Difficulties in differential diagnosis of the AL- and ATTR-cardiac amyloidosis. Case report
- Authors: Orlov F.I.1, Ansheles A.A.1, Nasonova S.N.1, Saidova M.A.1, Zhirov I.V.1,2, Stepanova E.A.2, Suvorina M.Y.3, Shoshina A.A.1, Tereshchenko S.N.1, Sergienko V.B.1
-
Affiliations:
- Chazov National Medical Research Center of Cardiology
- Russian Medical Academy of Continuous Professional Education
- Institute of Protein Research
- Issue: Vol 95, No 9 (2023)
- Pages: 789-795
- Section: Case reports
- Submitted: 12.03.2023
- Published: 03.11.2023
- URL: https://ter-arkhiv.ru/0040-3660/article/view/321287
- DOI: https://doi.org/10.26442/00403660.2023.09.202376
- ID: 321287
Cite item
Full Text
Abstract
The article presents a clinical case describing a complex differential diagnosis of cardiac amyloidosis types and verification of the diagnosis of AL-amyloidosis.
Full Text
Список сокращений
Амилоидоз – группа заболеваний, обусловленных отложением во внеклеточном пространстве патологического нерастворимого фибриллярного гликопротеида – амилоида. В настоящее время открыто 42 амилоидогенных белка [1], каждый из которых обладает различной степенью способности поражения органов-мишеней, что обусловливает значительные трудности в их диагностике. Тем не менее подавляющая часть всех диагнозов амилоидоза с поражением сердца приходится на AL- и TTR-формы [2].
Транстиретиновый амилоидоз (ATTR-амилоидоз) можно разделить на наследственную (ATTRv) форму из-за мутации в молекуле транстиретина и дикий тип (ATTRwt), в котором мутация не идентифицирована и отложение амилоида происходит ввиду возрастных нарушений секреции тетрамеров транстиретина печенью. В обоих случаях происходит распад тетрамеров транстиретина до мономеров, обладающих выраженной конформационной нестабильностью [3]. В последнее время для сдерживания прогрессирования данной формы существуют специфические болезнь-модифицирующие препараты, которые оказываются достаточно эффективными в случае назначения на ранних стадиях развития неврологических и кардиологических проявлений [4].
Тем не менее наиболее распространенной формой (около 68% всех случаев) является амилоидоз легких цепей иммуноглобулинов (AL-амилоидоз). Средний возраст больных составляет 40–80 лет (доля заболевания лиц моложе 40 лет не превышает 1%), мужчины и женщины подвержены риску в одинаковой мере [1, 2]. В основе амилоидогенеза при данной форме лежит формирование аномального клона плазматических клеток костного мозга, которые в большом количестве синтезируют амилоидные легкие цепи иммуноглобулинов, чаще лямбда (λ)-, реже каппа (κ)-типов, откладывающиеся в виде нерастворимых амилоидных фибрилл в тканях органов-мишеней. Увеличение концентрации белка-предшественника (λ или κ) выше порогового значения или их токсичность могут автоматически приводить к началу фибриллогенеза [5]. Поражение сердца отмечается в 50–90% случаях и является одним из самых тяжелых клинических проявлений AL-амилоидоза. На субклеточном уровне первоначальным ответом на токсичность легких цепей является дисфункция лизосом с нарушением аутофагии, клеточной дисфункции, нарушением гомеостаза кальция и гибели клеток. Амилоидные фибриллы, обладая кардиотоксическим эффектом, связываются с поверхностью кардиомиоцитов и вызывают нарушение клеточной метаболической активности [6].
AL-амилоидоз – наиболее агрессивная форма системного амилоидоза, при этом клинические проявления амилоидного поражения миокарда зачастую неспецифичны и во многом пересекаются с другими заболеваниями сердца [7]. Как правило, AL-амилоидоз дебютирует проявлением сердечной недостаточности (СН) с сохранной фракцией выброса левого желудочка (ФВ ЛЖ), но без правильно подобранной терапии и при вовлечении в процесс других систем органов (почек, нервной системы) в течение короткого времени заболевание способно стремительно прогрессировать, являясь причиной высокого риска летальности [8]. К сожалению, к моменту постановки диагноза у больных уже отмечаются резкое снижение ФВ, бивентрикулярная (преимущественно правожелудочковая) СН, ортостатическая гипотензия, отеки нижних конечностей, асцит, кахексия. В связи с этим для снижения риска летального исхода крайне важной является ранняя диагностика по установленному алгоритму [9].
