Acute non-calculous cholecystitis in a young aged patient with COVID-19: A case report
- Authors: Salukhov V.V.1, Lopatin Y.R.1, Minakov A.A.1, Bogomolov А.B.1, Salosina E.O.1
-
Affiliations:
- Kirov Military Medical Academy
- Issue: Vol 95, No 8 (2023)
- Pages: 692-695
- Section: Case reports
- Submitted: 19.04.2022
- Published: 11.10.2023
- URL: https://ter-arkhiv.ru/0040-3660/article/view/106440
- DOI: https://doi.org/10.26442/00403660.2023.08.202317
- ID: 106440
Cite item
Full Text
Abstract
To date, it is known that COVID-19 can lead to damage to various organs and systems, despite the statistical prevalence of respiratory manifestations of the disease. In some cases, in order to treat complications of coronavirus infection, a multidisciplinary approach may be required, including on an urgent basis. The article presents a clinical case of acute non-calculous cholecystitis in a 41-year-old patient with COVID-19. The importance of timely diagnosis and providing the possibility of emergency surgical care to patients with COVID-19, even under the conditions of the anti-epidemic regime, has been demonstrated.
Full Text
Список сокращений
ДН – дыхательная недостаточность
ЖП – желчный пузырь
ОГП – органы грудной полости
ОНХ – острый некалькулезный холецистит
ПЦР – полимеразная цепная реакция
рАПФ2 – рецептор 2-го типа к ангиотензинпревращающему ферменту
СКТ – спиральная компьютерная томография
СРБ – С-реактивный белок
SaO2 – сатурация гемоглобина кислородом
Введение
Нельзя отрицать, что пандемия COVID-19, вызываемого SARS-CoV-2, приобрела в новейшей истории беспрецедентный характер, охватив практически весь мир и являясь подтвержденной причиной смерти более 1 млн человек [1]. Наиболее частыми проявлениями COVID-19 являются лихорадка, аносмия, агевзия, сухой кашель, одышка [2]. Несмотря на это, установлено, что проявления COVID-19 могут затрагивать практически все системы органов [3].
Литературные данные о развитии острого некалькулезного холецистита (ОНХ) у пациентов с COVID-19 ограничены описанием лишь нескольких клинических случаев, в каждом из которых авторы выдвигают свои предположения относительно механизма развития заболевания [4–10].
Так, M. Ying и соавт. предполагают, что желчный пузырь (ЖП) является одной из потенциальных мишеней для COVID-19 [4]. J. Roy и соавт. считают, что ЖП может быть своеобразным резервуаром для SARS-CoV-2 [5]. В двух других исследованиях авторы считают, что в развитии острого холецистита ключевую роль играет дисрегуляторный иммунный ответ на вирусную инфекцию SARS-CoV-2 [7, 8]. A. Balaphas и соавт. сообщают об обнаружении у такого пациента РНК SARS-CoV-2 в стенке ЖП методом полимеразной цепной реакции (ПЦР) в реальном времени [9].
На сегодняшний день роль рецепторов 2-го типа к ангиотензинпревращающему ферменту (рАПФ2) в патогенезе COVID-19 считается неоспоримой. Доказано, что SARS-CoV-2 вызывает повреждение эндотелия сосудов за счет усиления образования активных форм кислорода и гликолитического сдвига в митохондриях. Кроме того, S-белок SARS-CoV-2 блокирует рАПФ2, обладающий протективным эффектом по отношению к эндотелиальным клеткам, и может самостоятельно вызывать повреждение эндотелиоцитов, ингибируя рАПФ2 и, следовательно, подавляя функцию митохондрий [10].
Также известно, что SARS-CoV-2 способен проникать в клетки за счет взаимодействия с рАПФ2 [11]. В свою очередь, экспрессия рАПФ2 в ЖП крайне высока по сравнению с большинством других органов и тканей, особенно это касается железистых клеток (рис. 1) [12].
Рис. 1. Экспрессия рАПФ2 в тканях человека на основе транскриптомики (адапт. [12]).
