The course and clinical manifestations of Peutz–Jeghers syndrome in the Russian population
- Authors: Savelyeva Т.A.1, Ponomarenko А.A.1, Shelygin Y.A.1, Kuzminov А.M.1, Vyshegorodtsev D.V.1, Loginova А.N.1, Pikunov D.Y.1, Goncharova Е.P.1, Likutov А.A.1, Mainovskaya О.A.1, Tsukanov А.S.1
-
Affiliations:
- Ryzikh State Scientific Center for Coloproctology
- Issue: Vol 95, No 2 (2023)
- Pages: 145-151
- Section: Original articles
- Submitted: 29.03.2023
- Accepted: 29.03.2023
- Published: 30.03.2023
- URL: https://ter-arkhiv.ru/0040-3660/article/view/321746
- DOI: https://doi.org/10.26442/00403660.2023.02.202059
- ID: 321746
Cite item
Full Text
Abstract
Background. Peutz–Jeghers syndrome (PJS) is a rare hereditary syndrome characterized by the growth of hamartomatous polyps in the gastrointestinal tract, perioral pigmentation and an increased risk of malignant neoplasms. The syndrome is caused by a pathogenic variant in the STK11 gene.
Aim. To assess the clinical picture and treatment of Russian patients with PJS.
Materials and methods. A retrospective analysis of 30 patients from 25 families with an established diagnosis of PJS who were in the Ryzikh State Scientific Center for Coloproctology from 2011 to 2021 was carried out. All patients underwent instrumental examination, including esophagogastroduodenoscopy, colonoscopy, X-ray examination of the small intestine/CT-enterography, in the absence of invaginates – video capsule endoscopy, as well as molecular genetic examination for the presence of pathogenic variants in the STK11 gene. All removed polyps were subjected to the histological examination.
Results. The analysis of the clinical picture allowed us to establish the following data: the first complaints in patients were noted in childhood and adolescence, while the median age was 11 [7; 19] (0.5–24) years; pathogenic variants in the STK11 gene were identified in 26 (87%) cases, among which 10 were described for the first time; during the initial examination, polyps in the small intestine were detected in all 30 (100%) patients, in the stomach – in 23/30 (77%) patients, and in the colon – in 21/30 (70%); with an age, an increase in the number of polyps in all parts of the gastrointestinal tract was noted; before the diagnosis operations were performed urgently for intestinal obstruction; after the diagnosis of PJS, when polyps were detected in the gastrointestinal tract, endoscopic polypectomies were performed; if endoscopic removal of hamartomatous polyps was impossible, patients were operated as planned; malignant diseases of the predominantly reproductive system were detected in 8/30 (27%) patients. The median age of cancer detection was 52 [31; 52] (17–59) years.
Conclusion. Russian patients with PJS have population-specific features in the clinical picture of the course of the disease, which dictates the need to develop their own recommendations for monitoring and treatment of such patients.
Keywords
Full Text
Список сокращений
ЖКТ – желудочно-кишечный тракт
СПЕ – синдром Пейтца–Егерса
Введение
Синдром Пейтца–Егерса (СПЕ) – редкий наследственный синдром с частотой встречаемости 1:50 тыс. – 200 тыс. новорожденных, который наследуется по аутосомно-доминантному типу и в 90% обусловлен мутацией в гене STK11 [1–3]. Ген STK11 является геном-супрессором опухоли, его продукт участвует в ангиогенезе, апоптозе, регуляции клеточной полярности [4]. Клинически заболевание проявляется пигментацией вокруг рта и на слизистой оболочке щек, которая присутствует у 85–100% пациентов, а также ростом гамартомных полипов в желудочно-кишечном тракте (ЖКТ) [5, 6]. Частота поражения тонкой кишки составляет 64–90%, толстой кишки – 53–77% и желудка – 49–74% [7, 8]. Рост полипов приводит к формированию инвагинатов и нарушению кишечной проходимости. До 95% инвагинаций происходит в тонкой кишке [9].
Несвоевременное выявление крупных полипов тонкой кишки приводит к необходимости повторных операций у 39–43% пациентов [10, 11]. Как правило, экстренные операции сопровождаются резекцией участка кишки, несущей полипы, что может привести к синдрому короткой кишки и нарушению всасывания у 25% пациентов [12, 13].
Второй особенностью синдрома является повышенный риск развития злокачественных новообразований различных локализаций. Наиболее частым является рак ЖКТ – 39–57%, панкреато-билиарной зоны – 11–55%, молочной железы – 24–54%, репродуктивной системы – 18–40%, легких – 14–15% [14–16]. Как правило, злокачественные заболевания начинают диагностироваться в возрасте 41–45 лет. К 70 годам рак выявляется у 85–93% пациентов [14, 15, 17].
