Exacerbation of idiopathic pulmonary fibrosis
- Authors: Avdeev S.N.1,2, Gaynitdinova V.V.1, Merzhoeva Z.M.1,2, Neklyudova G.V.1,2, Tsareva N.A.1,2, Nuralieva G.S.1,2
-
Affiliations:
- Sechenov First Moscow State Medical University (Sechenov University)
- Research Institute of Pulmonology
- Issue: Vol 92, No 3 (2020)
- Pages: 73-77
- Section: Consensuns
- URL: https://ter-arkhiv.ru/0040-3660/article/view/33906
- DOI: https://doi.org/10.26442/00403660.2020.03.000402
Cite item
Full Text
Abstract
Idiopathic pulmonary fibrosis (IPF) is usually characterized by a chronic and slowly progressive course. According to several studies, a small number of patients with IPF (about 5–15%) develops an acute deterioration of deasese – exacerbation of IPF. Exacerbations of IPF can occur at any time of the disease and sometimes becomes the first manifestation of IPF. Pulmonary hypertension in IPF is a fairly frequent complication, which leads to severe violations of gas exchange and reduced tolerance to physical stress. Currently, proven effective treatments for exacerbations of IPF do not exist, the management of this condition is based on supportive therapy (oxygen, respiratory support) and interventions with inadequate evidences (corticosteroids, immunosuppressant). During exacerbation of IPF a careful search of all the possible triggers is justified. In the presented clinical case of exacerbation of IPF there was demonstrated the efficacy of complex therapy including antifibrotic therapy, PAH-specific medicines and enhanced oxygen therapy.
Full Text
ВРКТ – высокоразрешающая компьютерная томография
ГКС – глюкокортикостероиды
ЖЕЛ – жизненная емкость легких
ИЛФ – идиопатический легочный фиброз
ЛГ – легочная гипертензия
ЛЖ – левый желудочек
ПЖ – правый желудочек
СДЛА – систолическое давление в легочной артерии
ЭхоКГ – эхокардиография
DLCO – диффузионная способность
SpO2 – насыщение крови кислородом
Идиопатический легочный фиброз (ИЛФ) обычно характеризуется хроническим прогрессирующим течением [1, 2]. Согласно исследованиям, у небольшого числа (порядка 5–15%) больных ИЛФ наблюдаются острые ухудшения состояния – обострения ИЛФ [3, 4]. Принятыми диагностическими критериями обострения ИЛФ являются нарастание одышки в течение срока менее 1 мес, документированное ухудшение гипоксемии, «новые» билатеральные альвеолярные инфильтраты, выявленные при высокоразрешающей компьютерной томографии (ВРКТ), отсутствие другого объяснения, такого как внелегочные причины (пневмоторакс, плевральный выпот, тромбоэмболия легочных артерий), или сердечная недостаточность, или объемная перегрузка [3]. Обострение может возникать в любой момент заболевания и иногда становится первым проявлением ИЛФ [5].
В настоящее время доказанные эффективные методы лечения обострений ИЛФ отсутствуют. Рассматривается только поддерживающая терапия (кислородотерапия, респираторная поддержка) и вмешательства, не имеющие доказательной базы (глюкокортикостероиды – ГКС, иммунносупрессанты). Поэтому в настоящее время невозможно представить специфические рекомендации о дозах, пути введения и длительности терапии ГКС при обострении ИЛФ [6]. Также необходимы тщательный поиск всех возможных причин обострений ИЛФ и их коррекция [3, 7].
Представляем клинический случай, в котором продемонстрирована эффективность комплексной терапии пациента с обострением ИЛФ и тяжелой легочной гипертензией (ЛГ).
Пациент К., 70 лет, наблюдающийся с диагнозом: «ИЛФ, стадия GАP III, хроническая дыхательная недостаточность III степени. ЛГ, класс III, функциональный класс III» и с сопутствующим диагнозом: «Ишемическая болезнь сердца. Стенокардия напряжения, функциональный класс II–III. Стентирование коронарных артерий (2009 г.). Хроническая сердечная недостаточность 2А, функциональный класс III» госпитализирован в пульмонологическое отделение с жалобами на выраженную одышку в покое, усиливающуюся при малейшей физической нагрузке, разговоре, приступообразный непродуктивный кашель, общую слабость, быструю утомляемость, сердцебиение.
