Organizing pneumonia as a pulmonary manifestation of post-COVID syndrome: features of diagnosis and treatment
- Authors: Akulkina L.A.1, Shchepalina A.A.1, Kitbalian A.A.1,2, Potapov P.P.1,2, Moiseev A.S.1,2, Brovko M.Y.1, Sholomova V.I.1, Moiseev S.V.1,2
-
Affiliations:
- Sechenov First Moscow State Medical University (Sechenov University)
- Lomonosov Moscow State University
- Issue: Vol 94, No 4 (2022)
- Pages: 497-502
- Section: Original articles
- Submitted: 25.05.2022
- Accepted: 25.05.2022
- Published: 26.05.2022
- URL: https://ter-arkhiv.ru/0040-3660/article/view/108229
- DOI: https://doi.org/10.26442/00403660.2022.04.201452
- ID: 108229
Cite item
Full Text
Abstract
Treatment of patients with long-term persistent symptoms after COVID-19 is an urgent problem for clinicians around the world. One of the most significant manifestations of post-COVID-19 syndrome is organizing pneumonia that is usually treat with corticosteroids. The paper presents a clinical case of typical course of post-COVID-19 organizing pneumonia in a patient without previous lung disease. Risk factors, diagnostic methods and treatment options in this group of patients are also discuss.
Full Text
Список сокращений
ГКС – глюкокортикостероиды
ИЗЛ – интерстициальные заболевания легких
КТ – компьютерная томография
ОП – организующаяся пневмония
ПЦР – полимеразная цепная реакция
СРБ – С-реактивный белок
DLCO – диффузионная способность легких по монооксиду углерода
SARS-CoV-2 (severe acute respiratory syndrome-related coronavirus 2) – коронавирус 2 тяжелого острого респираторного синдрома
Введение
В марте 2019 г. Всемирная организация здравоохранения официально объявила о пандемии новой коронавирусной инфекции (coronavirus disease 2019, коронавирусная инфекция 2019 – COVID-19), вызываемой вирусом SARS-CoV-2 (severe acute respiratory syndrome-related coronavirus 2 – коронавирус 2 тяжелого острого респираторного синдрома) – РНК-вирусом, относящимся к роду Betacoronavirus [1]. Клинические проявления инфекции варьируют от бессимптомного течения до тяжелого поражения легких с развитием дыхательной недостаточности [2]. Основными факторами риска тяжелого течения и неблагоприятного прогноза являются пожилой возраст, мужской пол, наличие сопутствующих сердечно-сосудистых заболеваний и сахарного диабета [3]. На момент публикации в мире зарегистрировано более 240 млн случаев заболевания, из которых 4,9 млн закончились летальным исходом [4].
По мере того, как все больше людей выздоравливают от COVID-19, пациенты чаще сталкиваются с длительными последствиями заболевания. Возникает ряд вопросов об их распространенности, а также своевременном и эффективном лечении, в том числе легочной патологии, у пациентов после перенесенной COVID-19. Существуют многочисленные определения. В данной статье авторы будут придерживаться термина «пост-COVID-19» в рамках определения, данного Всемирной организацией здравоохранения в октябре 2021 г.: состояние, возникающее у лиц с анамнезом подтвержденной или вероятной инфекции вирусом SARS-CoV-2 в течение 3 мес после дебюта заболевания, которое сохраняется в течение 2 нед и более и не может быть объяснено альтернативным диагнозом. Типичными симптомами пост-COVID-19 считаются слабость, одышка, когнитивные нарушения, влияющие на повседневную деятельность. Считается, что данные жалобы могут как персистировать после перенесенного заболевания, так и возникать после выздоровления; в ряде случаев заболевание имеет волнообразное течение [5]. В одном из крупнейших в настоящее время метаанализов установлено, что наиболее частыми симптомами пост-COVID-19 являются слабость (58%), головные боли (44%), нарушения внимания и снижение концентрации (27%), выпадение волос (25%) и одышка (24%), боли в суставах, а также нарушения обоняния и вкуса. К респираторным проявлениям пост-COVID-19 относятся также учащенное дыхание (тахипноэ) после нагрузки (21%), кашель (19%), дискомфорт или боли в грудной клетке (16%), снижение диффузионной способности легких по монооксиду углерода – DLCO (10%), апноэ сна (8%) и развитие легочного фиброза (5%) [6].
