Clinical cases of complicated diverticulitis against the background of severe course COVID-19. Case report
- Authors: Pshenichcnaya N.Y.1, Ponezheva Z.B.1, Marzhokhova A.R.2, Kharaeva Z.F.2, Balagova L.E.2, Marzhokhova M.Y.2, Shestakova I.V.3
-
Affiliations:
- Central Research Institute of Epidemiology
- Berbekov Kabardino-Balkarian State University
- Infectious Clinical Hospital №2
- Issue: Vol 94, No 11 (2022)
- Pages: 1315-1319
- Section: Case reports
- Submitted: 26.12.2022
- Accepted: 26.12.2022
- Published: 26.12.2022
- URL: https://ter-arkhiv.ru/0040-3660/article/view/119996
- DOI: https://doi.org/10.26442/00403660.2022.11.201933
- ID: 119996
Cite item
Full Text
Abstract
Two clinical cases of perforation of a previously undiagnosed colon diverticulum in patients with coronavirus infection caused by the SARS-CoV-2 virus treated at the Hospital №1 of Nalchik. Both patients were elderly, overweight, had a lot of chronic concomitant diseases. Patients received hormone therapy and were targeted: the first patient twice (tocilizumab on the first day of hospitalization and olokizumab on the 7th day of inpatient treatment). The second patient received levilimab on the 3rd day of his stay in the hospital. A short time after targeting, both patients developed acute diffuse abdominal pain, the patients were transferred to the surgical department and operated on. During the operation, both patients were found to have previously undiagnosed diverticular disease, complicated by diverticular perforation and peritonitis on the background of immunosuppression. Both patients died. Thus, when using targeted therapy for patients with COVID-19, it is necessary to take into account that they may have previously undiagnosed chronic diseases that can cause fatal complications against the background of immunosuppression.
Full Text
Список сокращений
ДН – дыхательная недостаточность
ИЛ – интерлейкин
КТ – компьютерная томография
ОГК – органы грудной клетки
СРБ – С-реактивный белок
УЗИ – ультразвуковое исследование
Введение
Экстренная хирургическая помощь в условиях инфекционного стационара – актуальная проблема во время пандемии COVID-19 [1], так как нередко осложнениями коронавирусной инфекции являются состояния, требующие неотложного хирургического вмешательства. При этом не исключено наличие у пациентов недиагностированных сопутствующих хронических хирургических заболеваний и их осложнений, утяжеляющих течение коронавирусной инфекции.
Таким заболеванием может оказаться дивертикулит кишечника [2].
Когда дивертикулы начинают воспаляться, речь уже идет о дивертикулярной болезни кишки. Она развивается у 20% людей с дивертикулезом. У 75% из них возникает острый дивертикулит, который сопровождается болью в левой нижней части живота и повышением температуры, а у 25% развиваются осложнения, такие как перфорация дивертикула, абсцесс брюшной полости, перитонит, внутренние и наружные свищи или кровотечение из дивертикула [3].
Ф.А. Бабаев и соавт. наблюдали осложнение дивертикулита толстой кишки на фоне COVID-19 в виде перфорации у 0,5% пациентов. Всем пациентам выполнена резекция участка толстой кишки с выведением стом [4].
Нередко толчком к развитию воспалительных процессов в организме больных COVID-19, в том числе дивертикулитов, является назначение иммуносупрессивной, в том числе таргетной, терапии.
В патогенезе острого респираторного дистресс-синдрома вследствие инфекции COVID-19 основную роль играет избыточный ответ иммунной системы со стремительно развивающимся фатальным цитокиновым штормом; у больных с длительной лихорадкой и прогрессирующим поражением легких с признаками дыхательной недостаточности (ДН), уровнем С-реактивного белка (СРБ) более 70 мг/л, повышением уровня интерлейкина (ИЛ)-6 рекомендовано использование высоких доз стероидов или применение таргетной терапии – моноклональных антител, являющихся ИЛ-6, или рецепторов ИЛ-6, таких как тоцилизумаб, сарилумаб, олокизумаб, левилимаб [5].
Вероятная эффективность тоцилизумаба для лечения осложнений у пациентов с тяжелым и критическим течением COVID-19 связана с тем, что моноклональные антитела, нацеленные на сигнальные пути ИЛ-6, могут потенциально сдерживать цитокиновый шторм [6].