Следует также отметить, что выраженность клинических симптомов при СПЕ сильно отличается в разных популяциях [18].
К настоящему моменту в России уже разработаны клинические рекомендации по ведению пациентов с аденоматозным полипозным синдромом, но тактики ведения больных гамартомным полипозом нет [19]. Именно наличие данного существенного пробела побудило нас начать собственное исследование больных с СПЕ.
Цель исследования – оценка клинической картины и алгоритма лечения российских пациентов с СПЕ.
Материалы и методы
Проведено ретроспективное исследование, в которое включены 30 пациентов из 25 семей с диагнозом СПЕ, наблюдавшихся в ФГБУ «ГНЦК им. А.Н. Рыжих» с 2011 по 2021 г. Мужчин – 11 (37%), женщин – 19 (63%).
С целью выявления особенностей клинического течения заболевания проанализированы следующие показатели: возраст первых жалоб, наличие семейного анамнеза с составлением родословной, клинические проявления заболевания, возраст хирургических вмешательств, а также их характер и количество, перенесенных одним пациентом, распространенность поражения гамартомными полипами ЖКТ. Также изучен онкологический анамнез. После постановки предварительного диагноза проводилось инструментальное обследование, включающее эндоскопическое исследование желудка и толстой кишки. Методом выбора при исследовании тонкой кишки стали рентгенография тонкой кишки с контрастированием, КТ-энтерография. Видеокапсульная эндоскопия выполнялась при отсутствии инвагинатов в тонкой кишке. Кроме того, пациентам проводились ультразвуковое исследование брюшной полости и малого таза, рентгенография органов грудной клетки. После хирургических вмешательств все удаленные полипы подвергались гистологическому исследованию. В амбулаторных условиях пациенткам рекомендованы ежегодное прохождение маммографии/ультразвукового исследования молочных желез и наблюдение гинекологом.
На момент обращения в наш центр у 8/30 (27%) пациентов диагноз установлен до первой операции в возрасте 11 [10; 13] (5–16) лет, у 6/30 (20%) пациентов – после перенесенной операции в возрасте 12 [10; 15] (5–23) лет, и 16/30 (53%) пациентов обратились с диагнозом полипоза ЖКТ в возрасте 33 [21; 39] (18–49) лет. Таким образом, СПЕ у 22/30 пациентов диагностирован после перенесенных хирургических вмешательств.
Пациенты проверялись на соответствие критериям European Hereditary Tumour Group 2021 г. [20]:
- Два или более гистологически подтвержденных гамартомных полипа.
- Любое количество гамартомных полипов при подтвержденном семейном анамнезе.
- Характерная кожно-слизистая пигментация при наличии родственников с подтвержденным диагнозом СПЕ.
- Любое количество гамартомных полипов при наличии характерной периоральной пигментации.
Всем пациентам с установленным диагнозом СПЕ проводилось молекулярно-генетическое исследование гена STK11.
Результаты
Клиническая характеристика пациентов
При первичном осмотре на себя обращала внимание периоральная пигментация у 27 (90%) пациентов, которая изначально отмечена у 100% пациентов (рис. 1).
Рис. 1. Пигментные пятна на красной кайме губ и слизистой оболочке щек. / Fig. 1. Pigmented spots on the red border of the lips and on the mucous membrane of the cheeks.
Первые жалобы отмечены в детско-юношеском возрасте, при этом медиана возраста составила 11 [7; 19] (0,5–24) лет (табл. 1). У 7 (23%) пациентов жалобы появились в возрасте старше 18 лет. Наиболее часто симптомы связаны с ростом гамартомных полипов в ЖКТ – это тянущая боль в животе у 25 (84%) пациентов, тошнота – 12 (40%) пациентов, падение уровня гемоглобина до 79 [71; 97] (30–112) г/л, обусловленное травматизацией полипов. Однако при локализации полипов в прямой кишке наиболее ранней жалобой стало выпадение полипов из заднего прохода в 2/30 (7%) наблюдениях.
Таблица 1. Клиническая характеристика пациентов / Table 1. Clinical characteristics of patients
Показатель | Пациенты |
Пол, абс. (%): • мужской • женский | 11 (37) 19 (63) |
Семейный анамнез, абс. (%): • есть • нет • нет данных | 20 (66) 8 (27) 2 (7) |
Возраст первых жалоб, лет | 11 [7; 19] (0,5–24)* |
Клинические проявления, абс. (%): • пигментация • тошнота • боли в животе • выпадение полипов из прямой кишки • анемия | 30 (100) 12 (40) 25 (84) 2 (7) 24 (80) |
Гемоглобин, г/л | 79 [71; 97] (30–112)* |
Возраст пациента при 1-й операции, лет | 20 [14; 32] (0,5–45)* |
Возраст пациента при постановке диагноза, лет | 20 [12; 33] (5–49)* |
Патогенные варианты в гене STK11 | 26/30 (87%) |
Возраст пациента при последнем обследовании, лет | 35 [29; 44] (18–69)* |
Период наблюдения, годы | 6 [1; 20] (1–36)* |
*mediana [Q1; Q2] (min–max).
