Long-term follow-up study of post-COVID-19 patients
- Authors: Karchevskaya N.A.1, Skorobogach I.M.1, Cherniak A.V.2,3, Migunova E.V.1, Leshchinskaya O.V.1, Kalmanova E.N.2, Bulanov A.I.1, Ostrovskaya E.A.1, Kostin A.I.1, Nikulina V.P.1, Kravchenko N.I.3, Belevskiy A.S.4, Petrikov S.S.1
- 
							Affiliations: 
							- Sklifosovsky Research Institute for Emergency Medicine
- Pletnev City Clinical Hospital
- Pulmonology Scientific Research Institute
- Pirogov Russian National Research Medical University
 
- Issue: Vol 94, No 3 (2022)
- Pages: 378-388
- Section: Original articles
- Submitted: 18.04.2022
- Accepted: 18.04.2022
- Published: 15.03.2022
- URL: https://ter-arkhiv.ru/0040-3660/article/view/106377
- DOI: https://doi.org/10.26442/00403660.2022.03.201399
- ID: 106377
Cite item
Full Text
Abstract
Aim. To evaluate dynamic changes in the lungs, hemostasis system, immune system in different terms after coronavirus pneumonia.
Materials and methods. Ventilation-perfusion single-photon emission computed tomography/computed tomography (CT), functional methods of lung investigation, evaluation of hemostasis system, immune status and specific humoral immune response were performed and evaluated in different terms after coronavirus pneumonia. A total of 71 patients were examined according to this protocol. We examined patients with the lesion volume not less than 50% according to chest CT. All patients were divided into 2 groups depending on the distance from the acute stage of coronavirus pneumonia. Group 1 included patients who were examined early (30–60 days after hospital discharge), group 2 included patients who were examined later (61–180 days after hospital discharge).
Results. We obtained gradual regression of pathologically-modified tissue from 67.3% during the inpatient phase to 30.9% during the early period and to 19.7% during the late period of examination, according to CT scan of the chest organs. The same tendency was demonstrated by diffusion capacity of the lungs. Perfusion scintigraphy data showed a decrease in perfusion deficit from 26.0±12.8% during the early period of examination to 19.4±6.2% during the late period of examination. On the contrary, ventilatory scintigraphy demonstrates the increase of isotope passage time through the alveolar-capillary membrane over time (from 48.2±31.3 minutes in the early period to 83.6±37.2 minutes in the late period). An increase in D-dimer was detected in 24% of patients in the early group. The levels of inflammatory markers, indices of immune status, and specific humoral immune response did not differ in the two described groups.
Conclusion. The results demonstrate gradual regression of pathological changes caused by coronavirus infection.
Full Text
Список сокращений
АКД – альвеолярно-капиллярная (трансэпителиальная) диффузия
ВС – вентиляционная сцинтиграфия
ДАП – диффузное альвеолярное повреждение
ДСЛ – диффузионная способность легких
ЖЕЛ – жизненная емкость легких
КТ – компьютерная томография
ЛА – легочная артерия
ОГК – органы грудной клетки
ОЕЛ – общая емкость легких
ООЛ – остаточный объем легких
ОФВ1– объем форсированного выдоха за 1-ю секунду
ОФЭКТ/КТ – однофотонная эмиссионная компьютерная томография, совмещенная с компьютерной томографией
ПЖ – правый желудочек
ПКТ – прокальцитонин
ПС – перфузионная сцинтиграфия
РФ – ревматоидный фактор
РФП – радиофармпрепарат
СО – монооксид углерода
СОС25–75 – средняя объемная скорость на уровне между 25 и 75% жизненной емкости легких
СРБ – С-реактивный белок
ТЭЛА – тромбоэмболия легочной артерии
ФВД – функция внешнего дыхания
ФЖЕЛ – форсированная жизненная емкость легких
DLСО – трансфер-фактор монооксида углерода
Ig – иммуноглобулин
Введение
Долгосрочные последствия коронавирусной болезни 2019 г. (COVID-19) пока неизвестны, а подробных клинических наблюдений и исследований явно недостаточно.
Большинство существующих публикаций посвящено признакам и симптомам, сохраняющимся у пациентов, перенесших коронавирусную инфекцию. Меньшее количество публикаций оценивает лабораторные и функциональные изменения [1–5].
Методы медицинской визуализации играют основную роль в обследовании пациентов с COVID-19, в основном в связи с первичным и основным проявлением болезни в виде поражения легких.
В связи с этим много исследований посвящено методам визуализации коронавирусной пневмонии в стационаре и несколько меньше уделено внимания динамическому наблюдению за постковидными изменениями в легких. И тем более лишь немногие исследования оценивали полный набор лабораторных, рентгенологических, радиоизотопных, функциональных данных у пациентов в отдаленные сроки после перенесенной коронавирусной пневмонии.
Цель исследования – динамическая оценка постковидных изменений с помощью рентгенологических, радионуклидных, функциональных и лабораторных методов исследования.
Материалы и методы
Данное исследование является поперечным обсервационным исследованием.
Всего в исследовании принял участие 71 пациент. Это пациенты после перенесенной коронавирусной пневмонии тяжелого течения с объемом поражения не менее 50% (КТ-3, КТ-4).
Диагноз коронавирусной инфекции, оценка объема поражения легких по компьютерной томографии (КТ) органов грудной клетки (ОГК) выставлялись согласно временным методическим рекомендациям по профилактике, диагностике и лечению новой коронавирусной инфекции (COVID-19) [6].
Все пациенты проходили лечение по поводу коронавирусной инфекции в ГБУЗ «НИИ СП им. Н.В. Склифосовского».
Критерии включения:
- Возраcт старше 18 лет.
- Подтвержденный диагноз COVID-19.
- Объем поражения по КТ ОГК не менее 50% (КТ-3, КТ-4).
- Добровольное информированное согласие на участие в исследовании.
Критерии исключения: наличие хронической патологии легких.
При оценке результатов инструментальных и лабораторных методов исследования все пациенты разделены на 2 группы в зависимости от времени прохождения обследования:
- Ранние сроки (в течение 30–60 дней после выписки из стационара).
- Отсроченный период (с 61 по 180-й день после выписки из стационара).
Пациентам проводились следующие обследования:
1) расширенное функциональное исследование функции внешнего дыхания (ФВД), которое включало форсированную спирометрию, бодиплетизмографию, измерение диффузионной способности легких (ДСЛ);
