Advantages of using T1-mapping in cardiac magnetic resonance imaging in patients with acromegaly
- Authors: Almaskhanova A.A.1, Melkozerov K.V.1, Przhiyalkovskaya E.G.1, Tarbaeva N.V.1, Korneluk A.Y.1, Kosharnaia R.S.1, Kalashnikov V.Y.1, Belaya Z.E.1, Mel'nichenko G.A.1, Mokrysheva N.G.1
-
Affiliations:
- Endocrinology Research Centre
- Issue: Vol 96, No 10 (2024): Вопросы эндокринологии
- Pages: 950-956
- Section: Original articles
- Submitted: 03.06.2024
- Accepted: 25.07.2024
- Published: 10.12.2024
- URL: https://ter-arkhiv.ru/0040-3660/article/view/633116
- DOI: https://doi.org/10.26442/00403660.2024.10.202871
- ID: 633116
Cite item
Full Text
Abstract
Aim. To determine the incidence of interstitial myocardial fibrosis (MF) in acromegaly, which leads to the development of cardiac arrhythmias and conduction disorders.
Materials and methods. A single-center study was conducted, including 70 patients with acromegaly. All patients underwent standard medical examinations, including hormonal blood tests, electrocardiograms, echocardiography, Holter monitoring electrocardiograms and magnetic resonance imaging (MRI) of the heart with gadolinium contrast, additionally 48 patients underwent T1-mapping, which is an MRI method that allows the detection of diffuse changes by measuring the values of myocardial relaxation time – T1.
Results. The study revealed a high incidence of MF – 53 (75.7%) cases (21 women, 32 men). The duration of the disease was found to be critical for myocardial remodeling (p=0.006). Compliance criteria for the T1-mapping technique were determined, with reduced T1-mapping values observed in 85.2% of cases. The ROC analysis (Receiver Operator Characteristic) determined the diagnostic value of post-contrast T1-mapping: AUC (Area Under the Curve)=0.906 (95% confidence interval 0.789–1.000), a sensitivity of 90%, and a specificity of 76.5%, indicating high diagnostic efficiency. According to the Youden index, a cut-off point of 372.5 ms was selected.
Conclusion. Myocardial T1-mapping is a novel MRI method that allows to assess the degree of MF without the need for myocardial biopsy. The obtained information is crucial for the diagnosis and prognostic assessment of heart diseases, particularly in cases of hypertrophic cardiomyopathy or infiltrative diseases. The T1-mapping method, which is actively developing, can serve as a marker for early diffuse myocardial fibrosis and help determine the prognosis for patients with acromegalic cardiomyopathy.
Full Text
Список сокращений
ВО − внеклеточный объем
ГЛЖ − гипертрофия миокарда левого желудочка
ДИ – доверительный интервал
ИФР-1 – инсулиноподобный фактор роста 1-го типа
ЛЖ – левый желудочек
ЛПНП − липопротеиды низкой плотности
МЖП – межжелудочковая перегородка
ММ – масса миокарда
МРТ – магнитно-резонансная томография
МФ − миокардиальный фиброз
НРПС – нарушение ритма и проводимости сердца
ПЖ – правый желудочек
СТГ – соматотропный гормон
T1 − время релаксации миокарда
Т1-картирование – метод магнитно-резонансной томографии, позволяющий выявить диффузные изменения путем измерения значений времени релаксации миокарда.
ТТГ – тиреотропный гормон
ФВ – фракция выброса
ФМ – фиброз миокарда
ЭхоКГ – эхокардиография
Введение
Акромегалия – хроническое и медленно прогрессирующее нейроэндокринное заболевание, которое в 95–98% случаев возникает в результате гиперсекреции соматотропного гормона (СТГ) аденомой гипофиза и, следовательно, инсулиноподобного фактора роста 1-го типа (ИФР-1). Существует несколько осложнений или сопутствующих заболеваний, связанных с акромегалией, наиболее частыми из которых являются сердечно-сосудистые, метаболические и неопластические. Гиперсекреция СТГ и ИФР-1 инициирует сложный сигнальный каскад, вызывает изменения кардиомиоцитов, что приводит к развитию акромегалической кардиомиопатии, которая сопровождается концентрической бивентрикулярной гипертрофией [1]. К наиболее значимым гистологическим изменениям относятся повышенное отложение внеклеточного коллагена, миофибриллярные нарушения, наличие участков некроза моноцитарных клеток и лимфомононуклеарной инфильтрации, каждый компонент которых постепенно нарушает архитектуру всего миокарда. Такие изменения являются субстратом для формирования нарушений ритма и проводимости сердца (НРПС) [2].
Начальные стадии фиброзного ремоделирования миокарда являются обратимыми, а своевременное их выявление значительно улучшает прогноз профилактики аритмий.
