Masks hiding mitochondrial neurogastrointestinal encephalomyopathy. Case report
- Authors: Maev I.V.1, Kolmakova E.V.2, Bardakov S.N.3, Deev R.V.2, Krivolapov Y.A.2, Kotkas I.E.2, Manushina E.A.2, Kurbatov S.A.4, Tsygankova P.G.5, Emelin A.M.2, Bakulina N.V.2
-
Affiliations:
- Yevdokimov Moscow State University of Medicine and Dentistry
- Mechnikov North-Western State Medical University
- Kirov Military Medical Academy
- Burdenko Voronezh State Medical University
- Bochkov Research Centre of Medical Genetics
- Issue: Vol 94, No 8 (2022)
- Pages: 992-998
- Section: Case reports
- Submitted: 12.10.2022
- Accepted: 12.10.2022
- Published: 12.10.2022
- URL: https://ter-arkhiv.ru/0040-3660/article/view/111832
- DOI: https://doi.org/10.26442/00403660.2022.08.201833
- ID: 111832
Cite item
Full Text
Abstract
The first documented case of mitochondrial neurogastrointestinal encephalomyopathy was described in 1962 by R. Luft. The variety and am-biguity of the clinical manifestations of the disease complicate its early diagnosis and treatment. The first clinical manifestations of the disease are associated with the pathology of the gastrointestinal tract. Low alertness and insufficient awareness of doctors delays the timely diagnosis of mitochondrial neurogastrointestinal encephalomyopathy. The aim of the work is to increase the alertness and awareness of narrow specialties about the possibility of differential diagnosis of an extremely rare detected disease on the base of our clinical observation.
Full Text
Список сокращений
ЖКТ – желудочно-кишечный тракт
ИМТ – индекс массы тела
КТ – компьютерная томография
МБ – митохондриальные болезни
МНГИЭ – митохондриальная нейрогастроинтестинальная энцефаломиопатия
МРТ – магнитно-резонансная томография
ЩЖ – щитовидная железа
FOUR (Full Outline of UnResponsiveness) – оценка уровня комы
Во второй половине ХХ в. описана новая группа заболеваний, связанных с нарушением функции митохондрий. Митохондриальные болезни (МБ) обусловлены генетическими и структурно-биохимическими дефектами, приводящими к нарушению тканевого дыхания. При МБ поражаются в первую очередь наиболее энергозависимые ткани и органы-мишени в различной комбинации: центральная нервная система, скелетная мускулатура, мышца сердца, органы зрения, почки, печень, костный мозг и эндокринная система [1–3].
Одним из вариантов заболеваний, связанных с нарушением функционирования митохондрий, с гастроэнтерологическими симптомами является митохондриальная нейрогастроинтестинальная энцефаломиопатия (МНГИЭ). Впервые этот термин был использован M. Hirano и соавт. в 1994 г. [4].
МНГИЭ – это аутосомно-рецессивное заболевание, вызванное мутацией в гене фосфорилазы тимидина (TYMP), локализованного в 22q13.32 [2, 5, 6]. В гене TYMP описано более 200 мутаций, которые приводят к потере активности тимидинфосфорилазы. Тимидинфосфорилаза катализирует превращение тимидина и 2'-дезоксиуридина в их соответствующие основания и 2-α-d-дезоксирибоза-1-фосфат. Без нормальной активности тимидинфосфорилазы нуклеозиды тимидина накапливаются в клетках. Высокие уровни нуклеозидов токсичны для митохондриальной ДНК и вызывают мутации, которые приводят к дисфункции дыхательной цепи и, следовательно, к недостаточному производству энергии в клетках [7].
В настоящее время частота встречаемости МНГИЭ составляет 0,15 на 1 млн [3]. Средняя продолжительность жизни больного – 37,6 года. Первые клинические синдромы МНГИЭ появляются в возрасте от 5 мес до 45 лет. Чаще это происходит до 20 лет. Примерно у 1/2 пациентов начальными проявлениями являются симптомы со стороны желудочно-кишечного тракта (ЖКТ) [8, 9].
Патогномоничных симптомов МНГИЭ нет. Частыми ее проявлениями являются [3, 9, 10]:
- необъяснимая потеря веса, худоба, кахексия, даже при нормальном пищевом поведении и потреблении питательных веществ;
- симптомы/признаки со стороны ЖКТ: тошнота, рвота, преждевременное насыщение, урчание в животе, сильная абдоминальный боль, вздутие живота, дисфагия, запор и диарея, дивертикулез тонкой кишки, дилатация желудка, кишечника;
- неврологические симптомы/синдромы: прогрессирующая наружная офтальмоплегия, блефароптоз, полиневропатия, снижение слуха;
- нейрорадиологические признаки: лейкоэнцефалопатия;
- метаболические изменения: стеатоз печени с исходом в цирроз, панкреатит, ранний сахарный диабет, повышенный уровень триглицеридов, повышение лактата плазмы.
