Clinical case of generalized amyloidosis (ATTR-amyloidosis) with a progressive course of chronic heart failure. Case report
- Authors: Golubovskaya D.P.1, Dren’ E.V.1, Yurkina A.V.1, Pecherina T.B.1, Barbarash O.L.1
-
Affiliations:
- Research Institute of Complex Problems of Cardiovascular Diseases
- Issue: Vol 96, No 7 (2024): Vario (various)
- Pages: 695-700
- Section: Case reports
- Submitted: 20.03.2023
- Accepted: 17.07.2024
- Published: 30.07.2024
- URL: https://ter-arkhiv.ru/0040-3660/article/view/321487
- DOI: https://doi.org/10.26442/00403660.2024.07.202784
- ID: 321487
Cite item
Full Text
Abstract
Despite the presence of various signs of cardiac amyloidosis ("red flags"), the introduction into routine practice of new non-invasive diagnostic methods (Speckle Tracking technology using echocardiography, myocardial scintigraphy with technetium pyrophosphate, genetic testing, screening for free light chains of immunoglobulins to exclude AL-amyloidosis), which have high specificity and sensitivity, transthyretinic (ATTR) cardiomyopathy is still a difficult to diagnose disease, especially in the early stages when treatment is most effective. The article presents a clinical case of ATTR-amyloidosis with predominant heart damage, manifested by severe diastolic heart failure resistant to treatment. The timing, from the moment of the first episode of decompensation of heart failure to death, is 4 months, which confirms the rapid progression of severe biventricular dysfunction of the heart. Despite the presence of cardiac and extracardial "red flags" of ATTR-amyloidosis in the patient, the diagnosis was established at autopsy. The paper analyzes possible errors of early diagnosis at the outpatient and inpatient stages of patient management.
Full Text
Список сокращений
АКМП – амилоидная кардиомиопатия
ВОЛЖ – выходной отдел левого желудочка
ГКМП – гипертрофическая кардиомиопатия
ГТ ПКДК – гематологический тест на плазмоклеточную дискразию
ДДЛЖ – диастолическая дисфункция левого желудочка
КА – коронарная артерия
КККД им. акад. Л.С. Барбараша – Кузбасский клинический кардиологический диспансер им. акад. Л.С. Барбараша
КМП – кардиомиопатия
ЛАП – лимфаденопатия
ЛЖ – левый желудочек
ЛП – левое предсердие
ОДСН – острая декомпенсация сердечной недостаточности
СИ – сердечный индекс
СН – сердечная недостаточность
СЦМ – сцинтиграфия миокарда
УЗИ – ультразвуковое исследование
УО – ударный объем
ФВ – фракция выброса
ФК – функциональный класс
ФН – физическая нагрузка
ЭКГ – электрокардиография
ЭхоКГ – эхокардиография
AL-амилоидоз – амилоидоз, белком-предшественником которого являются легкие цепи иммуноглобулинов
ATTR-амилоидоз – амилоидоз, белком-предшественником которого является транстиретин
NT-pro-BNP – N-терминальный фрагмент мозгового натрийуретического пропептида
Введение
В кардиологии примерно 90% случаев приходится на 2 типа системного амилоидоза с преимущественным поражением сердца: ATTR-амилоидоз (транстиретиновый) и AL-амилоидоз (амилоидоз легких цепей) [1]. Несмотря на внедрение в алгоритм диагностики новых высокоспецифичных и высокочувствительных неинвазивных методов [2], наличие специфического лечения – с 2021 г. в Российской Федерации внедрен селективный стабилизатор транстиретина (тафамидис) для лечения AТТR-амилоидоза [3], – амилоидная кардиомиопатия (АКМП и КМП) все еще остается заболеванием, которое имеет высокую распространенность, но низкий процент диагностически подтвержденных случаев [4, 5]. Как правило, заболевание диагностируется при наличии развернутой клинической картины тяжелой сердечной недостаточности (СН) или посмертно [6, 7]. Доказано, что при своевременном назначении патогенетической терапии (до проявления СН) существенно снижается частота госпитализаций, смертность, улучшается качество жизни и прогноз пациента с ATTR-амилоидозом [3]. В данной статье представлен клинический случай течения ATTR-амилоидоза с преимущественным поражением сердца, который подтвержден по данным аутопсии.
