Pulmonary fibrosis in patients with COVID-19: A review
- Authors: Chuchalin A.G.1
-
Affiliations:
- Pirogov Russian National Research Medical University
- Issue: Vol 94, No 11 (2022)
- Pages: 1333-1339
- Section: Reviews
- Submitted: 26.12.2022
- Accepted: 26.12.2022
- Published: 26.12.2022
- URL: https://ter-arkhiv.ru/0040-3660/article/view/119999
- DOI: https://doi.org/10.26442/00403660.2022.11.201943
- ID: 119999
Cite item
Full Text
Abstract
The viral infectious disease pandemic caused by SARS-CoV-2 has affected over 500 million people and killed over 6 million. This is the official data provided by the WHO as of the end of May 2022. Among people who have recovered from COVID-19, post-COVID syndrome is quite common. Scattered epidemiological studies on post-COVID syndrome, however, indicate its high relevance. One of the manifestations of post-COVID syndrome is the development of pulmonary fibrosis (PF). This article is devoted to the analysis of literature data on epidemiology, immunomorphology, as well as X-ray morphological and functional characteristics of PF in patients with post-COVID syndrome. Attention is drawn to the various phenotypes of the post-COVID syndrome and the incidence of PF, which, as clinical practice shows, is most common in people who have had severe COVID-19. This article discusses in detail the molecular biological and immunological mechanisms of PF development. The fibrotic process of the lung parenchyma is not an early manifestation of the disease; as a rule, radiomorphological signs of this pathological process develop after four weeks from the onset of acute manifestations of a viral infection. The characteristic signs of PF include those that indicate the process of remodulation of the lung tissue: volumetric decrease in the lungs, “cellular” degeneration of the lung parenchyma, bronchiectasis and traction bronchiolectasis. The process of remodulating the lung tissue, in the process of fibrosis, is accompanied by a violation of the lung function; a particularly sensitive test of functional disorders is a decrease in the diffusion capacity of the lung tissue. Therefore, in the process of monitoring patients with post-COVID syndrome, a dynamic study of the ventilation function of the lungs is recommended. The main clinical manifestation of PF is dyspnea that occurs with minimal exertion. Shortness of breath also reflects another important aspect of fibrous remodulation of the lung parenchyma – oxygen dissociation is disturbed, which reflects a violation of the gas exchange function of the lungs. There are no generally accepted treatments for PF in post-COVID syndrome. The literature considers such approaches as the possibility of prescribing antifibrotic therapy, hyaluronidase, and medical gases: thermal helium, nitric oxide, and atomic hydrogen. The article draws attention to the unresolved issues of post-covid PF in people who have had COVID-19.
Full Text
Список сокращений
АПФ-2 – рецептор 2-го типа ангиотензинпревращающего фермента
КТ – компьютерная томограмма
ТФР-β – трансформирующий фактор роста β
ФЛ – фиброз легких
Фиброз легких (ФЛ) следует рассматривать как патологический процесс, который характеризуется разрастанием фиброзно-рубцовой ткани в паренхиме легких; патологическим изменениям, ремоделирующим легочную ткань, предшествует депозиция коллагена в экстрацеллюлярном пространстве. Газообменная функция альвеол-капиллярной мембраны нарушается с разрастанием фиброзной ткани: снижается ее диффузионная способность по кислороду и задерживается элиминация углекислоты, формируется гипоксемия – основной патогенетический признак ФЛ. Необходимо подчеркнуть гетерогенность клинических проявлений ФЛ, он встречается при обширной группе интерстициальных заболеваний легких. Некоторые заболевания, которые относят к группе интерстициальных, имеют хорошо очерченную этиологию, патогенез и методы лечения. Однако следует особо подчеркнуть многоликость ФЛ, в качестве примера можно привести ФЛ при системной склеродермии и саркоидозе. Особое место в группе интерстициальных заболеваний легких отведено идиопатическому легочному фиброзу. В настоящее время мы не знаем причины, которая приводит к развитию этой формы патологии легких, и обстоятельств, предшествующих развитию рецидива заболевания. Болезнь носит прогрессирующей характер и часто бывает причиной смерти больного человека. Идиопатический легочный фиброз по течению сравнивают с онкологическими заболеваниями; срок жизни больных не превышает 4 лет после того, как установлен диагноз.
Данная статья посвящена фенотипу ФЛ, который связан с перенесенной вирусной инфекцией, вызванной SARS-CoV-2. По данным Всемирной организации здравоохранения, на конец мая 2022 г. в мире заболели COVID-19 свыше 522 млн человек, из которых умерли 6 млн [1]. Возникает вопрос: у какого процента больных из этой многочисленной группы разовьется ФЛ?
В данной работе последовательно рассматриваются определение ФЛ, эпидемиология, молекулярно-биологические механизмы развития ФЛ, роль гипоксемии и гипероксии, генетическая предрасположенность к развитию ФЛ, рентгеноморфологическая характеристика ФЛ и перспективные методы лечения.