Семейный анамнез прослеживался у 20 (66%) пациентов.
Молекулярно-генетическое исследование пациентов
Среди 30 пациентов патогенные варианты в гене STK11 выявлены в 26 (87%) наблюдениях из 21 семьи. Преимущественно это точковые мутации, и лишь в 2 случаях выявлены большие делеции (табл. 2). Среди всех выявленных патогенных вариантов 10 описаны впервые.
Таблица 2. Виды патогенных вариантов в гене STK11 у 26 пациентов из 21 семьи (красным цветом указаны ранее не описанные мутации) / Table 2. Types of pathogenic variants in the STK11 gene in 26 patients from 21 families (previously undescribed mutations are indicated in red)
Тип патогенного варианта | Название патогенного варианта |
Мутации сайта-сплайсинга | с.598-1G>A c.734+1G>A c.863-1G>A |
Делеции | с.1010_1011del2 (p.Val337GlyfsTer22) с.933_936del4 (p.Lys311AsnfsTer24) c.781delT (p.Tyr261ThrfsTer26) c.747_749delCAC (p.Thr250del) c.256delC (p.Arg86GlufsTer10) |
Миссенс-мутации | с.200T>C (p.Lys67Pro) c.419T>C (p.Leu140Pro) c.527A>T (p.Asp176Val) c.543C>A (p.Asn181Lys) c.526G>A (p.Asp176Asn) |
Нонсенс-мутации | c.759C>A (p.Tyr253Ter) c.475C>T (p.Gln159Ter) с.147C>G (p.Tyr49Ter) |
Крупные делеции | del 2-10 del 1 |
Инсерции | с.126_127insC (p.Ala43ArgfsTer120) с.803_810dup8 (p.Ser271GlyfsTer19) c.574dupA (p.Ile192AsnfsTer74) |
Виды и результаты обследований
Для диагностики полипов в тонкой кишке 17/30 (57%) пациентам выполнена рентгенография тонкой кишки с раствором сульфата бария и 13/30 (43%) – КТ-энтерография с водорастворимым контрастным веществом. У 28/30 (93%) пациентов выявлены полипы от 0,5 см в диаметре и до сливающихся в конгломераты до 3–4 см в диаметре в различных отделах тонкой кишки. У 10/28 из них имелись тонкокишечные инвагинаты протяженностью до 4–10 см. Проксимальное расширение петель тонкой кишки до 2,5–5 см отмечено у 10/28 (36%) пациентов с инвагинатами и у 2/28 (7%) – с крупными полипами, что расценивалось как частичная тонкокишечная непроходимость. Учитывая отсутствие клинических проявлений острой тонкокишечной непроходимости, пациенты оперированы в плановом порядке.
При отсутствии инвагинатов 9/30 (30%) пациентам, в том числе и 2 пациентам, у которых не выявлены полипы тонкой кишки при лучевых методах исследования, выполнена видеокапсульная эндоскопия, по данным которой у всех 9 пациентов имелись множественные (более 20) полипы тонкой кишки диаметром 0,5–15 мм. Данная находка на тактику лечения никак не повлияла, однако эти пациенты требуют более частого обследования (1 раз в 6 мес) для оценки интенсивности роста полипов и своевременного удаления наиболее крупных гамартом. Таким образом, у всех пациентов отмечено поражение тонкой кишки, тогда как в желудке полипы выявлялись у 23/30 (77%) пациентов (рис. 2), а в толстой кишке – у 21/30 (70%). В ходе дальнейшего наблюдения отмечался рост новых полипов как в желудке, так и в толстой кишке (табл. 3).
Рис. 2. Эзофагогастродуоденоскопия, гамартомный полип желудка до 2,5 см в диаметре. / Fig. 2. Esophagogastroduodenoscopy, hamartomatous polyp of the stomach up to 2.5 cm in diameter.
Таблица 3. Распределение полипов по отделам ЖКТ (n=30) / Table 3. Distribution of polyps by gastrointestinal tract (n=30)
Абс. (%) | Желудок | ДПК | Тонкая кишка | Толстая кишка |
Первичное обследование | 23 (77) | 17 (57) | 30 (100) | 21 (70) |
Обследование при последнем посещении | 25 (83) | 23 (77) | 30 (100) | 26 (87) |
Примечание. ДПК – двенадцатиперстная кишка.