Иллюстрацией сложности дифференциальной диагностики и постановки диагноза МНГИЭ является история болезни пациентки 39 лет, представленная в статье.
Пациентка Д., 39 лет
Впервые пациентка Д., 39 лет, обратилась на кафедру внутренних болезней, клинической фармакологии и нефрологии ФГБОУ ВО «СЗГМУ им. И.И. Мечникова» в марте 2020 г. Предъявляла жалобы на выраженное похудение, снижение мышечной силы в конечностях рук и ног, ограничение движения глазных яблок, потерю слуха. Со стороны ЖКТ беспокоили интенсивные спастические боли по ходу кишечника, усиливающиеся после приема пищи, тошнота, рвота, не приносящая облегчения, выраженный метеоризм. Стул 3–4 раза в сутки, с остатками непереваренной пищи.
Анамнез жизни: рождена от 2-й беременности в 38 нед от клинически здоровых русских родителей. Работала врачом ультразвуковой диагностики. Питание полноценное, регулярное. Курение, употребление алкоголя, другие вредные привычки отрицает. Гинекологический анамнез – одна беременность, рождение здорового сына. Аменорея с 38 лет.
Анамнез заболевания. Впервые боли спастического характера по ходу кишечника, метеоризм, эпизоды тошноты и рвоты отметила в 2007 г. в возрасте 26 лет. Состояние расценено как стеноз чревного ствола, по поводу чего выполнено оперативное лечение – стентирование. Болевой синдром купирован.
В июле 2017 г. развился степпаж левой стопы и судороги в икроножных мышцах левой голени при незначительной физической нагрузке. Осенью 2017 г. госпитализирована в неврологическое отделение ФГБУ «НМИЦ им. В.А. Алмазова», где в ходе электронейромиографического исследования выявлено аксонально-демиелинизирующее поражение периферических нервов. Выполнена люмбальная пункция – белок ликвора 0,860 г/л, цитоз 5/3, представленный преимущественно лимфоцитами. На основании полученных данных выставлен диагноз – хроническая воспалительная демиелинизирующая полиневропатия. Начата комплексная терапия, включающая преднизолон 1 мг на 1 кг веса (45 мг), витамины группы В, тиоктовую кислоту (600 мг/сут). На фоне приема преднизолона отметила появление рвоты и диареи. Преднизолон не отменен ввиду ожидаемого прогрессирования полиневропатии. В марте 2018 г. преднизолон заменен на Метипред в соответствующей дозе. В июне 2018 г. иммуносупрессивная терапия дополнена пятью сеансами мембранного плазмафереза с положительным эффектом в виде уменьшения дистальной мышечной слабости. В последующем начато постепенное снижение дозы Метипреда до полной отмены. В октябре этого же года (36 лет) после физической нагрузки возник рецидив пареза разгибателей обеих стоп. В связи с этим вновь начала принимать Метипред в дозе 16 мг/сут. Повторно проведено 5 сеансов плазмафереза без эффекта. С июля 2019 г. боли спастического характера в животе, неустойчивый стул до 3–4 раз в сутки, выраженный метеоризм, снижение веса. Для уточнения характера поражения ЖКТ проведено обследование – видеоэзофагогастродуоденоскопия с биопсией. По данным гистологического обследования: в слизистой оболочке антрального отдела желудка картина соответствовала хроническому Helicobacter рylori-ассоциированному гастриту, степень активности 1. В слизистой оболочке двенадцатиперстной кишки – поверхностный дуоденит, в пищеводе – гнойно-фибринозный кандидозный эзофагит. Диагноз кандидоза подтвержден обнаружением Candida albicans 105 КОЕ/1 г в кале. Проведена терапия флуконазолом. По данным фиброколоноскопии кишечника – эндоскопические признаки хронического колита с гипотонией толстой кишки. Рентгенограмма органов живота (пассаж бария) подтвердила моторные нарушения кишечника. Назначена симптоматическая терапия. Боль в животе уменьшилась, стул уредился до 1–2 раз в сутки.