2) вентиляционно-перфузионная сцинтиграфия и однофотонная эмиссионная КТ, совмещенная с КТ (ОФЭКТ/КТ);
3) лабораторные исследования: маркеры воспаления (С-реактивный белок – СРБ, прокальцитонин – ПКТ), ревматоидный фактор (РФ), коагулограмма, D-димер, фибриноген, физиологические антикоагулянты (протеин С, антитромбин), тромбоэластограмма, иммунограмма с фенотипированием лимфоцитов.
Также у пациентов оценивали специфический иммунный ответ: исследование антител к N+S белкам вируса SARS-CoV-2 – иммуноглобулин (Ig)M, IgG Mindray, а также вируснейтрализующей активности (титр ВНА, НИЦЭМ им. Н.Ф. Гамалеи). Дополнительно проведено исследование аликвотированных образцов на антитела к S-белку SARS-CoV-2 (RBD).
Из всей когорты обследованных пациентов вентиляционно-перфузионную сцинтиграфию и ОФЭКТ/КТ легких выполнили 71 пациенту, комплексную оценку ФВД и лабораторные обследования – 60 пациентам.
ФВД: исследование ФВД проводилось в первой половине дня на приборе MаstеrSсrееn Body/Diff (Viаsys Hеalthсаre, Германия) с учетом российских и международных требований их выполнения [7–10]. ДСЛ оценивали по монооксиду углерода (СО) методом однократного вдоха с задержкой дыхания [11].
Все исследования проводили в соответствии с рекомендациями Российского респираторного общества по проведению функциональных исследований системы дыхания в период пандемии COVID-19 [12].
При оценке ФВД проанализировали следующие параметры:
1) спирометрия: форсированная жизненная емкость легких (ФЖЕЛ), объем форсированного выдоха за 1-ю секунду (ОФВ1), отношения ОФВ1/ФЖЕЛ, ОФВ1/ЖЕЛ, объемная скорость на кривой поток–объем форсированного выдоха между 25 и 75% выдохнутой ФЖЕЛ (СОС25–75);
2) бодиплетизмография: жизненная емкость легких (ЖЕЛ), общая емкость легких (ОЕЛ), остаточный объем легких (ООЛ) и его доля в ОЕЛ (ООЛ/ОЕЛ), внутригрудной объем газа, общее бронхиальное сопротивление;
3) ДСЛ: трансфер-фактор СО (DLСО) и его отношение к альвеолярному объему.
КТ ОГК: у каждого пациента анализировалось два КТ-исследования – выполненное в стационаре в период активной фазы коронавирусной пневмонии и КТ ОГК после выписки из стационара. Из серии КТ ОГК, выполненных в активном периоде заболевания, для оценки выбиралась КТ с наибольшим объемом поражения.
Во время коронавирусной инфекции выполнялась КТ ОГК по стандартной методике на следующем оборудовании: КТ-томографах Philips Ingenuity CT 128, Toshiba Aquilion CXL, Toshiba Aquilion Prime.
Сканирование проводилось с задержкой дыхания на вдохе, в спиральном режиме, c толщиной среза 1,0 мм и матрицей 512×512 точек. Для анализа использовались реконструкции с легочным фильтром, в аксиальной плоскости.
Динамическая визуализация изменений в легких после выписки из стационара выполнялась на гибридном ОФЭКТ/КТ-томографе GE Discovery NM/CT 670.
Количественная оценка изменений в легких проводилась с помощью программного обеспечения Lung CT analysis for COVID-19 [13]. Для этого в программу загружены КТ-исследования 71 пациента в формате DICOM (digital communication in medicine). Анализ состоял из следующих этапов:
- полуавтоматическая сегментация легочной ткани. На этом этапе проводилось выделение обоих легких с исключением других тканей, что использовано в качестве зоны интереса при проведении анализа;
- непосредственно анализ, в ходе которого из зоны интереса выделялись следующие показатели: нормальной воздушности легочной ткани, «матовое стекло», консолидации, общий объем легочной ткани, функционального объема легочной ткани, объем пораженной ткани, *CovidQ (соотношение пораженной/функциональной тканей).
Для каждого из них рассчитывались: объем, максимальная, минимальная, средняя плотность, медиана (Мe), стандартное отклонение (едН), минимальный и максимальный пороги плотности.
В отдельную группу выделены ретикулярные изменения в легких, наблюдаемые у большинства пациентов при контрольном исследовании. Ввиду того что показатели рентгеновской плотности ретикулярных изменений совпадали с таковыми для консолидации, оценка их объема проводилась полуколичественным методом.
Радионуклидные методы. Радионуклидное исследование проводили в 2 этапа. Первым этапом выполняли вентиляционную сцинтиграфию (ВС) легких, которая основана на временном оседании после ингаляции газообразных нуклидов или тонкодисперсных аэрозолей радиофармпрепарата (РФП) на поверхности проводящих и газообменивающих воздухоносных путей. В качестве ингалируемого агента, помещенного в небулайзерную камеру, использовали 500 МБк 99mТс-пентатеха в 2,0 мл физиологического раствора (эффективная эквивалентная доза 0,06 мЗв). Одновременно с ингаляцией начинали запись исследования. Диффузию ингалируемых меченых частиц через альвеолярно-капиллярную мембрану оценивали по скорости поступления 99mТс-пентатеха из легочных альвеол в кровеносное русло. Общее время динамической записи – 20 мин (рис. 1).
Рис. 1. ВС легких с 99mТс-пентатехом. Сцинтиграммы в задней проекции с указанием зон для построения кривых скорости АКД.
Рис. 2. ПС легких с 99mТс-макротехом. Сцинтиграммы первого прохождения РФП с построением кривых с области ПЖ и ЛА (а) и в режиме «все тело» (b) для определения захвата легкими от всего тела.
Анализ ВС проводили по качественным и полуколичественным критериям: при визуальной оценке изображения выделяли участки нарушенной вентиляции (зон гипо- либо гипервентиляции) и рассчитывали скорость альвеолярно-капиллярной (трансэпителиальной) диффузии (АКД) по кривым, построенным с областей верхней и нижней половины каждого легкого. Нормальные параметры вентиляционной функции и величина скорости АКД описаны в работах ряда авторов. В норме распределение РФП в легких после ингаляции равномерное, без очаговой задержки в проекции бронхов, АКД находится в диапазоне от 55 до 108 мин.
Вторым этапом выполняли перфузионную сцинтиграфию (ПС) легких с регистрацией первого прохождения РФП и записью в режиме «все тело». ПС основана на кратковременной эмболизации капиллярного русла системы легочной артерии (ЛА) меченным технецием (99mТс) макроагрегатом альбумина человеческой сыворотки (внутривенно вводили 80–120 МБк 99mTc-макротеха, эффективная эквивалентная доза 0,88–1,1 мЗв). Полученные сцинтиграммы оценивали визуально и полуколичественно: определяли зоны сниженной перфузии и скорость прохождения РФП с построением кривых с области правого желудочка (ПЖ) и ЛА. Признаки легочной гипертензии определяли по периоду полуопорожнения ПЖ (Т1/2 ПЖ) и полуопорожнения ЛА (Т1/2 ЛА).
