Новый подход в диагностике поражения легких у пациентов с COVID-19: протокол проведения УЗИ легких в сопоставлении с КТ органов грудной клетки
- Авторы: Саидова М.А.1, Авалян А.А.1, Галаева М.А.1, Белькинд М.Б.1
-
Учреждения:
- ФГБУ «Национальный медицинский исследовательский центр кардиологии им. акад. Е.И. Чазова» Минздрава России
- Выпуск: Том 94, № 4 (2022)
- Страницы: 485-490
- Раздел: Оригинальные статьи
- Статья получена: 25.05.2022
- Статья одобрена: 25.05.2022
- Статья опубликована: 26.05.2022
- URL: https://ter-arkhiv.ru/0040-3660/article/view/108214
- DOI: https://doi.org/10.26442/00403660.2022.04.201456
- ID: 108214
Цитировать
Полный текст
Аннотация
Цель. Разработать протокол ультразвуковой диагностики пневмонии, вызванной SARS-CoV-2, и оценить диагностические возможности метода в сопоставлении с данными компьютерной томографии (КТ) органов грудной клетки.
Материалы и методы. В исследование включены 59 пациентов с новой коронавирусной инфекцией. С целью выявления изменений легочной ткани, характерных для новой коронавирусной инфекции, применялся специальный протокол ультразвукового исследования (УЗИ) легких, который разработан нами таким образом, чтобы полученные данные посегментно сопоставлялись с результатами КТ легких.
Результаты. При сопоставлении результатов УЗИ легких с данными КТ-диагностики согласно новому протоколу процент поражения легочной ткани при УЗИ легких в среднем по группе составил 70,8% [62,5; 87,5], а по результатам КТ органов грудной клетки – 70,0% [60,0; 72,5] (p=0,427). Таким образом, ультразвуковая картина поражения легких практически полностью соответствовала изменениям, выявленным по данным КТ органов грудной клетки. С целью оценки диагностической значимости УЗИ легких в выявлении тяжелого поражения легочной ткани, соответствующей картине КТ-3–4, у обследованных пациентов проведен ROC-анализ, который показал высокую диагностическую ценность УЗИ легких в выявлении тяжелого поражения легочной ткани.
Заключение. В проведенной нами работе разработан новый протокол оценки тяжести поражения легочной ткани по данным УЗИ, который показал высокую диагностическую ценность в выявлении пневмонии, вызванной новой коронавирусной инфекцией, в сопоставлении с данными КТ. Полученные результаты дают основание рекомендовать данный протокол УЗИ легких как высокочувствительный метод в диагностике тяжести пневмонии, вызванной SARS-CoV-2. Применение его весьма актуально для динамического обследования больных, особенно в условиях малой доступности КТ.
Полный текст
Список сокращений
ИЛ – интерлейкин
КТ – компьютерная томография
СРБ – С-реактивный белок
УЗ – ультразвуковой
УЗИ – ультразвуковое исследование
Актуальность
В декабре 2019 г. в Китае, провинция Хубэй, г. Ухань, началась вспышка пневмонии, вызванная новой коронавирусной инфекцией (SARS-CoV-2), которая позже идентифицирована как COVID-19 [1]. COVID-19 – это респираторное вирусное заболевание, с клиническими проявлениями, напоминающими вирусную пневмонию (лихорадка, кашель, одышка и др.). Одной из особенностей COVID-19 является высокая контагиозность, в связи с чем за короткий промежуток времени данное заболевание получило широкое распространение по всему миру. К 2 июля 2020 г. из-за глобальной пандемии во всем мире зарегистрировано более 10 млн случаев заболевания COVID-19 и более 500 тыс. случаев летального исхода [2]. Наиболее восприимчивыми к вирусу оказались люди старше 60 лет, особенно при наличии в анамнезе хронических заболеваний сердечно-сосудистой, дыхательной систем, системы кроветворения и др. Основным источником инфекции является не только пациент с клинической симптоматикой заболевания, но и человек, находящийся в инкубационном периоде, и вирусоноситель без клинической симптоматики [3].
Диагноз COVID-19 ставится на основании клинических данных и эпидемиологического анамнеза пациента. При появлении симптомов, характерных для COVID-19, необходимо лабораторное подтверждение диагноза с помощью метода амплификации нуклеиновых кислот как метода полимеразной цепной реакции с обратной транскрипцией [3].