Характер хирургических вмешательств, перенесенных пациентами
У 22/30 (73%) пациентов без установленного диагноза СПЕ в 19/22 (86%) наблюдениях показанием к первой операции служила кишечная непроходимость, в 2/22 (9%) – выпадение полипа из прямой кишки и в 1/22 (5%) – наличие крупного полипа в желудке. Последним трем пациентам через 3, 6 и 11 лет в связи с развитием тонкокишечной непроходимости потребовались экстренные операции. Медиана возраста на момент первой операции у 22/30 пациентов составила 19 [10; 21] (0,5–26) лет, тогда как медиана возраста на момент постановки диагноза – 22 [15; 27] (11–49) года. Диагноз устанавливался, как правило, после перенесенных операций.
У 7/8 пациентов с установленным до операции диагнозом СПЕ выполнялись плановые операции в возрасте 17 [13; 36] (12–45) лет. Эти вмешательства в большинстве случаев проходили без резекции участка тонкой кишки и сопровождались расправлением инвагината, энтеротомией, полипэктомией, а у 1 пациентки проводятся плановые эндоскопические полипэктомии.
До 18 лет хирургические вмешательства перенесли 14/30 (47%) пациентов, из них 10 пациентов – в экстренном порядке. Повторно до достижения совершеннолетия прооперированы 5 пациентов.
При экстренных операциях 20/30 (67%) пациентам потребовалась резекция 95 [60; 115] (20–150) см тонкой кишки, тогда как при плановых операциях в 5/30 (17%) наблюдениях резецировалось лишь 17 [10; 20] (5–25) см тонкой кишки. Следует отметить, что в отдаленный период наблюдения ни у одного пациента не отмечалось синдрома короткой кишки.
После постановки диагноза и регулярного обследования при выявлении полипов пациентам выполнялись эндоскопические полипэктомии. Однократно удалялось от 1 до 10 полипов размером от 0,8 до 4 см в диаметре. В случае технических сложностей при полипэктомиях пациенты оперировались в плановом порядке.
Морфологическая картина
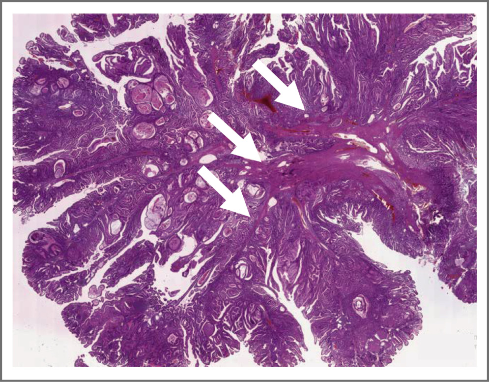
Все удаленные полипы имели строение, характерное для полипов Пейтца–Егерса (рис. 3). Следует отметить, что в других учреждениях согласно результатам гистологического исследования неоднократно выявлялись ворсинчатые аденомы с разной степенью дисплазии.
Рис 3. Типичное морфологическое строение гамартомного полипа тонкой кишки при СПЕ (окраска гематоксилин и эозин, увеличение ×5). Древовидно ветвящиеся пучки гладкомышечных волокон указаны стрелками. / Fig 3. Typical morphological structure of hamartomatous polyp of the small intestine in Peutz–Jeghers syndrome (hematoxylin and eosin, ×5). Tree-branching bundles of smooth muscle fibers are indicated by arrows.
Злокачественные заболевания у пациентов с СПЕ
За время наблюдения злокачественные заболевания выявлены у 8/30 (27%) пациентов. Медиана возраста выявления рака составила 52 [31; 52] (17–59) года.
У женщин преобладал рак репродуктивной системы: рак молочной железы и рак яичников по 2 случая каждого, рак шейки матки и эндометрия по 1 случаю. Также у 1 пациентки диагностирован рак тонкой кишки. Из 11 мужчин у 1 пациента в возрасте 59 лет выявлен рак желудка. У 3 пациенток в дальнейшем развился первично-множественный метахронный рак молочной железы, тонкой кишки и слепой кишки в возрасте 39, 56, 58 лет соответственно.
Среди 20 ближайших родственников, страдавших СПЕ, смерть от злокачественных опухолей различных локализаций наступила у 16 человек в возрасте 54 [34; 59] (33; 70) лет. У них преобладал рак поджелудочной железы 4/16 (25%) и рак толстой кишки – по 4/16 (25%), а также диагностировано по 2 случая рака тонкой кишки, легкого, шейки матки и по 1 случаю рака желудка и слизистой носа.
