рентгенологическом исследовании пассажа бария по тонкому кишечнику обращает на себя внимание оттеснение петель подвздошной кишки в правой подвздошной области с формированием «окна» (пакет лимфоузлов?). Выявленные изменения необходимо дифференцировать между лимфопролиферативным процессом и болезнью Крона с поражением подвздошной кишки. При проведении колоноскопии: органической патологии в толстой кишке не выявлено.
Таким образом, в отделении гастроэнтерологии лабораторно отмечено наличие синдрома нарушенного всасывания, что свидетельствовало о патологии тонкой кишки. В совокупности с выявленной абдоминальной лимфаденопатией и нормальной эндоскопической картиной толстой кишки требовалось исключить ЛПЗ тонкой кишки. Для выбора дальнейшей тактики лечения стала необходима морфологическая верификация диагноза.
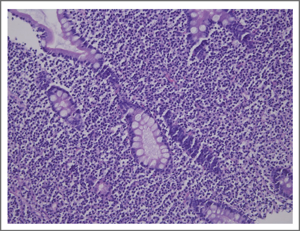
Гистологическое исследование биоптатов слизистой оболочки тонкой и толстой кишки выполнено в ФГБУ «НМИЦ гематологии»: в готовых гистологических препаратах и гистологическом препарате, изготовленном из парафинового блока, частицы слизистой оболочки тонкой кишки с рыхлым диффузным инфильтратом из небольших лимфоидных клеток с округло-овальными и неправильной формы ядрами. Заключение: в биоптате тонкой кишки морфологическая картина характеризует поражение при мелкоклеточной лимфоме. Проведение иммуногистохимического исследования на данном материале сомнительно, диагностический материал в блоке скудный. В биоптате слизистой оболочки толстой кишки – очаговый опухолевый инфильтрат с аналогичной морфологией (рис. 1).
Рис. 1. Биоптат слизистой оболочки толстой кишки. В собственной пластинке слизистой оболочки – мономорфный лимфоидный инфильтрат из небольших/среднего размера лимфоидных клеток преимущественно с округло-овальными ядрами. Окраска гематоксилином и эозином. Увеличение ×200. / Fig. 1. Colon mucosal biopsy specimen. In lamina propria, a monomorphic lymphoid infiltrate of small/medium-sized lymphoid cells, predominantly with round-oval nuclei, is observed. Hematoxylin and eosin staining. 200× magnification.
Учитывая полученные данные, принято решение о необходимости биопсии лимфатического узла. Периферических лимфатических узлов, доступных для выполнения биопсии, у больного не выявлено. В связи с этим пациенту выполнена чрескожная толстоигольная биопсия мезентериального лимфоузла под ультразвуковым контролем. Проведено повторное гистологическое и расширенное иммуногистохимическое исследование.
Гистологическое исследование core-биоптата мезентериальных лимфатических узлов (ФГБУ «НМИЦ гематологии») – микроскопическое описание: в сore-биоптате столбики лимфоидной ткани с рыхлым лимфоидным инфильтратом из небольших/среднего размера и отдельных крупных лимфоидных клеток, с примесью гистиоцитов, очажками некроза. Заключение: в core-биоптате морфологическая картина характеризует субстрат лимфомы, возможно Т-клеточной лимфомы.