В некоторых случаях при дообследовании удается установить субстрат для возникновения указанных жалоб. Например, по данным X. Mo и соавт., у 47,2% пациентов с COVID-19 на момент выписки из стационара выявлено снижение DLCO менее 80% [7]. У некоторых пациентов снижение DLCO может сохраняться в течение более чем 3 мес [8, 9]. Функцио- нальные нарушения со стороны легких сопровождаются характерной рентгенологической картиной. Так, сохранение воспалительных изменений в легких после острого периода болезни отмечено в нескольких когортных исследованиях, однако у большинства пациентов клинически эти изменения не проявляются [10]. Кроме того, в ряде обсервационных исследований отмечалось также развитие интерстициального легочного фиброза у части больных [11, 12]. Однако все имеющиеся до настоящего времени данные получены в сериях клинических случаев, а также небольших когортах пациентов без тщательных методов отбора.
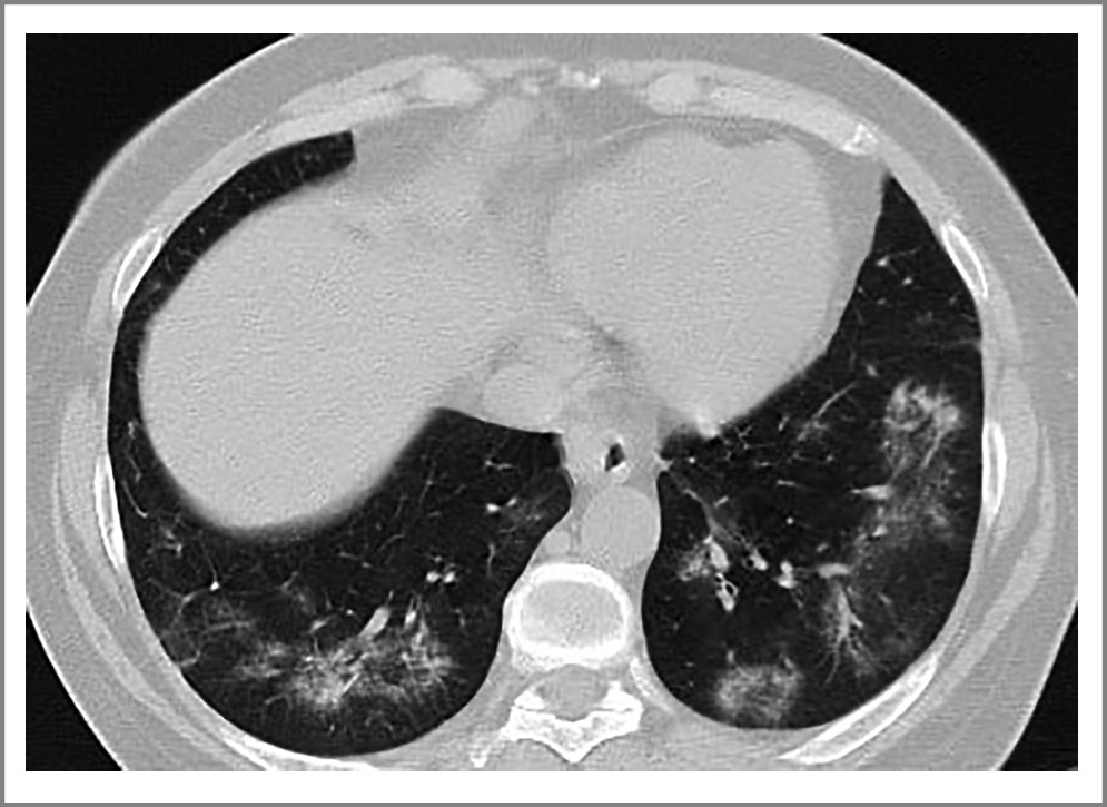
Одним из легочных проявлений пост-COVID-19 может быть развитие организующейся пневмонии (ОП) – варианта интерстициальной пневмонии [13]. Часто ОП манифестируют после перенесенных вирусных легочных инфекций. В частности, развитие ОП описано после SARS (Severe Acute Respiratory Syndrome – тяжелый острый респираторный синдром) и MERS (Middle East Respiratory Syndrome – ближневосточный респираторный синдром), вызываемых коронавирусами, родственными SARS-CoV-2 [14]. Другими причинами развития ОП могут быть нежелательные лекарственные реакции, системные заболевания соединительной ткани. Для ОП более характерно подострое начало; типичными симптомами заболевания являются лихорадка, малопродуктивный кашель, одышка, боли в грудной клетке. В тяжелых случаях развивается дыхательная недостаточность, требующая респираторной поддержки. При лабораторном обследовании часто выявляют значительное повышение уровня воспалительных маркеров – скорости оседания эрит- роцитов, С-реактивного белка (СРБ) и фибриногена [15]. Характерными компьютерно-томографическими признаками ОП является наличие субплевральных и перибронхиальных зон уплотнения легочной ткани по типу «матового стекла» и консолидации, симптомов «воздушной бронхографии» и «обратного гало» (рис. 1) [16]. Таким образом, клиническая и лабораторно-инструментальная картины заболевания у пациентов с коронавирусной пневмонией и ОП во многом сходныа, и дифференциальная диагностика данных состояний может оказаться затруднительной.
