Typical errors pulmonary artery verification on the example of a clinical case
- Authors: Vasiltseva O.Y.1, Vorozhtsova I.N.1,2, Bukhovets I.L.1, Gulyaev V.M.1, Vitt K.N.1, Karpov R.S.1,2
-
Affiliations:
- Tomsk National Research Medical Center
- Siberian State Medical University
- Issue: Vol 92, No 4 (2020)
- Pages: 80-83
- Section: Consensuns
- Submitted: 19.05.2020
- Published: 19.04.2020
- URL: https://ter-arkhiv.ru/0040-3660/article/view/34106
- DOI: https://doi.org/10.26442/00403660.2020.04.000516
- ID: 34106
Cite item
Full Text
Abstract
The difficulties of verification of pulmonary embolism (PE) are well known and have not been overcome to date, despite significant progress in approaches to managing patients with this pathology over the past 10–15 years. Due to the nonspecific clinical picture, cases of a long and difficult journey to this diagnosis are not exclusive. In large studies have shown that the most frequent symptom of pulmonary embolism – shortness of breath. However, it is not always associated with doctors of different specialties with the need to exclude this diagnosis, purposefully collect anamnesis, identify risk factors. Modern low-dose oral contraceptives are considered quite prosperous in terms of the development of thrombotic complications and cause a slight (10–20%) increase in fibrinogen concentration, factors VII, VIII and X, as well as a decrease in the content of active protein S by 10–20%. But in the case of the presence of diseases and conditions that increase the risk of venous embolism, this effect may be sufficient for the realization of life-threatening pulmonary embolism. In this regard, it is important to provide a combined effect on the prognosis of the pathology of the patients and the chosen method of contraception.
Full Text
АД – артериальное давление
ЛА – легочная артерия
СКТ – спиральная компьютерная томография
ТЭЛА – тромбоэмболия легочной артерии
ЭКГ – электрокардиограмма
ЭхоКГ – эхокардиография
Введение
Трудности верификации тромбоэмболии легочной артерии (ТЭЛА) общеизвестны и до настоящего времени не преодолены, несмотря на значительный прогресс в изучении этой патологии за последние 10–15 лет [1–3], появление в стране регламентирующих документов [4–7]. В части случаев это обусловлено отсутствием нацеленности врачей на выявление соответствующих факторов риска при синдромосходных состояниях, сопровождающихся одышкой, кровохарканьем, болями в грудной клетке. Современные низкодозовые пероральные контрацептивы считаются достаточно благополучными с точки зрения развития тромботических осложнений и вызывают незначительное (на 10–20%) увеличение концентрации фибриногена, факторов VII, VIII и X, а также снижение содержания активного протеина S на 10–20%. Но в случае наличия заболеваний и состояний, повышающих риск тромбообразования, этого влияния может оказаться достаточно для реализации жизнеугрожающих событий как в артериальном, так и в венозном русле. Подобная связь многократно и убедительно показана [8–12]. Наследственные и приобретенные генетические полиморфизмы в настоящее время не считаются самостоятельными факторами риска, рутинное их определение является дискуссионным [13]. Однако им отводится важная роль триггеров, наличие которых значительно повышает вероятность развития тромбоэмболических событий в присутствии факторов риска.
Описание клинического случая
Пациентка А. 43 лет поступила в отдел клинической кардиологии НИИ кардиологии Томского НИМЦ в сентябре 2018 г. с жалобами на одышку при подъеме на 2-й этаж, ощущение сердцебиения, перебоев в работе сердца, лабильность артериального давления (АД).