Кроме того, определяли процент накопления РФП в легких от счета импульсов всего тела (эквивалент введенной активности) с определением суммарного дефицита перфузии в обоих легких.
Статистика
Статистическая обработка результатов проведена при помощи пакета прикладных программ SPSS 23 for Windows. Все численные данные представлены как mean±SD или Me c 25–75% интерквартильным размахом и в абсолютных числах с указанием процентов. Достоверность различий одноименных количественных показателей между группами определялась при помощи U-критерия Манна–Уитни, внутри групп – с помощью критерия Уилкоксона, качественные различия между группами – при помощи точного теста Фишера. Достоверность различий одноименных количественных показателей между несколькими группами определялась при помощи теста Краскела–Уоллиса. Различия считались статистически достоверными при р<0,05.
Результаты
Подробная характеристика пациентов из разных групп представлена в табл. 1.
| Таблица 1. Характеристика пациентов Table 1. Patient characteristics | ||
| Сроки после выписки из стационара | ||
| 30–60 дней, n=43 | 61–180 дней, n=28 | |
| Число, мужчины/женщины | 27/16 | 14/14 | 
| Возраст, лет | 56,1±17,3 | 55,3±15,1 | 
| Курение/нет/экс-курильщик | 2/29/18 | 2/21/7 | 
| ИМТ, кг/м2 | 32,6±5,6 | 31,4±4,3 | 
| НВЛ/ВПОТ, n (%) | 30 (69,7) | 18 (64,2) | 
| ИВЛ, n (%) | 4 (9,3) | 3 (10,7) | 
| Оксигенотерапия, n (%) | 9 (20,9) | 7 (25,0) | 
| Патология печени, n (%) | 3 (6,9) | 2 (7,1) | 
| Патология почек, n (%) | 4 (9,3) | 2 (7,1) | 
| СД, n (%) | 7 (16,2) | 3 (10,7) | 
| Ожирение, n (%) | 14 (32,5) | 7 (25,0) | 
| Онкозаболевания, n (%) | 2 (4,6) | 1 (3,5) | 
| Блокатор рецептора ИЛ-6, блокатор ИЛ-6, n (%) | 38 (88,3) | 24 (85,7) | 
| Системные ГКС, n (%) | 40 (93) | 26 (92,8) | 
| Примечание. ИМТ – индекс массы тела, НВЛ – неинвазивная вентиляция легких, ВПОТ – высокопоточная оксигенотерапия, ИВЛ – искусственная вентиляция легких, СД – сахарный диабет, ГКС – глюкокортикостероиды. | ||
Оценка результатов функционального исследования легких.
Всего выполнено 60 комплексных исследований ФВД.
Полученные данные разделены на 2 группы в зависимости от времени выполнения исследования.
Результаты описательной статистики изученных показателей представлены в табл. 2.
| Таблица 2. Показатели комплексного исследования ФВД Table 2. Indicators of a comprehensive functional study of external respiration | ||
| Показатель | Сроки после выписки из стационара | |
| 30–60 дней | 61–180 дней | |
| ФЖЕЛ, % долж. | 95±22 | 106±18 | 
| ОФВ1, % долж. | 94±21 | 102±14 | 
| ОФВ1/ФЖЕЛ, % | 81±6 | 79±6 | 
| СОС25–75, % долж. | 88±27 | 90±24 | 
| ЖЕЛ, % долж. | 92±21 | 105±17 | 
| ОЕЛ, % долж. | 92±19 | 102±15 | 
| ВГО, % долж. | 89±21 | 97±17 | 
| ООЛ, % долж. | 95±24 | 105±17 | 
| ООЛ/ОЕЛ, % долж. | 99±14 | 97±8 | 
| DLCO, % долж. | 68±20 | 81±18 | 
| DLCO/VA, % долж. | 82±15 | 88±15 | 
| Примечание. Данные представлены как среднее±стандартное отклонение (SD) для непрерывных переменных с нормальным распределением или как Ме (интерквартильный размах) для непрерывных переменных, распределение которых отлично от нормального. Число пациентов (n) использовалось для категориальных переменных; ВГО – внутригрудной объем газа, VA – альвеолярный объем. | ||
В группе пациентов, обследованных в ранние сроки после выписки из стационара, отмечались рестриктивные изменения у 5 человек (снижение ОЕЛ и объемов ее составляющих, в том числе снижение ЖЕЛ).
Снижение ДСЛ отмечалось у 22 (61%) пациентов из данной группы. Из них снижение показателей DLCO легкой степени (от 60% до нижней границы нормы) отмечалось у 9 человек, средней степени тяжести (от 40 до 60% долж.) – у 12 пациентов и тяжелой степени (менее 40% долж.) – у 1 пациента.
В группе пациентов, обследованных в поздние сроки, нарушений вентиляционной функции легких не выявлено (ЖЕЛ, ОФВ1, ОЕЛ сохранялись в пределах нормы).
Снижение ДСЛ отмечалось у 9 (33%) пациентов из данной группы.
Из них снижение легкой степени отмечалось у 5 пациентов, средней степени тяжести – у 4 пациентов.
Изменения ДСЛ статистически значимо отличались у пациентов в зависимости от сроков проведения исследования (ранние сроки: 68±20%, отсроченный период: 81±18%, p=0,014; рис. 3).
Рис. 3. Уровень DLCO в зависимости от сроков проведения исследования.
Таким образом, в период выздоровления после COVID-19 наиболее значимым функциональным изменением является снижение ДСЛ. Степень снижения ДСЛ зависит от объема поражения паренхимы легких в острой фазе заболевания и постепенно регрессирует в поздние сроки (рис. 4).
Рис. 4. Уровень DLCO в зависимости от сроков проведения исследования и объема поражения легочной ткани на пике заболевания (КТ-3, КТ-4).
Оценка КТ
По данным КТ ОГК у всех пациентов в острой фазе заболевания выявлены изменения, типичные для COVID-19. У всех пациентов отмечался двусторонний процесс. Патологически измененная ткань занимала 67,2% общего объема легочной ткани.
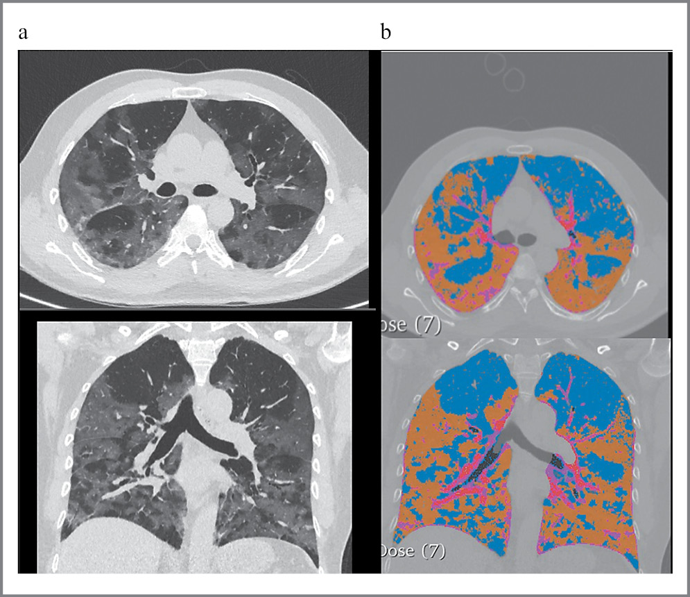
Основная доля (45,4%) патологических изменений в период острой фазы заболевания приходилась на «матовое стекло» и несколько меньше (21,3%) – на зоны консолидации (рис. 5).
Рис. 5: а – КТ ОГК (аксиальная и фронтальная реконструкции) в острой фазе заболевания; b – КТ легких, обработанная с помощью программного обеспечения Lung CT analysis for COVID-19.
Примечательно, что при повторных обследованиях, как в ранний период после выписки из стационара, так и в отсроченный, патологические зоны значительно регрессировали и изменилась сама структура патологических паттернов.
У пациентов, проходивших динамическое КТ-обследование в ранние сроки после перенесенной коронавирусной инфекции (с 30 по 60-й день), на долю патологически измененных зон приходилось уже 30,9%. Из них «матовое стекло» занимало 17,8%, консолидация – 3,5%, а появившиеся ретикулярные изменения – 9,45% (рис. 6).
Рис. 6: a – тот же пациент (см. рис. 5). КТ ОГК (аксиальная и фронтальная реконструкции) в динамике через 30 дней; b – КТ легких, обработанная с помощью программного обеспечения Lung CT analysis for COVID-19.