Рис. 1. Симптом «обратного гало» у пациента с ОП. / Fig. 1. Reverse halo symptom in a patient with organizing pneumonia.
Основой терапии ОП являются глюкокортикостероиды (ГКС) в средних или, реже, высоких дозах. В ряде случаев при отсутствии выраженной дыхательной недостаточности и воспалительной активности также возможно применение длительного курса макролидных антибиотиков благодаря их иммуномодулирующей роли [15]. При недостаточном эффекте от терапии ГКС, а также развитии стероидозависимости к терапии добавляют цитостатические препараты (микофенолата мофетил, азатиоприн и др.) [17].
В данной статье мы представляем клиническое наблюдение пациента с ОП, развившейся после перенесенной острой коронавирусной инфекции COVID-19.
Клинический случай
В представленном ниже клиническом случае описано типичное течение пост-COVID-19-ОП у пациента без предшествующей легочной патологии.
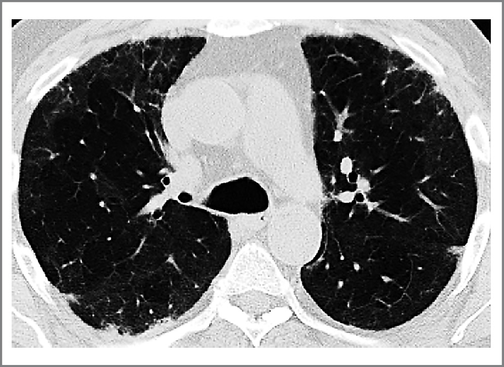
Пациент Ч., 64 года, постоянно проживает в Москве, пенсионер, ранее работал спортивным тренером. В анамнезе сахарный диабет 2-го типа, в течение последних 2 лет получает комбинированную инсулинотерапию. Пациент 8 января 2021 г. отметил повышение температуры тела до 39°С, появление одышки, снижение сатурации до 89%, потерю вкуса и обоняния. Госпитализирован в ГБУЗ ГКБ №40 в Москве. Выполнена компьютерная томография (КТ) грудной клетки – выявлены признаки двусторонней полисегментарной пневмонии, объем поражения легких до 50% (КТ-2), получен положительный тест методом полимеразной цепной реакции (ПЦР) на новую коронавирусную инфекцию. В анализах крови при поступлении отмечено повышение СРБ до 112 мг/л (0–5), снижение лимфоцитов до 0,5×109/л (1–3,7), повышение D-димера до 570 мкг/мл (0–250). Пациенту проводилась терапия антикоагулянтами, ГКС, ингибитором интерлейкина-6 (тоцилизумаб), фавипиравиром, кислородотерапия через носовые канюли (4–5 л/мин). На фоне терапии отмечались положительная клиническая динамика, нормализация гемодинамических и биохимических показателей крови, уменьшение жалоб, получен отрицательный ПЦР-тест на COVID-19. В конце января 2021 г. пациент выписан на амбулаторное долечивание, ГКС и антикоагулянты не получал. С середины февраля 2021 г. у больного повторно отмечались повышение температуры до 39°С, снижение сатурации до 75%, после чего госпитализирован в частную клинику с диагнозом внебольничной пневмонии и подозрением на тромбоэмболию легочной артерии. При КТ органов грудной клетки выявлены признаки двусторонней полисегментарной пневмонии, объем поражения легких более 75% (КТ-4). В анализах крови отмечалось повышение СРБ – до 236 мг/л (0–5), интерлейкина-6 – до 20,9 пг/мл (0–7), D-димера – до 5,65 мкг/мл (0–0,5), повторно получен отрицательный ПЦР-тест на новую коронавирусную инфекцию. Получал терапию антибиотиками и системными ГКС, кислородотерапию. Учитывая клиническую картину, данные КТ, больной переведен в госпиталь для лечения новой коронавирусной инфекции. Продолжена терапия ГКС (дексаметазон) и антибиотиками, а также назначены антикоагулянты и кислородотерапия. В результате проводимого лечения отмечались положительная динамика, нормализация анализов крови, уменьшение жалоб. По данным КТ – положительная динамика, уменьшение поражения легких до 50–75% (КТ-3). Выписан в начале марта с улучшением, терапия на амбулаторном этапе не назначалась. Через 2 нед после выписки – повторное появление жалоб на выраженную одышку, снижение сатурации до 90–92%, госпитализирован в Клинику им. Е.М. Тареева. В анализах крови выявлено повышение СРБ до 375 мг/л (0–5). По данным КТ органов грудной клетки выявлены уплотнения легочной ткани по типу «матового стекла» (рис. 2), выполнены исследование функции внешнего дыхания и диффузионный тест, выявлено снижение DLCO cor (гемоглобин 118 г/л) до 43% и форсированной жизненной емкости легких до 64%, объема форсированного выдоха за 1-ю секунду – до 68%.