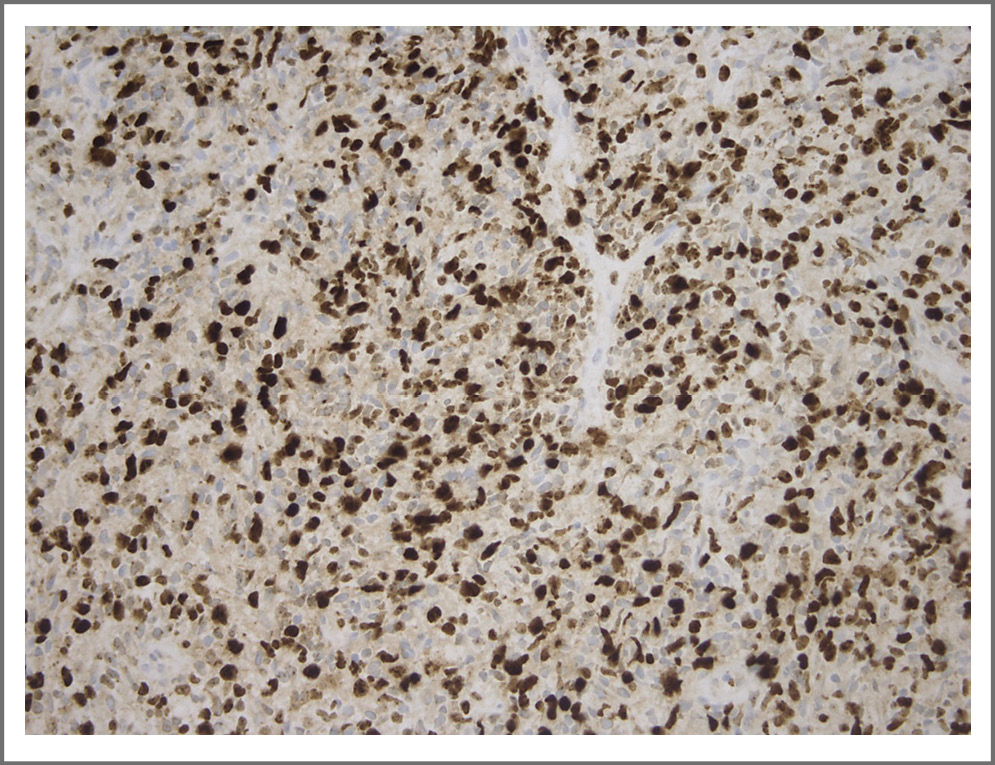
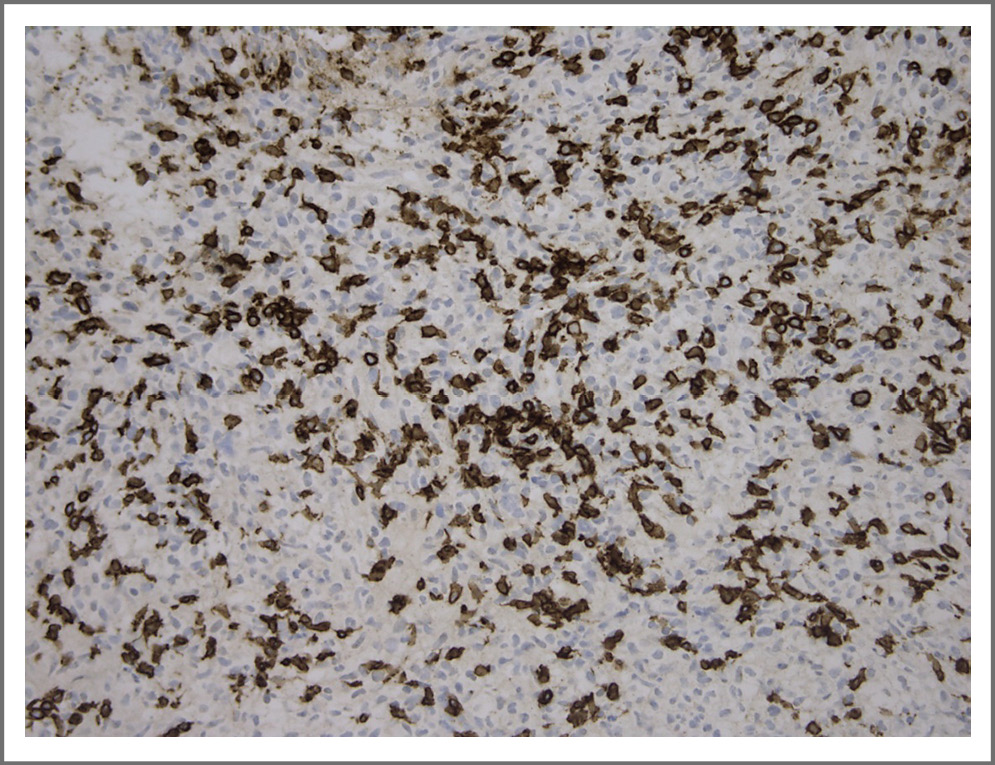
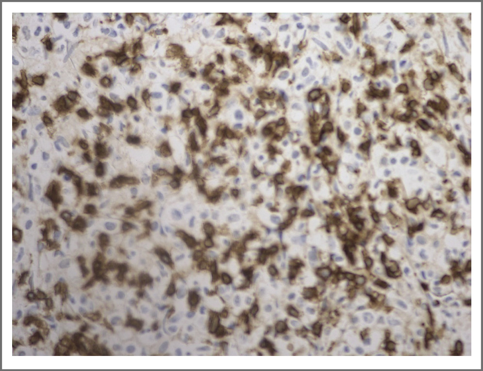
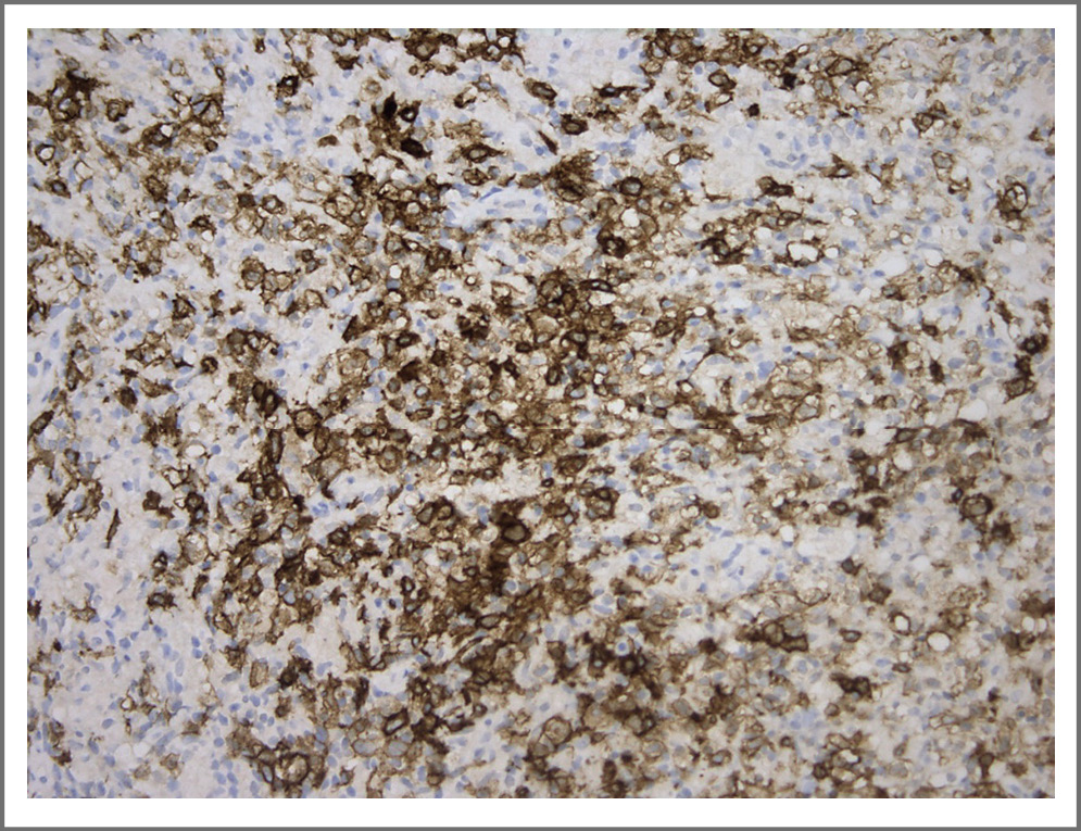
В целях верификации нозологической принадлежности проведено иммуногистохимическое исследование (ФГБУ «НМИЦ гематологии»). На срезах парафинового блока проведено иммуногистохимическое исследование с антителами к CD103, CD3, CD30, CD4, CD5, CD8, KI67, TIA-1, Granzyme B, ALK (CD246), TCR(bF1). Клетки лимфоидного инфильтрата мономорфно экспрессируют TCR (bF1); рис. 2; CD3 (клон эпсилон, цитоплазматическая/мембранная реакция), CD8 мембранная реакция (рис. 3), TIA-1 позитивных клеток (мелкогранулярная цитоплазматическая реакция; рис. 4, Granzyme B (цитоплазматическая реакция), много CD30+ (мембранная/цитоплазматическая); рис. 5. Индекс пролиферативной активности Ki-67составляет до 60% позитивных опухолевых клеток (рис. 6). При реакции с антителами к CD4, CD5 рассеяны малочисленные позитивные клетки. Опухолевые клетки не экспрессируют CD56 и CD103. Заключение: морфологическая картина и иммунофенотип характеризуют интестинальную Т-клеточную лимфому, больше данных в пользу мономорфной эпителиотропной интестинальной Т-клеточной лимфомы (MEITL, WHO, 2017), с вовлечением мезентериальных лимфатических узлов (см. рис. 2–4).