Описание клинического случая
Пациент Х. (мужчина) 45 лет считает себя больным с декабря 2021 г., когда появилась одышка при умеренной физической нагрузке (ФН). Тогда же он госпитализирован в стационар с пневмонией. В госпитальный период по данным электрокардиографии (ЭКГ) впервые зафиксированы очаговые нарушения процессов реполяризации в миокарде по всем стенкам левого желудочка (ЛЖ), замедление внутрипредсердной проводимости; по эхокардиографии (ЭхоКГ) обнаружена выраженная симметричная гипертрофия ЛЖ без обструкции выходного отдела ЛЖ (ВОЛЖ) (табл. 1). Артериальная гипертензия и клиника стенокардии в анамнезе не прослеживались. После клинического разрешения пневмонии сохранялась одышка в пределах II функционального класса (ФК) по классификации NYHA (шкале Нью-Йоркской ассоциации сердца). Ранее к кардиологу не направляли.
Таблица 1. Показатели ЭхоКГ в динамике
Table 1. Echocardiography indicators in dynamics
Показатели ЭхоКГ | Дата проведения ЭхоКГ | |||
17.12.2021 | 01.04.2022 | 01.06.2022 | 14.06.2022 | |
ФВ по Симпсону, % | 61 | 50 | 39 | 28 |
УО, мл | 84 | 67 | 41 | 28 |
СИ, л/мин/м2 | 2,3 | 2,0 | 1,9 | 1,2 |
Межжелудочковая перегородка, см | 2,3 | 2,5 | 2,5 | 2,5 |
Задняя стенка левого желудочка, см | 1,6 | 1,7 | 1,8 | 2 |
ИММ, г/м2 | 255 | 260 | 275 | 294 |
Обструкция ВОЛЖ | Нет | Нет | Нет | Нет |
КДО по Тейхольцу, мл | 118 | 108 | 113 | 108 |
ЛП, см | 4,5 | 4,6 | 4,7 | 4,7 |
Диаметр правого желудочка, см | 1,7 | 1,8 | 2 | 2 |
ДЛАсист, мм рт. ст. | 22 | 52 | 56 | 67 |
Степень регургитации на митральном клапане | 1 | 1 | 2 | 2 |
Степень регургитации на трикуспидальном клапане | 0 | 2 | 2 | 2 |
Тип ДДЛЖ | Не оценивался | 2 | 2 | 2 |
GLPS Avq, % | Не оценивался | Не оценивался | -4,4 | -3,6 |
Примечание. КДО – конечно-диастолический объем, ДЛАсист – систолическое давление в легочной артерии, ИММ – индексированная масса миокарда, GLPS Avq – среднее значение общей продольной деформации ЛЖ на пике систолы (стрейн).
Анамнез жизни. Пациент рос и развивался соответственно возрасту, имеет двоих здоровых детей. Анамнез по сердечно-сосудистым заболеваниям не отягощен.
У пациента имеются следующие инфекционные заболевания: ВИЧ (вирус иммунодефицита человека) неуточненной давности (ремиссия на фоне терапии), хронический вирусный гепатит С. Курит с 17 лет до 10 сигарет в день, наркоманию отрицает.
Обращает на себя внимание то, что в 2014 г. пациент проходил лечение туннельного синдрома слева со слабым положительным эффектом, в 2015 г. – грудного остеохондроза (жалобы на болезненность и слабость в верхних конечностях). В 2015 г. по данным инструментальных исследований регистрирована лимфаденопатия (ЛАП) брюшной полости и аксиллярных лимфатических узлов. Тогда же по ЭКГ описаны метаболические изменения в миокарде.