Определение ФЛ
Определение ФЛ носит описательный характер и включает 3 ключевых положения данного патологического процесса. Во-первых, с позиции клинициста эта категория больных характеризуется как больные с одышкой, описаны особенности одышки при ФЛ, речь о которой пойдет ниже. Во-вторых, у больных с ФЛ своеобразный паттерн респираторного цикла и, наконец, в-третьих, при имидж-диагностике выявляются характерные симптомы [2].
Эпидемиология ФЛ при постковидном синдроме
Восстановить объективную картину распространения ФЛ у лиц, переносящих COVID-19, достаточно сложно, одной из причин до недавнего времени являлось отсутствие четкого определения постковидного синдрома. В настоящее время выделяют несколько состояний постковидного периода, для каждого из которых характерны свои клинические проявления. Наиболее часто ФЛ наблюдается у лиц, перенесших тяжелую форму болезни, некоторым из них проводилась искусственная вентиляция легких в условиях реанимационного отделения. Состояние данной группы больных в постковидный период рассматривают как синдром постинтенсивной терапии, он является в какой-то степени аналогом посттравматического синдрома, описанного военными врачами. Другим фенотипом постковидного синдрома является затяжное течение COVID-19, диагностическим критерием данного состояния выступает персистенция симптомов вирусного заболевания сроком более чем 4 нед от начала болезни. Наконец, под постковидным синдромом понимают персистенцию таких клинических проявлений болезни, как кашель, одышка, мышечные боли, снижение толерантности к физическим нагрузкам, депрессия и другие, которые наблюдаются на протяжении последних 3 мес от начала заболевания. ФЛ описан и как фульминантная форма синдрома, развившегося в первые недели от начала вирусного заболевания. Таким образом, острый респираторный дистресс-синдром, пневмония, персистенция вируса SARS-CoV-2 и гипоксемия играют ведущую патогенетическую роль в фенотипировании ФЛ.
ФЛ стал уже обсуждаться при эпидемии SARS (2002 г.) и MERS (2012 г.). Пятнадцатилетнее наблюдение над лицами, перенесшими вирусное заболевание, позволило сделать выводы о том, что фиброзные изменения в легких сохраняли на протяжении как минимум 2 лет и корреспондировали со снижением диффузионной способности легких [3]. Предполагается, что ФЛ при COVID-19 встречается чаще, чем при предшествующих эпидемиях, вызванных мутирующими штаммами коронавируса. Причина, которая может объяснить более частое распространение ФЛ у больных COVID-19, лежит в тяжести клинического течения данной пандемии. Так, C. Wu и соавт. [4] в контексте текущей пандемии указывают, что вирусная пневмония развилась у 40% больных и у 20% она осложнилась развитием респираторного дистресс-синдрома. Большую роль играет мониторинг вентиляционной функции легких и проведение диффузионного теста. Согласно рекомендациям Британского общества пульмонологов рекомендуется проводить функциональные легочные тесты через 3 мес после перенесенного вирусного заболевания [5].
Ведущую роль в распознавании ФЛ играет имидж-диагностика. В настоящее время результату исследований имидж-диагностики на разных этапах развития COVID-19 принадлежит значительное число работ. Одной из первых явилась публикация китайских авторов Z. Ye и соавт. [6]. Такие рентгенологические феномены, какими являются «матовое стекло», ретикуляция легочной ткани и даже консолидация, могут сохраняться после перенесенной инфекции в течение года. Особое место занимают феномены фиброза легочной ткани и развитие бронхоэктазов и тракционных бронхиолоэктазов. Актуальным с позиции эпидемиологического исследования является сопоставление данных клинических наблюдений с данными функциональными и имидж-диагностики. В московском здравоохранении накоплен уникальный опыт: создана единая база данных больных, прошедших лечение в стационарах и поликлиниках города за прошедшие 2 года пандемии. При всей сложности поставленной проблемы сегодня можно утверждать, что ФЛ является одной из ведущих клинических проблем лиц, перенесших COVID-19. По данным эпидемиологического исследования, проведенного во Франции, легочный фиброз отмечен у 13% лиц, перенесших COVID-19 [7].
