The role of the main risk factors and endocrine cells of the antrum of the stomach producing motilin in the occurrence of cholelithiasis
- Authors: Svistunov A.A.1, Osadchuk M.A.1, Mironova E.D.1, Guliaev P.V.1, Vasileva I.N.1
-
Affiliations:
- Sechenov First Moscow State Medical University (Sechenov University)
- Issue: Vol 94, No 2 (2022)
- Pages: 194-199
- Section: Original articles
- Submitted: 28.03.2022
- Accepted: 28.03.2022
- Published: 15.02.2022
- URL: https://ter-arkhiv.ru/0040-3660/article/view/105558
- DOI: https://doi.org/10.26442/00403660.2022.02.201370
- ID: 105558
Cite item
Full Text
Abstract
Aim. To establish the role of the main risk factors and endocrine cells of the antrum of the stomach producing motilin (M-cells) in the occurrence of cholelithiasis.
Materials and methods. The first group included 122 patients with cholelithiasis. The second group consisted of 30 healthy individuals who underwent medical examination. The groups were matched for gender and age. The work analyzed anamnestic, biochemical and anthropometric data. All patients underwent esophagogastroduodenoscopy with targeted biopsy of the mucous membrane from the antrum. Biopsies were subjected to cytological and immunohistochemical studies in order to verify Helicobacter pylori and estimate the number of M-cells.
Results. Patients with cholelithiasis more often belonged to the group of people of mental labor, had low physical activity, were committed to inappropriate nutrition and more often indicated the presence of aggravated heredity for cholelithiasis. Patients with gallstone disease had higher body mass index, waist volume, total cholesterol, low-density lipoprotein cholesterol, triglycerides, glucose, lower high-density lipoprotein cholesterol, H. pylori infection was more often verified and M-cell hypoplasia in the mucous membrane was established. stomach in comparison with the representatives of the second group.
Conclusion. Our results suggest that certain external factors, nutritional characteristics of the metabolic syndrome components, hypoplasia of M-cells in the gastric mucosa are important factors in the formation of calculi in the gallbladder.
Keywords
Full Text
Список сокращений
ДИ – доверительный интервал
ЖКБ – желчнокаменная болезнь
ИМТ – индекс массы тела
М-клетки – эндокринные клетки в слизистой оболочке желудка, продуцирующие мотилин
ОТ – объем талии
ОХС – общий холестерин
ТГ – триглицериды
ХС – холестерин
ХС ЛПВП – холестерин липопротеидов высокой плотности
ХС ЛПНП – холестерин липопротеидов низкой плотности
В структуре гастроэнтерологических заболеваний желчнокаменная болезнь (ЖКБ) занимает одну из лидирующих позиций и встречается примерно у 10–15% населения всего мира [1]. Пациенты с холелитиазом подвержены развитию различных гепатобилиарных осложнений, в том числе холецистита, панкреатита, вторичных инфекций и манифестации неопластических процессов [2]. Формирование конкрементов происходит под влиянием метаболических нарушений, наследственных факторов, особенностей питания и образа жизни [3], но не вызывает сомнения, что нарушения моторно-эвакуаторной функции желчного пузыря и желудочно-кишечного тракта, вызванные нейроэндокринной дисфункцией, играют важную роль в генезе ЖКБ [4–6]. Однако недостаточная информативная значимость изучаемых показателей, ответственных за длительные нарушения нейроэндокринной регуляции пищеварительного тракта, обусловленная быстрым распадом нейрогормонов в крови, создает дополнительные трудности в определении их роли в генезе моторно-эвакуаторных нарушений. С этих позиций важная роль может быть отведена изучению функциональной морфологии эндокринных клеток пищеварительного тракта, продуцирующих нейрогормоны, иммуногистохимическая структура которых имеет устойчивый характер.
Цель исследования – установить распространенность основных и гипотетических факторов риска развития желчных конкрементов и оценить роль эндокринных клеток в слизистой оболочке антрального отдела желудка, продуцирующих мотилин (М-клетки), в развитии ЖКБ.