Предварительные данные по диагностике новой коронавирусной инфекции показали, что на сегодняшний день мультиспиральная компьютерная томография (КТ) грудной клетки с высоким разрешением является «золотым стандартом» диагностики поражения легких при COVID-19 [4, 5]. Характерными признаками COVID-19 на мультиспиральной КТ являются: наличие участков уплотнения легочной ткани по типу «матового стекла», ретикулярные изменения и консолидация [4]. В связи с высоким уровнем смертности от новой коронавирусной инфекции возникла острая необходимость в оперативной оценке степени поражения легких у пациентов с COVID-19, что в свою очередь ограничивает применение КТ грудной клетки. Одним из основных ограничений КТ является меньшая доступность метода в отдельных медицинских организациях, городах и регионах, а также недоступность исследования для части пациентов, находящихся на искусственной вентиляции легких [3].
В последние годы показано, что ультразвуковое исследование (УЗИ) легких дает возможность предположить интерстициальные заболевания легких, а также острый респираторный дистресс-синдром различной этиологии [6, 7]. Таким образом, экспертами различных национальных и международных сообществ принято решение, что УЗИ легких может применяться как в качестве высокочувствительного метода диагностики пневмонии, вызванной COVID-19, так и для мониторирования и дальнейшего наблюдения за пациентами [3, 8, 9].
Цель исследования – разработать протокол ультразвуковой (УЗ) диагностики пневмонии, вызванной SARS-CoV-2, и оценить диагностические возможности метода в сопоставлении с данными КТ органов грудной клетки.
Материалы и методы
В исследование включены 59 пациентов с новой коронавирусной инфекцией, госпитализированных в перепрофилированный COVID-центр ФГБУ «НМИЦ кардиологии им. акад. Е.И. Чазова». У всех включенных в исследование диагноз COVID-19 подтвержден положительными результатами мазка со слизистой оболочки носоглотки и ротоглотки методом полимеразной цепной реакции. Средний возраст пациентов составил 69 [60; 85] лет.
Из 59 пациентов у 36 (16 женщин и 20 мужчин) проведено тщательное сопоставление данных УЗИ легких с результатами КТ органов грудной клетки. Средний возраст этих пациентов составил 67 [59; 82] лет. Из 36 пациентов 23 старше 60 лет, их возраст составил 72 [60; 84] года.
УЗИ легких проводилось в «красной зоне» врачами УЗ-диагностики с использованием рекомендованных Минздравом России средств индивидуальной защиты. Исследование выполнялось на портативном УЗ-приборе GE Healthcare (США) в положении пациента лежа на боку, на животе и на спине, в В-режиме с использованием конвексного датчика с частотой ультразвука 7–10 МГц для исследования поверхностных структур и частотой 2,5–5 МГц для визуализации глубоко лежащих структур.
При УЗИ легких оценивались наличие А-линий, количество В-линий, признак «стратосферы»/»штрих-код», субплевральные консолидации, гепатизация легких и наличие аэробронхограмм.
С целью выявления изменений легочной ткани, характерных для новой коронавирусной инфекции, применялся специальный протокол, который разработан нами таким образом, чтобы полученные данные посегментно сопоставлялись с результатами КТ легких. Таким образом, на основе разработанного протокола проводилась оценка 16 зон легких: для правого легкого зона RI на УЗИ соответствовала зоне СIII на КТ, RII–СV, RIII–СII,III, RIV–СIV, RV–СII,VI, RVI–СVIII,IX, RVII–СVI, RVIII–СX, а для левого легкого – зона LI–СIII, LII–СIV,V, LIII–СIII,IV, LIV–СV, LV–СII,VI, LVI– СVIII,IX, LVII–СVI, LVIII–СX (рис. 1).
Рис. 1. Пример протокола УЗИ легких с оценкой тяжести поражения. / Fig. 1. An example of a lung ultrasound protocol with an assessment of the severity of the lesion.
Также нами разработана балльная шкала оценки тяжести поражения легочной ткани с максимальным итоговым баллом, равным 48, что соответствовало 100% поражению легких.