«Золотым стандартом» в диагностике и типировании амилоидоза являются инвазивные диагностические методики, которые применяются при сомнительных результатах лабораторной диагностики и сцинтиграфии [10]. Достоверный диагноз амилоидоза сердца устанавливается при гистологическом исследовании эндомиокардиального биоптата [11]. Для типирования амилоидоза наиболее точными являются методы масс-спектрометрии и иммуноэлектронной микроскопии, в настоящий момент труднодоступные и дорогие. Более доступно иммуногистохимическое исследование, однако для его рутинного применения также существуют технические трудности. В реальной клинической практике упор делается на лабораторные и инструментальные диагностические методы, однако в случае получения сомнительных или ошибочных результатов своевременная диагностика и лечение пациента могут временно пойти в неверном направлении, что в случае AL-амилоидоза является критическим фактором для жизни пациента.
В качестве примера приводим описание клинического случая, наглядно отражающего сложный диагностический поиск на пути к верификации диагноза AL-амилоидоза, а также стремительное течение данного заболевания. Пациентка Л., 40 лет, в октябре 2020 г. впервые поступила в ФГБУ «НМИЦ кардиологии имени акад. Е.И. Чазова» с жалобами на одышку при минимальной физической нагрузке (ходьба до 50 м), мышечную слабость верхних и нижних конечностей, онемение и чувство жжения языка, отеки нижних конечностей, увеличение окружности живота.
Из анамнеза известно, что в декабре 2018 г. после длительного пребывания на холоде пациентка начала отмечать снижение чувствительности пальцев рук, мышечную слабость верхних конечностей, боли в локтевых и коленных суставах, по поводу чего самостоятельно принимала нестероидные противовоспалительные препараты. В октябре 2019 г. впервые возникло кратковременное синкопальное состояние, которому предшествовало потемнение в глазах, приступ удушья, холодный пот. В ноябре 2019 г. пациентка отметила появление и постепенно нарастание отеков нижних конечностей, ввиду чего госпитализирована по месту жительства, где по данным эхокардиографии (ЭхоКГ) выявлено: ФВ ЛЖ 57%, диастолическая дисфункция ЛЖ рестриктивного типа, значительное повышение эхогенности миокарда, недостаточность митрального клапана (МК) 2-й степени, недостаточность аортального клапана 1-й степени, недостаточность трикуспидального клапана (ТК) 2-й степени, выраженная легочная гипертензия – систолическое давление в легочной артерии – 51,7 мм рт. ст., симметричное небольшое количество жидкости в плевральных полостях, признаки асцита. По данным электрокардиографии (ЭКГ) – синусовый ритм с частотой сердечных сокращений (ЧСС) 110 уд/мин, снижен вольтаж ЭКГ-кривой, замедление проведения по левой ножке пучка Гиса. Во время госпитализации получала терапию: ингибитор ангиотензинпревращающего фермента (эналаприл), β1-адреноблокатор (метопролол), антагонист минералокортикоидных рецепторов (спиронолактон), петлевой диуретик (фуросемид). Вынесен диагноз – «миокардит». На фоне терапии уменьшилась одышка, сохранялись отеки обеих нижних конечностей до голеностопных суставов. В январе 2020 г. амбулаторно проведена магнитно- резонансная томография сердца с внутривенным контрастированием, выявлены диффузные изменения структуры миокарда (как вероятные проявления амилоидоза сердца), снижение глобальной сократимости миокарда. С мая 2020 г. отмечала ухудшение состояния в виде нарастания одышки, отеков нижних конечностей. В августе 2020 г. при контрольном ЭхоКГ отмечается прогрессивное снижение ФВ ЛЖ до 40%. Выполнена биопсия прямой кишки для подтверждения амилоидного поражения. При гистологическом исследовании выявлено отложение амилоида. Проводилось типирование М-градиента сыворотки крови методом иммунофиксации с панелью антисывороток, при этом данных за парапротеинемию не выявлено. В октябре 2020 г. впервые поступила ФГБУ «НМИЦ кардиологии имени акад. Е.И. Чазова» в связи с ухудшением состояния для диагностики и определения тактики лечения.
