Pathomorphological and clinical characteristics of blastic plasmocytoid dendritic cell neoplasm. Case report
- Authors: Sherstnev A.A.1, Kovrigina A.M.1, Solovyova T.I.1, Moiseeva T.N.1
-
Affiliations:
- National Research Center for Hematology
- Issue: Vol 94, No 7 (2022)
- Pages: 891-896
- Section: Case reports
- Submitted: 11.08.2022
- Accepted: 11.08.2022
- Published: 12.08.2022
- URL: https://ter-arkhiv.ru/0040-3660/article/view/109744
- DOI: https://doi.org/10.26442/00403660.2022.07.201734
- ID: 109744
Cite item
Full Text
Abstract
The paper reveals the 5 cases date about blastic plasmacytoid dendritic cell neoplasm. The presented information demonstrates morphological, immunohistochemical data and clinical manifestations.
Full Text
Список сокращений
БОПДК – бластная опухоль из плазмоцитоидных дендритных клеток
ВОЗ – Всемирная организация здравоохранения
ИЛ – интерлейкин
ПДК – плазмоцитоидные дендритные клетки
Hb – гемоглобин
Введение
Бластная опухоль из плазмоцитоидных дендритных клеток (БОПДК) – редкий, клинически агрессивный вариант гемопоэтической опухоли, характеризующийся клональной пролиферацией предшественниц плазмоцитоидных дендритных клеток (ПДК), продуцирующих интерферон-1, участвующих в противовирусном иммунном ответе, иммунных реакциях на различные антигены (в том числе аутоантигены) и опосредующих врожденный и адаптивный иммунитет. Данное новообразование характеризуется высокой частотой поражения кожи, риском вовлечения костного мозга, лейкемизации. Согласно опубликованным данным распространенность заболевания составляет около 0,44% среди всех гемобластозов, 0,7% – среди первичных кожных лимфом, а встречаемость лейкемической формы – менее 1% среди всех острых лейкозов [1–3]. До настоящего времени этиологические факторы заболевания неизвестны, морфологическая диагностика трудна, а тактика лечения не разработана [4].
Проблема определения гистогенеза БОПДК существует на протяжении нескольких десятилетий. Первое описание данной патологии встречается в исследовании, опубликованном в 1994 г. M. Adachi и соавт., в котором БОПДК представлена как лимфоидная опухоль – CD56+ периферическая Т-клеточная лимфома [5]. По мере накопления новых данных о молекулярно-биологических и иммуногистохимических характеристиках опухоли постепенно формировалось и представление о ее клеточном происхождении (неопухолевом аналоге). Так, в классификации опухолей кроветворной и лимфоидной тканей Всемирной организации здравоохранения (ВОЗ) 2001 г. эта опухоль получила название бластного NK-клеточного лейкоза/лимфомы и включена в раздел зрелых Т/NK-клеточных лимфом (синонимы: лимфобластный вариант NK-клеточной лимфомы, мономорфная NK-клеточная лимфома) [6]. В те годы полагали, что у NK- и T-клеток общая NK/T-клетка-предшественница, а данное новообразование имеет лимфоидную природу. Современные исследования свидетельствуют в пользу того, что NK-клетки происходят из собственной клетки-предшественницы и имеют отдельную (от миелоидной и лимфоидной) линию дифференцировки. В связи с обоснованием того, что клеткой-предшественницей БОПДК является активированная ПДК, в классификации ВОЗ 2008 г. данная патология включена в раздел «острых миелоидных лейкозов и связанных с ними опухолей из клеток-предшественниц». В настоящее время в новой редакции классификации ВОЗ 2017 г. новообразование рассматривается как отдельная нозология – БОПДК [1]. Вместе с тем не исключается двоякое возникновение БОПЦК как из предшественниц антигенпрезентирующих клеток, так и из коммитированной общей лимфоидной клетки-предшественницы.