В анамнезе указывается на стаж курения более 30 лет (индекс курения 30 пачка/лет, не курит более 20 лет) и работу инженером-строителем (контакт с вредными веществами отрицает).
Диагноз ИЛФ пациенту выставлен в 2013 г. на основании жалоб, анамнеза болезни, изменений функциональных исследований и ВРКТ грудной клетки. Пациент с мая 2015 г. получал антифибротическую терапию – пирфенидон (Эсбриет) 2403 мг/сут (9 капсул в сутки), длительную кислородотерапию (2 л/мин не менее 15 ч в сутки). Кроме того, в течение 1,5 года принимал преднизолон per os, максимальная доза 25 мг/сут, при поступлении – 5 мг/сут. На момент предыдущей госпитализации (ноябрь 2017 г.) при поступлении насыщение крови кислородом (SpO2) достигало 95%, десатурация при физической нагрузке – до 88%; дистанция в 6-минутном шаговом тесте – 450 м, одышка по шкале Borg – 6 баллов.
По данным исследований (ноябрь 2017 г.):
- Исследование газового состава артериальной крови: pH 7,43; PаCO2 33,9 мм рт. ст.; РаO2 79,2 мм рт. ст.; HCO3 22,1 ммоль/л; SpO2 94%.
- Комплексное исследование респираторной функции легких: нарушение вентиляционной функции по рестриктивному типу: снижение общей емкости легких до 57,4% от должного (3690 мл), жизненной емкости легких (ЖЕЛ) – 47,9% от должного (1770 мл), функциональной остаточной емкости легких – 60,3% от должного (2110 мл), остаточного объема легких – 75,9% от должного (1920 мл). Бронхиальная проходимость не была нарушена (объем форсированного выдоха за 1-ю секунду/ЖЕЛ=81%), показатели бронхиального сопротивления – в пределах нормы (рис. 1).
Рис. 1. Кривая «поток–объем форсированного выдоха».
Примечание. TLC – общая емкость легких, ITGV – внутригрудной объем, RV – остаточный объем; Pred – должное значение, Act – измеренная величина.
Газотранспортная функция легких характеризовалась снижением диффузионной способности тяжелой степени (DLCO) до 31,6% (7,66 мл/мин/мм рт. ст.) при снижении соотношения DLCO/альвеолярный объем до 59,4% от должного (рис. 2).
Рис. 2. Графики, выводимые при измерении DLCO: а – изменение объема (черная линия) и давления (серая линия) при выполнении диффузионного теста, горизонтальная сплошная и пунктирная черная линии соответствуют 100 и 90% от максимальной ЖЕЛ, вертикальные линии указывают на начало и конец времени транспорта вдыхаемого СО по методу Джонса–Мида; б – изменение концентрации гелия (черная линия) и СО (серая линия) в анализируемом объеме.
