Functional methods of amyloid cardiomyopathy diagnostic in practice and in expert centers: A review
- Authors: Dzhioeva O.N.1,2
-
Affiliations:
- National Research Center for Therapy and Preventive Medicine
- Yevdokimov Moscow State University of Medicine and Dentistry
- Issue: Vol 95, No 1 (2023)
- Pages: 96-102
- Section: Reviews
- Submitted: 24.02.2023
- Accepted: 24.02.2023
- Published: 24.02.2023
- URL: https://ter-arkhiv.ru/0040-3660/article/view/278909
- DOI: https://doi.org/10.26442/00403660.2023.01.202081
- ID: 278909
Cite item
Full Text
Abstract
The article is a set of recommendations for the interpretation of electrocardiography and echocardiography data in patients with suspected amyloidosis of the heart. Amyloid cardiomyopathy is a progressive disease characterized by a detailed picture of congestive heart failure, poor quality of life and poor prognosis. Currently, medications have appeared that can improve the prognosis in patients with amyloidosis of the heart. Therefore, raising awareness of specialists about specific instrumental signs of the disease is an important and urgent task.
Full Text
Список сокращений
АКМП – амилоидная кардиомиопатия
ЛЖ – левый желудочек
ЛП – левое предсердие
ПЖ – правый желудочек
ФУ – фракция укорочения
ЭКГ – электрокардиография
ЭхоКГ – эхокардиография
Введение
Амилоидоз сердца – форма инфильтративной кардиомиопатии, обусловленная отложением амилоидных фибрилл в миокарде [1, 2]. Наиболее распространенными являются следующие типы амилоидоза сердца:
- моноклональный амилоидоз легких цепей иммуноглобулина (AL), который возникает вследствие патологического синтеза белка-предшественника плазматическими клетками костного мозга;
- транстиретиновый (TTR) амилоидоз, который подразделяется на дикий тип (wtATTR) или наследственный/вариантный (vATTR) и возникает вследствие нарушения синтеза белка-предшественника TTR – сывороточного транспортного белка гормонов щитовидной железы и ретинола, который синтезируется главным образом в печени.
TTR амилоидная кардиомиопатия (АКМП) дикого типа встречается чаще у пожилых пациентов старше 60 лет и характеризуется клиническими проявлениями сердечной недостаточности с умеренно сниженной или сохраненной фракцией выброса [1]. Истинная распространенность TTR-АКМП в Российской Федерации неизвестна. Причиной этому служит низкая осведомленность врачей первичного звена о ранних симптомах и признаках заболевания, отсутствие специфических критериев и схожесть электрокардиографической (ЭКГ) и эхокардиографической (ЭхоКГ) картины с другими сердечно-сосудистыми заболеваниями. Поскольку амилоидоз сердца является заболеванием с неблагоприятным прогнозом, необходимость раннего выявления этой патологии очень важна, особенно учитывая наличие новых терапевтических возможностей и вариантов лечения. Именно поэтому цель статьи – уточнение патогномоничных критериев АКМП, которые можно выявить с помощью методов функциональной диагностики в разных клинических центрах, с учетом разной мощности, уровня профессиональных компетенций специалистов и наличия экспертного оборудования.
ЭКГ-признаки АКМП
Специфических высокочувствительных и ЭКГ-критериев, указывающих на АКМП, нет. Классическая триада ЭКГ-изменений включает низковольтажные комплексы (определяемые по общей высоте QRS в отведениях от конечностей меньше 5 и 10 мм в прекардиальных отведениях), псевдоинфарктный паттерн (патологические зубцы Q, составляющие не менее 1/4 амплитуды R) или зубцы QS в двух последовательных отведениях при отсутствии предшествующих ишемической болезни сердца, блокады левой ножки пучка Гиса или нарушений движения стенки левого желудочка (ЛЖ), проводимости и брадиаритмии [3–5]. На рис. 1 представлена ЭКГ пациента с TTR-АКМП, на которой можно увидеть эти признаки.
Рис. 1. ЭКГ пациента с подтвержденным диагнозом TTR-АКМП.