Пациент работал грузчиком, толерантность к ФН сохранялась высокая до декабря 2021 г., после чего был вынужденно переведен на облегченный труд (водитель погрузчика) из-за одышки.
Течение настоящего заболевания
1-й эпизод декомпенсации СН. 01.04.2022 обратился в поликлинику ГБУЗ «КККД им. акад. Л.С. Барбараша» с жалобами на одышку при бытовой ФН (III ФК по NYHA). После дообследования – ультразвукового исследования (УЗИ) плевральных полостей – выявлен двусторонний гидроторакс 10 см слева, 7,5 см справа, по поводу чего направлен в приемное отделение ГБУЗ «КККД им. акад. Л.С. Барбараша» с последующей госпитализацией в отделение неотложной кардиологии с признаками острой декомпенсации СН (ОДСН) [8].
Объективный статус (приемное отделение – 01.04.2022). Общее состояние – средней степени тяжести, обусловленное ОДСН. Сознание ясное, лежит с приподнятым изголовьем. Кожные покровы и видимые слизистые – бледно-розовые. Периферические лимфатические узлы не увеличены. Симметричные отеки до уровня колена. Набухание яремных вен. Вес – 66,0 кг, рост – 170 см, окружность талии – 79,0 см, окружность бедер – 65,0 см. Индекс массы тела – 22,8 кг/м2. Дыхание жесткое, отсутствие дыхательных шумов в нижних отделах легких с обеих сторон. Частота дыхания – 18 в минуту. Сатурация (SpO2) – 91%. При перкуссии – тупой звук до угла лопатки с обеих сторон. Тоны сердца приглушены, ритмичные, патологические шумы не выслушиваются. Верхушечный толчок не пальпируется. Артериальное давление на обеих руках – 105 и 60 мм рт. ст. Частота сердечных сокращений – 82 уд/мин, акцент II тона над легочной артерией. Живот при пальпации мягкий, безболезненный. Печень выступает из-под реберной дуги (+3 см), край безболезненный. Перитонеальные симптомы отрицательные. Мочеиспускание не нарушено, пузырные симптомы отрицательные.
Лабораторные исследования. Повышение креатинина – до 132 мкмоль/л, мочевины – до 8,9 ммоль/л; NT-pro-BNP (N-терминальный фрагмент мозгового натрийуретического пропептида) достигал 16 000 пг/мл. По остальным лабораторным показателям – вариант нормы.
Инструментальные исследования. По ЭхоКГ: симметричная гипертрофия ЛЖ без обструкции ВОЛЖ, размеры и объемные показатели ЛЖ и правого желудочка в пределах нормальных значений, дилатация ЛП до 4,6 см. Обращает на себя внимание наличие диастолической дисфункции ЛЖ (ДДЛЖ) по II типу (рестриктивный), сохранная фракция выброса (ФВ) ЛЖ 62%, снижение ударного объема (УО) до 22 мл и сердечного индекса (СИ) до 0,9 л/мин/м2 (см. табл. 1). По ЭКГ на фоне синусового ритма прослеживался низкий вольтаж ЭКГ-отведений от конечностей, нарушение процессов реполяризации миокарда верхнебоковой области (косонисходящая депрессия сегмента ST, отрицательный зубец Т); рис. 1. По данным суточного мониторирования ЭКГ выявлены эпизоды желудочковой тахикардии (IVБ-градация по Лауну). Выполнена коронароангиография, по данным которой коронарные артерии (КА) без поражения, однако отмечено замедление кровотока по всем КА до TIMI 2 – шкале Thrombolysis In Myocardial Infarction (пульсирующий кровоток). По УЗИ органов брюшной полости: асцит, ЛАП. По рентгенографии органов грудной клетки: венозный застой 2-й степени, двусторонний гидроторакс.