При анализе КТ-картины у пациентов, обратившихся в стационар в сроки с 61 по 180-й день после выписки, отмечалось снижение доли патологически измененных зон до 19,7%. Из них «матовое стекло» занимало 8,8%, консолидация – 1,3%, а ретикулярные изменения – 9,4% (табл. 3).
| Таблица 3. Оценка патологических паттернов при выполнении КТ ОГК в разные сроки после выписки из стационара Table 3. Evaluation of pathological patterns during CT of the chest circumference at different times after discharge from the hospital | |||
| КТ-картина в разные сроки заболевания | |||
| В стационаре | 30–60 дней после выписки | 61–180 дней после выписки | |
| Общий объем, абс. | 3866,1±1198,3 | 4226,58±1023,12 | 4181,5±1026,9 | 
| Патологическая легочная ткань | |||
| Абс. | 2537,2±760 | 1260,4±396,9 | 851,1±535,3 | 
| % | 67,2±13,2 | 30,9±10,6 | 19,7±7,9 | 
| «Матовое стекло» | |||
| Абс. | 1749,1±722 | 687,9±425,6 | 334,7±152,1 | 
| % | 45,4±10,8 | 17,8±12,4 | 8,8±5,1 | 
| Консолидация | |||
| Абс. | 768,2±395 | 134,6±66,9 | 55,3±29,9 | 
| % | 21,3±11,7 | 3,5±2,8 | 1,3±0,6 | 
| Ретикулярные изменения, % | 0 | 9,45±8,8 | 9,42±8,2 | 
При динамическом наблюдении мы можем видеть явное уменьшение патологических зон, причем чем в более поздние сроки выполнялось динамическое КТ-исследование, тем меньший объем патологически измененной ткани фиксировался (рис. 7).
Рис. 7. Динамические изменения по данным КТ ОГК в стационаре, ранние и отдаленные сроки после выписки из стационара.
Важно отметить, что регресс патологических зон у пациентов после перенесенной тяжелой коронавирусной пневмонии – это процесс постепенный, и может занять от нескольких недель до нескольких месяцев.
Оценка радионуклидных методов
Вентиляционно-перфузионная сцинтиграфия в режиме ОФЭКТ/КТ выполнялась только после выписки из стационара (рис. 8).
Рис. 8: а – ПС с 99mТс-макротехом в режиме ОФЭКТ; b – гибридное исследование: ПС с 99mТс-макротехом в режиме ОФЭКТ, совмещенная с КТ ОГК (фронтальная, сагиттальная, аксиальная реконструкции).
У 1 пациентки выявлен диффузно-очаговый дефицит перфузии, характерный для тромбоэмболии ЛА (ТЭЛА) с дефицитом 35%. У этой же пациентки еще на этапе стационарного лечения по поводу коронавирусной пневмонии по данным КТ ОГК с контрастированием диагностирована двусторонняя ТЭЛА.
У других пациентов данных в пользу очагового дефицита перфузии, характерного для ТЭЛА, не выявлено.
Но у большинства пациентов отмечался дефицит перфузии за счет диффузного снижения с явной тенденцией к уменьшению в более поздние сроки (табл. 4, рис. 9).
| Таблица 4. Определение дефицита перфузии (ПС) и оценка альвеоло-капиллярного барьера (ВС) у пациентов в разные сроки после перенесенной коронавирусной пневмонии Table 4. Determination of perfusion deficiency (perfusion scintigraphy – PS) and assessment of the alveolo-capillary barrier (ventilation scintigraphy – VS) in patients at different times after coronavirus pneumonia | |||
| Сроки после выписки из стационара | p | ||
| 30–60 дней | 60–180 дней | ||
| Диффузный дефицит перфузии, % | 26,0±12,8 | 19,4±6,2 | 0,08 | 
| АКД, мин | 48,2±31,3 | 83,6±37,2 | 0,003 | 
Рис. 9. Оценка дефицита перфузии в ранние (30–60-й день) и поздние (61–180-й день) сроки после выписки.
Что касается ВС, выявлена статистически достоверная разница между скоростью проникновения изотопа через альвеоло-капиллярную мембрану между двумя описанными группами пациентов.
При референсных значениях АКД в диапазоне от 55–108 мин у 1-й группы пациентов отмечалось ускорение проникновения изотопа (48,2±31,3 мин) через альвеоло-капиллярную мембрану, а у группы пациентов, обследованных в более поздние сроки, отмечалось замедление времени проникновения до 83,6±37,2 мин (см. табл. 4, рис. 10, 11).
Рис. 10. Оценка скорости АКД при ВС в ранние (30–60-й день) и поздние (61–180-й день) сроки после выписки.
Рис. 11: a – ВС с 99mТс-пентатехом в режиме ОФЭКТ; b – гибридное исследование: ВС с 99mТс-пентатехом в режиме ОФЭКТ, совмещенной с КТ ОГК (фронтальная, сагиттальная, аксиальная реконструкции).
Отдаленный гемостаз
Среди пациентов 1-й группы определялось повышение D-димера более двух норм (1,0 нг/мл) в 24% случаев. При этом не получено значимой корреляции с уровнем СРБ и показателями легочной перфузии.
Число тромбоцитов, уровень фибриногена и физиологических антикоагулянтов у пациентов обеих групп не выходили за пределы нормальных значений (табл. 5).
| Таблица 5. Показатели гемостаза Table 5. Hemostasis indicators | ||
| Показатель | Сроки после выписки из стационара | |
| 30–60 дней, n=36 | 61–180 дней, n=24 | |
| Число тромбоцитов, ×109/л | 255 (210; 288) | 211 (192; 250) | 
| Фибриноген по Клаусу, г/л | 2,93 (2,27; 3,69) | 2,57 (2,11; 3,7) | 
| Антитромбин, % | 97,5 (87,4; 107,5) | 96,8 (84,3; 104,7) | 
| Протеин С, % | 212 (210; 288) | 211 (192; 250) | 
| Примечание: Здесь и далее в табл. 6, 7 данные представлены в виде медианы (25, 75-й перцентили). | ||
Анализ показателей гемостаза не показал ни гиперкоагуляционных тенденций, ни признаков потребления. К нормальным значениям пришли часто наблюдаемые при коронавирусной инфекции изменения числа тромбоцитов (умеренная тромбоцитопения) и фибриногена (гипер- или гипофибриногенемия). Остаточные изменения характеризовались лишь повышением D-димера у 1/4 пациентов. При этом не наблюдалось взаимосвязи с маркерами воспаления или нарушения легочной функции. Публикаций по постковидному гемостазу в литературе немного. S. Mandal и соавт. [14] аналогично нашим данным на основе анализа лабораторных показателей 176 пациентов, проходивших стационарное лечение по поводу COVID-19, через 2 мес после выписки (Me 54 дня) выявили повышение D-димера в 31,1 случая. Так же, как и в нашей работе, не получено взаимосвязи с маркерами воспаления.
Результаты иммунологического обследования
Определение маркеров воспаления (СРБ, ПКТ, РФ, ферритин) и иммунологическое тестирование – IgA, M, G, циркулирующий иммунный комплекс, фетотипирование лимфоцитов – проведено 60 пациентам в ранние (1-я группа) и поздние (2-я группа) сроки после COVID-19.