Согласно публикациям при применении тоцилизумаба регистрировались следующие серьезные инфекционные заболевания: пневмония, флегмона, инфекции, вызванные Herpes zoster, гастроэнтерит, дивертикулит, сепсис, бактериальный артрит, некоторые из них привели к фатальному исходу, что авторы связывали с иммуносупрессивным действием этого препарата [7].
В связи с этим активно обсуждаются вопросы о необходимости и возможности приостановки иммуносупрессивной терапии и биологической терапии у пациентов с обострением хронической патологии различных органов, необходимости мер индивидуальной защиты и возможности профилактики инфекции у пациентов данной категории [8].
Приведем несколько клинических наблюдений перфорации дивертикула толстой кишки на фоне иммуносупрессивной терапии у больных с тяжелым течением COVID-19.
Клиническое наблюдение 1: больная Ж. 83 лет находилась в Госпитале особо опасных инфекций №1 г. Нальчика с 09.11.2021 по 17.10.2021 (8 койко-дней), а затем переведена в хирургическое отделение с диагнозом:
Основной: коронавирусная инфекция COVID-19 (вирус идентифицирован, U07.1.), тяжелой степени.
Осложнения: внебольничная двусторонняя полисегментарная пневмония; поражение 18%; ДН 2-й степени (J18.8); гематома правой верхней конечности. Острый мезентериальный тромбоз? Перфорация полого органа?
Сопутствующие заболевания: ишемическая болезнь сердца; постинфарктный кардиосклероз (27.12.2020); стенозирующий атеросклероз коронарных артерий; артериальная гипертония 3-й степени, риск 4; нарушения ритма и проводимости сердца: пароксизмальная форма фибрилляции предсердий; дегенеративный порок аортального клапана с формированием стеноза; атеросклероз артерий нижних конечностей – стеноз; гипохромная анемия; язвенная болезнь двенадцатиперстной кишки.
Поступила с жалобами на повышение температуры тела, выраженную общую слабость, аносмию с положительным результатом метода полимеразной цепной реакции SARS-CoV-2.
Из анамнеза заболевания: больная 8 дней лечилась амбулаторно, получала фавипиравир по схеме (6 дней), апиксабан (5 мг в день) и жаропонижающие средства. Несмотря на проводимую терапию, состояние ухудшалось. При поступлении на 9-й день болезни на компьютерной томографии (КТ) органов грудной клетки (ОГК) выявлены множественные инфильтративные изменения в обоих легких по типу «матового стекла», 18% поражения.
Из анамнеза жизни: больная перенесла холецистэктомию в 2011 г. и пластику белой линии живота (09.2021) в связи с грыжей указанной локализации.
При осмотре: состояние средней степени тяжести. Кожные покровы бледные, акроцианоз губ. Рост – 152 см. Масса тела – 90 кг. В легких ослабленное дыхание над всеми точками аускультации, хрипов нет. Тоны сердца приглушены, ритмичные, артериальное давление –125/74 мм рт. ст., частота сердечных сокращений – 68 уд/мин. SpО2 94%. Живот безболезненный.
В отделении больной проводилась следующая терапия: оксигенотерапия, продолжила прием фавипиравира 0,3 подкожно 2 раза в сутки, ацетилсалициловая кислота 100 мг/сут, стероиды (преднизолон 60 мг/сут 10.11.2021, дексаметазон 16 мг/сут внутривенно капельно с 10.11.2021 по 12.11.2021, дексаметазон 12 мг/сут с 13.11.2021 по 17.11.2021), спиронолактон 50 мг, амброксола гидрохлорид 30 мг, омепразол 20 мг 2 раза в день, бисопролола фумарат 2,5 мг, аторвастатин – 1 таблетка 1 раз в сутки, нифедипин 10 мг, промазин 1/2 таблетки на ночь, глюкозо-солевые растворы в объеме 300–500 мл, симптоматическая терапия.
Больная в отделении обследована. В общем анализе крови – лейкопения (2,73×109/л), анемия (86 г/л), тромбоцитопения (128×109/л), ускоренная скорость оседания эритроцитов (35 мм/ч), повышение глюкозы крови (7,8 ммоль/л), диспротеинемия со снижением альбуминов (общий белок 50 г/л, альбумины 32 г/л), повышение СРБ (98,7 мг/мл), ИЛ-6 (150 пг/мл), ферритина (790 нг/мл), активированное частичное тромбопластиновое время – 66 с, фибриноген 424 мг/дл, снижение протромбинового индекса (65%), повышение международного нормализованного отношения (1,64).