Рис. 1. Электрокардиограмма
Fig. 1. Electrocardiogram
По результату консилиума рекомендована имплантация кардиовертера-дефибриллятора в плановом порядке для профилактики внезапной сердечной смерти, показаний к оперативному лечению не определено. Пациент выписан на амбулаторный этап через 13 дней с улучшением, с окончательным диагнозом: гипертрофическая КМП (ГКМП) без обструкции ВОЛЖ. После выписки из стационара с первых дней на фоне рекомендованной терапии (бисопролол 2,5 мг/сут, амлодипин 2,5 мг/сут, периндоприл 1 мг/сут, амиодарон 200 мг/сут, спиронолактон 50 мг/сут, торасемид 30 мг/сут, эмпаглифлозин 10 мг/сут) стал отмечать нарастание одышки, склонность к гипотонии, однако за медицинской помощью не обращался. Помимо признаков прогрессирования СН у пациента появились диспептические расстройства: частый стул малыми порциями, тошнота, рвота. Ввиду появления непереносимости горизонтального положения и выраженных отеков 01.06.2022 (через 60 дней после выписки из стационара) самостоятельно обратился в приемное отделение ГБУЗ «КККД им. акад. Л.С. Барбараша» с последующей госпитализацией с признаками ОДСН.
2-й эпизод декомпенсации СН (с 01.06.2022 по 22.06.2022).
Лабораторные исследования. Сохранялся высокий уровень NT-pro-BNP до 18 300 пг/мл, азотистых оснований (креатинин – 168 мкмоль/л, мочевина – 15,6 ммоль/л). По общему анализу крови – снижение гемоглобина до 118 г/л, остальные показатели в пределах нормы. В анализе мочи выявлена протеинурия.
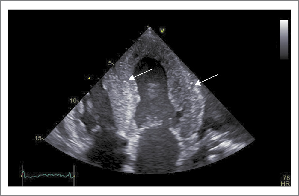
Инструментальные исследования. ЭхоКГ-исследование проведено на аппарате экспертного класса General Electric Vivid iq в ФГБНУ НИИ КПССЗ (см. табл. 1). Дополнительно, к ранее представленным данным, отмечалось снижение ФВ до 39%, а также «свечение» миокарда с гиперэхогенными включениями (рис. 2). Согласно современным рекомендациям [9] использована технология Speckle Tracking с оценкой деформации миокарда, по результатам которой выявлена типичная картина для амилоидоза сердца – выраженное снижение деформации средних и базальных сегментов ЛЖ с сохраненной деформацией верхушечных сегментов (рис. 3, 4). Показатель GLS (глобальной продольной деформации) снижен до -4,4%, через 14 дней он снизился до -3,6% (см. табл. 1). По УЗИ плевральных полостей – двусторонний гидроторакс (слева – 12 см, справа – 7,6 см). В рамках госпитализации магнитно-резонансную томографию с контрастированием гадолинием не проводили по техническим причинам.
Рис. 2. Трехмерная ЭКГ (апикальное четырехкамерное сечение). На фоне выраженного симметричного утолщения стенок ЛЖ отмечается «свечение» миокарда с гиперэхогенными включениями – глыбками амилоида (указаны стрелками)
Fig. 2. Three-dimensional echocardiography (apical four-chamber section). Against the background of a pronounced symmetrical thickening of the walls of the left ventricle, there is a glow of the myocardium with hyperechoic inclusions – lumps of amyloid (indicated by arrows)
Рис. 3. Технология Speckle Tracking ЭКГ, апикальное сечение. Выраженное снижение деформации средних и базальных сегментов ЛЖ (голубой и розовый цвета) с сохраненной деформацией верхушечных сегментов (красный цвет)
Fig. 3. Speckle Tracking echocardiography technology, apical section. Pronounced reduction in deformation of the middle and basal segments of the left ventricle (blue and pink) with preserved deformation of the apical segments (red)
Рис. 4. Технология Speckle Tracking ЭКГ в виде «бычьего глаза»
Fig. 4. Speckle Tracking echocardiography technology in the form of a "bull's eye"
В рамках госпитализации проведена терапия, направленная на компенсацию СН, но учитывая большой объем жидкости в плевральной полости слева, проведена ее пункция. Пациент выписан с умеренным улучшением. В плановом порядке рекомендовано проведение сцинтиграфии миокарда (СЦМ) с пирофосфатом технеция на наличие ATTR-КМП, гематологических тестов на плазмоклеточную дискразию – ГТ ПКДК (электрофорез белков с иммунофиксацией мочи и сыворотки крови на наличие свободных цепей иммуноглобулинов).