Низкоамплитудные комплексы на ЭКГ в сочетании с увеличением толщины стенки желудочка на ЭхоКГ – классический признак АКМП [3]. Тем не менее низковольтажные комплексы не являются универсальным критерием диагноза амилоидоза сердца: данные об их распространенности в литературе сильно различаются: от 46 до 70% [3]. Низкий вольтаж, по-видимому, более характерен для группы AL-АКМП, чем для TTR-АКМП [4]. При подтвержденной TTR-АКМП низкий вольтаж выявлялся только у 25% исследуемой популяции [5]. Возможная причина такой разницы в результатах заключается в том, что TTR-АКМП проявляется как медленно прогрессирующая кардиомиопатия [1, 10], которая характеризуется медленным отложением амилоида в камерах сердца и проводящей системе.
AL-АКМП напоминает острый миокардит с ранним началом симптомов и быстрым прогрессированием заболевания до конечной стадии сердечной недостаточности, несмотря на меньшую степень инфильтрации из-за токсического действия цепей AL [6]. Изучая популяцию пациентов с TTR-АКМП J. Dungu и соавт. [6] обнаружили, что комплексы ЭКГ с низким вольтажом были нечувствительным маркером АКМП. Тем не менее исследователи заметили, что амплитуда вольтажа при первоначальном обращении и во время последующего наблюдения отрицательно коррелировала с продолжительностью симптомов. Таким образом, уменьшение амплитуды комплекса QRS, вероятно, отражает увеличение накопления амилоидного белка с течением времени. Это прогрессирующее снижение вольтажа у пациентов с длительным течением TTR-АКМП также отмечено в других работах [15, 16]. Таким образом, комплексы с низким вольтажом на ЭКГ являются относительно поздним признаком TTR-АКМП и могут быть бесполезны для ранней идентификации заболевания.
Фибрилляция предсердий (ФП) чаще встречается при TTR-АКМП, чем при AL-амилоидозе. F. Cappelli и соавт. [4] обнаружили, что распространенность ФП при TTR-АКМП в 4–6 раз выше, чем при AL-форме. В других исследованиях продемонстрированы аналогичные результаты: значимо большее количество пациентов с TTR-АКМП имели нарушения ритма по типу ФП, чем лица с AL-АКМП [5–9]. Особенностью ФП у больных с АКМП является невысокая частота желудочкового ответа, то есть бради- или нормоформа аритмии [10–13].
Что касается нарушений проводимости, у пациентов с TTR-АКМП также наблюдается более высокая их распространенность, включая атриовентрикулярные блокады различной градации и внутрижелудочковые нарушения проведения [4, 10–13]. Этот факт также является отличительной особенностью в случаях TTR-АКМП по сравнению с AL-АКМП, когда частота развития нарушений проводимости намного ниже [3, 4, 14]. По данным исследований, доля пациентов с TTR-АКМП, нуждающихся в электрокардиостимуляции, намного выше, чем с AL-АКМП [3, 4, 14–16].
Псевдоинфарктный паттерн на ЭКГ определяется патологическими зубцами Q (1/4 амплитуды R) или зубцами QS в 2 последовательных отведениях при отсутствии ранее диагностированных (подтвержденных) ишемической болезни сердца, блокады левой ножки пучка Гиса и является частым ЭКГ-признаком АКМП. Возможное объяснение наличия патологического зубца Q на ЭКГ у пациентов без явной эпикардиальной коронарной обструкции может быть связано с отложением амилоида в микроциркуляторном русле и более мелких интрамиокардиальных артериях, что связано с худшим прогнозом [17].
При TTR-АКМП псевдоинфарктный паттерн выявляют примерно у 60% больных и в основном он выражен в передних отведениях. Его наличие у пациентов с TTR-АКМП ассоциировано с увеличением толщины межжелудочковой перегородки и является наиболее частым изменением при более толстых стенках сердца [5].
Если у пациента с клинической картиной сердечной недостаточности есть патогномоничные изменения на ЭКГ, для оценки показателей структурного ремоделирования и параметров внутрисердечной гемодинамики необходимо провести трансторакальную ЭхоКГ.
ЭхоКГ-признаки АКМП
ЭхоКГ является наиболее широко используемым неинвазивным тестом у пациентов с сердечной недостаточностью. При АКМП могут значительно изменяться структурно-функциональные показатели сердечной деятельности, некоторые из которых весьма специфичны для данного заболевания [18–20]. Преимуществами этого метода визуализации являются безопасность, доступность, портативность, относительно низкая стоимость и возможность оценки внутрисердечной гемодинамики. Хотя ЭхоКГ не позволяет верифицировать и дифференцировать тип АКМП (AL против TTR), она является основным методом раннего выявления проблемы и скорейшей маршрутизации пациентов в экспертные центры.