Баллы ставились следующим образом:
- 0 – нормальная аэрация (А-линии);
- 1 – умеренное снижение аэрации (В-линии <50% от УЗ-поля) с ровной плевральной линией;
- 1р – умеренное снижение аэрации (В-линии <50% от УЗ-поля) с неровностью плевральной линии;
- 2 – выраженное снижение аэрации (В-линии <50% от УЗ-поля) с утолщением плевральной линии;
- 2р – выраженное снижение аэрации (В-линии <50% от УЗ-поля) с субплевральными консолидациями;
- 3 – отсутствие аэрации (множественные В-линии – «белое легкое»), транслобарные консолидации, аэробронхограммы.
Следует отметить, что у пациентов, которые находятся в «прон-позиции», проведение УЗИ легких в передних сегментах (RI,II и LI,II) затруднено, в то время как у пациентов, подключенных к аппарату искусственной вентиляции легких, проведение УЗИ затруднено в задних сегментах легких (RVII,VIII и LVII,VIII). Таким образом, с учетом количества сегментов, доступных для исследования (12 сегментов из 16), итоговый балл меняется (36 баллов из максимальных 48).
КТ грудной клетки выполнялась на томографе Toshiba Aquilion One, в нативную фазу. Толщина среза составила 0,5 мм, напряжение тока на трубке – 120 кВ, сила тока – 150 мА. Лучевая нагрузка на каждого пациента составила в среднем по 1,5–1,8 мЗв на одно исследование. Изображения оценивались на специализированной рабочей станции Vitrea. Каждое исследование анализировалось двумя врачами-рентгенологами.
Также у всех пациентов в сыворотке крови определялась концентрация С-реактивного белка (СРБ) и прокальцитонина. В клиническом анализе крови определялась развернутая лейкоцитарная формула.
Статистический анализ данных
Статистический анализ проводился с помощью пакета программ Statistica, версия 10 (StatSoft, США) и Medcalc, версия 5,0. Результаты представлены в виде медианы (Ме) с 25 и 75-м процентилями. Данные между собой сравнивались с помощью параметров непараметрической статистики. Статистически значимыми считались различия при p<0,05.
Оценка корреляционных связей между парами количественных признаков осуществлялась с использованием непараметрического рангового коэффициента Спирмена.
Для оценки диагностической значимости УЗИ легких в оценке площади поражения легочной ткани применялся ROC-анализ. В качестве критерия диагностической значимости рассчитывали площадь под ROC-кривой, чувствительность и специфичность разделяющего значения.
Результаты
Из 59 пациентов, включенных в исследование, у 36 проводилось тщательное посегментное сопоставление результатов УЗИ легких с данными КТ-диагностики согласно разработанному протоколу.
У всех пациентов (n=36) отмечались клинические симптомы COVID-19: повышение температуры тела – у 33 (91,7%) пациентов, кашель – у 27 (75,0%) пациентов, одышка – у 17 (47,2%) пациентов, слабость – у 23 (63,8%) пациентов, диарея – у 7 (19,4%) пациентов, потеря обоняния и вкуса – у 6 (16,6%) пациентов; табл. 1.
Таблица 1. Клиническая характеристика пациентов (n=36) / Table 1. Clinical characteristics of patients (n=36)
Параметр | Значение |
Пол, абс. (%) | |
Женщины | 16 (44,4) |
Мужчины | 20 (55,6) |
Возраст, лет | 67 [59; 82] |
Симптомы, абс. (%) | |
Повышение температуры тела | 33 (91,7) |
Кашель | 27 (75,0) |
Одышка | 17 (47,2) |
Слабость | 23 (63,8) |
Диарея | 7 (19,4) |
Потеря обоняния и вкуса | 6 (16,6) |
Примечание. Данные представлены в виде числа пациентов и процентов (в скобках), для возраста – в виде медианы с 25 и 75-м процентилями.
При сопоставлении результатов УЗИ легких с данными КТ-диагностики согласно новому протоколу процент поражения легочной ткани при УЗИ легких в среднем по группе составил 70,8% [62, 5; 87, 5], а по результатам КТ органов грудной клетки – 70,0% [60, 0; 72, 5] (p=0,427). Таким образом, УЗ-картина поражения легких практически полностью соответствовала изменениям, выявленным по данным КТ органов грудной клетки.