При поступлении состояние пациентки расценено как тяжелое. Кожные покровы синюшного оттенка, на передней грудной стенке – множественные геморрагии, периорбитальная пурпура, отеки нижних конечностей, отечность подкожной жировой клетчатки, молочных желез, набухшие вены шеи. Перкуторно – притупление легочного звука над нижними отделами легких справа, дыхание везикулярное с жестким оттенком, резко ослаблено в нижних отделах справа. Тоны сердца приглушены, ритмичные, выслушивался акцент II тона над легочной артерией, систолический шум в точках аускультации митрального и трикуспидального клапанов, диастолический шум над легочной артерией, ритм галопа, ЧСС 92 уд/мин, гипотония (артериальное давление – 80/60 мм рт. ст. на обеих руках). Язык увеличен в размерах, отечен, по боковой поверхности – отпечатки зубов (макроглоссия). Живот при пальпации безболезненный, увеличен за счет асцита, не напряжен. Печень выступает на 5 см от края реберной дуги, при пальпации гладкая, безболезненная.
В анализах крови обращало внимание повышение уровня мозгового натрийуретического пептида до 2512,8 пг/мл (N<100 пг/мл); гипокалиемия – калий 2,8 ммоль/л (N 3,5–5,3 ммоль/л); повышение общего билирубина до 29,6 мкмоль/л (N 1,7–20,5 мкмоль/л); лейкоцитоз до 15,2×109/л (N 4,8–10,8×109/л). По результатам общего анализа мочи отмечены признаки нефротического синдрома – повышение белка мочи до 1,39 г/л (при норме лаборатории 0,00–0,15 г/л); лейкоцитурия до 45 лейкоцитов в 1 мкл (при норме лаборатории 0–28); эритроцитурия – эритроциты неизмененные – 202 в поле зрения. Других клинически значимых отклонений от нормы не выявлено.
На ЭКГ при поступлении зарегистрированы синусовый ритм с ЧСС 90 уд/мин, изменение предсердного компонента, передне-верхний полублок и нарушение внутрижелудочковой проводимости по передней ветви левой ножки пучка Гиса (рис. 1).
Рис. 1. Электрокардиограмма пациентки 40 лет с AL-амилоидозом с преимущественным поражением сердца, λ-вариант.
Fig. 1. ECG of a 40-year-old patient with AL-amyloidosis with predominant heart failure, λ variant.
По данным рентгенографии органов грудной клетки при поступлении признаков венозного застоя нет, отмечался умеренно выраженный диффузный пневмосклероз, в правой плевральной полости выпот с верхней границей на уровне III ребра, слева – следы выпота. При повторном исследовании спустя 7 дней: появились признаки венозного застоя в легких 1-й степени, количество выпота в правой плевральной полости после пункции, выполненной накануне, снизилось до уровня IV ребра, слева без динамики.
ЭхоКГ проводили на ультразвуковой системе экспертного класса Vivid E 9 (GE) с использованием фазированного датчика M5Sс-D и матричного датчика 4V-D (трехмерный режим); размеры предсердий не увеличены, полость ЛЖ уменьшена в объеме (конечно-диастолический объем ЛЖ – 44 мл; конечно-систолический объем ЛЖ – 33 мл), утолщение межжелудочковой перегородки до 1,3–1,4 см, задней стенки ЛЖ – до 1,5 см, значительное диффузное снижение сократительной способности миокарда ЛЖ (ФВ ЛЖ 24–26%), выраженное нарушение диастолической функции ЛЖ по рестриктивному типу с повышением давления наполнения 3-й степени. Уплощение, ригидность створок МК с регургитацией 2-й степени, а также ТК с регургитацией 4-й степени, посткапиллярный тип легочной гипертензии (систолическое давление легочной артерии 34 мм рт. ст.; давление заклинивания легочных капилляров 29,7 мм рт. ст.). В полости перикарда визуализировалось небольшое количество свободной жидкости.