Fig. 1. Expression of type 2 receptor for angiotensin-converting enzyme in human tissues based on transcriptomics (adaptation [12]).
Известна взаимосвязь между COVID-19 и повышенным риском развития тромбозов и тромбоэмболий [13]. В свою очередь, наличие у пациента патологии, ассоциированной с гипоперфузией и ишемией, является предрасполагающим фактором развития ОНХ [14].
Клинический случай
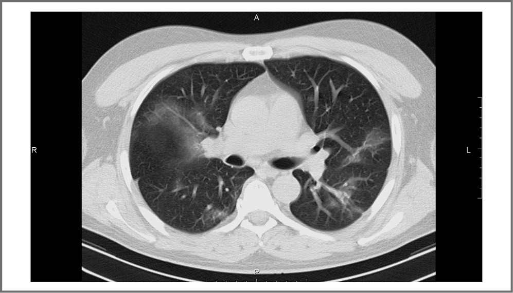
Мужчина, 41 год, 06.10.2021 отметил повышение температуры тела до 39,0°С, появление приступообразного сухого кашля, потерю обоняния. На момент госпитализации имел сопутствующее заболевание – сахарный диабет 1-го типа. Ему 06.10.2021 выполнена спиральная компьютерная томография (СКТ) органов грудной полости (ОГП), по данным которой выявлены двусторонние фокусы «матового стекла», признаки вирусной пневмонии, объем поражения ~25% (рис. 2). Получен положительный результат ПЦР-мазка из зева на РНК SARS-CoV-2 от 06.10.2021.
Рис. 2. Компьютерная томограмма ОГП на уровне бифуркации трахеи от 06.10.2021. КТ-картина двусторонней полисегментарной вирусной пневмонии, объем поражения ~25%.
Fig. 2. CT scan of the chest organs at the level of the tracheal bifurcation from 06.10.2021. CT picture of bilateral polysegmental viral pneumonia, lesion volume ~25%.
11.10.2021 (5-е сутки болезни) частота дыхательных движений увеличилась до 30 в минуту, сатурация гемоглобина кислородом (SaO2) на атмосферном воздухе снизилась до 82%. Получал терапию: противовирусную (умифеновир по схеме), антибактериальную (цефтриаксон 2,0 г/сут, левофлоксацин 1,0 г/сут), антикоагулянтную (эноксапарин 1,0 мл/сут), муколитическую (ацетилцистеин 600 мг/сут), противовоспалительную (дексаметазон 40 мг/сут, левелимаб 0,324 однократно), гастропротективную (омепразол 20 мг/сут), инсулинотерапию (гларгин 16 ЕД/сут, глулизин 16/14/10 ЕД в завтрак/обед/ужин соответственно), респираторную поддержку (ингаляции увлажненного кислорода потоком до 10 л/мин).
Несмотря на проводимую комбинированную терапию заболевания, синдром инфекционной интоксикации длительно не купировался, сохранялась лихорадка до 39,0°С, на 8-е сутки отмечалось нарастание дыхательной недостаточности (ДН) до 3-й степени. Частота дыхательных движений увеличилась до 35 в минуту, SaO2 снизилась до 73%. В клиническом и биохимическом анализах крови наблюдались нейтрофильный лейкоцитоз до 19,8×109/л без палочкоядерного сдвига, гипопротеинемия до 49,3 г/л, гипергликемия до 18 ммоль/л.