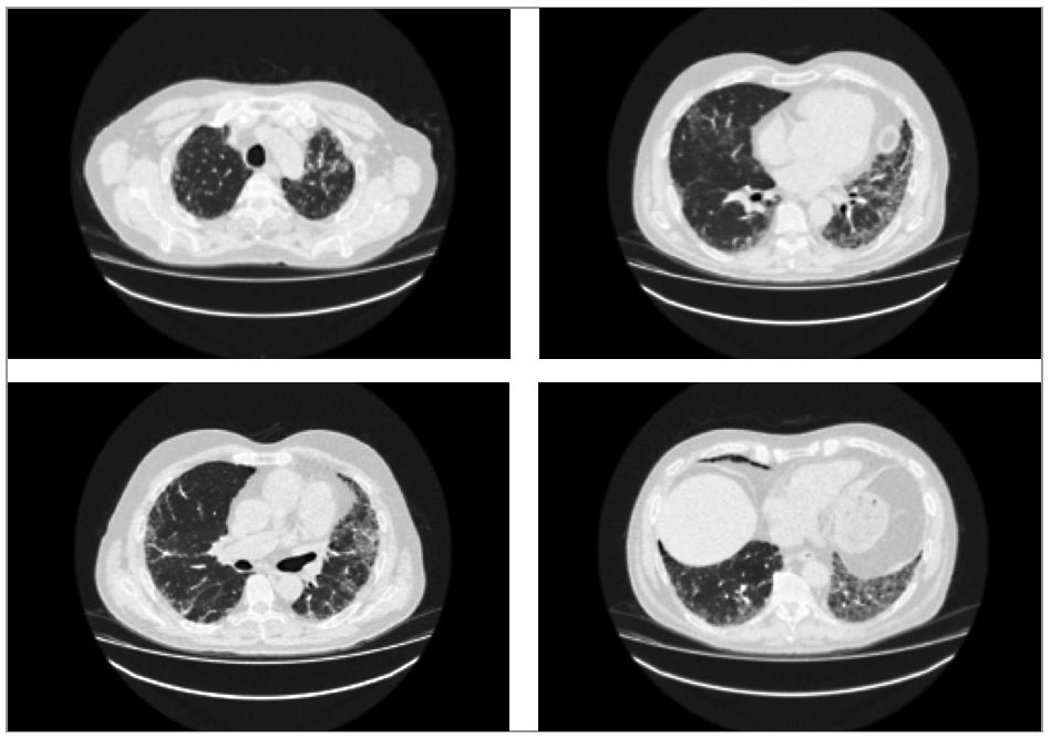
Рис. 3. ВРКТ-картина вероятной обычной интерстициальной пневмонии: выраженные ретикулярные изменения в кортикальных отделах с нарастанием их к диафрагме, обусловленные утолщением внутридольковых перегородок, тракционные бронхоэктазы, «сотовое» легкое, отсутствие «матового стекла».
- ВРКТ: КТ-картина вероятной обычной интерстициальной пневмонии (рис. 3).
- Допплер-эхокардиография (допплер-ЭхоКГ): незначительная гипертрофия стенок левого желудочка (ЛЖ), систолическая функция ЛЖ удовлетворительная. Зон нарушения локальной сократимости ЛЖ не выявлено. Дилатация правых отделов сердца. Гипертрофия свободной стенки правого желудочка (ПЖ). Трикуспидальная регургитация 2-й степени. Расчетное систолическое давление в легочной артерии (СДЛА) – 55–60 мм рт. ст. Систолическая функция ПЖ не снижена: TAPSE=24 мм.
Настоящее ухудшение состояния – в течение 3–4 нед. Госпитализирован с целью уточнения причины обострения и коррекции лечения.
При поступлении состояние пациента было расценено как крайне тяжелое. Больной был в сознании, контактен. Нормостенического телосложения, умеренного питания (индекс массы тела 21,1 кг/м2). Одышка в покое. Кожные покровы диффузно-цианотичные, чистые, умеренно влажные, теплые на ощупь. Ногтевые фаланги изменены по типу «барабанных палочек», ногти – по типу «часовых стекол». В акте дыхания участвовала вспомогательная мускулатура шеи. Перкуторно – в нижних отделах притупление легочного звука. Аускультативно – ослабленное везикулярное дыхание, грубая крепитация в нижних отделах с обеих сторон, частота дыхания 40 в минуту, SpO2 70% (в покое на воздухе), выраженность одышки по шкале mMRC – 4 балла, 6-минутный шаговый тест не был проведен из-за тяжести состояния больного. Тоны сердца были приглушены, ритм правильный, частота сердечных сокращений 106 в минуту, артериальное давление 100/55 мм рт. ст. Живот мягкий, при пальпации безболезненный. Печень по краю реберной дуги. Отеки стоп и лодыжек.
Лабораторно-инструментальные обследования:
- В общем анализе крови при поступлении обращали на себя внимание умеренный тромбоцитоз до 423×109/л; увеличение СОЭ (по Панченкову) до 41 мм/ч. В динамике (через 10 дней) – снижение СОЭ до 27 мм/ч.
- В биохимическом анализе крови почти все показатели в пределах нормы, наблюдалось повышение концентрации С-реактивного белка до 129 мг/л, на фоне лечения уровень С-реактивного белка снизился до 27,7 мг/л.