Обсуждение
Одна из основных проблем СПЕ – это поздняя постановка диагноза, несмотря на наличие периоральной пигментации, которая является клиническим маркером, позволяющим предположить наличие данного синдрома [21]. По данным литературы, эта пигментация выявляется у 85–100% пациентов за несколько лет до появления жалоб [5, 6]. В представленном анализе меланиновые пятна наблюдалась в 100% случаев.
По данным Датского национального регистра, у 25% пациентов жалобы, связанные с ростом полипов, возникали в возрасте до 10 лет, а у 55% пациентов – до 20 лет [22]. При анализе пациентов, обратившихся в Центр семейного колоректального рака в Германии, а также других центров средний возраст появления симптомов составляет примерно 11–13 лет, но с широким диапазоном от 0 до 50 лет [8, 11, 23]. Среди наших пациентов медиана возраста, в котором появились первые жалобы, составила 11 [7; 19] (0,5–24) лет, что соответствует мировым регистрам. Однако пациентов, как правило, начинали лечить симптоматически по поводу гипохромной анемии неясной этиологии, гастрита, колита, панкреатита и других заболеваний.
Одним из наиболее частых осложнений и основной причиной экстренных операций являются инвагинации, которые, как правило, вызываются полипами со средним размером 35 (15–60) мм в диаметре [9]. В возрасте до 18 лет 68% пациентов переносят по 1 экстренной операции и 39% пациентов оперируются повторно [10]. В нашем исследовании по одному хирургическому вмешательству перенесли 47% пациентов и 17% оперированы повторно до достижения совершеннолетия.
До недавнего времени последующие лапаротомии считались рискованными и неэффективными из-за непрерывного роста полипов. Основная тактика ведения пациентов заключалась в динамическом наблюдении [24, 25]. Пациенты оперировались только в тех случаях, когда возникала угроза острой обструкции кишечника. В последнее время с развитием эндоскопии тактика ведения данных пациентов меняется. Показано, что эндоскопическое удаление полипов позволяет избегать полостных вмешательств, и если операция необходима, то она должна выполняться в плановом порядке. M. Van Lier и соавт. рекомендуют удалять все полипы диаметром более 10 мм, так как минимальный размер полипа, вызывающий инвагинацию в их исследовании, оказался размером 15 мм [9].
M. Oncel и соавт. в своей работе продемонстрировали, что у пациентов с СПЕ при удалении всех выявленных полипов методом clean sweep («чистой уборки») на протяжении 21 года не потребовалось проведения полостных операций (p=0,01) [26]. Это согласуется с данным исследованием. Так, 1 пациенту в течение 30 лет проводились эндоскопические полипэктомии из всех отделов ЖКТ, и лишь через 6 лет, после того как он перестал проходить плановые обследования, ему потребовалось хирургическое вмешательство. Второй пациентке диагноз установлен в возрасте 12 лет, и на протяжении 6 лет до настоящего времени ей проводится эндоскопическое удаление полипов.
Наблюдение за пациентами с СПЕ преследует две цели: первая – это снижение осложнений, связанных с полипами; вторая – это раннее выявление рака. Хотя механизм канцерогенеза при СПЕ остается спорным, предложена последовательность гамартома–аденома–аденокарцинома [27]. Теоретически удаление гамартомных полипов ЖКТ потенциально снижает риск злокачественных новообразований в нем. Морфологический анализ резецированных полипов, проведенный Н. Gao и соавт., не выявил в них злокачественной трансформации, но продемонстрировал наличие аденоматозных очагов в 18% исследованных гамартомных полипов [28], тогда как A. Latchford и соавт. в одноцентровом исследовании из 2641 удаленного гамартомного полипа выявили дисплазию/атипию только в 6 (0,24%) из них [29].
Пациенты с СПЕ имеют высокий риск развития рака и в других органах-мишенях, довольно часто в очень раннем возрасте [5, 15, 21]. В различных популяциях частота рака в разных органах отличается. У пациентов с СПЕ в итальянской популяции наиболее часто развивается рак поджелудочной железы, а среди женщин с СПЕ отмечен рак шейки матки [16]. Таким образом, из-за высокого риска поражения органов репродуктивной системы совокупный риск рака в течение жизни у женщин оказался выше по сравнению с мужчинами (22% против 8,6%). В китайской популяции у женщин с СПЕ отмечен повышенный риск развития рака молочной железы. В связи с этим у женщин также значительно более высокий риск развития рака, чем у мужчин (p<0,05) [18].