Рис. 2. Биоптат слизистой оболочки толстой кишки. Иммуногистохимическое исследование. Экспрессия опухолевыми клетками TCR (bF1), иммуноферментный метод. Увеличение ×200. / Fig. 2. Colon mucosal biopsy specimen. Immunohistochemical examination. Tumor cell expression of TCR (bF1), enzyme immunoassay. 200× magnification.
Рис. 3. Биоптат слизистой оболочки толстой кишки. Иммуногистохимическое исследование. Экспрессия опухолевыми клетками CD8, иммуноферментный метод. Увеличение ×200. / Fig. 3. Colon mucosal biopsy specimen. Immunohistochemical examination. Tumor cell expression of CD8, enzyme immunoassay. 200× magnification.
Рис. 4. Биоптат слизистой оболочки толстой кишки. Иммуногистохимическое исследование. Экспрессия опухолевыми клетками TIA-1, иммуноферментный метод. Увеличение ×200. / Fig. 4. Colon mucosal biopsy specimen. Immunohistochemical examination. Tumor cell expression of TIA-1, enzyme immunoassay. 200× magnification.
Рис. 5. Биоптат слизистой оболочки толстой кишки. Иммуногистохимическое исследование. Экспрессия опухолевыми клетками CD30, иммуноферментный метод. Увеличение ×200. / Fig. 5. Colon mucosal biopsy specimen. Immunohistochemical examination. Tumor cell expression of CD30, enzyme immunoassay. 200× magnification.
Рис. 6. Биоптат слизистой оболочки толстой кишки. Иммуногистохимическое исследование. Индекс пролиферативной активности Ki-67 составляет до 60% позитивных клеток опухолевого субстрата. Иммуноферментный метод. Увеличение ×200. / Fig. 6. Colon mucosal biopsy specimen. Immunohistochemical examination. The proliferative activity index of Ki-67 is up to 60% of positive tumor substrate cells. Enzyme immunoassay. 200× magnification.
Проведенное морфоиммуногистохимическое исследование позволило верифицировать у больного субстрат интестинальной Т-клеточной лимфомы с поражением подвздошной кишки, мезентериальных, забрюшинных, внутригрудных лимфатических узлов. Для дальнейшего лечения пациент переведен в гематологическое отделение, где по витальным показаниям больному начат курс ПХТ по программе CHOEP ввиду крайне неблагоприятного варианта лимфомы.
На фоне начатого курса ПХТ с 12.03.2021 отмечалась стабилизация состояния: сохранялась нормальная температура, улучшился аппетит, увеличилась двигательная активность, уредилась частота стула до 2–3 раз в сутки с кашицеобразной консистенцией. Однако утром 18.03.2021 у больного стали отмечаться лихорадка, нарастание признаков дыхательной недостаточности.
В экстренном порядке выполнена мультиспиральная КТ органов грудной клетки, выявленная картина, вероятнее всего, соответствовала COVID-19-ассоциированной пневмонии, КТ-2: среднетяжелая, бронхиолит. Результат мазка на COVID-19 методом полимеразной цепной реакции от 18.03.2021 – положительный. Пациент переведен в отделение реанимации, где его состояние прогрессивно ухудшалось. В 3.30 20.03.2021 зафиксирована смерть пациента. По эпидемиологическим причинам аутопсия не выполнялась.
Обсуждение
Представленный случай убедительно демонстрирует сложности клинической диагностики. Еще большие трудности кроются в морфоиммуногистохимической верификации внутри группы интестинальных Т-клеточных лимфом и NK-клеточных ЛПЗ, а также их отличии от В-клеточных лимфом.
Морфология EATL представлена клональной лимфопролиферацией с клетками среднего и часть – крупного размера, наличием гистиоцитов, эозинофилов, трансмуральным характером поражения стенки кишки. Часто встречаются некрозы и картины митозов. В случаях ассоциации с целиакией часто наблюдаются элементы ворсинчатой атрофии и гиперплазии крипт. Иммунофенотип опухоли характеризуется: CD3+CD5-CD4-CD8- (редко CD8+) CD56-CD103+TCRβ+/-.Insitu гибридизация с зондами к некодирующим РНК вируса Эпштейна–Барр отрицательная [14–16].