Такие показатели, как аланинаминотрансфераза, аспартатаминотрансфераза крови, билирубин, мочевина, креатинин крови, исследовались неоднократно и почти не менялись. При этом в общем анализе мочи с момента поступления отмечалась протеинурия – 30 мг/дл.
В связи с продолжающейся лихорадкой назначена антибактериальная терапия: цефтриаксон 2,0 2 раза в сутки внутривенно капельно.
Несмотря на проводимую терапию, состояние больной продолжало ухудшаться: сохранялась лихорадка, нарастала ДН (сатурация – 91%), и с учетом лабораторных данных врачебной комиссией принято решение о проведении таргетной терапии. На 3-й день пребывания больной в стационаре ей введен тоцилизумаб 400 мг внутривенно капельно медленно на 200 мл 0,9% раствора NaCl. На следующий день после введения тоцилизумаба состояние больной улучшилось: нормализовалась температура, сатурация повысилась до 93%, количество лейкоцитов стало больше (4,87×109/л), нормализовался показатель СРБ.
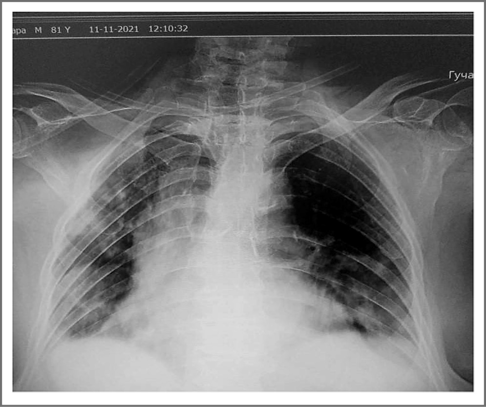
В стационаре неоднократно проводилось рентгенологическое исследование легких. На рентгенограмме ОГК от 11.11.2021 (рис. 1) до введения тоцилизумаба определяется двустороннее диффузное снижение пневматизации. Корни легких прикрыты тенью сердца. Купола диафрагмы расположены обычно. Синусы завуалированы. Границы сердца сохранны. Срединная тень не смещена. Заключение: двусторонняя пневмония, КТ-3.
Рис. 1. Рентгенограмма ОГК больной Ж. от 11.11.2021. / Fig. 1. Radiograph of chest organs patient Zh. from 11.11.2021.
На 6-й день госпитализации состояние больной ухудшилось. Стала нарастать ДН. В связи с этим неоднократно проводилась электрокардиография, на которой обнаружены признаки ишемии миокарда. Топониновый тест отрицательный.
Вновь повысился уровень СРБ и ИЛ-6, появилась лейкопения. В связи с ухудшением состояния больной повторно назначена таргетная терапия. Введен олокизумаб 124 мг внутривенно капельно. В состоянии больной вновь наметилась положительная динамика. Уменьшилась степень ДН: сатурация восстанавливалась до 95–96% уже на 4–5 л/мин на аппарате Боброва вместо предыдущих 15 л/мин, больная стала спокойнее, СРБ снизился до нормы, лихорадки не отмечено. На повторной рентгенограмме улучшения не выявлено.
Утром 17.11.2021 больная пожаловалась на боль в правом плече и правой половине грудной клетки. При осмотре: ниже средней трети плеча до кисти правой руки кожа фиолетово-синюшного цвета. Симптома флуктуации не установлено. Данных ультразвукового исследования (УЗИ) в пользу полостной гематомы не найдено. Факторами риска образования гематом является усиление антикоагулянтной терапии при тяжелом течении COVID-19 [9].
Вечером этого же дня у больной внезапно появились острые боли в животе, которые практически не купировались, пальпаторно появились признаки раздражения брюшины. В экстренном порядке проведено УЗИ органов брюшной полости, по данным которого заподозрена острая толстокишечная непроходимость.
Больная переведена в хирургическое отделение госпиталя после консультации хирурга с диагнозом: тромбоз мезентериальных сосудов? Перфорация полого органа? В экстренном порядке проведено оперативное вмешательство, в ходе которого обнаружена микроперфорация дивертикула толстой кишки и, как осложнение, перитонит. На фоне иммуносупрессивной терапии развилась так называемая дивертикулярная болезнь с перфорацией и перитонитом.