Нарастает неврологическая симптоматика: в дистальных отделах верхних конечностей появилось нарушение мелкой моторики. Вновь госпитализирована в неврологическое отделение. Для уточнения характера поражения центральной нервной системы выполнена магнитно-резонансная томография (МРТ) головного мозга. Выявлено диффузное повышение интенсивности сигнала на Т2-ВИ и FLAIR в белом веществе затылочных и теменных долей (лейкоареоз и множественные перивентрикулярные очаги глиоза). Данная картина описана как один из диагностических критериев МНГИЭ [11, 12]. МРТ-картина мышц бедер и голеней характеризовалась выраженным уменьшением объема скелетных мышц, диффузными отечными изменения при отсутствии значимой жировой инфильтрации. Проведена терапия – метилпреднизолон 16 мг/сут, липоевая кислота 600 мг/сут внутривенно, Нутрикомп Гепа, Омез, Креон, смесь Модулен, Тримедат. Терапия способствовала уменьшению мышечной слабости в ногах, но сохранялась слабость в руках. Боли в животе и метеоризм также уменьшились.
В феврале 2020 г. (38 лет) увеличился в размере живот. Начала прием фуросемида (40 мг/сут). В течение 1 нед – полная потеря слуха. По данным ультразвукового исследования и МРТ органов брюшной полости – признаки асцита, портальной гипертензии. Для уточнения характера поражения печени выполнена диагностическая лапароскопия, биопсия печени в Клинике им. Э.Э. Эйхвальда ФГБОУ ВО «СЗГМУ им. И.И. Мечникова». При проведении лапароскопической пункционной гепатобиопсии обращала на себя внимание выраженная бледность внутренних органов, печени и подчеркнутая инъекция сосудов. Гистологические проявления слабовыраженных неспецифических изменений в биоптате печени.
Объективно (осмотр – июнь 2020 г.). Состояние средней тяжести. Передвигается с помощью трости. Подкожно-жировая клетчатка практически отсутствует. Выраженная диффузная атрофия мышц конечностей (рис. 1). Вес 38,2 кг. Рост 170 см. Индекс массы тела (ИМТ) – 13,22. Умеренная гипотония. Перистальтика кишечника видна при осмотре передней брюшной стенки. Печень выступает из-под края реберной дуги на 1 см. Пальпируется нижний полюс селезенки.
Рис. 1. Выраженная диффузная атрофия мышц конечностей.
Неврологический статус: сонлива, скорость реакций снижена. Глухота 4-й степени. Движения глазных яблок ограничены (офтальмопарез преимущественно по горизонтали). Двусторонний легкий блефароптоз. Сила в верхних и нижних конечностях: 4 балла, симметрично. Динамометрия: 12 кгс справа, 10 кгс слева. Мышечный тонус в верхних и нижних конечностях снижен, D=S. Патологические пирамидные кистевые знаки: Бехтерева, Жуковского. Нарушение поверхностной чувствительности: гиперестезия до уровня средней трети голеней и лучезапястных суставов по полиневритическому типу.
Данные лабораторного и инструментального обследования. С февраля 2020 г. наблюдалась микроцитарная гипохромная анемия с прогрессирующим снижением уровня гемоглобина с 108 до 75 г/л. В биохимическом анализе отмечалась стойкая гипопротеинемия (общий белок плазмы 56,5–41,0 г/л), преимущественно за счет альбумина (34,2–24,9 г/л). С марта 2020 г. отмечалось увеличение уровня аспартатаминотрансферазы до 88,6 Ед/л, аланинаминотрансферазы – до 133,3–56,9 Ед/л, лактатдегидрогеназы – до 730 Ед/л, креатинфосфокиназа – 302 Ед/л, γ-глутамилтранспептидаза – 124 Ед/л, D-димер – 587–1482 нг/мг. Кальпротектин – 3402,00 мкг/л. В анализах мочи – следовая протеинурия, приходящая лейкоцитурия.
Ультразвуковая допплерография непарных висцеральных артерий: брюшной отдел аорты: диаметр 1,60–1,44 см, контуры ровные, стенки не изменены, локальные аневризматические расширения не определяются. Кровоток по артериям не изменен.
Молекулярно-генетическое исследование (15.12.2020): методом прямого автоматического секвенирования по Сэнгеру проведен полный анализ гена TYMP. Выявлена неописанная ранее замена c.1301G>T; p.(Gly434Val) в гомозиготном состоянии, согласно предикторам влияет на сплайсинг и является патогенной (RefSeq: NM_001953.5; OMIM: 131222; синдром истощения митохондриальной ДНК тип 1; аутосомно-рецессивный тип наследования).
Для исключения онкопатологии в июне 2020 г. выполнена комбинированная позитронно-эмиссионная и рентгеновская компьютерная томография (КТ). Заключение: картина метаболически активного образования в левой доле щитовидной железы (ЩЖ). Косвенные КТ-признаки портальной гипертензии. Минимальный асцит.
