Delayed coronary obstruction of the left main artery after transcatheter aortic valve replacement
- Authors: Komlev A.E.1, Lepilin P.M.1, Kurilina E.V.1, Romakina V.V.1, Imaev T.E.1
-
Affiliations:
- National Medical Research Center of Cardiology
- Issue: Vol 92, No 4 (2020)
- Pages: 70-75
- Section: Consensuns
- Submitted: 18.05.2020
- Published: 19.04.2020
- URL: https://ter-arkhiv.ru/0040-3660/article/view/34104
- DOI: https://doi.org/10.26442/00403660.2020.04.000466
- ID: 34104
Cite item
Full Text
Abstract
Coronary arteries’ obstruction associated with transcatheter aortic valve implantation (TAVI) may occur either during the procedure or after it. In the latter coronary obstruction can be further divided into early (<7 days after procedure) or delayed one (>7 days). Delayed coronary obstruction (DCO) is referred as a rare but devastating complication after TAVI and is associated with the extremely high mortality. This case demonstrates the objective difficulties of timely diagnostics of DCO. Since the results of non-invasive methods are indetermined in most cases, the authors conclude that even low-specific clinical symptoms must be interpreted as the definite rationale for the implementation of invasive diagnostic and treatment strategy.
Full Text
АК – аортальный клапан
АС – аортальный стеноз
КАГ – коронароангиография
КО – коронарная обструкция
ЛЖ – левый желудочек
ЛКА – левая коронарная артерия
МСКТ – мультиспиральная компьютерная томография
ОКО – отсроченная коронарная обструкция
ТИАК – транскатетерная имплантация аортального клапана
ЧКВ – чрескожное коронарное вмешательство
ЧпЭхоКГ – чреспищеводная эхокардиография
ЧСС – частота сердечных сокращений
ЭКГ – электрокардиография
ЭхоКГ – эхокардиография
Введение
Транскатетерная имплантация аортального клапана (ТИАК) представляет собой малоинвазивную альтернативу хирургическому протезированию аортального клапана (АК) в условиях искусственного кровообращения. В настоящее время в мире накоплен опыт более 500 тыс. подобных операций, результаты которых свидетельствуют о лучших показателях периоперационной летальности, меньшем количестве тяжелых осложнений и, соответственно, сокращении затрат на госпитализацию и дальнейшую реабилитацию пациентов [1, 2]. По современным данным периоперационная летальность при ТИАК не превышает 3% даже у пациентов высокого хирургического риска [3]. Тем не менее, как и любая кардиохирургическая операция, данное вмешательство характеризуется рядом специфических осложнений, которые могут потенциально привести к неблагоприятному исходу в раннем послеоперационном периоде. К числу наиболее катастрофических осложнений, наряду с церебральной материальной эмболией, относится обструкция коронарных артерий. Несмотря на низкую встречаемость данного осложнения ТИАК, оно сопряжено с крайне неблагоприятным прогнозом для жизни, что определяет актуальность знания его предикторов, особенностей клинической картины и возможностей лечения.
Описание случая
Пациент Р., 73 лет, госпитализирован в отдел сердечно-сосудистой хирургии с жалобами на инспираторную одышку при физической нагрузке, боли давящего характера за грудиной, возникающие при физической нагрузке и купирующиеся нитроглицерином в течение 5 мин.
Анамнез заболевания. В 2001 г. пациент с длительным течением артериальной гипертонии перенес крупноочаговый инфаркт миокарда нижней локализации, в последующем неоднократно был госпитализирован по поводу нестабильной стенокардии. С 2003 г. возникают пароксизмы фибрилляции предсердий. В 2007 г. в ходе коронароангиографии (КАГ) выявлено многососудистое поражение коронарного русла, при эхокардиографическом исследовании (ЭхоКГ) диагностирован выраженный аортальный стеноз (АС). От рекомендованной операции коронарного шунтирования с одномоментным протезированием АК пациент отказался. В апреле 2011 г. выполнено чрескожное коронарное вмешательство (ЧКВ) со стентированием огибающей артерии. В 2013 г. выявлен сахарный диабет 2-го типа. В 2015 г. в связи с симптомной синоатриальной блокадой 2-й степени имплантирован двухкамерный электрокардиостимулятор. С 2017 г. появилась одышка при физической нагрузке с постепенным снижением ее переносимости.