Среди 30 пациентов, обратившихся в наш центр, преобладал рак органов репродуктивной системы у 6/7 женщин. Однако причиной смерти 11/16 (69%) ближайших родственников, страдающих СПЕ, оказался рак ЖКТ. Таким образом, мы согласны с A. Jelsig и соавт. [22], что основная причина смерти большинства пациентов с СПЕ связана с онкологическими заболеваниями.
Большинство исследователей единодушны в позиции, что наблюдение за пациентами с СПЕ необходимо, но нет единого мнения относительно того, какие органы следует контролировать, с какой частотой и с какого возраста начинать наблюдение [30, 31].
Заключение
Необходимо отметить, что своевременная постановка диагноза и регулярное обследование пациентов с СПЕ могут улучшить их качество жизни, а также продлить продолжительность жизни за счет своевременного удаления полипов и раннего выявления злокачественных новообразований. При этом наличие популяционных особенностей в клинической картине течения заболевания у российских пациентов с СПЕ диктует необходимость разработки собственных рекомендаций по мониторингу и лечению такого рода больных.
Раскрытие интересов. Авторы декларируют отсутствие явных и потенциальных конфликтов интересов, связанных с публикацией настоящей статьи.
Disclosure of interest. The authors declare that they have no competing interests.
Вклад авторов. Авторы декларируют соответствие своего авторства международным критериям ICMJE. Все авторы в равной степени участвовали в подготовке публикации: разработка концепции статьи, получение и анализ фактических данных, написание и редактирование текста статьи, проверка и утверждение текста статьи.
Authors’ contribution. The authors declare the compliance of their authorship according to the international ICMJE criteria. All authors made a substantial contribution to the conception of the work, acquisition, analysis, interpretation of data for the work, drafting and revising the work, final approval of the version to be published and agree to be accountable for all aspects of the work.
Источник финансирования. Авторы декларируют отсутствие внешнего финансирования для проведения исследования и публикации статьи.
Funding source. The authors declare that there is no external funding for the exploration and analysis work.
About the authors
Тatyana A. Savelyeva
Ryzikh State Scientific Center for Coloproctology
Author for correspondence.
Email: savelyeva_ta@gnck.ru
ORCID iD: 0000-0001-9934-3596
врач-колопроктолог 1-го хирургического отд-ния (общей малоинвазивной колопроктологии)
Russian Federation, MoscowАlexey A. Ponomarenko
Ryzikh State Scientific Center for Coloproctology
Email: savelyeva_ta@gnck.ru
ORCID iD: 0000-0001-7203-1859
д-р мед. наук, вед. науч. сотр. отд. онкопроктологии
Russian Federation, MoscowYuri A. Shelygin
Ryzikh State Scientific Center for Coloproctology
Email: savelyeva_ta@gnck.ru
ORCID iD: 0000-0002-8480-9362
акад. РАН, д-р мед. наук, проф., науч. рук.
Russian Federation, MoscowАlexander M. Kuzminov
Ryzikh State Scientific Center for Coloproctology
Email: savelyeva_ta@gnck.ru
ORCID iD: 0000-0002-8489-1853
д-р мед. наук, проф., рук. отд. малоинвазивной колопроктологии и стационарзамещающих технологий
Russian Federation, MoscowDmitry V. Vyshegorodtsev
Ryzikh State Scientific Center for Coloproctology
Email: savelyeva_ta@gnck.ru
ORCID iD: 0000-0001-6679-1843
д-р мед. наук, зав. 1-м хирургическим отд-нием (общей малоинвазивной колопроктологии)
Russian Federation, MoscowАnna N. Loginova
Ryzikh State Scientific Center for Coloproctology
Email: savelyeva_ta@gnck.ru
ORCID iD: 0000-0002-7248-111X
канд. мед. наук, науч. сотр. отд. лабораторной генетики
Russian Federation, MoscowDmitry Yu. Pikunov
Ryzikh State Scientific Center for Coloproctology
Email: savelyeva_ta@gnck.ru
ORCID iD: 0000-0001-7040-6979