29.06.2020 в Клинике высоких медицинских технологий им. Н.И. Пирогова выполнена левосторонняя гемитиреоидэктомия. По данным гистологического заключения операционного материала – инкапсулированная папиллярная В-клеточная микрокарцинома (0,8 см) солидного и фолликулярного строения в левой доле ЩЖ. В послеоперационном периоде у пациентки развился острый периферический тетрапарез с задержкой мочи. Принято решение о повышении дозы метилпреднизолона до 1 мг на 1 кг веса. В последующем доза препарата была снижена до 16 мг/сут.
В ноябре 2020 г. состояние пациентки ухудшилось в виде понижения уровня сознания до комы 1-й степени (7 баллов по шкале FOUR). На 3-и сутки уровень сознания восстановлен до ясного. В неврологическом статусе сохранялась дизартрия, тетрапарез до 4 баллов в верхних и нижних конечностях. Несмотря на проводимую симптоматическую терапию, состояние пациентки ухудшалось, нарастала генерализованная слабость, прогрессировали явления полиорганной недостаточности; 27.12.2020 пациентка скончалась.
Схематично история заболевания представлена на рис. 2.
Рис. 2. Последовательность развития клинической картины заболевания.
Заключительный диагноз. Основное заболевание: синдром МНГИЭ, патогенная гомозиготная мутация c.1301G>T; p.(Gly434Val) в гене TYMP с развитием офтальмопареза, двусторонней глухоты, моторно-сенсорной полиневропатии (смешанного генеза: митохондриопатия + мальабсорбция), тонко-толстокишечной дискинезии.
Осложнение: дефицит массы тела 3-й степени (ИМТ 12,1 кг/м2). Белково-энергетическая недостаточность тяжелой степени по типу маразматического квашиоркора. Хроническая железодефицитная анемия легкой степени. Дисметаболическая миокардиодистрофия. Хроническая сердечная недостаточность 0–I функционального класса.
Сопутствующее заболевание: хронический стеатогепатит с минимальной степенью активности с начальными явлениями портальной гипертензии. Хронический гастрит вне обострения. Инкапсулированная карцинома левой доли ЩЖ, pT1acN0M0, стадия I. Левосторонняя гемитиреоидэктомия 29.06.2020. Многоузловой нетоксический зоб 1-й степени.
Данные аутопсии. Мозговые оболочки полнокровны. Гистологически: инфильтрированы полиморфно-ядерными лейкоцитами. В веществе головного мозга во всех участках выраженный перицеллюлярный и периваскулярный отек.
Сердце уменьшено в размерах, с малым количеством субэпикардиального жира. На микропрепаратах отмечено некоторое увеличение доли отечной стромы, особенно периваскулярно. Кардиомиоциты с признаками зернистой дистрофии, дискомплексации и мозаичной утраты поперечной исчерченности. Макроскопически выявлена различная воздушность отделов легких. Гистологически в них выявлена бронхопневмония с отеком перибронхиальной соединительной ткани и десквамацией мерцательного эпителия, умеренным количеством слабоэозинофильного экссудата в некоторых альвеолах.
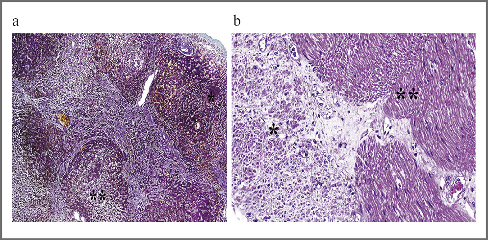
Печень с признаками цирроза (рис. 3): в субкапсулярных участках обнаружены ложные дольки, центролобулярные некрозы, порто-портальные соединительнотканные септы, выраженная жировая дистрофия гепатоцитов.
Рис. 3. Патологические изменения в ЖКТ: а – субкапсулярный (*) участок печени с некрозом и формирующимися соединительнотканными септами, ложной долькой (**), жировой дистрофией гепатоцитов и полнокровными синусоидами; b – некроз (*) наружного (продольного) слоя мышечной оболочки толстой кишки, гипертрофия лейомиоцитов внутреннего (циркулярного) слоя толстой кишки (**). Окраска: а – гематоксилин и эозин, b – по Маллори; а ×250; b ×100.
Во всех отделах кишечника, преимущественно в толстой кишке, выявлен отек подслизистой основы, увеличение по сравнению с обычным количеством волокнистого матрикса и ангиоматоз по типу формирования «грануляционной ткани»; лейомиоциты мышечного слоя с признаками «зернистой дистрофии», характерен межклеточный отек; клетки внутреннего (циркулярного) слоя несколько гипертрофированы, наружный (продольный) слой мышечной оболочки некротизирован (см. рис. 3, b), а в тонкой кишке – фиброзирован.