После выписки регулярно принимал назначенную терапию (бисопролол 2,5 мг/сут, сакубитрил/валсартан 50 мг 2 раза в день, амиодарон 200 мг/сут, спиронолактон 50 мг/сут, торасемид 40 мг/сут, эмпаглифлозин 10 мг/сут), на фоне которой вновь стал отмечать нарастание одышки вплоть до непереносимости горизонтального положения, периферических отеков, прибавку в весе (+ 5 кг за 5 дней). На амилоидоз сердца, согласно рекомендациям в выписке, амбулаторно не обследован.
3-й эпизод декомпенсации СН. С 27.06.2022 – отсутствие диуреза, в этот же день доставлен в ГБУЗ «КККД им. акад. Л.С. Барбараша», госпитализирован в отделение реанимации и интенсивной терапии.
Лабораторные исследования. По биохимическим анализам крови повышение трансаминаз (до 400 Ед/л), азотистых оснований (креатинин до 300 мкмоль/л, мочевина до 30 ммоль/л), гипоальбуминемия и гипопротеинемия, низкие показатели всех фракций холестерина, уровень NT-pro-BNP также сохранялся высоким (16 000 пг/мл). По данным коагулограммы – признаки гиперкоагуляции. По общему анализу крови – лейкоцитоз, анемия легкой степени тяжести.
Инструментальные исследования. По данным компьютерной томографии легких на фоне венозного застоя 3-й степени и двустороннего гидроторакса (слева – 8,0 см, справа – 1,5 см) – течение полисегментарной пневмонии слева (проводилась антибиотикотерапия). По УЗИ органов брюшной полости: гепатомегалия, повышенное давление в нижней полой вене, асцит, ЛАП, признаки неокклюзирующего тромбоза воротной вены. По данным УЗИ почек: диффузные изменения почек, в том числе «застойного характера». Выполнена ангиопульмонография, по результатам которой выявлена тромбоэмболия мелких ветвей левого легкого, тромбы в ушках правого и левого (ЛП) предсердий (на фоне синусового ритма), воротной вены, селезеночной вены, косвенные признаки паретической толстокишечной непроходимости. В динамике по ЭхоКГ – снижение ФВЛЖ до 28% (см. табл. 1).
В период пребывания в реанимации дважды проведена пункция плевральной полости слева (удалено по 1500 мл транссудата). На фоне проводимой терапии возобновился диурез, однако сохранялась гипотония на фоне инотропной и вазопрессорной поддержки, прослеживалась слабая положительная динамика в лечении отечного синдрома.
Учитывая тяжесть состояния пациента, частые рецидивы декомпенсаций СН, рефрактерность к базовой терапии, планировалось проведение СЦМ с пирофосфатом технеция с ГТ ПКДК в госпитальный период для подтверждения и диагностики типа АКМП. Однако 20.07.2022, несмотря на усиленную терапию СН и вазопрессорную поддержку, констатирована смерть пациента.
Диагноз по результатам аутопсии: генерализованный амилоидоз с поражением сердца, почек, печени, селезенки. Осложнения: амилоидная кардиомегалия (780 г), двусторонняя полисегментарная пневмония, рассеянные очаги инфаркт-пневмонии в легких, внутрипредсердный тромбоз, хроническое венозное полнокровие, асцит, двусторонний гидроторакс, гидроперикард, гепатоспленомегалия, отек легких и головного мозга, дистрофические изменения внутренних органов. По результатам гистологического исследования препаратов, окрашенных Конго красным, амилоидные скопления определены во всех исследованных образцах: как в интерстициальном пространстве миокарда, так и в стенке кровеносных сосудов сердца. Иммуногистохимический анализ с применением антител доказал наличие транстиретина в депозитах амилоида.