ПДК развиваются из стволовых кроветворных клеток, являются основными интерферон-1-продуцирующими клетками и характеризуются двумя специфическими маркерами: CD303 (BDCA-2) и CD304 (BDCA-4) [7]. В покоящемся состоянии (вне активации) ПДК имеют морфологию, напоминающую лимфоидную клетку [1]. В зрелом виде ПДК (составляют <1% мононуклеаров) циркулируют в крови, костном мозге, селезенке, тимусе, лимфатических узлах. Уровень пролиферации ПДК в лимфоидных органах очень низкий. При активации во время воспалительного, иммунного ответа ПДК мигрируют в паракортикальную зону лимфатических узлов или экстранодальную лимфоидную ткань, имеют морфологию лимфоплазмоцитоидной клетки, в 1958 г. получившей название плазмоцитоидной Т-клетки [8].
Основными рецепторами ПДК являются TLR7 и TLR9, они распознают, соответственно, вирусные РНК и ДНК, в ответ на которые вырабатывают огромное количество интерферона-1. С помощью этих рецепторов ПДК участвуют в реакциях врожденного иммунного ответа. ПДК также могут функционировать как антигенпрезентирующие клетки. Активация ПДК возможна и при помощи цитокина интерлейкина (ИЛ)-3. При активации ИЛ-3 ПДК дифференцируются в зрелые дендритные клетки, способные стимулировать CD4+ Т-лимфоциты к дифференцировке, запуская адаптивные (приобретенные) механизмы иммунного ответа [9]. Таким образом, ПДК играют ключевую роль связующего звена между реакциями врожденного и приобретенного (специфического) иммунитета, являются особой популяцией клеток, обеспечивающей как немедленный ответ на вторжение инфекционного агента, так и запуск сигнального каскада реакций. В коже при травмах, солнечных ожогах пролиферация ПДК является проявлением компенсаторной регенераторной реакции.
По данным литературы, БОПДК чаще диагностируется в пожилом возрасте (медиана 60–70 лет), но может встречаться и в других возрастных группах, в том числе у детей [10], соотношение мужчин и женщин составляет 3:1 [1]. В ряде случаев (10–20%) БОПДК встречается у лиц, в анамнезе которых диагностированы другие опухоли гемопоэтической природы: миелодиспластический синдром, острый миелоидный лейкоз. Ассоциация с миелодиспластическим синдромом, наблюдающаяся в ряде случаев, указывает на возможную связь патогенетических механизмов этих заболеваний [1, 6]. При исследовании трепанобиоптатов костного мозга при хроническом миеломоноцитарном лейкозе, по нашим данным, могут встречаться скопления из ПДК реактивного характера. В подобных случаях в отличие от БОПЦК ПДК CD56-негативны или слабо позитивны. По литературным данным, исключена связь с бактериальными и вирусными агентами, в том числе с вирусом Эпштейна–Барр [11].
Среди локализаций, характерных для БОПДК, по частоте встречаемости следует отметить кожу (90–100%), костный мозг (60–90%), лимфатические узлы (40–50%). При прогрессировании заболевания опухолевые клетки могут появляться в крови (лейкемизация); при обследовании в анализах крови в подобных случаях выявляются анемия, тромбоцитопения, лейкопения. В большинстве случаев заболевание характеризуется агрессивным течением с быстрой трансформацией в лейкемическую фазу [1].
В рамках комплексной диагностики у 70% больных с БОПДК обнаруживаются сложные аномалии кариотипа, но отсутствуют специфические аберрации хромосом. Наиболее часто встречаются цитогенетические нарушения с вовлечением хромосом 4, 5, 6, 9, 12, 13 и 15. При NGS обнаружены точечные мутации в генах TET2, NRAS, ATM, MET, KRAS, IDH2, KIT, APC, RB1, VHL, BRAF, MLH1, TP53, RET [1].
С целью верификации диагноза необходимо проведение морфологического, иммуногистохимического, молекулярно-генетического исследований. Дифференциальный диагноз следует проводить с В- и Т-клеточными лимфомами, острыми лейкозами, сопровождающимися кожными проявлениями (лейкемидами), системной красной волчанкой, меланомой.