Данные инструментального обследования
Электрокардиография (ЭКГ). Артифициальный ритм со стимуляцией предсердий, частота сердечных сокращений (ЧСС) 55 уд/мин. Нарушение внутрижелудочкового проведения. Признаки рубцового поражения миокарда нижней локализации (рис. 1).
Рис. 1. ЭКГ пациента при поступлении.
Рентгенография органов грудной клетки. Эмфизема легких. Диффузный пневмосклероз. Атеросклероз аорты. Имплантированный двухкамерный кардиостимулятор. Выраженный кифосколиоз.
ЭхоКГ. Гипоакинез нижней и большей части задней стенки левого желудочка (ЛЖ). Фракция выброса ЛЖ – 43%. Выраженный кальциноз АК, максимальный систолический градиент 102 мм рт. ст., средний – 63 мм рт. ст.; площадь раскрытия по уравнению непрерывности – 0,4 см2 (рис. 2).
Рис. 2. Измерение транспротезных систолических градиентов на АК.
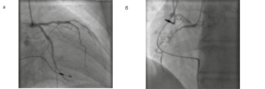
КАГ. Тип кровоснабжения правый. Ствол левой коронарной артерии (ЛКА) не изменен. Передняя нисходящая артерия, диагональная артерия имеют неровные контуры. Ранее установленный стент в огибающей артерии проходим без признаков рестеноза. Правая коронарная артерия диффузно изменена, в средней трети окклюзирована (рис. 3).
Рис. 3. Предоперационная КАГ: а – ЛКА, б – правая коронарная артерия.
Мультиспиральная компьютерная томография (МСКТ) аорты. Выраженный кальциноз трехстворчатого АК. Размер фиброзного кольца АК 24¥28 мм, диаметр аорты на уровне синусов Вальсальвы 32 мм. Устья коронарных артерий расположены выше 10 мм от плоскости фиброзного кольца АК (рис. 4).
Рис. 4. МСКТ-аортография.
На основании данных анамнеза, лабораторных и инструментальных методов исследования выставлен клинический диагноз:
- Приобретенный сочетанный аортальный порок сердца: критический АС, недостаточность АК легкой степени. Синдром стенокардии.
- Ишемическая болезнь сердца: постинфарктный кардиосклероз (инфаркт миокарда нижней локализации в 2001 г.). ЧКВ со стентированием огибающей артерии (2011 г.).
Фоновые заболевания. Гипертоническая болезнь III стадии. Нарушение ритма и проводимости сердца: пароксизмальная форма фибрилляции предсердий, синоатриальная блокада 2-й степени, имплантация двухкамерного кардиостимулятора (2015 г.).
Сопутствующие заболевания. Сахарный диабет 2-го типа, субкомпенсация. Стенозирующий атеросклероз сонных артерий. Гастроэзофагеальная рефлюксная болезнь, пищевод Барретта. Выраженный кифосколиоз.
Наличие симптомного критического АС у пациента пожилого возраста с отягощенным сердечно-сосудистым анамнезом, сниженной глобальной сократимостью миокарда ЛЖ явилось показанием для операции ТИАК. На основании результатов МСКТ с использованием навигационной системы принято решение об имплантации самораскрывающегося биопротеза CoreValve Evolut R 29 мм.
Протокол оперативного вмешательства
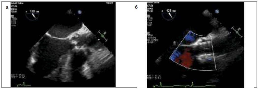
В условиях общей анестезии выполнен доступ к бедренной артерии, через установленный интродьюсер в аортальную позицию заведен баллонный катетер, выполнена предилатация, после которой по данным чреспищеводной ЭхоКГ (ЧпЭхоКГ) в области левого коронарного синуса визуализировано флотирующее образование – фрагмент створки АК (рис. 5, а).
Рис. 5. Интраоперационная ЧпЭхоКГ: а - стрелкой отмечен флотирующий фрагмент левой коронарной створки АК непосредственно после балонной вальвулотомии АК; б - функционирующий биопротез АК; дополнительные образования в проекции коронарного синуса не визуализируются.
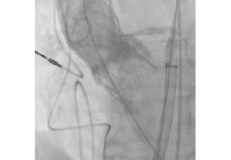
На системе доставки имплантирован биопротез CoreValve Evolut R 29 мм, последовательно выполнена постдилатация баллонами 20 и 23 мм. При контрольной ЧпЭхоКГ флотирующий элемент не визуализируется (рис. 5, б). При финальной КАГ коронарные артерии проходимы, запирательная функция протеза АК осуществляется в полном объеме (рис. 6).