Магнитно-резонансная томография (МРТ) сердца – неинвазивный метод, позволяющий получить представление о структуре и функции миокарда с высокой диагностической точностью, сопоставимой с гистологическим исследованием. Визуализация с отсроченным контрастированием гадолинием является признанным методом диагностики фиброза при различных миокардиальных изменениях и помогает сделать прогноз заболевания. Вместе с тем патология миокарда, которая носит диффузное поражение, плохо диагностируется при отсроченном контрастировании гадолинием. Использование Т1-картирования, представляющего собой относительно новый метод, позволяющий выявить диффузные изменения путем измерения значений времени релаксации миокарда – Т1, который напрямую соответствует изменениям внутренних свойств ткани сердца, помогает улучшить качество диагностики. Измерение T1-картирования также позволяет оценить внеклеточное пространство путем расчета внеклеточного объема (ВО). Множественные исследования свидетельствуют о центральной роли T1-картирования в выявлении диффузного фиброза на ранних стадиях, в свою очередь, отсроченное контрастирование гадолинием информативно при распространенном заболевании миокарда [3, 4].
Известно, что при отеке, возникающем в результате повреждения или воспаления миокарда, а также при некрозе миоцитов и в случае расширения внеклеточного пространства, вызванного амилоидозной инфильтрацией, фиброзом (очаговым или диффузным), время продольной релаксации Т1 увеличивается и снижается, соответственно, до и после контрастирования ввиду большего поглощения гадолиния [5].
Ремоделирование миокарда играет важную роль в развитии различных кардиомиопатий. Пациенты с повышенным отложением коллагена в миокарде имеют более высокие показатели смертности, связанной с внезапной сердечной смертью, аритмиями и сердечной недостаточностью.
Эндомиокардиальная биопсия, при которой небольшой (<1 мм3) образец получают с помощью биопсийных щипцов, обычно со стороны правого желудочка (ПЖ), является основным методом диагностики фиброза миокарда (ФМ). Инвазивность методики имеет ряд ограничений. В отличие от эндомиокардиальной биопсии МРТ не несет риски, связанные с инвазивным воздействием, а также может помочь в выявлении заболевания на ранних стадиях, определении точного прогноза и целей лечения [6].
Соответственно, методы картирования миокарда становятся приоритетными в получении информации, которая потенциально полезна для диагностической и прогностической оценки различных заболеваний сердца, а также для понимания основных патофизиологических процессов.
Несмотря на представленные доказательства преимуществ Т1-картирования, к основным ограничениям метода можно отнести отсутствие стандартизации параметров используемого протокола сканирования, вариабельность настройки сканера, наличие различных моделей томографов, артефактов, связанных с дыхательными движениями и аритмиями на момент исследования у пациентов. Вместе с тем отсутствуют точные референтные диапазоны значений, соответствующие различным заболеваниям. Несмотря на то что средние значения Т1-картирования при повреждении тканей имеют отличные от нормы показатели, существует вероятность того, что время релаксации поврежденных тканей может находиться в пределах референтных диапазонов. Приведенное ограничение означает, что результаты должны быть сопоставлены с данными клинико-лабораторных исследований и других визуализирующих методик. В связи с этим важно отметить, что в большинстве клинических ситуаций Т1-картирование дополняет, а не заменяет метод отсроченного контрастирования гадолинием и носит преимущественно прогностический, а не диагностический характер.
В настоящее время не существует универсальных эталонных значений, существуют только широкие диапазоны. Поскольку это количественный параметр, соответственно, он зависит от калибровки и технических характеристик оборудования, а также от гематокрита пациента, однородности магнитного поля. Кроме того, для проведения Т1-картирования требуется приобрести пакет программного обеспечения, что влечет дополнительные затраты [4].
Нами проанализированы результаты МРТ сердца у пациентов с акромегалией, в частности показатели T1-картирования, с целью возможного выявления кардиальных осложнений на ранних этапах формирования. Чтобы выявить процент наличия интерстициального ФМ при акромегалии, который предрасполагает к развитию НРПС, мы проанализировали имеющиеся структурные изменения миокарда пациентов с акромегалией.
Материалы и методы
В исследование включены 70 пациентов, госпитализированных в ФГБУ «НМИЦ эндокринологии» в 2021–2022 гг. с подтвержденным диагнозом акромегалии на основании клинических рекомендаций.
Критерии включения пациентов. Мужчины и женщины (18–80 лет) с подтвержденным диагнозом акромегалии.
Критерии исключения пациентов. В исследование не включены пациенты, имеющие тяжелые нарушения почечной и печеночной функций, ишемическую болезнь сердца, аллергическую реакцию на гадолиний, клаустрофобию, с анамнестическими данными имплантации металлов, ограничивающих возможность проведения магнитно-резонансной томографии, тяжелыми, угрожающими жизни состояниями, а также лица, отказывающиеся от участия в исследовании.