Значения ПКТ у пациентов обеих групп регистрировались ниже 0,05, что соответствовало нормальным значениям. Однако уровень СРБ незначительно превышал верхнюю границу референсного интервала, что указывало на сохраняющийся остаточный воспалительный фон у пациентов обеих групп, но достоверных различий не выявлено (см. табл. 1). На имеющиеся остаточные воспалительные явления указывает также уровень циркулирующего иммунного комплекса (ЦИК) сумм., который превышал в 2,5 раза нормальные значения в обеих группах, но различия по группам не достоверны (р≥0,05); табл. 6.
| Таблица 6. Сравнение маркеров воспаления у пациентов в ранние (30–60 дней после выписки) и поздние (61–180 дней после выписки) сроки после перенесенной инфекции COVID-19 Table 6. Comparison of inflammation markers in patients in the early (30–60 days after discharge) and late (61–180 days after discharge) periods after COVID-19 infection | |||
| Показатели | Сроки после выписки из стационара | р | |
| 30–60 дней | 61–180 дней | ||
| СРБ≤3 мг/л | 3,2 (0,9; 4,7) | 3,45 (0,77; 9,0) | 0,349 | 
| Ферритин 10–120 мкг/л | 84,6 (28,5; 151,5) | 88,2 (43,5; 134,5) | 0,758 | 
| РФ≤15 МЕ/м | 9,5 (8,9; 15,6) | 8,9 (8,9; 10,1) | 0,256 | 
| ЦИК сумм. 120–230 | 599 (457; 901) | 572 (530; 778) | 0,803 | 
Показатели ферритина и РФ по группам достоверно не различались и регистрировались в пределах референсного интервала (см. табл. 6).
Проведенный сравнительный анализ иммунологических тестов также не выявил достоверных различий между группами, а анализируемые показатели изменялись в пределах референсного интервала значений (табл. 7).
| Таблица 7. Результаты иммунологических тестов у пациентов в ранний (30–60 дней) и отсроченный (61–180 дней) период после перенесенной инфекции COVID-19 Table 7. Results of immunological tests in patients in the early (30–60 days) and delayed (61–180 days) period after COVID-19 infection | |||
| Показатели/референcный интервал | Сроки после выписки из стационара | р | |
| 30–60 дней, n=36 | 61–180 дней, n=24 | ||
| Т-лимфоциты (CD3), 920–2310 кл/мкл | 1487 (1292; 1825) | 1286 (977; 1889) | 0,1962 | 
| CD3CD4, 555–1461 кл/мкл | 849 (729; 1107) | 675 (567; 1123) | 0,2183 | 
| CD3CD8, 334–1016 кл/мкл | 621 (393; 894) | 544 (268; 694) | 0,3747 | 
| CD3-CD16+56+, 153–528 кл/мкл | 242 (161; 346) | 260 (151; 420) | 0,6621 | 
| В-лимфоциты (CD19), 80–616 кл/мкл | 132,0 (68; 173,5) | 158,0 (94; 211,0) | 0,2730 | 
| IgA, 1,8–2,5 г/л | 1,67 (1,23; 1,32) | 1,62 (1,32; 1,94) | 0,8836 | 
| IgM, 1,1–2,1 г/л | 0,75 (0,615; 1,09) | 0,745 (0,58; 1,210) | 0,7617 | 
| IgG, 10–14 г/л | 9,9 (7,8; 12,0) | 10,5 (8,13; 12,95) | 0,3407 | 
Результаты иммунологического тестирования не выявили изменений у пациентов в ранние и поздние сроки после перенесенной инфекции COVID-19. Можно отметить некоторое увеличение маркеров воспаления (СРБ и циркулирующего иммунного комплекса) у отдельных пациентов обеих групп, что указывает на наличие вероятного остаточного синдрома воспаления.
Специфический иммунный ответ
У переболевших пациентов оценивали специфический иммунный ответ: исследование антител к N+S белкам вируса SARS-CoV-2 (IgM, IgG Mindray), а также вируснейтрализующую активность (титр ВНА, НИЦЭМ им. Н.Ф. Гамалеи). Дополнительно было проведено исследование аликвотированных образцов на антитела к S-белку SARS-CoV-2 (RBD).
При сравнении полученных данных на ранних (30–60 дней после выписки) и поздних (61–180 дней после выписки) сроках обследования статистически достоверных различий не выявлено.
Кроме того, мы сравнили полученные данные специфического иммунного ответа переболевших пациентов с группой вакцинированных доноров от 18 до 55 лет.
При сравнении с группой вакцинированных доноров у переболевших отмечается значимо более выраженный специфический иммунный ответ (IgM, IgG Mindray), но при этом количество антител к S-белку RBD и количество протективных антител (титр ВНА) статистически не отличалось у вакцинированных и переболевших.
Обсуждение
Как уже показано в многочисленных работах, основные изменения по КТ легких при COVID-19 включают «матовое стекло» и консолидацию, характеризуются двусторонним вовлечением, а также периферическим и диффузным распределением [15, 16].
Наше исследование показывает, что при оценке КТ легких в динамике у всех пациентов наблюдался не только значительный регресс патологических изменений, зависимый от удаленности эпизода коронавирусной пневмонии, но и трансформация патологических зон из «матового стекла» и консолидатов преимущественно в ретикулярные изменения (рис. 7).
Наши данные по мониторингу динамики КТ-изменений подтверждают уже ставшую общепризнанной концепцию об отсутствии формирования значимых фиброзных изменений в легких у пациентов после коронавирусной пневмонии.
По данным комплексной ФВД в ранние сроки (30–60 дней) после перенесенной коронавирусной пневмонии у 22 (61%) пациентов фиксируются нарушения, наиболее частыми из которых является снижение ДСЛ. Причем выраженность снижения диффузии зависит от объема поражения в период острой фазы заболевания (см. рис. 4).
У обследованных в поздние сроки (61–180-й день) после перенесенной коронавирусной пневмонии описанные изменения значимо регрессируют и сохраняются только у 9 (33%) пациентов с явной тенденцией к восстановлению до нормальных показателей.
Полученные функциональные данные также вписываются в концепцию восстановления пораженной легочной паренхимы с течением времени и отсутствия значимых необратимых изменений.
По мнению морфологов, пневмония, которая развивается на фоне COVID-19, это диффузное альвеолярное повреждение (ДАП), которое имеет свои особенности, в частности сочетание с тромботической микроангиопатией, эндотелиитом, тромбозами крупных и мелких сосудов (thrombosis in situ).
Как и ДАП любой другой этиологии, ДАП при коронавирусной пневмонии тяжелого течения характеризуется двумя стадиями: эксcудативной и пролиферативной. Причем характерно частое сочетание этих двух фаз одновременно и, возможно, более затяжное их течение во времени.
В I экссудативной фазе ДАП сосуды микроциркуляции полнокровны, раскрываются анастомозы, в них морфологами отмечаются стаз, замедление кровотока и развитие тромбов. Кроме того, развивается интраальвеолярный отек, формируются гиалиновые мембраны, периваскулярная и перибронхиальная лимфо-плазмоклеточная инфильтрация [17].