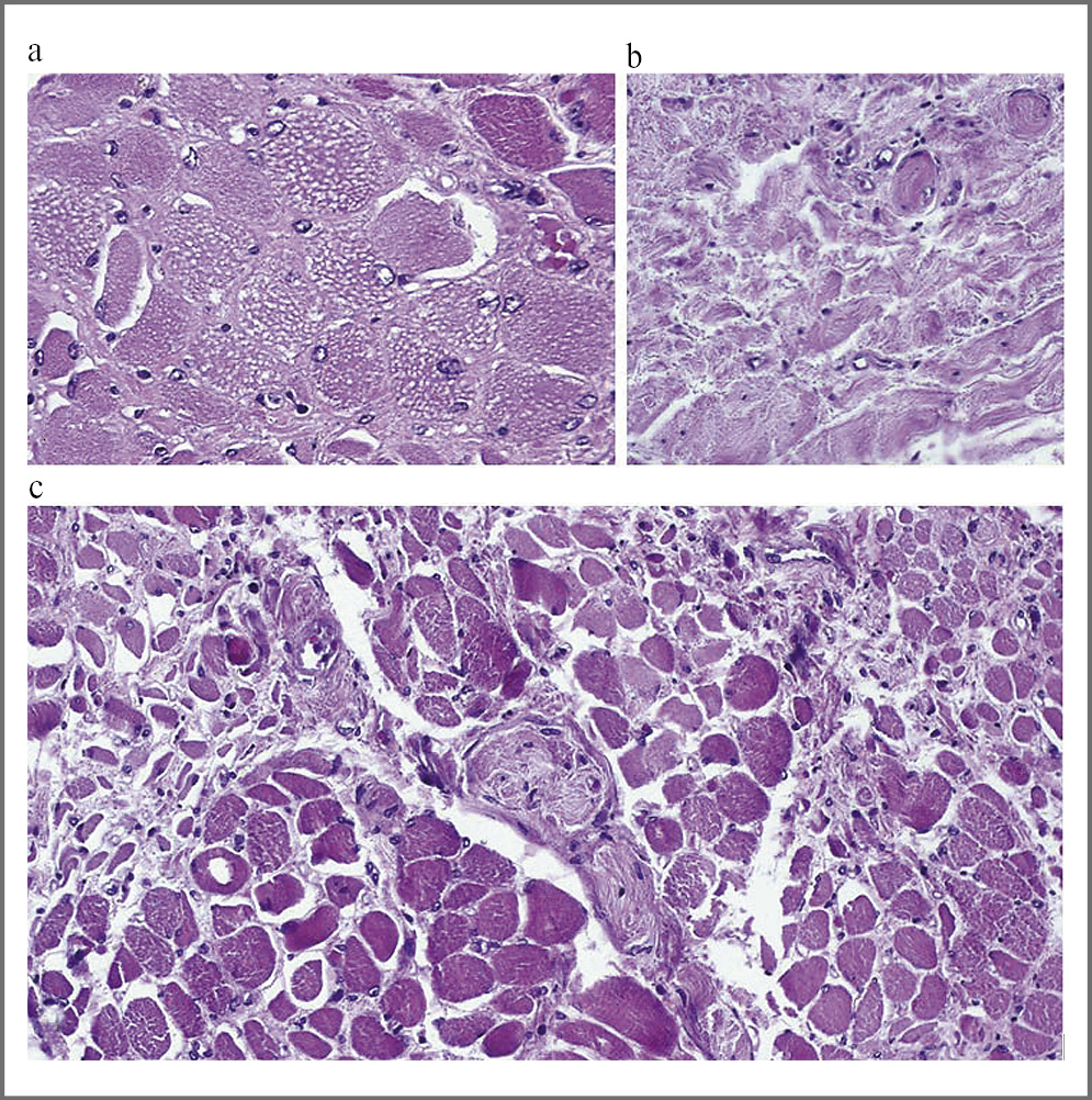
При исследовании периферических нервов отмечено расслоение миелиновых оболочек и отек эндо- и периневрия. Для поперечно-полосатой скелетной мышечной ткани характерно формирование так называемого миопатического паттерна патогистологических изменений: разноразмерность и полиморфность мышечных волокон на поперечных срезах, зоны некроза и замещения соединительной тканью; однако лимфо-макрофагальная инфильтрация отсутствует (рис. 4). В некоторых участках имеются «зернистая дистрофия» волокон и ангиоматоз эндомизия.
Рис. 4. Поперечно-полосатая скелетная мышечная ткань: а – «зернистая дистрофия» и некроз волокон, поперечный срез; b – замещение некротизированных волокон соединительной тканью, продольный срез; c – полиморфизм и разноразмерность мышечных волокон, отек и гипертрофия соединительнотканной стромы мышцы (эндо- и перимизия), поперечный срез. Окраска: гематоксилин и эозин; a ×400; b, c ×250.