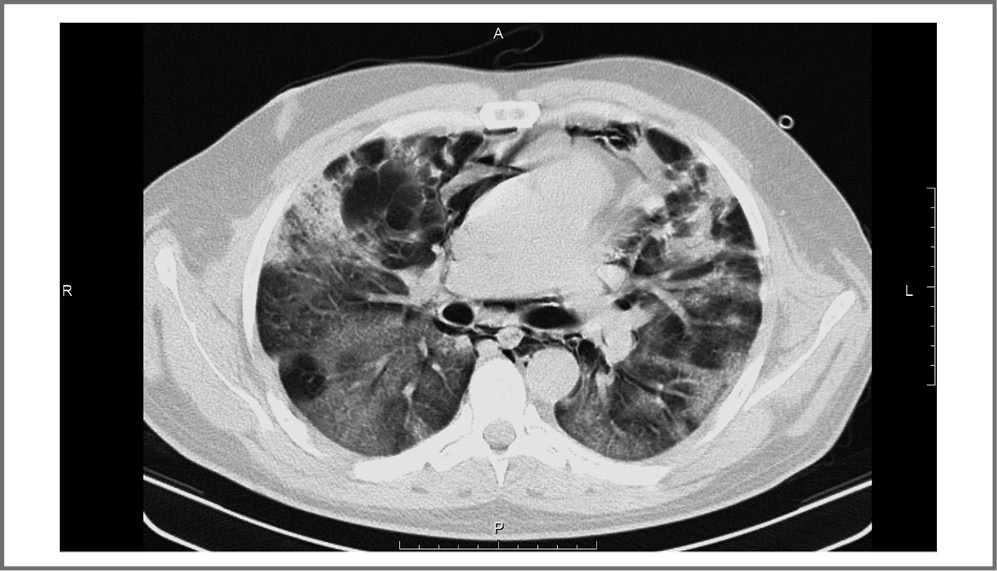
18.10.2021 (12-е сутки болезни) по данным СКТ ОГП объем поражения увеличился до 75% (рис. 3), в этот же день с целью обеспечения адекватной респираторной поддержки пациент помещен в отделение интенсивной терапии. В связи с нарастанием ДН подключена высокопоточная оксигенотерапия 80% О2 – 50 л/мин, принято решение о проведении пульс-терапии метилпреднизолоном (1000 мг/сут в течение 3 дней) с переводом на метилпреднизолон в таблетированной форме в суточной дозе 32 мг/сут.
Рис. 3. Компьютерная томограмма ОГП на уровне бифуркации трахеи от 18.10.2021. Определяется выраженная отрицательная динамика за счет появления по всем легочным полям многочисленных зон интерстициальной инфильтрации. Объем поражения ~75%.
Fig. 3. CT of the chest at the level of the tracheal bifurcation from 10.18.2021. A pronounced negative dynamics is determined due to the appearance of numerous zones of interstitial infiltration in all lung fields. Damage volume ~75%.
25.10.2021 (19-е сутки болезни) выполнена СКТ ОГП в динамике, выявлены признаки пневмомедиастинума, межмышечной эмфиземы шеи, над- и подключичных областей, объем поражения не прогрессировал, составив 75%. В связи с отсутствием клинической симптоматики пневмомедиа- стинума продолжена консервативная терапия.
28.10.2021 (22-е сутки болезни) в результате лечения состояние пациента стабилизировалось, температура тела не превышала 37,0°С. Получен отрицательный результат ПЦР РНК SARS-CoV-2, однако сохранялись умеренная одышка при незначительной физической активности и признаки ДН 2-й степени, что требовало продолжения респираторной поддержки (оксигенотерапия 10 л/мин). Сохранение лабораторных признаков активности бактериальной флоры (лейкоцитоз 15,0×109/л, нарастание уровня прокальцитонина до 1,2 нг/мл). На этом фоне наблюдалась выраженная положительная клиническая и рентгенологическая динамика, снижение степени ДН, нарастание SaO2 до 89% на атмосферном воздухе.
08.11.2021 (32-е сутки болезни) при окончании глюкокортикостероидной терапии к вечеру появилась боль в правом подреберье, рвота, отсутствие аппетита, повышение температура тела до 39,0°С. При пальпации живота отмечалась выраженная болезненность в правом подреберье. В клиническом анализе крови зарегистрирован лейкоцитоз 17,6×109/л, тромбоцитоз 472×109/л, нарастание скорости оседания эритроцитов до 34 мм/ч. В биохимическом анализе крови наблюдались гипергликемия 11,82 ммоль/л, гипопротеинемия 49,9 г/л, гипоальбуминемия 25,7 г/л, повышение аланинаминотрансферазы – 181,7 ЕД/л, аспартатаминотрансферазы – 44,8 ЕД/л, С-реактивного белка (СРБ) – 200,9 мг/л (рис. 4).