С середины 1960-х годов активно исследуется роль коронавирусной инфекции в человеческой популяции. Распространение вирусного заболевания приходилось, как правило, на осенний период; описаны такие возбудители, как HCoV229E, HCoVOC43, HCoV L69, HCoV53U1. Клиническое проявление коронавирусной инфекции, вызванное указанными сезонными штаммами, проявлялось симптомами острого простудного заболевания. При инвазии коронавируса и риновируса часто регистрировалось поражение слизистой носа: ринорея, отек слизистой носа. Новые возбудители коронавирусной инфекции SARS1 и SARS2 идентифицированы в 2002 г., когда на юге Китая началась вспышка атипичной пневмонии. В последующем в 2012 г. в Саудовской Аравии возникла вспышка новой коронавирусной инфекции, возбудителем которой оказался новый штамм – МERS. Наконец, текущая пандемия характеризуется спектром новых возбудителей коронавирусной инфекции. Изначально в декабре 2019 г. в китайском городе Ухань (Wuhan) выделен штамм SARS-CoV-2, в последующем при развитии пандемии идентифицированы Alpha, Delta и, наконец, Omicron. В течение 2022 г. стали циркулировать его субварианты: ВА.1, ВА2, ВА.2.12.1. Начиная с апреля текущего года и в последующие месяцы доминируют субварианты: ВА.4 и ВА.5. Они характеризуются высокой трансмиссией, коротким инкубационным периодом (1–2 дня) и способностью «ускользать» от защитных иммунологических механизмов хозяина, что побудило обозначать их как стелс-вирусы (stealth viruses).
Молекулярно-биологические механизмы репликации коронавирусов
Молекулярно-биологические механизмы репликации вируса SARS-CoV-2 являются областью интенсивного научного исследования. Короткий инкубационный период, который распространяется на первые дни инфицирования, заканчивается репликацией вируса в эпителиальных клетках слизистой носа. Биологической мишенью являются те клетки, на апикальной части которых экспрессирован ангиотензинпревращающий фермент 2 (АПФ-2). Установлено, что АПФ-2 играет важную роль в регуляции системы ренин–ангиотензин. Высокая плотность АПФ-2 приходится на нейроэпителий слизистой носа. Потеря обоняния отражает нейровоспалительный процесс, в который вовлекается nervus olfactorius. Некоторые пациенты отмечали изменения вкусовых восприятий, что может быть связано с воспалительным процессом вкусовых луковиц nervus vagus, nervus glossopharyngeus. Первые клинические проявления болезни свидетельствуют о воспалительном процессе верхнего отдела дыхательных путей, включая орофарингеальную область. Однако через 7–9 дней от начала первых признаков острого инфекционного заболевания воспалительный процесс распространяется на нижние отделы дыхательных путей. Больных начинают беспокоить сухой непродуктивный кашель и чувство дискомфорта при дыхании. С позиции молекулярно-биологических процессов этот этап болезни отражает диффузное повреждение альвеолоцитов 2-го типа. Альвеолярный эпителий является биологической мишенью для SARS-CoV-2. В этом патобиологическом процессе заключается разница между сезонными штаммами коронавирусной инфекции и штаммами текущей пандемии, пандемические штаммы в отличие от своих предшественников имеют сродство к эпителиальным клеткам дистального отдела дыхательных путей. Диффузное повреждение альвеолоцитов 2-го типа сопровождается нарушением диффузии кислорода через альвеол-капиллярную мембрану, что и является первичной причиной развития гипоксемии. На этом этапе развития патологического процесса фиброзобразование не играет существенной роли в патогенезе заболевания. ФЛ наступает несколько позже. Проникновение вирусных частиц SARS-CoV-2 через альвеол-капиллярную мембрану изначально в сосуды малого круга кровообращения и в последующем в системное кровообращение знаменует этап вирусемии. На этом этапе биологической мишенью SARS-CoV-2 является эндотелиоцит, который так же, как и эпителий дыхательных путей, имеет высокую экспрессию АПФ-2. В работе Л.И. Бурячковской и соавт. [8] продемонстрирована массовая гибель эндотелиоцитов у больных COVID-19. В норме в 1 мл3 крови находится 4–6 эндотелиоцитов, тогда как у больных COVID-19 их количество превышает 500–600 клеток и, как показали авторы, большинство из них являются апоптотическими клетками. С гибелью эндотелиоцитов происходит нарушение микроциркуляции, проявляющееся в замедлении кровотока по капиллярам, венулам и артериолам, что в свою очередь является причиной образования микротромбов. Коагулопатия при COVID-19 является другой причиной, усугубляющей гипоксемические расстройства. Нарастающая гипоксия приводит к гипоперфузии пораженных органов и тканей, формируется анаэробный тип метаболизма; концентрация лактата превышает физиологические параметры, отражая ишемию органов и тканей больного человека.
Процесс фиброзирования легочной паренхимы не является инициальным звеном в патогенезе COVID-19. Как правило, ФЛ наблюдается по истечении 2 нед от начала заболевания. Описаны единичные наблюдения фульминантного развития ФЛ, причина столь стремительного развития фиброза остается неясной. Пролиферации фибробластов и их дифференцировке в миофибробласты предшествует диффузное повреждение альвеолоцитов 2-го типа, а также эндотелиоцитов, что наступает во временном отношении несколько позже. В альвеолярном пространстве депонируется значительное количество гиалуроновой кислоты. При проведении имидж-диагностики этот этап болезни характеризуется формированием феномена «матового стекла». Диффузное повреждение альвеолоцитов, нарушение функции альвеол-капиллярной мембраны, гибель эндотелиоцитов и, наконец, депонирование гиалуроновой кислоты в альвеолярном пространстве являются ведущими патогенетическими механизмами в формировании гипоксемии на начальном этапе развития болезни.