Материалы и методы
В данной работе представлены описание и анализ 5 консультативных случаев БОПДК за период 2019–2020 гг. Пациенты проходили обследование в научно-поликлиническом отделении химиотерапии гематологических заболеваний с дневным стационаром ФГБУ «НМИЦ гематологии» (заведующая – кандидат медицинских наук Т.Н. Моисеева). Гистологическое и иммуногистохимическое исследования биоптатов кожи, лимфатических узлов, трепанобиоптатов костного мозга выполнены в патологоанатомическом отделении ФГБУ «НМИЦ гематологии» (заведующий – доктор биологических наук А.М. Ковригина).
В табл. 1 приведены антитела, использованные при иммуногистохимическом исследовании.
Таблица 1. Спектр антител для иммуногистохимического исследования Table 1. Spectrum of antibodies for immunohistochemical study | |||
№ | Название антител | Клон, производитель | Разведение |
1 | CD3 | LN10, Leica | 1:200 |
2 | CD4 | 4B12, Leica Bond | RTU |
3 | CD20 | L26, Leica | 1:100 |
4 | CD33 | PWS44, Leica Bond | 1:100 |
5 | CD34 | QBend/10, Leica Bond | RTU |
6 | CD56 | 1B6, Leica | 1:50 |
7 | CD117 | c-kit, Dako | 1:30 |
8 | CD123 | BR4MS, Leica | 1:20 |
9 | TCL-1 | MRQ-7, Cell Marque | 1:120 |
10 | MPO | Polyclonal, Dako | 1:500 |
11 | Lysozyme | Polyclonal, Dako | 1:300 |
12 | TdT | SEN28, Leica Bond | RTU |
13 | Ki-67 | MIB-1, Dako | 1:70 |
Результаты
Наблюдение 1
Пациент Г., 75 лет, после укуса насекомого в мочку левого уха отметил увеличение лимфатических узлов шеи. Впоследствии появились жалобы на снижение слуха, потливость, потерю массы тела на 10 кг. При дополнительном обследовании по данным ультразвукового исследования выявлены генерализованное увеличение периферических и висцеральных лимфатических узлов, гепатоспленомегалия (рис. 1).
Рис. 1. Наблюдение 1. Биоптат лимфатического узла. БОПДК.
Наблюдение 2
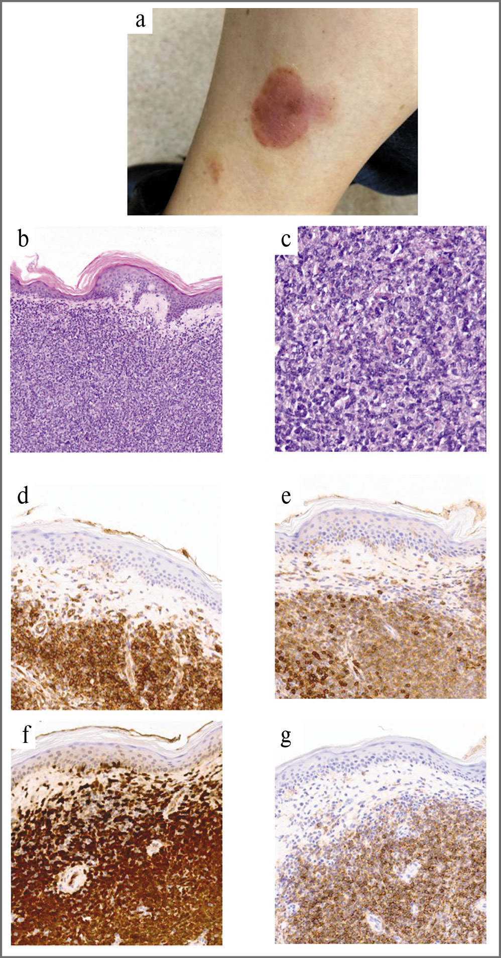
Пациентка А., 63 лет, в 2017 г. на поверхности правой голени отметила появление пятна красноватого цвета, на которое в течение 2 лет особого внимания не обращала в связи с отсутствием отрицательной динамики. В 2019 г. обнаружила второе подобное новообразование меньших размеров. При обследовании в миелограмме выявлено 30% бластных клеток. При пересмотре гистологических препаратов в патологоанатомическом отделении ФГБУ «НМИЦ гематологии» установлена опухоль гемопоэтической природы. В связи с недостаточным количеством диагностического материала в целях морфологической верификации диагноза проведена повторная биопсия кожи с последующим морфологическим и иммуногистохимическим исследованием (рис. 2).