Рис. 4. Динамика СРБ в период заболевания.
Fig. 4. Dynamics of C-reactive protein during the disease period.
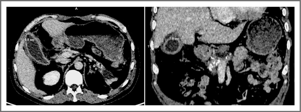
Выполнена СКТ живота (рис. 5), пациент осмотрен хирургом, диагностирован ОНХ. Больной переведен в профильную хирургическую клинику, где выполнена лапароскопическая холецистэктомия (рис. 6). Эндоскопическая картина представлена ЖП, увеличенным в размере (10×5×3 см), стенка пузыря отечна, инъецирована сосудами, обложена фибрином в области дна и тела. В послеоперационном периоде отмечалось уменьшение болей в правом подреберье, исчезновение тошноты, однако сохранялась фебрильная лихорадка до 39,0°С. В клиническом анализе крови обращал на себя внимание нейтрофильный лейкоцитоз до 24,1×109/л без палочкоядерного сдвига, лимфопения, тромбоцитоз до 596×109/л, эритропения до 3,40×1012/л, повышение скорости оседания эритроцитов до 55 мм/ч. В биохимическом анализе крови аланинаминотрансфераза, аспартатаминотрансфераза, билирубин в пределах нормы, отмечались гипопротеинемия до 55,2 г/л, гипергликемия до 12 ммоль/л, повышение СРБ до 163,51 мг/л.
Рис. 5. СКТ живота от 09.11.2021. ЖП увеличен до 100×43 мм. Отмечается утолщение стенки ЖП до 11,5 мм и ее локальное расслоение на уровне дна. В просвете прослеживается жидкостное содержимое. Окружающая клетчатка реактивно уплотнена.
Fig. 5. CT scan of the abdomen from 11.09.2021. The gallbladder is enlarged to 100×43 mm. There is a thickening of the gallbladder wall up to 11.5 mm and its local stratification at the level of the bottom. Fluid content is visible in the lumen. Surrounding tissues are reactively changed.
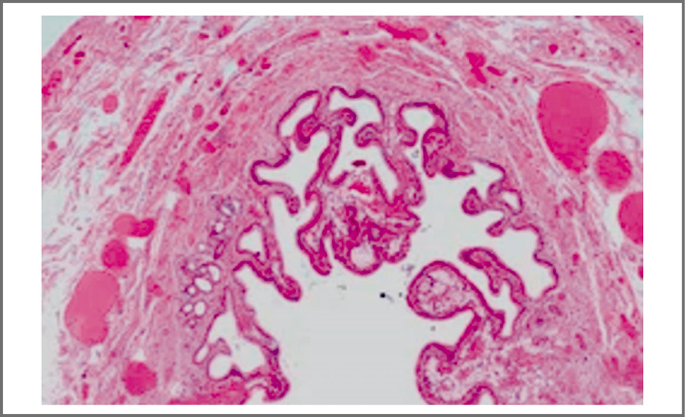
Рис. 6. Микропрепарат стенки удаленного ЖП. Отмечается диффузное утолщение стенки ЖП с частичным расслоением, деформированные ворсинки слизистой оболочки, синусы Рокитанского–Ашоффа.
Fig. 6. Micropreparation of the wall of the removed gallbladder. There is a diffuse thickening of the gallbladder wall with partial delamination, deformed villi of the mucous membrane, sinuses of Rokitansky–Aschoff.
15.11.2021 (39-е сутки болезни) в связи с сохраняющейся лихорадкой до 39,0°С, нейтрофильным лейкоцитозом, повышенным уровнем СРБ назначена комбинированная антибактериальная терапия меропенемом 3,0 г/сут и ванкомицином 2,0 г/сут.
В дальнейшем на фоне проводимой терапии отмечалась положительная клиническая и лабораторная динамика, полное купирование ДН (SaO2 95%). Пациент выписан в удовлетворительном состоянии.