Особенностями пролиферативной стадии ДАП являются формирование грануляционной ткани, интерстициальное воспаление, выраженная метаплазия альвеолярного и бронхиолярного эпителия, микроангиопатии и тромбоз микроциркуляторного русла [17].
При большом объеме поражения очень часто отмечаются длительная персистенция и медленное разрешение патологических зон.
Постепенный регресс патологических изменений в легких демонстрируют не только КТ легких и функция внешнего дыхания, но и радиоизотопные методы.
При ВС динамику изменения прохождения изотопа через альвеоло-капиллярный барьер от быстрой (48,2±31,3 мин) в ранние сроки до замедления в поздние сроки (83,6±37,2 мин) можно объяснить особенностью абсорбции используемого нами изотопа.
В мире для проведения ВС используются разные изотопы, в частности 133Xe, 81Kr, технегаз и 99mTc-DTPA (99mТс-пентатех). Но именно для 99mТс-пентатеха характерно ускорение времени альвеолярной абсорбции при наличии воспалительной инфильтрации в легких. При регрессе воспалительных изменений и восстановлении нормальной структуры легочной ткани происходит удлинение времени прохождения альвеоло-капиллярного барьера [18].
По данным перфузионной сцинтиграфии мы только в одном случае фиксировали очаговый дефект перфузии, характерный для ТЭЛА, у пациентки, которая перенесла ТЭЛА еще на этапе стационарного лечения. В большинстве исследований мы наблюдали диффузный дефицит перфузии, который уменьшался в отдаленные сроки после коронавирусной пневмонии. Морфологическим объяснением полученных данных могут быть тромбозы микроциркуляции (thrombosis in situ), которые регрессируют со временем на фоне антикоагулянтной терапии, или срабатывание компенсаторных механизмов вазоконстрикции в зонах вентиляционно-перфузионного несоответствия в ранние сроки обследования.
Что касается отдаленного гемостаза, при обследовании у наших пациентов не зафиксировано тенденции к гиперкоагуляции. Сохранялось остаточное повышение D-димера в группе пациентов, которые проходили обследование в ранние сроки (30–60 дней после выписки из стационара). Полученные данные, а также отсутствие тромбоэмболических осложнений у пациентов в обследуемой группе в отдаленные сроки оправдывают нашу тактику по использованию высоких доз антикоагулянтов в стационаре и длительному назначению антикоагулянтов после выписки.
Тем не менее, несмотря на то, что описанные результаты демонстрируют положительную динамику по рентгенологическим, функциональным, радиоизотопным и лабораторным методам обследования, есть пациенты, у которых постковидный период протекает не столь благоприятно.
В медицинской англоязычной литературе появилось специфическое обозначение (post-COVID, long-COVID), которое включает большой комплекс осложнений у пациентов, перенесших коронавирусную пневмонию.
В России чаще употребляются термины «постковидная болезнь» или «постковидный синдром».
Всемирная организация здравоохранения дала следующее определение постковидного синдрома: post-COVID-19 – это состояние, которое возникает у пациентов с вероятной или подтвержденной инфекцией SARS-CoV-2 через 3 мес от начала первых симптомов COVID-19. Постковидный синдром имеет клинические проявления в виде утомляемости, одышки, когнитивной дисфункции и др. Длится не менее 2 мес и устанавливается при условии отсутствия альтернативного диагноза.
Учитывая масштабы пандемии COVID-19, постковидные осложнения стали значимой медицинской проблемой.
В последнее время врачам все чаще приходится сталкиваться c разными вариантами течения «постковидной болезни». Обсуждается фенотипирование long-COVID-синдрома [19]. Мы в своей практике уже сталкивались с персистенцией инфекции (цитомегаловирусной, грибковой, бактериальной), рецидивирущим течением организующейся пневмонии, рецидивирующими тромбозами и ТЭЛА.
Заключение
Коронавирусная пневмония имеет морфологическую структуру ДАП со специфическими особенностями в виде поражения сосудистого русла и высокими рисками формирования тромбозов. После выписки из стационара у подавляющего большинства пациентов отмечаются регресс воспалительных изменений и восстановление функции легких, нормализация гемостаза и маркеров воспаления. Отсутствие формирования значимых необратимых изменений со стороны основного органа-мишени – легких демонстрируют функциональные, радиоизотопные и рентгенологические методы исследования.
Тем не менее есть группа пациентов, у которых симптомы продолжают персистировать и после окончания острой фазы заболевания. Требуется дальнейшее тщательное изучение состояния пациентов после перенесенной коронавирусной пневмонии, что приведет к разработке диагностических и лечебных алгоритмов у пациентов, перенесших COVID-19. Это, в свою очередь, позволит своевременно и лечить и, самое главное, профилактировать постковидные осложнения.
Раскрытие интересов. Авторы декларируют отсутствие явных и потенциальных конфликтов интересов, связанных с публикацией настоящей статьи.
Disclosure of interest. The authors declare that they have no competing interests.
Вклад авторов. Авторы декларируют соответствие своего авторства международным критериям ICMJE. Все авторы в равной степени участвовали в подготовке публикации: разработка концепции статьи, получение и анализ фактических данных, написание и редактирование текста статьи, проверка и утверждение текста статьи.
Authors’ contribution. The authors declare the compliance of their authorship according to the international ICMJE criteria. All authors made a substantial contribution to the conception of the work, acquisition, analysis, interpretation of data for the work, drafting and revising the work, final approval of the version to be published and agree to be accountable for all aspects of the work.
Источник финансирования. Авторы декларируют отсутствие внешнего финансирования для проведения исследования и публикации статьи.
Funding source. The authors declare that there is no external funding for the exploration and analysis work.
About the authors
Natalia A. Karchevskaya
Sklifosovsky Research Institute for Emergency Medicine
							Author for correspondence.
							Email: karchevskaia@mail.ru
				                	ORCID iD: 0000-0001-8368-1056
				                																			                								