Депонирование гиалуроновой кислоты играет важную роль в формировании иммунной системы легких, которая реагирует на изменившийся гемостаз легочной ткани [9]. Макрофагическая система легочной ткани характеризуется гетерогенностью популяции этих клеток. Так, выделяют альвеолярные, интерстициальные и резидуальные макрофаги. В процессе ФЛ патогенетическую роль играют эффект повреждения альвеолоцитов 2-го типа и процесс депонирования гиалуроновой кислоты. Следующим звеном фибротического процесса является пролиферация фибробластов, которая становится прогрессирующей при снижении активности CD44. В этих условиях происходит дифференцировка фибробластов в миофибробласты. Легочная паренхима теряет эластические волокна, которые заменяются коллагеном и в последующем фиброзной тканью [10].
Фактором риска в развитии ФЛ легких является возраст больных: известно, что с возрастом растет склонность к фиброзным разрастаниям тканей человеческого организма. Возрастной фактор оказывает влияние на активность врожденного иммунитета, восприимчивость к окислительному стрессу и гипоксии органов и тканей [11], также целый ряд других факторов играет патогенетическую роль в процессе фиброобразования.
Генетическая предрасположенность к развитию ФЛ
Генетической предрасположенности отводится роль в предрасположении к вирусной инфекции и развитию ФЛ. В исследованиях, проведенных J. Xu и соавт. [12], показано, что экспрессия генов ACE2, TMPRSS2, ADAM17, TIMP3, AGT, TGFB1, VEGFA, CTGF, FN1 содействует процессу фиброзобразования. Однако следует подчеркнуть, что эти же гены принимают участие в фиброобразовании и при других его формах. Подчеркивается особая роль гена ТФР-β, с функцией которого связывают депонирование гиалуроновой кислоты в экстрацеллюлярном матриксе.
Роль гипоксии и гипероксии в развитии ФЛ
Гипоксия и гипероксия являются факторами, с которыми связывают развитие ФЛ. В процессе фиброгенеза большая роль отводится трансформирующему фактору роста β (ТФР-β). Продукция гиалуроновой кислоты фибробластами возрастает при гипоксии [13]. Известно несколько изоформ ТФР-β, с синтезом гиалуроновой кислоты связана 3-я изоформа.
Гипоксия модифицирует и другие цитокины, в процессе пролиферации фибробластов большая роль отводится фактору роста тромбоцитов. С этим цитокином связана стимуляция продукции фибробластами гликозаминогликанов и последующей их дифференцировки в миофибробласты. Биологическая активность фибробластов и миофибробластов приводит к отложению коллагена в экстрацеллюлярном пространстве, что является ключевым процессом фиброобразования.
COVID-19, как указывалось выше, более чем в 20% случаев осложняется развитием респираторного дистресс-синдрома, ведущим патогенетическим развитием его являются гипоксия, последующая ишемия и гипоперфузия органов и тканей человеческого организма. У этой тяжелой группы больных проводится комплекс реанимационных мероприятий, включая и искусственную вентиляцию легких. Легочная паренхима не только повреждена из-за гипоксии, но и подвержена гипероксическому воздействию, которого порой невозможно избежать при проведении искусственной вентиляции легких. Судьба больных, выживших после развития респираторного дистресс-синдрома, является областью специального исследования, в клинической практике применяют для описания этой группы больных термин постинтенсивного синдрома. ФЛ у них встречается чаще, чем среди других больных с другими формами постковидного синдрома [14].
Роль иммунных нарушений в развитии ФЛ
В патогенезе COVID-19 состоянию иммунной системы отводится одно из центральных мест. При постковидном синдроме описаны пациенты, у которых не только отмечалась вирусемия SARS-CoV-2, но также регистрировалась активация латентной вирусной инфекции герпетической группы. Y. Su и соавт. [15] опубликовали данные о множественной вирусемии у больных с тяжелыми формами COVID-19. Так, геномные копии цитомегаловируса, вируса Эпштейна–Барр обнаружены у этой категории больных; в течение года регистрировались антитела-свидетели [16]. В большом проценте случаев отмечалась низкая концентрация интерферона, что, возможно, является одним из факторов, обусловливающих множественную вирусемию. Дисрегуляция иммунной системы может стать причиной появления аутоантител у больных COVID-19 [17]. Авторы установили, что у больных COVID-19 обнаруживается спектр аутоантител: La/ss-B. Ro/SS-A, Jo-1, P1, U1-snRNP. Аутоантитела, свидетельствующие об иммунопатологическом процессе, могут объяснить целый ряд клинических феноменов: коагулопатию, коронарит, эндотелит и целый ряд других проявлений при постковидном синдроме.