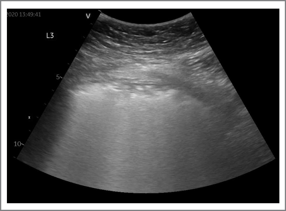
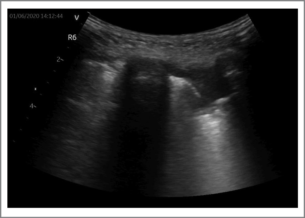
По данным УЗ-протокола у подавляющего большинства (n=33; 91,6%) пациентов прослеживались В-линии. У 26/36 (72,2%) пациентов выявлены патологические изменения в легких в виде участков консолидации (рис. 2). У 6/36 (16,6%) пациентов по данным УЗИ определялись изменения по типу «белое легкое», что соответствовало картине КТ-3–4 (рис. 3). Согласно данным литературы считается, что наличие консолидаций соответствует более тяжелому поражению легких по сравнению с множественными В-линиями [2, 8]. Однако мы, основываясь на собственном опыте, с учетом клинической картины, КТ-диаг- ностики и лабораторных данных отнесли изменения по типу сливных В-линий – «белого легкого» – к наиболее тяжелым поражениям у пациентов с COVID-19. Также к наиболее тяжелому поражению легких можно отнести сочетание отсутствия аэрации («белое легкое») с транслобарными консолидациями и аэробронхограммами.
Рис. 2. УЗИ легких у пациента с COVID-19. На рис. представлены субплевральные консолидации. / Fig. 2. Lung ultrasound in a patient with COVID-19. The figure shows subpleural consolidations.
Рис. 3. УЗИ легких у пациента с COVID-19. На рис. представлены изменения по типу «белое легкое». / Fig. 3. Lung ultrasound in a patient with COVID-19. The figure shows changes of the "white lung" type.
У небольшого числа (11,1%) пациентов на УЗИ легких определялись такие признаки, как гепатизация, аэробронхограммы и признак «стратосферы»/штрих-код».
С целью оценки диагностической значимости УЗИ легких в выявлении тяжелого поражения легочной ткани, соответствующей картине КТ-3–4, у обследованных больных проведен ROC-анализ. При отрезном значении ≥58,0% продемонстрирована высокая диагностическая ценность УЗИ легких в выявлении тяжелого поражения легочной ткани (рис. 4).
Рис. 4. Диагностическая значимость УЗИ легких в выявлении тяжелого поражения легочной ткани. Чувствительность составила 94,7%, а специфичность – 85,7% (площадь под кривой – 0,853; 95% доверительный интервал – 0,660–0,959). / Fig. 4. Diagnostic value of lung ultrasound in detecting severe damage to the lung tissue. Sensitivity was 94.7% and specificity was 85.7% (area under the curve, 0.853; 95% confidence interval, 0.660–0.959).
При лабораторном исследовании крови у большинства пациентов с COVID-19 отмечалось повышение уровня СРБ, который составил в среднем 108,2 [44, 6; 177, 6] мг/л, также отмечалось одновременное увеличение концентрации интерлейкина (ИЛ)-6 в среднем до 114,2 [69, 1; 2206] пг/мл.
Уровень прокальцитонина в среднем по группе составил 0,25 [0, 01; 0, 6] мкг/л, что свидетельствовало о низком риске присоединения бактериальной инфекции. Однако следует отметить, что у части пациентов уровень прокальцитонина >0,5 мкг/л, что сопровождалось присоединением бактериальной инфекции и, следовательно, более тяжелым течением болезни (COVID-19).
Корреляционный анализ для маркеров воспаления (СРБ и ИЛ-6) и площадь поражения легочной ткани по данным УЗИ легких выявили достоверные положительные корреляционные связи (табл. 2).
Таблица 2. Данные корреляционного анализа для маркеров воспаления (СРБ и ИЛ-6) и площадь поражения легочной ткани по данным УЗИ легких у пациентов с COVID-19 / Table 2. Correlation analysis data for inflammatory markers (C-reactive protein and interleukin-6) and area of lung tissue damage according to lung ultrasound in patients with COVID-19
Площадь поражения легочной ткани по данным УЗИ легких | ||
Пациенты с COVID-19 | ||
r | р | |
СРБ | 0,28 | <0,05 |
ИЛ-6 | 0,37 | <0,05 |
Примечание. Корреляционный анализ Spearman rank R.
Для демонстрации работы нового протокола ниже приводим клинический пример.