Во всех тканях и органах выявлен тромбоваскулит. Обнаружено большое число дискретных базофильных колоний микроорганизмов, в некоторых случаях – микроабсцессов; лейкоцитарная реакция в тканях минимальна.
Выявленные патоморфологические изменения представляют собой сочетание признаков, описанных ранее для данного синдрома, и неспецифических изменений, связанных с нарастанием иммунодефицита и полиорганной недостаточности. К первым следует отнести вовлечение в дистрофический и некротический процесс скелетной мышечной ткани, гипертрофию лейомиоцитов внутреннего мышечного слоя мышечной оболочки тонкой и толстой кишки, селективный некроз наружного слоя мышечной оболочки кишечника, демиелинизацию периферических нервов [4, 12, 13].
Обнаружение генерализованного тромбоваскулита, гнойной бронхопневмонии, многочисленных микроабсцессов и колоний микроорганизмов во внутренних органах дает основание рассматривать сепсис в форме септикопиемии как промежуточное состояние, приведшее к смерти.
Обсуждение
Авторы сочли необходимым привести детальное описание клинико-лабораторно-инструментальных проявлений редкого заболевания, для того чтобы дать возможность всестороннего осмысления данной патологии, проиллюстрировать сложный диагностический поиск, увенчавшийся постановкой диагноза МНГИЭ. В 26 лет у пациентки отмечались признаки нарушения моторики кишечника, однако они объяснялись ишемией кишечника, связанной со стенозом чревного ствола. Лишь через 10 лет появились первые неврологические признаки заболевания.
Как и описано в литературе, МНГИЭ маскируется под большое число заболеваний различных органов и систем. МНГИЭ чаще всего ошибочно диагностируется как [11, 12]:
- нервная анорексия;
- заболевания ЖКТ: болезнь Крона, целиакия, эзофагит, гастрит, синдром раздраженного кишечника, верхний синдром брыжеечной артерии, болезнь Уиппла, хроническая кишечная псевдообструкция;
- неврологические заболевания: хроническая демиелинизирующая полинейропатия, наследственная моторно-сенсорная полинейропатия 1-го типа.
Однако уже в 2017 г. у пациентки было очевидным сформировавшееся ядро нозологии (трофический статус и офтальмопарез). В дальнейшем добавлялись характерные для заболевания синдромы. На основании двустороннего птоза, офтальмопареза, тугоухости, полиневритического синдрома, инсультоподобных эпизодов, диспептического синдрома с гипермоторикой, цирроза печени, синдрома портальной гипертензии предложен диагноз митохондриальной патологии в рамках нозологии МНГИЭ. МРТ головного мозга: лейкоэнцефалопатия без каких-либо других нейрорадиологических аномалий (почти всегда присутствует). Данные изменения отмечались у описываемой нами пациентки.
Кроме того, дополнительным критерием для постановки диагноза [13] явилось проведенное исследование уровня лактата (12 902 мкмоль/л, норма – до 2100) и соотношения лактата/пирувата (28; норма – до 20), что позволило подтвердить наличие митохондриопатии. Своевременная постановка диагноза позволила бы избежать назначения гормональной терапии. Длительный прием глюкокортикоидов, имеющих митохондритоксическое действие, также, возможно, повлиял на неблагоприятный исход тяжелой нозокомиальной инфекции, с развитием септицемии и септикопиемии, вследствие чего возникли микробные эмболии в различных органах.
И хотя в настоящее время отсутствуют данные об успешном лечении МНГИЭ, однако симптоматическое облегчение может быть достигнуто [3, 11, 12, 14]. Используются препараты, повышающие активность дыхательной цепи (переносчики электронов), разнообразные кофакторы энзимных реакций энергетического обмена, антиоксиданты, средства, снижающие уровень лактатацидоза, и др. Терапия стволовыми клетками в настоящее время изучается как потенциальное лекарство для некоторых пациентов с этим заболеванием, однако успех их применения зависит от того, насколько рано будет установлен диагноз.
Очевидно, что расширение терапевтического арсенала при МБ диктует настоятельную необходимость того, чтобы практические врачи различных специальностей были хорошо знакомы с алгоритмом диагностики этих заболеваний.
Информированное согласие на публикацию. Авторы получили письменное согласие законных представителей пациента на анализ и публикацию медицинских данных и фотографий.
Consent for publication. Written consent was obtained from the patient for publication of relevant medical information and all of accompanying images within the manuscript.
Вклад авторов: Е.В. Колмакова, С.Н. Бардаков – ведение пациентки за все время наблюдения; П.Г. Цыганкова, С.А. Курбатов – проведение генетического обследования и оценка его результатов; И.Е. Коткас, Е.А. Манушина, Ю.А. Криволапов – сбор и оценка данных лабораторного и инструментального обследования; Р.В. Деев, А.М. Емелин – сбор и оценка данных аутопсии; Е.В. Колмакова – написание текста; И.В. Маев, Н.В. Бакулина, С.А. Курбатов – редактирование.