По результатам трансторакальной трехмерной ЭхоКГ: наличие гиперэхогенных включений (глыбки амилоида) в области межжелудочковой перегородки, задней стенки ЛЖ, передней стенки правого желудочка, первичной части межпредсердной перегородки, а также выраженная гиперэхогенность створок ТК и МК свидетельствуют об амилоидном поражении миокарда с вовлечением створок ТК и МК. По данным технологии Speckle-tracking ЭхоКГ (рис. 2): картина амилоидоза сердца с выраженным снижением глобальной продольной деформации -2,5% (норма <-20%) как варианта рестриктивной кардиомиопатии. В отличие от других причин гипертрофии ЛЖ отложение кардиального амилоида способствует выраженному нарушению деформации миокарда во всех исследуемых направлениях – продольном, циркулярном, радиальном [11].
Рис. 2. ЭхоКГ с технологией Speckle-tracking. Показатель глобальной продольной деформации (GLS) значительно снижен – -2,5% (N<-20%).
Fig. 2. Echocardiography with Speckle-tracking technology. Global longitudinal strain index (GLS) significantly reduced – -2.5% (N<-20%).
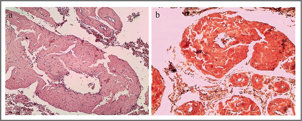
Предполагаемый на основании клинических, инструментальных и лабораторных данных амилоидоз необходимо подтвердить морфологически, в связи с чем пациентке выполнена биопсия прямой кишки, биоптат забран с участком подслизистого слоя, что является важным для повышения вероятности обнаружения амилоида при его наличии. При гистологическом исследовании эндобиоптата на обзорной окраске гематоксилином и эозином выявлены атрофические изменения слизистой оболочки, массивные включения гомогенных эозинофильных масс, подозрительных в отношении амилоида, в мышечной пластинке слизистой оболочки и стенках сосудов подслизистого слоя. При исследовании в поляризованном свете окрашенного Конго красным препарата (проводилось при помощи микроскопа Leica DM2000; Германия) подтверждено наличие амилоида в стенках сосудов и мышечной пластинке слизистой оболочки, а также выявлены депозиты малого объема в глубоких отделах собственной пластинки слизистой оболочки, остававшиеся невидимыми на обзорной окраске (рис. 3).
Рис. 3. Гистологические исследование эндобиоптата толстой кишки. Окраска гематоксилин-эозином (a) и Конго красным (b).
Fig. 3. Histological study of the colon edndobioptate. Staining with hematoxylin-eosin (a) and Congo red (b).
После гистологического подтверждения амилоидоза необходимо его типирование для выбора правильного метода лечения, который определяет специфическую терапию амилоидоза. Типирование может быть осуществлено путем дополнительного исследования гистологического материала, например при помощи иммуногистохимического исследования с использованием антител к белкам- предшественникам амилоида или путем направления материала с гистологически подтвержденным амилоидом на масс-спектрометрический анализ. Однако существует и малоинвазивный инструментальный алгоритм типирования – сцинтиграфия миокарда с 99mTc-пирофосфатом – более доступный для крупных кардиологических центров и позволяющий верифицировать ATTR-вариант. При оценке результатов сцинтиграфии миокарда с 99mTc-пирофосфатом в режиме однофотонной эмиссионной компьютерной томографии – ОЭКТ (рис. 4) картина не позволяла исключить ATTR-амилоидоз, поскольку визуализируется интенсивное накопление радиофармпрепарата (РФП) во всем миокарде ЛЖ с очагами повышенного включения в апикальных и нижних сегментах, соотношение накопления РФП в миокарде и в контрлатеральной зоне 2,36 (grade 2–3); очаговое накопление РФП в проекции фиброзного клапанного кольца (признак активного воспалительного процесса); минимальное накопление РФП в пуле крови (признак застойных явлений по большому кругу кровообращения).