Вирусная инфекция оказывает иммуносупрессирующий эффект на приобретенный и врожденный иммунитет. Стремительная репликация SARS-CoV-2 происходит в условиях супрессии мукозального иммунитета. Существующие вакцины в основном оказывают иммуностимулирующий эффект на приобретенный иммунитет. Ведутся научные разработки по конструкции вакцин для регуляции врожденного и мукозального иммунитета. Особое место занимает участие иммунной системы в процессе фиброобразования. Уже выше обсуждалась роль макрофагальной системы, а именно популяции макрофагов-М2, в процессе пролиферации фибробластов. Диффузное повреждение альвеолоцитов 2-го типа, наступающее вследствие инвазии SARS-CoV-2, приводит к активации иммунной системы. Депонированию гиалуроновой кислоты предшествует активация CD44, кислота является для них лигандом.
CD44 представляет семейство гликопротеинов, которые экспрессированы на различных клетках и тканях: гемопоэтические клетки, эпителиальные, эндотелиальные и мезодермальные клетки. CD44ss известна как стандартная форма, она участвует в формировании биологического сигнала в процессе активации Т-лимфоцитов. CD44ss принимает участие в процессе адгезии Т- и В-лимфоцитов, а также стимулирует продукцию фактора некроза опухоли. CD44ss участвуют в процессе онкогенеза и в развитии аутоиммунных реакций, например изучена их роль при ревматоидном полиартрите [18].
Рентгеноморфологические изменения при COVID-19
В диагностическом алгоритме COVID-19 одно из центральных мест принадлежит рентгеноморфологическим признакам заболевания. С появлением таких признаков COVID-19, как лихорадка, сухой и непродуктивный кашель и дыхательный дискомфорт, при имидж-диагностике выявляется феномен «матового стекла». Этот рентгенологический признак относят к числу неспецифических заболеваний легочной паренхимы и ее сосудистого русла. Термин введен в оборот экспертами общества Fleischner в 2008 г. [19] и описан как феномен hazy increase in lung density, not associated with obscuration of the underlying vessels or bronchial walls. В русскоязычной литературе наибольшее распространение получила интерпретация феномена «матовое стекло», которое дали профессор В.М. Китаев и соавт.: область легочной паренхимы обозначена как область туманного понижения прозрачности. Степень пониженной прозрачности может колебаться от низкой до высокой [20].
Феномен «матовое стекло» встречается при большой группе аутоиммунных заболеваний, онкологических, инфекционных, сердечно-сосудистых, а также при иммунодефицитных состояниях. В альвеолярном пространстве депонируются клетки воспаления, происходит экссудация плазмы, откладываются гиалиновые мембраны. В случаях с COVID-19 речь идет о депонировании на начальных этапах болезни гиалуроновой кислоты и клеток воспаления. Учитывая патогенетическую роль гиалуроновой кислоты в повреждении легочного альвеолярного пространства у больных COVID-19, она может рассматриваться как биологическая мишень для терапевтического применения гиалуронидазы. Феномен «матового стекла» может носить диффузный характер или же центрилобулярный, нодулярный, у ряда больных наблюдается мозаичная аттенуация, описывается феномен «булыжной мостовой» и halo признак.
На рис. 1 демонстрируется компьютерная томограмма (КТ) мужчины 42 лет, у которого в последние 2 сут отмечены высокая температура, выраженное общее недомогание, присоединился сухой непродуктивный кашель и дыхательный дискомфорт, положительный тест на SARS-CoV-2. Феномен «матового стекла» на КТ носит диффузный характер.
Рис. 1. КТ органов грудной клетки у мужчины 42 лет, феномен «матового стекла» носит диффузный характер. / Fig. 1. The chest computed tomography (CT) of a 42-year-old man, the phenomenon of "matte glass" is diffuse.
В случаях прогрессирования заболевания, как правило, это происходит на 12–14-е сутки от начала лихорадочного периода, развивается консолидация воспалительного процесса. Состояние больных COVID-19 прогрессивно ухудшается, и порой развиваются жизнеугрожающие признаки респираторного дистресс-синдрома. На рис. 2 представлена КТ больного COVID-19 на 14-е сутки от начала лихорадочного периода. В отличие от феномена «матового стекла» в консолидирующей легочной ткани не прослеживаются сосуды и просвет бронхиального дерева. Этот этап болезни связывают с гипериммунной реакцией организма человека и развитием цитокинового шторма, который предшествует респираторному дистресс-синдрому.
Рис. 2. КТ органов грудной клетки больного COVID-19 на 14-е сутки от начала лихорадочного периода, участки консолидации легочной ткани. / Fig. 2. CT organs of the chest of the patient COVID-19 on the 14th day from the beginning of the feverish period, sections of the consolidation of pulmonary tissue.