Authors’ contribution. E.V. Kolmakova, S.N. Bardakov – management of the patient during the entire period of observation; P.G. Tsygankova, S.A. Kurbatov – carrying out a genetic examination and evaluating its results; I.E. Kotkas, E.A. Manushina, Y.A. Krivolapov – collection and evaluation of laboratory and tool survey data; R.V. Deev, A.M. Emelin – autopsy data collection and evaluation; E.V. Kolmakova – writing; I.V. Maev, N.V. Bakulina, S.A. Kurbatov – editing articles.
About the authors
Igor V. Maev
Yevdokimov Moscow State University of Medicine and Dentistry
Email: Elena.Kolmakova@szgmu.ru
ORCID iD: 0000-0001-6114-564X
акад. РАН, д-р мед. наук, проф., зав. каф. пропедевтики внутренних болезней и гастроэнтерологии лечебного фак-та ФГБОУ ВО «МГМСУ им. А.И. Евдокимова»
Russian Federation, MoscowElena V. Kolmakova
Mechnikov North-Western State Medical University
Email: Elena.Kolmakova@szgmu.ru
ORCID iD: 0000-0002-1745-6982
канд. мед. наук, доц. каф. внутренних болезней, клинической фармакологии и нефрологии ФГБОУ ВО «СЗГМУ им. И.И. Мечникова»
Russian Federation, Санкт-ПетербургSergey N. Bardakov
Kirov Military Medical Academy
Email: Elena.Kolmakova@szgmu.ru
ORCID iD: 0000-0002-3804-6245
канд. мед. наук, доц. каф. нефрологии и эфферентной терапии ФГБОУ ВО «ВМА им. С.М. Кирова»
Russian Federation, Saint Petersburg
Roman V. Deev
Mechnikov North-Western State Medical University
Email: Elena.Kolmakova@szgmu.ru
ORCID iD: 0000-0001-8389-3841
канд. мед. наук, доц., зав. каф. патологической анатомии ФГБОУ ВО «СЗГМУ им. И.И. Мечникова»
Russian Federation, Saint PetersburgYuri A. Krivolapov
Mechnikov North-Western State Medical University
Email: Elena.Kolmakova@szgmu.ru
ORCID iD: 0000-0002-9872-0326
д-р мед. наук, проф., зав. патологоанатомическим отд-нием клинической молекулярной морфологии ФГБОУ ВО «СЗГМУ им. И.И. Мечникова»
Russian Federation, Saint PetersburgInna E. Kotkas
Mechnikov North-Western State Medical University
Email: Elena.Kolmakova@szgmu.ru
ORCID iD: 0000-0003-4605-9887
канд. мед. наук, зав. хирургическим отд-нием Клиники им. Э.Э. Эйхвальда, доц. каф. факультетской хирургии им. И.И. Грекова ФГБОУ ВО «СЗГМУ им. И.И. Мечникова»
Russian Federation, Saint PetersburgElena A. Manushina
Mechnikov North-Western State Medical University
Email: Elena.Kolmakova@szgmu.ru
зам. глав. врача по Клинике им. Э.Э. Эйхвальда ФГБОУ ВО «СЗГМУ им. И.И. Мечникова»
Russian Federation, Saint PetersburgSergei A. Kurbatov
Burdenko Voronezh State Medical University
Email: Elena.Kolmakova@szgmu.ru
ORCID iD: 0000-0002-8886-5222
канд. мед. наук, врач-генетик, невролог, врач функциональной диагностики
Russian Federation, VoronezhPolina G. Tsygankova
Bochkov Research Centre of Medical Genetics
Email: Elena.Kolmakova@szgmu.ru
ORCID iD: 0000-0003-3998-3609
канд. биол. наук, ст. науч. сотр. ФГБНУ «МГНЦ им. акад. Н.П. Бочкова»
Russian Federation, MoscowAlexey M. Emelin
Mechnikov North-Western State Medical University
Email: Elena.Kolmakova@szgmu.ru
ORCID iD: 0000-0003-4109-0105
ординатор каф. патологической анатомии ФГБОУ ВО «СЗГМУ им. И.И. Мечникова»
Russian Federation, Saint PetersburgNatalia V. Bakulina
Mechnikov North-Western State Medical University
Author for correspondence.