У всех пациентов исследованы следующие показатели: демографические (пол, возраст) и антропометрические данные (индекс массы тела), длительность акромегалии и ее активность, лечение аналогами соматостатина, наличие артериальной гипертензии, ее степень, нарушения функции щитовидной железы, углеводного, липидного обменов.
Лабораторные показатели
Всем пациентам проведены анализы СТГ, ИФР-1, тиреотропного гормона (ТТГ), свободного тироксина, липопротеидов низкой плотности (ЛПНП), глюкозы крови (в случае превышения референсного интервала – определение гликированного гемоглобина и/или проведение перорального глюкозотолерантного теста).
Лабораторное исследование крови с определением СТГ, ИФР-1 проводили на автоматизированной системе Liason (DiaSorin, Италия), ТТГ – на Cobas 6000 (Roche/Hitachi, Швейцария). Для ИФР-1 использовали референсные значения в соответствии с возрастом: 18–25 лет – 96–250 нг/мл, старше 25 лет – 82–283 нг/мл, а для тиреоидных гормонов – референтные показатели лаборатории: ТТГ – 0,25–3,5 мМЕ/л, свободный тироксин – 9–19 пмоль/л. Для выявления нарушений липидного и углеводного обменов принимали во внимание показатели ЛПНП, гликированного гемоглобина и глюкозы.
Инструментальные методы исследования
Всем пациентам проведены электрокардиограмма покоя, холтеровское мониторирование и эхокардиография (ЭхоКГ) с оценкой объемов левого и правого предсердий, толщины межжелудочковой перегородки (МЖП), задней стенки левого желудочка (ЛЖ), массы миокарда (ММ) ЛЖ, конечно-диастолического, конечно-систолического и ударного объемов, фракции выброса (ФВ) ЛЖ по Симпсону (%), наличия и степени регургитации аортального, митрального, трикуспидального клапанов сердца. МРТ сердца проводили с контрастированием гадолинием.
Электрокардиограмма
Запись электрокардиограммы проводили в 12 отведениях: в 3 стандартных, в 3 усиленных однополюсных от конечностей, в 6 грудных.
Суточное мониторирование электрокардиограммы
Регистрация 3-канальной электрокардиограммы продолжительностью 24 ч.
Эхокардиография
ЭхоКГ выполняли при помощи аппарата ультразвуковой диагностики VIVID E95 s/n VE95003297. Пациентам проведена оценка стандартных параметров, а именно: измерение объемов левого и правого предсердий, толщины МЖП, задней стенки ЛЖ, ММ ЛЖ, конечно-диастолического, конечно-систолического объемов, ФВ ЛЖ по Симпсону (%), диастолической функции.
МРТ сердца
МРТ сердца выполняли в отделении компьютерной и магнитно-резонансной томографии Государственного научного центра ФГБУ «НМИЦ эндокринологии» (заведующий отделением – кандидат медицинских наук Н.В. Тарбаева) на томографах General Electric Optima MR450w GEM 1,5Т и Pioneer 3,0T с использованием поверхностной кардиальной катушки и контрастного средства гадолиния с содержанием активного вещества 1 ммоль/мл, в дозировке 0,2 мл/кг. Синхронизацию с сердечным ритмом проводили в стандартных VCG-отведениях. Исследование выполняли в стандартных плоскостях: 2-, 4-камерной и по короткой оси с применением последовательностей с кинопетлей во время задержек дыхания пациентами. Для расчета стандартных функциональных показателей ЛЖ (ФВ, конечного диастолического и систолического объемов, ударного объема, ММ ЛЖ, размеров левого и правого предсердий, толщины МЖП, задней стенки ЛЖ, толщины ПЖ, размеров аорты и легочного ствола, артерий) использовали программу постобработки МР-изображений – Cardio VX. МРТ сердца выполняли с отсроченным контрастированием гадолинием на 10–25-й минуте от момента введения контрастного препарата, что позволило получить изображения с большой разницей в интенсивности МР-сигнала между пораженным (с очагами фиброза/воспаления) и здоровым миокардом. Для оптимальной контрастности изображения каждому пациенту перед выполнением отсроченного контрастирования индивидуально подбирали время инверсии с использованием сегментированной последовательности inversion-recovery. Визуализацию зон отека в миокарде желудочков также проводили при помощи получения последовательностей Black Blood как без подавления сигнала от жировой ткани на 4-камерной проекции и по короткой оси сердца, так и с ним.
Определение референтного диапазона T1-картирования проводили на здоровых добровольцах. Всего в исследовании приняли участие 46 человек.