Рис. 6. Контрольная ангиография.
Длительность операции составила 120 мин, объем кровопотери 100 мл. В отделении реанимации состояние оставалось стабильным, и через 20 ч пациент был переведен в хирургическое отделение.
На 1-е сутки после ТИАК пациент предъявил жалобы на боли в левой половине грудной клетки и незначительную одышку в горизонтальном положении, которые купировались самостоятельно при смене положения тела. На ЭКГ синусовый ритм с ЧСС 95 уд/мин, умеренно выраженная депрессия сегмента ST в отведениях V4–6 с переходом в слабоотрицательный зубец Т при нормальной амплитуде зубца R во всех отведениях (рис. 7). Динамика ЭКГ интерпретирована дежурным врачом как тахизависимые изменения реполяризации (ЧСС 95 уд/мин) на фоне хронической окклюзии правой коронарной артерии. Назначен анаприлин в дозе 40 мг в сочетании с одной дозой нитроглицерина. После изменения положения тела болевой синдром купировался в течение нескольких минут. При контрольной ЭКГ через 3 ч отмечалось уменьшение депрессии сегмента ST в V4–6 на фоне урежения ЧСС до 76 уд/мин (рис. 8). Жалоб пациент не предъявлял. Учитывая атипичный характер болевого синдрома, он был расценен как позиционная вертеброгенная дорсопатия у пациента с выраженным кифосколиозом.
Рис. 7. ЭКГ на 1-е сутки после перевода из отделения реанимации.
На 2-е сутки после ТИАК состояние оставалось стабильным, пациент активизирован в пределах отделения, однако к вечеру вновь отметил одышку и неинтенсивную боль в прекардиальной области в положении лежа, купированные однократным введением кеторолака. Аналогичные жалобы больной предъявлял и на утреннем обходе дежурного врача.
Рис. 8. ЭКГ в динамике (2-е послеоперационные сутки).
На 3-и сутки после операции во время прогулки по коридору произошло резкое ухудшение состояния в виде приступа удушья, учащенного сердцебиения, выраженной слабости. Объективно: бледность кожных покровов, холодный пот, тахипноэ до 25 в минуту, множественные мелкопузырчатые хрипы надо всей поверхностью легких, глухость сердечных тонов, ЧСС 95 уд/мин, артериальное давление 140/80 мм рт. ст. На ЭКГ депрессия сегмента ST до 3 мм в V3–6, элевация сегмента ST в aVR (рис. 9).
Рис. 9. ЭКГ в момент резкого ухудшения состояния.
Пациент экстренно переведен в отделение реанимации с диагнозом «острый коронарный синдром». В анализах крови: нарастание лейкоцитоза до 16 тыс./мкл, тропонин I 19 502 пг/мл, МВ-фракция креатинфосфокиназы 20 нг/мл. При экстренной ЭхоКГ выявлена обширная зона гипоакинеза переднеперегородочной локализации с распространением на боковую и нижнюю стенки со значительным снижением глобальной сократимости ЛЖ (фракция выброса ЛЖ менее 30%), в позиции АК визуализирован нормально функционирующий биопротез. Несмотря на проводимую интенсивную терапию, отмечалось прогрессирующее ухудшение состояния с последующей остановкой кровообращения по типу электромеханической диссоциации и неэффективными реанимационными мероприятиями.
В ходе патологоанатомического вскрытия обнаружена тотальная обструкция устья ЛКА флотирующим фрагментом левой коронарной створки нативного АК (рис. 10). Гистологическое исследование препаратов ЛЖ подтвердило наличие зон острой ишемии и некротических изменений миокарда различной давности (до 24 ч).
Рис. 10. Самораскрывающийся биопротез в аортальной позиции. Синим цветом обведен фрагмент расщепленной левой коронарной створки нативного АК, обтурирующий устье ЛКА.
Патологоанатомический диагноз
- Приобретенный сочетанный порок сердца: критический АС, недостаточность АК легкой степени. Синдром стенокардии. Трансфеморальная имплантация самораскрывающегося биопротеза АК CoreValve Evolut R (27.09.2018).