Экспрессия CD30+ в ряде случаев EATL может привести к ошибочному диагнозу анапластической крупноклеточной лимфомы, ALK-негативной [2]. По ряду данных молекулярно-генетических исследований при EATL выявляют мутации генов в сигнальных путях JAK/STAT (JAK1,3, STAT3, SOCS1, 5B) и RAS (KRAS, NRAS) [18, 19].
MEITL морфологически определяется как единичные или множественные опухоли часто с изъязвлением и также с трансмуральным поражением [10, 20] опухолевыми клетками среднего размера с бледной цитоплазмой и вуалеобразными ядрышками [21]. При морфологическом исследовании характерен «монотонный» вид опухолевого инфильтрата, коагуляционный некроз и ангиоинвазивный рост, как правило, не определяются [4, 22, 23]. Менее вовлечена подслизистая оболочка [20]. Характерна так называемая «плечевая зона» с латеральным распространением опухоли. При этой форме ИФТ CD2+CD3+CD7+CD8+CD56+CD4-CD5-CD30- [3, 9, 10, 20–24]. С учетом важного присутствия или отсутствия CD56 следует учитывать его «опорные» свойства для верификации, однако может встречаться и отсутствие его экспрессии [3, 9, 10, 20–24]. Кроме того, в ряде работ показано, что в 20–40% случаев наблюдается экспрессия CD20+, что приводит к ошибочному диагнозу В-клеточной лимфомы. В подобных случаях используют дополнительные маркеры, например CD79a и PAX5 [10, 21]. Молекулярная генетика при MEITL обнаруживает клональные перестройки TCR [9, 25]. Мутации SETD-2, STAT5B часто встречаются при MEITL в отличие от EATL [18, 26, 27].
В биопсийном материале данного пациента морфологическая картина вполне соответствовала таковой при МEITL, а иммуногистохимическое исследование позволило в наибольшей степени отнести опухолевый субстрат к этой нозологической форме. Следует отметить, что уже в ходе начала первого цикла ПХТ в режиме CHOEP достигнута положительная динамика состояния больного – нормализация температуры тела, улучшение общего состояния, урежение частоты стула. К сожалению, практически через сутки после видимого улучшения у пациента вновь отмечены лихорадка, нарастание слабости, десатурация. Рентгенологически выявлены признаки двусторонней полисегментарной вирусной пневмонии и по данным полимеразной цепной реакции подтверждено присоединение коронавирусной инфекции, что вновь резко ухудшило состояние больного. SARS-CoV-2-инфекция, по нашему мнению, резко утяжелила течение лимфомы, учитывая даже наметившуюся положительную динамику в состоянии пациента, сделав прогноз крайне плохим [28–33].
Заключение
Таким образом, данная редкая патология, MEITL, во всех неясных случаях опухолевых поражений кишечника должна быть включена в спектр дифференциального диагноза. При диагностике Т-клеточных лимфом ЖКТ следует исключать вторичное опухолевое поражение при нодальной периферической Т-клеточной лимфоме, в том числе при анапластической крупноклеточной лимфоме. Важно, что ЖКТ является наиболее частой локализацией после носоглотки/придаточных пазух/полости носа, кожи при экcтранодальной NK/T-клеточной лимфоме, EBER+. Надеемся, что эта статья привлечет внимание клиницистов разных специальностей и в первую очередь гастроэнтерологов. Представляется важным, что каждый последующий случай подобной патологии требует также подробного описания как с клинической, так иммуногенетической сторон, что позволит нам углубить знания о природе Т- и NK-клеточных лимфопролиферативных новообразований ЖКТ.
Раскрытие интересов. Авторы декларируют отсутствие явных и потенциальных конфликтов интересов, связанных с публикацией настоящей статьи.
Disclosure of interest. The authors declare that they have no competing interests.
Вклад авторов. Авторы декларируют соответствие своего авторства международным критериям ICMJE. Все авторы в равной степени участвовали в подготовке публикации: разработка концепции статьи, получение и анализ фактических данных, написание и редактирование текста статьи, проверка и утверждение текста статьи.
Authors’ contribution. The authors declare the compliance of their authorship according to the international ICMJE criteria. All authors made a substantial contribution to the conception of the work, acquisition, analysis, interpretation of data for the work, drafting and revising the work, final approval of the version to be published and agree to be accountable for all aspects of the work.