Материалы и методы
Набор пациентов проводился с января 2019 по май 2020 г. среди пациентов, проходящих плановую диспансеризацию на базе ГБУЗ ДЦ №5. Отобраны 122 пациента с ЖКБ в возрасте от 40 до 65 лет (27 мужчин и 95 женщин, средний возраст 54,93±7,34); 2-ю группу составили 30 здоровых лиц, прошедших диспансеризацию и имеющих показания для выполнения эзофагогастродуоденоскопии (в диагностических целях при подозрении на заболевание пищевода, желудка или двенадцатиперстной кишки), – 6 мужчин и 24 женщины, средний возраст 54,63±5,19 года. Все пациенты соответствовали критериям включения и не соответствовали критериям исключения.
Критерии включения. Больные от 40 до 65 лет. Все сопутствующие заболевания находились в фазе ремиссии или стойкой компенсации.
Критерии исключения. Острые воспалительные заболевания желчного пузыря и желчевыводящих путей, отключенный желчный пузырь, карцинома желчного пузыря, камни диаметром более 10 мм, ВИЧ-инфекция, наличие гепатита В и С, туберкулез, язвенная болезнь желудка, цирроз печени в стадии сосудистой и паренхиматозной декомпенсации и/или выраженной активности, воспалительные заболевания кишечника, тяжелые нарушения функций почек, семейная гиперхолестеринемия, беременность и иные сопутствующие острые и хронические заболевания в фазе обострения, онкологические заболевания.
Все включенные в исследование сопоставимы по полу и возрасту и после получения информированного согласия обследованы в соответствии с принципами Хельсинкской декларации Всемирной организации здравоохранения и правилами биоэтики. В работе анализировались анамнестические (отягощенная наследственность по ЖКБ; характер профессии; нерациональное питание: избыточное потребление пищи, жиров, углеводов, потребление поваренной соли более 5 г/сут – досаливание приготовленной пищи, частое употребление соленостей, консервов, колбасных изделий, – недостаточное потребление фруктов и овощей – менее 400 г или менее 4–6 порций в сутки; низкая физическая активность – ходьба в умеренном или быстром темпе менее 30 мин в день), биохимические (общий холестерин – ОХС, холестерин липопротеидов низкой плотности – ХС ЛПНП, холестерин липопротеидов высокой плотности – ХС ЛПВП, триглицериды – ТГ, глюкоза в плазме крови) и антропометрические (индекс массы тела – ИМТ и объем талии – ОТ) данные.
Диагностика ЖКБ базировалась на данных ультразвуковой диагностики органов брюшной полости. Пациентам выполнялась эзофагогастродуоденоскопия с прицельной биопсией слизистой оболочки из антрального отдела желудка. Материалом для цитологического исследования служили мазки-отпечатки биоптатов, полученные при эндоскопии и окрашенные по Романовскому–Гимзе с целью верификации Helicobacter pylori. Иммуногистохимическое исследование проводили с использованием моноклональных мышиных антител к мотилину (1:100, Novocastra). В качестве вторых антител использовали универсальный набор, содержащий биотинилированные антимышиные иммуноглобулины. Парафиновые срезы толщиной 4–6 мкм помещали на предметные стекла, покрытые пленкой из поли-L-лизина (Sigma). Визуализацию окрасок проводили с применением комплекса авидина с биотинилированной пероксидазой (ABC-kit), с последующим проявлением пероксидазы хрена диаминобензидином (все реагенты от Novocastra). Для проведения иммуногистохимической реакции использовали стандартный одноэтапный протокол. Морфометрические исследования базировались на системе компьютерного анализа микроскопических изображений (Nikon). Морфологические изображения, поступающие через оптическую систему микроскопа Nikon Eclipse 400 (увеличение ×200: объектив 20, окуляр 10), регистрировались цифровой цветной видеокамерой Nikon DXM1200, вмонтированной в тубус микроскопа, и передавались в компьютер. Количество иммунопозитивных клеток автоматически подсчитывалось в 5 рандомизированных полях зрения при указанном увеличении, и цифровые данные пересчитывались на 1 мм2 с помощью пакета прикладных морфометрических программ «Видеотест-Морфология 5.2».