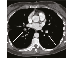
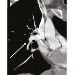
В 1993 г. на основании характерных признаков электрокардиограммы (ЭКГ) при профилактическом обследовании диагностирован феномен Вольфа–Паркинсона–Уайта. Клинических проявлений, снижающих качество жизни, пациентка не отмечала. К врачам далее не обращалась. В связи с появлением в 2015 г. одышки, перебоев в работе сердца, сердцебиения наблюдалась у участкового терапевта с диагнозом: ишемическая болезнь сердца, гипертоническая болезнь. Эхокардиография (ЭхоКГ), нагрузочные тесты не проводились. На фоне приема лозартана 25 мг/сут достигнуты целевые значения АД. В январе 2017 г. в связи с зарегистрированным на ЭКГ пароксизмом тахикардии с узкими комплексами QRS пациентка в порядке скорой помощи поступила с диагнозом «пароксизмальная суправентрикулярная тахикардия» в ЦРБ, где ритм был медикаментозно восстановлен. Далее в краевой больнице проведено внутрисердечное электрофизиологическое исследование и по его результатам – радиочастотная аблация дополнительных проводящих путей. Послеоперационный период протекал без осложнений. Однако в июне 2017 г. вновь появилась одышка при выполнении привычного объема физической нагрузки. По данным ЭКГ и рентгенограммы органов грудной клетки патологии не выявлено. Вскоре появилось кровохарканье (в течение 3 дней), и пациентка была направлена к фтизиатру, которым исключен туберкулез легких. 27.07.2017 на фоне значительного усиления одышки, выраженной тахикардии она потеряла сознание и в порядке скорой помощи доставлена в дежурный стационар, где травматологом и неврологом исключены сотрясение головного мозга и закрытая черепно-мозговая травма. Пациентка отпущена домой. В связи с сохраняющейся одышкой при подъеме на один лестничный пролет в августе 2017 г. по собственной инициативе она обратилась к кардиологу. При проведении ЭхоКГ выявлены увеличение правых камер сердца и признаки их объемной перегрузки. С предварительным диагнозом ТЭЛА пациентка направлена в дежурный стационар, где в экстренном порядке проведена спиральная компьютерная томография (СКТ) с контрастированием легочной артерии. Выявлены признаки легочной тромбоэмболии крупных и средних ветвей легочной артерии (ЛА) с обеих сторон (рис. 1–4). При целенаправленном сборе анамнеза выяснилось, что в течение 3 лет (с 2014 г.) пациентка принимает Линдинет 20 мг – монофазный пероральный контрацептив (этинилэстрадиол + гестоден), назначенный гинекологом с целью контрацепции. По данным ультразвукового исследования вен нижних конечностей выявлен тромбоз суральных вен справа. Линдинет отменен. На фоне лечения антикоагулянтами (гепарин, эноксапарин) состояние женщины несколько улучшилось. Она переведена на варфарин, который далее заменен на апиксабан в дозе 10 мг 2 раза в день.
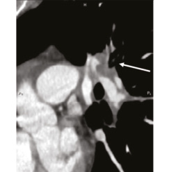
СКТ с контрастированием ЛА | |
14.08.2018 | 26.09.2018 |
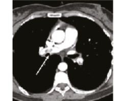
Рис. 1: а – тромбы в верхнедолевой ветви левой ЛА; б – верхнедолевая ветвь левой ЛА проходима. | |
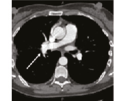
Рис. 2: а – тромбы в правой ЛА и нижнедолевой ветви левой ЛА; б – правая ЛА и нижнедолевая ветвь левой ЛА проходимы. | |
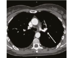
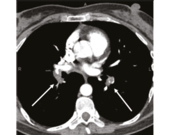
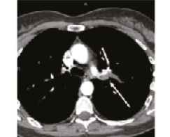
СКТ с контрастированием ЛА | |
14.08.2018 | 26.09.2018 |
Рис. 3: а – тромбы в нижнедолевой ветви левой ЛА и нижнедолевой ветви правой ЛА; б – сохраняется тромбоз нижнедолевой ветви правой ЛА. | |
Рис. 4: а – тромбы в левой ЛА и ее ветвях; б – тромбоза левой ЛА (нисходящей ветви) не выявлено, сохраняется тромбоз нижнедолевой ветви левой ЛА. | |
В связи с сохраняющейся одышкой, перебоями в работе сердца, сердцебиением в сентябре 2018 г. на фоне регулярного приема апиксабана пациентка направлена в НИИ кардиологии Томского НИМЦ. По данным ЭхоКГ камеры сердца не расширены. Гипертрофии нет. Глобальная сократительная функция желудочков в норме (фракция выброса по Simpson – 60%). Нарушений локальной сократимости не выявлено. Диастолическая функция левого желудочка не нарушена. Трикуспидальная регургитация 0–1-й степени, функция клапана не нарушена. Cистолическое давление в правом желудочке 26 мм рт. ст. Жидкости в полости перикарда не выявлено (рис. 5–7).
Рис. 5. ЭхоКГ, апикальная четырехкамерная позиция. Примечание. RV - правый желудочек, LV - левый желудочек, Ao - аорта, RA - правое предсердие, LA - левое предсердие.
Рис. 6. ЭхоКГ, правые отделы, трикуспидальная регургитация 0-1-й степени.