Выбор метода операции зависит от характера осложнений, распространенности процесса, воспалительных изменений ткани дивертикула, кишечной стенки и окружающих тканей, наличия перифокального воспаления или перитонита [10].
В ходе операции в брюшной полости обнаружено до 300 мл гноя. При дальнейшей ревизии выявлено, что стенки слепой кишки отечные, гиперемированные, с наложением фибрина, имеются дивертикулярная болезнь и микроперфорация дивертикула. Дефект ушит. Брюшная полость промыта до чистых вод. Установлены дренажные трубки.
На операционном столе в состоянии больной отметилась отрицательная динамика, ДН нарастала, в связи с чем больная переведена на искусственную вентиляцию легких.
Состояние больной после оперативного вмешательства оставалось тяжелым, и больная погибла при явлениях острой сердечной недостаточности. Вскрытие отсутствовало – отказались родственники по религиозным убеждениям.
У данной больной отмечено несколько факторов, которые способствовали тяжелому течению заболевания и летальному исходу. Это пожилой возраст, избыточная масса тела, сопутствующие заболевания, наличие недиагностированного дивертикулеза кишечника, который воспалился на фоне иммуносупрессивной терапии с развитием дивертикулярной болезни, микроперфорации и перитонита, проведение экстренной операции на фоне тяжелого состояния по основному заболеванию.
Клиническое наблюдение 2: больной М. 66 лет поступил в Госпиталь особо опасных инфекций №1 10 октября 2021 г. В госпитале находился 5 койко-дней с диагнозом:
Основной: коронавирусная инфекция (подтвержденная U07.1), тяжелое течение.
Осложнения: внегоспитальная двусторонняя пневмония КТ-3 (55% поражения), ДН 2-й степени.
Сопутствующие заболевания: хроническая обструктивная болезнь легких; хронический обструктивный бронхит, обострение; сахарный диабет 2-го типа, субкомпенсация; артериальная гипертензия 2–3-й степени, риск 4.
Затем пациент переведен в хирургическое отделение Госпиталя №2 с подозрением на «острый живот», где в ходе операции обнаружены перфорация сигмовидной кишки, перитонит.
В инфекционный госпиталь пациент поступил с жалобами на одышку в покое, малопродуктивный кашель, тяжесть в грудной клетке, выраженную одышку, кашель, боли в суставах, повышение температуры до 38,5°С.
Из анамнеза: считает себя больным в течение 5 дней, когда обратился к участковому врачу с жалобами, который после КТ ОГК (16% поражения по типу «матового стекла») назначил амбулаторное лечение (фавипиравир по схеме, антикоагулянтную терапию, симптоматическую).
Через 5 дней амбулаторного лечения состояние ухудшилось, сатурация снизилась до 92%. При повторном КТ обнаружено увеличение поражения легочной ткани до 55%, и больной госпитализирован в госпиталь №1 г. Нальчика.
Объективно: состояние больного тяжелое, SpО2 91%, лихорадка до 38,8°С. Рост – 165 см. Масса тела – 94 кг. В легких ослабленное дыхание, хрипов нет. Тоны сердца приглушены, ритм правильный, артериальное давление –160/90 мм рт. ст., частота сердечных сокращений – 86 уд/мин. Живот безболезненный.
Больной обследован: лейкопения, при этом высокая скорость оседания эритроцитов (46 мм/ч), анемия, ферритин – 880 нг/мл, диспротеинемия, ИЛ-6 – 42 пг/мл, СРБ – 53,7 мг/мл.
Назначено лечение: оксигенотерапия на аппарате Боброва на 8–12 л/мин, стероиды (дексаметазон), гепарин 25 тыс. МЕ/сут, спиронолактон 50 мг утром натощак, омепразол 20 мг 2 раза в день, ацетилцистеин 600 мг/сут внутривенно капельно, ингибитор янус-киназы барицитиниб, цефоперазон/сульбактам 6,0 г/сут.
Несмотря на проводимую терапию, к 3-му дню стационарного лечения состояние больного с отрицательной динамикой за счет нарастания степени ДН: сатурация с 91% на воздухе снизилась до 88%, больной стал жаловаться на ухудшение самочувствия, озноб, тяжесть в груди, лихорадку до 39°С.