- Ишемическая болезнь сердца: постинфарктный кардиосклероз (инфаркт миокарда нижней локализации в 2001 г.), стенозирующий атеросклероз коронарных артерий. ЧКВ со стентированием огибающей артерии (2011 г.).
Фоновое заболевание. Гипертоническая болезнь III стадии с поражением сердца и почек. Нарушение ритма и проводимости сердца: пароксизмальная форма фибрилляции предсердий, синоатриальная блокада 2-й степени (по клиническим данным). Имплантация двухкамерного электрокардиостимулятора (2015 г.).
Осложнения. Острый мелкоочаговый инфаркт миокарда 2-го типа передней стенки ЛЖ давностью около 24 ч, острые ишемические изменения миокарда переднеперегородочной локализации вследствие обструкции ствола ЛКА нативной створкой АК. Отек легких. Отек головного мозга. Состояние после реанимационных мероприятий (30.09.2018).
Обзор литературы
Обструкция коронарных артерий, связанная с ТИАК, может быть интраоперационной (не представляет сложностей для распознавания) и отсроченной, которая, в свою очередь, подразделяется на раннюю (до 7 сут после ТИАК) и позднюю (>7 сут).
Коронарная обструкция (КО) наиболее часто вызывается смещением створки нативного АК с полным или частичным перекрытием устья коронарной артерии. К факторам риска КО относятся: низкое отхождение коронарных артерий по отношению к плоскости фиброзного кольца АК (менее 12 мм); узкие синусы Вальсальвы (менее 30 мм); массивный кальциноз коронарных створок и/или их избыточная длина; двустворчатый АК, а также выполнение ТИАК по методу «клапан-в-клапан» [4, 5]. Частота развития КО составляет около 0,7% [6] однако 30-дневная летальность при ее развитии, по данным разных авторов, превышает 40–50% [7, 8].
Первым масштабным исследованием данной проблемы можно считать работу H. Ribeiro и соавт., которые в 2013 г. проанализировали 44 случая развития КО среди 6688 (0,66%) пациентов из многоцентрового регистра ТИАК. Авторами показано, что КО чаще встречалась у женщин (p<0,001), пациентов без коронарного шунтирования в анамнезе (p=0,043), при использовании баллон-расширяемых биопротезов АК (p=0,023) и при операциях «клапан-в-клапан» (p=0,045). Среди анатомических факторов риска у пациентов с развившейся КО оказались меньшие по сравнению с контрольной группой высота отхождения ЛКА (10,6±2,1 и 13,4±2,1 мм, p<0,001) и ширина синусов Вальсальвы (28,1±3,8 и 31,9±4,1 мм, p<0,001). Обструкция ЛКА наблюдалась у 88,6% больных. Клиническая картина КО наиболее часто включала в себя неуправляемую артериальную гипотонию (68,2%) и ишемические изменения ЭКГ (56,8%). Экстренная ЧКВ применялась у 75% больных и была эффективна в 81,8% случаев. Тридцатидневная летальность составила 40,9%, 1-годичная – 45,5% [9].
В большинстве случаев КО возникает в первые секунды или минуты после имплантации протеза АК, однако с многократным ростом количества выполняемых процедур ТИАК стали появляться отдельные сообщения о случаях отсроченной обструкции устья коронарной артерии, развивающихся спустя несколько часов или даже суток после ТИАК.
Отсроченная коронарная обструкция (ОКО) после ТИАК – это обструкция устья коронарной артерии после технически успешной операции ТИАК:
а) развившаяся у больного, покинувшего операционную в стабильном состоянии;
б) подтвержденная ангиографически, во время вторичного хирургического вмешательства или по данным аутопсии;
в) не обусловленная прогрессированием коронарной болезни сердца.