канд. мед. наук, врач-пульмонолог, науч. сотр. отд-ния торако-абдоминальной хирургии
Russian Federation, MoscowIvan M. Skorobogach
Sklifosovsky Research Institute for Emergency Medicine
														Email: karchevskaia@mail.ru
				                	ORCID iD: 0000-0002-5428-6687
				                																			                								
мл. науч. сотр., врач-рентгенолог отд-ния лучевой диагностики
Russian Federation, MoscowAlexander V. Cherniak
Pletnev City Clinical Hospital; Pulmonology Scientific Research Institute
														Email: karchevskaia@mail.ru
				                	ORCID iD: 0000-0002-2001-5504
				                																			                								
канд. мед. наук, врач функциональной диагностики отд. функциональной и ультразвуковой диагностики; зав. лаб. функциональных и ультразвуковых методов исследования
Russian Federation, Moscow; MoscowEkaterina V. Migunova
Sklifosovsky Research Institute for Emergency Medicine
														Email: karchevskaia@mail.ru
				                	ORCID iD: 0000-0001-7521-487X
				                																			                								
канд. мед. наук, ст. науч. сотр. отд. лучевой диагностики
Russian Federation, MoscowOlga V. Leshchinskaya
Sklifosovsky Research Institute for Emergency Medicine
														Email: karchevskaia@mail.ru
				                	ORCID iD: 0000-0003-2902-6338
				                																			                								