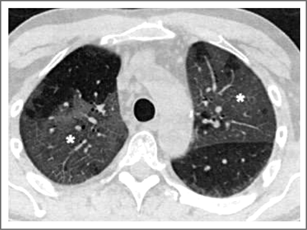
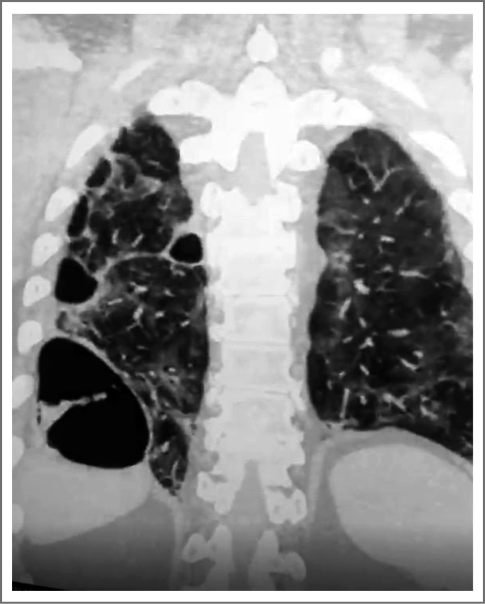
ФЛ развивается у больных COVID-19 на 3–4-й неделе от начала лихорадочного периода вирусного инфекционного заболевания. У отдельной группы больных фибротические изменения легочной паренхимы сочетаются с развитием буллезной болезни легких. На рис. 3 представлено персональное наблюдение за больным, перенесшим в тяжелой форме COVID-19; проводилась искусственная вентиляция легких в течение 10 дней. На КТ можно наблюдать множественные буллы, одна из них – гигантская. В просвете гигантской буллы виден обтурированный тромбом сосуд. Буллезные изменения развились на фоне выраженного ФЛ: объемное уменьшение легочной ткани, множественные тракционные бронхиолоэктазы; процесс ремоделирования легких, вызванный фиброзным процессом и образованием множественных булл.
Рис. 3. КТ органов грудной клетки больного, перенесшего в тяжелой форме COVID-19; буллезные изменения на фоне выраженного ФЛ. / Fig. 3. Thoracic CT of patients suffering from severe COVID-19; bulose changes against the background of pronounced pulmonary fibrosis.
ФЛ не является ранним проявлением COVID-19 за исключением отдельных наблюдений над больными с фульминантной формой. Как правило, первые признаки фиброза развиваются в конце 4-й недели от начала лихорадочного периода заболевания. Процесс ремоделирования легочной паренхимы характеризуется уменьшением объема легких, которое развивается на фоне возрастающего числе ретенционных бронхиолоэктазов и сотовой дегенерации легочной ткани. Таким образом, ФЛ рассматривается как одно из проявлений постковидного синдрома, формируя определенный фенотип заболевания. Динамика фиброзных изменений при постковидном синдроме различна. Наблюдения над больными с постковидным синдромом свидетельствуют о частичном обратном развитии фиброза. Природа подобных изменений мало изучена, так же как показания к антифибротической терапии у больных COVID-19.
Морфологические изменения у больных COVID-19 носят динамичный изменчивый характер, на протяжении 4–6 нед от начала заболевания эти изменения могут носить феномен «матового стекла», консолидации, развития вирусной пневмонии и, наконец, ФЛ. У ряда больных эта палитра рентген-морфологических изменений дополняется, у ряда больных – буллезными изменениями легочной ткани. Со стороны функционального состояния респираторной системы происходят также динамические изменения. Если на начальных этапах заболевания превалирует нарушение газообменной функции легких, что проявляется гипоксемией, часто резистентной к кислородотерапии, то последующий этап заболевания выявляет рестриктивный тип нарушения вентиляционной функции легких. Биологическим маркером этих нарушений служит снижение диффузионной функции легких, что формирует определенный фенотип синдрома дыхательной недостаточности. Для больных COVID-19, особенно в постковидный период, рекомендуется динамическое измерение диффузионной способности легочной ткани. В клинической практике рекомендуется проводить сопоставление рентген-морфологических изменений с нарушениями газообменной функции легких и сниженными показателями диффузионной способности легочной ткани. Динамическое наблюдение за этой когортой больных выявляет несколько фенотипов постковидного синдрома. Наибольшую тревогу вызывает та группа больных, у которых как нарастают фиброзные изменения легочной паренхимы, так и происходит ухудшение газообменной и вентиляционной функции легких. В клиническом отношении эта группа больных характеризуется значительным снижением толерантности к физическим нагрузкам, что происходит из-за нарастающей степени гипоксемии и даже гипоксии в постковидный период заболевания. Эта группа больных нуждается в активной респираторной поддержке, включая длительную оксигенотерапию, и порой необходимо проводить неинвазивную вентиляцию легких. Другой фенотип постковидного периода характеризуется медленным обратным развитием ФЛ. Наконец, третий фенотип характеризуется застывшей картиной как морфологических, так и функциональных изменений в постковидный период. Последние две категории больных нуждаются в проведении современных реабилитационных методов лечения.