Рис. 4. Данные планарной сцинтиграфии, КТ, ОЭКТ и ОЭКТ/КТ пациента с верифицированным AL-амилоидозом. Визуализируется интенсивное накопление РФП во всем миокарде ЛЖ с очагами повышенного включения в апикальных и нижних сегментах (Grade 2–3).
Fig. 4. Data of planar scintigraphy, CT, SPECT and SPECT/CT scan of a patient with verified AL-amyloidosis. Intensive accumulation of radio pharma drug in the entire myocardium of the left ventricle with centers of increased inclusion in the apical and lower segments is visualized (Grade 2–3).
Учитывая данные сцинтиграфии, несмотря на отсутствие отягощенного семейного анамнеза, выполнен генетический анализ на выявление вариаций в гене транстиретина. Методом прямого секвенирования проведено исследование всей кодирующей последовательности и областей экзон-интронных соединений гена TTR, ответственного за развитие наследственного амилоидоза. В результате анализа патогенных и вероятно патогенных вариантов нуклеотидной последовательности гена TTR не обнаружено.
Таким образом, по результатам проведенных клинических, лабораторных и инструментальных методов исследований имелись разногласия. С одной стороны, отсутствие легких цепей иммуноглобулинов в сыворотке крови и положительные результаты сцинтиграфии миокарда с пирофосфатом указывали на наличие TTR-амилоидной кардио- миопатии, с другой стороны, быстрое прогрессирование заболевания, отсутствие отягощенного семейного анамнеза и отсутствие генетических мутаций в гене транстиретина по данным молекулярного исследования у пациентки молодого возраста (наличие TTRwt сомнительно) ставили под сомнение наличие TTR-амилоидоза. Для окончательного установления диагноза проведены иммуногистохимическое исследование с антителами κ и λ к легким цепям иммуноглобулинов и масс-спектрометрический анализ.
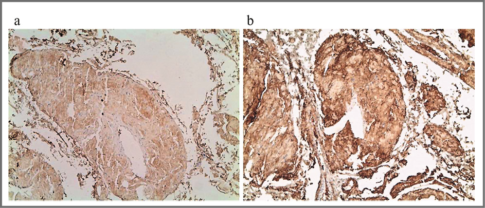
По результатам иммуногистохимического исследования (рис. 5) в депозитах амилоида отмечается рестрикция экспрессии легких цепей иммуноглобулинов с преобладанием λ, что характерно для AL-амилоидоза, рекомендовано сопоставление морфологической картины с результатами масс-спектрометрического анализа и результатами повторно выполненного типирования парапротеина в сыворотке крови и моче.
Рис. 5. Иммуногистохимическое исследование эндобиоптата прямой кишки. Преимущественно слабая (+) экспрессия Kappa light chain (clone CH15) (a) и выраженная (+++) экспрессия Lambda light chain (clone SHL53) (b).
Fig. 5. Immunohistochemical examination of the rectal endobioptate. Predominantly weak (+) expression of Kappa light chain (close CH 15) (a) and pronounced (+++) expression of Lambda light chain (clone SHL53) (b).
В результате проведенного масс-спектрометрического анализа с высокой степенью достоверности в предоставленных образцах (фрагментах парафинового блока и соскоба с гистологического микропрепарата с участками гистологически верифицированного амилоида) наряду с различными структурными белками идентифицированы белки, наиболее часто встречающиеся и вероятно характерные для амилоидоза типа AL (табл. 1).