Статистический анализ проводился в соответствии с поставленной целью. Для оценки нормальности распределения переменных использовался критерий Шапиро–Уилка. Для числовых переменных рассчитаны: средний показатель и среднеквадратичное отклонение (M±σ), 95% доверительный интервал (ДИ). Для подтверждения нормального распределения совокупностей способом оценки статистической значимости различий между средними величинами служили методы параметрического анализа (t-критерий Стьюдента). В случаях, когда распределение хотя бы одной из совокупностей не являлось нормальным, для сравнения использовались методы непараметрического анализа (U-критерий Манна–Уитни). Для выявления взаимосвязи между показателями применялся коэффициент корреляции Пирсона с оценкой по шкале Чеддока. Сравнение качественных данных двух групп осуществлялось с помощью таблиц сопряженности с определением критерия χ2 Пирсона. Для проведения статистического анализа использовалась программа SPSS 22.0 (SPSS Inc, США) для Windows (Microsoft Corporation, США), причем р<0,05 считался статистически значимым.
Результаты
Анализ половой принадлежности показал, что 1 и 2-я группы с ЖКБ представлены преимущественно женским контингентом. Так, в 1-й группе – 77,9% женщин, во 2-й – 80%. При сопоставлении 1 и 2-й групп обнаружено, что пациенты с ЖКБ чаще относились к группе лиц умственного труда, имели низкую физическую активность, оказались привержены нерациональному питанию и чаще указывали на наличие отягощенной наследственности по ЖКБ (рис. 1).
Рис. 1. Сравнение анамнестических данных среди испытуемых групп.
Примечание. Здесь и на рис. 4, в табл. 1: *p<0,05 между 1 и 2-й группами.
Так, в 1-й группе работа, связанная с физическим трудом, определялась у 7,4%, в то время как во 2-й группе – у 33,3% испытуемых (χ2=14,83, р<0,05). Низкая физическая активность в 1-й группе встречалась у 79,5%, во 2-й группе – только у 40% (χ2=18,52, р<0,05). Нерациональное питание среди испытуемых с ЖКБ зарегистрировано у 66,4%, в группе здоровых пациентов – у 23,3% (χ2=18,31, р<0,05). Анализ наследственной отягощенности по ЖКБ показал значимое различие при сравнении пациентов 1 и 2-й групп. Среди лиц с ЖКБ 46,7% имели отягощенную наследственность по ЖКБ, в то время как в группе сравнения – 26,7% (χ2=3,95, р<0,05). Во всех группах процент курящих составил примерно 33%, и не зафиксировано значимых различий между группами по данным параметрам.
Анализ антропометрических и биохимических данных показал, что у пациентов с ЖКБ отмечались более высокие показатели ИМТ (28,80±6,30 кг/м2 против 24,74±0,43 кг/м2), ОТ (87,63±10,25 см против 79,23±7,15 см), уровня ОХС, ХС ЛПНП, ТГ, глюкозы и низкий уровень ХС ЛПВП по сравнению с представителями 2-й группы (p<0,05); табл. 1.
Таблица 1. Сравнение антропометрических, биохимических и иммуногистохимических данных среди испытуемых групп Table 1. Comparison of anthropometric, biochemical and immunohistochemical data among test groups | ||||
1-я группа (ЖКБ; n=122) | 2-я группа (здоровые; n=30) | |||
M±σ | 95% ДИ | M±σ | 95% ДИ | |
ОХС, ммоль/л | 5,70±1,01 | 5,52–5,88 | 4,36±0,60* | 4,13–4,59 |
ХС ЛПНП, ммоль/л | 3,40±0,93 | 3,23–3,57 | 2,33±0,52* | 2,13–2,52 |
ХС ЛПВП, ммоль/л | 1,29±0,39 | 1,22–1,36 | 1,68±0,37* | 1,54–1,82 |
ТГ, ммоль/л | 1,84±0,88 | 1,68–2,0 | 1,02±0,31* | 0,90–1,14 |
Глюкоза, ммоль/л | 5,79±1,13 | 5,59–5,99 | 5,08±0,37* | 4,94–5,22 |
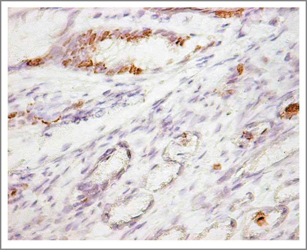
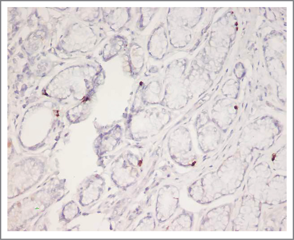
При сравнении пациентов 1 и 2-й групп установлено, что у лиц с ЖКБ количество М-клеток в слизистой оболочке антрального отдела желудка достоверно меньше по сравнению с группой здоровых пациентов (0,79±0,11 мм2 против 0,95±0,10 мм2; p<0,05) (рис. 2 и 3). При этом проведенный анализ выявил статистически значимую слабую отрицательную корреляционную связь между количеством М-клеток с ОХС (r=-0,295, p<0,05) и ХС ЛПНП (r=-0,312, p<0,05) у пациентов с ЖКБ.