канд. мед. наук, ст. науч. сотр. отд. онкопроктологии
Russian Federation, MoscowЕlena P. Goncharova
Ryzikh State Scientific Center for Coloproctology
Email: savelyeva_ta@gnck.ru
ORCID iD: 0000-0001-6785-5191
врач-рентгенолог отд-ния рентгенодиагностики
Russian Federation, MoscowАleksey A. Likutov
Ryzikh State Scientific Center for Coloproctology
Email: savelyeva_ta@gnck.ru
ORCID iD: 0000-0001-5848-4050
канд. мед. наук, рук. отд. эндоскопической диагностики и хирургии
Russian Federation, MoscowОlga A. Mainovskaya
Ryzikh State Scientific Center for Coloproctology
Email: savelyeva_ta@gnck.ru
ORCID iD: 0000-0001-8189-3071
канд. мед. наук, рук. отд. патоморфологии и иммуногистохимических исследований
Russian Federation, MoscowАleksey S. Tsukanov
Ryzikh State Scientific Center for Coloproctology
Email: savelyeva_ta@gnck.ru
ORCID iD: 0000-0001-8571-7462
д-р мед. наук, рук. отд. лабораторной генетики
Russian Federation, MoscowReferences
- Giardiello FM, Trimbath JD. Peutz-Jeghers syndrome and management recommendations. Clin Gastroenterol Hepatol. 2006;4(4):408-15. doi: 10.1016/j.cgh.2005.11.005
- Hemminki A. The molecular basis and clinical aspects of Peutz-Jeghers syndrome. Cell Mol Life Sci. 1999;55(5):735-50. doi: 10.1007/s000180050329
- Jenne DЕ, Reimann H, Nezu J, et al. Peutz-Jeghers syndrome is caused by mutations in a novel serine threonine kinase. Nat Genet. 1998;18(1):38-43. doi: 10.1038/ng0198-38
- Meserve EE, Nucci MR. Peutz-Jeghers Syndrome: Pathobiology, Pathologic Manifestations, and Suggestions for Recommending Genetic Testing in Pathology Reports. Surg Pathol Clin. 2016;9(2):243-68. doi: 10.1016/j.path.2016.01.006
- Beggs AD, Latchford AR, Vasen HF, et al. Peutz-Jeghers syndrome: a systematic review and recommendations for management. Gut. 2010;59(7):975-86. doi: 10.1136/gut.2009.198499
- Шелыгин Ю.А., Поспехова Н.И., Шубин В.П., и др. Пилотное клинико-генетическое исследование российских пациентов с синдромом Пейтца–Егерса. Вопросы онкологии. 2016;62(1):112-6 [Shelygin YuA, Pospekhova NI, Shubin VP, et al. Pilot clinical and genetic study of Russian patients with Peutz–Jeghers syndrome. Oncology Issues. 2016;62(1):112-6 (in Russian)]
- Kopacova M, Tacheci I, Rejchrt S, et al. Peutz-Jeghers syndrome: diagnostic and therapeutic approach. World J Gastroenterol. 2009;15(43):5397-408. doi: 10.3748/wjg.15.5397
- Salloch H, Reinacher-Schick A, Schulmann K, et al. Truncating mutations in Peutz-Jeghers syndrome are associated with more polyps, surgical interventions and cancers. Int J Colorectal Dis. 2010;25(1):97-107. doi: 10.1007/s00384-009-0793-0
- Van Lier MG, Mathus-Vliegen EM, Wagner A, et al. High cumulative risk of intussusception in patients with Peutz-Jeghers syndrome: time to update surveillance guidelines? Am J Gastroenterol. 2011;106(5):940-5. doi: 10.1038/ajg.2010.473
- Hinds R, Philp C, Hyer W, Fell JM. Complications of childhood Peutz-Jeghers syndrome: implications for pediatric screening. J Pediatr Gastroenterol Nutr. 2004;39(2):219-20. doi: 10.1097/00005176-200408000-00027
- Choi HS, Park YJ, Youk EG, et al. Clinical characteristics of Peutz-Jeghers syndrome in Korean polyposis patients. Int J Colorectal Dis. 2000;15(1):35-8. doi: 10.1007/s003840050005
- Spigelman AD, Thomson JP, Phillips RK. Towards decreasing the relaparotomy rate in the Peutz-Jeghers syndrome: the role of peroperative small bowel endoscopy. Br J Surg. 1990;77(3):301-2. doi: 10.1002/bjs.1800770320
- McGarrity TJ, Amos C. Peutz-Jeghers syndrome: clinicopathology and molecular alterations. Cell Mol Life Sci. 2006;63(18):2135-44. doi: 10.1007/s00018-006-6080-0
- Giardiello FM, Brensinger JD, Tersmette AC, et al. Very high risk of cancer in familial Peutz-Jeghers syndrome. Gastroenterology. 2000;119(6):1447-53. doi: 10.1053/gast.2000.20228