В 2018 г. R. Jabbour и соавт. [10] опубликовали результаты многоцентрового регистра, в который вошли все случаи ОКО после ТИАК в 18 центрах Европы и Северной Америки с 2005 по 2016 г. У 38 из 17 092 пациентов, включенных в исследование, наблюдалась ОКО (0,22%), при этом достоверно чаще после процедур «клапан-в-клапан» по сравнению с ТИАК в нативный клапан (0,89 и 0,18%; p<0,001) и при использовании самораскрывающихся протезов по сравнению с баллон-расширяемым (0,36 и 0,11%; p<0,01). Обращает внимание, что использование баллон-расширяемых протезов в исследовании H. Ribeiro и соавт. [9], напротив, характеризовалось большей частотой обтурации устья ЛКА, что отражает вероятные различия в механизмах острой коронарной обструкции и ОКО при ТИАК. Ни у одного из пациентов с ОКО не было исходного устьевого поражения ЛКА или правой коронарной артерии или предварительного ЧКВ проксимальных сегментов. Только у 66,6% больных имелись классические факторы риска КО. Наиболее часто (47% случаев) ОКО случалась в течение 24 ч после вмешательства, у 16% больных – в интервале от 24 ч до 7 сут, в 37% случаев – после 60 сут. В структуре клинической манифестации ОКО преобладала внезапная сердечная смерть (32%), на 2 и 3-м месте – инфаркт миокарда с подъемом и без подъема сегмента ST (24 и 21%). В 92% случаев наличие ОКО установлено в ходе КАГ, однако у 2 больных диагноз верифицирован только во время аутопсии. Окклюзия ЛКА встречалась в 92% случаев, а изолированная окклюзия правой коронарной артерии – лишь в 8%. Попытки экстренной коронарной реваскуляризации предприняты в 89% случаев (ЧКВ в 71% и аортокоронарное шунтирование – в 18% от общего числа ОКО). Тем не менее летальность при ОКО оказалась крайне высокой вне зависимости от выбранной тактики лечения: 43 и 41% в группах ЧКВ и шунтирования соответственно.
Авторами проведен анализ особенностей течения ОКО в зависимости от сроков возникновения после ТИАК. Так, типичным первым проявлением ранней ОКО были внезапная смерть (75%) и инфаркт миокарда с подъемом сегмента ST (21,4%), тогда как случаи поздней ОКО чаще манифестировали в виде стенокардии напряжения (50%) или нестабильной стенокардии (8,3%). Госпитальная летальность при ранней ОКО была выше, чем при поздней, хотя различия оказались статистически не значимы (62,5 и 28,6%; p=0,09).
Потенциальные механизмы критического нарушения коронарного кровотока также оказались неодинаковыми при ранней и поздней ОКО. У 22 (91,7%) пациентов из 24 ведущей причиной ранней ОКО было смещение створки нативного АК или биопротеза в направлении коронарного устья; в 2 оставшихся случаях – диссекция устья ЛКА и обструкция устья правой коронарной артерии при имплантации второго клапана для коррекции тяжелой аортальной регургитации, развившейся из-за дислокации протеза.
Непосредственной причиной поздней ОКО в большинстве случаев (n=12; 85,7%) была эндотелизация нативного АК или биопротеза с соответствующим критическим сокращением расстояния до устья коронарной артерии; у 2 пациентов – эмболизация коронарных артерий тромботическими массами, локализованными на протезе АК или в синусе Вальсальвы [10].
Типичный пример ОКО после имплантации самораскрывающегося протеза в ходе операции «клапан-в-клапан» приводят A. Buscaglia и соавт. (2018 г.). Авторы опубликовали клинический случай ранней ОКО после успешной имплантации биопротеза CoreValve 23 мм пациентке 84 лет без сопутствующей коронарной патологии по поводу структурной дегенерации хирургического биопротеза Mitroflow 21. Во время операции выполняли превентивную канюляцию ЛКА, при финальной ангиографии отмечалось нормальное заполнение обеих коронарных артерий. Пациентка переведена из операционной в блок интенсивной терапии со стабильной гемодинамикой, однако спустя 2 ч произошла внезапная остановка кровообращения. На вскрытии обнаружена окклюзия устья ЛКА створкой хирургического биопротеза ЛКА, сместившейся в поперечном направлении на критическую величину в ходе продолжающегося дораскрытия самораскрывающегося транскатетерного протеза [11].
Разрыв створки нативного АК относится к наиболее редким (если не сказать казуистическим) причинам КО. В литературных источниках нам удалось обнаружить лишь единичное описание ОКО, обусловленной этим феноменом [12, 13]. Любопытно, что наиболее перспективная на сегодняшний день методика предотвращения КО у пациентов с анатомическими предикторами ее развития предполагает выполнение ятрогенного разрыва (laceration) коронарной створки нативного АК для исключения ее аппозиции с устьем ЛКА (реже – правой коронарной артерии) с помощью внутрисосудистого катетерного инструментария [14]. Очевидно, что данный метод оказывается заведомо непригодным в случаях, когда спонтанный разрыв створки сам по себе является ведущим фактором патогенеза КО.