Рис. 2. Наблюдение 2. Поражение кожи при бластной опухоли из ПДК.
Наблюдение 3
Пациент Ч., 65 лет, в 2018 г. заметил появление высыпаний на коже. При обследовании по месту жительства на основании биоптата кожи установлен диагноз анапластической крупноклеточной лимфомы, ALK-негативной, с поражением кожных покровов туловища. Проведено 6 курсов полихимиотерапии по программе CHOEP с временным эффектом. Спустя несколько месяцев зарегистрирован рецидив заболевания в виде папулезной сыпи на коже туловища. Выполнена повторная биопсия кожи.
Наблюдение 4
Пациентка Б., 60 лет, в 2019 г. обратила внимание на новообразование синюшного цвета в височной области, диаметром до 3 см. В общем анализе крови выявлена анемия (гемоглобин – Hb 73 г/л), бластемия – 1%. Выполнена биопсия новообразования кожи.
Наблюдение 5
Пациент С., 71 год, в сентябре 2019 г. в области нижних конечностей отметил появление подкожных элементов, возвышающихся над поверхностью. Консультирован ревматологом, дерматологом, терапевтом, однако диагноз оставался неуточненным. Объем поражения прогрессивно увеличивался: подкожные элементы распространялись на область живота, верхних конечностей, головы. Диагностировано увеличение паховых, подчелюстных лимфатических узлов. В анализах крови выявлялись анемия, тромбоцитопения, лейкоцитоз за счет лимфоцитоза и моноцитоза. В миелограмме – 92% бластов.
Обобщенные клинические данные представлены в табл. 2.
Таблица 2. Клинико-лабораторные данные пациентов с БОПДК Table 2. Clinical and laboratory data of patients with a blast tumor from plasmacytoid dendritic cells | |||||
1 | 2 | 3 | 4 | 5 | |
Пол | Мужской | Женский | Женский | Мужской | Мужской |
Возраст, годы | 75 | 63 | 60 | 65 | 71 |
В-симптомы | Снижение массы тела, ночная потливость | – | – | Н/д | – |
Поражение кожи | Гиперпигментация кожных покровов, наличие петехий на коже туловища | Пятна красно-бурого цвета в области правой голени | Новообразование на коже правой височной области справа | Сыпь на коже туловища | Множественные подкожные элементы в области верхних и нижних конечностей, туловища, головы |
Внекожные поражения | – | – | – | Шейные лимфоузлы | Увеличение всех групп лимфоузлов, множественные очаги в селезенке |
Поражение костного мозга | Н/д | -/+ | – | + | + |
Размеры селезенки, мм | 135 | 110 | Н/д | 160 | 190 |
Общий анализ крови | Н/д | Hb 112 г/л; Эр. 4,6×1012/л; Л. 4,1×109/л; Тр. 200×109/л | Hb 43 г/л; Эр. 2,2×1012/л; Тр. 162×109/л | Hb 113 г/л; Эр. 4,5×1012/л; Л. 1,67×109/л; Тр. 9×109/л | Hb 9,8 г/л; Эр. 3,7×1012/л; Л. 306,4×109/л; Тр. 60,0×109/л |
Миелограмма | Н/д | Бласты – 5,2% | Бласты – 1% | Н/д | Бласты – 92% |
Кариотип | Н/д | Дериват (17;18) с потерей короткого плеча хромосомы 17 (с вероятной потерей гена Tp53/17p13) и хромосомы 18; делецией 6q; дериватом хромосомы 21; дериватом хромосомы 8? | 46, XX, [20] | Н/д | Н/д |
Примечание. Эр — эритроциты, Л – лейкоциты, Тр. – тромбоциты; *здесь и далее в табл. 3: н/д – нет данных. | |||||
Анализируемую нами группу составили 5 пациентов с БОПДК в возрасте от 60 до 75 лет (медиана возраста 65 лет), среди них 3 мужчин и 2 женщины. В-симптомы наблюдались в 1 случае. Поражение кожных покровов обнаружено у всех пациентов в виде солитарных или множественных очагов по типу узлов, бляшек, пятен синюшного или бурого цвета. Поражение лимфатических узлов и костного мозга выявлено у 3 больных, увеличение размеров селезенки – в 2 случаях. Интересно, что динамика развития заболевания в представленных наблюдениях оказалась различной.