Обсуждение
Стоит отметить, что ОНХ наиболее характерен для пациентов старше 60 лет [13], и именно в эту группу попадают большинство ранее описанных случаев ОНХ у пациентов с COVID-19 [4–10], что еще более подчеркивает уникальность описанного нами случая у мужчины 41 года.
В настоящее время механизмы развития ОНХ у пациентов с COVID-19 окончательно не изучены. Мы считаем, что ключевую роль в патогенезе играет тот факт, что ишемия стенки ЖП, вызываемая повреждением эндотелия сосудов при COVID-19, потенциально может усугубляться гипоксией на фоне существующей ДН.
Тем не менее нельзя исключить и возможность прямого повреждения стенки ЖП в результате непосредственного вирусного поражения клеток. Эта гипотеза приобретает существенное значение, если учесть тот факт, что изначально коронавирусы имеют выраженную тропность к органам желудочно-кишечного тракта [15], это же свойство выявляется и у SARS-CoV-2 [3].
Заключение
Несмотря на то, что острый холецистит является относительно редким осложнением коронавирусной инфекции, нельзя полностью исключать вероятность его развития.
Необходимо предусмотреть возможность быстрой маршрутизации больных с подозрением на ургентную хирургическую патологию в профильную клинику и выполнения оперативного вмешательства по неотложным показаниям без ущерба качеству оказания медицинской помощи, с соблюдением всех установленных сроков даже в условиях ограничений, связанных с пандемией COVID-19.
Раскрытие интересов. Авторы декларируют отсутствие явных и потенциальных конфликтов интересов, связанных с публикацией настоящей статьи.
Disclosure of interest. The authors declare that they have no competing interests.
Вклад авторов. Авторы декларируют соответствие своего авторства международным критериям ICMJE. Все авторы в равной степени участвовали в подготовке публикации: разработка концепции статьи, получение и анализ фактических данных, написание и редактирование текста статьи, проверка и утверждение текста статьи.
Authors’ contribution. The authors declare the compliance of their authorship according to the international ICMJE criteria. All authors made a substantial contribution to the conception of the work, acquisition, analysis, interpretation of data for the work, drafting and revising the work, final approval of the version to be published and agree to be accountable for all aspects of the work.
Источник финансирования. Авторы декларируют отсутствие внешнего финансирования для проведения исследования и публикации статьи.
Funding source. The authors declare that there is no external funding for the exploration and analysis work.
Информированное согласие на публикацию. Пациент подписал форму добровольного информированного согласия на публикацию медицинской информации и фотографий.
Consent for publication. Written consent was obtained from the patient for publication of relevant medical information and all of accompanying images within the manuscript.
About the authors
Vladimir V. Salukhov
Kirov Military Medical Academy
Author for correspondence.