Рис. 2. КТ грудной клетки пациента от 07.04.2021. / Fig. 2. Computer tomography scan of the patient's chest from 04/07/2021.
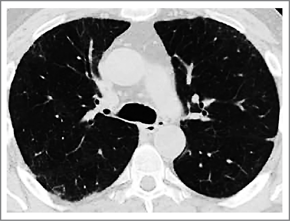
Пациенту установлен диагноз интерстициального заболевания легких (ИЗЛ) – пост-COVID-19-ОП. Начата терапия преднизолоном (20 мг/сут) и ривароксабаном (20 мг/сут). В результате проводимого лечения отмечалась положительная динамика: лабораторно – снижение острофазовых показателей – СРБ до 4 мг/л (0–5); также пациент отмечал уменьшение выраженности одышки. При проведении контрольной КТ в июле 2021 г. отмечался значительный регресс интерстициальных изменений в легких, маркеры воспаления – стабильно в пределах референсных значений. Доза преднизолона медленно снижена до полной отмены в августе 2021 г. без последующего рецидива ОП. В октябре 2021 г. выполнена КТ органов грудной клетки, отмечается выраженная положительная динамика, уменьшение зон «матового стекла» (рис. 3).
Рис. 3. КТ грудной клетки пациента от 10.10.2021. / Fig. 3. Computer tomography scan of the patient's chest from 10/10/2021.
В описанном клиническом наблюдении представлено развитие пост-COVID-19-ОП у пациента без анамнеза легочных заболеваний. На фоне отмены ГКС после выписки из стационара для лечения COVID-19 у пациента повторно отмечалось развитие респираторных симптомов и, несмотря на отрицательные ПЦР-тесты и явное несоответствие срокам болезни, он повторно госпитализирован в центр для лечения новой коронавирусной инфекции. В результате терапии продленным ГКС наблюдались заметное улучшение клинической симптоматики, нормализация гемодинамических и биохимических показателей крови. Тем не менее после их быстрой отмены у пациента повторно отмечалось развитие прежних симптомов, что потребовало госпитализации в Клинику им. Е.М. Тареева. Учитывая данные анамнеза и характерную КТ-картину, пациенту установлен диагноз пост-COVID-19-ОП и начата патогенетическая терапия со стойким эффектом.
Обсуждение
В настоящее время важной проблемой при ОП после перенесенной острой новой коронавирусной инфекции является правильная постановка диагноза. Заподозрить ОП можно при развитии у пациента типичной клинико-рентгенологической картины после перенесенного COVID-19 в сочетании с отрицательным результатом ПЦР на SARS-CoV-2 мазка из рото- и носоглотки или трахеобронхиального лаважа у пациентов на искусственной вентиляции легких, повышением уровня СРБ сыворотки крови и исключением бактериальной или грибковой инфекции. В общий алгоритм обследования пациентов с подозрением на пост-COVID-19-ОП должны входить оценка наличия у пациента дыхательной недостаточности, лабораторных признаков воспаления, оценка объемных и диффузионных параметров легких, определение ведущего паттерна поражения легких по данным КТ органов грудной клетки [18].
Развитие пост-COVID-19-ОП в настоящее время представляет собой малоизученную проблему, распространенность заболевания точно не известна. В частности, известно, что сахарный диабет ассоциирован с большей тяжестью течения острой фазы COVID-19. Тем не менее ввиду отсутствия систематических наблюдений невозможно сделать вывод, является ли это заболевание фактором, который сам по себе предрасполагает к развитию ОП, или первоочередную роль играет объем поражения легких в острый период заболевания. Стоит отметить, что возникновение ОП отмечалось и в случаях среднетяжелого течения острой фазы COVID-19 без выраженной дыхательной недостаточности [19]. В ряде работ описаны случаи развития ОП после перенесенной инфекции COVID-19 у иммунокомпрометированных пациентов [19–21].