Диагноз установлен на различном материале: биоптаты лимфатических узлов, кожи, трепанобиоптаты костного мозга. Во всех случаях опухолевый субстрат характеризовался мономорфным инфильтратом из клеток среднего и укрупненного размера с бластной морфологией, напоминающих лимфобласты.
Важно отметить, что морфологическая картина при БОПДК в биоптатах различной локализации сходна и представлена диффузным инфильтратом из мономорфного среднего размера клеток с округло-овальной, неправильной формой ядра, слегка эксцентрически расположенным ядром – с «лимфоплазмоцитоидной морфологией». В 2 случаях в коже опухолевый инфильтрат отделен от эпидермиса зоной Грейнза. Отмечался периваскулярный характер роста, признаки ангиотропности отсутствовали.
При проведении иммуногистохимического исследования во всех случаях клетки опухолевого инфильтрата экспрессировали: CD4, CD56, CD123, TCL-1. В 2 случаях CD33-позитивная реакция определялась в клетках мономорфного опухолевого инфильтрата. В 1 случае клетки диффузного опухолевого инфильтрата экспрессировали TdT. Индекс пролиферативной активности Ki-67 составил от 20–25 до 40% позитивных клеток опухолевого инфильтрата.
Результаты иммуногистохимического исследования представлены в табл. 3.
Таблица 3. Экспрессия маркеров при БОПДК Table 3. Expression of markers in blast tumors from plasmacytoid dendritic cells | ||||||
Линейность маркера | Антитело | 1 | 2 | 3 | 4 | 5 |
Т-клетки | CD4 | + | + | + | + | + |
CD3 | - | - | Н/д | - | - | |
TCL-1 | + | + | + | + | + | |
В-клетки | CD20 | - | - | Н/д | - | Н/д |
Маркер ПДК | CD123 | + | + | + | + | + |
Маркер NK-клеток | CD56 | + | + | + | + | + |
Маркеры клеток-предшественниц | TdT | + | - | - | - | - |
CD34 | - | - | - | Н/д | - | |
Миелоидная | CD33 | + | + | Н/д | Н/д | Н/д |
MPO | - | - | - | - | - | |
Прочие | Lysozyme | - | - | - | Н/д | Н/д |
CD117 | - | - | Н/д | Н/д | Н/д | |
Ki-67 (%) | 40 | 20–25 | 40 | 20–40 | Н/д | |
Важным диагностическим маркером для БОПДК является CD123-рецептор α-цепи ИЛ-3, в норме ярко экспрессируется в ПЦК и базофилах, слабо – в стволовых клетках крови, моноцитах, эндотелиоцитах. ИЛ-3 – это плеотропный цитокин, функция которого заключается в стимуляции развития клеток гемопоэтической ткани (базофилов, нейтрофилов, дендритных клеток и др.). Экспрессия CD123 определяется при таких нозологиях, как БОПДК, острый миелоидный лейкоз, острый лимфобластный лейкоз. Благодаря своей специфичности для диагностики ряда заболеваний антитела к CD123 рассматриваются как перспективное направление в качестве таргетной терапии [12, 13].