Пациентка К., 36 лет, с диагнозом «острый миелоидный лейкоз, астроцитома головного мозга, состояние после удаления опухоли, лучевой и химиотерапии», на протяжении 2 нед находилась в контакте с подтвержденным COVID-19 пациентом. Отмечала повышение температуры тела до 38,2°С с последующей нормализацией в течение недели. Через несколько дней начал беспокоить насморк (ринорея), ощущение потери вкуса и запаха, в связи с чем взят мазок на COVID-19, и с положительным результатом мазка пациентка доставлена в перепрофилированный COVID-центр ФГБУ «НМИЦ кардиологии им. акад. Е.И. Чазова».
При поступлении: по данным лабораторной диагностики – лимфопения и тромбоцитопения в общем анализе крови, повышение СРБ до 144 мг/л и D-димера до 3316 нг/мл.
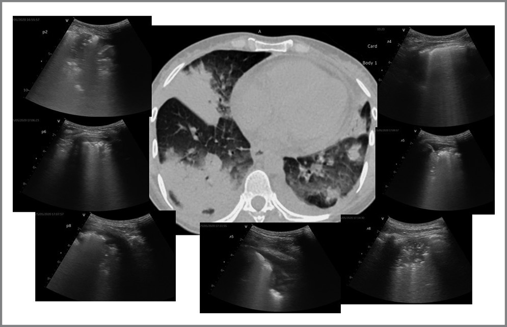
По данным УЗИ легких: УЗ-признаки двустороннего инфильтративного поражения легких, выраженного преимущественно в виде крупных транслобарных консолидаций в нижних сегментах обоих легких. В верхних отделах обоих легких отмечаются минимальные изменения (рис. 5).
Рис. 5. Сопоставление УЗИ легких с данными КТ согласно разработанному протоколу у пациента с COVID-19 при поступлении в стационар. / Fig. 5. Comparison of lung ultrasound with CT data according to the developed protocol in a patient with COVID-19 upon admission to the hospital.
На КТ органов грудной клетки: двусторонние инфильтративные изменения легких (высокая вероятность COVID-19-пневмонии, нельзя исключить двустороннюю пневмонию смешанного генеза), тяжелая степень поражения легких (КТ-3). Процент поражения легких составляет 60–70%.
В динамике: по данным лабораторной диагностики – лимфопения и тромбоцитопения в общем анализе крови, снижение СРБ до 10 мг/л и D-димера до 885 нг/мл.
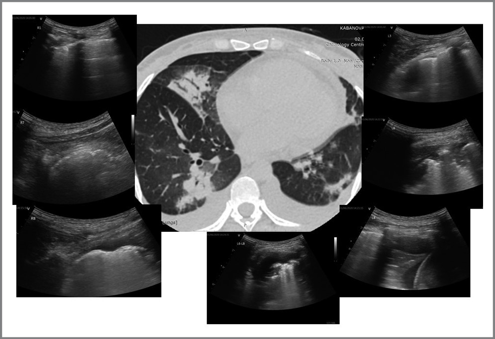
По данным УЗИ легких: при повторном УЗИ легких отмечается положительная динамика – уменьшение распространенности и выраженного инфильтративного поражения легких (рис. 6).
Рис. 6. Сопоставление УЗИ легких с данными КТ согласно разработанному протоколу у пациента с COVID-19 в динамике. / Fig. 6. Comparison of lung ultrasound with CT data according to the developed protocol in a patient with COVID-19 in dynamics.
На КТ органов грудной клетки: двусторонние участки консолидации и интерстициальных изменений в паренхиме легких смешанного характера. Описанные изменения соответствуют среднетяжелой степени поражения (КТ-2); положительная динамика (рис. 6).
Обсуждение
Ранняя диагностика и оказание квалифицированной помощи пациентам с COVID-19 на сегодняшний день являются одними из важных задач здравоохранения [10]. По настоящее время уровень заболеваемости во всем мире остается высоким, что диктует необходимость как дальнейшего изучения COVID-19, так и разработки новых средств лечения и профилактики [3, 11].
Одним из частых клинических проявлений COVID-19 является двусторонняя вирусная пневмония, однако в отличие от других вирусных пневмоний при COVID-19 у большей части пациентов отмечается развитие гиперкоагуляционного синдрома [1, 3, 11].