Финансирование
Исследование проведено в рамках темы государственного задания «Клинико-патогенетические механизмы и факторы, определяющие развитие кардиомиопатий при сахарном диабете и других эндокринопатиях». Регистрационный номер – АААА-А20-120011790178-1.
Статистический анализ
Статистический анализ проведен в программных пакетах Statistica 13 (Tibco, США), IBM SPSS Statistics v26 (IBM, США) для Microsoft® Windows 10 и с помощью языка программирования Python. Описательная статистика количественных данных представлена медианами, первым и третьим квартилями [Q1; Q3], а категориальных – абсолютными и относительными частотами [абс. (%)]. Доверительные интервалы (ДИ) для частот рассчитаны методом Клоппера–Пирсона.
Сравнение двух независимых групп для количественных данных выполняли с помощью критерия Манна–Уитни (U-тест). Сравнение 3 независимых групп для количественных данных осуществляли с помощью критерия Краскела–Уоллиса с дальнейшим post-hoc анализом (апостериорными сравнениями). Частоты бинарных признаков сравнивали между собой с помощью критерия хи-квадрата Пирсона и точного критерия Фишера.
Критический уровень статистической значимости при проверке статистических гипотез принят равным 0,05. При множественных сравнениях применяли поправку Бонферрони путем коррекции критического уровня значимости (Р0). Значения между Р0 и 0,05 обозначали как статистические тенденции.
Этическая экспертиза
Локальным этическим комитетом ФГБУ «НМИЦ эндокринологии» согласно протоколу заседания локального этического комитета от 28.10.2020 постановлено, что планируемая научная работа соответствует этическим стандартам добросовестной клинической практики и может быть проведена на базе ФГБУ «НМИЦ эндокринологии». Все пациенты подписали добровольное информированное согласие на участие в исследовании.
Результаты
В 2021–2022 гг. на основании критериев включения (мужчины и женщины в возрасте 18–80 лет) обследованы 70 пациентов с акромегалией, которым проведено МРТ сердца. Среди обследованных больных медиана возраста составила 54 года.
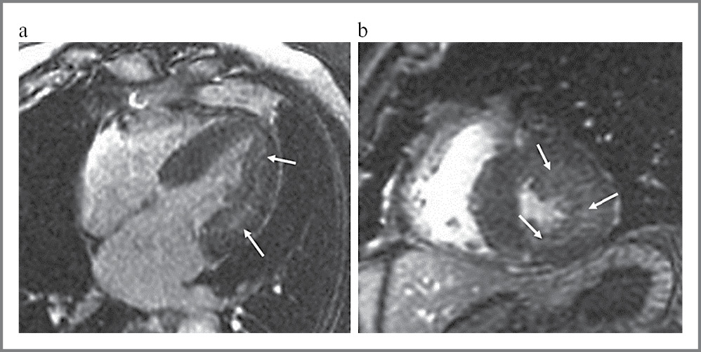
МРТ сердца с использованием внутривенного контрастирования гадолинием выполнялась с целью выявления диффузного миокардиального фиброза (МФ), который выявлен у большинства пациентов – у 53 (75,7%) человек, среди которых 21 женщина и 32 мужчины (рис. 1). Статистических различий между пациентами с наличием и отсутствием диффузного фиброза при МРТ по возрасту, полу, антропометрическим данным, уровню тиреоидных гормонов, СТГ, ИФР-1, частоте ремиссии, наличию НРПС, принимаемой терапии не выявлено. Обнаружено различие на уровне статистической тенденции между данными группами в зависимости от длительности заболевания: 5,5 [3; 10] и 10 [6, 5; 16, 5]; p=0,006 (табл. 1).
Рис. 1. Диффузное отсроченное накопление гадолиния по данным МРТ сердца: a – 4-камерная позиция; b – короткая ось.
Fig. 1. Diffuse delayed gadolinium uptake according to MRI of the heart: a – 4-chamber view; b – short axis.