Воспалительные маркеры с отрицательной динамикой (СРБ – 75 мг/л, ИЛ-6 – 54 пг/мл), лимфопения (13).
В связи с тяжелым состоянием и явлениями цитокинового шторма на 3-й день пребывания в госпитале больному введен левилимаб в дозировке 324 мг.
На следующий день больной отмечал улучшение общего самочувствия. Температура снизилась до субфебрильных цифр, одышка стала меньше, SpО2 – 94% на кислороде. В анализах: снизился уровень ИЛ-6 – 22 пг/мл, улучшились другие показатели.
Однако еще через день больного стали беспокоить боли в пояснице и подвздошных областях, стул отсутствовал 2–3 дня, затем боли усилились и распространились по всему животу.
Осмотрен хирургом, однако данных в пользу острого хирургического процесса не выявлено. Горизонтальных уровней жидкости, свободного газа в брюшной полости на рентгенограмме не выявлено (рис. 2).
Рис. 2. Рентгенограмма органов брюшной полости больного М. / Fig. 2. Radiograph of the abdominal organs of patient M.
Затем на УЗИ органов брюшной полости заподозрена толстокишечная непроходимость (петли толстого кишечника раздуты, маятникообразное движение).
При проведении повторного УЗИ органов брюшной полости в тот же день обнаружено появление свободной жидкости в печеночном углу, в ложе желчного пузыря. В кишечнике жидкостное содержимое с маятникообразным движением.
Далее больному проведена магнитно-резонансная томография органов брюшной полости. Заключение: признаки перфорации полого органа; перитонит; энтероколит; цирротические изменения печени; хронический некалькулезный холецистит; деформация желчного пузыря; хронический панкреатит; двусторонний хронический пиелонефрит, простые паренхиматозные кисты левой почки; двусторонний гидроторакс.
Пациент экстренно переведен в хирургическое отделение, где прооперирован в тот же день. При мини-лапаротомии обнаружена перфорация дивертикула сигмовидной кишки, перитонит. После ушивания перфорации и промывания брюшной полости до чистых вод больной переведен в реанимацию, где скончался на 2-й день при явлениях прогрессирующей полиорганной недостаточности, которая развилась, несмотря на проводимую терапию.
Факторы, определившие летальный исход у данного пациента: пожилой возраст, сопутствующие заболевания, ранее не диагностированный хронический дивертикулит толстого кишечника, проводившаяся иммуносупрессивная терапия, оперативное лечение.
При перфорации дивертикула в брюшную полость имеет место очень высокая смертность: 18–35% случаев. Причиной послеоперационной летальности чаще всего является прогрессирование полиорганной недостаточности независимо от проводимой терапии [11].
Больной не вскрыт в связи с отказом родственников по религиозным убеждениям.
Обсуждение
Оба больных пожилого возраста, повышенной массы тела, имели массу хронических сопутствующих заболеваний. За период нахождения в госпитале состояние пациентов ухудшалось. Больные получали терапию в соответствии с Временными методическими рекомендациями (профилактика, диагностика и лечение новой коронавирусной инфекции – COVID-19), актуальными на то время, в том числе получали гормональную терапию и таргетированы: 1-я больная – дважды (тоцилизумаб 400 мг в первые сутки госпитализации и олокизумаб 124 мг на 7-е сутки стационарного лечения), 2-й больной на 3-й день пребывания в стационаре получил левилимаб.
Через короткое время после таргетирования у обоих больных появились острые боли в животе, они переведены в хирургическое отделение и прооперированы. В ходе операции у обоих больных обнаружена ранее не диагностированная дивертикулярная болезнь, осложнившаяся на фоне иммуносупрессии перфорацией дивертикула и перитонитом.
Оба больных погибли. По данным литературы, при осложнениях дивертикулярной болезни тяжелые сопутствующие заболевания и пожилой возраст отрицательно влияют на исход экстренной операции [12].
Таким образом, при применении таргетной терапии для больных COVID-19 необходимо учитывать, что у них могут быть ранее не диагностированные хронические заболевания, которые могут явиться причиной смертельных осложнений на фоне иммуносупрессии.
Раскрытие интересов. Авторы декларируют отсутствие явных и потенциальных конфликтов интересов, связанных с публикацией настоящей статьи.