Лечение ФЛ при постковидном синдроме
В настоящее время отсутствуют клинические рекомендации по лечению ФЛ у больных с постковидным синдромом, сохраняется сдержанное отношение к антифибротической терапии. В качестве пилотного проводят клиническое исследование эффективности и безопасности гиалуронидазы, а также в качестве респираторной поддержки исследуется роль медицинских газов – термического гелия, оксида азота и атомарного водорода – в комплексной терапии больных с постковидным синдромом [21, 22].
Заключение
Постковидный синдром является актуальной проблемой современного медицинского сообщества. У значительной части лиц, перенесших COVID-19, развивается ФЛ, его клинические проявления не относятся к ранним признакам коронавирусной инфекции. Одышка, которая может беспокоить больного человека в период начальной вирусемии, не связана с фибротическим ремоделированием легочной паренхимы. Однако одышка, которая может доминировать как один из инвалидизирующих признаков постковидного синдрома, обусловлена чаще всего развитием фибротического процесса легочной паренхимы. Прогнозирование развития ФЛ может быть основано на оценке тяжести тех патологических процессов, которые развиваются у больных COVID-19. Чаще всего ФЛ развивается у тех лиц, у которых тяжелое течение болезни привело к необходимости в качестве респираторной поддержки прибегать к искусственной вентиляции легких, экстракорпоральной мембранной оксигенации и другим методам легочно-сердечной реанимации. Диагностический алгоритм ФЛ основан на данных клинической картины, как выше указывалось, одним из основных признаков является одышка при физической нагрузке. Порой больные не предъявляют жалоб на одышку. На эту клиническую особенность обращено внимание у больных COVID-19, у них отмечается сниженная сатурация кислорода. Одним из объяснений данного феномена является поражение клеток хеморецепторов вирусной инвазией. Для фиброзного процесса легочной паренхимы характерны морфологические изменения, которые при имидж-диагностике выявляются как «сотовая» дегенерация легочной ткани, бронхиолоэктазы и объемное уменьшение легочной ткани. Эти рентгеноморфологические изменения корреспондируют с нарушением вентиляционной функции легких. Наиболее чувствительным тестом при проведении исследования вентиляционной функции легких, который свидетельствует о фиброзном процессе, является снижение диффузионной способности легких. Терапевтические методы лечения ФЛ при COVID-19 находятся в центре клинических исследований, на сегодняшний день не сформированы клинические рекомендации по лечению ФЛ у этой категории больных.
Раскрытие интересов. Автор декларирует отсутствие явных и потенциальных конфликтов интересов, связанных с публикацией настоящей статьи.
Disclosure of interest. The author declares that he has no competing interests.
Вклад авторов. Автор декларирует соответствие своего авторства международным критериям ICMJE.
Authors’ contribution. The author declares the compliance of his authorship according to the international ICMJE criteria.
Источник финансирования. Автор декларирует отсутствие внешнего финансирования для проведения исследования и публикации статьи.
Funding source. The author declares that there is no external funding for the exploration and analysis work.
About the authors
Alexander G. Chuchalin
Pirogov Russian National Research Medical University
Author for correspondence.
Email: pulmomoskva@mail.ru
ORCID iD: 0000-0002-5070-5450
акад. РАН, д-р мед. наук., проф., зав. каф. госпитальной терапии педиатрического фак-та, председатель правления Российского респираторного общества
Russian Federation, MoscowReferences
- WHO: weakly epidemiological update on COVID-19. Available at: https://www.who.int/publications/m/item/weekly-epidemiological-update-on-covid-19---25-may-2022. Accessed: 19.07.2022.