Таблица 1. Сравнительная характеристика пациентов с акромегалией при отсутствии и наличии диффузного отсроченного накопления по данным МРТ миокарда Table 1. Comparative characteristics of patients with acromegaly with and without diffuse delayed gadolinium uptake according to myocardial MRI | ||||
Показатель | Диффузное накопление отсутствует, Me [Q1; Q3]/абс. (%) | Диффузное накопление присутствует, Me [Q1; Q3]/абс. (%) | p | |
Пол (ж/м) | 9/8 | 21/32 | 0,404*** | |
(52,9/47,1) | (39,6/60,4) | |||
Возраст, лет | 51 [40; 64] | 0,768* | ||
Длительность заболевания | 5,5 [3; 10] | 0,006* | ||
НРПС | 10 (58,8) | 40 (75,5) | 0,115** | |
Индекс массы тела, кг/м2 | 0,853* | |||
СТГ (0,06–6,9), нг/мл | 0,393* | |||
ИФР-1 (15–250), нг/мл | 0,973* | |||
Ремиссия | 5 (29,41) | 12 (22,64) | 0,746*** | |
ЛПНП, ммоль/л | 0,135* | |||
Средняя ЧСС, уд/мин | 65 [59; 69] | 0,8* | ||
Интервал P–Q, мс | 170 [150; 190] | 0,645* | ||
Аналоги соматостатина | 7 (41,17) | 26 (49) | 0,592*** | |
Агонисты дофамина | 5 (29,41) | 7 (13,2) | 0,147*** | |
ПЭГ | 0 (0) | 3 (5,66) | 1*** | |
Наличие НУО | 4 (23,52) | 20 (37,73) | 0,383** | |
Т1-картирование после контрастирования | 0,0001* | |||
Артериальная гипертензия | ||||
Степень | 0 | 4 (23,52) | 12 (22,64) | 0,882** |
1 | 3 (17,64) | 2 (3,77) | ||
2 | 8 (47,05) | 28 (53,83) | ||
3 | 2 (11,7) | 11 (20,7) | ||
Примечание. Поправка Бонферрони Р0=0,05/21≤0,002. НУО – нарушение углеводного обмена, ПЭГ− пэгвисомант, ЧСС – частота сердечных сокращений, Me – медиана, P–Q – интервал от начала деполяризации предсердий до деполяризации желудочков; *критерий Манна–Уитни; **точный двусторонний критерий Фишера; ***критерий хи-квадрат Пирсона. | ||||
Структурно-морфологическая характеристика сердца пациентов с диффузным МФ при МРТ статистически не отличалась от больных без признаков ФМ, однако отмечена тенденция к более высоким значениям толщины МЖП по данным МРТ при наличии фиброза: 11 [9; 13] и 14 [10; 17]; p=0,023.
Вместе с тем 48 пациентам с акромегалией из общей группы проведено сканирование миокарда при помощи программы T1-картирования. На основании обработанных результатов определена выборка больных, для которых T1-картирование может быть оптимальным методом в диагностике ранних диффузных повреждений миокарда, тогда как при отсроченном накоплении контрастного вещества, содержащего гадолиний, визуальные изменения не выявляются. Ввиду того, что наибольшей чувствительностью к МФ обладает постконтрастное T1-картирование, в нашем исследовании использовали именно этот показатель для последующей оценки результатов.
Определено, что для пациентов с желудочковыми и наджелудочковыми нарушениями ритма на момент исследования нецелесообразно проведение T1-картирования ввиду наличия множественных артефактов движения миокарда при исследовании и невозможности точного расчета T1. Выявлено, что при выраженной гипертрофии миокарда и обнаружении диффузного МФ при отсроченном контрастировании гадолинием значения постконтрастного T1-картирования были ложно завышены, ввиду чего сделан вывод о том, что предварительная оценка количественных параметров при ЭхоКГ имеет определяющее значение в выборе потенциального метода МРТ-сканирования. Несколько пациентов имели случайные артефакты движения при МРТ-исследовании, поэтому их исключили из последующего анализа. У одного пациента с транспозицией магистральных сосудов ось сканирования проходила через ПЖ, а не через ЛЖ, что также являлось показанием для исключения.
Таким образом, в последующей интерпретации данных участвовали только 27 пациентов, при этом сниженные значения T1-картирования по сравнению со здоровой группой наблюдали в 23 (85,2%) случаях. Стоит отметить, что среди 27 пациентов накопление гадолиния выявлено у 17 (62,9%), что очевидно ниже, чем полученные данные с применением методики T1-картирования (рис. 2).
Рис. 2. Постконтрастное T1-картирование (желтым цветом обозначены участки фиброза). Примечание. SLA – лазерная стереолитография, IRP – суммарное давление расслабления.
Fig. 2. Post-contrast T1 mapping (yellow indicates areas of fibrosis).
Определены референтные интервалы постконтрастного T1-картирования среди здоровых добровольцев, что составило 409–786 мс; 95% ДИ. В ходе анализа обнаружено, что при наличии и отсутствии отсроченного контрастирования гадолинием у пациентов с акромегалией постконтрастное T1-картирование находилось в диапазоне, соответственно, 357 [326, 5; 375, 5] мс и 399,5 [375, 25; 423] мс; p=0,0001. С целью оценки диагностической значимости показателей постконтрастного T1-картирования проведен ROC-анализ (Receiver Operator Characteristic – операционная характеристика приемника): AUC (Area Under the Curve – площадь под кривой)=0,906 (95% ДИ 0,789–1,000), чувствительность – 90%, специфичность – 76,5%, что говорит о высокой диагностической эффективности. Согласно индексу Юдена выбрана отрезная точка, равная 372,5 мс (рис. 3).