Источник финансирования. Авторы декларируют отсутствие внешнего финансирования для проведения исследования и публикации статьи.
Funding source. The authors declare that there is no external funding for the exploration and analysis work.
Информированное согласие на публикацию. Авторы получили письменное согласие законных представителей пациента на анализ и публикацию медицинских данных и фотографий.
Consent for publication. The authors obtained written consent from the patient's legal representatives to analyze and publish medical data and photographs.
About the authors
Igor Yu. Gadaev
Sechenov First Moscow State Medical University (Sechenov University)
Author for correspondence.
Email: doktor-gai@yandex.ru
ORCID iD: 0000-0002-2782-4179
канд. мед. наук, доц., доц. каф. госпитальной терапии №1 Института клинической медицины им. Н.В. Склифосовского
Russian Federation, MoscowVladimir I. Ershov
Sechenov First Moscow State Medical University (Sechenov University)
Email: doktor-gai@yandex.ru
ORCID iD: 0000-0002-8641-1489
д-р мед. наук, проф. каф. госпитальной терапии №1 Института клинической медицины им. Н.В. Склифосовского
Russian Federation, MoscowAlla M. Kovrigina
National Medical Research Center for Hematology
Email: doktor-gai@yandex.ru
ORCID iD: 0000-0002-1082-8659
д-р биол. наук, проф., зав. отд. патологической анатомии
Russian Federation, MoscowIrina Ya. Sokolova
Sechenov First Moscow State Medical University (Sechenov University)
Email: doktor-gai@yandex.ru
ORCID iD: 0000-0002-8884-1087
врач-гематолог высш. категории гематологического отд. клиники Госпитальной терапии им. А.А. Остроумова УКБ №1 Института клинической медицины им. Н.В. Склифосовского
Russian Federation, MoscowOlga V. Tashyan
Sechenov First Moscow State Medical University (Sechenov University)
Email: doktor-gai@yandex.ru
ORCID iD: 0000-0001-6759-6820
канд. мед. наук, ассистент каф. госпитальной терапии №1 Института клинической медицины им. Н.В. Склифосовского
Russian Federation, MoscowMarat A. Mingalimov
Sechenov First Moscow State Medical University (Sechenov University)
Email: doktor-gai@yandex.ru
ORCID iD: 0000-0002-8491-2140
клинический ординатор каф. госпитальной терапии №1 Института клинической медицины им. Н.В. Склифосовского
Russian Federation, MoscowOlga N. Antyufeeva
Sechenov First Moscow State Medical University (Sechenov University)
Email: doktor-gai@yandex.ru
ORCID iD: 0000-0003-4268-3076
врач-гематолог гематологического отд. клиники Госпитальной терапии им. А.А. Остроумова УКБ №1, ассистент каф. госпитальной терапии №1 Института клинической медицины им. Н.В. Склифосовского
Russian Federation, MoscowDarya A. Budanova
Sechenov First Moscow State Medical University (Sechenov University)
Email: doktor-gai@yandex.ru
ORCID iD: 0000-0001-6324-2371
канд. мед. наук, врач-гематолог гематологического отд. клиники Госпитальной терапии им. А.А. Остроумова УКБ №1 Института клинической медицины им. Н.В. Склифосовского
Russian Federation, MoscowMarina G. Mnatsakanyan
Sechenov First Moscow State Medical University (Sechenov University)
Email: doktor-gai@yandex.ru
ORCID iD: 0000-0001-9337-7453
д-р мед. наук, проф. каф. госпитальной терапии №1 Института клинической медицины им. Н.В. Склифосовского
Russian Federation, MoscowOlga V. Bochkarnikova
Sechenov First Moscow State Medical University (Sechenov University)
Email: doktor-gai@yandex.ru
ORCID iD: 0000-0001-9316-6920
зав. гематологическим отд. клиники Госпитальной терапии им. А.А. Остроумова УКБ №1 Института клинической медицины им. Н.В. Склифосовского
Russian Federation, MoscowDaria S. Nagornaia
Sechenov First Moscow State Medical University (Sechenov University)
Email: doktor-gai@yandex.ru
ORCID iD: 0000-0002-2490-6371
клинический ординатор каф. госпитальной терапии №1 Института клинической медицины им. Н.В. Склифосовского
Russian Federation, MoscowReferences
- Chan JKC, Fukuyama M. Haematolymphoidtumours of the digestive system. In: WHO Classification of Tumours Editorial Board. WHO classification of tumours of the digestive system. 5th ed. Vol 1. Lyon: IARC, 2019.