- Giacomelli C, Piccarducci R, Marchetti L, et al. Pulmonary fibrosis from molecular mechanisms to therapeutic intervention: lessons from post-COVID-19 patients. Biochem Pharmacol. 2021;193:114812. doi: 10.1016/j.bcp.2021.114812
- Mylvaganam RJ, Bailey JI, Sznajder JI, Sala MA. Recovering from a pandemic: pulmonary fibrosis after SARS-COV-2 infection. Eur Respir Rev. 2021;30:210194. doi: 10.1183/16000617.0194-2021
- Wu C, Chen X, Cai Y. Risk factors associated with acute respiratory distress syndrome and death in patients with coronavirus disease 2019 pneumonia in Wuhan, China. JAMA Intern Med. 2020;180:934-43. doi: 10.1001/jamainternmed.2020.0994
- Funke-Chambour M, Bridevaux P-O, Clarenbach CF. Swiss recommendation for the follow-up and treatment of pulmonary long COVID. Respiration. 2021;100:826-41. doi: 10.1159/000517255
- Ye Z, Zhang Y, Wang Y, et al. Chest CT manifestations of new coronaviruses disease 2019: a pictorial review. Eur Radiol. 2020;30(8):4381-9. doi: 10.1007/s00330-020-06801-0
- Frija-Masson J, Debray MP, Boussouar S, et al. Residual ground glass opacities three month after COVID-19 pneumonia correlate to alteration of respiratory function: The post COVID-19 M3 study. Respir Med. 2021;184:106435. doi: 10.1016/j.rmed.2021.106435
- Бурячковская Л.И., Мелькумянц А.М., Ломакин Н.В., и др. Повреждение сосудистого эндотелия и эритроцитов у больных COVID-19. Consilium Medicum. 2021;23(6):469-76 [Buryachkovskaya LI, Melkumyants AM, Lomakin NV, et al. Injury of vascular endothelium and erythrocytes in COVID-19 patients. Consilium Medicum. 2021;23(6):469-76 (in Russian)]. doi: 10.26442/20751753.2021.6.200939
- Lee SN, Seol AY, Ji MS, et al. Role HA in airway goblet cell hyperplasia. AJRCM. Articles in press. Published June 09 2022.
- Cheng P, Li S, Chen H. Macrophages in lung injury, repair and fibrosis. Cells. 2021;10:436. doi: 10.3390/cells10020436
- Wu Y, Goplen N, Sun J. Aging and respiratory viral infection: from acute morbidity to chronic sequelae. Cell Biosci. 2021;11:112. doi: 10.1186/s13578-021-00624-2
- Xu J, Xu X, Jiang L, et al. SARS-CoV-2 induces transcriptional signatures in human lung epithelial cells that promote lung fibrosis. Respir Res. 2020;21:182. doi: 10.1186/s12931-020-01445-6
- Papakonkonstantinou E, Roth M, Tamm M, et al. Hypoxia differentially enchances the effects of transforming growth factor-b isorforms on the synthesis and secretion of glycosaminoglycans by human lung fibroblasts. J Pharmacol Exp Ther. 2002;301:830-7. doi: 10.1124/jpet.301.3.830
- Sweeney R, McAuley D. Acute respiratory syndrome. Lancet. 2016;388:2416-30. doi: 10.1016/S0140-6736(16)00578-X
- Su Y, Yan D, Chen DG, et al. Multiple early factors anticipate post-acute COVID-19 sequelae. Cell. 2022;185:881-95. doi: 10.1016/j.cell.2022.01.014
- Gold JE, Okyay RA, Licht WE, Hurley DJ. Investigation of Long COVID Prevalence and Its Relationship to Epstein-Barr Virus Reactivation. Pathogens. 2021;10:763. DOI:10.3390/ pathogens10060763
- Fu Q, Zhang X. From blood to tissue: take a deeper look at B cell in lupus. Cell Mol Immunolog. 2021;18:2073. doi: 10.1038/s41423-021-00713-9
- Bourguignon LYW, Zhu D, Zhu H. CD44 isorform-cytoskeleton interaction in oncogenic signaling and tumor progression. Bioscience. 1998;3:637-49. doi: 10.2741/a308
- Hansel DM, Bankier AA, MacMahon H, et al. Fleischner society: glossary of terms for thoracic imaging. Radiology. 2008;246(3):697-722. doi: 10.1148/radiol.2462070712
- Китаев В.М., Белова И.Б., Адович Ю.А., и др. Симптомы матового стекла и его морфологические составляющие. Вестник Национального медико-хирургического центра им. Н.И. Пирогова. 2016;11(2):80-7 [Kitaev VM, Belova IB, Abovich JuA, at al. Symptom frosted glass and its morphological components. Bulletin of Pirogov National Medical and Surgical Center. 2016;11(2):80-7 (in Russian)].
- Wajner M, Vargas CR, Amaral AU. Disruption of mitochondrial functions and oxidative stress contribute to neurologic dysfunction in organic acidurias. Arch Biochem Biophys. 2020;696:108646. doi: 10.1016/j.abb.2020.108646
- Шогенова Л.В., Туе Т.Ч., Крюкова Н.О., и др. Ингаляционный водород в реабилитационной программе медицинских работников, перенесших COVID-19. Кардиоваскулярная терапия и профилактика. 2021;20(6):2986 [Shogenova LV, Truong TT, Kryukova NO, at al. Hydrogen inhalation in rehabilitation program of the medical staff recovered from COVID-19. Cardiovascular Therapy and Prevention. 2021;20(6):2986 (in Russian)]. doi: 10.15829/1728-8800-2021-2986
Supplementary files