Специфическую картину ЭхоКГ у пациентов с амилоидозом сердца обнаружили еще в самых простых модальностях, когда в арсенале специалистов был только М-режим – уже можно было увидеть утолщенные стенки ЛЖ с нормальным размером его полости, увеличение левого предсердия (ЛП) и иногда – перикардиальный выпот. На поздней стадии болезни выявлено уменьшение фракционного укорочения (ФУ) ЛЖ, но даже в этом случае дилатация полости ЛЖ встречается крайне редко [18].
Показатель ФУ ЛЖ редко используется в реальной клинической практике специалистов инструментальной диагностики. У пациентов с АКМП при сохраненной или слегка сниженной фракции выброса ЛЖ снижение ФУ может служить дополнительным параметром, позволяющим заподозрить это заболевание. Для оценки ФУ ЛЖ используют парастернальный доступ с позицией по длинной оси ЛЖ. Расчет проводится по формуле:
ФУ (%) = КДР - КСР / КДР × 100%
Снижение фракционного укорочения менее 30% является клинически значимым и может служить одним из дополнительных критериев подозрения на АКМП.
С внедрением и распространением метода двумерной ЭхоКГ отмечены дополнительные признаки инфильтративной кардиомиопатии, а именно увеличение двух предсердий, утолщение створок клапанов, правого желудочка (ПЖ) и межпредсердной перегородки. Некоторые ученые также отмечают признак «дополнительных ярких включений» в структуре межжелудочковой перегородки. К сожалению, нередко такие признаки, как утолщение створок и межпредсердной перегородки, наличие ярких включений в межжелудочковой перегородке имеют субъективные критерии из-за отсутствия валидации, пороговых значений, а также разных технических возможностей аппаратуры, программного обеспечения, освещения, при котором проводится исследование. Во избежание ошибок в условиях реальной клинической практики и ранней диагностики мы рекомендуем воздержаться от субъективных характеристик, не имеющих четких количественных критериев [18, 20].
Существует несколько типичных морфологических и функциональных признаков АКМП, которые можно четко измерить, и с высокой степенью вероятности они ассоциированы с этим заболеванием:
- утолщение стенки ЛЖ и ПЖ;
- биатриальная дилатация;
- повышенное давление наполнения ЛЖ;
- выраженное снижение тканевой доплеровской скорости митрального кольца;
- сниженная глобальная базальная продольная деформация с апикальным сохранением;
- низкопоточный, низкоградиентный аортальный стеноз;
- небольшой перикардиальный выпот;
- сохраненная фракция выброса с низкой ФУ.
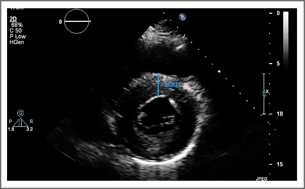
При измерении из парастернального доступа в позиции по длинной оси ЛЖ необходимо оценить соотношение поперечного размера аорты и ЛП, толщину межжелудочковой перегородки, конечно-диастолический и конечно-систолический размеры ЛЖ, толщину задней стенки (рис. 2). Измерение толщины межжелудочковой перегородки может быть затруднено из-за таких структур ПЖ, как трабекулы, наджелудочковый гребень и модераторный пучок. Толщина стенки может быть проверена дополнительно в парастернальной позиции по короткой оси (рис. 3).
Рис. 2. Оценка структур из парастернального доступа в позиции по длинной оси ЛЖ.
Рис. 3. Оценка толщины межжелудочковой перегородки из парастернального доступа в позиции по короткой оси.
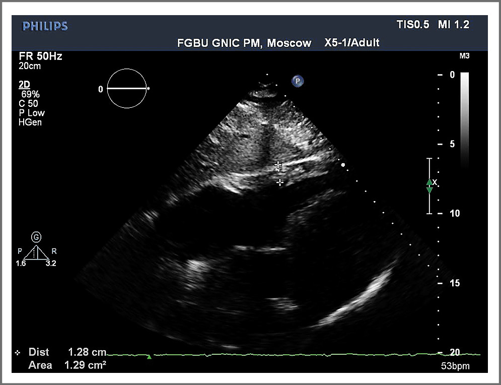
Измерение толщины стенки ПЖ является обязательной процедурой у пациентов с подозрением на амилоидоз сердца. Этот параметр лучше всего оценивать из субкостального доступа, с увеличенным фокусом на ПЖ. Измерения следует проводить в конце диастолы примерно на 1 см ниже кольца трехстворчатого клапана, на уровне кончика передней створки, когда клапан полностью открыт (рис. 4).