Необходимо отметить, что остается отрытым вопрос: является ли пост-COVID-19-ОП вариантом и, таким образом, продолжением течения COVID-19 или отдельным процессом, в котором инфекция вирусом SARS-CoV-2 играет роль триггера? Рядом авторов предположено развитие ОП до наступления клинического выздоровления от COVID-19 [20, 22]. Это подтверждено в исследовании M. Copin и соавт., выявивших гистологическую картину фибринозной ОП у 5 пациентов на 20-й день заболевания (по данным аутопсии) [23]. В свою очередь, клинические признаки ОП в большинстве наблюдений появляются после определенного «светлого» промежутка без клинических признаков инфекции [19]. Как и в типичных случаях ОП, наиболее эффективной является терапия ГКС [24, 25]. В то время как длительное персистирование симптоматики ведет к продолжению терапии ГКС и (при необходимости) кислородной поддержки, наличие «светлого» промежутка может имитировать выздоровление пациента. После прекращения лечения острой инфекции или выписки пациента из стационара необходимо тщательное дальнейшее наблюдение для своевременной диагностики ОП. Вне зависимости от длительности «светлого» промежутка и патогенеза пост-COVID-19-ОП врачу-клиницисту стоит заподозрить данное заболевание при длительном персистировании жалоб на малопродуктивный кашель, одышку, лихорадку или их нарастании после выздоровления от острой COVID-19. Пациентам, перенесшим заболевание в тяжелой форме, после выздоровления необходим контроль функции дыхания, КТ и маркеров воспаления для исключения развития пост-COVID-19-ОП.
Стоит указать, что развитие пост-COVID-19-ОП может иметь место у пациентов с предшествующей патологией легких, в частности с ИЗЛ. Клинико-рентгенологические проявления обострения ИЗЛ имеют много общих черт с коронавирусной инфекцией и пост-COVID-19-ОП: все они могут манифестировать с лихорадки, резкого нарастания одышки и появления новых обширных зон «матового стекла» по данным КТ органов грудной клетки при исключении тромбоэмболии легочной артерии и внелегочных причин десатурации [26, 27]. В настоящее время эффективной терапии обострений ИЗЛ не разработано. Для лечения пациентов применяют высокие дозы системных ГКС в режиме монотерапии или в комбинации с антибактериальными препаратами [28]. В небольших обсервационных исследованиях показана эффективность такролимуса или циклоспорина в комбинации с пульс-терапией ГКС [29, 30]. Тем не менее ОП характеризуются лучшим ответом на терапию ГКС, чем обострение других ИЗЛ [31–33]. Таким образом, наличие у пациентов исходного ИЗЛ ставит перед врачом ряд дополнительных проблем.
Опубликован ряд клинических наблюдений пациентов с пост-COVID-19-ОП, в которых показана эффективность применения системных ГКС в лечении легочного процесса [34]. Одним из самых крупных на данный момент исследований пост-COVID-19-ОП является английское одноцентровое проспективное исследование, включающее 30 пациентов с развившейся ОП после перенесенного острого COVID-19. По данным исследования показано, что в результате терапии преднизолоном в стартовой дозе 0,5 мг/кг с последующим снижением в течение 3 нед до полной отмены у пациентов достигнуто существенное улучшение самочувствия и функциональных легочных параметров [21]. Терапия цитостатиками и макролидами при пост-COVID-19-ОП до настоящего времени не изучалась.
Заключение
Пост-COVID-19-ОП является одним из наиболее значимых проявлений посткоронавирусного синдрома, в большинстве случаев требующим специализированного лечения. К сожалению, из-за низкой осведомленности врачей относительно данной патологии, с одной стороны, и напряженной эпидемиологической обстановки – с другой, пост-COVID-19 ОП может иметь негативные социально-экономические последствия. Зачастую у пациентов с лихорадкой КТ-картина ОП трактуется однозначно как коронавирусная пневмония, и их госпитализируют, иногда неоднократно, в инфекционные стационары, проводя дорогостоящую терапию, в том числе генно-инженерными биологическими препаратами. Все это создает дополнительную нагрузку на систему здравоохранения, а также приносит пациенту неудобства из-за пребывания в закрытом стационаре в психологически некомфортных условиях.
Методичный сбор информации о вариантах течения и распространенности пост-COVID-19-ОП, а также факторах риска ее развития и эффективности различных видов иммуносупрессивной и противовоспалительной терапии поможет в будущем более полно охарактеризовать данную патологию и разработать оптимальные схемы ее лечения.