Рис. 7. ЭхоКГ, постоянно-волновое исследование трикуспидальной регургитации из апикальной четырехкамерной позиции, измерение систолического давления в правом желудочке.
По данным чресприщеводной ЭхоКГ тромбоза камер сердца не обнаружено, однако уровень D-димера – более 250 мкг/л. Исследования в отношении патологии гемостаза выявили значительный дефицит протеинов С и S. Проведена замена апиксабана на ривароксабан 15 мг 2 раза в сутки с последующим переводом на прием ривароксабана 20 мг 1 раз в сутки в связи с большей биодоступностью последнего. Также с целью усиления антитромботического эффекта к терапии добавлен клопидогрел в дозе 75 мг в сутки. При проведении СКТ органов грудной клетки с контрастированием легочной артерии 26.09.2018 выявлена положительная динамика (см. рис. 1, б, рис. 4). Состояние стабилизировалось, рецидивы одышки прекратились. От имплантации кава-фильтра пациентка отказалась.
Подобные случаи долгого и трудного пути к диагнозу – нередкая история пациентов с легочной тромбоэмболией. В данном случае относительно благополучное состояние здоровья женщины помогло ей преодолеть все препятствия на пути к установлению диагноза, получить необходимое лечение и предотвратить возможность летального исхода. Однако это происходит далеко не всегда [14]. Тщательный сбор анамнеза и жалоб, целенаправленный поиск факторов риска тромбоэмболических событий в большинстве случаев помогают врачу правильно определить направления дифференциально-диагностического поиска, а использование клинических рекомендаций – определить оптимальный вариант ведения пациента.
About the authors
O. Ya. Vasiltseva
Tomsk National Research Medical Center
Author for correspondence.
Email: vasiltseva@cardio-tomsk.ru
ORCID iD: 0000-0002-2932-3159
д.м.н., с.н.с. отд-ния атеросклероза и хронической ИБС, НИИ кардиологии
Russian Federation, TomskI. N. Vorozhtsova
Tomsk National Research Medical Center; Siberian State Medical University
Email: vasiltseva@cardio-tomsk.ru
ORCID iD: 0000-0002-1610-0896
проф., в.н.с. отд-ния функциональной и лабораторной диагностики НИИ кардиологии; зав. каф. эндокринологии и диабетологии
Russian Federation, TomskI. L. Bukhovets
Tomsk National Research Medical Center
Email: vasiltseva@cardio-tomsk.ru
ORCID iD: 0000-0001-9466-6097
д.м.н., с.н.с. отд-ния рентгеновских и томографических методов диагностики НИИ кардиологии
Russian Federation, TomskV. M. Gulyaev
Tomsk National Research Medical Center
Email: vasiltseva@cardio-tomsk.ru
ORCID iD: 0000-0001-6191-1914
врач отд-ния рентгеновских и томографических методов диагностики НИИ кардиологии
Russian Federation, TomskK. N. Vitt
Tomsk National Research Medical Center
Email: vasiltseva@cardio-tomsk.ru
ORCID iD: 0000-0002-2629-6466
учебный ординатор НИИ кардиологии
Russian Federation, TomskR. S. Karpov
Tomsk National Research Medical Center; Siberian State Medical University
Email: vasiltseva@cardio-tomsk.ru
ORCID iD: 0000-0002-7011-4316
акад. РАН, д.м.н, проф., науч. рук. НИИ кардиологии; проф. каф. факультетской терапии
Russian Federation, TomskReferences
- Российские клинические рекомендации по диагностике, лечению и профилактике венозных тромбоэмболических осложнений. Флебология. 2015;9(4)2:3-52 [Russian clinical guidelines for the diagnosis, treatment and prevention of venous thromboembolic complications. Phlebology. 2015; 9(4)2:3-52 (In Russ.)].
- Konstantinides SV, Torbicki A, Agnelli G, et al. Guidelines on the diagnosis and management of acute pulmonary embolism: The Task Force for the Diagnosis and Management of Acute Pulmonary Embolism of the European Society of Cardiology (ESC) Endorsed by the European Respiratory Society (ERS). Eur Heart J. 2014;35(43):3033-73. doi: 10.1093/eurheartj/ehu283
- Konstantinides SV, Meyer G, Becattini C, et al. Guidelines for the diagnosis and management of acute pulmonary embolism developed in collaboration with the European Respiratory Society (ERS): The Task Force for the diagnosis and management of acute pulmonary embolism of the European Society of Cardiology (ESC). Eur Respir J. 2019;Aug 31. pii: 1901647. doi: 10.1183/13993003.01647-2019
- Министерство здравоохранения Российской Федерации (Минздрав России). Клинические рекомендации (Протокол). Профилактика венозных тромбоэмболических осложнений в акушерстве и гинекологии. М., 2014 [The Ministry of Health of the Russian Federation (Ministry of Health of Russia). Clinical guidelines (Protocol). Prevention of venous thromboembolic complications in obstetrics and gynecology. Moscow, 2014 (In Russ.)].