По данным отечественных и мировых временных рекомендаций, КТ органов грудной клетки обладает высокой чувствительностью в выявлении пневмонии, вызванной SARS-CoV-2 [1, 3].
По данным литературы, при невозможности проведения КТ органов грудной клетки рекомендовано проведение УЗИ легких, которое также обладает высокой чувствительностью в выявлении пневмонии, вызванной COVID-19 [3, 12–14]. На сегодняшний день существуют разные протоколы УЗИ легких у пациентов с COVID-19. В проведенной работе нами разработан специальный протокол УЗИ легких, который максимально соответствовал зонам, исследуемым на КТ. Новый протокол УЗИ легких основан с учетом клинической картины, КТ-диагностики и лабораторных данных. Таким образом, в нашем исследовании при оценке площади поражения легочной ткани результаты УЗИ легких сопоставимы с данными КТ.
Проведенный ROC-анализ с чувствительностью 94,7% и специфичностью 85,7% (при отрезном значении ≥58,0%) показал высокую диагностическую ценность УЗИ легких в выявлении тяжелого поражения легочной ткани.
У всех пациентов отмечалось повышение уровня СРБ и ИЛ-6, которые являются основными маркерами воспаления и коррелируют с тяжестью течения заболевания [3, 11].
В проведенной работе уровень прокальцитонина в среднем по группе находился в переделах референсных значений и составил в 0,25 мкг/л. По данным литературы, прокальцитонин при COVID-19 с поражением респираторных отделов легких находится в пределах допустимых значений, а его повышение свидетельствует о присоединении бактериальной инфекции [3].
Заключение
В проведенной нами работе разработан новый протокол оценки тяжести поражения легочной ткани по данным УЗИ, который показал высокую диагностическую ценность в выявлении пневмонии, вызванной новой коронавирусной инфекцией, в сопоставлении с данными КТ органов грудной клетки. Полученные результаты дают основание рекомендовать данный протокол УЗИ легких как высокочувствительный метод в диагностике тяжести пневмонии, вызванной SARS-CoV-2. Применение его весьма актуально для динамического обследования больных, особенно в условиях малой доступности КТ.
Раскрытие интересов. Авторы декларируют отсутствие явных и потенциальных конфликтов интересов, связанных с публикацией настоящей статьи.
Disclosure of interest. The authors declare that they have no competing interests.
Вклад авторов. Авторы декларируют соответствие своего авторства международным критериям ICMJE. Все авторы в равной степени участвовали в подготовке публикации: разработка концепции статьи, получение и анализ фактических данных, написание и редактирование текста статьи, проверка и утверждение текста статьи.
Authors’ contribution. The authors declare the compliance of their authorship according to the international ICMJE criteria. All authors made a substantial contribution to the conception of the work, acquisition, analysis, interpretation of data for the work, drafting and revising the work, final approval of the version to be published and agree to be accountable for all aspects of the work.
Источник финансирования. Авторы декларируют отсутствие внешнего финансирования для проведения исследования и публикации статьи.
Funding source. The authors declare that there is no external funding for the exploration and analysis work.
Информированное согласие на публикацию. Пациенты подписали форму добровольного информированного согласия на публикацию медицинской информации.
Consent for publication. Written consent was obtained from the patients for publication of relevant medical information and all of accompanying images within the manuscript.
Об авторах
Марина Абдулатиповна Саидова
ФГБУ «Национальный медицинский исследовательский центр кардиологии им. акад. Е.И. Чазова» Минздрава России
Email: ani_avalian@mail.ru
ORCID iD: 0000-0002-3233-1862
д-р мед. наук, проф., рук. отд. ультразвуковых методов исследования
Россия, МоскваАни Ашотовна Авалян
ФГБУ «Национальный медицинский исследовательский центр кардиологии им. акад. Е.И. Чазова» Минздрава России
Автор, ответственный за переписку.