Disclosure of interest. The authors declare that they have no competing interests.
Вклад авторов. Авторы декларируют соответствие своего авторства международным критериям ICMJE. Все авторы в равной степени участвовали в подготовке публикации: разработка концепции статьи, получение и анализ фактических данных, написание и редактирование текста статьи, проверка и утверждение текста статьи.
Authors’ contribution. The authors declare the compliance of their authorship according to the international ICMJE criteria. All authors made a substantial contribution to the conception of the work, acquisition, analysis, interpretation of data for the work, drafting and revising the work, final approval of the version to be published and agree to be accountable for all aspects of the work.
Источник финансирования. Авторы декларируют отсутствие внешнего финансирования для проведения исследования и публикации статьи.
Funding source. The authors declare that there is no external funding for the exploration and analysis work.
Информированное согласие на публикацию. Авторы получили письменное согласие законных представителей пациента на анализ и публикацию медицинских данных и фотографий.
Consent for publication. The authors obtained written consent from the patient's legal representatives to analyze and publish medical data and photographs.
About the authors
Natalia Yu. Pshenichcnaya
Central Research Institute of Epidemiology
Email: asya_marzhoh@mail.ru
ORCID iD: 0000-0003-2570-711X
д-р мед. наук, проф., зав. каф. инфекционных болезней, зам. дир. по клинико-аналитической работе
Russian Federation, MoscowZhanna B. Ponezheva
Central Research Institute of Epidemiology
Email: asya_marzhoh@mail.ru
ORCID iD: 0000-0002-6539-4878
д-р мед. наук, проф., зав. клин. отд. инфекционной патологии
Russian Federation, MoscowAsiyat R. Marzhokhova
Berbekov Kabardino-Balkarian State University
Author for correspondence.
Email: asya_marzhoh@mail.ru
ORCID iD: 0000-0003-4207-5919
канд. мед. наук, доц. каф. инфекционных болезней
Russian Federation, NalchikZaira F. Kharaeva
Berbekov Kabardino-Balkarian State University
Email: asya_marzhoh@mail.ru
ORCID iD: 0000-0003-2302-2491
д-р мед. наук, проф., зав. каф. микробиологии, вирусологии и иммунологии
Russian Federation, NalchikLiana E. Balagova
Berbekov Kabardino-Balkarian State University
Email: asya_marzhoh@mail.ru
ORCID iD: 0000-0002-2792-4268
аспирант каф. инфекционных болезней
Russian Federation, NalchikMadina Yu. Marzhokhova
Berbekov Kabardino-Balkarian State University
Email: asya_marzhoh@mail.ru
ORCID iD: 0000-0002-5677-5249
д-р мед. наук, проф., зав. каф. инфекционных болезней
Russian Federation, NalchikIrina V. Shestakova
Infectious Clinical Hospital №2
Email: asya_marzhoh@mail.ru
ORCID iD: 0000-0002-8516-9088
д-р мед. наук, проф., врач-инфекционист
Russian Federation, MoscowReferences
- Вечорко В.И., Аносов В.Д., Силаев Б.В. Диагностика и лечение острых хирургических заболеваний у пациентов с COVID-19. Вестник Российского государственного медицинского университетa. 2020;3:71-5 [Vechorko VI, Anosov VD, Silaev BV. Diagnosis and treatment of acute surgical diseases in patients with COVID-19. Vestnik Rossiiskogo gosudarstvennogo meditsinskogo universiteta. 2020;3:71-5 (in Russian)]. doi: 10.24075/vrgmu.2020.038
- Винокурова П.И. Информативность ирригоскопии при выявлении перфорации дивертикулов сигмовидной кишки. Бюллетень медицинских Интернет-конференций. 2018;8(5) [Vinokurova PI. Informativeness of irrigoscopy in detecting perforation of sigmoid colon diverticula. Byulleten' meditsinskikh Internet-konferentsii. 2018;8(5) (in Russian)]. doi: 10.29296/25877305-2018-05-14