Рис. 4. Оценка толщины свободной стенки ПЖ из субкостального доступа.
Измерение индексированного объема ЛП нужно проводить для определения выраженности его дилатации. «Срезание» ЛП является распространенной проблемой, возникающей при стандартных апикальных проекциях, фокусирующихся на ЛЖ. Специальные проекции с фокусом на ЛП, которые демонстрируют всю его длину, должны быть получены в апикальной 4-камерной и 2-камерной проекциях. Изображение ЛП без ракурса не всегда находится в той же плоскости, что и ЛЖ. Следует соблюдать осторожность, чтобы получить сфокусированные осевые изображения, включающие ЛП в его максимальном размере при визуализации легочных вен. Увеличенные изображения ЛП могут помочь определить его точные границы. При АКМП ЛП часто расширено, и для подтверждения его дилатации необходимо измерить точные объемы, индексированные на площадь поверхности тела.
Внедрение импульсно-волновой, затем непрерывно- волновой и наконец цветной доплерографии не только повысило диагностическую точность ЭхоКГ при амилоидозе сердца, но и дало представление о патофизиологии сердечной недостаточности при этом состоянии. Цветная доплерография обычно показывает, что клапанная регургитация обычно незначительна по объему и как таковая редко вносит весомый вклад в развитие застойных явлений. Показано, что тяжелое нарушение наполнения ЛЖ встречается относительно часто, с прогрессирующей дисфункцией, которая возникает по мере утолщения сте- нок [18–20].
Инфильтрация амилоидными фибриллами миокарда приводит к патологическому расслаблению ЛЖ и прогрессирующему нарастанию давления наполнения. Значение давления наполнения ЛЖ часто является отражением течения заболевания, причем более тяжелые формы дисфункции проявляются в более поздние сроки заболевания. Для оценки давления в ЛП (давления наполнения ЛЖ) рекомендуется провести следующие измерения:
- Импульсно-волновая доплерография: в то время как паттерн нарушенной релаксации может присутствовать на ранних стадиях заболевания, у большинства пациентов псевдонормальный и\или рестриктивный паттерн проявляется к моменту развернутой клинической картины сердечной недостаточности.
- Тканевая доплерография митрального кольца: септальная и латеральная кольцевые скорости часто очень низкие (∼5 см/сек), что отражает аномальное расслабление и растяжимость миокарда.
- Импульсно-волновая доплерография легочных вен: скорость кровотока в легочных венах отражает повышенное давление наполнения ЛЖ и предсердную дисфункцию с прогрессирующим снижением легочной волны S (из-за повышенного давления в ЛП) и одновременным увеличением волны D по мере прогрессирования заболевания. Может наблюдаться увеличенная скорость реверсивного потока в легочных венах предсердий, отражающая повышенное конечно- диастолическое давление в ЛЖ.
Импульсно-волновая доплерография на уровне митрального клапана необходима для оценки типа наполнения ЛЖ. Размер контрольного объема (оптимально 1–3 мм) может влиять на внешний вид доплеровского сигнала. Правильное расположение контрольного объема также имеет решающее значение – он должен размещаться между кончиками створок митрального клапана (не быть смещенным в полость желудочка или предсердия). Смещение контрольного объема слишком далеко в ЛЖ может привести к недооценке скоростей E и A и спровоцировать неправильное определение модальности скорости.
Точные скоростные показатели тканевого доплера важны для пациентов с амилоидозом сердца. Общие ошибки включают выбор оператором небольшого размера контрольного объема (рекомендовано 5–10 мм), неправильное положение (контрольный объем должен быть только на вентрикулярной стороне фиброзного митрального кольца, на уровне базальных сегментов), плохое доплеровское выравнивание (курсор должен быть совмещен с осью движения кольцевой плоскости) и отсутствие учета фаз дыхания (рекомендуется запись видеофрагмента делать в конце выдоха).