- van Vliet С, Spagnolo DV. T- and NK-cell lymphoproliferative disorders of the gastrointestinal tract: review and update. Pathology. 2020;52(1):128-41. doi: 10.1016/j.pathol.2019.10.001
- Delabie J, Holte H, Vose JM, et al. Enteropathy-associated T-cell lymphoma: clinical and histological findings from the international peripheral T-cell lymphoma project. Blood. 2011;118:148-55. doi: 10.1182/blood-2011-02-335216
- Jaffe ES, Chott A, Ott G, et al. Intestinal T-cell lymphoma. In: WHO Classification of Tumours of Haematopoietic and Lymphoid Tissues. Ed. SH Swerdlow, E Campo, NL Harris, et al. Revised. 4th ed. Lyon: IARC, 2017.
- Mansoor A, Pittaluga S, Beck PL, et al. NK-cell enteropathy: a benign NK-cell lymphoproliferative disease mimicking intestinal lymphoma: clinicopathologic features and follow-up in a unique case series. Blood. 2011;117:1447-52. doi: 10.1182/blood-2010-08-302737
- Xiao W, Gupta GK, Yao J, et al. Recurrent somatic JAK3 mutations in NK-cell enteropathy. Blood. 2019;134:986-91. doi: 10.1182/blood.2019001443
- Takeuchi K, Yokoyama M, Ishizawa S, et al. Lymphomatoid gastropathy: a distinct clinicopathologic entity of self-limited pseudomalignant NK-cell proliferation. Blood. 2010;116:5631-7. doi: 10.1182/blood-2010-06-290650
- Gale J, Simmonds PD, Mead GM, et al. Enteropathy-type intestinal T-cell lymphoma: clinical features and treatment of 31 patients in a single center. J Clin Oncol. 2000;18:795-803. doi: 10.1200/JCO.2000.18.4.795
- Tse E, Gill H, Loong F, et al. Type II enteropathy-associated T-cell lymphoma: a multicenter analysis from the Asia Lymphoma Study Group. Am J Hematol. 2012;87:663-8. doi: 10.1002/ajh.23213
- Tan SY, Chuang SS, Tang T, et al. Type II EATL (epitheliotropic intestinal T-cell lymphoma): a neoplasm of intra-epithelial T-cells with predominant CD8αα phenotype. Leukemia. 2013;27:1688-96. doi: 10.1038/leu.2013.41
- Sieniawski M, Angamuthu N, Boyd K, et al. Evaluation of enteropathy-associated T-cell lymphoma comparing standard therapies with a novel regimen including autologous stem cell transplantation. Blood. 2010;115:3664-70. doi: 10.1182/blood-2009-07-231324
- Silano M, Volta U, De Vincenzi A, Dessi MDM. Effect of a gluten-free diet on the risk of enteropathy-associated T-cell lymphoma in celiac disease. Dig Dis Sci. 2008;53:972-6. doi: 10.1007/s10620-007-9952-8
- Lebwohl B, Granath F, Ekbom A, et al. Mucosal healing and risk for lymphoproliferative malignancy in celiac disease. Ann Intern Med. 2013;159:169-75. doi: 10.7326/0003-4819-159-3-201308060-00006
- Foukas PG, de Leval L. Recent advances in intestinal lymphomas. Histopathology. 2015;66:112-36. doi: 10.1111/his.12596
- Arps DP, Smith LB. Classic versus type II enteropathy-associated T-cell lymphoma: diagnostic considerations. Arch Pathol Lab Med. 2013;137:1227-31. doi: 10.5858/arpa.2013-0242-CR
- Malamut G, Chandesris O, Verkarre V, et al. Enteropathy associated T cell lymphoma in celiac disease: a large retrospective study. Dig Liver Dis. 2013;45:377-84. doi: 10.1016/j.dld.2012.12.001
- Ondrejka S, Jagadeesh D. Enteropathy-associated T-cell lymphoma. Curr Hematol Malig R. 2016;11:504-13. doi: 10.1007/s11899-016-0357-7
- Nicolae A, Xi L, Pham TH, et al. Mutations in the JAK/STAT and RAS signaling pathways are common in intestinal T-cell lymphomas. Leukemia. 2016;30:2245-7. doi: 10.1038/leu.2016.178