Email: Elena.Kolmakova@szgmu.ru
ORCID iD: 0000-0003-4075-4096
д-р мед. наук, зав. каф. внутренних болезней, клинической фармакологии и нефрологии ФГБОУ ВО «СЗГМУ им. И.И. Мечникова»
Russian Federation, Saint PetersburgReferences
- Беляева А.М. Митохондриальная нейрогастроинтестинальная энцефаломиопатия. Много вопросов, мало ответов. Тенденция развития науки и образования. 2020:63-1:28-32 [Belyaeva AM. Mitochondrial neurogastrointestinal encephalomyopathy. Many questions, few answers. Development Trend of Science and Education. 2020:63-1:28-32 (in Russian)]. doi: 10.18411/lj-07-2020-06
- Курбатов С.А., Федотов В.П., Цыганкова П.Г., и др. Дифференциальная диагностика митохондриальной нейрогастроинтестинальной энцефаломиопатии. Первое клиническое описание в России. Нервно-мышечные болезни. 2015;5(2):44-54 [Kurbatov SA, Fedotov VP, Tsygankova PG, et al. Differential diagnosis of mitochondrial neurogastrointestinal encephalomyopathy. The first clinical description in Russia. Neuromuscular Diseases. 2015;5(2):44-54 (in Russian)]. doi: 10.17650/2222-8721-2015-5-2-44-54
- Li S, Marti R, Hirano M. Mitochondrial Neurogastrointestinal Encephalomyopathy Disease (MNGIE). In: Diagnosis and Management of Mitochondrial Disorders. 2019; p. 205-22. doi: 10.1007/978-3-030-05517-2_13
- Hirano M, Silvestri G, Blake DM, et al. Mitochondrial neurogastrointestinal encephalomyopathy (MNGIE): clinical, biochemical, and genetic features of an autosomal recessive mitochondrial disorer. Neurology. 1994;44(4):721-7. doi: 10.1212/wnl.44.4.721
- Lara MC, Valentino ML, Torres-Torronteras J, et al. Mitochondrial neurogastrointestinal encephalomyopathy (MNGIE): biochemical features and therapeutic approaches. Biosci Rep. 2007;27(1-3):151-63. doi: 10.1007/s10540-007-9043-2
- Nishino I, Spinazzola A, Papadimitriou A, et al. Mitochondrial neurogastrointestinal encephalomyopathy: an autosomal recessive disorder due to thymidine phosphorylase mutations. Ann Neurol. 2000;47(6):792-800. PMID: 10852545.
- Kurihara T. Mitochondrial Neurogastrointestinal encephalomyopathy and its Pathophysiology. Intern Med. 2006;45(7):415-6. doi: 10.2169/internalmedicine.45.0148
- Hirano I, Stevoff C, Hirano M. Gastrointestinal manifesta- tions of mitochondrial neurogastrointestinal encephalo- myopathy (MNGIE). Gastroenterology. 2001;120(5):224. DOI:10/1016/s0016-5085(01)81114-8
- Hirano M, Carelli V, De Giorgio R, et al. Mitochondrial neurogastrointestinal encephalomyopathyт (MNGIE): Position paper on diagnosis, prognosis, and treatment by the MNGIE International Network. J Inherit Metab Dis. 2021;44(2):376-87. doi: 10.1002/jimd.12300
- Bax BE. Mitochondrial neurogastrointestinal encephalomyopathy: approaches to diagnosis and treatment. J Transl Genet Genom. 2020;4:1-16. doi: 10.20517/jtgg.2020.08
- Казаков В.М., Скоромец А.А., Руденко Д.И., и др. Митохондриальные болезни: миопатии, энцефаломиопатии и энцефаломиелополиневропатии. Неврологический журнал. 2018;23(6):272-81 [Kazakov VM, Skoromets АА, Rudenko DI, et al. Mitochondrial diseases: myopathies, encephalomyopathies and encephalomyelopolineuropathies. Neurological Journal. 2018;23(6):272-81 (in Russian)]. doi: 10.18821/1/560-9545-2018-23-6-272-281
- Millar WS, Lignelli A, Hirano M. MRI of five patients with mitochondrial neurogastroencephalomyopathy. AJR Am J Roentgenol. 2004;182(6):1537-41. doi: 10.2214/ajr.182.6.1821537
- Chaudhry N, Patidar Y, Puri V. Mitochondrial myopathy, encephalopathy, lactic acidosis and stroke-like episodes unveiled by valproate. J Pediatr Neurosci. 2013;8:135-7. DOI:10/4103/1817-1745.117847
- Иллариошкин С.Н. Алгоритм диагностики митохондриальных энцефаломиопатий. Атмосфера. Нервные болезни. 2007;(3):23-7 [Illarioshkin S.N. Algoritm diagnostiki mitokhondrial'nykh entsefalomiopatii. Atmosfera. Nervnye bolezni. 2007;(3):23-7 (in Russian)].
Supplementary files