врач-рентгенолог отд. радиоизотопной диагностики
Russian Federation, MoscowElena N. Kalmanova
Pletnev City Clinical Hospital
														Email: karchevskaia@mail.ru
				                	ORCID iD: 0000-0002-8681-7569
				                																			                								
канд. мед. наук, зав. отд. функциональной и ультразвуковой диагностики
Russian Federation, MoscowAndrey Iu. Bulanov
Sklifosovsky Research Institute for Emergency Medicine
														Email: karchevskaia@mail.ru
				                	ORCID iD: 0000-0001-6999-8145
				                																			                								
д-р мед. наук, вед. науч. сотр. отд. биотехнологий и трансфузиологии
Russian Federation, MoscowElena A. Ostrovskaya
Sklifosovsky Research Institute for Emergency Medicine
														Email: karchevskaia@mail.ru
				                	ORCID iD: 0000-0001-7343-0667
				                																			                								
врач-гематолог, врач-трансфузиолог отд. производственной, клинической трансфузиологии и гравитационной хирургии крови
Russian Federation, MoscowAlexander I. Kostin
Sklifosovsky Research Institute for Emergency Medicine
														Email: karchevskaia@mail.ru
				                	ORCID iD: 0000-0001-7542-851X
				                																			                								
канд. мед. наук, врач-гематолог, зав. отд. производственной клинической трансфузиологии и гравитационной хирургии крови
Russian Federation, MoscowValentina P. Nikulina
Sklifosovsky Research Institute for Emergency Medicine
														Email: karchevskaia@mail.ru
				                	ORCID iD: 0000-0003-3305-1958
				                																			                								
канд. мед. наук, ст. науч. сотр. клинико-диагностической лаб.
Russian Federation, MoscowNatalia Iu. Kravchenko
Pulmonology Scientific Research Institute
														Email: karchevskaia@mail.ru
				                	ORCID iD: 0000-0001-5228-7793
				                																			                								
рук. Научно-методического центра мониторинга и контроля болезней органов дыхания
Russian Federation, MoscowAndrey S. Belevskiy
Pirogov Russian National Research Medical University
														Email: karchevskaia@mail.ru
				                	ORCID iD: 0000-0001-6050-724X
				                																			                								
д-р мед. наук, проф., зав. каф. пульмонологии
Russian Federation, MoscowSergey S. Petrikov
Sklifosovsky Research Institute for Emergency Medicine
														Email: karchevskaia@mail.ru
				                	ORCID iD: 0000-0003-3292-8789
				                																			                								
чл.-кор. РАН, д-р мед. наук, проф., дир.
Russian Federation, MoscowReferences
- Carfi A, Bernabei R, Landi F, et al. Persistent symptoms in patients after acute COVID-19. JAMA. 2020;324:603-5. doi: 10.1001/jama.2020.12603
- Huang C, Huang L, Wang Y, et al. 6-month consequences of COVID-19 in patients discharged from hospital: a cohort study. Lancet. 2021;397:220-32. doi: 10.1016/S0140-6736(20)32656-8
- Froidure A, Mahsouli A, Liistro G, et al. Integrative respiratory follow-up of severe COVID-19 reveals common functional and lung imaging sequelae. Respir Med. 2021;181:106383. doi: 10.1016/j.rmed.2021.106383
- Lerum TV, Aalokken TM, Bronstad E, et al. Dyspnoea, lung function and CT findings three months after hospital admission for COVID-19. Eur Respir J. 2021;57:2003448. doi: 10.1183/13993003.03448-2020
- Wu X, Liu X, Zhou Y, et al. 3-month, 6-month, 9-month, and 12-month respiratory outcomes in patients following COVID-19-related hospitalisation: a prospective study. Lancet Respir Med. 2021;9:747-54. doi: 10.1016/S2213-2600(21)00174-0
- Профилактика, диагностика и лечение новой коронавирусной инфекции (COVID-19): временные методические рекомендации. Версия 14 (27.12.2021). М., 2021 [Prevention, diagnosis and treatment of novel coronavirus infection (COVID-19): interim guidelines. Version 14 (12.27.2021). Moscow, 2021 (in Russian)].
- Чучалин А.Г., Айсанов З.Р., Чикина С.Ю., и др. Федеральные клинические рекомендации Российского респираторного общества по использованию метода спирометрии. Пульмонология. 2014;6:11-23 [Chuchalin AG, Aysanov ZR, Chikina SYu, et al. Federal guidelines of Russian Respiratory Society on spirometry. Pulmonologiya. 2014;(6):11-24 (in Russian)]. doi: 10.18093/0869-0189-2014-0-6-11-24
- Miller MR, Hankinson J, Brusasco V, et al. Standardisation of spirometry. Eur Respir J. 2005;26(2):319-37. doi: 10.1183/09031936.05.00034805
- Wanger J, Clausen JL, Coates A, et al. Standardisation of the measurement of lung volumes. Eur Respir J. 2005;26(3):511-22. doi: 10.1183/09031936.05.00035005
- Quanjer PH, Tammeling GJ, Cotes JE, et al. Lung volumes and forced ventilatory flows. Report working party standardization of lung function tests, European Community for Steel and Coal. Official Statement of the European Respiratory Society. Eur Respir J. 1993;6(16):5-40. doi: 10.1183/09041950.005s1693
- Graham BL, Brusasco V, Burgos F, et al. ERS/ATS Standards for single-breath carbon monoxide uptake in the lung. Eur Respir J. 2017;49:pii:1600016. doi: 10.1183/13993003.00016-2016
- Рекомендации Российского респираторного общества по проведению функциональных исследований системы дыхания в период пандемии COVID-19. Версия 1.1. от 19.05.2020. Режим доступа: https://spulmo.ru/upload/rekomendacii_rro_fvd_COVID_19_rev1_1_01062020.pdf. Ссылка активна на 20.12.2021 [Recommendations of the Russian Respiratory Society for conducting functional studies of the respiratory system during the COVID-19 pandemic Version 1.1. from 19.05.2020. Available at: https://spulmo.ru/upload/rekomendacii_rro_fvd_COVID_19_rev1_1_01062020.pdf. Accessed: 20.12.2021 (in Russian)].
- Available at: http://www.slicer.org. Accessed: 20.12.2021.
- Mandal S, Barnett J, Brill SE, et al. “Long-COVID”: a cross-sectional study of persisting symptoms, biomarker and imaging abnormalities following hospitalization for COVID. Thorax. 2020;0:1-3. doi: 10.1136/thoraxjnl-2020-215918
- Islam N, Salameh JP, Leeflang MM, et al. Thoracic imaging tests for the diagnosis of COVID-19 Cochrane COVID-19 Diagnostic Test Accuracy Group. Cochrane Database Syst Rev. 2020;11:CD013639. doi: 10.1002/14651858.CD013639.pub3; PMID: 33242342
- Li B, Li X, Wang Y, et al. Diagnostic value and key features of computed tomography in Coronavirus Disease 2019. Emerg Microbes Infect. 2020;9(1):787-93. doi: 10.1080/22221751.2020.1750307; PMID: 32241244
- Патологическая анатомия COVID-19. Под общ. ред. О.В. Зайратьянца. М., 2020 [Patologicheskaia anatomiia COVID-19. Pod obshch. red. OV Zairat'iantsa. Moscow, 2020 (in Russian)].
- Kim C, Zukotynski KA. A Clinical Guide. SPECT and SPECT/CT. Thieme Medical Publishers, 2017.
- Naeije R, Caravita S. Phenotyping long COVID. Eur Respir J. 2021;58:2101763. doi: 10.1183/13993003.01763-2021
Supplementary files
 
				
			 
					 
						 
						 
				
 
  
  
  Email this article
			Email this article 