- Attygalle AD, Cabeçadas J, Gaulard P, et al. Peripheral T-cell and NKcell lymphomas and their mimics; taking a step forward – report on the lymphoma workshop of the XVIth meeting of the European Association for Haematopathology and the Society for Hematopathology. Histopathology. 2014;64:171-99. doi: 10.1111/his.12251
- Kikuma K, Yamada K, Nakamura S, et al. Detailed clinicopathological characteristics and possible lymphomagenesis of type II intestinal enteropathy-associated T-cell lymphoma in Japan. Hum Pathol. 2014;45:1276-84. doi: 10.1016/j.humpath.2013.10.038
- Chan JK, Chan AC, Cheuk W, et al. Type II enteropathy-associated T-cell lymphoma: a distinct aggressive lymphoma with frequent γδ T-cell receptor expression. Am J Surg Pathol. 2011;35:1557-69. doi: 10.1097/PAS.0b013e318222dfcd
- Ko YH, Karnan S, Kim KM, et al. Enteropathy-associated T-cell lymphoma – a clinicopathologic and array comparative genomic hybridization study. Hum Pathol. 2010;41:1231-7. doi: 10.1016/j.humpath.2009.11.020
- Tomita S, Kikuti YY, Carreras J, et al. Genomic and immunohistochemical profiles of enteropathy-associated T-cell lymphoma in Japan. Mod Pathol. 2015;28:1286-96. doi: 10.1038/modpathol.2015.85
- Isaacson PGT, Bhagat G. Enteropathy-associated T-cell lymphoma and other primary intestinal T-cell lymphomas. In: Jaffe ES, Arber DA, Campo E, et al., ed. Hematopathology. 2nd ed. Philadelphia: Elsevier, 2017.
- Chott A, Haedicke W, Mosberger I, et al. Most CD56+ intestinal lymphomas are CD8+CD5-T-cell lymphomas of monomorphic small to medium size histology. Am J Pathol. 1998;153:1483-90. doi: 10.1016/S0002-9440(10)65736-7
- Moffitt AB, Ondrejka SL, McKinney M, et al. Enteropathy-associated T cell lymphoma subtypes are characterized by loss of function of SETD2. J Exp Med. 2017;214:1371-86. doi: 10.1084/jem.20160894
- Roberti A, Dobay MP, Bisig B, et al. Type II enteropathy-associated Tcell lymphoma features a unique genomic profile with highly recurrent SETD2 alterations. Nat Commun. 2016;7:12602. doi: 10.1038/ncomms12602
- Lamure S, Duléry R, Di Blasi R, et al. Determinants of outcome in Covid-19 hospitalized patients with lymphoma: A retrospective multicentric cohort study. E Clinical Medicine. 2020;27:100549.
- Challenor S, Tucker D. SARS-CoV-2-induced remission of Hodgkin lymphoma. Br J Haematol. 2021;192:415. doi: 10.1111/bjh.17116
- de la Cruz-Benito B, Lázaro-Del Campo P, Ramírez-López A, et al. Managing the front-line treatment for diffuse large B cell lymphoma and high-grade B cell lymphoma during the COVID-19 outbreak. Br J Haematol. 2020;191:386-9. doi: 10.1111/bjh.17066
- Lang N, Kuruvilla J. Evolving management strategies for lymphomas during the COVID-19 pandemic. Leuk Lymphoma. 2020:1-19. doi: 10.1080/10428194.2020
- Perini GF, Fischer T, Gaiolla RD, et al. Hemoterapia e TerapiaCelular (ABHH) How to manage lymphoid malignancies during novel 2019 coronavirus (CoVid-19) outbreak: a Brazilian task force recommendation. Hematol Transfus Cell Ther. 2020;42:103-10. doi: 10.1016/j.htct.2020.04.002
- Betrains A, Godinas L, Woei-A-Jin FJSH, et al. Convalescent plasma treatment of persistent severe acute respiratory syndrome coronavirus-2 (SARS-CoV-2) infection in patients with lymphoma with impaired humoral immunity and lack of neutralising antibodies. Br J Haematol. 2021;192:1100-5.
Supplementary files