В отсутствие надежных способов распознавания конкретных механизмов ОКО в реальной клинической ситуации единственно правильной тактикой следует признать инвазивный поход к диагностике и коррекции данного осложнения ТИАК, а именно безотлагательное выполнение КАГ с последующим принятием решения об экстренном ЧКВ или хирургической коронарной реваскуляризации [10, 11].
Заключение
Приведенное наблюдение иллюстрирует сложность своевременной диагностики ОКО, а также совокупность объективных и субъективных препятствий для выбора правильной тактики лечения. Подробный клинико-патоморфологический разбор данного случая позволил выделить ряд ошибок, допущенных участниками «heart team» и приведших к трагическому исходу.
Флотация фрагмента створки нативного АК после баллонной вальвулотомии нередко визуализируется при ЧпЭхоКГ, не приводя при этом к неблагоприятным последствиям. В нашем наблюдении исчезновение после имплантации протеза подозрительной в отношении потенциальной КО структуры наряду с ангиографически неизмененным коронарным кровотоком привели к ложной убежденности в отсутствии риска ассоциированной с ТИАК ишемии миокарда. В действительности же результаты примененных методов визуализации свидетельствовали только об отсутствии интраоперационной КО, не исключая развития ОКО, особенно при использовании самораскрывающегося транскатетерного биопротеза, который достигает максимального поперечного размера спустя некоторое время после имплантации. Возможно, что при менее благоприятной анатомии корня аорты, а именно при узких синусах Вальсальвы, низком отхождении ЛКА или массивном кальцинате створки АК, данным интраоперационной ЧпЭхоКГ было бы уделено большее внимание при дифференциальном диагнозе синдрома кардиалгии. К сожалению, редкость ОКО в целом и эксклюзивность встретившейся нам причины (разрыв левой коронарной створки) в сочетании с отсутствием известных факторов риска способствовали неправильной интерпретации клинической динамики после операции. Наличие выраженной кифосколиотической деформации позвоночника сочтено достаточным для признания предъявляемых больным жалоб «некардиальными», несмотря на осведомленность врачей-кардиологов о нередко встречающихся атипичных клинических масках острого коронарного синдрома. При большей информированности медицинского персонала о возможности ОКО возникновение у больного рецидивирующего болевого синдрома с повторяющимся стереотипом (боли в груди и одышка в клиностазе как проявление стенокардии decubitas) в сочетании с патологическими изменениями ЭКГ в ранние сроки после ТИАК могло и должно было быть расценено как предвестник надвигающейся коронарной катастрофы.
ОКО представляет собой редкое осложнение ТИАК, сопровождающееся крайне высокой госпитальной летальностью. Клиницисты должны учитывать возможность развития ОКО в ближайшем и более отдаленном послеоперационном периоде и быть настроенными на скорейшее выполнение КАГ при наличии клинической настороженности. Активный интраоперационный поиск предикторов возможной ОКО должен в обязательном порядке проводиться в ходе ЧпЭхоКГ и контрольной аортографии на всех этапах ТИАК: как после баллонной предилатации АК, так и при оценке финального результата операции. Одним из «ключей» диагностики ОКО следует считать развитие после ТИАК синдрома коронарной недостаточности с типичным (приступы стенокардии) или атипичным (эквивалент – одышка) ангинозным стереотипом. Особое внимание следует уделять малоспецифичным изменениям ЭКГ, если последние совпадают с появлением новых жалоб кардиалгического характера. Учитывая объективные трудности неинвазивной диагностики ОКО, любые сомнения в неишемической этиологии клинических симптомов должны рассматриваться как показание к использованию инвазивных методов диагностики и лечения.
About the authors
A. E. Komlev
National Medical Research Center of Cardiology
Author for correspondence.