Раскрытие интересов. Авторы декларируют отсутствие явных и потенциальных конфликтов интересов, связанных с публикацией настоящей статьи.
Disclosure of interest. The authors declare that they have no competing interests.
Вклад авторов. Авторы декларируют соответствие своего авторства международным критериям ICMJE. Все авторы в равной степени участвовали в подготовке публикации: разработка концепции статьи, получение и анализ фактических данных, написание и редактирование текста статьи, проверка и утверждение текста статьи.
Authors’ contribution. The authors declare the compliance of their authorship according to the international ICMJE criteria. All authors made a substantial contribution to the conception of the work, acquisition, analysis, interpretation of data for the work, drafting and revising the work, final approval of the version to be published and agree to be accountable for all aspects of the work.
Источник финансирования. Авторы декларируют отсутствие внешнего финансирования для проведения исследования и публикации статьи.
Funding source. The authors declare that there is no external funding for the exploration and analysis work.
Информированное согласие на публикацию. Пациент подписал форму добровольного информированного согласия на публикацию медицинской информации 21.03.2021.
Consent for publication. Written consent was obtained from the patient for publication of relevant medical information and all of accompanying images within the manuscript, 03/21/2021.
Соответствие принципам этики. Протокол исследования был одобрен локальным этическим комитетом «Клинико-лабораторная и рентгенологическая характеристика интерстициальной пневмонии с аутоиммунными признаками», протокол заседания №22-21. Одобрение и процедуру проведения протокола получали по принципам Хельсинкской конвенции.
Ethics approval. The study was approved by the local ethics committee of “Clinical, laboratory and radiological characteristics of interstitial pneumonia with autoimmune signs”, No. 22-21. The approval and procedure for the protocol were obtained in accordance with the principles of the Helsinki Convention.
About the authors
Larisa A. Akulkina
Sechenov First Moscow State Medical University (Sechenov University)
Email: anastasia.schepalina@yandex.ru
ORCID iD: 0000-0002-4307-8882
ассистент каф. внутренних, профессиональных болезней и ревматологии Института клинической медицины им. Н.В. Склифосовского, врач-пульмонолог Клиники ревматологии, внутренних и профессиональных болезней им. Е.М. Тареева Университетской клинической больницы №3
Russian Federation, MoscowAnastasia A. Shchepalina
Sechenov First Moscow State Medical University (Sechenov University)
Author for correspondence.
Email: anastasia.schepalina@yandex.ru
ORCID iD: 0000-0002-1826-0519
аспирант каф. внутренних, профессиональных болезней и ревматологии Института клинической медицины им. Н.В. Склифосовского
Russian Federation, MoscowAram A. Kitbalian
Sechenov First Moscow State Medical University (Sechenov University); Lomonosov Moscow State University
Email: anastasia.schepalina@yandex.ru
ORCID iD: 0000-0003-0546-988X
врач-пульмонолог Клиники ревматологии, внутренних и профессиональных болезней им. Е.М. Тареева Университетской клинической больницы №3, аспирант каф. внутренних болезней фак-та фундаментальной медицины
Russian Federation, Moscow; MoscowPavel P. Potapov
Sechenov First Moscow State Medical University (Sechenov University); Lomonosov Moscow State University
Email: anastasia.schepalina@yandex.ru
ORCID iD: 0000-0003-4366-2832
врач-пульмонолог Клиники ревматологии, внутренних и профессиональных болезней им. Е.М. Тареева Университетской клинической больницы №3, аспирант каф. внутренних болезней фак-та фундаментальной медицины
Russian Federation, Moscow; MoscowAlexey S. Moiseev
Sechenov First Moscow State Medical University (Sechenov University); Lomonosov Moscow State University
Email: anastasia.schepalina@yandex.ru
ORCID iD: 0000-0002-5296-7622
врач-пульмонолог отд-ния пульмонологии и профпатологии Клиники ревматологии, внутренних и профессиональных болезней им. Е.М. Тареева Университетской клинической больницы №3, аспирант каф. внутренних болезней фак-та фундаментальной медицины