Email: ani_avalian@mail.ru
ORCID iD: 0000-0003-0442-4495
мл. науч. сотр. отд. ультразвуковых методов исследования
Россия, МоскваМарета Алихановна Галаева
ФГБУ «Национальный медицинский исследовательский центр кардиологии им. акад. Е.И. Чазова» Минздрава России
Email: ani_avalian@mail.ru
ORCID iD: 0000-0002-8097-9030
врач отд. ультразвуковых методов исследования
Россия, МоскваМихаил Борисович Белькинд
ФГБУ «Национальный медицинский исследовательский центр кардиологии им. акад. Е.И. Чазова» Минздрава России
Email: ani_avalian@mail.ru
ORCID iD: 0000-0003-4377-5722
науч. сотр. отд. томографии
Россия, МоскваСписок литературы
- World Health Association. WHO coronavirus disease dashboard Update of 2020/8/17. Available at: https://covid19.who.int/. Accessed: 08.12.2021.
- Ottaviani S, Franc M, Ebstein E, et al. Lung ultrasonography in patients with COVID-19: comparison with CT. Clin Radiol. 2020;75:877.e1e877.e6. doi: 10.1016/j.crad.2020.07.024
- Профилактика, диагностика и лечение новой коронавирусной инфекции (COVID-19). Временные методические рекомендации. Министерство здравоохранения Российской Федерации. Версия 8 (03.09.2020). М., 2020 [Profilaktika, diagnostika i lechenie novoi koronavirusnoi infektsii (COVID-19). Vremennye metodicheskie rekomendatsii. Ministerstvo zdravookhraneniia Rossiiskoi Federatsii. Versiia 8 (03.09.2020). Moscow, 2020 (in Russian)].
- Chung M, Bernheim A, Mei X, et al. CT imaging features of 2019 novel coronavirus (2019-nCoV). Radiology. 2020;295(1):202e7. doi: 10.1148/radiol.2020200230
- Ai T, Yang Z, Hou H, et al. Correlation of chest CT and RT-PCR testing in coronavirus disease 2019 (COVID-19) in China: a report of 1014 cases. Radiology. 2020:200642. doi: 10.1148/radiol.2020200642
- Bouhemad B, Brisson H, Le Guen M, et al. Bedside Ultrasound Assessment of Positive End-Expiratory Pressure-induced Lung Recruitment. Am J Respir Crit Care Med. 2011;183:341-7. doi: 10.1164/rccm.201003-0369OC
- Mojoli F, Bouhemad B, Mongodi S, Lichtenstein D. Lung Ultrasound for Critically Ill Patients. Am J Respir Crit Care Med. 2019;199(6):701-14. doi: 10.1164/rccm.201802-0236CI
- Soldati G, Smargiassi A, Inchingolo R, et al Proposal for International Standardization of the Use of LungUltrasound for Patients With COVID-19. J Ultrasound Med. 2020; 9999:1-7. doi: 10.1002/jum.15285
- Сафарова А.Ф., Кобалава Ж.Д., Рачина С.А., и др. Роль и возможности ультразвукового исследования легких у пациентов с коронавирусной пневмонией. Клиническая фармакология и терапия. 2020;29(2):52-6 [Safarova AF, Kobalava ZhD, Rachina SA, et al. The use of lung ultrasound in patients with COVID-19. Klinicheskaia farmakologiia i terapiia. 2020;29(2):52-6 (in Russian)]. doi: 10.32756/0869-5490-2020-2-51-55
- Chung M, Bernheim A, Mei X, et al. CT Imaging Features of 2019 Novel Coronavirus (2019-nCoV). Radiology. 2020;295:202-7. doi: 10.1148/radiol.2020200230
- Oliveira BA, Oliveira LC, Sabino EC, Okay TS. SARS-CoV-2 and the COVID-19 disease: a mini review on diagnostic methods. Rev Inst Med Trop São Paulo. 2020;62:e44:1-8. doi: 10.1590/S1678-9946202062044
- Soccorsa S, Boccatonda A, Montanari M, et al. Thoracic ultrasound and SARS-COVID-19: a pictorial essay. J Ultrasound. 2020;23:217-21. doi: 10.1007/s40477-020-00458-7
- Smith MJ, Hayward SA, Innes SM, Miller ASC. Point-of-care lung ultrasound in patients with COVID-19 – a narrative review. Anaesthesia. 2020;75(8):1096-104. doi: 10.1111/anae.15082
- Kobalava ZD, Ayten FS, Montoya CFE, et aI. A single-center comparative study of lung ultrasound versus chest computed tomography during the COVID-19 era. Multidiscip Respir Med. 2021;16(1):766. doi: 10.4081/mrm.2021.766
Дополнительные файлы