Email: vlasaluk@yandex.ru
ORCID iD: 0000-0003-1851-0941
д-р мед. наук, нач. 1-й каф. (терапии усовершенствования врачей) им. акад. Н.С. Молчанова
Russian Federation, Saint PetersburgYaroslav R. Lopatin
Kirov Military Medical Academy
Email: yaroslavlopatin11@gmail.com
ORCID iD: 0000-0002-7008-3054
студент 6-го курса
Russian Federation, Saint PetersburgAlexey A. Minakov
Kirov Military Medical Academy
Email: minakom@mail.ru
ORCID iD: 0000-0003-1525-3601
адъюнкт 1-й каф. (терапии усовершенствования врачей) им. акад. Н.С. Молчанова
Russian Federation, Saint PetersburgАlexey B. Bogomolov
Kirov Military Medical Academy
Email: bg-ab@mail.ru
ORCID iD: 0000-0002-6110-1097
канд. мед. наук, преподаватель 1-й каф. (терапии усовершенствования врачей) им. акад. Н.С. Молчанова
Russian Federation, Saint PetersburgEkaterina O. Salosina
Kirov Military Medical Academy
Email: yaroslavlopatin11@gmail.com
ORCID iD: 0000-0002-0267-6392
ординатор 1-го года 1-й каф. (терапии усовершенствования врачей) им. акад. Н.С. Молчанова
Russian Federation, Saint PetersburgReferences
- Tsang H, Chan L, Cho W, et al. An update on COVID-19 pandemic: the epidemiology, pathogenesis, prevention and treatment strategies. Expert Rev Anti Infect Ther. 2020;19(7):877-88. doi: 10.1080/14787210.2021.1863146
- Харитонов М.А., Салухов В.В., Крюков Е.В., и др. Вирусные пневмонии: новый взгляд на старую проблему (обзор литературы). Медицинский совет. 2021;(16):60-77 [Kharitonov MA, Salukhov VV, Kryukov EV, et al. Viral pneumonia: a new look at an old problem (review). Meditsinskiy sovet. 2021;(16):60-77 (in Russian)]. doi: 10.21518/2079-701X-2021-16-60-77
- Harrison A, Lin T, Wang P. Mechanisms of SARS-CoV-2 Transmission and Pathogenesis. Trends Immunol. 2020;41(12):1100-5. doi: 10.1016/j.it.2020.10.004
- Ying M, Lu B, Pan J, et al. COVID-19 with acute cholecystitis: a case report. BMC Infect Dis. 2020;20(1). doi: 10.1186/s12879-020-05164-7
- Roy J, Sahu N, Golamari R, Vunnam R. Acute Acalculous Cholecystitis in a Patient with COVID-19 and a LVAD. J Card Fail. 2020;26(7):639. doi: 10.1016/j.cardfail.2020.06.002
- Mattone E, Sofia M, Schembari E, et al. Acute acalculous cholecystitis on a COVID-19 patient: a case report. Ann Med Surg. 2020;58:73-5. doi: 10.1016/j.amsu.2020.08.027
- Alhassan S, Iqbal P, Fikrey L, et al. Post COVID 19 acute acalculous cholecystitis raising the possibility of underlying dysregulated immune response, a case report. Ann Med Surg. 2020;60:434-7. doi: 10.1016/j.amsu.2020.11.031
- Bruni A, Garofalo E, Zuccalà V, et al. Histopathological findings in a COVID-19 patient affected by ischemic gangrenous cholecystitis. World J Emerg Surg. 2020;15(1):43. doi: 10.1186/s13017-020-00320-5
- Balaphas A, Gkoufa K, Meyer J, et al. COVID-19 can mimic acute cholecystitis and is associated with the presence of viral RNA in the gallbladder wall. J Hepatol. 2020;73(6):1566-8. doi: 10.1016/j.jhep.2020.08.020
- Abaleka F, Nigussie B, Bedanie G, et al. Acute Acalculous Cholecystitis Due to COVID-19, an Unusual Presentation. Cureus. 2021;13(6):e15431. doi: 10.7759/cureus.15431
- Lei Y, Zhang J, Schiavon, C et al. SARS-CoV-2 Spike Protein Impairs Endothelial Function via Downregulation of ACE 2. Circ Res. 2021;128(9):1323-6. doi: 10.1161/circresaha.121.318902
- Hikmet F, Méar L, Edvinsson Å, et al. The protein expression profile of ACE2 in human tissues. Mol Syst Biol. 2020;16(7):e9610. doi: 10.15252/msb.20209610
- Ali M, Spinler S. COVID-19 and thrombosis: From bench to bedside. Trends Cardiovasc Med. 2021;31(3):143-60. doi: 10.1016/j.tcm.2020.12.004
- Tana M, Tana C, Cocco G, et al. Acute acalculous cholecystitis and cardiovascular disease: a land of confusion. J Ultrasound. 2015;18(4):317-20. doi: 10.1007/s40477-015-0176-z
- Gallagher T, Buchmeier M. Coronavirus Spike Proteins in Viral Entry and Pathogenesis. Virology. 2001;279(2):371-4. doi: 10.1006/viro.2000.0757
Supplementary files