- Исследование газового состава артериальной крови показало следующую картину: pH 7,45; PаCO2 44,7 мм рт. ст.; PаO2 54,0 мм рт. ст.; HCO3 act 30,6 ммоль/л.
- В коагулограмме (при поступлении) наблюдалось повышение концентрации фибриногена – 7,4 г/л и D-димеров – 1,45 мг/мл (норма до 0,5 мг/мл).
- Общий анализ мокроты выявил слизисто-гнойный характер с увеличением количества лейкоцитов 75–80 клеток в 1 мкл; кислотоустойчивые микроорганизмы и атипические клетки не обнаружены.
- По данным электрокардиографии (при поступлении) – электрическая ось сердца горизонтальная; ритм правильный, синусовый, частота сердечных сокращений 71 в минуту. Ишемические изменения нижней стенки, верхушки и передней стенки; в динамике – ишемические изменения нижней стенки сохранялись.
- По данным допплер-ЭхоКГ выявлены ЭхоКГ-признаки ЛГ: СДЛА – не менее 80–85 мм рт. ст.; дилатация правых отделов сердца; гипертрофия свободной стенки ПЖ; трикуспидальная регургитация 2–3-й степени, индекс TAPSE 21–22 мм.
Лечение включало постоянную (24 ч/сут) кислородотерапию со скоростью 10 л/мин, затем 9–8–6 л/мин (критерием эффективности служило достижение SpО2 до 90%), пирфенидон 2403 мг/сут (9 капсул в сутки), ГКС (преднизолон от 120 мг/сут внутривенно капельно со снижением дозы до 30 мг/сут), ингибиторы протонной помпы (эзомепразол 20 мг 2 раза в сутки), ацетилцистеин 600 мг/сут внутривенно капельно, затем 1200 мг/сут внутрь), эноксапарин натрия 0,8 мг/сут.
На фоне проводимого лечения состояние пациента без особой положительной динамики: сохранялись выраженная одышка в покое, общая слабость, сердцебиение.
Заметное улучшение самочувствия, уменьшение одышки, возможность самостоятельного передвижения по палате (на потоке 6 л/мин), занятий с эспандером, катания мяча появились после назначения ЛАГ-специфической терапии – силденафил 20 мг 3 раза в сутки.
При контрольном ЭхоКГ-исследовании на фоне базисной и ЛАГ-специфической терапии определялись признаки ЛГ: дилатация правых отделов сердца, трикуспидальная регургитация 2-й степени, СДЛА около 60–65 мм рт. ст., однако по сравнению с предыдущим исследованием степень их выраженности стала меньше. Систолическая функция ПЖ не была снижена: TAPSE 23 мм. Существенных структурно-функциональных изменений левых отделов сердца не выявлено (см. рис. 4 на цветной вклейке).
Рис. 4 ЭхоКГ: дилатация правых отделов сердца, трикуспидальная регургитация (систолический градиент давления между ПЖ и правым предсердием равен 60-65 мм рт. ст.)
Пациент был выписан из стационара с рекомендациями проведения постоянной кислородотерапии (5 л/мин 24 ч/сут), приема пирфенидона 2403 мг/сут, ингибиторов протонной помпы (рабепразол, эзомепразол 20 мг 2 раза в сутки), ацетилцистеина 1800 мг/сут, силденафила 20 мг 3 раза в сутки и дезагрегантов (ацетилсалициловая кислота 100 мг/сут).
Обсуждение
По данным литературы, гистологически при обострении ИЛФ развивается острое или организующееся диффузное альвеолярное повреждение в участках относительно сохранной легочной ткани, в стороне от наиболее фиброзированных зон легких [2, 3]. В представленном случае в пользу этого мнения указывают неспецифические признаки воспаления в периферической крови, повышение, а в динамике (на фоне лечения) – снижение уровня С-реактивного белка, повышение уровня D-димеров, фибриногена. Вследствие усугубления гипоксемии наблюдались повышение СДЛА до 80–85 мм рт. ст. и перегрузки правых отделов сердца. В связи с этим пациенту дополнительно был назначен ЛАГ-специфический препарат силденафил.