Рис. 2. Больной ЖКБ. Антральный отдел желудка. Уменьшение числа М-клеток. Иммуногистохимический метод (×200).
Рис. 3. Здоровый человек. Антральный отдел желудка. Нормальное количество М-клеток. Иммуногистохимический метод (×400).
Принимая во внимание существующую взаимосвязь между H. pylori и камнеобразованием в желчном пузыре, мы посчитали целесообразным исследовать распространенность данной инфекции в исследуемых группах (рис. 4). Так, наибольший процент инфицированных зарегистрирован у пациентов с ЖКБ – 63,9%, а наименьший процент инфицированности определялся в группе здоровых респондентов – 43,3% (χ2=4,25, р<0,05).
Рис. 4. Сравнение распространенности H. pylori среди пациентов с ЖКБ и без.
Обсуждение
Проведенный нами анализ показал, что гипоплазия М-клеток в слизистой оболочке антрального отдела желудка является одним из факторов, влияющих на процесс камнеобразования, а также обнаружена слабая обратная связь между количеством М-клеток и уровнями ОХС и ХС ЛПНП. По мере уменьшения числа эндокринных клеток, секретирующих мотилин, снижается сократительная функция желчного пузыря и кишечника [5, 7–11]. В результате происходит неполное опорожнение желчного пузыря, благоприятствующее осаждению кристаллов ХС с последующим формированием камней, а также увеличивается время продвижения химуса по кишечному тракту, где под влиянием микробиоты кишечника происходит чрезмерная продукция вторичных желчных кислот с их последующей энтерогепатической рециркуляцией и усиленной абсорбцией ХС в кишечнике [4–6, 12], что может быть одной из причин развития ЖКБ, а также дислипидемии. Также снижение уровня мотилина взаимосвязано с основными факторами риска развития ЖКБ.
В ряде работ продемонстрирована определенная связь между несбалансированным питанием, низкой физической активностью и патологической выработкой мотилина. C. Shaodong и соавт. в своем исследовании на крысах оценили влияние жирной пищи и физической активности на продукцию мотилина и иных осложнений. Так, в группе крыс, получавших пищу с высоким содержанием жиров, снижалось количество продуцируемого мотилина, увеличивались показатели ИМТ, ТГ, ХС ЛПНП, снижался уровень ХС ЛПВП и отмечалось накопление печеночных ТГ. В то же время у крыс, произвольно получавших в 2 раза меньше пищи с высоким содержанием жиров и выполняющих физические упражнения в течение 30 мин, установлено улучшение функциональных показателей печени, липидограммы и уровня мотилина [13]. Также рацион с высоким содержанием глюкозы снижает выработку мотилина [14]. В свою очередь в нашем исследовании пациенты с холелитиазом имели низкую физическую активность, реже придерживались тактики сбалансированного питания, и обнаружена слабая обратная связь между количеством М-клеток и уровнями ОХС и ХС ЛПНП. Связь между низкой физической активностью, умственной профессиональной деятельностью, несбалансированным питанием и камнеобразованием ранее подтверждена рядом исследователей [15, 16]. Вне зависимости от физической активности систематическое и продолжительное нахождение в сидячем положении может быть одним из триггерных факторов формирования камней в желчном пузыре [17]. В то же время независимо от степени ожирения физическая активность и умеренные профессиональные физические нагрузки способны снизить вероятность развития ЖКБ [15, 18]. Диета с высоким содержанием жиров на 13% увеличивает количество ХС в составе желчи [19].