TCL-1- (T-Cell Leukemia/Lymphoma 1A oncogene, TCL1A или TCL1) – Т-клеточный протоонкоген, экспрессирующийся незрелыми В- и Т-клетками, участвующий во многих сигнальных каскадах, в частности PI3K/AKT/mTOR, транскрипционный фактор, регулирующий транскрипционную активность TP63. В отличие от миелоидных опухолей и NK-клеточной лимфомы аберрантная экспрессия TCL-1 характерна для БОПДК (90% позитивных случаев).
В рамках характеристики иммунофенотипа важно подчеркнуть, что при БОПДК может в различной степени отмечаться экспрессия CD2, CD5, CD7, CD33, CD38, CD43, CD68, CD79a, CD117, BCL-2, BCL-6, MUM.1, IRF4, редко – S-100, но опухолевые клетки не экспрессируют линейно-рестриктированные антигены CD3 и миело- пероксидазу.
При проведении генетического и полногеномного секвенирования при БОПДК чаще всего отмечены делеции 9q21.32 и 7p12.2, связанные с функцией генов HNRNPK и IKZF1, которые влияют на подавление опухолевого роста. HNRNPK кодирует ядерный рибонуклеопротеин, участвующий в синтезе и процессинге РНК, перестройке структуры хроматина, регуляции клеточного цикла. IKZF1 в свою очередь кодирует транскрипционный фактор, имеющий важное значение в пролиферации и дифференцировке различных линий гемопоэза, в том числе и ПДК [14].
Одним из механизмов, контролирующих развитие ПДК из клеток-предшественниц, является транскрипционный фактор E-box – TCF4. TCF4 экспрессируется ПДК и сохраняет их идентичность. При отсутствии TCF4 ПДК трансдифференцируются в классические дендритноподобные клетки. В опухолевых клетках БОПДК TCF4-активированные гены экспрессируют высокий уровень таких протоонкогенов, как BCL2, MYC, TCL1A, TCL2B. Таким образом, отсутствие выраженной экспрессии TCF4 в других опухолях гематопоэтической природы, находящихся в одном дифференциально диагностическом ряду с БОПДК, позволило выявить иммуногистохимический маркер, который обладает высокой специфической активностью к БОПДК [15].
В 2019 г. появились данные о «двойной» иммуногистохимической реакции при использовании антител CD123 и TCF4. Согласно данным работы N. Sukswai и соавт. чувствительность метода составляет 100%, специфичность – 99,8%. Особенность данного маркера заключается в том, что экспрессия антител к CD123 и TCF4 может наблюдаться и в других опухолях, в то время как при наличии «двойной» метки трудности дифференциальной диагностики будут нивелированы [15].
БОПДК характеризуется агрессивным течением и плохим прогнозом, медиана общей выживаемости составляет 10–19 мес. У большинства пациентов после окончания лечения быстро развиваются химиорезистентные рецидивы. После проведения трансплантации аллогенных/аутологичных стволовых клеток крови у лиц молодого возраста могут быть достигнуты длительные ремиссии (общая выживаемость до 2–4 лет) [1, 9].
Оптимальное стандартное лечение БОПДК в настоящее время не разработано в связи с малым числом пациентов и редкостью заболевания, что является основанием для дальнейших исследований по разработке эффективных лечебных программ с обоснованием целесообразности и возможности трансплантации гемопоэтических стволовых клеток с целью увеличения продолжительности полной ремиссии и жизни пациентов. Таргетная терапия с использованием анти-CD123 CAR T-клеток, венетоклакса, ингибиторов иммунных контрольных точек [16, 17] является перспективным направлением в лечении БОПДК.