Рис. 3. ROC-анализ постконтрастного T1-картирования для дифференциальной диагностики диффузного МФ. Постконтрастное T1-картирование (AUC=0,906 [95% ДИ 0,789–1,000]).
Fig. 3. ROC analysis of post-contrast T1 mapping for differential diagnosis of diffuse myocardial fibrosis.
Основным преимуществом описываемого метода является возможность выявления изменений миокарда на ранней стадии, которая с наибольшей долей вероятности является обратимой. В свою очередь своевременное лечение основного заболевания может определять благоприятный прогноз в развитии сердечно-сосудистых осложнений при акромегалии.
Обсуждение результатов
Исследования последних лет показали, что МРТ сердца считается «золотым стандартом» для оценки выраженности изменений миокарда, таких как отек, фиброз и снижение перфузии. В настоящее время существует небольшое число наблюдений с использованием МРТ сердца для изучения акромегалической кардиомиопатии.
В исследовании F. Bogazzi и соавт. (2008 г.) включены 14 пациентов с акромегалией, у 73% которых при МРТ выявлена гипертрофия миокарда ЛЖ (ГЛЖ), что выше, чем при проведении ЭхоКГ (36%). В той же исследуемой популяции ФМ по данным авторов не обнаружен [7].
В исследование C. Silva и соавт. (2015 г.) включены 40 пациентов. При МРТ сердца ГЛЖ выявлена только у 5%, ФМ – у 13,5%, тогда как при ЭхоКГ ГЛЖ обнаружена у 31% пациентов [8].
В недавнем исследовании X. Guo и соавт. (2020 г.) проанализировали результаты МРТ сердца 61 пациента с акромегалией и обнаружили, что частота ГЛЖ и ФМ составляла 26,2 и 14,8% соответственно [9].
Основными причинами неоднородности результатов наблюдений в диагностике ГЛЖ и ФМ между исследовательскими центрами являются различие расовой принадлежности и отсутствие единых диагностических критериев.
Инструментальную диагностику сердца проводили пациентам с акромегалией в незначительном количестве исследований. Наиболее часто обсуждались изменения, связанные с акромегалической кардиомиопатией, гипертрофией миокарда, гораздо реже – проблемы выявления МФ и диагностики времени релаксации при помощи МРТ сердца. Все описанные клинические исследования имели основное ограничение, связанное с небольшой выборкой пациентов.
Нами отмечена статистическая тенденция к более высоким толщинам МЖП по данным МРТ при наличии диффузного МФ. Пациенты в активной стадии акромегалии по данным МРТ сердца имели большие значения конечного диастолического размера, толщины стенки ПЖ.
Мы выявили высокую частоту ФМ у пациентов с акромегалией, диффузного накопления контрастного вещества в 53 (75,7%) из 70 случаев (21 женщина и 32 мужчины), снижение T1 по сравнению с референтными значениями у 85,2%, однако не получили разницы в ВО, что может свидетельствовать о невысокой чувствительности показателя у таких пациентов. Напротив, наши результаты не согласуются с исследованием F. Bogazzi и соавт. (2008 г.), в котором не обнаружены признаки ФМ у пациентов с акромегалией по данным МРТ сердца [7].
В последние годы основной интерес к Т1-картированию сосредоточен на значимой корреляции между степенью фиброза и увеличением времени релаксации. S. Lee и соавт. (2015 г.) выявили положительную корреляцию при гистологическом исследовании образцов миокарда, полученных во время операции по протезированию аортального клапана, со значениями Т1-картирования (коэффициент корреляции = 0,777; p<0,001) [10].
Использование метода Т1-картирования миокарда и определение значения ВО являются новейшими методами в МРТ сердца, которые позволяют проводить количественные измерения степени отечности и ФМ. Показатели, полученные путем проведения T1-картирования, коррелируют со степенью ФМ, подтвержденной гистологически [5].
Заключение
Т1-картирование миокарда – это новый метод в МРТ, который позволяет количественно оценить степень фиброза, тогда как ранее диагностика диффузной формы фиброза была доступна только при биопсии миокарда. Полученная информация потенциально полезна при диагностике и прогностической оценке ряда заболеваний сердца, особенно при подозрении на гипертрофическую кардиомиопатию или на инфильтративные заболевания. Метод Т1-картирования активно развивается и может стать удобным инструментом для ранней диагностики диффузного фиброза и определения прогнозов лечения пациентов, в том числе с акромегалической кардиомиопатией [11]. Исследования, направленные на проведение МРТ сердца с оценкой других биохимических маркеров, могут помочь в стратификации риска развития ФМ и, как следствие, сложных НРПС у таких пациентов. В настоящее время для акромегалической кардиомиопатии отсутствуют клинические рекомендации, связанные с вопросами профилактики внезапной сердечной смерти – одного из угрожающих осложнений желудочковых аритмий. Изменения миокарда таких больных имеют ряд особенностей, связанных с выраженной гипертрофией ЛЖ на фоне отсутствия снижения ФВ и ишемии миокарда. Благодаря подобным исследованиям возможны выявление пациентов группы высокого риска, определение более точных показаний для расширенного кардиологического обследования и при необходимости проведение своевременного лечения и профилактики.