В проведенном нами исследовании у пациентов с холелитиазом ИМТ значительно выше, чем у здоровых лиц. Известно, что избыточная масса тела и увеличение ОТ влияют как на формирование желчных камней, так и на прогрессирование их роста [16, 20]. Ожирение является хроническим воспалительным состоянием и тесно связано с повышенным уровнем провоспалительных факторов [21]. Это приводит к увеличению синтеза и выделения ХС в желчь. При этом количество производимого ХС прямо пропорционально избыточной массе тела [22], что подтверждает обнаруженную нами тенденцию к более высокому ОХС у пациентов с ЖКБ.
Известно, что по мере развития ожирения прогрессируют нарушения углеводного и липидного обмена. Так, в нашем исследовании среди пациентов с конкрементами в желчном пузыре оказались более высокие показатели глюкозы и выраженная дислипидемия. В свою очередь гипергликемия влияет на моторику желудочно-кишечного тракта и уменьшает сокращение желчного пузыря за счет вагально-холинергического торможения [23]. Резистентность к печеночному инсулину увеличивает секрецию желчного ХС, что способствует камнеобразованию [24]. Важно отметить, что резистентность к инсулину связана с низкой концентрацией ХС ЛПВП [22]. Высокие показатели ТГ также вносят вклад в камнеобразование. Увеличение уровня ТГ приводит к снижению сократительной активности желчного пузыря, что может легко привести к ЖКБ [25].
В нашем исследовании среди пациентов с ЖКБ чаще встречалась инфекция H. pylori, чем в группе здоровых. Снижение моторной функции верхних отделов пищеварительного тракта, в том числе желудка, обусловленное сниженной продукцией мотилина, может способствовать колонизации слизистой оболочки желудка H. pylori [26]. Задержка опорожнения желудка положительно связана с инфекцией H. pylori и развитием диспепсических симптомов [27]. В свою очередь данная инфекция способствует процессу образования камней. В метаанализе, включающем 18 исследований, также установлено, что H. pylori ассоциирована с повышенным риском развития ЖКБ [28]. Бактерию удалось выделить из желчи, конкрементов, образцов тканей желчного пузыря и печени у пациентов с ЖКБ, что доказывает системное влияние H. pylori на гепатобилиарную систему [29], а также существуют данные, подтверждающие влияние H. pylori на развитие дислипидемии [30].
Важно отметить, что до сих пор остается открытым вопрос, является ли гипоплазия М-клеток слизистой оболочки желудка первичной или вторичной по отношению к основным факторам риска развития ЖКБ, которые приведены выше. Необходимы дальнейшие исследования, направленные на изучение этих взаимосвязей.
В представленной работе подтверждена важная роль наследственности в развитии ЖКБ. В исследованиях, изучающих влияние генов на возникновение ЖКБ, особое место отводят общему варианту (p.D19H) транспортера ХС из печени и кишечника ABCG5/G8 и второму переносчику ABC, печеночной фосфатидилхолин транслоказе ABCB4, которая увеличивает риск развития ЖКБ, рака желчного пузыря и хронических заболеваний печени [31]. Результаты проведенных исследований диктуют необходимость дальнейших исследований, направленных на изучение взаимосвязи между ХС, ЖКБ и мотилином на генетическом уровне.
Среди испытуемых всех групп курили примерно одинаковое число пациентов. При этом мы не нашли связь между курением и камнеобразованием. В иных исследованиях также описывается отсутствие влияния курения на развитие холелитиаза [32].