Продольное сокращение желудочков нарушается задолго до снижения фракции выброса, и систолическая дисфункция (определяемая нарушением продольной деформации) предшествует развернутой клинической картине сердечной недостаточности. Глобальный продольный стрейн показывает довольно типичную находку для сердечного амилоидоза в виде значимого нарушения продольной деформации в основании ЛЖ с относительно хорошо сохранившейся апикальной деформацией (так называемый феномен «вишенка на торте»). При цветовой кодировке штамма отмечается довольно типичный вид «бычьего глаза» (рис. 5). Это может быть полезно при диагностике амилоидоза сердца у пациентов с необъяснимым утолщением ЛЖ, но требует специального программного обеспечения, которое не всегда доступно на эхокардиографических сканерах.
Рис. 5. Оценка продольной деформации миокарда ЛЖ. В базальных передне-перегородочных и нижне-перегородочных сегментах отмечается снижение продольной деформации, а в апикальных смежных сегментах этот показатель сохранен.
Двумерную визуализацию с отслеживанием спеклов используют для измерения деформации миокарда. Глобальная продольная деформация полезна для диагностики и количественной оценки дисфункции миокарда при АКМП. Снижение ее показателей свидетельствует о наличии систолической дисфункции. Глобальная продольная деформация представляет собой безразмерную меру продольной деформации с отрицательным значением, которое обозначает большую деформацию или более выраженное укорочение. Следовательно, значения, близкие к 0%, указывают на акинез, положительные значения – на дискинез, а отрицательные – на укорочение/сокращение. Нормальные значения глобальной продольной деформации различаются у разных поставщиков оборудования, но усредненное нормальное значение обычно считается более отрицательным, чем -20%, со стандартным отклонением ±2% (нижний предел нормального значения – от -16 до -18% в зависимости от модели ультразвукового сканера).
Первоначальное описание этой региональной вариации глобальной продольной деформации по типу «вишенки на торте», наблюдаемой при амилоидозе, предполагало, что феномен был высокочувствительным и специфичным для диагностики этого типа кардиомиопатии по сравнению с другими причинами увеличения толщины стенки ЛЖ. По мере изучения проблемы в экспертных лабораториях по кардиовизуализации были предложены и другие индексы (табл. 1). Отношение фракции выброса ЛЖ к показателю глобальной продольной деформации также является клинически значимым, поскольку отражает расхождение между значениями фракции выброса ЛЖ и значением деформации, которое в свою очередь отражает систолическую дисфункцию у пациентов с АКМП. Но данный метод имеет ограничение, поскольку этот индекс не валидирован в качестве инструмента ранней диагностики в популяции. Кроме того, значения деформации могут различаться в разных сегментах ЛЖ, таким образом, продольная деформация является самой высокой в эндокарде и самой низкой в эпикарде, что подчеркивает важность четкости и точности измерения.
Таблица 1. Индексы углубленной оценки систолической дисфункции ЛЖ у пациентов с амилоидной кардиомиопатией и значения глобальной продольной деформации [18]
Table 1. Indexes for advanced assessment of left ventricular systolic dysfunction in patients with amyloid cardiomyopathy and global longitudinal deformation [18]
Индекс | Описание | Значение |
Общий индекс глобальной продольной деформации | Среднее значение глобальной продольной деформации всех апикальных сегментов/среднее значение глобальной продольной деформации всех базальных + средних сегментов | Больше 1,0 |
«Вишенка на торте» | Соотношение глобальной продольной деформации апикального к базальным сегментам | Больше 2,1 |
Индекс систолической функции | Соотношение фракции выброса с общей глобальной продольной деформацией | Больше 4,1 |
Оценка деформации является технически сложным, нерутинным методом диагностики, который в настоящий момент представляет большой исследовательский интерес, и с учетом отсутствия валидации параметров и подтверждения данных на большой выборке пациентов этот метод рекомендуется использовать с осторожностью и под контролем экспертов трансторакальной ЭхоКГ.
В ежедневной клинической практике специалисты инструментальной диагностики регулярно проводят исследования пациентам с сердечной недостаточностью. Мы предлагаем своеобразную «диагностическую пирамиду», представляющую собой чек-лист эхокардиографических признаков, которые могут быть доступны на сканерах как среднего, так и экспертного класса. Она представлена с пояснениями в табл. 2, 3.