На рис. 5 графически представлена история заболевания.
Рис. 5. Графическое представление анамнеза заболевания
Fig. 5. Graphical representation of the history of the disease
Обсуждение
Представленный клинический случай демонстрирует сложность ранней диагностики амилоидоза, полисимптомность заболевания, быстрое прогрессирование тяжелой дисфункции сердца, резистентной к стандартной терапии СН. В обсуждении представлен разбор диагностических и тактических ошибок в ведéнии данного пациента.
Дебютировало заболевание 8 лет назад с неврологической симптоматики (туннельный синдром, болезненность и слабость в верхних конечностях). Учитывая молодой возраст и условия работы, проводилось типичное лечение грудного остеохондроза. Метаболические изменения по ЭКГ от 2015 г. имеют неспецифический характер, поэтому остались без внимания врачей. Учитывая отягощенный инфекционный анамнез, ЛАП расценена как следствие приобретенного иммунодефицита. В течение 6 последующих лет пациент за медицинской помощью не обращался, имел высокую толерантность к ФН. В конце 2021 г. впервые зафиксированы изменения, характерные для фенотипа ГКМП (см. табл. 1) [9]. Однако и эти данные не вызвали подозрения ввиду их низкой специфичности. Возможно, это связано с отсутствием явной клиники СН и превалированием симптомов дыхательной недостаточности на фоне течения пневмонии. Общие диагностические и лечебные стратегии с имеющимися симптомами не требовали наблюдения у кардиолога. Поводом для обращения к кардиологу послужил 1-й эпизод декомпенсации СН, который произошел в апреле 2022 г. Уже тогда картина соответствовала критериям болезни накопления [9]:
1) по данным ЭхоКГ морфофункциональный вариант соответствовал рестриктивной КМП с выраженной симметричной гипертрофией ЛЖ без обструкции ВОЛЖ, с нормальными размерами и объемами полостей обоих желудочков и дилатацией ЛП, сохранной ФВ со сниженным уровнем СИ и УО; ДДЛЖ II тип; относительная толщина стенки ЛЖ 0,94; GLPS Avq – -3,6%;
2) по ЭКГ – низкий вольтаж, нарушение процессов реполяризации, нарушения ритма (эпизоды желудочковой тахикардии по данным суточного мониторирования ЭКГ) и проводимости (внутрипредсердные блокады и замедление внутрижелудочкового проведения);
3) на фоне выраженной гипертрофии ЛЖ отсутствие артериальной гипертензии в анамнезе и склонность к гипотонии на фоне терапии препаратами для СН;
4) по КА – замедление кровотока при отсутствии окклюзионно-стенотических поражений (может быть следствием накопления амилоида в стенках артерий);
5) стабильно высокий уровень NT-pro-BNP.
Несмотря на имеющиеся «красные флаги» АКМП [9], подозрения в пользу данного заболевания отсутствовали. Пациент выписан с диагнозом ГКМП без обструкции ВОЛЖ, с консервативной тактикой ведéния с коррекцией доз медикаментозной терапии. Поводом для пересмотра диагноза послужила ранняя (через 2 мес) повторная госпитализация по поводу тяжелой ОДСН, резистентной к терапии как медикаментозной (слабая положительная динамика отечного синдрома, сохраняющаяся гипотония на фоне вазотропной поддержки), так и инвазивной (неоднократная пункция плевральной полости). Тогда же присоединились тромбоэмболические осложнения, которые часто сопровождают амилоидоз; экстракардиальные проявления амилоидоза: вегетативная дисфункция по типу желудочно-кишечных расстройств и признаков паретической толстокишечной непроходимости по инструментальным данным, нефропатия, гепатомегалия (стоит учитывать наличие вирусного гепатита С в анамнезе, застойную СН). Не исключается поражение плевры амилоидом (рецидивирующий плевральный выпот) [9, 10]. Согласно современным рекомендациям [9] проведена ЭхоКГ с оценкой деформации миокарда, результаты которой показали типичные изменения для АКМП. Планировалось проведение СЦМ с пирофосфатом технеция с ГТ ПКДК в госпитальный период для подтверждения и диагностики типа АКМП, однако вследствие нарастания полиорганной недостаточности больной скончался в отделении реанимации и интенсивной терапии. Учитывая имеющиеся результаты гистологического и иммуногистохимического исследований (данные аутопсии), пациенту посмертно выставлен диагноз ATTR-амилоидоза.