Раскрытие интересов. Авторы декларируют отсутствие явных и потенциальных конфликтов интересов, связанных с публикацией настоящей статьи.
Disclosure of interest. The authors declare that they have no competing interests.
Вклад авторов. Авторы декларируют соответствие своего авторства международным критериям ICMJE. Все авторы в равной степени участвовали в подготовке публикации: А.А. Алмасханова – сбор, анализ и интерпретация данных, написание текста; В.Ю. Калашников, Ж.Е. Белая, Н.В. Тарбаева, Р.С. Кошарная – разработка концепции и дизайна, окончательное утверждение для публикации рукописи; К.В. Мелкозёров, Е.Г. Пржиялковская, А.Ю. Корнелюк – написание текста, внесение в рукопись важной правки; Г.А. Мельниченко, Н.Г. Мокрышева – проверка критически важного интеллектуального содержания, одобрение финальной версии рукописи.
Authors’ contribution. The authors declare the compliance of their authorship according to the international ICMJE criteria. All authors made a substantial contribution to the work: A.A. Almaskhanova – data collection, analysis and interpretation, writing the text; V.Yu. Kalashnikov, Zh.E. Belaya, N.V. Tarbaeva, R.S. Kosharnaia – concept and design development, final approval of the manuscript for publication; K.V. Melkozerov, E.G. Przhiyalkovskaya, A.Yu. Korneluk – writing the text, making important edits to the manuscript; G.A. Mel'nichenko, N.G. Mokrysheva – checking critical intellectual content, approval of the final version of the manuscript.
Источник финансирования. Исследование проведено в рамках темы государственного задания «Дисфункция миокарда и формирование сердечной недостаточности в исходе морфологических, молекулярно-генетических и биохимических нарушений в сердечной мышце у пациентов с эндокринопатией». Регистрационный номер: 123021000043-0 IDC#22237.
Funding source. The study was conducted within the framework of the state assignment topic “Myocardial dysfunction and heart failure formation in the outcome of morphologic, molecular genetic and biochemical abnormalities in cardiac muscle in patients with endocrinopathy”. Registration number: 123021000043-0 IDC#22237.
Соответствие принципам этики. Протокол исследования был одобрен локальным этическим комитетом ФГБУ «НМИЦ эндокринологии» (от 28.10.2020). Одобрение и процедуру проведения протокола получали по принципам Хельсинкской декларации.
Compliance with the principles of ethics. The study protocol was approved by the local ethics committee of Endocrinology Research Centre (dated 28.10.2020). Approval and protocol procedure was obtained according to the principles of the Declaration of Helsinki.
Информированное согласие на публикацию. Пациенты подписали форму добровольного информированного согласия на публикацию медицинской информации.
Consent for publication. Written consent was obtained from the patients for publication of relevant medical information and all of accompanying images within the manuscript.
About the authors
Alina A. Almaskhanova
Endocrinology Research Centre
Author for correspondence.
Email: almaskhanova@yandex.ru
ORCID iD: 0000-0002-2320-2532
врач-эндокринолог общеклинического отд-ния
Russian Federation, MoscowKonstantin V. Melkozerov
Endocrinology Research Centre
Email: almaskhanova@yandex.ru
ORCID iD: 0000-0002-7328-6316
канд. мед. наук, врач – сердечно-сосудистый хирург, врач-кардиолог отд-ния хирургического лечения сложных нарушений ритма сердца и электрокардиостимуляции отд. кардиологии и сосудистой хирургии
Russian Federation, MoscowElena G. Przhiyalkovskaya
Endocrinology Research Centre
Email: almaskhanova@yandex.ru
ORCID iD: 0000-0001-9119-2447
канд. мед. наук, зав. отд-нием нейроэндокринологии, доц. каф. эндокринологии, ст. науч. сотр.