Таблица 2. Чек-лист интерпретации данных трансторакальной ЭхоКГ у пациентов с подозрением на амилоидоз сердца [18]
Table 2. Checklist of transthoracic EchoCG data interpretation in patients with suspected heart amyloidosis [18]
Показатель | Выявленные отклонения | Примечания |
Толщина стенки ЛЖ | Увеличение толщины стенки ЛЖ (больше 1,2 см) и увеличение относительной толщины стенки (больше 0,42) | Несоответствие между увеличенной толщиной стенки ЛЖ и вольтажом QRS на ЭКГ является диагностическим признаком, но у пациентов с амилоидозом сердца также может быть нормальный вольтаж ЭКГ |
Эхогенность миокарда | Повышенная эхогенность миокарда (блестящая, гиперрефрактильная «текстура» миокарда) | Невысокая специфичность (дифференциальный диагноз включает терминальную стадию почечной недостаточности или другие инфильтративные кардиомиопатии), может быть использован в экспертной лаборатории в сочетании с сильно сниженной продольной деформацией ЛЖ |
Размер и функция ЛП | Увеличение индексированного объема (больше 34 мл\м2) и нарушение резервуарного стрейна (меньше 18%) ЛП | Неспецифические, но важные данные, подтверждающие диагноз и потенциально дающие представление о риске инсульта или артериальной эмболии |
Межпредсердная перегородка и клапаны | Увеличение толщины межпредсердной перегородки и клапанов (больше 0,5 см) | Неспецифический, но наводит на мысль о диагнозе. Требует четких измерений толщины данных структур |
Перикардиальный выпот | Сепарация листков перикарда более 3 мм за ЛЖ и ПЖ | Неспецифический, но в сочетании с другими Эхо-признаками позволяет предположить диагноз |
Давление наполнения ЛЖ | Высокое соотношение Е/А (больше 1,5) и уменьшенного времени замедления Е (меньше 150 мс) | Помогает оценить прогноз. Сильно сниженная скорость волны А может быть связана с недостаточностью ЛП, что может быть полезно при определении риска инсульта. Волна А<30 см/с свидетельствует о более высоком риске тромбоэмболии при синусовом ритме в СА. Оценка реверсирования потоков легочных вен может указывать на повышенное конечно-диастолическое давление ЛЖ и дисфункцию предсердий |
Расчетное систолическое давление в правом предсердии | Повышенное давление (больше 35 мм рт. ст. для легочной артерии, 10 мм рт. ст. и больше для правого предсердия) | Это важные параметры для оценки волемического статуса и оптимизации дозирования диуретиков |
Доплеровская тканевая скорость кольца митрального клапана | Уменьшенные доплеровские скорости тканей s', e' и a' | При наличии признака «5-5-5» (скорость доплеровского сканирования всех тканей меньше 5 см/с) может быть полезным и, как правило, в значительной степени указывает на диагноз, но может быть нечувствительным для диагностики при ранних формах заболевания |
Продольная деформация ЛЖ | Снижение глобальной продольной деформации ЛЖ | Спекл-трекинговая ЭхоКГ показывает характерные проявления деформации миокарда у пациентов с амилоидозом сердца |
Картирование продольной деформации ЛЖ в круговом секторе | Относительное сохранение апикальной продольной деформации по сравнению с базальной и средней продольной деформацией ЛЖ (средняя апикальная LS/средняя комбинированная срединная + базовая LS>1) | Характерный паттерн «бычий глаз», вероятно, является наиболее специфическим признаком для диагностики амилоидоза сердца |
Табл. 3. Вероятность инфильтративной кардиопатии в зависимости от эхокардиографических данных у пациентов с подозрением на амилоидоз сердца [18]
Table 3. Probability of infiltrating cardiopathy depending on echocardiac data in patients with suspected heart amyloidosis [18]
Невысокая вероятность АКМП | Нормальная толщина стенки (менее 12 мм) ЛЖ и ПЖ (менее 5 мм) |
Нормальный индекс массы миокарда ЛЖ (менее 95 г\м2 у женщин и 115 г\м2 у мужчин с нормальным индексом массы тела) | |
Нормальный размер предсердий (индекс конечного диастолического объема ЛП менее 34 мл\м2) | |
Септальная или латеральная скорость е' митрального кольца больше 10 см/с | |
Фракция укорочения ЛЖ (более 36%) | |
Высокая вероятность АКМП (при отсутствии плохо контролируемой артериальной гипертензии) | Увеличение толщины стенки ЛЖ и/или ПЖ |
Увеличение массы ЛЖ | |
Рестриктивный паттерн наполнения | |
«Вишенка на торте» | |
Сегментарная или латеральная митральная кольцевая скорость e'<5 см/с | |
Расширение двух предсердий | |
Небольшой митральный зубец А у пациентов при сохраненном синусовом ритме | |
Небольшой перикардиальный и/или плевральный выпот |
Заключение
В завершение хотелось бы предложить специалистам инструментальной диагностики некоторые положения по структуре и содержанию заключений у пациентов с подозрением на АКМП. Если результаты вызывают подозрение в отношении амилоидоза сердца, это должно быть внесено в заключение (а не скрыто за общими формулировками в протоколе).