Таблица 1. Список идентифицированных с помощью масс-спектрометрического анализа белков Table 1. List of proteins identified by mass spectrometric analysis | |||
Порог достоверности идентификации (-10lgP) | Название белка | Молекулярная масса, Да | Примечания |
314,92 | IGL V6 | 10 627 | Наиболее вероятно встречаются при амилоидозе типа AL с преобладанием легких λ-цепей иммуноглобулинов |
271,57 | Amyloid 6 λ light chain region PIP | 12 047 | |
277,93 | Amyloid 6 λ light chain region SAR | 12 294 | |
314,85 | Immunoglobulin lambda variable 6-57 | 12 566 | |
98,0 | Apolipoprotein E | 36 154 | Неспецифические маркерные белки, входящие в состав амилоидных агрегатов |
99,2 | Serum amyloid P-component | 25 387 | |
Также наряду со специфическими для типа AL-фрагментами легких λ-цепей иммуноглобулинов с высокой степенью достоверности идентифицированы так называемые маркерные белки амилоидоза, входящие в состав амилоидных депозитов, но не определяющие тип амилоидоза (например, сывороточный амилоидный р-компонент, различные аполипопротеины и т.д.; см. табл. 1) [1]. После экстрагирования из предоставленных гистологических препаратов полученная белковая смесь подвергалась электрофоретическому разделению в полиакриламидном геле (камера для вертикального электрофореза Mini Gel Tank; Thermo Fisher Scientific, США). Полученные на электрофореграмме области, соответствующие белкам, разделенным по величине молекулярной массы, вырезались из геля и подвергались процедуре независимого гидролиза в геле двумя протеазами – трипсином и протеиназой К. Гидролизаты тотального белка анализировались с помощью высокоэффективной жидкостной хроматографии в обращенной фазе и масс-спектрометрии. Хроматограф – EASY-nLC 1000, масс-спектрометр – OrbiTrap Elite (Thermo Scientific, Германия). Полученные в ходе анализа данные анализировались с помощью программы PEAKS Studio-7.5 [Bionformatics Solutions Inc. (BSI), Канада]. Величина порога достоверности идентификации (-10lgP)≥20.
В итоге, несмотря на первоначально полученные отрицательные результаты иммунофиксации сыворотки крови и сомнительные данные остеотропной сцинтиграфии миокарда, установлен следующий диагноз – «системный AL-амилоидоз с преимущественным поражением сердца, поражением желудочно-кишечного тракта, нервной системы, кожи, почек. Хроническая СН IIБ стадии, III функционального класса по NYHA». При ретроспективном анализе полученные данные сцинтиграфии миокарда расценены как проявление диффузного некроза миокарда, наиболее выраженного в апикальном сегменте ЛЖ и свидетельствующего о наступлении терминальной стадии основного заболевания. К сожалению, пациентке не проводился анализ крови на тропонин, однако в мировой литературе имеется публикация с описанием подобного случая течения AL-амилоидоза в терминальной фазе с уровнем тропонина Т 273,4 нг/мл (N 0–14), NT-ProBNP 23 000 пг/мл (N 0–88), ФВ ЛЖ 23%, значением HCl 1,65 и Grade 2 у пациента, скончавшегося через 2 мес после выписки [12].
Таким образом, с учетом выявления AL-типа амилоидоза пациентка выписана из стационара и направлена на консультацию в центр гематологии с целью подбора химиотерапии. Гематологом назначена химиотерапия в виде комбинации двух противоопухолевых препаратов в сочетании с глюкокортикостероидом (циклофосфамид 400 мг + бортезомиб 2 мг + дексаметазон 20 мг). Однако, несмотря на проводимую терапию, прогрессировали СН, кахексия, сохранялась стойкая рефрактерность к проводимой терапии, и в течение месяца пациентка скончалась.