ЛГ при ИЛФ является довольно частым осложнением, встречается в 32–85% случаев [8, 9]. У больных ИЛФ с ЛГ, как правило, выявляют более тяжелые нарушения газообмена и снижение толерантности к физическим нагрузкам, чем у больных ИЛФ без ЛГ [10]. Деструкция легочной паренхимы, сокращение площади капиллярного русла и фиброз сосудов являются важнейшими причинами развития ЛГ при ИЛФ. У пациентов с терминальными стадиями ИЛФ и диффузными паренхиматозными заболеваниями легких обычно наблюдается быстрое прогрессирование ЛГ [11].
В настоящее время широко обсуждаются возможности использования ЛАГ-специфических препаратов при ЛГ вследствие респираторных заболеваний [12]. Уже накоплены данные, демонстрирующие хорошую переносимость и высокую эффективность силденафила у больных ЛГ разной этиологии. В неконтролируемых клинических исследованиях силденафил применялся при идиопатической ЛГ, ЛАГ, ассоциированной с диффузными заболеваниями соединительной ткани, врожденных пороках сердца, хронической тромбоэмболической ЛГ и вызывал улучшение гемодинамики, толерантности к физическим нагрузкам [13]. Эффективность силденафила в дозе 50 мг сравнима с NO по влиянию на давление в легочной артерии среднее, легочное сосудистое сопротивление у больных ИЛФ и ЛГ, в отличие от всех известных лекарственных препаратов, силденафил приводит к повышению PaO2 [14]. H. Collard и соавт. показали эффективность силденафила у больных ИЛФ с ЛГ: терапия препаратом в течение 3 мес приводила к увеличению дистанции в тесте 6-минутной ходьбы в среднем на 49 м [7].
В нашем случае стабилизация состояния пациента наступила на фоне комплексного лечения обострения ИЛФ: усиленного режима кислородотерапии, базисной (антифибротической), противовоспалительной, антибактериальной и ЛАГ-специфической терапии.
About the authors
S. N. Avdeev
Sechenov First Moscow State Medical University (Sechenov University); Research Institute of Pulmonology
Email: ivv_08@mail.ru
ORCID iD: 0000-0002-5999-2150
чл.-кор. РАН, д.м.н., проф., зав. каф. пульмонологии лечебного фак-та
Russian Federation, MoscowV. V. Gaynitdinova
Sechenov First Moscow State Medical University (Sechenov University)
Author for correspondence.
Email: ivv_08@mail.ru
ORCID iD: 0000-0001-9928-926X
д.м.н., проф. каф. пульмонологии лечебного фак-та
Russian Federation, MoscowZ. M. Merzhoeva
Sechenov First Moscow State Medical University (Sechenov University); Research Institute of Pulmonology
Email: ivv_08@mail.ru
ORCID iD: 0000-0002-3174-5000
к.м.н., ассистент каф. пульмонологии лечебного фак-та
Russian Federation, MoscowG. V. Neklyudova
Sechenov First Moscow State Medical University (Sechenov University); Research Institute of Pulmonology
Email: ivv_08@mail.ru
ORCID iD: 0000-0002-9509-0867
д.м.н., доц. каф. пульмонологии лечебного фак-та
Russian Federation, MoscowN. A. Tsareva
Sechenov First Moscow State Medical University (Sechenov University); Research Institute of Pulmonology
Email: ivv_08@mail.ru
ORCID iD: 0000-0001-9357-4924
к.м.н., доц. каф. пульмонологии лечебного фак-та
Russian Federation, MoscowG. S. Nuralieva
Sechenov First Moscow State Medical University (Sechenov University); Research Institute of Pulmonology
Email: ivv_08@mail.ru
ORCID iD: 0000-0002-4726-4906
к.м.н., доц. каф. пульмонологии лечебного фак-та
Russian Federation, MoscowReferences