Заключение
Таким образом, БОПДК – крайне редкое опухолевое заболевание гемопоэтической природы, характеризующееся поражением кожи, частым вовлечением костного мозга, периферической крови и лимфатических узлов, имеющее неблагоприятный прогноз. В связи с агрессивным клиническим течением крайне важна своевременная диагностика данной опухоли. Морфологический диагноз сложен, так как опухолевые клетки могут напоминать лимфобласты. Обязательным является проведение иммуногистохимического исследования с использованием широкой панели антител, причем минимальная диагностически значимая панель должна включать антитела к CD4, CD56, CD123, TCL-1, TdT, CD33, Ki-67. БОПДК ассоциируется со сложным кариотипом, частыми делециями генов-супрессоров, различными соматическими мутациями. Современные молекулярно-генетические методы способствуют изучению биологических и патофизиологических особенностей опухоли и, как следствие, пересмотру терапевтических подходов.
Раскрытие интересов. Авторы декларируют отсутствие явных и потенциальных конфликтов интересов, связанных с публикацией настоящей статьи.
Disclosure of interest. The authors declare that they have no competing interests.
Вклад авторов. Авторы декларируют соответствие своего авторства международным критериям ICMJE. Все авторы в равной степени участвовали в подготовке публикации: разработка концепции статьи, получение и анализ фактических данных, написание и редактирование текста статьи, проверка и утверждение текста статьи.
Authors’ contribution. The authors declare the compliance of their authorship according to the international ICMJE criteria. All authors made a substantial contribution to the conception of the work, acquisition, analysis, interpretation of data for the work, drafting and revising the work, final approval of the version to be published and agree to be accountable for all aspects of the work.
Источник финансирования. Авторы декларируют отсутствие внешнего финансирования для проведения исследования и публикации статьи.
Funding source. The authors declare that there is no external funding for the exploration and analysis work.
Информированное согласие на публикацию. Пациенты подписали форму добровольного информированного согласия на публикацию медицинской информации.
Consent for publication. Written consent was obtained from the patients for publication of relevant medical information and all of accompanying images within the manuscript.
Соответствие принципам этики. Протокол исследования был одобрен локальным этическим комитетом ФГБУ «Национальный медицинский исследовательский институт гематологии», Протокол №165, 30.06.2022. Одобрение и процедуру проведения протокола получали по принципам Хельсинкской конвенции.
Ethics approval. The study was approved by the local ethics committee of National Research Center for Hematology, Protocol No. 165 of 06.30.2022. The approval and procedure for the protocol were obtained in accordance with the principles of the Helsinki Convention.
About the authors
Andrei A. Sherstnev
National Research Center for Hematology
Author for correspondence.
Email: sherstnevandrejj@mail.ru
ORCID iD: 0000-0002-1597-4591
аспирант патологоанатомического отд-ния, врач-стажер
Russian Federation, MoscowAlla M. Kovrigina
National Research Center for Hematology
Email: sherstnevandrejj@mail.ru
ORCID iD: 0000-0002-1082-8659
д-р биол. наук, зав. патологоанатомическим отд-нием
Russian Federation, MoscowTatiana I. Solovyova
National Research Center for Hematology
Email: sherstnevandrejj@mail.ru
ORCID iD: 0000-0001-8246-6581
канд. мед. наук, врач-гематолог
Russian Federation, MoscowTatiana N. Moiseeva
National Research Center for Hematology
Email: sherstnevandrejj@mail.ru
ORCID iD: 0000-0001-9591-8508
канд. мед. наук, врач-гематолог, зав. отд-нием химиотерапии гематологических заболеваний с дневным стационаром
Russian Federation, MoscowReferences
- Swerdlow SH, Campo E, Harris NL, et al. WHO Classification of Tumors of Haematopoietic and Lymphoid Tissues (Revised 4th edition). IARC: Lyon, 2017; p. 173-8.
- Bueno C, Almeida J, Lucio P, et al. Incidence and characteristics of CD4(+)/HLA DRhi dendritic cell malignancies. Haematologica. 2004;89(1):58-69.