Заключение
Представленное описание сложного диагностического пути подтверждает, что современная диагностика амилоидоза помимо морфологической верификации должна включать в себя типирование амилоида, поскольку именно тип главным образом определяет дальнейшую тактику специфического лечения и прогноз заболевания. К сожалению, на сегодняшний день не существует единственного метода лабораторной или инструментальной диагностики, который бы обладал 100% специфичностью и чувствительностью в типировании амилоидоза. Данные иммуногистохимического анализа могут давать ложноотрицательный или ложноположительный результат. При проведении скрининга на моноклональную секрецию обязательно проведение не только электрофореза белков, но и иммунофиксации κ/λ свободных легких цепей иммуноглобулинов. Не следует избегать повторного лабораторного обследования пациентов в случае сохранения подозрений на AL-амилоидоз даже при наличии первичного негативного результата исследования. Вместе с тем необходимо принимать во внимание, что в некоторых случаях моноклональная гаммапатия неопределенного значения может присутствовать и у пациентов с ATTR-кардиомиопатией, усложняя постановку диагноза. Во избежание диагностических ошибок при наличии сомнений не следует ограничиваться только теми методами, которые имеются в непосредственном доступе, а следует искать возможности для проведения максимально полного перечня исследований, позволяющих установить тип амилоида: иммуногистохимическое исследование, масс-спектрометрия, генетические исследования.
Раскрытие интересов. Авторы декларируют отсутствие явных и потенциальных конфликтов интересов, связанных с публикацией настоящей статьи.
Disclosure of interest. The authors declare that they have no competing interests.
Вклад авторов. Авторы декларируют соответствие своего авторства международным критериям ICMJE. Все авторы в равной степени участвовали в подготовке публикации: разработка концепции статьи, получение и анализ фактических данных, написание и редактирование текста статьи, проверка и утверждение текста статьи.
Authors’ contribution. The authors declare the compliance of their authorship according to the international ICMJE criteria. All authors made a substantial contribution to the conception of the work, acquisition, analysis, interpretation of data for the work, drafting and revising the work, final approval of the version to be published and agree to be accountable for all aspects of the work.
Источник финансирования. Авторы декларируют отсутствие внешнего финансирования для проведения исследования и публикации статьи.
Funding source. The authors declare that there is no external funding for the exploration and analysis work.
Информированное согласие на публикацию. Пациент подписал форму добровольного информированного согласия на публикацию медицинской информации.
Consent for publication. Written consent was obtained from the patient for publication of relevant medical information and all of accompanying images within the manuscript.
About the authors
Filipp I. Orlov
Chazov National Medical Research Center of Cardiology
Author for correspondence.
Email: feelorlove@gmail.com
ORCID iD: 0000-0003-2866-7141
ResearcherId: HKV-3361-2023
Laboratory Assistant-Researcher, Department of Radionuclide Diagnostics and Positron Emission Tomography
Russian Federation, MoscowAlexey A. Ansheles
Chazov National Medical Research Center of Cardiology
Email: a.ansheles@gmail.com
ORCID iD: 0000-0002-2675-3276
Doctor of Medical Sciences, Senior Researcher at the Department of Radionuclide Diagnostics and Positron Emission Tomography
Russian Federation, MoscowSvetlana N. Nasonova
Chazov National Medical Research Center of Cardiology
Email: feelorlove@gmail.com
ORCID iD: 0000-0002-0920-7417
Doctor of Medical Sciences, Professor, Head of the Department of Ultrasound Research Methods
Russian Federation, MoscowMarina A. Saidova
Chazov National Medical Research Center of Cardiology
Email: feelorlove@gmail.com
ORCID iD: 0000-0002-3233-1862