Заключение
Несмотря на наличие «красных флагов», достижения в области визуализации сердца (расширение специфических критериев АКМП по ЭхоКГ), внедрение высокочувствительных и специфичных методов неинвазивной диагностики в рутинную практику (СЦМ), амилоидоз сердца остается все еще сложно диагностируемым заболеванием, особенно в ранние сроки, когда его лечение наиболее эффективно.
Раскрытие интересов. Авторы декларируют отсутствие явных и потенциальных конфликтов интересов, связанных с публикацией настоящей статьи.
Disclosure of interest. The authors declare that they have no competing interests.
Вклад авторов. Авторы декларируют соответствие своего авторства международным критериям ICMJE. Д.П. Голубовская – работа с медицинской документацией, анализ данных, написание статьи; Е.В. Дрень – анализ теоретических данных, работа с литературой; А.В. Юркина – набор данных из медицинской документации; Т.Б. Печерина – анализ теоретических данных, редактирование, корректирование статьи; О.Л. Барбараш – анализ полученных результатов, проверка критически важного интеллектуального содержания, окончательное утверждение рукописи для публикации.
Authors’ contribution. The authors declare the compliance of their authorship according to the international ICMJE criteria. D.P. Golubovskaya – medical documentation review, data analysis, text writing; E.V. Dren' – analysis of theoretical data, literature review; A.V. Iurkina – data collection from medical documentation; T.B. Pecherina – analysis of theoretical data, editing, correction of the article; O.L. Barbarash – analysis of the results obtained, verification of critical intellectual content, final approval of the manuscript for publication.
Источник финансирования. Авторы декларируют отсутствие внешнего финансирования для проведения исследования и публикации статьи.
Funding source. The authors declare that there is no external funding for the exploration and analysis work.
About the authors
Daria P. Golubovskaya
Research Institute of Complex Problems of Cardiovascular Diseases
Author for correspondence.
Email: dasha250695k@mail.ru
ORCID iD: 0000-0002-3922-009X
мл. науч. сотр. лаб. фиброгенеза миокарда
Russian Federation, KemerovoElena V. Dren’
Research Institute of Complex Problems of Cardiovascular Diseases
Email: dasha250695k@mail.ru
ORCID iD: 0000-0002-5469-7638
очный аспирант по специальности «кардиология», лаборант-исследователь лаб. фиброгенеза миокарда
Russian Federation, KemerovoAnastasia V. Yurkina
Research Institute of Complex Problems of Cardiovascular Diseases
Email: dasha250695k@mail.ru
ORCID iD: 0009-0001-9761-9197
мл. науч. сотр. лаб. фиброгенеза миокарда
Russian Federation, KemerovoTamara B. Pecherina
Research Institute of Complex Problems of Cardiovascular Diseases
Email: dasha250695k@mail.ru
ORCID iD: 0000-0002-4771-484X
д-р мед. наук, доц., зав. лаб. фиброгенеза миокарда
Russian Federation, KemerovoOlga L. Barbarash
Research Institute of Complex Problems of Cardiovascular Diseases
Email: dasha250695k@mail.ru
ORCID iD: 0000-0002-4642-3610
акад. РАН, д-р мед. наук, проф., директор
Russian Federation, KemerovoReferences