Russian Federation, MoscowNatalia V. Tarbaeva
Endocrinology Research Centre
Email: almaskhanova@yandex.ru
ORCID iD: 0000-0001-7965-9454
канд. мед. наук, рук. референс-центра лучевых методов диагностики, зав. отд-нием компьютерной и магнитно-резонансной томографии
Russian Federation, MoscowAnastasya Y. Korneluk
Endocrinology Research Centre
Email: almaskhanova@yandex.ru
ORCID iD: 0009-0007-4475-8752
врач-рентгенолог отд-ния референс-центра лучевых методов диагностики
Russian Federation, MoscowRaisa S. Kosharnaia
Endocrinology Research Centre
Email: almaskhanova@yandex.ru
ORCID iD: 0000-0003-1387-683X
зав. отд-нием функциональной диагностики, врач-кардиолог
Russian Federation, MoscowVictor Y. Kalashnikov
Endocrinology Research Centre
Email: almaskhanova@yandex.ru
ORCID iD: 0000-0001-5573-0754
чл.-кор. РАН, д-р мед. наук, проф., зам. дир. Центра по координации эндокринологической службы, зав. отд. кардиологии и сосудистой хирургии
Russian Federation, MoscowZhanna E. Belaya
Endocrinology Research Centre
Email: almaskhanova@yandex.ru
ORCID iD: 0000-0002-6674-6441
д-р мед. наук, проф. каф. эндокринологии Института высшего и дополнительного профессионального образования, зав. отд-нием остеопороза и остеопатии
Russian Federation, MoscowGalina A. Mel'nichenko
Endocrinology Research Centre
Email: almaskhanova@yandex.ru
ORCID iD: 0000-0002-5634-7877
акад. РАН, д-р мед. наук, проф., зав. каф. клинической эндокринологии Института высшего и дополнительного профессионального образования,зам. дир. Центра по научной работе
Russian Federation, MoscowNatalia G. Mokrysheva
Endocrinology Research Centre
Email: almaskhanova@yandex.ru
ORCID iD: 0000-0003-2604-8347
чл.-кор. РАН, д-р мед. наук, проф., зав. каф. персонализированной и трансляционной медицины, дир.
Russian Federation, MoscowReferences
- Sharma MD, Nguyen AV, Brown S, Robbins RJ. Cardiovascular Disease in Acromegaly. Methodist Debakey Cardiovasc J. 2017;13(2):64-7. doi: 10.14797/mdcj-13-2-64
- Colao A, Ferone D, Marzullo P, Lombardi G. Systemic complications of acromegaly: epidemiology, pathogenesis, and management. Endocr Rev. 2004;25(1):102-52. doi: 10.1210/er.2002-0022
- Puntmann VO, Peker E, Chandrashekhar Y, Nagel E. T1 Mapping in Characterizing Myocardial Disease: A Comprehensive Review. Circ Res. 2016;119(2):277-99. doi: 10.1161/CIRCRESAHA.116.307974
- Gaspar AS, Maltês S, Marques H, et al. Myocardial T1 mapping with magnetic resonance imaging – a useful tool to understand the diseased heart. Rev Port Cardiol. 2022;41(1):61-9. doi: 10.1016/j.repc.2021.04.005
- Germain P, El Ghannudi S, Jeung MY, et al. Native T1 mapping of the heart – a pictorial review. Clin Med Insights Cardiol. 2014;8(Suppl. 4):1-11. doi: 10.4137/CMC.S19005
- Burt JR, Zimmerman SL, Kamel IR, et al. Myocardial T1 mapping: techniques and potential applications. Radiographics. 2014;34(2):377-95. doi: 10.1148/rg.342125121
- Bogazzi F, Lombardi M, Strata E, et al. High prevalence of cardiac hypertophy without detectable signs of fibrosis in patients with untreated active acromegaly: an in vivo study using magnetic resonance imaging. Clin Endocrinol (Oxf). 2008;68(3):361-8. doi: 10.1111/j.1365-2265.2007.03047.x
- Dos Santos Silva CM, Gottlieb I, Volschan I, et al. Low Frequency of Cardiomyopathy Using Cardiac Magnetic Resonance Imaging in an Acromegaly Contemporary Cohort. J Clin Endocrinol Metab. 2015;100(12):4447-55. doi: 10.1210/jc.2015-2675
- Guo X, Cao J, Liu P, et al. Cardiac Abnormalities in Acromegaly Patients: A Cardiac Magnetic Resonance Study. Int J Endocrinol. 2020;2020:2018464. doi: 10.1155/2020/2018464
- Lee SP, Lee W, Lee JM, et al. Assessment of diffuse myocardial fibrosis by using MR imaging in asymptomatic patients with aortic stenosis. Radiology. 2015;274(2):359-69. doi: 10.1148/radiol.14141120
- Van den Boomen M, Slart RHJA, Hulleman EV, et al. Native T(1) reference values for nonischemic cardiomyopathies and populations with increased cardiovascular risk: A systematic review and meta-analysis. J Magn Reson Imaging. 2018;47(4):891-912. doi: 10.1002/jmri.25885
Supplementary files