- Cirocchi R, Popivanov G, Corsi A, et al. The Trends of Complicated Acute Colonic Diverticulitis – A Systematic Review of the National Administrative Databases. Medicina (Kaunas). 2019;55(11):744. doi: 10.3390/medicina55110744
- Бабаев Ф.А., Бабазаде Д.Ф. Гастроинтестинальные осложнения у больных с COVID-19. Современные проблемы науки и образования. 2021;4 [Babaev FA, Babazade DF. Gastrointestinal complications in patients with COVID-19. Sovremennye problemy nauki i obrazovaniya. 2021;4 (in Russian)]. doi: 10.17513/spno.30969
- Зайцев А.А., Чернов С.А., Крюков Е.В., и др. Практический опыт ведения пациентов с новой коронавирусной инфекцией COVID-19 в стационаре (предварительные итоги и рекомендации). Лечащий врач. 2020;6:74-9 [Zaitsev AA, Chernov SA, Kryukov EV, et al. Practical experience of managing patients with a new COVID-19 coronavirus infection in a hospital (preliminary results and recommendations). Lechashchii vrach. 2020;6:74-9 (in Russian)]. doi: 10.26295/OS.2020.41.94.014
- Таубэ А.А., Казаков А.С., Дармостукова М.А., и др. Безопасность применения ремдесивира и тоцилизумаба при лечении COVID-19. Безопасность и риск фармакотерапии. 2020;8(3):160-2 [Taube AA, Kazakov AS, Darmostukova MA, et al. Safety of using remdesivir and tocilizumab in the treatment of COVID-19. Bezopasnost' i risk farmakoterapii. 2020;8(3):160-2 (in Russian)]. doi: 10.30895/2312-7821-2020-8-3-160-162
- Бобкова С.С., Жуков А.А., Проценко Д.Н., и др. Сравнительная эффективность и безопасность применения препаратов моноклональных антител к ИЛ-6 у пациентов с новой коронавирусной инфекцией COVID-19 тяжелого течения. Ретроспективное когортное исследование. Вестник интенсивной терапии им. А.И. Салтанова. 2021;1:69-76 [Bobkova SS, Zhukov AA, Protsenko DN, et al. Comparative study of monoclonal anti-IL6 antibodies in severe new coronavirus disease COVID-19 patients. Review. Vestnik intensivnoi terapii im. A.I. Saltanova. 2021;1:69-76 (in Russian)]. doi: 10.21320/1818-474X-2021-1-69-76
- Драпкина О.М., Маев И.В., Бакулин И.Г., и др. Временные методические рекомендации: «Болезни органов пищеварения в условиях пандемии новой коронавирусной инфекции (COVID-19)». Профилактическая медицина. 2020;23(3):120-52 [Drapkina OM, Mayev IV, Bakulin IG, et al. Interim guidelines: “Diseases of the digestive organs in the context of a new coronavirus infection pandemic (COVID-19)”. Profilakticheskaia meditsina. 2020;23(3):120-52 (in Russian)]. doi: 10.17116/profmed202023032120
- Кащенко В.А., Ратников В.А., Васюкова Е.Л., и др. Гематомы различных локализаций у пациентов с COVID-19. Эндоскопическая хирургия. 2021;27(6):5-13 [Kashchenko VA, Ratnikov VA, Vasyukova EL, et al. Hematomas of various localizations in patients with COVID-19. Endoskopicheskaya khirurgiya. 2021;27(6):5-13 (in Russian)]. doi: 10.17116/endoskop2021270615
- Маев И.В., Дичева Д.Т., Андреев Д.Н., и др. Дивертикулярная болезнь толстой кишки. Учебное пособие для врачей. M., 2015 [Mayev IV, Dicheva DT, Andreev DN, et al. Divertikuliarnaia bolezn' tolstoi kishki. Uchebnoe posobie dlia vrachei. Moscow, 2015 (in Russian)].
- Ермоленко Е.Г., Карипиди Г.К., Бабенко Е.С., Бгане А.А. Трудности диагностики дивертикулярной болезни ободочной кишки, осложненной перфорацией. Кубанский научный медицинский вестник. 2013;3:72-4 [Ermolenko EG, Karipidi GK, Babenko ES, Bgane AA. Difficulties in diagnosing diverticular colon disease complicated by perforation. Kubanskii nauchnyi meditsinskii vestnik. 2013;3:72-4 (in Russian)].
- Чик К., Рэдли С. Дивертикулез – это приобретенное заболевание. Лечащий врач. 2000;11(6) [Chick C, Radley S. Diverticulosis is an acquired disease. Lechashchii vrach. 2000;11(6) (in Russian)].