Email: pentatonika@bk.ru
ORCID iD: 0000-0001-6908-7472
кардиолог отд. сердечно-сосудистой хирургии
Russian Federation, MoscowP. M. Lepilin
National Medical Research Center of Cardiology
Email: pentatonika@bk.ru
ORCID iD: 0000-0003-2979-2542
к.м.н., сердечно-сосудистый хирург, ст. науч. сотр. отд. сердечно-сосудистой хирургии
Russian Federation, MoscowE. V. Kurilina
National Medical Research Center of Cardiology
Email: pentatonika@bk.ru
врач-патологоанатом
Russian Federation, MoscowV. V. Romakina
National Medical Research Center of Cardiology
Email: pentatonika@bk.ru
ORCID iD: 0000-0002-0035-0794
кардиолог отд. сердечно-сосудистой хирургии
Russian Federation, MoscowT. E. Imaev
National Medical Research Center of Cardiology
Email: pentatonika@bk.ru
ORCID iD: 0000-0002-5736-5698
д.м.н., сердечно-сосудистый хирург, гл. науч. сотр. отд. сердечно-сосудистой хирургии
Russian Federation, MoscowReferences
- Krasopoulos G, Falconieri F, Benedetto U, et al. European real world transcatheter aortic valve implantation: systematic review and meta-analysis of European national registries. J Cardiothorac Surg. 2016;11:159. doi: 10.1186/s13019-016-0552-6
- Barbanti M, Webb JG, Gilard M, et al. Transcatheter aortic valve implantation in 2017: state of the art. EuroIntervention. 2017;13:AA11-21. doi: 10.4244/EIJ-D-17-00567
- Vahl TP, Kodali SK, Leon MB. Transcathter aortic valve replacement 2016: A Modern-Day “Through the Looking-Glass” Adventure. J Am Coll Cardiol. 2016;67:1472-87. doi: 10.1016/j.jacc.2015.12.059
- Ribeiro HB, Nombela-Franco L, Urena M, et al. Coronary obstruction following transcatheter aortic valve implantation. JACC: Cardiovasc Interv. 2013;6(5):452-61. doi: 10.1016/j.jcin.2012.11.014
- Dvir D, Leipsic J, Blanke P, et al. Coronary obstruction in transcatheter aortic valve-in-valve implantation, preprocedural evaluation, device selection, protection, and treatment. Circ Cardiovasc Interv. 2015;8:e002079. doi: 10.1161/CIRCINTERVENTIONS.114.002079
- Dvir D, Webb J, Brecker S, et al. Transcatheter aortic valve replacement for degenerative bioprosthetic surgical valves: results from the global valve-in-valve registry. Circulation. 2012;126:2335-44. doi: 10.1161/CIRCULATIONAHA.112.104505
- Thomas M, Schymik G, Walther T, et al. Thirty-day results of the SAPIEN Aortic Bioprosthesis European Outcome (SOURCE) Registry: a European registry of transcatheter aortic valve implantation using the Edwards SAPIEN valve. Circulation. 2010;122:62-9. doi: 10.1161/ CIRCULATIONAHA.109.907402
- Stabile E, Sorropago G, Cioppa A, et al. Acute left main obstructions following TAVI. EuroIntervention. 2010;6:100-5. doi: 10.4244/ EIJV6I1A15
- Ribeiro HB, Webb JG, Makkar RR, et al. Predictive factors, management, and clinical outcomes of coronary obstruction following transcatheter aortic valve implantation: insights from a large multicenter registry. J Am Coll Cardiol. 2013;62:1552-62. doi: 10.1016/j.jacc. 2013.07.040
- Jabbour RJ, Tanaka A, Finkelstein A, et al. Delayed coronary obstruction after transcatheter aortic valve replacement. J Am Coll Cardiol. 2018;71(14):1513-24. doi: 10.1016/j.jacc.2018.01.066
- Buscaglia A, Tini G, Bezante GP, et al. Sudden death after valve-in-valve procedure due to delayed coronary obstruction: a case report. J Med Case Rep. 2018;12:247. doi: 10.1186/s13256-018-1785-x
- Toeg HD, Labinaz M, Hudson C, Ruel M. Aortic valve cusp shearing and migration into the left main coronary artery during transcatheter aortic valve implantation. Can J Cardiol. 2012;28(5):611.e1-3. doi: 10.1016/j.cjca.2012.03.006
- Ye J. Coronary Artery Occlusion as a Complication of Transcatheter Aortic Valve Implantation. Can J Cardiol. 2012;28(5):534-36. doi: 10.1016/j.cjca.2012.03.015
- Komatsu I, Mackensen GB, Aldea GS, et al. Bioprosthetic or native aortic scallop intentional laceration to prevent iatrogenic coronary artery obstruction. Part 1: how to evaluate patients for BASILICA. EuroIntervention. 2019;15:47-54. doi: 10.4244/EIJ-D-19-00057
Supplementary files