- Приказ Минздравсоцразвития РФ №446 от 27 июня 2007 г. «Об утверждении стандарта медицинской помощи больным с легочной тромбоэмболией с упоминанием об остром легочном сердце (при оказании специализированной помощи)». М., 2007 [Order of the Ministry of Healthcare and Social Development of the Russian Federation No.446 dated June 27, 2007. “On approving the standard of medical care for patients with pulmonary thromboembolism with reference to an acute pulmonary heart (when providing specialized care)”. Moscow, 2007 (In Russ.)].
- Приказ Министерства здравоохранения РФ №918н от 15 ноября 2012 г. «Об утверждении Порядка оказания медицинской помощи больным с сердечно-сосудистыми заболеваниями». М., 2012 [Order of the Ministry of Health of the Russian Federation No. 918n dated November 15, 2012 “On approval of the Procedure for rendering medical care to patients with cardiovascular diseases”. Moscow, 2012 (In Russ.)].
- Приказ Минздравсоцразвития РФ №873н от 9 ноября 2012 г. «Об утверждении стандарта специализированной медицинской помощи при тромбоэмболии легочных артерий». М., 2013 [Order of the Ministry of Healthcare and Social Development of the Russian Federation No.873n of November 9, 2012 “On approval of the standard of specialized medical care for pulmonary thromboembolism”. Moscow, 2013 (In Russ.)].
- Kemmeren JM, Algra A, Meijers JC, et al. Effect of second- and third-generation oral contraceptives on the protein C system in the absence or presence of the factor V Leiden mutation: a randomized trial. Blood. 2004;103(3):927-33. doi: 10.1182/blood-2003-04-1285
- Eilertsen AL, Hoibraaten E, Os I, et al. The effects of oral and transdermal hormone replacement therapy on C-reactive protein levels and other inflammatory markers in women with high risk of thrombosis. Maturitas. 2005;52(2):111-8. doi: 10.1016/j.maturitas.2005.01.004
- Middeldorp S. Oral contraceptives and the risk of venous thromboembolism. Gend Med. 2005;2(Suppl A):S3-S9. doi: 10.1016/s1550-8579(05)80059-2
- Post MS, Christella M, Thomassen LG, et al. Effect of oral and transdermal estrogen replacement therapy on hemostatic variables associated with venous thrombosis: a randomized, placebo-controlled study in postmenopausal women. Arterioscler Thromb Vasc Biol. 2003;23(6):1116-21. doi: 10.1161/01.ATV.0000074146.36646.C8
- Комаров А.Л., Шахматова О.О., Ребриков Д.В. и др. Влияние генетических факторов, ассоциированных с тромбозами, на долгосрочный прогноз больных ишемической болезнью сердца. Рациональная фармакотерапия в кардиологии. 2011;7(4):409-25 [Komarov AL, Shakhmatova OO, Rebrikov DV, et al. The influence of genetic factors associated with thrombosis on the long-term prognosis of patients with coronary heart disease. Racionalnaya farmakoterapiya v kardiologii. 2011;7(4):409-25 (In Russ.)]. doi: 10.20996/1819-6446-2011-7-4-4-409-425
- Stevens SM, Woller SC, Bauer KA, et al. Guidance for the evaluation and treatment of hereditary and acquired thrombophilia. J Thromb Thrombo-lysis. 2016;41(1):154-64. doi: 10.1007/s11239-015-1316-1
- Васильцева О.Я., Ворожцова И.Н., Крестинин А.В., Карпов Р.С. Тромбоэмболия ветвей легочной артерии по данным Регистра стационаров г. Томска. Клиническая медицина. 2013;3:28-31. [Vasil’ceva OYa, Vorozhcova IN, Krestinin AV, Karpov RS. Thromboembolism of the branches of the pulmonary artery according to the Tomsk Hospitals Register. Clinical medicine. 2013;3:28-31 (In Russ.)].
Supplementary files