- Hearle N, Schumacher V, Menko FH, et al. Frequency and spectrum of cancers in the Peutz-Jeghers syndrome. Clin Cancer Res. 2006;12(10):3209-15. doi: 10.1158/1078-0432.CCR-06-0083
- Resta N, Pierannunzio D, Lenato GM, et al. Cancer risk associated with STK11/LKB1 germline mutations in Peutz-Jeghers syndrome patients: results of an Italian multicenter study. Dig Liver Dis. 2013;45(7):606-11. doi: 10.1016/j.dld.2012.12.018
- Van Lier MG, Westerman AM, Wagner A, et al. High cancer risk and increased mortality in patients with Peutz-Jeghers syndrome. Gut. 2011;60(2):141-7. doi: 10.1136/gut.2010.223750
- Chen HY, Jin XW, Li BR, et al. Cancer risk in patients with Peutz-Jeghers syndrome: A retrospective cohort study of 336 cases. Tumour Biol. 2017;39(6):1010428317705131. doi: 10.1177/1010428317705131
- Шелыгин Ю.А., Имянитов Е.Н., Куцев С.И., и др. Клинические рекомендации. Аденоматозный полипозный синдром. Колопроктология. 2022;21(2):10-24 [Shelygin YuA, Imyanitov EN, Kutsev SI, et al. Clinical recommendations. Adenomatous polyposis syndrome. Coloproctology. 2022;21(2):10-24 (in Russian)]. doi: 10.33878/2073-7556-2022-21-2-10-24
- Wagner A, Aretz S, Auranen A, et al. The Management of Peutz-Jeghers Syndrome: European Hereditary Tumour Group (EHTG) Guideline. J Clin Med. 2021;10(3):473. doi: 10.3390/jcm10030473
- Цуканов А.С., Шубин В.П., Поспехова Н.И., и др. Наследственные раки желудочно-кишечного тракта. Практическая онкология. 2014;15(3):126-33 [Tsukanov AS, Shubin VP, Pospekhova NI, et al. Hereditary cancers of the gastrointestinal tract. Practical Oncology. 2014;15(3):126-33 (in Russian)].
- Jelsig AM, Qvist N, Sunde L, et al. Disease pattern in Danish patients with Peutz-Jeghers syndrome. Int J Colorectal Dis. 2016;31(5):997-1004. doi: 10.1007/s00384-016-2560-3
- Vidal I, Podevin G, Piloquet H, et al. Follow-up and surgical management of Peutz-Jeghers syndrome in children. J Pediatr Gastroenterol Nutr. 2009;48(4):419-25. doi: 10.1097/mpg.0b013e318180af62
- Chiang JM, Chen TC. Clinical manifestations and STK11 germline mutations in Taiwanese patients with Peutz-Jeghers syndrome. Asian J Surg. 2018;41(5):480-5. doi: 10.1016/j.asjsur.2017.08.002
- Янова Т.И., Бодунова Н.А., Хатьков И.Е., и др. Генотип-фенотипические характеристики при синдроме Пейтца–Егерса. Колопроктология. 2022;21(2):72-80 [Yanova TI, Bodunova NA, Khatkov IE, et al. Genotype-phenotypic characteristics in Peitz-Jaegers syndrome. Coloproctology. 2022;21(2):72-80 (in Russian)]. doi: 10.33878/2073-7556-2022-21-2-72-80
- Oncel M, Remzi FH, Church JM, et al. Benefits of 'clean sweep' in Peutz-Jeghers patients. Colorectal Dis. 2004;6(5):332-5. doi: 10.1111/j.1463-1318.2004.00623.x
- Bosman FT. The hamartoma-adenoma-carcinoma sequence. J Pathol. 1999;188(1):1-2. doi: 10.1002/(SICI)1096-9896(199905)188:1<1::AID-PATH327>3.0.CO;2-J
- Gao H, van Lier MG, Poley JW, et al. Endoscopic therapy of small-bowel polyps by double-balloon enteroscopy in patients with Peutz-Jeghers syndrome. Gastrointest Endosc. 2010;71(4):768-73. doi: 10.1016/j.gie.2009.11.005
- Latchford AR, Phillips RK. Gastrointestinal polyps and cancer in Peutz-Jeghers syndrome: clinical aspects. Fam Cancer. 2011;10(3):455-61. doi: 10.1007/s10689-011-9442-1
- Савельева Т.А., Пикунов Д.Ю., Кузьминов А.М., Цуканов А.С. Синдром Пейтца–Егерса: что стало известно за 125 лет изучения? Колопроктология. 2021;20(2):85-96 [Savelyeva TA, Pikunov DYu, Kuzminov AM, Tsukanov AS. Peutz-Jeghers syndrome: what has been known for 125 years of research? Coloproctology. 2021;20(2):85-96 (in Russian)]. doi: 10.33878/2073-7556-2021-20-2-85-96
- Tomas C, Soyer P, Dohan A, et al. Update on imaging of Peutz-Jeghers syndrome. World J Gastroenterol. 2014;20(31):10864-75. doi: 10.3748/wjg.v20.i31.10864
Supplementary files