Предлагаемые формулировки:
- Признаки убедительно свидетельствуют об инфильтративной кардиопатии (АКМП).
- Данные свидетельствуют о возможной инфильтративной кардиопатии (АКМП).
- Результаты ЭхоКГ предполагают возможную инфильтративную кардиопатию: перечисление в свободной форме.
- Данные не указывают на амилоидную/инфильтративную кардиомиопатию.
- Выводы неоднозначны в отношении амилоидной/ инфильтративной кардиомиопатии.
Формулировки вариабельны в зависимости от возможностей сканера и опыта специалиста. Врачам функциональной диагностики рекомендуется рассматривать стандартные формулировки, соответствующие их практике, а лечащим врачам необходимо знать возможности дальнейшей маршрутизации пациентов на обследования, подтверждающие диагноз АКМП.
Раскрытие интересов. Автор декларирует отсутствие явных и потенциальных конфликтов интересов, связанных с публикацией настоящей статьи.
Disclosure of interest. The author declares that she has no competing interests.
Вклад автора. Автор декларирует соответствие своего авторства международным критериям ICMJE.
Author`s contribution. The author declare the compliance of her authorship according to the international ICMJE criteria.
About the authors
Olga N. Dzhioeva
National Research Center for Therapy and Preventive Medicine; Yevdokimov Moscow State University of Medicine and Dentistry
Author for correspondence.
Email: dzhioevaon@gmail.com
ORCID iD: 0000-0002-5384-3795
д-р мед. наук, вед. науч. сотр. отд. фундаментальных и прикладных аспектов ожирения, рук. лаб. кардиовизуализации, вегетативной регуляции и сомнологии; проф. каф. терапии и профилактической медицины
Russian Federation, Moscow; MoscowReferences
- Терещенко С.Н., Жиров И.В., Моисеева О.М., и др. Практические рекомендации по диагностике транстиретиновой амилоидной кардиомиопатии (ATTR-КМП или транстиретинового амилоидоза сердца). Терапевтический архив. 2022;94(4):584-95 [Tereshchenko SN, Zhirov IV, Moiseeva OM, et al. Practical guidelines for the diagnosis and treatment of transthyretin amyloid cardiomyopathy (ATTR-CM or transthyretin cardiac amyloidosis). Terapevticheskii Arkhiv (Ter. Arkh.). 2022;94(4):584-95 (in Russian)]. doi: 10.26442/00403660.2022.04.201465
- Cavalcante JL, Rijal S, Abdelkarim I, et al. Cardiac amyloidosis is prevalent in older patients with aortic stenosis and carries worse prognosis. J Cardiovasc Magn Reson. 2017;19(1):98. doi: 10.1186/s12968-017-0415-x
- Cyrille NB, Goldsmith J, Alvarez J, Maurer MS. Prevalence and prognostic significance of low QRS voltage among the three main types of cardiac amyloidosis. Am J Cardiol. 2014;114(7):1089-93. doi: 10.1016/j.amjcard.2014.07.026
- Cappelli F, Vignini E, Martone R, et al. Baseline ECG Features and Arrhythmic Profile in Transthyretin Versus Light Chain Cardiac Amyloidosis. Circ Heart Fail. 2020;13(3):e006619. doi: 10.1161/CIRCHEARTFAILURE.119.006619
- Damy T, Maurer MS, Rapezzi C, et al. Clinical, ECG and echocardiographic clues to the diagnosis of TTR-related cardiomyopathy. Open Heart. 2016;3(1):e000289. doi: 10.1136/openhrt-2015-000289