Заключение
Таким образом, основные факторы риска, включая низкую физическую активность, нерациональное питание, наследственную отягощенность, ИМТ, ОТ, высокий уровень ОХС, ХС ЛПНП, ТГ, глюкозы, более низкий уровень ХС ЛПВП и гипоплазию М-клеток, выступают значимыми показателями холелитиаза. В работе продемонстрирована отрицательная корреляционная связь между количеством М-клеток и ОХС, ХС ЛПНП, одними из главных факторов, влияющих на камнеобразование. Данное исследование дает основание предполагать наличие взаимосвязи между инфицированием H. pylori и снижением продукции мотилина у заболевающих ЖКБ, что требует дополнительного изучения. Необходимо проведение дальнейших исследований, направленных на изучение взаимосвязи между характером питания, физической активностью, дислипидемией, кишечной моторикой, холелитиазом и гипоплазией М-клеток, которые позволят установить, является ли гипоплазия М-клеток слизистой оболочки желудка первичной или вторичной по отношению к основным факторам риска развития ЖКБ.
Раскрытие интересов. Авторы декларируют отсутствие явных и потенциальных конфликтов интересов, связанных с публикацией настоящей статьи.
Disclosure of interest. The authors declare that that they have no competing interests.
Вклад авторов. Авторы декларируют соответствие своего авторства международным критериям ICMJE. Все авторы в равной степени участвовали в подготовке публикации: разработка концепции статьи, получение и анализ фактических данных, написание и редактирование текста статьи, проверка и утверждение текста статьи.
Authors’ contribution. The authors declare the compliance of their authorship according to the international ICMJE criteria. All authors made a substantial contribution to the conception of the work, acquisition, analysis, interpretation of data for the work, drafting and revising the work, final approval of the version to be published and agree to be accountable for all aspects of the work.
Источник финансирования. Авторы декларируют отсутствие внешнего финансирования для проведения исследования и публикации статьи.
Funding source. The authors declare that there is no external funding for the exploration and analysis work.
About the authors
Andrey A. Svistunov
Sechenov First Moscow State Medical University (Sechenov University)
Email: osadchuk.mikhail@yandex.ru
ORCID iD: 0000-0003-1592-5703
чл.-кор. РАН, д-р мед. наук, проф., первый проректор
Russian Federation, MoscowMikhail A. Osadchuk
Sechenov First Moscow State Medical University (Sechenov University)
Author for correspondence.
Email: osadchuk.mikhail@yandex.ru
ORCID iD: 0000-0003-0485-6802
д-р мед. наук, проф., зав. каф. поликлинической терапии
Russian Federation, MoscowEkaterina D. Mironova
Sechenov First Moscow State Medical University (Sechenov University)
Email: osadchuk.mikhail@yandex.ru
ORCID iD: 0000-0003-3268-2408
ассистент каф. поликлинической терапии
Russian Federation, MoscowPavel V. Guliaev
Sechenov First Moscow State Medical University (Sechenov University)
Email: osadchuk.mikhail@yandex.ru
ORCID iD: 0000-0001-7893-7715
д-р мед. наук, доц. каф. поликлинической терапии
Russian Federation, MoscowInna N. Vasileva
Sechenov First Moscow State Medical University (Sechenov University)
Email: osadchuk.mikhail@yandex.ru
ORCID iD: 0000-0001-8335-1380
канд. мед. наук, доц. каф. поликлинической терапии
Russian Federation, MoscowReferences
- Everhart JE, Ruhl CE. Burden of digestive diseases in the United States Part III: Liver, biliary tract, and pancreas. Gastroenterology. 2009;136(4):1134-44. doi: 10.1053/j.gastro.2009.02.038
- Осадчук М.А., Свистунов А.А., Миронова Е.Д., и др. Болезни билиарного тракта в контексте ассоциации с онкологическими заболеваниями пищеварительной системы. Терапевтический архив. 2019;91(12):98-104 [Osadchuk MA, Svistunov AA. Mironova ED, et al. Diseases of biliary tract in the context of association with oncological diseases of the digestive system. Terapevticheskii Arkhiv (Ter. Arkh.). 2019;91(12):98-104 (in Russian)]. doi: 10.26442/00403660.2019.12.000455