- Чучалин А.Г., Авдеев С.Н., Айсанов З.Р. и др. Диагностика и лечение идиопатического легочного фиброза. Федеральные клинические рекомендации. Пульмонология. 2016;26(4):399-419 [Chuchalin AG, Avdeev SN, Aisanov ZR, et al. Diagnosis and treatment of idiopathic pulmonary fibrosis Federal clinical recommendations. Pulmonology. 2016; 26(4):399-419 (In Russ.)]. doi: 10.18093/0869-0189-2016-26-4-399-419
- Авдеев С.Н. Идиопатический фиброз легких: новая парадигма. Терапевтический архив. 2017;89(1):112-22 [Avdeev SN. Idiopathic pulmonary fibrosis: a new paradigm. Therapeutic Archive. 2017;89(1):112-22 (In Russ.)]. doi: 10.17116/terarkh2017891112-122
- Collard HR, Ryeson CJ, Corte TJ, et al. Acut exacerbations of idiopathic pulmonary fibrosis. An International Working Group Report. Am J Respir Crit Care Med. 2016;194:265-75. doi: 10.1055/s-0032-1325154
- Akir M, Hamada H, Sakatani M, et al. CT findings during phase of accelerated deterioration in patients with idiopathic pulmonary fibrosis. ATR Am J Roentgenol. 1997;168:79-83. doi: 10.2214/ajr.168. 1.8976924
- Kim DS, Park JH, Lee JS, et al. Acute exacerbation of idiopathic pulmonary fibrosis: frequency and clinical features. Eur Respir J. 2006;27:143-50. doi: 10.1183/09031936.06.00114004
- Raghu G, Collard HR, Egan JJ and ATS/ERS/JRS/ALAT Commitee on Iidiopathic Pulmonary Fibrosis. An official ATS/ERS/JRS/ALAT statement: idiopathic pulmonary fibrosis; evidence-based guidelines for diagnosis and managent. Am J Respir Crit Care Med. 2011;183:788-824. doi: 10.1016/j.yrad.2012.03.015
- Collard HR, Anstrom KJ, Schwaz MI, et al. Sildenafil improveswalk distanct in idiopathic pulmonary fibrosis. Chest. 2007;131:897-9. doi: 10.1378/chest.06-2101
- Nadrous HF, Pellikka PA, Krowka MJ, et al. Pulmonary Hypertension in patients with idiopatic pulmonary fibrosis. Chest. 2005;128:2393-9. doi: 10.1378/chest.126.2.438
- Kimura M, Taniguchi H, Kondoh Y, et al. Pulmonary hypertension as a prognostic indicator at the initial evaluation in idiopathic pulmonary fibrosis. Respiration. 2013;85:456–63. doi: 10.1159/000345221
- Lettieri CJ, Nathan SD, Barnett S, et al. Prevalence and outcomes of pulmonary arterial hypertension (PAH) in common in patients with idiopatic pulmonary fibrosis. Chest. 2006;129:746-52. doi: 10.1378/chest.129.3.746
- Nathan SD, Shlobin OA, Ahmad S, et al. Serial development pulmonary hypertension in patients with idiopatic pulmonary fibrosis. Respiration. 2008;76:288-94. doi: 10.1159/000114246
- Авдеев С.Н. Легочная гипертензия, ассоциированная с заболеваниями легких. В кн.: Легочная гипертензия. Под ред. С.Н. Авдеева. М.: Практика, 2019; с. 317-64 [Avdeev SN. Pulmonary hypertension associated with lung diseases. In: Avdeev SN, ed. Pulmonary hypertension. Moscow: Practice, 2019; p. 317-64 (In Russ.)].
- Чазова И.Е., Авдеев С.Н., Царева Н.А. и др. Клинические рекомендации по диагностике и лечению легочной гипертонии. Терапевтический архив. 2014;86(9):4-23 [Chazova IE, Avdeev SN, Tsareva NA, et al. Clinical practice guidelines for the diagnosis and treatment of pulmonary hypertension. Therapeutic Archive. 2014;86(9):4-23 (In Russ.)].
- Ghofrani HA, Wiedemann R, Rose F, et al. Sildenafil for treatment of lung fibrosis and pulmonary hypertension: a randomized controlled trial. Lancet. 2002;360:895-900. doi: 10.1016/s0140-6736(02)11024-5
Supplementary files
There are no supplementary files to display.