Russian Federation, Moscow; MoscowMikhail Yu. Brovko
Sechenov First Moscow State Medical University (Sechenov University)
Email: anastasia.schepalina@yandex.ru
ORCID iD: 0000-0003-0023-2701
канд. мед. наук, доц. каф. внутренних, профессиональных болезней и ревматологии Института клинической медицины, зам. глав. врача по мед. части, врач-пульмонолог Университетской клинической больницы №3
Russian Federation, MoscowVictoria I. Sholomova
Sechenov First Moscow State Medical University (Sechenov University)
Email: anastasia.schepalina@yandex.ru
ORCID iD: 0000-0002-8785-7968
канд. мед. наук, зав. отд-нием пульмонологии и профпатологии Клиники ревматологии, внутренних и профессиональных болезней им. Е.М. Тареева Университетской клинической больницы №3, ассистент каф. внутренних, профессиональных болезней и ревматологии Института клинической медицины им. Н.В. Склифосовского
Russian Federation, MoscowSergey V. Moiseev
Sechenov First Moscow State Medical University (Sechenov University); Lomonosov Moscow State University
Email: anastasia.schepalina@yandex.ru
ORCID iD: 0000-0002-7232-4640
д-р мед. наук, проф. каф. внутренних профессиональных болезней и ревматологии Института клинической медицины, дир. Клиники ревматологии, внутренних и профессиональных болезней им. Е.М. Тареева Университетской клинической больницы №3, проф. каф. внут- ренних болезней фак-та фундаментальной медицины
Russian Federation, Moscow; MoscowReferences
- Wang MY, Zhao R, Gao LJ, et al. SARS-CoV-2: Structure, Biology, and Structure-Based Therapeutics Development. Front Cell Infect Microbiol. 2020;10:587269. doi: 10.3389/fcimb.2020.587269
- Wu Z, McGoogan JM. Characteristics of and Important Lessons From the Coronavirus Disease 2019 (COVID-19) Outbreak in China: Summary of a Report of 72 314 Cases From the Chinese Center for Disease Control and Prevention. JAMA. 2020;323(13):1239-42. doi: 10.1001/jama.2020.2648
- Gao YD, Ding M, Dong X, et al. Risk factors for severe and critically ill COVID-19 patients: A review. Allergy. 2021;76(2):428-55. doi: 10.1111/all.14657
- Johns Hopkins University & Medicine, Coronovirus Resource Center. Available at: https://coronavirus.jhu.edu/. Accessed 10/21/2021.
- World Health Organization. A clinical case definition of post COVID-19 condition by a Delphi consensus. 6 October 2021. Available at: WHO/2019-nCoV/Post_COVID-19_condition/Clinical_case_definition/2021. Accessed 10/21/2021.
- Lopez-Leon S, Wegman-Ostrosky T, Perelman C, et al. More than 50 Long-term effects of COVID-19: a systematic review and meta-analysis. medRxiv. 2021:2021.01.27.21250617. doi: 10.1101/2021.01.27.21250617
- Mo X, Jian W, Su Z, et al. Abnormal pulmonary function in COVID-19 patients at time of hospital discharge. Eur Respir J. 2020;55:2001217. doi: 10.1183/13993003.01217-2020
- Daher A, Balfanz P, Cornelissen C, et al. Follow up of patients with severe coronavirus disease 2019 (COVID-19): Pulmonary and extrapulmonary disease sequelae. Respir Med. 2020;174:106197. doi: 10.1016/j.rmed.2020.106197
- Zhao YM, Shang YM, Song WB, et al. Follow-up study of the pulmonary function and related physiological characteristics of COVID-19 survivors three months after recovery. EClinicalMedicine. 2020;25:100463. doi: 10.1016/j.eclinm.2020.100463
- Huang C, Huang L, Wang Y, et al. 6-month consequences of COVID-19 in patients discharged from hospital: a cohort study. Lancet. 2021;397(10270):220-232. doi: 10.1016/S0140-6736(20)32656-8
- Gulati A, Lakhani P. Interstitial lung abnormalities and pulmonary fibrosis in COVID-19 patients: a short-term follow-up case series. Clin Imaging. 2021;77:180-6. doi: 10.1016/j.clinimag.2021.03.030
- McGroder CF, Zhang D, Choudhury MA, et al. Pulmonary fibrosis 4 months after COVID-19 is associated with severity of illness and blood leucocyte telomere length. Thorax. 2021:thoraxjnl-2021-217031. doi: 10.1136/thoraxjnl-2021-217031