- Wang H, Cao J, Hong X. Blastic plasmacytoid dendritic cell neoplasm without cutaneous lesion at presentation: case report and literature review. Acta Haematologica. 2012;127(2):124-7. doi: 10.1159/000334703
- Trottier AM, Cerquozzi S, Owen CJ. Blastic plasmacytoid dendritic cell neoplasm: challenges and future prospects. Blood Lymphat Cancer. 2017;7:85-93. doi: 10.2147/BLCTT.S132060
- Adachi M, Maeda K, Takekawa M, et al. High expression of CD56 (N-CAM) in a patient with cutaneous CD4-positive lymphoma. Am J Hematol. 1994;47(4):278-82. doi: 10.1002/ajh.2830470406
- Kazakov DV, Mentze T, Burg G, et al. Blastic natural killer-cell lymphoma of the skin associated with myelodysplastic syndrome or myelogenous leukaemia: a coincidence or more? Br J Dermatol. 2003;149:869-76. doi: 10.1046/j.1365-2133.2003.05639.x
- Dzionek A, Inagaki Y, Okawa K, et al. Plasmacytoid dendritic cells: from specific surface markers to specific cellular functions. Hum Immunol. 2002;63(12):1133-48. doi: 10.1016/s0198-8859(02)00752-8
- Saadeh D, Kurban M, Abbas O. Plasmacytoid dendritic cell role in cutaneous malignancies. J Dermatol Sci. 2016;83(1):3-9. doi: 10.1016/j.jdermsci.2016.05.008
- Jegalian AG, Buxbaum NP, Facchetti F, et al. Blastic plasmacytoid dendritic cell neoplasm in children: diagnostic features and clinical implications. Haematologica. 2010;95(11):1873-9. doi: 10.3324/haematol.2010.026179
- Nomburg J, Bullman S, Chung SS, et al. Comprehensive metagenomic analysis of blastic plasmacytoid dendritic cell neoplasm. Blood Adv. 2020;4(6):1006-11. doi: 10.1182/bloodadvances.2019001260
- Testa U, Pelosi E, Frankel A. CD 123 is a membrane biomarker and a therapeutic target in hematologic malignancies. Biomark Res. 2014;2(1):4. doi: 10.1186/2050-7771-2-4
- Bôle-Richard E, Fredon M, Biichlé S, et al. CD28/4-1BB CD123 CAR T cells in blastic plasmacytoid dendritic cell neoplasm. Leukemia. 2020;34(12):3228-41. doi: 10.1038/s41375-020-0777-1
- Torres ANB, Cats D, Mei H, et al. Whole-genome analysis uncovers recurrent IKZF1 inactivation and aberrant cell adhesion in blastic plasmacytoid dendritic cell neoplasm. Genes Chromosomes Cancer. 2020;59(5):295-308. doi: 10.1002/gcc.22831
- Ceribelli M, Hou ZE, Kelly PN, et al. A druggable TCF4- and BRD4-dependent transcriptional network sustains malignancy in blastic plasmacytoid dendritic cell neoplasm. Cancer Cell. 2016;30(5):764-78. doi: 10.1016/j.ccell.2016.10.002
- Sukswai N, Aung PP, Yin CC, et al. Dual expression of TCF4 and CD123 is highly sensitive and specific for blastic plasmacytoid dendritic cell neoplasm. Am J Surg Pathol. 2019;43(10):1429-37. doi: 10.1097/PAS.0000000000001316
- Agha M, Monaghan S, Swerdlow S. Venetoclax in a Patient with a Blastic Plasmacytoid Dendritic-Cell Neoplasm. New England J Med. 2018;379(15):1479-81. doi: 10.1056/NEJMc1808354
- Aung P, Sukswai N, Nejati R, et al. PD1/PD-L1 Expression in Blastic Plasmacytoid Dendritic Cell Neoplasm. Cancers. 2019;11:695. doi: 10.3390/cancers11050695