Doctor of Medical Sciences, Professor, Head of the Department of Ultrasound Research Methods
Russian Federation, MoscowIgor V. Zhirov
Chazov National Medical Research Center of Cardiology; Russian Medical Academy of Continuous Professional Education
Email: dr.nasonova@mail.ru
ORCID iD: 0000-0002-4066-2661
Doctor of Medical Sciences, Leading Researcher of the Department of Dept. myocardial diseases and heart failure
Russian Federation, Moscow; MoscowElena A. Stepanova
Russian Medical Academy of Continuous Professional Education
Email: feelorlove@gmail.com
ORCID iD: 0000-0001-7760-5858
Assistant at the Department of Pathological Anatomy
Russian Federation, MoscowMariya Yu. Suvorina
Institute of Protein Research
Email: feelorlove@gmail.com
ORCID iD: 0000-0001-7058-4310
Junior Researcher, Laboratory of Bioinformatics and Proteomic Research
Russian Federation, PushchinoAnastasia A. Shoshina
Chazov National Medical Research Center of Cardiology
Email: feelorlove@gmail.com
ORCID iD: 0000-0002-9519-7373
postgraduate student at the Department of Myocardial Diseases and Heart Failure
Russian Federation, MoscowSergey N. Tereshchenko
Chazov National Medical Research Center of Cardiology
Email: feelorlove@gmail.com
ORCID iD: 0000-0001-9234-6129
Doctor of Medical Sciences, Professor, Head of the Department of Myocardial Diseases and Heart Failure
Russian Federation, MoscowVladimir B. Sergienko
Chazov National Medical Research Center of Cardiology
Email: feelorlove@gmail.com
ORCID iD: 0000-0002-0487-6902
Doctor of Medical Sciences, Professor, Head of the Department of Radionuclide Diagnostics and Positron Emission Tomography
Russian Federation, MoscowReferences
- Buxbaum JN, Dispenzieri A, Eisenberg DS, et al. Amyloid nomenclature 2022: update, novel proteins, and recommendations by the International Society of Amyloidosis (ISA) Nomenclature Committee. Amyloid. 2022;29(4):213-9. doi: 10.1080/13506129.2022.2147636
- Dubrey SW, Hawkins PN, Falk RH. Amyloid diseases of the heart: Assessment, diagnosis, and referral. Heart. 2011;97(1):75-84. doi: 10.1136/hrt.2009.190405
- Siddiqi OK, Ruberg FL. Cardiac amyloidosis: An update on pathophysiology, diagnosis, and treatment. Trends Cardiovasc Med. 2018;28(1):10-21. doi: 10.1016/j.tcm.2017.07.004
- Adams D, Suhr OB, Hund E, et al. First European consensus for diagnosis, management, and treatment of transthyretin familial amyloid polyneuropathy. Curr Opin Neurol. 2016;29:S14-26. doi: 10.1097/WCO.0000000000000289
- Falk RH, Alexander KM, Liao R, Dorbala S. AL (Light-Chain) Cardiac Amyloidosis: A Review of Diagnosis and Therapy. J Am Coll Cardiol. 2016;68(12):1323-41. doi: 10.1016/j.jacc.2016.06.053
- Ryšavá R. AL amyloidosis: advances in diagnostics and treatment. Nephrol Dial Transplant. 2019;34(9):1460-6. doi: 10.1093/ndt/gfy291
- Palladini G, Milani P, Merlini G. Management of AL amyloidosis in 2020. Blood. 2020;136(23):2620-7. doi: 10.1182/blood.2020006913
- Rubin J, Maurer MS. Cardiac Amyloidosis: Overlooked, Underappreciated, and Treatable. Annu Rev Med. 2020;71:203-19. doi: 10.1146/annurev-med-052918-020140
- Dittrich T, Kimmich C, Hegenbart U, Schönland SO. Prognosis and Staging of AL Amyloidosis. Acta Haematol. 2020;143(4):388-400. doi: 10.1159/000508287
- Сергиенко В.Б., Терещенко С.Н., Аншелес А.А., и др. Радионуклидные методы в диагностике амилоидоза сердца. Рациональная фармакотерапия в кардиологии. 2018;14(1):94-100 [Sergienko VB, Tereshchenko SN, Ansheles AA, et al. Nuclear imaging in the diagnosis of cardiac amyloidosis. Rational Pharmacotherapy in Cardiology. 2018;14(1):94-100 (in Russian)]. doi: 10.20996/1819-6446-2018-14-1-94-100
- Martinez-Naharro A, Hawkins PN, Fontana M. Cardiac amyloidosis. Clin Med (Lond). 2018;18(Suppl. 2):s30-s35. doi: 10.7861/clinmedicine.18-2-s30
- Zeng Y, Poterucha TJ, Einstein AJ, et al. False positive technetium-99m pyrophosphate scintigraphy in a patient with cardiac amyloidosis light chain: Case report. Medicine (Baltimore). 2021;100(17):e25582. doi: 10.1097/MD.0000000000025582
Supplementary files