- Успенский Ю.П., Фоминых Ю.А., Наджафова К.Н., и др. Патогенетические аспекты развития желчнокаменной болезни у пациентов с метаболическим синдромом. Терапевтический архив. 2021;93(2):209-14 [Uspenskiy YP, Fominykh YuA, Nadzhafova KN, et al. Pathogenetic aspects of the development of cholelithiasis in patients with metabolic syndrome. Terapevticheskii Arkhiv (Ter. Arkh.). 2021;93(2):209-14 (in Russian)]. doi: 10.26442/00403660.2021.02.200616
- Thomas LA, Veysey MJ, Murphy GM, et al. Octreotide induced prolongation of colonic transit increases faecal anaerobic bacteria, bile acid metabolising enzymes, and serum deoxycholic acid in patients with acromegaly. Gut. 2005;54(5):630-5. doi: 10.1136/gut.2003.028431
- van Erpecum KJ, van Berge Henegouwen GP. Intestinal aspects of cholesterol gallstone formation. Dig Liver Dis Off J Ital Soc Gastroenterol Ital Assoc Study Liver. 2003;35(3):S8-11. doi: 10.1016/s1590-8658(03)00086-0
- Xie M, Kotecha VR, Andrade JDP, et al. Augmented cholesterol absorption and sarcolemmal sterol enrichment slow small intestinal transit in mice, contributing to cholesterol cholelithogenesis. J Physiol. 2012;590(8):1811-24. doi: 10.1113/jphysiol.2011.224717
- Zhang ZH, Wu SD, Wang B, et al. Sphincter of Oddi hypomotility and its relationship with duodenal-biliary reflux, plasma motilin and serum gastrin. World J Gastroenterol. 2008;14(25):4077-81. doi: 10.3748/wjg.14.4077
- Wu Z, Luo H, Liang C. Role and mechanism of motilin in colonic motility disorder. Zhonghua Yi Xue Za Zhi. 2012;92(14):984-8.
- Lang IM, Sarna SK, Condon RE. Myoelectric and contractile effects of motilin on dog small intestine in vivo. Dig Dis Sci. 1986;31(10):1062-72. doi: 10.1007/BF01300259
- Apu AS, Mondal A, Kitazawa T, et al. Molecular cloning of motilin and mechanism of motilin-induced gastrointestinal motility in Japanese quail. Gen Comp Endocrinol. 2016;233:53-62. doi: 10.1016/j.ygcen.2016.05.017
- Kamerling IMC, Van Haarst AD, De Kam ML, et al. Gallbladder volume as a biomarker for the motilin effect in healthy volunteers and patients with functional dyspepsia. Aliment Pharmacol Ther. 2004;19(7):797-804. doi: 10.1111/j.1365-2036.2004.01905.x
- Вахрушев Я.М., Хохлачева Н.А. Факторы, способствующие образованию желчных камней, и их взаимодействие. Терапевтический архив. 2010;82(1):8-11 [Vahrushev YaM, Hohlacheva NA. Factors contributing to gallstone formation and their interaction. Terapevticheskii Arkhiv (Ter. Arkh.). 2010;82(1):8-11 (in Russian)].
- Shaodong C, Haihong Z, Manting L, Get al. Research of influence and mechanism of combining exercise with diet control on a model of lipid metabolism rat induced by high fat diet. Lipids Health Dis. 2013;12:21. doi: 10.1186/1476-511X-12-21
- Kay RG, Foreman RE, Roberts GP, et al. Mass spectrometric characterisation of the circulating peptidome following oral glucose ingestion in control and gastrectomised patients. Rapid Commun Mass Spectrom. 2020;34(18):e8849. doi: 10.1002/rcm.8849
- Hou L, Shu XO, Gao YT, et al. Anthropometric measurements, physical activity, and the risk of symptomatic gallstone disease in Chinese women. Ann Epidemiol. 2009;19(5):344-50. doi: 10.1016/j.annepidem.2008.12.002
- Kiani Q, Farooqui F, Khan MS, et al. Association of body mass index and diet with symptomatic gall stone disease: a case-control study. Cureus. 2020;12(3):e7188. doi: 10.7759/cureus.7188
- Ryu S, Chang Y, Kim YS, Kim HJ. Prolonged sitting increases the risk of gallstone disease regardless of physical activity: a cohort study. Scand J Gastroenterol. 2018;53(7):864-9. doi: 10.1080/00365521.2018.1476910
- Аронов Д.М., Гуляева С.Ф., Шихова Е.В., Ведерников В.А. Физические тренировки в комплексной амбулаторно-поликлинической реабилитации больных ишемической болезнью сердца, ассоциированной с дисфункцией билиарного тракта. Терапевтический архив. 2011;83(1):21-5 [Aronov DM, Gulyaeva SF, Shihova EV, Vedernikov VA. Physical exercise in combined outpatient rehabilitation of coronary patients with biliary dysfunction. Terapevticheskii Arkhiv (Ter. Arkh.). 2011;83(1):21-5 (in Russian)].