- Rapezzi C, Merlini G, Quarta CC, et al. Systemic cardiac amyloidoses: Disease profiles and clinical courses of the 3 main types. Circulation. 2009;120(13):1203-12. doi: 10.1161/CIRCULATIONAHA.108.843334
- Maurer MS, Bokhari S, Damy T, et al. Expert consensus recommendations for the suspicion and diagnosis of transthyretin cardiac amyloidosis. Circ Heart Fail. 2019;12(9):e006075. doi: 10.1161/CIRCHEARTFAILURE.119.006075
- Maurer MS, Schwartz JH, Gundapaneni B, et al. Tafamidis treatment for patients with transthyretin amyloid cardiomyopathy. N Engl J Med. 2018;379(11):1007-16. doi: 10.1056/NEJMoa1805689
- Lahuerta Pueyo C, Aibar Arregui MÁ, Gracia Gutierrez A, et al. Estimating the prevalence of allelic variants in the transthyretin gene by analysing large-scale sequencing data. Eur J Hum Genet. 2019;27(5):783-91. doi: 10.1038/s41431-019-0337-1
- Резник Е.В., Степанова E.A., Нгуен Т., и др. Ретроспективный анализ поражения сердечно-сосудистой системы у больных системным амилоидозом. Кардиоваскулярная терапия и профилактика. 2021;20(1):2496 [Reznik EV, Stepanova EA, Nguyen T, et al. Retrospective analysis of cardiovascular involvement in patients with systemic amyloidosis. Cardiovascular Therapy and Prevention. 2021;20(1):2496 (in Russian)]. doi: 10.15829/1728-8800-2021-2496
- Tanskanen M, Peuralinna T, Polvikoski T, et al. Senile systemic amyloidosis affects 25% of the very aged and associates with genetic variation in alpha2-macroglobulin and tau: A population-based autopsy study. Ann Med. 2008;40(3):232-9. doi: 10.1080/07853890701842988
- Rowczenio D, Quarta CC, Fontana M, et al. Analysis of the TTR gene in the investigation of amyloidosis: A 25-year single UK center experience. Hum Mutat. 2019;40(1):90-6. doi: 10.1002/humu.23669
- Окунев И.М., Кочергина А.М., Кашталап В.В. Хроническая и острая декомпенсированная сердечная недостаточность: актуальные вопросы. Комплексные проблемы сердечно-сосудистых заболеваний. 2022;11(2):184-95 [Okunev IM, Kochergina AM, Kashtalap VV. Chronic and acute decompensated heart failure: Topical issues. Complex Issues of Cardiovascular Diseases. 2022;11(2):184-95 (in Russian)]. doi: 10.17802/2306-1278-2022-11-2-184-195
- Терещенко С.Н., Жиров И.В., Моисеева О.М., и др. Практические рекомендации по диагностике транстиретиновой амилоидной кардиомиопатии (ATTR-КМП или транстиретинового амилоидоза сердца). Терапевтический архив. 2022;94(4):584-95 [Tereshchenko SN, Zhirov IV, Moiseeva OM, et al. Practical guidelines for the diagnosis and treatment of transthyretin amyloid cardiomyopathy (ATTR-CM or transthyretin cardiac amyloidosis). Terapevticheskii Arkhiv (Ter. Arkh.). 2022;94(4):584-95 (in Russian)]. doi: 10.26442/00403660.2022.04.201465
- Резник Е.В., Нгуен Т.Л., Степанова Е.А., и др. Амилоидоз сердца: взгляд терапевта и кардиолога. Архивъ внутренней медицины. 2020;10(6):430-57 [Reznik EV, Nguyen TL, Stepanova EA, et al. Cardiac amyloidosis: Internist and cardiologist insight. The Russian Archives of Internal Medicine. 2020;10(6):430-57 (in Russian)]. doi: 10.20514/2226-6704-2020-10-6-430-457
Supplementary files