- Dungu J, Sattianayagam PT, Whelan CJ, et al. The electrocardiographic features associated with cardiac amyloidosis of variant transthyretin isoleucine 122 type in Afro-Caribbean patients. Am Heart J. 2012;164(1):72-9. doi: 10.1016/j.ahj.2012.04.013
- Gillmore JD, Maurer MS, Falk RH, et al. Nonbiopsy Diagnosis of Cardiac Transthyretin Amyloidosis. Circulation. 2016;133(24):2404-12. doi: 10.1161/CIRCULATIONAHA.116.021612
- Maurer MS, Hanna M, Grogan M, et al; THAOS Investigators. Genotype and Phenotype of Transthyretin Cardiac Amyloidosis: THAOS (Transthyretin Amyloid Outcome Survey). J Am Coll Cardiol. 2016;68(2):161-72. doi: 10.1016/j.jacc.2016.03.596
- Murtagh B, Hammill SC, Gertz MA, et al. Electrocardiographic findings in primary systemic amyloidosis and biopsy-proven cardiac involvement. Am J Cardiol. 2005;95(4):535-7. doi: 10.1016/j.amjcard.2004.10.028
- Okin PM, Roman MJ, Devereux RB, Kligfield P. Electrocardiographic identification of increased left ventricular mass by simple voltage-duration products. J Am Coll Cardiol. 1995;25(2):417-23. doi: 10.1016/0735-1097(94)00371-v
- Rapezzi C, Merlini G, Quarta CC, et al. Systemic cardiac amyloidoses: disease profiles and clinical courses of the 3 main types. Circulation. 2009;120(13):1203-12. doi: 10.1161/CIRCULATIONAHA.108.843334
- Rapezzi C, Quarta CC, Obici L, et al. Disease profile and differential diagnosis of hereditary transthyretin-related amyloidosis with exclusively cardiac phenotype: an Italian perspective. Eur Heart J. 2013;34(7):520-8. doi: 10.1093/eurheartj/ehs123
- Rapezzi C, Quarta CC, Riva L, et al. Transthyretin-related amyloidoses and the heart: a clinical overview. Nat Rev Cardiol. 2010;7(7):398-408. doi: 10.1038/nrcardio.2010.67
- Ridolfi RL, Bulkley BH, Hutchins GM. The conduction system in cardiac amyloidosis. Clinical and pathologic features of 23 patients. Am J Med. 1977;62(5):677-86. doi: 10.1016/0002-9343(77)90870-1
- Ruberg FL, Grogan M, Hanna M, et al. Transthyretin Amyloid Cardiomyopathy: JACC State-of-the-Art Review. J Am Coll Cardiol. 2019;73(22):2872-91. doi: 10.1016/j.jacc.2019.04.003
- Sperry BW, Vranian MN, Hachamovitch R, et al. Are classic predictors of voltage valid in cardiac amyloidosis? A contemporary analysis of electrocardiographic findings. Int J Cardiol. 2016;214:477-81. doi: 10.1016/j.ijcard.2016.04.030
- Zhao L, Li J, Tian Z, Fang Q. Clinical correlates and prognostic values of pseudoinfarction in cardiac light-chain amyloidosis. J Cardiol. 2016;68(5):426-30. doi: 10.1016/j.jjcc.2015.11.004
- Cuddy SAM, Chetrit M, Jankowski M, et al. Practical Points for Echocardiography in Cardiac Amyloidosis. J Am Soc Echocardiogr. 2022;35(9):A31-40. doi: 10.1016/j.echo.2022.06.006
- Mitchell C, Rahko PS, Blauwet LA, et al. Guidelines for Performing a Comprehensive Transthoracic Echocardiographic Examination in Adults: Recommendations from the American Society of Echocardiography. J Am Soc Echocardiogr. 2019;32(1):1-64. doi: 10.1016/j.echo.2018.06.004
- AbouEzzeddine OF, Davies DR, Scott CG, et al. Prevalence of Transthyretin Amyloid Cardiomyopathy in Heart Failure With Preserved Ejection Fraction. JAMA Cardiol. 2021;6(11):1267-74. doi: 10.1001/jamacardio.2021.3070
Supplementary files