- Del Pozo R, Mardones L, Villagrán M, et al. Effect of a high-fat diet on cholesterol gallstone formation. Rev Med Chil. 2017;145(9):1099-105. doi: 10.4067/s0034-98872017000901099
- Tung TH, Ho HM, Shih HC, et al. A population-based follow-up study on gallstone disease among type 2 diabetics in Kinmen, Taiwan. World J Gastroenterol WJG. 2006;12(28):4536-40. doi: 10.3748/wjg.v12.i28.4536
- Dixon JB, O’Brien PE. Obesity and the white blood cell count: changes with sustained weight loss. Obes Surg. 2006;16(3):251-7. doi: 10.1381/096089206776116453
- Chen LY, Qiao QH, Zhang SC, et al. Metabolic syndrome and gallstone disease. World J Gastroenterol. 2012;18(31):4215-20. doi: 10.3748/wjg.v18.i31.4215
- de Boer SY, Masclee AA, Lamers CB. Effect of hyperglycemia on gastrointestinal and gallbladder motility. Scand J Gastroenterol Suppl. 1992;194:13-8. doi: 10.3109/00365529209096020
- Biddinger SB, Haas JT, Yu BB, et al. Hepatic insulin resistance directly promotes formation of cholesterol gallstones. Nat Med. 2008;14(7):778-82. doi: 10.1038/nm1785
- Smelt AHM. Triglycerides and gallstone formation. Clin Chim Acta. 2010;411(21-2):1625-31. doi: 10.1016/j.cca.2010.08.003
- Budzyński J, Kłopocka M. Brain-gut axis in the pathogenesis of Helicobacter pylori infection. World J Gastroenterol WJG. 2014;20(18):5212-25. doi: 10.3748/wjg.v20.i18.5212
- Murakami K, Fujioka T, Shiota K, et al. Influence of Helicobacter pylori infection and the effects of its eradication on gastric emptying in non-ulcerative dyspepsia. Eur J Gastroenterol Hepatol. 1995;7(1):S93-7.
- Cen L, Pan J, Zhou B, et al. Helicobacter pylori infection of the gallbladder and the risk of chronic cholecystitis and cholelithiasis: a systematic review and meta-analysis. Helicobacter. 2018;23(1). doi: 10.1111/hel.12457
- Apostolov E, Al-Soud WA, Nilsson I, et al. Helicobacter pylori and other Helicobacter species in gallbladder and liver of patients with chronic cholecystitis detected by immunological and molecular methods. Scand J Gastroenterol. 2005;40(1):96-102. doi: 10.1080/00365520410009546
- Hoffmeister A, Rothenbacher D, Bode G, et al. Current infection with Helicobacter pylori, but not seropositivity to Chlamydia pneumoniae or cytomegalovirus, is associated with an atherogenic, modified lipid profile. Arterioscler Thromb Vasc Biol. 2001;21(3):427-32. doi: 10.1161/01.atv.21.3.427
- Weber SN, Bopp C, Krawczyk M, Lammert F. Genetics of gallstone disease revisited: updated inventory of human lithogenic genes. Curr Opin Gastroenterol. 2019;35(2):82-7. doi: 10.1097/MOG.0000000000000511
- Shabanzadeh DM, Novovic S. Alcohol, smoking and benign hepato-biliary disease. Best Pract Res Clin Gastroenterol. 2017;31(5):519-27. doi: 10.1016/j.bpg.2017.09.005
Supplementary files