- Funk GC, Nell C, Pokieser W, et al. Organizing pneumonia following Covid19 pneumonia. Wien Klin Wochenschr. 2021;133(17-8):979-82. doi: 10.1007/s00508-021-01852-9
- Hwang DM, Chamberlain DW, Poutanen SM, et al. Pulmonary pathology of severe acute respiratory syndrome in Toronto. Mod Pathol. 2005;18:1-10. doi: 10.1038/modpathol.3800247
- Yao HM, Zuo W, Wang XL, Zhang W. Findings on cryptogenic organizing pneumonia: a case report and literature review. J Int Med Res. 2020;48(4):300060520920068. doi: 10.1177/0300060520920068
- Zare Mehrjardi M, Kahkouee S, Pourabdollah M. Radio-pathological correlation of organizing pneumonia (OP): a pictorial review. Br J Radiol. 2017;90(1071):20160723. doi: 10.1259/bjr.20160723
- Cottin V, Cordier JF. Cryptogenic organizing pneumonia. Semin Respir Crit Care Med. 2012;33(5):462-75. doi: 10.1055/s-0032-1325157
- Greenhalgh T, Knight M, A'Court C, et al. Management of post-acute covid-19 in primary care. BMJ. 2020;370:m3026. doi: 10.1136/bmj.m3026
- Golbets E, Kaplan A, Shafat T, et al. Secondary Organizing Pneumonia After Recovery of Mild COVID-19 Infection. J Med Virol. 2021;94(1):417-23. doi: 10.1002/jmv.27360
- Corvol H, Alimi A, Prevost B, et al. Atypical severe organizing pneumonia following COVID-19 in an immunocompromised teenager. Clin Infect Dis. 2021;76(2):201-4. doi: 10.1136/thoraxjnl-2020-216088
- Myall KJ, Mukherjee B, Castanheira AM, et al. Persistent Post-COVID-19 Interstitial Lung Disease. An Observational Study of Corticosteroid Treatment. Ann Am Thorac Soc. 2021;18(5):799-806. doi: 10.1513/AnnalsATS.202008-1002OC
- Okamori S, Lee H, Kondo Y, et al. Coronavirus disease 2019-associated rapidly progressive organizing pneumonia with fibrotic feature: Two case reports. Medicine (Baltimore). 2020;99(35):e21804. doi: 10.1097/MD.0000000000021804
- Copin MC, Parmentier E, Duburcq T, et al. Time to consider histologic pattern of lung injury to treat critically ill patients with COVID-19 infection. Intensive Care Med. 2020;46(6):1124-6. doi: 10.1007/s00134-020-06057-8
- de Oliveira Filho CM, Vieceli T, de Fraga Bassotto C, et al. Organizing pneumonia: A late phase complication of COVID-19 responding dramatically to corticosteroids. Braz J Infect Dis. 2021;25(1):101541. doi: 10.1016/j.bjid.2021.101541
- Vadász I, Husain-Syed F, Dorfmüller P, et al. Severe organising pneumonia following COVID-19. Thorax. 2021;76(2):201-204. doi: 10.1136/thoraxjnl-2020-216088
- Kim DS, Park JH, Park BK, et al. Acute exacerbation of idiopathic pulmonary fibrosis: frequency and clinical features. Eur Respir J. 2006;27:143. doi: 10.1183/09031936.06.00114004
- Tachikawa R, Tomii K, Ueda H, et al. Clinical features and outcome of acute exacerbation of interstitial pneumonia: collagen vascular diseases-related versus idiopathic. Respiration. 2012;83:20. doi: 10.1159/000329893
- Park IN, Kim DS, Shim TS, et al. Acute exacerbation of interstitial pneumonia other than idiopathic pulmonary fibrosis. Chest. 2007;132:214. doi: 10.1378/chest.07-0323
- Horita N, Akahane M, Okada Y, et al. Tacrolimus and steroid treatment for acute exacerbation of idiopathic pulmonary fibrosis. Intern Med. 2011;50:189. doi: 10.2169/internalmedicine.50.4327
- Inase N, Sawada M, Ohtani Y, et al. Cyclosporin A followed by the treatment of acute exacerbation of idiopathic pulmonary fibrosis with corticosteroid. Intern Med. 2003;42:565. doi: 10.2169/internalmedicine.42.565
- Song JW, Hong SB, Lim CM, et al. Acute exacerbation of idiopathic pulmonary fibrosis: incidence, risk factors and outcome. Eur Respir J. 2011;37:356. doi: 10.1183/09031936.00159709
- Miyazaki Y, Tateishi T, Akashi T, et al. Clinical predictors and histologic appearance of acute exacerbations in chronic hypersensitivity pneumonitis. Chest. 2008;134:1265. doi: 10.1378/chest.08-0866
- Suda T, Kaida Y, Nakamura Y, et al. Acute exacerbation of interstitial pneumonia associated with collagen vascular diseases. Respir Med. 2009;103:846. doi: 10.1016/j.rmed.2008.12.019
- Vadász I, Husain-Syed F, Dorfmüller P, et al. Severe organising pneumonia following COVID-19. Thorax. 2021;76(2):201-4. doi: 10.1136/thoraxjnl-2020-216088
Supplementary files





